Preeklampsi er en svangerskapskomplikasjon som kjennetegnes ved hypertensjon, proteinuri og eventuelt ødem. Etiologi og patogenese ved sykdomsbildet er ikke fullstendig klarlagt.
Preeklampsi utvikles i 5 – 10 % av alle svangerskap, oftest hos førstegangsgravide. Faktorer som står sentralt i sykdomsutviklingen er arv, iskemi i placenta, immunologiske mekanismer og avvik i lipidmetabolismen (1 – 4). I de senere år er det kommet en stor mengde nye data. I denne artikkelen gjennomgås ulike forhold som kan forklare utviklingen av dette komplekse sykdomsbildet. Det er gjort datasøk først og fremst ved hjelp av PubMed og Medine.
Det normale svangerskap
Placenta i normale svangerskap
Tidlig i et normalt svangerskap penetrerer cytotrofoblastceller fra chorionheftetotter syncytiotrofoblastlaget og cytotrofoblastsjiktet i basalplaten og trenger ned i underliggende decidua. Deretter invaderer cytotrofoblaster veggene i spiralarteriene. Karveggen med elastisk vev og muskulatur ødelegges i deciduadelen. Muskulaturen omdannes til en masse som inneholder fibrin (5). Endotelcellene erstattes av trofoblastceller, som fungerer som et slags endotel. Tidlig i andre trimester når invasjonen myometriesegmentet av spiralarteriene (4).
De normale morfologiske endringene fører til at kartonus avtar og lumen utvides. I tillegg til en direkte kardilaterende effekt av nitrogenoksid (NO) som produseres lokalt, fører en interaksjon mellom NO og superoksid til produksjon av en kardilaterende substans som utvider blodkarene ytterligere (6). Sluttresultatet er et lavtrykks- arteriesystem som gir betydelig økt blodforsyning til fosteret. De utvidede spiralarteriene er ikke i stand til å reagere på vasoaktive substanser (7).
Regulering av trofoblastinvasjonen
Regulering av trofoblastinvasjonen og de følgende fysiologiske endringer er komplekse: Adhesjonsmolekyler er viktige for interaksjon med endotel, evne til invasjon og differensiering av trofoblast. I et normalt svangerskap vil cytotrofoblastene øke sin mengde av bestemte adhesjonsmolekyler. Disse øker trofoblastens evne til invasjon (8). Lokalt produserte vekstfaktorer og cytokiner og oksygentensjonen lokalt regulerer mengden av adhesjonsmolekyler på endotelcellene (4, 8 – 10).
Trofoblaster utskiller enzymer som virker på ekstracellulært vev. Enzymenes aktivitet er regulerbar (4). Trofoblastceller induserer fibrinolyse. Dette påvirker både implantasjonsprosessen og blodstrømmen i det intervilløse rom (11).
Et samspill av ulike koagulasjonsregulatorer motvirker fibrinutfelling i placenta hos friske gravide. Prostasyklin, som produseres i endotel og i trofoblast, hindrer aktivering av koagulasjonssystemet og motvirker fibrinutfelling i det intervilløse rom (5). Urokinasetype-plasminogenaktivator (som produseres i syncytiotrofoblast) fremmer fibrinlyse, plasminogenaktivatorinhibitor type 1 (PAI-1 som produseres i endotel), hemmer fibrinolyse. Aktivert protein C hemmer koagulasjon ved nedbryting av koagulasjonsfaktor Va og VIIIa (12, 13).
Prostasyklin stimulerer det uteroplacentære renin-angiotensin-systemet slik at angiotensin II-produksjonen øker. Sluttresultatet er blodtrykksøkning. Prostasyklin og NO blir frigitt fra endotel og dilaterer blodkar slik at blodstrømmen øker (4).
Perifer sirkulasjon
Et normalt svangerskap kjennetegnes hemodynamisk ved økning i hjertets minuttvolum og reduksjon i blodtrykk. Angiotensinkonverterende enzym utskilles fra endotel og omdanner angiotensin I til det vasokonstringerende angiotensin II. Renin-angiotensin-systemet er stimulert i et normalt svangerskap selv om blodtrykksfall er vanlig. Dette skyldes vasodilatasjon mediert av prostasyklin og NO (1, 4, 14).
Ødem hos friske gravide
80 % av friske gravide utvikler ødem. Halvparten har ødem i underekstremitetene; resten har generelt ødem (5, 15).
Disponerende tilstander
Preeklampsi oppstår hyppigst hos førstegangsgravide og i svangerskap med guttefostre (4, 16). Fosterets kjønn er imidlertid av liten betydning (17). Stor placentamasse er en viktig sykdomsdisponerende faktor (fig 1) (18, 19). Gravide med overvekt, diabetes mellitus, kardiovaskulære sykdommer, nyresykdommer og lupus erythematosus disseminatus utvikler preeklampsi oftere enn friske (20, 21).
Hyperhomocysteinemi kan føre til skade av endotel med dysfunksjon til følge (4, 22, 23). Kvinner med preeklampsi har høyere konsentrasjon av homocystein i plasma enn kontrollpersoner og lavere konsentrasjon av vitamin B12 og folat (24).
Protein S- og protein C-mangel og aktivert protein C-resistens disponerer for trombose i placenta. En studie av alvorlig preeklampsi som krevde forløsning før 34. svangerskapsuke, viste at 17 % av kvinnene hadde hyperhomocysteinemi; 25 % hadde protein S-mangel; 16 % aktivert protein C-resistens og 29 % antikardiolipinantistoffer (25). Slik trombofili er ikke direkte årsak til tidlig preeklampsi, men kan bidra til et mer aggressivt sykdomsforløp (4). Preeklampsi forekommer ellers hyppigere hos personer med alvorlige uterine anomalier og i svangerskap med kromosomavvik hos fosteret enn i normale svangerskap (26).
Beskyttende faktorer
Tidligere abort og gjennomgått svangerskap kan til en viss grad beskytte mot preeklampsiutvikling (fig 1). Spesielt har et langvarig seksuelt forhold med samme barnefar før konsepsjonen en beskyttende effekt. En kohortstudie viste at dersom det seksuelle samlivet hadde vart i minst 12 måneder før konsepsjonen, var frekvensen av preeklampsi 5,1 %, mot 10,6 % ellers (27). Dette skyldes trolig at mor har utviklet toleranse mot antigener fra far (28, 29). Ved placenta praevia er hyppigheten av preeklampsi redusert, trolig på grunn av bedre blodtilførsel enn når placenta er lokalisert i fundus (30).
Patofysiolgi
Koagulasjon og fibrinolyse i placenta ved preeklampsi
Ved preeklampsi er aktivering av koagulasjon større i den uteroplacentære sirkulasjon enn i den generelle sirkulasjon (31). Det kan forklares av en lokal økning i konsentrasjonen av fibrinolysehemmerne PAI-1 (som produseres i endotel) og plasminogenaktivator 2-inhibitor (PAI-2,som produseres i syncytiotrofoblast), kombinert med lav konsentrasjon av trombomodulin (utskilles bl.a. fra endotel og har antikoagulerende effekt). Den økte koagulasjonstendensen disponerer for fibrinavleiring i det intervilløse rom og i choriontottene (11, 32, 33) og avspeiles ved at konsentrasjonen av trombin-antitrombin-komplekser i blod fra uterine vener er større enn i annet venøst blod. Konsentrasjonen av både plasmin α 2-antiplasmin og D-dimer er også større (34). Ved preeklampsi oppstår dermed fibrinavleiring både perivilløst og i choriontottenes blodkar (føtale blodkar) (33, 35). Eksessiv fibrinutfelling bidrar til redusert uteroplacentær blodstrøm.
Renin-angiotensin, prostasyklin-tromboksan og kallikrein
Nye studier tyder på at reninaktiviteten og aldosteronkonsentrasjonen i plasma er redusert ved alvorlig preeklampsi, med bl.a. mindre angiotensinvirkning til følge (4, 36). Blodtrykksøkningen ved preeklampsi skyldes med andre ord ikke økt angiotensineffekt (37), men økt sensitivitet for pressorstoffer (angiotensin II, adrenalin og noradrenalin), høye konsentrasjoner av katekolaminer (som øker blodtrykket), økt endotelinkonsentrasjon (gir karkonstriksjon) og redusert NO- og prostasyklinsyntese (dermed redusert kardilatasjon) (1, 36, 38 – 41). Ved preeklampsi dominerer tromboksanproduksjonen i blodplater over prostasyklinproduksjonen i endotel og placenta (5). Effekten blir karkonstriksjon og økning i blodtrykket (39).
Kartonus påvirkes også i uheldig retning av overaktivitet i det sympatiske nervesystem hos preeklamptikere (42).
Patogenetiske mekanismer
Ifølge Dekker & Sibai (4) er det i dag særlig fire hypoteser som står i sentrum for patogenesen av preeklampsi: arv, placentaiskemi, lipidforandringer og immunologisk feiltilpasning.
Arv
I den senere tid er det vist at genetiske faktorer både hos mor, far og foster har betydning for utvikling av preeklampsi (43). Mødre til barn som utvikler preeklampsi, har oftere hatt preeklampsi enn mødre til friske gravide (44).
Ved økt konsentrasjon av angiotensinogen i plasma eller vev hos personer med en spesiell variant av angiotensinogen (T235) kan økt utskilling av angiotensin II over tid gi økt kartonus. Dette vil kunne føre til hypertrofi i blodkar og redusert økning av plasmavolumet, og disponerer for hypertensjon og preeklampsi hos den gravide (45).
Markert dyslipidemi kan føre til endotelskade. Bestemte mutasjoner i lipoproteinlipasegenet fører til redusert lipoproteinlipaseaktivitet og til økning av konsentrasjonen av lipoprotein i blodet. Ved alvorlig preeklampsi er det rapportert økte lipoproteinverdier hos 33 % sammenliknet med 10 % hos kontrollpersoner (46, 47).
Hos preeklamptikere er det også beskrevet økt forekomst av defekter i gener som disponerer for utvikling av essensiell hypertensjon, overvekt, aktivert protein C-resistens (faktor V Leiden-mutasjon) og hyperhomocysteinemi (48 – 55).
Placentaiskemi
Redusert migrasjon av trofoblast i veggen av spiralarteriene og mangelfull fysiologisk endring av disse er viktige faktorer for utvikling av preeklampsi. Trofoblast invaderer ikke myometriedelen av spiralarteriene (fig 2, 3) (56). Det blir dermed ikke fysiologisk dilatasjon av spiralarteriene. Den glatte muskulatur i medialaget blir hyperplastisk. Volumet, særlig i myometriedelen, reduseres. Som følge av redusert blodtilførsel kan det oppstå lokal eller diffus hypoksi i placenta. Skadelige produkter (cytokiner, oksiderte lipoproteiner) kan passere det intervilløse rom til perifer sirkulasjon og gi endotelskade (4, 5).
Syncytiotrofoblast har har evne til å nedsette celleproliferasjon i endotelcellekulturer og forårsake endringer i endotelcellenes evne til å adherere. En økt mengde syncytiotrofoblastceller i maternell sirkulasjon antas derfor å kunne føre til endoteldysfuksjon og eventuell utvikling av preeklampsi (18). Det er sannsynlig at denne økte syncytiotrofoblastdeportasjon til blodet kun deltar i sluttstadiet ved utvikling av preeklampsi. Fenomenet kan likevel ha klinisk betydning fordi det kan forårsake karspasme (4).
Lipidforandringer
I et normalt svangerskap øker serumkonsentrasjonen av triglyserider med 300 % og kolesterol med 50 % (57). Konsentrasjonen av triglyserider er ca. dobbelt så høy hos gravide med preeklampsi som hos friske. Det er dessuten økt konsentrasjon av svært lette lipoproteiner (VLDL). Oksiderte lette lipoproteiner (LDL) hemmer prostasyklin- og NO-produksjonen (58).
Hypoksi i placenta kan utløse lipidperoksidering noe som sees ved preeklampsi (59, 60). Ukontrollert fettsyreperoksidasjon (i perifert blod) stimulerer dessuten tromboksanproduksjon og reduserer prostasyklinproduksjon og fører til vasokonstriksjon og økt permeabilitet pga. karskade (4, 57).
Immunologiske mekanismer
Preeklampsi er særlig en sykdom i første svangerskap. Multiparitet har en beskyttende effekt. Decidua inneholder store mengder celler fra beinmargen. Når disse cellene blir aktivert, kan det frigis flere mediatorer som kan påvirke endotelceller (4). Cytokiner, slik som granulocytt-makrofag-kolonistimulerende faktor og IL-4, har stimulerende effekt på placentavekst. Andre cytokiner, som tumornekrosefaktor α (TNF- α ) og IL-2, har skadelig virkning på placenta (61). Syncytiotrofoblast mangler klasse I- og klasse II-HLA og er dermed også utsatt for angrep fra naturlige drepeceller (62).
Oksidasjon og antioksidantmangel
Preeklampsi er assosiert med oksidativt stress som kan forårsake celleskade (4, 63, 64). TNF- α forårsaker karskade ved aktivering av enzymer, frigjøring av oksygenradikaler og frigjøring av vasoaktive substanser. Produksjon av TNF- α er bl.a. regulert av antioksidanter (tioredoksin-tioredoksin-reduktase, glutation-redoksin-glutation, vitamin E og selen) (65, 66).
Hos friske gravide er antioksidasjonsnivået signifikant høyere enn ved preeklampsi. Antioksidantmangel i serum kan forårsake økt produksjon av frie oksygenradikaler og føre til celleskade som disponerer for preeklampsi (65).
Andre hypoteser
Heterogen årsak
Redusert trofoblastinvasjon i spiralarteriene har vært den rådende forklaringsmodell ved preeklampsiutvikling. Genetisk sykdom hos kvinnen kan affisere placenta og dernest disponere for perifer karskade. Ness & Roberts (21) hevder at hypertensjon, kollagen karsykdom og diabetes mellitus hos moren kan endre perfusjonen i placenta og kan ha direkte skadelig effekt på karendotelet (fig 3). Økt konsentrasjon av serumlipider hos mor er assosiert med diabetes mellitus og fettsyreperoksidering, som kan disponere for endotelskade og preeklampsi (21). Det er for øvrig en assosiasjon mellom insulinresistens og høyt blodtrykk (67). Ved diabetes mellitus er risikoen for preeklampsi økt fire ganger. Langvarig hyperglykemi ved type 1-diabetes kan føre til økt mengde frie oksygenradikaler og gi karskade og endoteldysfunksjon (68).
Dekker hevder at den mest sannsynlige teorien for utvikling av preeklampsi er immunologisk feiltilpasning (49). Dette fører til svikt i trofoblastinvasjon i placenta, hypoksi, frigiving av cytokiner, oksiderte lipider og frie oksygenradikaler med skade av endotelet (4, 49).
Biokjemiske og kliniske effekter
Endoteldysfunksjon
Ved endotelskade frigis bl.a. fibronektin, laminin og preprokollagen, von Willlebrands faktor, vevsplasminogenaktivator, PA-I og trombomodulin. Økte nivåer av disse kan påvises i maternelt blod før kliniske tegn til preeklampsi (fig 1) (5, 11, 31, 35, 69).
Akutt aterose
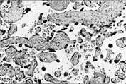
Kliniske symptomer på preeklampsi er trolig sekundære til iskemi i placenta (1, 21). Placentavevet blir skadet av redusert placentaperfusjon med lokal hypoksi og frigiving av toksiske substanser som resultat (1, 70, 71). Den såkalte akutte aterose er kjennetegnet ved forandringer i basal- og spiralarteriene, med endotelskade, trombocyttdeponering, murale tromber og fibrinoid nekrose i karveggen (fig 4). I det ekstracellulære rom deponeres fibrin, immunglobuliner og komplementfaktorer. Dette kan gi redusert blodstrøm og hypoksi (lokal eller diffus) i placenta (5, 6, 21, 72).
Ikke-spesifikk placentalesjon
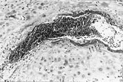
Ingen placentalesjon er spesifikk for preeklampsi, men fortykkelse av trofoblastbasalmembranen, infarkter og retroplacentære hematomer er hyppigere enn hos friske. Syncytiotrofoblast kan nekrotisere og cytotrofoblast proliferere som svar på hypoksi. Ved elektronmikroskopi kan det påvises fokal nekrose i syncytiotrofoblast hos gravide med preeklampsi. Ved preeklampsi er både syncytiotrofoblastantallet og antallet mikrovilli på overflaten av hver enkelt celle redusert. Hypoksi resulterer i proliferasjon av cytotrofoblast, noe som kan representere en kompensatorisk reparasjon (73 – 75). ”Syncytial knotting” (”syncytieknuter”) har vært betraktet som patognomonisk for preeklampsi (fig 5), men dette fenomenet er sannsynligvis uspesifikt (72).
Økt perifer motstand, blodtrykks- stigning og hemokonsentrasjon
Pasienter med preeklampsi har som omtalt ulike biokjemiske avvik som disponerer for vasokonstriksjon, redusert blodvolum og høyt blodtrykk (1, 31, 39, 42).
Unormalt høy hemoglobinkonsentrasjon i første del av svangerskapet kan være uttrykk for redusert plasmavolum og er assosiert med risiko for preeklampsiutvikling (76). Høy hemoglobinkonsentrasjon i siste del sees særlig ved alvorlig preeklampsi og ved redusert fostervekst (77).
Nyreskade
På grunn av karskade reduseres nyrefunksjonen med ca. 25 % hos gravide med preeklampsi (74). Glomeruli blir større, men blodtilførselen reduseres. Glomerulusfiltrasjonen reduseres. S-uratkonsentrasjonen øker, særlig ved alvorlig preeklampsi (78). Proteinuri (dvs.> 300 mg/døgn) skyldes nyreskade. Ved svær proteinuri kan det oppstå nefrotisk syndrom med redusert konsentrasjon av serumproteiner og generelt ødem (1).
Oliguri er en komplikasjon, særlig til alvorlig preeklampsi, som skyldes dehydrering og karspasme. Vedvarende oliguri kan føre til tubulær og kortikal nekrose (79). Preeklampsi kan kompliseres av for tidlig løsning av placenta, disseminert intravaskulær koagulasjon og fibrinolyse og kan føre til akutt nyresvikt (80).
Ødem
Ca. 85 % av pasienter med preeklampsi utvikler ødem. Det kan oppstå raskt (81). Det kolloidosmotiske trykk i plasma er redusert samtidig som det er en økt endotelpermeabilitet ved preeklampsi (15, 82). Proteinkinase C er en viktig faktor i prosesser som øker permebilitet i endotelceller. Både høy glukosekonsentrasjon og iskemi kan gi økt permeabilitet via en proteinkinase C-avhengig mekanisme (81).
Patologiske forhold i ulike organer
Preeklampsi kan gi alvorlige komplikasjoner, som HELLP-syndromet (H = hemolyse, EL = elevated liver enzymes, LP = low platelets; hemolyse, økning i leverenzymer og lavt blodplatetall) og skade mange organer, som nyre, lunge, lever, øyne og hjerne (5, 69). Høyt blodtrykk, endotelskade, karkonstriksjon, intravaskulær koagulasjon med fibrinutfelling i blodkar, redusert blodstrøm og hypoksi kan forårsake slike organskader (5).
På grunn av patologiske forandringer i blodkar ved preeklampsi kan det oppstå infarkter i placenta og retroplacentære hematomer kombinert med redusert fostervekst. Trombotiske lesjoner i spiralarteriene og nekrose i decidua disponerer for for tidlig løsning av placenta, noe som rammer ca. 1 % av alle med lett hypertensjon og preeklampsi (83).
Hormonproduksjon i placenta
Hormonene aktivin og inhibin som produseres i placenta, kan påvises i serum med større konsentrasjon ved preeklampsi enn ved hypertensjon og kan vise seg å bli markører på preeklampsi (84, 85).
Iskemi i placenta fører til proliferasjon av cytotrofoblast og økt produksjon av humant choriongonadotropin (HCG) (86). Produksjonen av HCG er større hos gravide med preeklampsi enn hos friske gravide (86, 87).
Trombocyttaktivering
Trombocyttaktivering og redusert trombocyttall er tidlige tegn på utvikling av preeklampsi. Om lag 15 % av gravide med preeklampsi utvikler trombocytopeni (trombocyttall< 150 × 109/l). Ved tidlig preeklampsi utvikles trombocytopeni hos om lag 35 % (88).
Ved redusert trombocyttantall, som ved et HELLP-syndrom øker konsentrasjonen av trombopoietin (89). Ved intravaskulært forbruk av trombocytter øker også konsentrasjonen av platefaktor 4 og β -tromboglobulin i serum, som tegn på aktivering (90).
Serotonin
På trombocyttenes overflate finnes serotoninreseptorer og ved trombocyttaktivering frigis serotonin. Det kan føre til redusert blodgjennomstrømning i nyrer og til iskemi i lever. Stimulering av serotonin 1-reseptorer gir kardilatasjon, mens stimulering av serotonin 2-reseptor gir karspasme, plateaggregasjon, endotelskade, redusert prostasyklinproduksjon og blodtrykksstigning (91, 92).
Ved endotelskade og skade av serotoninreseptor-1 som følge av preeklampsi blir effekten mediert av serotonin-2-reseptorer ikke motvirket. Denne effekten kan motvirkes medikamentelt med serotoninhemmeren ketanserin (ikke registrert i Norge) (91, 92).
Koagulasjon og fibrinolyse ved preeklampsi
Skadet endotel aktiverer blodplater både i placentasirkulasjonen og i systemisk sirkulasjon. Endotelskade ved preeklampsi kan aktivere koagulasjonssystemet.
Det er redusert fibrinolyse i svangerskap komplisert av preeklampsi. Det skyldes økning av PAI-1 i plasma og i placenta og redusert omdanning av plasminogen til plasmin (93 – 95). Selv om det foreligger redusert fibrinolyse, øker likevel D-dimer ved alvorlig preeklampsi. Det skyldes økt tilgang på fibrin og sekundær fibrinolyse (93, 94).
Avvik i jernstoffskiftet
Ved preeklampsi sees økt konsentrasjon av serum-ferritin (s-ferritin) og serum-jern (s-Fe), økt nedbryting av erytrocytter og økt mengde bilirubin i plasma (96). Høyt s-ferritinnivå behøver ikke å bety normale jernlagre hos pasienter med preeklampsi, men kan være uttrykk for en akuttfasereaksjon.
Thyreoideafunksjon ved preeklampsi
En studie har vist at påvisning av thyreoideaantistoff hos gravide doblet risikoen for preeklampsi (97). I tredje trimester av svangerskapet har ca. 30 % av preeklampsipasienter lavere konsentrasjon av fritt tyroksin T4 (FT4) og fritt trijodtyroksin T3 (FT3) og større mengde thyreoideastimulerende hormon (TSH) enn friske gravide (98). Det er lavere konsentrasjon av total tyroksin og total trijodtyroksin og høy TSH-verdi i svangerskap med preeklampsi og lav fødselsvekt. Det kan med andre ord påvises mild hypotyreoidisme hos gravide med preeklampsi (99).
Oppsummering
–Preeklampsi er en placentasykdom med heterogen årsak
–Preeklampsi oppstår hos gravide med mangelfull trofoblastinvasjon i spiralarteriene
–Iskemi kan føre til frigigiving av cytokiner som aktiverer endotelceller og induserer karskade
–Lipidperoksider forårsaker endoteldysfunksjon og eventuelt preeklampsi
–Ved reduserte nivåer av antioksidanter hos gravide er det økt produksjon av frie oksygenradikaler som forårsaker celleskade og disponerer for preeklampsi
–Hyperhomocysteinemi, protein S- og protein C-mangel og aktivert protein C-resistens er involvert i patogenesen av preeklampsi som starter tidlig, og ved alvorlig preeklampsi
–Når placenta er født, vil preeklampsien forsvinne i løpet av noen få dager
Vi takker Per Bergsjø og Tor Hervig for gjennomlesing og verdifulle kommentarer og Richardo Laurini for histologiske bilder.
- 1.
Redman CVG. Hypertension in pregnancy. I: Chamberlain Geoffrey, red. Turnbull’s Obstetrics. 2. utg. Edinburgh: Churchill Livingstone, 1995: 441 – 70.
- 2.
Øian P. Preeclampsia – pathophysiolgy and hemodynamics. I: Workshop, red. Treatment of hypertension in pregnancy. Uppsala/Oslo: Läkemedelsverket/Statens Legemiddelkontroll, 1997: 29 – 39.
- 3.
National High Blood Pressure Education Program Working Group Report on High Blood Pressure in Pregnancy. Am J Obstet Gynecol 1990; 163: 1691 – 712.
- 4.
Dekker GA, Sibai BM. Etiology and pathogenesis of preeclampsia: current concepts. Am J Obstet Gynecol 1998; 179: 1359 – 75.
- 5.
Romero R, Lockwood C, Oyarzun E, Hobbins JC. Toxemia: new concepts in an old disease. Semin Perinatol 1988; 12: 302 – 23.
- 6.
Holcberg G, Kossenjans W, Miodovnik M, Myatt L. The interaction of nitric oxide and superoxide in the human fetal-placental vasculature. Am J Obstet Gynecol 1995; 173: 528 – 33.
- 7.
Walker JJ. Hypertension in pregnancy. Br J Obstet Gynaecol 1994; 1001: 639 – 44.
- 8.
Genbacev O, Zhou Y, Ludlow JW, Fisher SJ. Regulation of human placental development by oxygen tension. Science 1997; 277: 1669 – 72.
- 9.
Ramsay B, Sooranna SR, Johnson MR. Nitric oxide synthase activities in human myometrium and villous trophoblast throughout pregnancy. Obstet Gynecol 1996; 87: 249 – 53.
- 10.
Widschwendter M, Schrocksnadel H, Mortl MG. Pre-eclampsia: a disorder of placental mitochondria? Mol Med Today 1998; 4: 286 – 91.
- 11.
Gilabert J, Estelles A, Grancha S, Espana F, Aznar J. Fibrinolytic system and reproductive process with special reference to fibrinolytic failure in pre-eclampsia. Hum Reprod 1995; 10 (suppl 2): 121 – 31.
- 12.
Bauer KA. Hypercoagulability – a new cofactor in the protein C anticoagulant pathway. N Engl J Med 1994; 330: 566 – 7.
- 13.
Moniwa N. Relationship of urokinase type plasminogen activator, plasminogen activator inhibitor type 1 and activated protein C in fibrinolysis of human placenta. Pol J Pharmacol 1996; 48: 215 – 20.
- 14.
Cowles T, Saleh A, Cotton DB. Hypertensive disorders of pregnancy. I: James DK, Steer PJ, Weiner CP, Gonik B, red. High risk pregnancy. Management options. London: Saunders, 1994: 253 – 76.
- 15.
Davison JM. Edema in pregnancy. Kidney Int Suppl 1997; 59: 90 – 6.
- 16.
Redman CW. Immunology of preeclampsia. Semin Perinatol 1991; 15: 257 – 62.
- 17.
Makhseed M, Musini VM, Ahmed MA. Association of fetal gender with pregnancy-induced hypertension and pre-eclampsia. Int J Gynaecol Obstet 1998; 63: 55 – 6.
- 18.
Cockell AP, Learmont JG, Smarason AK, Redman CW, Sargent IL, Poston L. Human placental syncytiotrophoblast microvillous membranes impair maternal vascular endothelial function. Br J Obstet Gynaecol 1997; 104: 235 – 40.
- 19.
Page EW. On the pathogenesis of pre-eclampsia and eclampsia. J Obstet Gynaecol Br Commonw 1972; 79: 883 – 94.
- 20.
Ihle BU, Long P, Oats J. Early onset pre-eclampsia: recognition of underlying renal disease. BMJ 1987; 294: 79 – 81.
- 21.
Ness RB, Roberts JM. Heterogeneous causes constituting the single syndrome of preeclampsia: a hypothesis and its implications. Am J Obstet Gynecol 1996; 175: 1365 – 70.
- 22.
Powers RW, Evans RW, Majors AK, Ojimba JI, Ness RB, Crombleholme WR et al. Plasma homocysteine concentration is increased in preeclampsia and is associated with evidence of endothelial activation. Am J Obstet Gynecol 1998; 179: 1605 – 11.
- 23.
Rajkovic A, Catalano PM, Malinow MR. Elevated homocyst(e)ine levels with preeclampsia. Obstet Gynecol 1997; 90: 168 – 71.
- 24.
Laivuori H, Kaaja R, Turpeinen U, Viinikka L, Ylikorkala O. Plasma homocysteine levels elevated and inversely related to insulin sensitivity in preeclampsia. Obstet Gynecol 1999; 93: 489 – 93.
- 25.
Dekker GA, de Vries JI, Doelitzsch PM, Huijgens PC, von Blomberg BM, Jakobs C et al. Underlying disorders associated with severe early-onset preeclampsia. Am J Obstet Gynecol 1995; 173: 1042 – 8.
- 26.
Zuspan FP. New concepts in the understanding of hypertensive diseases during pregnancy. Clin Perinatol 1991; 18: 653 – 9.
- 27.
Robillard PY, Hulsey TC, Perianin J, Janky E, Miri EH, Papiernik E. Association of pregnancy-induced hypertension with duration of sexual cohabitation before conception. Lancet 1994; 344: 973 – 5.
- 28.
Arngrimsson R, Purandare S, Connor M, Walker JJ, Bjornsson S, Soubrier F et al. Angiotensinogen: a candidate gene involved in preeclampsia? Nat Genet 1993; 4: 114 – 5.
- 29.
Taylor RN. Review: immunobiology of preeclampsia. Am J Reprod Immunol 1997; 37: 79 – 86.
- 30.
Ananth CV, Bowes WAJ, Savitz DA, Luther ER. Relationship between pregnancy-induced hypertension and placenta previa: a population-based study. Am J Obstet Gynecol 1997; 177: 997 – 1002.
- 31.
Wang J, Trudinger B. Endothelial cell dysfunction in preeclampsia. J Nephrol 1998; 11: 53 – 6.
- 32.
Kanfer A, Bruch JF, Nguyen G, He CJ, Delarue F, Flahault A et al. Increased placental antifibrinolytic potential and fibrin deposits in pregnancy-induced hypertension and preeclampsia. Lab Invest 1996; 74: 253 – 8.
- 33.
Trofatter KFJ, Howell ML, Greenberg CS, Hage ML. Use of the fibrin D-dimer in screening for coagulation abnormalities in preeclampsia. Obstet Gynecol 1989; 73: 435 – 40.
- 34.
Higgins JR, Walshe JJ, Darling MR, Norris L, Bonnar J. Hemostasis in the uteroplacental and peripheral circulations in normotensive and pre-eclamptic pregnancies. Am J Obstet Gynecol 1998; 179: 520 – 6.
- 35.
Kobayashi H, Sadakata H, Suzuki K, She MY, Shibata S, Terao T. Thrombomodulin release from umbilical endothelial cells initiated by preeclampsia plasma-induced neutrophil activation. Obstet Gynecol 1998; 92: 425 – 30.
- 36.
Bussen SS, Sutterlin MW, Steck T. Plasma renin activity and aldosterone serum concentration are decreased in severe preeclampsia but not in the HELLP-syndrome. Acta Obstet Gynecol Scand 1998; 77: 609 – 13.
- 37.
Friedman SA. Preeclampsia: a review of the role of prostaglandins. Obstet Gynecol 1988; 71: 122 – 37.
- 38.
Gant NF, Daley GL, Chand S, Whalley PJ, MacDonald PC. A study of angiotensin II pressor response throughout primigravid pregnancy. J Clin Invest 1973; 52: 2682 – 9.
- 39.
Nova A, Sibai BM, Barton JR, Mercer BM, Mitchell MD. Maternal plasma level of endothelin is increased in preeclampsia. Am J Obstet Gynecol 1991; 165: 724 – 7.
- 40.
Øian P, Kjeldsen SE, Eide I, Maltau JM. Increased arterial catecholamines in pre-eclampsia. Acta Obstet Gynecol Scand 1986; 65: 613 – 7.
- 41.
Seligman SP, Buyon JP, Clancy RM, Young BK, Abramson SB. The role of nitric oxide in the pathogenesis of preeclampsia. Am J Obstet Gynecol 1994; 171: 944 – 8.
- 42.
Schobel HP, Fischer T, Heuszer K, Geiger H, Schmieder RE. Preeclampsia – a state of sympathetic overactivity. N Engl J Med 1996; 335: 1480 – 5.
- 43.
Lie RT, Rasmussen S, Brunborg H, Gjessing HK, Lie-Nielsen E, Irgens LM. Fetal and maternal contributions to risk of pre-eclampsia: population based study. BMJ 1998; 316: 1343 – 7.
- 44.
Cooper DW, Brennecke SP, Wilton AN. Genetics of preeclampsia. Hypertens Pregnancy 1993; 12: 1 – 23.
- 45.
Ward K, Hata A, Jeunemaitre X, Helin C, Nelson L, Namikawa C et al. A molecular variant of angiotensinogen associated with preeclampsia. Nat Genet 1993; 4: 59 – 61.
- 46.
Hubel CA, Roberts JM, Ferrell RE. Association of pre-eclampsia with common coding sequence variations in the lipoprotein lipase gene. Clin Genet 1999; 56: 289 – 96.
- 47.
van Pampus MG, Koopman MM, Wolf H, Buller HR, Prins MH, van den Ende A. Lipoprotein(a) concentrations in women with a history of severe preeclampsia – a case control study. Thromb Haemost 1999; 82: 10 – 3.
- 48.
de Vries JI, Dekker GA, Huijgens PC, Jakobs C, Blomberg BM, van Geijn HP. Hyperhomocysteinaemia and protein S deficiency in complicated pregnancies. Br J Obstet Gynaecol 1997; 104: 1248 – 54.
- 49.
Dekker GA. Current hypothesis on the etiology of preeclampsia. Fetal Diagn Ther 1998; 13 (suppl 1): 23.
- 50.
Dizon-Townson DS, Nelson LM, Easton K, Ward K. The factor V Leiden mutation may predispose women to severe preeclampsia. Am J Obstet Gynecol 1996; 175: 902 – 5.
- 51.
Grandone E, Margaglione M, Colaizzo D, Cappucci G, Paladini D, Martinelli P et al. Factor V Leiden, C> T MTHFR polymorphism and genetic susceptibility to preeclampsia. Thromb Haemost 1997; 77: 1052 – 4.
- 52.
Hallak M, Senderowicz J, Cassel A, Shapira C, Aghai E, Auslender R et al. Activated protein C resistance (factor V Leiden) associated with thrombosis in pregnancy. Am J Obstet Gynecol 1997; 176: 889 – 93.
- 53.
Leeda M, Riyazi N, de Vries JIP, Jakobs C, van Geijn HP, Dekker GA. Effects of folic acid and vitamin B6 supplementation on women with hyperhomocysteinemia and a history of preeclampsia or fetal growth restriction. Am J Obstet Gynecol 1998; 179: 135 – 9.
- 54.
Lindoff C, Ingemarsson I, Martinsson G, Segelmark M, Thysell H, Astedt B. Preeclampsia is associated with a reduced response to activated protein C. Am J Obstet Gynecol 1997; 176: 457 – 60.
- 55.
Morgan T, Ward K. New insights into the genetics of preeclampsia. Semin Perinatol 1999; 23: 14 – 23.
- 56.
Meekins JW, Pijnenborg R, Hanssens M, McFadyen IR, van Asshe A. A study of placental bed spiral arteries and trophoblast invasion in normal and severe pre-eclamptic pregnancies. Br J Obstet Gynaecol 1994; 101: 669 – 74.
- 57.
Sattar N, Bendomir A, Berry C, Shepherd J, Greer IA, Packard CJ. Lipoprotein subfraction concentrations in preeclampsia: pathogenic parallels to atherosclerosis. Obstet Gynecol 1997; 89: 403 – 8.
- 58.
Walsh SW, Wang Y. Secretion of lipid peroxides by the human placenta. Am J Obstet Gynecol 1993; 169: 1462 – 6.
- 59.
Hubel CA, Roberts JM, Taylor RN, Musci TJ, Rogers GM, McLaughlin MK. Lipid peroxidation in pregnancy: new perspectives on preeclampsia. Am J Obstet Gynecol 1989; 161: 1025 – 34.
- 60.
Murata M, Kodama H, Goto K, Hirano H, Tanaka T. Decreased very-low-density lipoprotein and low-density lipoprotein receptor messenger ribonucleic acid expression in placentas from preeclamptic pregnancies. Am J Obstet Gynecol 1996; 175: 1551 – 6.
- 61.
Gratacòs E, Filella X, Palacio M, Cararach V, Alonso PL, Fortuny A. Interleukin-4, interleukin-10, and granulocyte-macrophage colony stimulating factor in second-trimester serum from women with preeclampsia. Obstet Gynecol 1998; 92: 849 – 53.
- 62.
Dekker GA, Sibai BM. The immunology of preeclampsia. Semin Perinatol 1999; 23: 24 – 33.
- 63.
Chappell LC, Seed PT, Briley AL, Kelly FJ, Lee R, Hunt BJ et al. Effect of antioxidants on the occurrence of pre-eclampsia in women at increased risk: a randomised trial. Lancet 1999; 354: 810 – 6.
- 64.
Roberts JM, Hubel CA. Is oxidative stress the link in the two-stage model of pre-eclampsia? Lancet 1999; 354: 788 – 9.
- 65.
Stark JM. Pre-eclampsia and cytokine induced oxidative stress. Br J Obstet Gynaecol 1993; 100: 105 – 9.
- 66.
Stark JM, Neale L, Woodhead S, Jasani B, Johansen KA. Hypothesis on functional inadequacy of thioredoxin and related systems in preeclampsia. Hypertens Pregnancy 1997; 16: 35 – 46.
- 67.
Innes KE, Wimsatt JH. Pregnancy-induced hypertension and insulin resistance: evidence for a connection. Acta Obstet Gynecol Scand 1999; 78: 263 – 84.
- 68.
Hanson U, Persson B. Epidemiology of pregnancy-induced hypertension and preeclampsia in type 1 (insulin-dependent) diabetic pregnancies in Sweden. Acta Obstet Gynecol Scand 1998; 77: 620 – 4.
- 69.
Ballegeer VC, Spitz B, De Baene LA, Van Assche AF, Hidajat M, Criel AM. Platelet activation and vascular damage in gestational hypertension. Am J Obstet Gynecol 1992; 166: 629 – 33.
- 70.
Conrad KP, Benyo DF. Placental cytokines and the pathogenesis of preeclampsia. Am J Reprod Immunol 1997; 37: 240 – 9.
- 71.
Roberts JM, Redman CW. Pre-eclampsia: more than pregnancy-induced hypertension. Lancet 1993; 341: 1447 – 51.
- 72.
Redman CWG. The placenta, pre-eclampsia and chorionic villitis. I: Redman CWG, Sargent IL, Starkey PM, red. The human placenta. Oxford: Blackwell Scientific Publications, 1993: 433 – 67.
- 73.
Bloxam DL, Bullen BE, Walters BN, Lao TT. Placental glycolysis and energy metabolism in preeclampsia. Am J Obstet Gynecol 1987; 157: 97 – 101.
- 74.
Lindheimer MD. Hypertension in pregnancy. Hypertension 1993; 22: 127 – 37.
- 75.
Salafia CM, Pezzullo JC, Lopez-Zeno JA, Simmens S, Minior VK, Vintzileos AM. Placental pathologic features of preterm preeclampsia. Am J Obstet Gynecol 1995; 173: 1097 – 105.
- 76.
Murphy JF, O’Riordan J, Newcombe RG, Coles EC, Pearson JF. Relation of haemoglobin levels in first and second trimesters to outcome of pregnancy. Lancet 1986; 1: 992 – 5.
- 77.
Sagen N, Koller O, Haram K. Haemoconcentration in severe pre-eclampsia. Br J Obstet Gynaecol 1982; 89: 802 – 5.
- 78.
Sagen N, Haram K, Nilsen ST. Serum urate as a predictor of fetal outcome in severe pre-eclampsia. Acta Obstet Gynecol Scand 1984; 63: 71 – 5.
- 79.
Clark SL, Greenspoon JS, Aldahl D, Phelan JP. Severe preeclampsia with persistent oliguria: management of hemodynamic subsets. Am J Obstet Gynecol 1986; 154: 490 – 4.
- 80.
Sibai BM, Villar MA, Mabie BC. Acute renal failure in hypertensive disorders of pregnancy. Pregnancy outcome and remote prognosis in thirty-one consecutive cases. Am J Obstet Gynecol 1990; 162: 777 – 83.
- 81.
Haller H, Hempel A, Homuth V, Mandelkow A, Busjahn A, Maasch C et al. Endothelial-cell permeability and protein kinase C in pre-eclampsia. Lancet 1998; 351: 945 – 9.
- 82.
Øian P, Maltau JM, Noddeland H, Fadnes HO. Transcapillary fluid balance in pre-eclampsia. Br J Obstet Gynaecol 1986; 93: 235 – 9.
- 83.
Sibai BM. Treatment of hypertension in pregnant women. N Engl J Med 1996; 335: 257 – 65.
- 84.
Lindheimer MD, Woodruff TK. Activin A, inhibin A, and pre-eclampsia. Lancet 1997; 349: 1266 – 7.
- 85.
Muttukrishna S, Knight PG, Groome NP, Redman CW, Ledger WL. Activin A and inhibin A as possible endocrine markers for pre-eclampsia. Lancet 1997; 349: 1285 – 8.
- 86.
Spong CY, Ghidini A, Dildy GA, Loucks CA, Varner MW, Pezzullo JC. Elevated second-trimester maternal serum hCG: a marker of inadequate angiogenesis. Obstet Gynecol 1998; 91: 605 – 8.
- 87.
Muller F, Savey L, Le Fiblec B, Bussieres L, Ndayizamba G, Colau JC et al. Maternal serum human chorionic gonadotropin level at fifteen weeks is a predictor for preeclampsia. Am J Obstet Gynecol 1996; 175: 37 – 40.
- 88.
Burrows RF, Hunter DJ, Andrew M, Kelton JG. A prospective study investigating the mechanism of thrombocytopenia in preeclampsia. Obstet Gynecol 1987; 70: 334 – 8.
- 89.
Frölich MA, Datta S, Corn SB. Thrombopoietin in normal pregnancy and preeclampsia. Am J Obstet Gynecol 1998; 179: 100 – 4.
- 90.
Socol ML, Weiner CP, Louis G, Rehnberg K, Rossi EC. Platelet activation in preeclampsia. Am J Obstet Gynecol 1985; 151: 494 – 7.
- 91.
Steyn DW, Odendaal HJ. Randomised controlled trial of ketanserin and aspirin in prevention of preeclampsia. Lancet 1997; 350: 1267 – 71.
- 92.
Weiner CP. The role of serotonin in the genesis of hypertension in preeclampsia. Am J Obstet Gynecol 1987; 156: 885 – 8.
- 93.
Nolan TE, Smith RP, Devoe LD. Maternal plasma D-dimer levels in normal and complicated pregnancies. Obstet Gynecol 1993; 81: 235 – 8.
- 94.
Saleh AA, Bottoms SF, Welch RA, Ali AM, Mariona FG, Mammen EF. Preeclampsia, delivery, and the hemostatic system. Am J Obstet Gynecol 1987; 157: 331 – 6.
- 95.
Saleh AA, Bottoms SF, Norman G, Farag A, Mammen EF. Hemostasis in hypertensive disorders of pregnancy. Obstet Gynecol 1988; 71: 719 – 22.
- 96.
Entman SS, Kambam JR, Bradley CA, Cousar JB. Increased levels of carboxyhemoglobin and serum iron as an indicator of increased red cell turnover in preeclampsia. Am J Obstet Gynecol 1987; 156: 1169 – 73.
- 97.
Lejeune B, Grun JP, de Nayer P, Servais G, Glinoer D. Antithyroid antibodies underlying thyroid abnormalities and miscarriage or pregnancy induced hypertension. Br J Obstet Gynaecol 1993; 100: 669 – 72.
- 98.
Lao TT, Chin RK, Swaminathan R. Thyroid function in pre-eclampsia. Br J Obstet Gynaecol 1988; 95: 880 – 3.
- 99.
Lao TT, Chin RK, Swaminathan R, Lam YM. Maternal thyroid hormones and outcome of preeclamptic pregnancies. Br J Obstet Gynaecol 1990; 97: 71 – 4.