Diffusjonsvektet magnetisk resonanstomografi – nytt i diagnostikken av Creutzfeldt-Jakobs sykdom

    ()

    sporsmal_grey_rgb
    Abstract

    Creutzfeldt-Jakobs sykdom karakteriseres av raskt progredierende demens, ataksi, myoklonus og flere andre nevrologiske utfall. Den rammer stort sett eldre voksne og forekommer i sporadisk, genetisk og iatrogen form. Pasienten dør vanligvis innen ett år etter symptomdebut. Diagnosen av Creutzfeldt-Jakobs sykdom er basert på kliniske kriterier, nevrofysiologiske og radiologiske funn, men sikker diagnose krever hjernebiopsi eller postmortal histopatologi.

    I løpet av de siste to årene er det blitt rapportert flere tilfeller av Creutzfeldt-Jakobs sykdom med diffusjonsvektet magnetisk resonanstomografi (MR)-funn i form av økt signalintensitet, dvs. redusert diffusjon i basale ganglier og/eller hjernebark. Disse funnene ser ut til å være karakteristiske for Creutzfeldt-Jakobs sykdom.

    Vi rapporterer her et tilfelle av Creutzfeldt-Jakobs sykdom hos en 54 år gammel kvinne som i løpet av åtte måneder utviklet vertigo, nystagmus, ataksi, myoklonus og demens. Diffusjonsvektet magnetisk resonanstomografi viste økt signalintensitet i corpus striatum og gyrus cinguli. Diagnosen ble postmortalt bekreftet med histopatologi.

    Abstract

    Creutzfeldt-Jakob"s disease (CJD) is characterised by rapidly progressive dementia, ataxia, myoclonus, and several other neurological deficits. It generally affects older adults and occurs in sporadic, genetic and iatrogenic forms. Death occurs usually within one year after onset of the disease. The diagnosis is based on clinical criteria, neurophysiological and radiological findings, and confirmed by postmortal histopathology.

    During the last two years several cases of CJD have been reported with diffusion-weighted magnetic resonance imaging (MR) abnormalities, represented by increased signal intensity indicating reduced diffusion in basal ganglia and/or cortex cerebri. These abnormalities seem to be characteristic of CJD.

    We report a case of CJD in a 54-year-old woman who developed vertigo, nystagmus, ataxia, myoclonus, and dementia over a period of eight months. Diffusion-weighted magnetic resonance imaging showed increased signal intensity in corpus striatum and gyrus cinguli. The diagnosis was postmortally confirmed with histopathology.

    Artikkel

    Creutzfeldt-Jakobs sykdom karakteriseres av raskt progredierende demens, ataksi, myoklonus og flere andre nevrologiske utfall med pyramidale og ekstrapyramidale tegn (1). Den rammer stort sett eldre voksne og forekommer i sporadiske, genetiske og iatrogene former. Den årlige insidensen av Creutzfeldt-Jakobs sykdom er ‘n på en million, og pasienten dør vanligvis innen ett år etter symptomdebut (2). Creutzfeldt-Jakobs sykdom er knyttet til strukturelle forandringer i prionproteinet (3 – 5). Prioner er proteiner som normalt forekommer i en rekke celletyper, men deres funksjon er ukjent. Ved Creutzfeldt-Jakobs sykdom blir prionene proteinresistente og akkumuleres i cellene. Ved mutasjoner i prionproteinet øker risikoen for proteaseresistent transformasjon. Slike mutasjoner danner grunnlaget for familiære prionsykdommer.

    Diagnosen av Creutzfeldt-Jakobs sykdom in vivo er basert på kliniske kriterier i form av raskt progredierende demens, ataksi og myoklonus, og nevrofysiologiske forandringer med periodiske skarpe bølger i elektroencefalografi (EEG) (1, 6). Langrepetisjonstids (> 2 000 millisekund)-magnetisk resonanstomografi (MR) (protondensitets-MR og T2-vektet MR) av hjernen kan vise symmetriske hyperintense uspesifikke signalforandringer i basalgangliene i 80 % av tilfellene (7). De siste årene er diffusjonsvektet MR-teknikk tatt i bruk, og siden 1997 er det flere rapporterte tilfeller med diffusjonsforandringer i dype hjernestrukturer (8), i hjernebark (9) eller i begge deler av hjernen (10 – 12). Sikker diagnose av Creutzfeldt-Jakobs sykdom krever påvisning av typiske spongiforme forandringer i biopsi eller autopsimateriale (13).

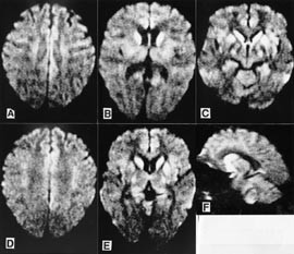
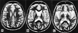
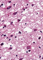
    Pasienten. 54 år gammel kvinne. Hun hadde tidligere stort sett vært frisk, men gjennomgikk flere tannekstraksjoner og maksillærkirurgi det siste året før sykdomsdebut. De første symptomene var svimmelhet, asteni og vertigo, som tiltok gradvis. Åtte måneder senere utviklet hun ustø gange, eufori og raskt progredierende demens med desorientering, tap av korttidsminne og visuelle hallusinasjoner. Ved klinisk undersøkelse fant man nystagmus, ataksi, myoklonus, positiv mandibular og palmomental refleks og grav demens. Computertomografi (CT) av hjernen og blodprøver viste normale funn. EEG viste diffus dysrytmi med generalisert theta- og deltaaktivitet, men de typiske periodiske skarpe bølger som vanligvis sees ved Creutzfeldt-Jakobs sykdom, var ikke til stede. T2-vektet MR av hjernen viste ingen definitive avvik (fig 1). Diffusjonsvektet MR av hjernen viste markert økt signaldensitet, dvs. redusert diffusjon bilateralt i corpus striatum og gyrus cinguli (fig 2). Hun døde etter en måned i koma, 15 måneder etter debuten av de første symptomene. Diagnosen ble postmortalt bekreftet med utbredte, typisk spongiforme encefalopatifunn ved den histopatologiske undersøkelsen (fig 3). Prionproteingenanalyse viste ingen mutasjoner, men hun var homozygot for valin/valin i codon 129 (utført ved Creutzfeldt-Jakob Disease Surveillance Unit, Edinburgh, Skottland).

    Diskusjon

    Diskusjon

    Diagnostikken av Creutzfeldt-Jakobs sykdom er ofte vanskelig. Sikker diagnose krever histopatologi. Cerebrospinalvæskeanalyse er ofte normal, men forhøyet nevronspesifikk enolase eller 14-3-3-hjerneprotein er blitt rapportert i noen tilfeller. EEG viser ikke spesifikke funn i alle tilfeller. CT av hjernen er vanligvis normal og viser kun atrofi hos 20 % av pasientene (14). Vanlig MR-undersøkelse (T2 er inkludert) av hjernen viser symmetriske hyperintense forandringer i basale ganglier i 80 % av tilfellene (7), men disse forandringene er vanligvis beskjedne og uspesifikke for Creutzfeldt-Jakobs sykdom (15).

    Dette tilfellet av Creutzfeldt-Jakobs sykdom er ett av få hittil rapporterte pasienter (8 – 12) som ble undersøkt med diffusjonsvektet MR. De patologiske forandringene man ser i diffusjonsvektet MR, er tydelige hyperintense signalavvik i basale ganglier og/eller cortex cerebri. Disse forandringene, som representerer redusert diffusjon grunnet funksjonsforstyrrelser i de aktuelle hjernedelene, ser ut til å være karakteristiske for Creutzfeldt-Jakobs sykdom. Det finnes ikke andre rapporterte tilstander med liknende diffusjonsforandringer. Diffusjonsvektet MR kan derfor være en undersøkelse som gir spesifikke funn for Creutzfeldt-Jakobs sykdom, og et nytt instrument i den premortale diagnostikken av denne sykdommen.

    Kommentarer  ( 0 )

    Anbefalte artikler