Immunhistokjemisk diagnostikk ved bruk av tyramid-signalamplifikasjon

    ()

    sporsmal_grey_rgb
    Abstract

    Immunhistokjemi er en metode for in situ-deteksjon av proteiner i vevssnitt og har de senere år fått en stadig viktigere plass i medisinsk forskning og diagnostikk. Flere metodologiske og cellebiologiske forhold fører til at dagens konvensjonelle metoder kan være for lite sensitive, spesielt ved undersøkelse av maligne svulster. For noen år siden ble det lansert en metode som forsterker immunhistokjemiske signaler, men denne er så langt i liten grad blitt anvendt i histopatologisk diagnostikk. Sammenliknet med de tradisjonelle metodene, gir den mulighet til å bruke primærantistoffer i betydelig høyere fortynning og likevel oppnå samme signalintensitet. Alternativt kan man beholde samme konsentrasjon av primærantistoffet og bruke den økte følsomheten til å detektere antigener med liten utbredelse som ikke lar seg påvise med konvensjonelle immunhistokjemiske metoder. Vi gir en oversikt over denne teknikken og viser eksempler på anvendelse i tumordiagnostikk. Tyramid-signalamplifikasjon vil kunne bli et viktig supplement i diagnostikk og klassifisering av maligne svulster.

    Abstract

    Immunohistochemistry is used for in situ detection of proteins in histological slides and is now an important diagnostic tool. Due to several methodological and biological factors, conventional immunohistochemical procedures may sometimes have too low sensitivity, especially for tracing the histogenesis of malignant tumours.

    A few years ago, an amplification technique was introduced which greatly increased the sensitivity of some of the commonly used immunohistochemical methods. This technique permits the use of primary antibodies in significantly lower concentrations compared with the conventional methods. Alternatively, one can keep the antibody concentration unchanged and use the enhanced sensitivity to detect scarce proteins, which are not visualised by traditional immunohistochemical procedures.

    We present a brief description of the technique and show some examples of its use in the diagnosis of neuroendocrine carcinomas. Tyramide signal amplification might become an important supplement for the diagnosis and classification of malignant tumours.

    Artikkel

    Immunhistokjemi er en metode hvor man kan påvise proteiner i histologiske vevssnitt. Metoden ble introdusert allerede i 1941 (1), men først de siste 20 – 30 årene har immunhistokjemi fått en sentral plass innen histopatologisk diagnostikk og forskning. Teknikken baserer seg på spesifikke antistoffer som gjenkjenner definerte antigener/epitoper på vevssnittet. Ved å koble ulike signalsubstanser til antistoffet, enten direkte eller indirekte, kan man få visualisert antigenets in situ-lokalisasjon i vevet. Metoden er for øvrig tidligere beskrevet i Tidsskriftet (2, 3).

    Det er flere forhold som er av betydning når et antigen skal påvises i et vevssnitt. Man er naturlig nok avhengig av et spesifikt antistoff, men i tillegg er flere metodologiske og biologiske faktorer avgjørende. Vevsprøver som sendes til histopatologiske undersøkelser, fikseres rutinemessig i formalin og innstøpes i parafin, noe som kan svekke immunreaktiviteten betydelig (4). De senere årene er det utviklet en rekke teknikker som gjør antigener tilgjengelig for immunhistokjemisk påvisning. Bruk av proteaser og ulike former for koking har vist seg særlig nyttig (5, 6).

    I tillegg til de metodologiske forhold er også cellebiologiske faktorer av betydning. Særlig gjelder dette påvisning av proteiner i maligne svulster. Selv med optimal bruk av tradisjonelle teknikker er det i mange svulsttyper ikke mulig å påvise enkelte cellemarkører som man vet finnes i de normale celler som svulsten har utgått fra. Det er kjent at kreftceller er genetisk ustabile, og under neoplastisk transformasjon og progrediering får man en akkumulering av mutasjoner og translokasjoner (7) som fører til en dedifferensiering av cellestrukturen med defekt danning av celleorganeller. Dessuten kan dedifferensieringen føre til defekt proteinsyntese med påfølgende reduksjon eller bortfall av en eller flere cellemarkører.

    I 1992 ble det beskrevet en metode som har vist seg å kunne forsterke immunhistokjemiske signaler betydelig (8). Den er en variant av såkalt ”catalyzed reporter deposition” (CARD) (9), som baserer seg på deponering av reaktive tyraminkonjugater (tyramid) i vevssnitt. Slik tyramid-signalamplifikasjon (TSA) er hittil stort sett blitt anvendt innen forskning, men TSA-teknikken kan også få betydning i diagnostikk og klassifikasjonen av maligne svulster. Vi vil derfor gi en oversikt over metoden og eksempler på bruk i tumordiagnostikk.

    Metode

    Metode

    TSA-teknikken baserer seg på at peroksidase på en eller annen måte er deponert i vevssnittet, og man kan derfor bygge videre på de allerede eksisterende trinnene i ulike immunhistokjemiske metoder hvor man bruker peroksidase som enzym, f.eks. avidin-biotin-peroksidase-kompleks (ABC)-teknikken (fig 1). Tyramin er en reaktiv substans som, i nærvær av peroksidase, binder seg irreversibelt til proteiner i umiddelbar nærhet av peroksidasen (8). Ved å konjugere tyramin til biotin (produktet kalles tyramid), oppnår man å deponere et stort antall biotinmolekyler i vevet (fig 1). Ved å gjenta siste trinn i ABC-teknikken vil man få festet et stort antall nye peroksidasemolekyler i området rundt antigenet, som igjen vil kunne konvertere et kromogen til synlig farge (fig 1). Denne prosessen kan eventuelt gjentas. En syklus med slik tyramid-signalamplifikasjon har vist seg å kunne øke følsomheten opptil 1 000 ganger (9).

    Vi tar utgangspunkt i konvensjonell ABC-teknikk og bruker et kommersielt tilgjengelig utstyrssett (Vectastain ABC, Vector Laboratories, USA). Prosedyren optimaliseres først med den konvensjonelle metoden for å få best mulig signalintensitet og kontrast med det enkelte primærantistoff. Det er spesielt viktig å unngå bakgrunnsfarging siden signalet senere skal forsterkes. Vi vil bruke et monoklonalt antistoff mot kromogranin A (CgA, klone DAK-A3, isotype IgG2b, DAKO, Danmark) som eksempel, og dette inkuberes med en konsentrasjon på 0,15 µ g/ml ved 4 ˚C i 20 timer. Demaskering gjøres ved å koke snittene i sitratbuffer i mikrobølgeovn, og endogen peroksidaseaktivitet blokkeres med behandling i H2O2. Etter at siste trinn i ABC-prosedyren er utført vil en rekke peroksidasemolekyler være indirekte bundet til den aktuelle epitop. Vi tilsetter så biotinylert tyramin (TSA indirect, NEN Life Science Products, USA) som bindes i umiddelbar nærhet av peroksidasen. Til slutt tilsettes ABC-komplekset nok en gang (bindes til biotin) og reaksjonen visualiseres ved å tilsette et peroksidasesubstrat med ønsket farge. Vi setter alltid opp tre etterfølgende snitt samlet. Det første tas ut etter å ha gjennomgått vanlig ABC-prosedyre, og det andre føres videre med TSA-teknikken. Det tredje snittet behandles som snitt nummer 2, men primærantistoffet er byttet ut med et uspesifikt antistoff med samme konsentrasjon og isotype (i dette tilfellet IgG2b) og fungerer som negativ kontroll. Metoden gir et tillegg i pris på omtrent 7 kroner per snitt.

    Resultater og diskusjon

    Resultater og diskusjon

    Vi har interessert oss for svulster utgått fra nevroendokrine celler, slik som de klassiske karsinoidene og småcellet lungekarsinom. Nevroendokrine celler er karakterisert ved spesifikke sekretoriske granula som finnes i cytoplasma. Man får under tumorprogrediering en dedifferensiering av cellene med tap av slike granula (10, 11). Studerer man spekteret av nevroendokrine svulster i lungene, finner man at de veldifferensierte karsinoidene inneholder tumorceller med rikelig antall sekretoriske granula. På den annen side har man de udifferensierte småcellede lungekarsinomene, hvor tumorcellene inneholder svært få granula (12). Dette tapet av sekretoriske granula i dedifferensierte maligne nevroendokrine celler fører til at det blir vanskelig å påvise de få eksisterende granula med vanlige immunhistokjemiske teknikker.

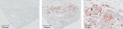
    Hvis man undersøker småcellede lungekarsinomer med henblikk på CgA, som er en generell markør for nevroendokrine sekretoriske granula (13), vil bare en andel av tumorcellene være immunreaktive ved bruk av konvensjonell metodikk (14, 15). I de mest dedifferensierte svulstene vil man ofte ikke finne CgA-immunreaktivitet i det hele tatt (fig 2). Man kan likevel påvise granula (ofte atypiske) ved elektronmikroskopisk undersøkelse, men dette er altfor ressurskrevende i vanlig praksis. Ved bruk av TSA-teknikken kan man derimot tydelig få frem immunreaktivitet for CgA i de fleste tilfeller (fig 2). Vi undersøkte nylig biopsier fra en pasient med en uvanlig form for ovarialcancer. Histopatologiske snitt fra svulsten ble vurdert av flere erfarne patologer, og man kom til slutt frem til at det var et karsinom av sannsynlig nevroendokrin opprinnelse. Ved immunhistokjemi viste et lite antall av tumorcellene en noe usikker, svak immunreaktivitet mot CgA, men i store deler av biopsien var det ingen tegn til immunreaktivitet (fig 3). Ved hjelp av TSA-teknikken ble derimot de fleste tumorcellene distinkt immunreaktive (fig 3), og diagnosen nevroendokrint karsinom kunne dermed bekreftes.

    I de senere år har det vært diskutert om en andel av adenokarsinomene i ventrikkelen egentlig er nevroendokrine karsinomer (16). Det er kjent at nevroendokrine svulster både kan danne kjertelstrukturer (17) og vise positiv mucinfarging (18), slik som adenokarsinomer. Dette vanskeliggjør korrekt klassifisering, siden nevroendokrine granula i dedifferensierte tumorceller ofte ikke lar seg påvise ved konvensjonelle teknikker (11). Vår gruppe har tidligere undersøkt ventrikkelcancer med tanke med tanke på nevroendokrin differensiering ved hjelp av en rekke metoder (elektronmikroskopi, immunhistokjemi, Northern blot m.m.) og funnet at en andel av disse svulstene sannsynligvis er nevroendokrine karsinomer (19). Ved å bruke TSA-teknikken på det samme tumormaterialet har vår gruppe nylig kunnet vise tilsvarende resultater ved bruk av denne teknikken alene (20), noe som ytterligere understreker metodens sensitivitet. Disse resultatene tyder på at vanlige metoder i en del tilfeller mangler tilstrekkelig sensitivitet til at man kan gjøre en korrekt klassifikasjon av svulstene.

    I flere studier har man sammenliknet vanlige immunhistokjemiske metoder med og uten tillegg av TSA-teknikken. Det viser seg at den økte følsomheten som man oppnår ved bruk av TSA-teknikken gir mulighet for å øke fortynningen av primærantistoffet mellom hundre og tusen ganger og likevel oppnå samme signalintensitet som man har med de vanlige metodene alene (8, 9, 21). Vi har valgt å beholde samme konsentrasjon av primærantistoffet som ved vår vanlige metode (ABC-teknikken) og heller utnytte signalforsterkingen til å studere antigener med liten utbredelse som er vanskelig å påvise med tradisjonelle metoder. Dette har vist seg å gi nyttig tilleggsinformasjon i mange tilfeller.

    TSA-teknikken bygger videre på allerede etablerte immunhistokjemiske metoder, og spesifisiteten bestemmes av antistoffene (fig 1). På grunn av teknikkens høye sensitivitet, stiller den store krav til spesifisiteten av antistoffene for å unngå uønsket bakgrunnsfarging. I tillegg må fortynninger og inkubering av de ulike reagenser tilpasses individuelt for hvert antistoff. Men, når disse faktorene er klarlagt, er resultatene svært reproduserbare, og man kan bruke standardiserte protokoller. På grunn av den til dels betydelige forsterkingen av signalet man får ved bruk av TSA-teknikken, er det viktig å være nøyaktig med bruk av negative kontroller. Enkelte antistoffer som tilsynelatende gir en spesifikk reaksjon med vanlige metoder, viser seg å gi en betydelig uspesifikk farging når signalet forsterkes.

    Det er nå gått sju år siden TSA-teknikken ble introdusert, men foreløpig synes det å være en noe begrenset interesse knyttet til metoden. Den er teknisk lett å utføre, og det har nå kommet kommersielle utstyrssett, både for immunhistokjemi og for in situ-hybridisering. Metoden må foreløpig gjøres manuelt og krever en del utprøvninger for hvert enkelt primærantistoff, noe som nok begrenser bruken i en travel hverdag. I tillegg kan mange diagnostiske problemer løses ved vanlige immunhistokjemiske teknikker. Vi tror likevel at TSA-teknikken vil bli et viktig supplement i histopatologisk diagnostikk, spesielt for klassifisering av maligne svulster, da vi erfarer at man ved konvensjonelle metoder ofte ikke klarer å påvise cellulære markører i dedifferensierte svulstceller. TSA-teknikken vil også kunne gi avgjørende informasjon i andre problemstillinger hvor man vil påvise proteiner med liten utbredelse.

    Kommentarer  ( 0 )

    Anbefalte artikler