Naturlige drepeceller – viktig immunologisk førstelinjeforsvar

    ()

    sporsmal_grey_rgb
    Abstract

    I denne oversiktsartikkelen beskrives en tredje lymfocyttgruppe kalt ”natural killer cells” (NK-celler) eller naturlige drepeceller på norsk. Disse ble ”oppdaget” midt i 1970-årene og finnes sirkulerende i blodet, men er også til stede i flere lymfoide og ikke-lymfoide organer. De skiller seg klart fra T- og B-celler i overflatemarkører, funksjon, sirkulasjonsmønster og i de reseptorene de benytter for å gjenkjenne fremmede molekyler. Morfologisk er de store lymfocytter med granula i cytoplasma. Cellene kan raskt gjenkjenne og drepe visse typer tumorceller og virusinfiserte celler in vitro, men det var lenge uvisst om dette avspeilte viktige fysiologiske funksjoner hos disse cellene. Med moderne molekylærbiologiske teknikker har det lyktes å identifisere en rekke nye reseptorsystemer som er til stede på naturlige drepeceller. Noen av disse reseptorene gjenkjenner vevsforlikelighetsantigener (MHC-molekyler). Dette er en viktig mekanisme som gjør naturlige drepeceller i stand til å skjelne mellom normale celler og virusinfiserte eller neoplastiske celler. Med utgangspunkt i en pasient med en selektiv defekt i naturlige drepeceller blir det presentert holdepunkter for at disse cellene representerer et av våre viktigste immunologiske forsvarsverker tidlig i forløpet av visse virusinfeksjoner (spesielt herpesvirus). Men disse cellene har også reseptorer som gjenkjenner antigener på tumorceller, og de kan derfor være et vesentlig førstelinjeforsvar mot neoplastiske celler.

    Abstract

    Natural Killer (NK) cells are a group of lymphocytes with a characteristic morphology and function. They are abundant in blood, spleen, liver and lungs. They are distinct from both T and B lymphocytes in their circulation patterns, profile of surface antigens, receptor repertoire and the way they discriminate between self and nonself. This latter NK function can partly be explained by an array of recently characterised NK receptors that can recognise and accurately discriminate between normal and altered MHC class I determinants. The basis for this discrimination is different from that of T cells and is discussed in this article. The role of NK cells in antimicrobial defense is well demonstrated, particularly that against viruses belonging to the herpesvirus group. A case report of a patient with a selective defect in NK cells and with recurrent viral infections is described. The role of NK cells in defense against malignant cells is more circumstantial, but NK cells do possess receptors which recognise tumour cells and kill them efficiently in vitro . A receptor which can recognise determinants unique for cancer cells has recently been described.

    Artikkel

    Vårt immunforsvar har tradisjonelt vært inndelt i to deler: Det cellulære immunforsvaret, representert ved T-cellene, og det humorale immunforsvaret, representert ved B-cellene og deres produkt immunglobulinene. De senere års forskning har avdekket nye trekk ved immunsystemet som viser at også andre leukocytter utviser immunologisk spesifisitet.

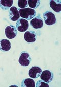
    Blant våre lymfocytter har vi en tredje celletype, kalt naturlige drepeceller (eng.: ”natural killer cells” eller NK-cells). Dette er store lymfocytter med nyreformet kjerne og store granula i cytoplasma (fig 1). De finnes sirkulerende i blodet, men er også til stede i flere lymfatiske og ikke-lymfatiske organer slik som milten, leveren og lungene (1). Cellene likner monocyttene noe av utseende, men er ikke nær beslektet med disse. De utvikler seg fra en egen forløper i beinmargen, og har flere spesialiserte funksjoner som er særegne for dem. I dag defineres naturlige drepeceller som lymfocytter som mangler den universelle T-cellemarkøren CD3 (som er knyttet til ekspresjon av T-cellereseptorer eller TCR), men som uttrykker membranmolekyler som blant lymfocyttene hovedsakelig er til stede på naturlige drepeceller. Hos menneske er dette CD56 (NCAM), hos mus og rotter lektinreseptoren CD161 (NKR-P1) (fig 2).

    Naturlige drepeceller kan, slik som cytotoksiske T-celler, drepe målceller ved direkte cellekontakt, men de kan ikke, slik som makrofager, fagocyttere andre celler. De viser visse likhetstrekk med T-lymfocytter, særlig de cytotoksiske T-cellene (CTL), ved at de benytter samme drapsmekanismer overfor fremmede celler (tab 1), og de har også noen celleoverflatemarkører til felles med cytotoksiske T-lymfocytter slik som CD2, CD8 og CD43. Imidlertid uttrykker naturlige drepeceller ingen av de reseptorene som T-celler normalt bruker for å gjenkjenne fremmede celler (TCR).

    Tabell

    Tabell 1 Naturlige drepecellers funksjoner

    • Drepe målceller ved direkte cellekontakt, formidlet av NK-reseptorer

      • Perforinindusert drap

      • Induksjon av apoptose i målceller, for eksempel ved FASL/FAS-interaksjon, TRAIL, TNF-ligand

    • Utskille cytokiner, f.eks.:

      • Interferon-gamma (IFN γ )

      • Tumornekrosefaktor-alfa (TNF α )

      • Kolonistimulerende faktorer (GM-CSF etc.)

      • Interleukiner

    Naturlige drepeceller er også effektorceller i antistoffavhengig cellulær cytotoksisitet (ADCC)

    Naturlige drepeceller gjenkjenner likevel fremmede celler med høy grad av spesifisitet. De kan – som T-cellene – spesifikt gjenkjenne visse typer vevsforlikelighetsantigener (major histocompatibility complex eller MHC-antigener, hos menneske HLA) på målceller, og er derfor celler som viser immunologisk spesifisitet. Først i de siste årene har man identifisert de reseptorene som naturlige drepeceller benytter for å gjenkjenne MHC-antigener og som derfor langt på vei kan forklare de naturlige drepecellenes evne til å identifisere og drepe en målcelle som har endret sin ekspresjon av MHC-antigener.

    Hensikten med denne artikkelen er å gi en oversikt over naturlige drepecellers biologi og immunologiske funksjoner og å prøve å knytte dette til kliniske tilstander hvor disse cellene spiller en sentral rolle. For å belyse dette vil vi først beskrive en pasient som led av alvorlige residiverende virusinfeksjoner, og som viste seg å ha en selektiv defekt i sine naturlige drepeceller.

    Pasienten

    Pasienten

    I 1989 ble det i tidsskriftet New England Journal of Medicine rapportert et sykdomstilfelle – en ung jente som hadde symptomer på immunsvikt. Hun hadde i løpet av barneårene hatt flere infeksjoner med virus innen herpesfamilien (varicella, cytomegalovirus, herpes simplex). Disse infeksjonene hadde hatt et mye alvorligere forløp enn normalt, med flere livstruende komplikasjoner. Blant annet hadde hun hatt sekundære bakterielle infeksjoner som hadde krevd hospitalisering og intensivbehandling, og hun måtte også få antiviral terapi. Hun var imidlertid kommet seg igjen av alle disse sykdommene og ble til slutt asymptomatisk. Det var ingen andre i familien med tilsvarende tegn til immunsvikt (2). Imidlertid kunne det ikke påvises noen grunnleggende defekt i hennes T- og B-lymfocytter. Hun hadde normalt antall CD4 (hjelpe-)- og CD8 (cytotoksiske)-T-lymfocytter, normalt antall B-lymfocytter og også normalt nivå av immunglobuliner av alle klasser i blodet. Både T- og B-cellene viste normal respons på mitogener og antigener (2). Altså var det ingen svikt i den delen av immunsystemet som vi kaller for det adaptive immunforsvaret. Hva kunne årsaken til hennes immunsvikt da være?

    Naturlige drepeceller (NK-celler)

    Naturlige drepeceller (NK-celler)

    I slutten av 1970-årene var det beskrevet en ny type lymfocytter som spontant kunne gjenkjenne og drepe visse typer kreftceller i reagensglasset (3). Disse ble kalt naturlige drepeceller eller NK-celler (4). Naturlige drepeceller utgjør 5 – 10 % av lymfocyttene i blodet (5, 6). At disse cellene også er viktige i forsvaret mot visse virusinfeksjoner, er vist i dyreeksperimentelle modeller. F.eks. er mus med manglende T- og B-cellefunksjon, men med normale naturlige drepeceller (severe combined immunodeficiency eller SCID-mus) relativt resistente mot infeksjoner med flere typer virus, f.eks. cytomegalovirus (CMV) (7). Hvis man fjerner NK-cellene fra disse musene med antistoffer mot naturlige drepeceller, får infeksjonen et mye alvorligere forløp, ofte med dødelig utgang (8).

    I dag beskrives naturlige drepeceller som den tredje lymfocyttgruppen i lærebøkene. Likevel møtte NK-konseptet først mye motstand blant vitenskapsmenn. For det første fantes det ikke markører som var helt spesifikke for naturlige drepeceller. Mange av NK-markørene var også til stede på undergrupper av T-celler, og det ble hevdet at naturlige drepeceller bare var en slags aberrant T-celle. Videre var det inntil slutten av 1980-årene ikke påvist noen reseptorer unike for naturlige drepeceller som kunne forklare hvordan disse cellene spesifikt kunne gjenkjenne virusinfiserte celler eller kreftceller. Hvis naturlige drepeceller i det hele tatt eksisterte, måtte deres gjenkjennelsesmekanismer for fremmede celler være relativt uspesifikke og primitive.

    I dag er dette bildet totalt forandret. Naturlige drepeceller kan identifiseres som en egen gruppe av lymfocytter, både morfologisk (fig 1) og på grunnlag av overflatemarkørene (CD56+/CD3 − -lymfocytter hos mennneske). De har også et sirkulasjonsmønster og en livslengde som er klart forskjellig fra T- og B-celler. Således er de relativt kortlivet (bare 1 – 2 uker i blodet og i vevene, mens hukommelses-T-celler kan leve i måneder eller år uten å dele seg eller dø). Videre resirkulerer de ikke mellom blod og lymfe slik som T- og B-celler gjør (1, 9). De har noe slektskap med T-celler i ontogenesen, men de benytter ingen av T-cellereseptorene for å gjenkjenne fremmede celler (10, 11). De er derfor sentrale celler i den delen av vårt immunforsvar som kalles for det ikke-adaptive eller ”naturlige” immunforsvaret.

    De mekanismene naturlige drepeceller benytter for å tilintetgjøre en ”fremmed” celle, er mangfoldige. De kan uttrykke flere medlemmer av den såkalte TNF-familien, enten i cellemembranen (for eksempel FasL) eller i løselig form (for eksempel TRAIL, TNF-related apoptosis-inducing ligand). Disse utgjør et arsenal av reseptorer som kan binde seg til ligander på for eksempel tumormålceller og indusere apoptose i disse (12). Eksempelvis kan målceller tilintetgjøres ved at FasL (CD95L) i cellemembranen på naturlige drepeceller interagerer med målcellens Fas (CD95). Naturlige drepeceller inneholder også cytotoksiske granula, og kan drepe en målcelle ved hjelp av de perforiner og granzymer disse granula inneholder. Selv om direkte drap av en målcelle er en sentral effektormekanisme for naturlige drepeceller, skiller disse cellene også ut cytokiner (for eksempel interferon-gamma), som både kan ha direkte antimikrobiell effekt eller regulerer aktiviteten i andre immunceller. Naturlige drepeceller er derfor også viktige immunregulatoriske celler. I tabell 1 er det listet opp noen av de viktige funksjonene til naturlige drepeceller samt noen av de cytokinene de produserer.

    NK-cellenes reseptorer

    NK-cellenes reseptorer

    Naturlige drepeceller kan altså gjenkjenne fremmede celler uten å benytte T-cellereseptorer (TCR) eller immunglobulin (Ig), som er de reseptorene som er ansvarlige for immunologisk spesifisitet innen det adaptive immunforsvaret. Hvilke typer reseptorer benytter de så? De siste års molekylærbiologisk forskning har avdekket helt nye reseptorsystemer knyttet til naturlige drepeceller, som i alle fall delvis kan forklare at også disse cellene utviser immunologisk spesifisitet og derfor kan skille mellom fremmede eller ”syke” celler og normale egne celler. Det særegne er at mange av dem gjenkjenner visse MHC-molekyler. Vi deler disse NK-reseptorene inn i to hovedgrupper: lektinreseptorer og reseptorer som tilhører immunglobulingensuperfamilien. Noen representative reseptorer på naturlige drepeceller er vist i figur 2.

    For å forstå det som er spesielt for gjenkjennelsesprinsippene hos naturlige drepeceller, er det nyttig først å skjele litt til T-cellenes strategier for å skille mellom eget og fremmed. T-cellenes reseptorer er utviklet for å gjenkjenne vevsantigener kodet fra MHC-regionen. Disse deles i to klasser: MHC-I og MHC-II. MHC-molekylene er konstruert slik at de kan presentere bestemte peptidfragementer på celleoverflaten. MHC-I-molekylene presenterer vanligvis peptidfragmenter fra proteiner som stammer fra cellens cytoplasma. MHC-II-molekylene, derimot, presenterer peptider som celler spesialisert for antigenpresentasjon har fanget opp fra omgivelsene ved endocyttose. En celle som ikke har vært utsatt for noen påvirkning utenfra, f.eks. ved infeksjon, vil normalt presentere peptidfragementer av kroppens egne proteiner på sine MHC-molekyler. Ved infeksjoner og ved malign transformasjon vil noen celler begynne å presentere peptidfragmenter fra patogener eller onkopeptider. Dette vil gi disse cellene en merkelapp som gjør dem ”fremmede” for T-cellene, slik at de kan gjenkjenne dem med sine T-cellereseptorer og sette i gang en immunreaksjon mot dem.

    T-cellene undergår en seleksjon i thymus, slik at celler som uttrykker en reseptor som reagerer kraftig med MHC-molekyler som presenterer ”selv”-peptider, blir eliminert eller blokkert. Man regner med at dette er en viktig mekanisme for å sikre mot at T-celler som kan reagere kraftig med kroppens egne celler, skal kunne modnes. Konsekvensen blir at modne T-celler som forlater thymus, har utviklet et mangfold av reseptorer som kan gjenkjenne et utall av fremmede peptider presentert av MHC-I og MHC-II, mens de er tolerante mot egne MHC-I- og MHC-II-molekyler som presenterer ”selv”-peptider.

    MHC-I- molekyler uttrykkes på praktisk talt alle kroppens celler (normalt ikke på erytrocytter og nevroner), og gjenkjennes spesielt av den undergruppen av T-celler som kalles cytotoksiske T-celler (CTL). En virusinfisert celle vil etter hvert akkumulere virusproteiner i sitt cytoplasma. Disse vil her bli nedbrutt av bestemte proteolytiske enzymer (proteasomer), og peptidfragmenter vil så bli fraktet til det endoplasmatiske retikulum. I det endoplasmatiske retikulum vil disse peptidfragmentene kunne binde seg til MHC-I molekyler og bli fraktet til celleoverflaten. Slike viruspeptider vil derfor konkurrere med ”selv”-peptidene om binding til MHC-I. En viss andel av MHC-I-molekylene til en virusinfisert celle vil derfor etter hvert komme til å presentere viruspeptider på sine MHC-molekyler. Disse cellene kan gjenkjennes som fremmede av cytotoksiske T-lymfocytter via deres T-cellereseptor og drepes (fig 3).

    Naturlige drepeceller kan også gjenkjenne MHC-I-molekyler, men etter andre prinsipper enn T-cellene. En sentral mekanisme her er å gjenkjenne egne MHC-I-molekyler som presenterer egne peptider. Videre fører denne gjenkjennelsen oftest til at naturlige drepeceller hemmes heller enn aktiveres (fig 3).

    Dette forutsetter at de også har reseptorer som kan gjenkjenne andre overflatemolekyler på målcellen og bli aktivert av disse (fig 3). Hvilke reseptorer har naturlige drepeceller som gjør at de kan gjenkjenne en celle som fremmed og gå til angrep på den? Her er våre kunnskaper ennå svært ufullstendige, men det er holdepunkter for at både relativt uspesifikke reseptorligandinteraksjoner (for eksempel adhesjonsmolekyler), men også mer spesifikke interaksjoner mellom NK-reseptorer og MHC-molekyler på målceller er viktige for å aktivere naturlige drepeceller, som beskrevet nedenfor.

    Hvilke MHC-antigener er i stand til å aktivere naturlige drepeceller? Igjen er bildet komplisert, slik at både mer tradisjonelle MHC-I-molekyler, f.eks. noen av dem som gjenkjennes av cytotoksiske T-lymfocytter (hos menneske spesielt HLA-C og -B), men også andre MHC-I-molekyler med hittil ukjent funksjon (f.eks. HLA-E) kan være viktige. Nylig er det i tidsskriftet Science beskrevet et MHC-liknende molekyl (MICA) som ikke er til stede på normale celler, men som kommer til uttrykk på noen typer kreftceller (13). Dette MHC-molekylet gjenkjennes av en NK-reseptor kalt NKG2D. Den tilhører gruppen av lektinreseptorer (fig 2). Vi har altså her å gjøre med en enkelt reseptor som kan skjelne mellom normale celler og kreftceller ved uttrykk av overflatemolekylet MICA.

    Gjenkjennelse av virusinfiserte celler og tumorceller

    Gjenkjennelse av virusinfiserte celler og tumorceller

    Visse virus har den egenskapen at de hemmer cellens ekspresjon av MHC-I-molekyler. Dette er en elegant strategi disse virus benytter for å unngå gjenkjennelse av cytotoksiske T-celler. Noen tumorceller synes også å benytte samme strategi. Nedregulering av MHC-I-ekspresjon fører imidlertid til at målcellen nå blir mer følsom for naturlige drepeceller, fordi færre av de inhibitoriske reseptorene for MHC-I blir stimulert. Når man kommer til et punkt hvor de aktiverende signalene blir sterkere enn de inhibitoriske, destruerer naturlige drepeceller målcellen (fig 3). Denne mekanismen danner grunnlaget for ”missing self”-hypotesen, formulert av Klas Kärre (14, 15). En konsekvens av denne hypotesen er at T-celler og naturlige drepeceller kan komplementere hverandre i forsvaret mot celler som viser endret MHC-ekspresjon på grunn av virusinfeksjon eller malign transformasjon. Cytotoksiske T-celler gjenkjenner celler hvor MHC-I-molekylene er endret, mens naturlige drepeceller gjenkjenner celler hvor virus har nedregulert eller forandret MHC-I-molekylet slik at cellen ikke lenger kan gjenkjennes av cytotoksiske T-celler.

    Noen virus, slik som cytomegalovirus, har imidlertid utviklet en annen strategi: De koder for membranproteiner som minner så mye om MHC-I at de stimulerer drepecellenes inhibitoriske reseptorer for MHC-I og dermed inaktiverer dem. Samtidig er disse viruskodede molekylene i cellemembranen så forskjellige fra MHC-I med bundet peptid at de ikke gjenkjennes av T-cellene (16, 17).

    Dette viser viktige trekk i dynamikken i interaksjonen mellom virus og vertens immunforsvar. For å overleve i en vert som kan spille på så varierte immunologiske mekanismer som å gjenkjenne celler som presenterer peptidfragmenter av virusproteiner på MHC-I-molekyler eller å registrere nivået av MHC-I -molekyler på celleoverflaten (fig 3), må virus ”pønske ut” stadig nye og mer raffinerte overlevelsesstrategier. Noe av den samme strategien naturlige drepeceller benytter for å gjenkjenne virusinfiserte celler med endret eller nedregulert MHC-I, gjør seg også gjeldende for gjenkjennelse av tumorceller.

    Selv om ”missing self”-hypotesen har vært fruktbar og har gitt det teoretiske grunnlaget for søken etter nye inhibitoriske reseptorer for ”selv”-MHC-molekyler, er det fortsatt mange uløste spørsmål vedrørende naturlige drepecellers gjenkjennelsesstrategier. Hvilke reseptorer aktiverer drepecellene, og hva er det de gjenkjenner på målcellene? ”Missing self”-modellen forutsetter at dette signalet er uspesifikt, og gjerne kan være reseptorer som formidler f.eks. celleadhesjon. Den nye reseptoren på naturlige drepeceller (NKG2D) som gjenkjenner MICA, bringer inn et nytt aspekt. Den antyder at denne positive gjenkjennelsen i enkelte tilfeller kan være meget spesifikk for molekyler som kommer selektivt til uttrykk på ”syke” celler.

    Vi har i vår forskningsgruppe lenge hatt holdepunkter for å mene at noen NK-reseptorer aktivereres av MHC-I-molekyler som også er til stede på normale celler, men at de MHC-molekylene som gjenkjennes, ofte tilhører en annen gruppe enn de som gjenkjennes av cytotoksiske T-lymfocytter (18, 19) (såkalte ikke-klassiske MHC-I-molekyler). Denne hypotesen er nå understøttet ved molekylærbiologisk karakterisering av helt nye grupper av reseptorer som positivt gjenkjenner MHC-I-molekyler (20).

    Denne modellen introduserer nye ideer og konsepter, men også nye problemer å løse for å forstå naturlige drepecellers arbeidsstrategier: Hva er den biologiske funksjonen til reseptorer som både kan aktiveres og inhiberes av MHC-I-molekyler? Noe entydig svar finnes ikke ennå. Hvis reseptorene som aktiveres av MHC-I molekyler er utviklet for å gjenkjenne MHC-molekyler på egne celler endret på grunn av infeksjon eller malign transformasjon, har vi å gjøre med et ganske annerledes fintblinkende system av reseptorer for å skille mellom normale og ”syke” celler.

    Det vil føre for langt her å gå inn på detaljer vedrørende den molekylære strukturen til disse reseptorene. Mange er i dag molekylært klonet og deres DNA-sekvens er kjent. Av de reseptorene som gjenkjenner MHC-I-molekyler, er det noen enkelt- eller dobbeltkjedede membranmolekyler som tilhører immunglobulingensuperfamilien. Andre reseptorer tilhører en annen superfamilie av reseptorer (lektinreseptorer) og er dimerer bundet sammen med disulfidbroer. Innen begge familiene eksisterer både inhiberende og aktiverende former. Antallet ulike reseptorer i begge familier er allerede stort, og det identifiseres stadig nye medlemmer. Noen av disse reseptorene er skjematisk illustrert i figur 2. Parham har kommet med en oversikt over dette forskningsfeltet (20).

    Molekylært er begge grupper reseptorer fundamentalt forskjellige fra T-cellereseptorer. Den viktigste funksjonelle forskjellen mellom T-cellereseptorer og reseptorene på naturlige drepeceller er imidlertid at de siste ikke er klonalt fordelte, og at reseptormangfold genereres etter fundamentalt andre prinsipper enn for T-cellereseptorer.

    Kliniske implikasjoner

    Kliniske implikasjoner

    At naturlige drepeceller spesifikt kan gjenkjenne visse MHC-I-molekyler, er en ny og og uventet funksjon hos disse cellene. Dette betyr at celler som på grunn av virusinfeksjon eller malign transformasjon har nedregulert eller endret sin ekspresjon av MHC-I-molekyler, raskt kan gjenkjennes og drepes av naturlige drepeceller. Siden disse cellene kan identifisere og tilintetgjøre slike målceller mye raskere enn cytotoksiske T-lymfocytter, kan de være viktige i førstelinjeforsvaret mot både infiserte celler og kreftceller.

    Siden naturlige drepeceller gjenkjenner MHC-antigener spesifikt, er det rimelig å tro at disse cellene også er viktige i avstøtning av allotransplantater. Dette er klart vist for beinmargstransplantasjon, men nyere dyreeksperimentell forskning har også gitt holdepunkter for at naturlige drepeceller kan bidra til forkasting av organer, f.eks. allotransplantater av hjerte eller tarm (21 – 23). Naturlige drepecellers betydning ved human transplantasjon er mindre godt kartlagt, men de synes iallfall å være et viktig hinder ved xenotransplantasjon (24).

    Konklusjon

    Konklusjon

    Hvis vi igjen ser på vår immunsviktpasient, viste det seg at hun manglet akkurat naturlige drepeceller. Dette ble vist både ved at hun manglet disse lymfocyttene i blodet og at hennes lymfocytter ikke kunne drepe NK-følsomme tumorceller in vitro (2).

    Det er beskrevet svært få andre tilfeller av selektive defekter i naturlige drepeceller blant pasienter med immusvikt (13, 25). Dette kan ha flere årsaker. For det første er naturlige drepeceller relativt ”unge” celler i vitenskapen. De ble oppdaget for ca. 20 år siden, og det er først i løpet av det siste tiåret at vi har fått immunologiske diagnostiske tester som er rimelig spesifikke når det gjelder å gjenkjenne dem. Videre er det først i den senere tid at immunologer og klinikere er blitt oppmerksomme på deres sentrale rolle og derfor vil undersøke systematisk på svikt i denne delen av immunforsvaret ved mistanke om defekt. For det andre: Kanskje er naturlige drepeceller så viktige i vårt immunforsvar at pasienter med en slik defekt vil dø av akutte alvorlige infeksjoner før det er tid til en mer omfattende immunologisk utredning? At vår pasient overlevde de første infeksjonene, skyldtes kanskje tidlig tilgang på avansert intensivterapi og antiviral behandling. At hun også en periode ble symptomfri og heller ikke fikk reinfeksjon med samme virus, kan belyse et annet viktig poeng: Naturlige drepeceller er kanskje viktigst i førstelinjeforsvaret mot akutte infeksjoner. Greier kroppen seg gjennom denne fasen, vil etter hvert det adaptive immunforsvaret (T- og B-cellene) ta over. Med sine innebygde mekanismer for klonal ekspansjon av spesifikt antigenreaktive celler og immunologisk hukommelse vil disse cellene til sist være den delen av vårt immunforsvar som kan utstyre kroppen med varig immunitet og hindre reinfeksjon med samme mikroorganisme.

    Selv om vår immunsviktpasient overlevde denne og flere andre virusinfeksjoner, døde hun ca. ti år senere av komplikasjoner etter beinmargstransplantasjon som behandling for aplastisk anemi (25).

    Vi takker Den Norske Kreftforening, Norges forskningsråd og Norsk Hydro ASA, Anders Jahres fond og Nansenfondet for sjenerøs økonomisk støtte til våre studier.

    Kommentarer  ( 0 )

    Anbefalte artikler