Diskusjon
Vanlig lysmikroskopisk undersøkelse av hematoksylin/eosin-fargede snitt er stadig basis i lymfomdiagnostikk. Ved de fleste laboratorier i Norge benyttes i tillegg immunhistokjemisk undersøkelse i større og mindre grad, og ved noen av de større sykehusene inngår også PCR-undersøkelse som en del av rutinen.
Pasientene som er referert ovenfor er valgt ut fordi de illustrerer nytten av nye metoder i diagnostikken. Fire av pasientene er fra siste halvåret, noe som viser at man relativt ofte kan bedre diagnostikken og behandlingen ved hjelp av nye metoder.
Pasient 1 illustrerer nytten av PCR. Man påviste t(14;18) i en liten nålebiopsi der lysmikroskopisk og immunhistokjemisk undersøkelse ikke gav grunnlag for annen diagnose enn irregulær lymfoid infiltrasjon. T(14;18) har vært påvist hos friske uten tegn til non-Hodgkins lymfom (12), men den PCR-undersøkelsen vi benytter, detekterer ikke t(14;18) i reaktiv lymfoid hyperplasi (13). PCR gav i dette tilfellet diagnosen follikulært lymfom. Dette var første gang vi opplevde at påvisning av t(14;18) ved polymerasekjedereaksjon var avgjørende for malignitetsdiagnosen. For å være på den sikre side valgte man å gjøre laparotomi og ta større biopsier som bekreftet diagnosen lysmikroskopisk. Med den erfaring vi nå har, ville vi sannsynligvis basere diagnosen på PCR-funnet sammenholdt med klinisk, røntgenologisk, lysmikroskopisk og immunhistokjemisk undersøkelse og spare pasienten for laparotomi.
Pasient 2 presenterte seg med tumor i ganen. Fra før hadde han fått påvist adenokarsinom i prostata. Lysmikroskopisk undersøkelse utelukket metastase fra adenokarsinom og gav mistanke om non-Hodgkins lymfom. Immunhistokjemisk undersøkelse styrket mistanken om slikt lymfom, sannsynligvis lavgradig av B-celletype. Biopsien var imidlertid liten og diagnosen derfor usikker. PCR viste t(14;18) og monoklonalitet for genet for tung immunglobulinkjede, forenlig med non-Hodgkins lymfom av B-celletype. Monoklonalitet er ikke alene diagnostisk for non-Hodgkins lymfom. Det er beskrevet flere tilfeller av monoklonalitet uten at det foreligger non-Hodgkins lymfom (14). Det er derfor viktig å sammenholde resultatet av PCR-undersøkelsen med klinisk, lysmikroskopisk og immunhistokjemisk undersøkelse.
Mantelcellelymfomer utgjør en relativt liten gruppe av non-Hodgkins lymfomer av B-celletype (1). Vanligvis viser lysmikroskopisk og immunhistokjemisk undersøkelse utseende som lavgradig non-Hodgkins lymfom av B-celletype. Mantelcellelymfom viser imidlertid dårligere behandlingsrespons og prognose enn andre lavgradige non-Hodgkins lymfomer av B-celletype. Det er derfor viktig å stille diagnosen slik at pasientene kan få et riktig behandlingstilbud. Immunhistokjemisk undersøkelse kan bekrefte diagnosen ved å påvise cyclin D1 i tumorcellene, og ved PCR kan man påvise t(11;14). Pasient 3 fikk stilt diagnosen mantelcellelymfom ved immunhistokjemisk undersøkelse som viste positiv reaksjon for cyclin D1, og PCR som viste t(11;14).
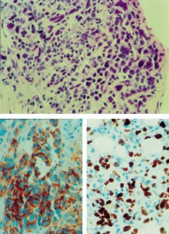
Utredning av udifferensiert malign tumor er en av de største diagnostiske utfordringer patologen står overfor. Etter at man ved lysmikroskopisk undersøkelse har påvist udifferensiert tumorvev, utfører man en screeningundersøkelse med et panel av antistoffer mot ulike vevstyper; epiteliale, mesenkymale, nevrogene, lymfoide osv. Et slikt panel omfatter ofte 10 – 20 antistoffer. Hos pasient 4 fikk man positiv reaksjon for ”leucocyte common antigen”, og man gikk så videre med antistoffer for subtyping av lymfomer og PCR. Immunhistokjemisk undersøkelse viste postiv reaksjon for T-cellemarkørene CD3 og CD45RO. Ved PCR fant man monoklonalitet for genet for T-cellereseptor gamma (TCR- γ ). Resultatet av immunhistokjemisk undersøkelse og PCR var forenlig med non-Hodgkins lymfom av T-celletype. Proliferasjonsmarkøren Ki-67 viste mange positive tumorceller forenlig med høy malignitetsgrad.
Når biopsimaterialet er traumatisert, kan det vanligvis ikke benyttes til lysmikroskopisk og immunhistokjemisk undersøkelse. For PCR er mekanisk traumatisering uten betydning. Pasient 5 illustrerer dette poenget. Man mistenkte residiv av non-Hodgkins lymfom i nesen og på halsen. Det ble tatt en liten slimhinnebiopsi fra nesen. Biopsien viste imidlertid utbredte klemmingsartefakter. Man kunne ikke bekrefte lymfomdiagnosen ved lysmikroskopisk og immunhistokjemisk undersøkelse. PCR viste t(14;18) og monoklonalitet for genet for tung immunglobulinkjede forenlig med non-Hodgkins lymfom av follikulær type. Undersøkelse av tidligere biopsi fra non-Hodgkins lymfom viste identiske PCR-produkter. På denne måten kunne man bekrefte residiv.
Polymerasekjedereaksjon har også vist seg å være til stor hjelp i diagnostikken av mycosis fungoides i tidlig stadium (15, 16). Ved lysmikroskopisk og immunhistokjemisk undersøkelse er det ofte ikke mulig å bekrefte denne diagnosen. Hos pasienter med mycosis fungoides undersøker vi også blodprøver, og i en del tilfeller kan vi påvise samme klon av T-lymfocytter i blod som i hud forenlig med overgang til Sézarys syndrom.
Virusinfeksjoner kan gi lymfeknuteforandringer som kan forveksles med non-Hodgkins lymfom (17). Dette gjelder særlig herpesvirusgruppen. Immunhistokjemisk undersøkelse og PCR kan ofte påvise virus og dermed avklare tilstanden (18). De nye metodene er basert på høy teknologi. Antistoffene som benyttes til immunhistokjemisk undersøkelse er kommersielt tilgjengelige og er vanligvis av god kvalitet. Det er imidlertid en rekke metodeproblemer med immunhistokjemisk undersøkelse som både bioingeniører og leger må kjenne til for at undersøkelsen skal bli optimal. Det er viktig med positive kontroller. En negativ undersøkelse har isolert liten verdi, men sammen med et panel av andre antistoffer kan man få frem en immunhistokjemisk profil som kan være diagnostisk. Kryssreaksjon mellom antigener kan gi falskt positiv reaksjon. Dette er beskrevet for de fleste antistoffer.
Polymerasekjedereaksjon har også metodeproblemer. Best kjent er den ekstreme sensitiviteten, og det er derfor viktig å ha gode rutiner slik at man unngår falskt positiv reaksjon pga. kontaminasjon. Positive og negative kontroller må alltid kjøres sammen med prøvene.
PCR-resultatene bør sammenholdes med klinisk, lysmikroskopisk og immunhistokjemisk undersøkelse, særlig ved påvisning av monoklonalitet. Det er beskrevet flere benigne tilstander som viser monoklonalitet ved PCR (14).
Genteknologien gir oss svar på en del av våre gamle problemstillinger, men reiser samtidig flere nye. Her er noen eksempler: Hvordan skal man stadieinndele non-Hodgkins lymfom når PCR viser monoklonalitet i beinmarg mens lysmikroskopisk og immunhistokjemisk undersøkelse er negativ? Translokasjon(14;18) kan påvises i blodprøver fra friske (12), har disse noen økt risiko for utvikling av follikulært non-Hodgkins lymfom? Skal de kontrolleres? Hva betyr påvisning av monoklonalitet i ventrikkelbiopsier ved Helicobacter pylori-positiv gastritt? Noen pasienter med cøliaki viser monoklonalitet for T-lymfocytter; har disse pasientene større risiko for utvikling av non-Hodgkins lymfom av T-celletype? Skal de kontrolleres oftere enn andre med cøliaki? Noen tilfeller av purpura i hud (lichen aureus) viser monoklonalitet for T-lymfocytter og litt hyppigere forekomst av kutant T-cellelymfom. Hvordan skal en slik tilstand klassifiseres og behandles? Listen kan gjøres mye lengre. De nye metodene løser en del av våre problemer, men gir oss også mange spennende utfordringer å ta fatt i.