Kjempestein i urinblæren

    ()

    sporsmal_grey_rgb
    Abstract

    Kjempesteiner i urinblæren er sjeldent i moderne urologisk praksis. Vi omtaler en 69 år gammel ellers frisk mann som fikk fjernet en blærestein på 660 g fra urinblæren. Steinen forårsaket få subjektive symptomer, men urografi avslørte utvidelse av begge urinledere. Steinen ble fjernet med åpen cystolitotomi. Historiske og behandlingsmessige aspekter ved blæresteiner omtales kort.

    Abstract

    We report a 660 gram stone in the urinary bladder of an otherwise healthy 69 year old male. The stone gave rise to only minor subjective symptoms, but urograms revealed dilatation of both the ureters. The stone was removed by open cystolithotomy. Giant bladder stones are rare in modern urologic practice. In earlier centuries, however, bladder stone formation was a common urinary tract disease with need for surgery. A brief survey of historical lithotomy methods is given.

    Artikkel

    I århundrer har blæresteiner vært en velkjent sykdom i urinveiene. Tilstanden forekommer oftere hos menn enn hos kvinner. Tidligere var steindanning sannsynligvis forårsaket av feilernæring og metabolske forstyrrelser. I dag er blæresteiner oftest assosiert med hindret avløp fra blæren, men kan også være forårsaket av fremmedlegemer som for eksempel biter fra blærekatetre eller suturmateriell. Urinveisinfeksjon er en annen hyppig medvirkende årsak til steindanning.

    Vi omtaler i denne artikkelen en pasient som fikk fjernet en blærestein på 660 g fra urinblæren. Dette illustrerer hvordan kjempesteiner i urinblæren kan forårsake betydelige patologiske forandringer i urinveiene, men bare gi ubetydelige symptomer.

    Pasienten. En pasient 69 år gammel mann. Bortsett fra hypertensjon var han tidligere frisk. Han søkte lege for plager som hyppige avføringer, små urinvolumer og smerter i nedre del av magen i forbindelse med jogging. Noen få ganger i løpet av de siste årene hadde pasienten lagt merke til blod i urinen. Kliniske tegn på cystitt kunne han ikke huske. Smertefull eller intermitterende vannlating med terminal hematuri ble ikke observert.

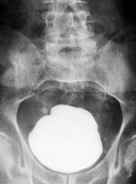
    Røntgen oversikt abdomen viste en stor forkalkning i blæreregionen (fig 1). Intravenøs urografi viste forsinket utskilling fra venstre nyre og utvidelse av begge nyrebekkener og urinledere. Serum-kreatinin var normal. Cystoskopi var ikke mulig å gjennomføre, fordi steinen hindret cystoskopet i å passere gjennom en sklerotisk blærehals. Preoperativ miksjonsliste ble ikke ført, og det ble ikke gjort urinstrømsmåling.

    Ved bakteriologisk dyrking av urin ble det påvist enterokokker, og behandling med nitrofurantoin (Furadantin) etter resistensbestemmelse ble startet.

    Pasienten ble operert med åpen cystolitotomi (sectio alta). Nitrofurantoinbehandling pågikk under operasjonen. I blærebunnen var det pusstilblandet urin. Makroskopisk var blæreveggen normal, uten erosjoner eller uttalt trabekulering. Det var enkelte små divertikler. Steinen var ikke adherent til blæreslimhinnen. Blærekateter ble beholdt seks dager postoperativt. Det var ingen postoperative komplikasjoner, bortsett fra en overflatisk sårinfeksjon.

    Steinen bestod hovedsakelig av kalsiumoksalat, veide 660 g, opptok et volum på 300 ml målt ved væskefortrengning og målte 9,6 ⋅ 8,5 ⋅ 7,2 cm3 (fig 2).

    Urografi to måneder postoperativt viste forbedret utskilling, men fortsatt bilateral utvidelse av de øvre urinveier. Urinstrømsmåling utført etter operasjonen viste at pasienten hadde et betydelig avløpshinder. Det ble derfor senere utført en transurethral prostataresesksjon og incisjon i blærehalsen hos denne pasienten. Samtidig cystoskopi viste divertikler og trabekulering av blæreveggen, men normal slimhinne.

    Diskusjon

    Diskusjon

    I tidligere tider var blæresteinssykdom relativt vanlig som følge av feilernæring. Særlig hos barn var blæresteiner endemisk. En diett fattig på proteiner og fosfater var sannsynlig årsak til dette. Bedret ernæring har redusert forekomsten betydelig i mange deler av verden, men tilstanden er fortsatt relativt vanlig hos barn i India, Indonesia, Midtøsten og Nord-Afrika (1).

    Den medisinske historie inneholder en rekke mer eller mindre hasardiøse teknikker for litotomi. Det var fire hovedtyper, der fremgangsmåten er ganske nøyaktig beskrevet i eldre litteratur (2). De ble alle utført uten anestesi. ”Apparatus minor” bestod i at man via rectum palpatorisk identifiserte konkrementet og trykte det ned mot perineum før man inciderte perinealt direkte på steinen. ”Apparatus major” betydde ett snitt tvers igjennom perineum og inn i blæren. Bulbus urethra, prostata, arteriovenøse pleksuser og ofte rectum ble skåret tvers igjennom. Begge disse metodene ble brukt fra 1500-tallet og utover. ”Sectio alta” er et snitt suprapubisk. Metoden ble først utviklet omkring 1650, senere ble den modifisert og benyttet med varierende hell. Den benyttes også i dag når blæresteinen(e) er for store for endoskopisk eller ikke-invasive metoder. ”Nuova Litotomia” eller rektovesikal tilgang ble også benyttet, særlig i begynnelsen av 1800-tallet.

    Ofte døde pasientene på grunn av blødning i forbindelse med behandlingenen. Abscesser, sepsis, fistler, inkontinens og peritonitt var vanlige komplikasjoner. Ukompliserte postoperative forløp var sjelden. Operasjonene ble gjerne utført av omreisende ”lithotomister”, ofte med flere hundre skuelystne til stede. Fra ca. 1825 avtok bruken av disse inngrepene gradvis. Senere er litotomi karakterisert som et av de mest makabre kapitler i kirurgiens historie (2).

    I dag er kjempesteiner i blæren relativt sjeldent, men nettopp fordi de ofte har beskjedne og sentkommende symptomer, vil de sannsynligvis forekomme også i fremtiden.

    Blærestein bør overveies ved hyppig, smertefull vannlating med terminal hematuri. Ved residiverende urinveisinfeksjoner er blærestein en aktuell differensialdiagnose. Press i bekkenet oppstår vanligvis bare ved steiner av betydelig størrelse.

    Blæresteiners sammensetning varierer betydelig. Kalsiumoksalat og kalsiumfosfat er de vanligste innholdstoffene. Steiner dannet ved infeksjonstilstander er som oftest fosfatsteiner. Cystin og urinsyresteiner finnes også.

    Behandling av blæresteiner i dag er mangefasettert. Kjemisk oppløsning av steinen(e) er lite brukt (1). Endoskopisk ekstraksjon og/eller steinknusning er det vanligste ved mindre og multiple steiner, og kan gjøres enten mekanisk, elektromekanisk, med ultralyd eller med laser. ESWL (extracorporeal shock wave lithotripsy) kan også brukes, med gode resultater (3). Ved større steiner, som hos vår pasient, er åpen kirurgi vanlig behandling.

    Bilateral utvidelse av urinledere er også tidligere sett ved store blæresteiner (4). Nyresvikt er rapportert som komplikasjon eller følgetilstand (5 – 7). Pasienten er da preget av nedsatt allmenntilstand og er utsatt for utvikling av urosepsis. Dersom hydronefrose og urosepsis foreligger, bør en eller flere midlertidige perkutane nefrostomier overveies før man operativt fjerner steinen. En sammenheng mellom store blæresteiner og blærekreft kan ikke utelukkes (4 – 9). Cystoskopi anbefales derfor utført noen tid etter fjerning av store blæresteiner.

    Kommentarer  ( 0 )

    Anbefalte artikler