Mastocytose inkluderer mange ulike tilstander med akkumulering av mastceller i ett eller flere organer. Det er usikkert om det er en hyperplasi eller neoplasi (klonal sykdom) (1, 2). Mastcellen ble først identifisert av Paul Erlich i 1879. Han beskrev en celle i humant bindevev med cytoplasmatiske granulae som viste metakromasi ved farging med anilin. Mastcelleforstadier utvikles fra CD34-positive celler (stamceller) i beinmargen, og en hypotese er at mastcellemellomstadier etter kort tid i blodbanen migrerer til forskjellige vev, hvor de modnes under innflytelse av det cellulære mikromiljø (3, 4). Modne mastceller uttrykker en karakteristisk antigenprofil som er forskjellig fra antigenprofilen hos basofile granulocytter. De er positive for c-kit (CD117), reseptoren for Fc-delen av IgE-molekylet (Fc ε RI), tryptase og en rekke andre markører (5). c-kit er en transmembran tyrosinkinasereseptor som binder en mastcellespesifikk vekstfaktor (MGF), også kalt stamcellefaktor (SCF) eller c-kit-ligand. c-kit finnes på hematopoetiske stamceller, mastceller, melanocytter og germinalceller. Utvikling og modning av mastceller in vitro fra CD34-positive celler fremmes av interleukin 3 og mastcellespesifikk vekstfaktor (3, 4, 6).
Mastcellen produserer en rekke aktive substanser som lagres i sekretoriske granulae: histamin, heparin, kondroitinsulfat, serinproteaser som tryptase, kymase, katepsin G og karboksypeptidaser, sure hydrolaser, lipidmediatorer som leukotrien B4, C4 og D, prostaglandin D2 og blodplateaktiverende faktor (PAF). Mastcellen produserer også cytokiner som interleukin 1, 3, 4, 5 og 6, tumornekrosefaktor- α (TNF α ), γ -interferon og granulocytt-makrofag-kolonistimulerende faktor (GM-CSF). Degranulering av mastcellen og uttømming av mediatorer medfører en straksreaksjon, men også en senreaksjon, med økt vaskulær permeabilitet og leukocyttinfiltrasjon lokalt (7).
Tabell 2
Tabell 1 Utvikling i blodprøveverdier fra første innleggelse ved lokalsykehus (juni 1995), overflytting til regionsykehus (november 1995) og ved lokalsykehus kort før død (januar 1996) for pasient 1
| Referanseverdi |
Juni 1995 |
November 1995 |
Januar 1996 |
|
| Hemoglobin |
13,5 – 17,5 g/100 ml |
9,3 |
9,7 |
10,0 |
| Leukocytter |
3,0 – 11,0 × 109/l |
12,6 |
13,2 |
58,3 |
| Nøytrofile |
1,9 – 8,0 × 109/l |
7,6 |
2,6 |
45,0 |
| Eosinofile |
0,04 – 0,4 × 109/l |
1,8 |
3,9 |
5,1 |
| Trombocytter |
125 – 400 × 109/l |
115 |
7 |
22 |
| ASAT |
10 – 50 U/l |
28 |
29 |
81 |
| ALAT |
10 – 50 U/l |
21 |
27 |
202 |
| Alkalisk fosfatase |
50 – 270 U/l |
310 |
2 962 |
1 613 |
| Bilirubin (total) |
10 – 25 µ mol/l |
21 |
135 |
188 |
| LDH |
200 – 430 U/l |
445 |
497 |
1 079 |
| Albumin |
35,0 – 55,0 g/l |
40 |
28 |
31 |
Pasient 2. En 67 år gammel mann med velbehandlet hypertensjon ble henvist av hudlege under diagnosen urticaria pigmentosa. I ca. ti år hadde han hatt et kløende utslett på truncus og tendens til flushing og diaré (fig 2). I hudbiopsi var det mastcelleinfiltrater i dermis. Ved klinisk undersøkelse fant man et makulopapuløst utslett på store deler av truncus og ekstremiteter, forenlig med urticaria pigmentosa. Supplerende prøver viste normal hematologisk blodstatus i perifert blod og beinmarg. Det var ingen hepato- eller splenomegali. I døgnurin til undersøkelse for histaminmetabolitten 1-methylimidazolacetatsyre (U-MeImAA) var det klart forhøyet nivå med 12,8 mmol/mol kreatinin (referanseverdi 0,4 – 2,4 mmol/mol kreatinin). Undersøkelsen ble utført ved Fysiologiska kliniken, Universitetssjukhuset i Linköping, Sverige. Beinmargsbiopsi viste middels cellerik hematopoese uten påviste patologiske forandringer. Paratrabekulært var det tette infiltrater av mastceller og en lett grad av fibrose, omgitt av eosinofile og små lymfoide celler. Diagnosen systemisk mastocytose (type 1B) ble stilt, og behandling med H1-blokker (Prometazin) og H2-blokker (Cimetidin) har hatt god effekt på pasientens kløe, men utslettet er fortsatt til stede. Pasienten følges med regelmessige kontroller med henblikk på utvikling av assosiert hematologisk sykdom.
Pasienten hadde typiske symptomer på systemisk mastcelledegranulering og histaminfrigjøring. De histologiske funn, hudforandringene og urinundersøkelsen gav diagnosen, og det var karakteristisk at sternalmargsaspirat var normalt, mens beinmargsbiopsi viste diagnostiske forandringer. Det lange tidsforløp illustrerer den relativt gode prognose ved langt de fleste tilfeller av systemisk mastocytose.
Diskusjon
Klassifikasjon av mastocytose
Ovenfor er beskrevet to ulike typer og forløpsformer for systemisk mastocytose. Som vist i tabell 2 klassifiseres mastocytose i fire typer (1, 5, 8): indolent mastocytose (type 1), mastocytose assosiert med hematologisk sykdom (type 2), mastocytose med lymfadenopati og eosinofili (aggressiv/malign mastocytose) (type 3) og mastcelleleukemi (type 4). Indolent mastocytose inndeles i kutan mastocytose og systemisk mastocytose med affeksjon av to eller flere organer. Type 2 – 4 er systemiske former. Systemisk mastocytose forekommer med og uten kutan mastocytose. Mastocytose assosiert med en hematologisk sykdom grupperes avhengig av den hematologiske sykdom.
Tabell
Klassifikasjon av mastocytose (1, 5, 8)
| 1 Indolent mastocytose |
|
| B Systemisk mastocytose med eller uten kutan mastocytose |
|
| 2 Mastocytose med en assosiert hematologisk sykdom eller sekundære hematologiske forandringer, med eller uten kutan mastocytose |
|
| 3 Mastocytose med lymfadenopati og eosinofili (aggressiv/malign mastocytose), med eller uten kutan mastocytose |
|
| 4Mastcelleleukemi (>10 % umodne mastceller i perifert blod) |
Forekomst
Det finnes ingen sikre tall for insidens og prevalens av mastocytose. Forekomsten av kutan mastocytose i dermatologiske klinikker er beregnet til ett tilfelle per 1 000 – 8 000 konsultasjoner. Der er ingen familiær opphopning eller kjønnsforskjell. Kutan mastocytose er langt hyppigst og utgjør 80 – 90 % av alle tilfeller av mastocytose. Systemisk mastocytose med urticaria pigmentosa utgjør 10 – 20 %, mens systemisk mastocytose uten urticaria pigmentosa og type 2 – 4 er forholdsvis sjeldne og utgjør få prosent (7).
Patogenese
Årsaken til proliferasjon og akkumulering av mastceller ved mastocytose er uavklart. Binding av mastcellespesifikk vekstfaktor til c-kit på overflaten av mastceller induserer proliferasjon. Dette er vist ved injeksjon i huden på dyr. Teoretisk kan proliferasjonen skyldes både økt mengde ligand (mastcellespesifikk vekstfaktor) eller endring av reseptor (c-kit). Mastcellespesifikk vekstfaktor produseres lokalt i huden av melanocytter og fibroblaster. I huden fra pasienter med kutan mastocytose har man funnet økt mengde fri mastcellespesifikk vekstfaktor (9). Membranbundet mastcellespesifikk vekstfaktor på overflaten av umodne mastceller er demonstrert hos en pasient med aggressiv systemisk mastocytose (10). Mutasjoner i c-kit kan være årsak til proliferasjon, uavhengig av mastcellespesifikk vekstfaktor. Punktmutasjonen Asp816Val er påvist hos fire pasienter med mastocytose og assosiert hematologisk sykdom (11). Denne mutasjonen, sammen med en annen mutasjon, Val560Gly, er tidligere funnet i den humane mastcelleleukemilinje HMC-1. Disse mutasjoner medfører en fosforylering og aktivering av c-kit og kan muligens forklare autonom proliferasjon av humane mastceller. c-kit betegnes også som et protoonkogen (12).
Kliniske manifestasjoner
Kutan mastocytose (type 1A). Dette er den hyppigste form for mastocytose. Det finnes fire typer av kutan mastocytose: urticaria pigmentosa, mastocytomer, diffus kutan mastocytose og teleangiectasia macularis eruptiva perstans. Urticaria pigmentosa er langt den hyppigste form for kutan mastocytose. Debut kan skje både i barndom og voksen alder. Mastocytomer og diffus kutan mastocytose sees bare hos barn, mens teleangiectasia macularis eruptiva perstans er en sjelden tilstand som kun sees hos voksne. Urticaria pigmentosa viser sig som ovale eller runde rødbrune makler eller papler. Det kan være fra få til flere tusen lesjoner. Lesjonene sees hyppigst på truncus, men ekstremiteter kan også være involvert (fig 2). Telangiektasier, petekkier og ekkymoser kan forekomme i lesjonene. Kløe og/eller rødme kan noen ganger fremkalles ved å gni eller klore på lesjonene. Dette kaldes Dariers tegn, og skyldes degranulering og frigjøring av mediatorsubstanser. I biopsier fra lesjonene finner man mastcelleakkumulering i den øvre retikulære del av dermis og i papillene, i et overveiende perivaskulært mønster. Noen ganger sees forandringer i hele dermis. I den basale delen av epidermis sees økt melanininnhold i keratinocyttene. Andelen av pasienter med urticaria pigmentosa som også har systemisk sykdom angis fra 10 % til 70 % (1, 7, 13).
Systemisk mastocytose (type 1B). Systemisk mastocytose er karakterisert ved en abnorm proliferasjon og akkumulering av mastceller i flere organer som beinmarg, hud, lever, milt, lymfeknuter og gastrointestinaltractus. I tillegg sees karakteristiske forandringer i perifert blod. Det er overveiende voksne som får systemisk mastocytose. Symptombildet ved systemisk mastocytose er avhengig av utbredelse og involverte organer. Omtrent halvdelen har allmennsymptomer i form av feber, vekttap, tretthet og svette. Andelen av pasienter med hudsymptomer (urticaria pigmentosa) varierer fra 50 % til 90 % i forskjellige studier. Ca. 60 % har symptomer på grunn av systemisk mastcelledegranulering og frigjøring av mediatorsubstanser, som viser seg som anfallsvise symptomer av ca. 15 til 30 minutters varighet. Degranuleringen av mastcellene er enten spontan eller utløst av for eksempel varme, anstrengelse, følelsesmessig opphisselse eller inntak av alkohol eller medikamenter (acetylsalisylsyre og opiater). De hyppigste symptomer er abdominalsmerter, dyspné, diaré, kvalme, oppkast, rødme, synkope, anafylaktiske episoder og hypotensjon (1, 7, 13).
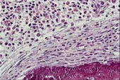
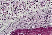
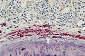
Ved beinaffeksjon utvikler 60 – 70 % radiologisk påvisbare lesjoner. Skjelettforandringene kan være forårsaket av mediatorsubstanser (13). Beinmargen er det hyppigst affiserte organ, bortsett fra hud. Det sees to forskjellige former av mastcelleinfiltrasjon: fokale mastcelleaggregater eller mer diffust utbredte mastcelleinfiltrater, ofte med økt granulopoese og eventuelt andre hematologiske forandringer. De fokale mastcelleaggregatene finnes ofte paratrabekulært med fibrose og eosinofile celler (fig 1a). Mastcellene er som regel atypiske, spolformede og fibroblastliknende, med få og små granulae (14, 15). Fibrosen kan være årsak til tørt aspirat. I perifert blod påvises ofte anemi, 30 % har leukocytose, 25 % trombocytopeni, 25 % eosinofili og 15 % har leukopeni og nøytropeni (15, 16). Eosinofili skyldes sannsynligens produksjon av interleukin 3 og 5 og granulocytt-makrofag-kolonistimulerende faktor i mastcellene (17). Perifer lymfeknutesvulst forekommer hos 25 % og sentral lymfeknutesvulst hos 20 % (15). I leveren sees mastcelleinfiltrater overveiende i portalfeltene (18) (fig 1c). Splenomegali finnes hos 50 – 70 % (17, 19). 35 – 80 % har abdominalsmerter. Hypersekresjon av syre pga. histaminfrigjøring kan gi dyspepsi og smerter i øvre abdominalhalvdel. Smerter i nedre abdominalhalvdel uten symptomlindring av H2-blokker kan kanskje skyldes ødem eller urticaria i gastrointestinaltractus. Diaré sees hyppig, mens malabsorpsjon er sjeldent. Ved malabsorpsjon er det mastcelleinfiltrasjon i lamina propria i tynntarmen (13, 19, 20).
Mastocytose assosiert med hematologisk sykdom (type 2). Bare få prosent av pasienter med systemisk mastocytose har eller utvikler en assosiert hematologisk sykdom med myeloproliferative eller myelodysplastiske forandringer (1, 8, 21). Akutte myelogene leukemier, non-Hodgkins lymfomer og sekundær kronisk nøytropeni sees sjeldnere. Ett enkelt tilfelle av systemisk mastocytose assosiert med hårcelleleukemi er beskrevet (22).
Mastocytose med lymfadenopati og eosinofili, aggressiv/malign systemisk mastocytose (type 3). Dette er en aggressiv og fatal form, med eosinofili i perifert blod og lymfeknutesvulst. I beinmarg og parenkymatøse organer er det rask proliferasjon av mastceller. Hudsymptomer kan i tillegg være til stede (1, 5). Umodne mastceller kan sees i perifert blod. Aggressiv mastocytose og mastcelleleukemi er antakelig samme sykdomsenhet (23).
Mastcelleleukemi (type 4). Dette er en meget sjelden form, med fatalt forløp. Beinmargen er diffust infiltrert av atypiske mastceller med hypoplasi av hematopoesen, og umodne mastceller sees i perifert blod. Lymfeknutesvulst, hepato- og splenomegali er til stede. For å stille diagnosen mastcelleleukemi har man satt en arbitrær grense på mer enn 10 % umodne mastceller i perifert blod (23, 24).
Diagnose
Diagnosen mastocytose stilles først og fremst på grunnlag av histologiske funn i biopsier fra hud og beinmarg, sammen med sykehistorie og kliniske funn. Leverbiopsi og måling av histaminmetabolitter i urin kan være til hjelp. Beinmargsaspirat er som oftest normalt (pasient 2), og inneholder få og normale mastceller. Beinmargsbiopsi er derfor sentralt i diagnostikken av systemisk mastocytose, spesielt når det ikke er hudsymptomer eller objektive funn til stede. Når det gjelder biopsier, er fargemetoden viktig for å påvise mastceller. Farging for tryptase i sekretoriske granulae som er spesifikke for mastceller, er den viktigste (fig 1b). Ved farging med giemsa og toluidinblått kan man demonstrere de metakromatiske mastceller (fig 1c), men basofile leukocytter kan også utvise metakromasi. Da kan immunhistokjemi med monoklonale antistoffer være avklarende. c-kit (CD117) er spesifikk for mastceller, mens laktosylceramid (CDw17) og α -reseptor for interleukin 3 (CD123) er spesifikk for basofile leukocytter (5).
Man bør tenke på mastocytose ved eosinofili og uavklarte gastrointestinalsymptomer. Det er ikke hensiktsmessig å måle histamin i serum, da dette også frigjøres fra basofile leukocytter. Måling av tryptase i serum er en god markør for mastcelleaktivering. Hos pasienter med systemisk mastocytose er det funnet en lineær korrelasjon mellom tryptase- og histaminnivå i serum. Histamin og histaminmetabolitter kan måles i døgnurin. Visse bakterier kan dekarboksylere histidin til histamin. Det er derfor best å måle histaminmetabolittene methylhistamin og methyl-imidazole-acetatsyre (13, 15, 25, 26).
Behandling
Behandlingen av mastocytose må skreddersys for den enkelte pasient. Mange kan klare seg uten. Det er viktig at pasienter med tendens til anafylaksi og symptomer på histaminfrigjøring unngår triggersubstanser og utstyres med adrenalinsprøyte til subkutant bruk. H1- og H2-reseptorantagonister har dokumentert effekt på kløe, rødme, takykardi, gastritt og ulcussymptomer. De har ingen effekt på diaré, og antikolinergika kan være indisert. Natriumkromoglikater, som virker mastcellestabiliserende, kan være indisert ved refraktære gastrointestinalsymptomer (7, 13, 27). Psoralener med langbølget ultrafiolett bestråling kan være indisert ved refraktære hudsymptomer. Steroider har vist seg effektive i behandlingen av malabsorpsjon hos pasienter med systemisk mastocytose. Effektiv behandling av mastcelleleukemi eller mastocytose med lymfadenopati og eosinofili (aggressiv mastocytose) er ikke dokumentert. På grunn av den nære sammenheng mellom kronisk myelogen leukemi og systemisk mastocytose har interferon alfa-2b vært forsøkt i behandlingen av aggressiv mastocytose, men resultatene har så langt vært divergerende (28 – 30).
Forløp og prognose
De fleste tilfeller av kutan mastocytose og urticaria pigmentosa (type 1A) er godartede, og hos barn kan symptomene gå tilbake i ungdomsårene. Hos voksne med kutan mastocytose er sykdommen oftest kronisk og kan hos en del gå over i en systemisk mastocytose (type 1B). De fleste tilfeller av systemisk mastocytose er forholdsvis godartede (1, 13). I en nederlandsk retrospektiv langtidsoppfølgingsstudie av 16 pasienter med systemisk mastocytose, hvor blant annet symptomer, objektive funn og utskilling av histaminmetabolitter i urinen ble evaluert, var konklusjonen at systemisk mastocytose ikke alltid er progredierende. Spesielt hos eldre kan sykdomsaktiviteten avta med tiden (31). Allmennsymptomer, fravær av hudsymptomer, anemi, trombocytopeni, abnorme leverprøver, lobulerte mastcellekjerner og nedsatt andel fettceller i beinmargen gir dårlig prognose (32). Prognosen hos pasienter med en assosiert hematologisk sykdom (type 2) avhenger av den hematologiske sykdom (1, 13). Aggressiv symptomatisk behandling (histaminantagonister) av pasienter med mastocytose og lymfadenopati og eosinofili (type 3) forbedrer symptomerne, men øker ikke overlevelsen. Forventet levetid er på to til fire år, men dokumentasjonen er sparsom (1, 13). Pasienter med mastcelleleukemi (type 4) har svært dårlig prognose og lever sjelden lenger enn seks måneder. Cellegiftbehandling har ingen effekt (23, 24).
Konklusjon
Selv om mastocytose er en sjelden tilstand, bør klinikerne tenke på diagnosen hos pasienter med anfallsvis opptredende symptomer som rødme, synkope og anafylaksi. Mastocytose er en differensialdiagnose til karsinoid syndrom. Ved uavklart diaré og eosinofili bør man også tenke på mastocytose. Ved manglende hudsymptomer er beinmargsbiopsi viktig. For enkelte typer finnes det god symptomatisk behandling, og prognosen er da god.
g portalfelter), milt og nyrer. I portalfeltene så man i tillegg infiltrater med atypiske mastceller (fig 1c). Pasienten hadde en systemisk mastocytose assosiert med myelodysplastiske forandringer (type 2), og døde under et bilde av en myeloproliferativ lidelse. Sykehistorien viser at systemisk mastocytose kan ha et raskt og dødelig forløp.
- 1.
Golkar L, Bernhard JD. Mastocytosis. Lancet 1997; 349: 1379 – 85.
- 2.
Longley J. Is mastocytosis a mast cell neoplasia or a reactive hyperplasia? Clues from the study of mast cell growth factor. Ann Med 1994; 26: 115 – 6.
- 3.
Kirshenbaum AS, Kessler SW, Goff JD, Metcalfe DD. Demonstration of the origin of human mast cells from CD34+ bone marrow progenitor cells. J Immunol 1991; 146: 1410 – 5.
- 4.
Födinger M, Mannhalter C. Molecular genetics and development of mast cells: implications for molecular medicine. Mole Med Today 1997; 3: 131 – 7.
- 5.
Bain BJ. Systemic mastocytosis and other mast cell neoplasms. Br J Haematol 1999; 106: 9 – 17.
- 6.
Rottem M, Okada T, Goff JP, Metcalfe DD. Mast cells cultured from the peripheral blood of normal donors and patients with mastocytosis originate from a CD34+/Fc ε RI+ cell population. Blood 1994; 84: 2489 – 96.
- 7.
Longley J, Duffy TP, Kohn S. The mast cell and mast cell disease. J Am Acad Dermatol 1995; 32: 545 – 61.
- 8.
Metcalfe DD. Classification and diagnosis of mastocytosis: current status. J Invest Dermatol 1991; 96: 2 – 4.
- 9.
Longley BJ jr., Morganroth GS, Tyrrell L, Ding TG, Anderson DM, Williams DE et al. Altered metabolism of mast-cell growth factor (c-kit) in cutaneous mastocytosis. N Engl J Med 1993; 328: 1302 – 7.
- 10.
Castells MC, Friend DS, Bunnell CA, Hu X, Kraus M, Osteen RT et al. The presence of membrane-bound stem cell factor on highly immature nonmetachromatic mast cells in the peripheral blood of a patient with aggressive mastocytosis. J Allergy Clin Immunol 1996; 98: 831 – 40.
- 11.
Nagata H, Okada T, Worobec AS, Semere T, Metcalfe DD. c-kit mutation in a population of patients with mastocytosis. Int Arch Allergy Immunol 1997; 113: 184 – 6.
- 12.
Furitsu T, Tsujimura T, Tono T, Ikeda H, Kitayama H, Koshimizu U et al. Identification of mutations in the coding sequence of the proto-oncogene c-kit in a human mast cell leukemia line causing ligand independent activation of c-kit product. J Clin Invest 1993; 92: 1736 – 44.
- 13.
Gruchalla RS. Southwestern internal medicine conference. Mastocytosis: developments during the past decade. Am J Med Sci 1995; 309: 328 – 38.
- 14.
Horny HP, Parwaresch MR, Lennert K. Bone marrow findings in systemic masocytosis. Hum Pathol 1985; 16: 808 – 14.
- 15.
Webb TA, Chin-Yang L, Yam LT. Systemic mast cell disease: a clinical and hematopathological study of 26 cases. Cancer 1982; 49: 927 – 38.
- 16.
Lawrence JB, Travis WD, Metcalfe DD. Hematologic manifestations of systemic mast cell disease: a prospective study of laboratory and morphologic features and their relation to prognosis. Am J Med 1991; 91: 612 – 24.
- 17.
Rothenberg ME. Eosinophilia. N Engl J Med 1998; 338: 1592 – 600.
- 18.
Horny HP, Kaiserling E, Campbell M, Parwaresch MR, Lennert K. Liver findings in generalized mastocytosis. A clinicopathologic study. Cancer 1989; 63: 532 – 8.
- 19.
Cherner JA, Jensen RT, Dubois A, ODorisio TM, Gardner JD, Metcalfe DD. Gastrointastinal dysfunction in systemic mastocytosis. A prospective study. Gastroenterology 1988; 95: 657 – 67.
- 20.
Reherman B, Breuer N, Goebell H. Gastroenterologic manifestations of mastocytosis. Z Gastroenterol 1994; 32: 408 – 11.
- 21.
Travis WD, Li C-Y, Yam LT, Bergstrahl EJ, Swee RG. Significance of systemic mast cell disease with associated hematological disordes. Cancer 1988; 62: 965 – 72.
- 22.
Petrella T, Depret O, Arnould L, Maynadie M, Guy H, Dalac S et al. Systemic mast cel disease associated with hairy cell leukemia. Leuk Lymphoma 1997; 25: 593 – 5.
- 23.
Torrey E, Simpson K, Wilbur S, Munoz P, Skikne B. Malignant mastocytosis with circulating mast cells. Am J Hematol 1990; 34: 283 – 6.
- 24.
Travis WD, Li C-Y, Hogaland HC, Travis LB, Banks PM. Mast cell leukaemia: report of a case and a review of the literature. Mayo Clin Proc 1986; 61: 957 – 66.
- 25.
Schwartz LB, Metcalfe DD, Miller JS, Earl H, Sullivan T. Tryptase levels as an indicator of mast-cell activation in systemic anaphylaxis and mastocytosis. N Engl J Med 1987; 316: 1622 – 6.
- 26.
Keyzer JJ, de Monchy JGR, van Doormaal JJ, van Voorst Vader PC. Improved diagnosis of mastocytosis by measurement of urinary histamine metabolites. N Engl J Med 1983; 309: 1603 – 5.
- 27.
Soter NA, Austen KF, Wasserman SI. Oral disodium cromoglycate in the treatment of systemic mastocytosis. N Engl J Med 1979; 301: 465 – 9.
- 28.
Hübner C, Wedding U, Sträter J, Limberg B, Stremmel W. Clinical stable systemic mastocytosis with interferon alpha-2b therapy. J Intern Med 1997; 241: 529 – 33.
- 29.
Kluin-Nelemans HC, Jansen JH, Breukelman H, Wolthers BG, Kluin PM, Kroon HM et al. Response to interferon alfa-2b in a patient with systemic mastocytosis. N Engl J Med 1992; 326: 619 – 23.
- 30.
Worobec AS, Kirshenbaum AS, Schwartz LB, Metcalfe DD. Treatment of three patients with systemic mastocytosis with interferon alpha-2b. Leuk Lymphoma 1996; 22: 501 – 8.
- 31.
Kors JW, van Doormaal JJ, Breukelman H, van Voorst Vader PC, de Monchy JGR. Long-term follow-up of indolent mastocytosis in adults. J Intern Med 1996; 239: 157 – 64.
- 32.
Travis WD, Li C-Y, Yam LT. Systemic mast cell disease: analysis of 58 cases and a literature review. Medicine 1988; 67: 345 – 68.