Papillomavirus tilhører en gruppe små DNA-virus som er utbredt i naturen og som forårsaker vorter/papillomer hos mennesker og dyr. Disse virusene er artsspesifikke, det vil si at smitte mellom arter forekommer ikke. De virus som infiserer mennesker, kalles derfor humant papillomavirus (HPV). Viruset er epiteliotropt og må formere seg i cellekjernen i epitelceller i hud og slimhinner. Sammenhengen mellom virusinfeksjon og humane vorter ble påpekt allerede i 1907, da Chuffio påviste utvikling av vorter etter inokulasjon av cellefrie partikler i huden (1). Det første papillomavirus ble beskrevet i 1933, da Shope oppdaget at virus kunne gi vorter i huden hos kanin (2). I 1949 ble viruspartikler påvist med elektronmikroskopi i celleekstrakter fra hudvorter (3). Strukturen til papillomavirusgenomet ble karakterisert av Crawford & Crawford i 1963 (4). Det er nå mer enn 20 år siden zur Hausen påpekte at humant papillomavirus kunne være årsak til kreft i livmorhalsen (5). Etter at papillomavirusgenomet ble vellykket klonet i bakterier i 1970-årene (6, 7) kunne man kartlegge stadig mer av molekylærbiologien til papillomavirusene. Utvikling av in vitro-transformasjonsassays i 1980-årene har gitt grunnlag for å studere virusets funksjoner i celleproliferasjon og transformasjon (8).
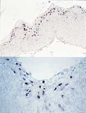
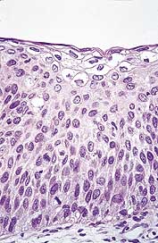
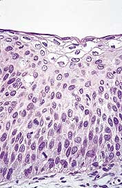
Siden viruset ikke kan dyrkes i vevskultur, må det påvises med lysmikroskopi (fig 1), identifikasjon av proteiner eller HPV-gensekvenser i det infiserte vevet (fig 2). Pågående eller gjennomgått HPV-infeksjon vil også føre til antistoffstigning i blodet, noe som kan påvises med forskjellige serologiske assays.
HPV-serologi kan ikke brukes i screeningsammenheng på grunn av lav sensitivitet, men er et viktig redskap i epidemiologisk forskning for å kartlegge det naturlige forløp av en HPV-infeksjon og dens betydning i karsinogenesen (9). HPV-serologi vil også være nyttig for å evaluere effekten av vaksinasjoner (9). HPV-gensekvenser kan påvises i infisert vev med metoder der man bruker amplifikasjon eller hybridiseringsteknikker. Av disse er polymerasekjedereaksjon (PCR) den mest sensitive og mest anvendte metoden for å påvise HPV-infeksjon. Bestemte gensekvenser blir mangfoldiggjort (amplifisert) til flere millioner nye kopier med typespesifikke primere eller consensusprimere som kan detektere et bredt spekter av HPV-typer.
Det gis her en oversikt over virusets betydning for kreftutvikling i anogenitalregionen, prostata, luftveier og øvre gastrointestinalkanal, basert på gjennomgang av litteratur (Medline, Pubmed) og egen forskning (10). Prevalensdata som gjengis i denne oversiktsartikkelen er basert på PCR-studier, siden dette er den mest sensitive teknikk for påvisning av humant papillomavirus.
Struktur og molekylærbiologi
Papillomavirus er svært utbredt i naturen og hører, sammen med polyomavirus, til familien papovavirus. Viruset har en diameter på 55 nm, og består av et sirkulært, dobbelttrådet DNA-molekyl omgitt av en proteinkappe (kapsider). Siden virus ikke kan dyrkes i konvensjonelle medier, blir ikke humant papillomavirus inndelt i serotyper, men klassifiseres som genotyper etter homologi i DNA-sekvensen. En ny HPV-type defineres dersom nukleinsyresammensetningen varierer mer enn 10 % fra en annen type i L1-regionen (fig 3) (11). Stadig nye HPV-typer blir klonet og sekvensert (12). Det komplette genom til 84 HPV-typer er nå karakterisert, i tillegg er deler av sekvensen til 140 HPV-typer kjent (de Villiers, personlig meddelelse). Viruset kan også inndeles i spesifikke subgrupper som gjenspeiler kliniske manifestasjoner, vevstropisme og onkogent potensial (13).
HPV-typer som infiserer slimhinner representerer den største subgruppen. Disse kan igjen inndeles i lavrisiko- og høyrisikotyper, ut fra om de er assosiert med kreftutvikling. Mere enn 20 HPV-typer infiserer anogenitalregionen (14). HPV 6 og 11, som hører til lavrisikotypene, påvises i kondylomer og lavgradig intraepitelial neoplasi og er sjelden assosiert med malign transformasjon. HPV 16 og 18 ble i 1995 klassifisert som humane karsinogener og er blant de hyppigst påviste HPV-typer i karsinomer (15). Det er flere HPV-typer som klassifiseres som onkogene, men den kausale sammenheng er ennå ikke påvist for disse. HPV-typer som infiserer hud, f.eks. epidermodysplasia verruciformis, og infeksjon hos pasienter med immunsuppresjon utgjør andre subgrupper.
Det er plateepitelceller som er målcellen, og virus må formere seg i cellekjernen for å opprettholde sin livssyklus. Opptaket og transporten til cellekjernen skjer via α 6 β 4-reseptorer i epitelcellene i basallaget, hvor de mitotisk aktive cellene befinner seg (16). Virusets livssyklus er illustert i figur 4. I transformasjonssonen i cervix får humant papillomavirus lett tilgang til cellene i basallaget, ellers vil infeksjonen ofte skje via små sår eller mikrotraumer i plateepitelet.
Viruspartikkelen består av et dobbelttrådet, sirkulært DNA-molekyl på om lag 8 000 basepar, omgitt av en proteinkappe på 72 kapsomerer. DNA utgjør vel 12 % av viruset og danner komplekser med lavmolekylære histoner (17). Organiseringen av virusgenomet er ganske lik for de fleste papillomavirus, og deles inn i tre funksjonelle regioner (fig 3). Om lag 10 % av genomet er ikke-kodende (NCR = non-coding region). De kodende regionene deles inn i 8 – 10 leserammer, som kalles L- og E-gener («late» og «early»). L1- og L2-genene koder for kapsidproteinene som omgir virus-DNA, mens E-genene koder for proteiner som regulerer virusreplikasjon og transformasjon.
E5-, E6- og E7-genene fungerer som onkogener og koder for vekststimulerende proteiner. Disse er overuttrykt i karsinomer, og må kontinuerlig produseres for å opprettholde en malign fenotype. HPV-onkogenene griper inn i den normale cellesyklusreguleringen ved blant annet å blokkere viktige sjekkpunkter som sikrer at skadede celler blir reparert før de deler seg (18). Dette skjer ved binding til komplekser som dannes mellom sykliner og syklinavhengige kinaser. Av spesiell betydning har E6- og E7-proteinene fra høyrisikotyper av viruset som binder seg til og bryter ned genproduktene fra tumorsuppressorgenene TP53 (19, 20) og RB (21). Dette fører til ukontrollert cellevekst og malign transformasjon.
E1- og E2-genene koder for proteiner som regulerer virusreplikasjon og transkripsjon. I normalt vev forekommer disse bundet til den ikke-kodende region, og undertrykker dermed ekspresjon av E6 og E7 (22). E1 og E2 er spiller en sentral rolle i kreftutviklingen, fordi integrasjonen i vertscellens DNA fører til tap av disse genene og dermed opphevet suppresjon av E6 og E7 (23). I motsetning til i de preinvasive lesjonene er humant papillomavirus hyppig integrert i det humane genom i cervixkarsinomene (24 – 26).
E4-genet koder for proteiner som uttrykkes sent i virusets livssyklus. E4 induserer forandringer i intracellulær matriks som gjør at virus lettere frigjøres fra cellen (27, 28). Disse forandringene fører til koilocytose, som er en av de mest karakteristiske lysmikroskopiske kjennetegn på en HPV-infeksjon. Koilocyttene har, i motsetning til østrogenstimulert plateepitel, forstørrede og hyperkromatiske cellekjerner med uregelmessig kjernekontur og perinukleær oppklaring i cytoplasma. De påvises i det superfisielle cellelag i plateepitelet (fig 1, fig 2).
Det naturlige forløp av en HPV-infeksjon
Det naturlige forløp av en HPV-infeksjon er relativt lite kjent, og det vi vet er i første rekke basert på studier av HPV-infeksjon i cervix (29, 30). De samme patogenetiske mekanismer gjelder sannsynligvis også i andre organer som infiseres av viruset.
Genital HPV-infeksjon blir hovedsakelig overført ved seksuell kontakt, og epitel i de mannlige genitalia kan fungere som et reservoar for virus (31 – 34). Kliniske manifestasjoner kan utvikles 2 – 3 måneder etter smitte (35). Ikke-seksuelle smitteveier er ikke godt nok dokumentert (36). Smitte via blodbanen er ikke påvist. Smitte ved hudkontakt og i forbindelse med instrumentering er beskrevet (37, 38). Perinatal smitte er påvist for juvenil respiratorisk papillomatose, mens det er ulike oppfatninger av om humant papillomavirus kan sprees vertikalt (dvs. fra mor til barn i forbindelse med fødsel) (36, 39). Infeksjonen kan ha et fluktuerende forløp. De fleste HPV-infeksjoner gir ingen kliniske manifestasjoner, men er subkliniske eller latente og går spontant i regress (29). Latente infeksjoner kan reaktiveres ved fysiologisk (graviditet) og patologisk immunsuppresjon (AIDS og immunsuppressiv behandling) (14).
En rekke virale, vertsspesifikke og eksogene faktorer vil kunne influere på forløpet av en HPV-infeksjon. Persisterende infeksjon med onkogene HPV-typer og integrasjon i vertscellens DNA er nødvendig for kreftutvikling (25, 26). Integrasjon med tap av E1- eller E2-genene synes å være assosiert med dårlig prognose (25, 40).
Det er beregnet at 5 – 10 % av infiserte individer vil utvikle invasivt karsinom dersom forstadiene ikke behandles, og denne prosessen kan ta inntil 20 år (14). Epidemiologiske undersøkelser har vist at 70 % av HPV-infeksjoner går spontant i regress i løpet av ett år (41 – 43). Ved persisterende infeksjon vil det kunne ta inntil 2 – 4 år før cervikal intraepitelial neoplasi (CIN) utvikles (44, 45). Risiko for progrediering til invasiv cancer øker med økende CIN-grad (46). En mye omdiskutert studie fra New Zealand har vist at 22 % av kvinner med ubehandlet CIN III utviklet invasiv cancer etter en oppfølgingstid på opptil 28 år (47). HPV-infeksjon er hyppigst i de yngste aldersgrupper (20 – 25 år), høygradig cervikal intraepitelial neoplasi når et maksimum ti år senere og invasiv cancer er hyppigst i aldersgruppen 40 – 59 år (15, 48).
Epidemiologi
Cervix
I global sammenheng er livmorhalskreft en hyppig sykdom, og plateepitelkarsinomene utgjør over 80 %. Hvert år diagnostiseres det 370 000 nye tilfeller av livmorhalskreft, og det er den nest hyppigste kreftform blant kvinner i u-land (49). I Norge har det vært en liten insidensøkning etter at den landsomfattende cervixscreeningundersøkelsen ble iverksatt, men Norge representerer fortsatt et lavinsidensland (50). I 1996 ble det meldt 396 nye tilfeller, og 134 døde av sykdommen.
Plateepitelkarsinom i cervix utvikles via flere forstadier (CIN I-III) hvor HPV-infeksjon representerer det tidligste trinnet i kreftutviklingen. Humant papillomavirus er en nødvendig, men ikke tilstrekkelig faktor for utvikling av cervixneoplasi – en rekke risikofatorer som andre seksuelt overførbare sykdommer, tidlig seksuell debut, mange seksualpartnere, promiskuitet hos partner, røyking, immunsuppresjon, genetiske faktorer og ernæringsforhold kan ha betydning (15, 51). Noen av disse kan være markører for HPV-infeksjon, snarere enn kofaktorer for cervixneoplasi (52).
Prevalensen av HPV-infeksjon hos seksuelt aktive, yngre kvinner er opptil 46 % (43, 53, 54). Det er et inverst forhold mellom alder og forekomst av HPV-infeksjon både hos friske kvinner og kvinner med cervixneoplasi (54 – 56). Epidemiologiske studier har vist at humant papillomavirus forekommer i majoriteten av cervixkarsinomer og forstadiene (57). Den største internasjonale studien som har vært gjennomført om livmorhalskreft har vist en prevalens av viruset på 99,7 % ved å optimalisere PCR-undersøkelsen (58, 59). Høyrisikotypene 16, 18, 31 og 33 var til stede i over 80 % av tilfellene, og HPV 16 ble påvist i vel 50 % av alle karsinomene. HPV-prevalensen øker med økende CIN-grad (15). I pasient-kontroll-studier har man med PCR påvist humant papillomavirus signifikant oftere hos kvinner med høygradig cervikal intraepitelial neoplasi (63 – 94 %) enn hos kontrollpersonene (5 – 42 %) (60 – 64). De laveste tallene er fra land med liten forekomst av cervixcancer.
Det debatteres om det i det hele tatt eksisterer HPV-negative cervixneoplasier (65). Mange av disse representerer nok falskt negative tilfeller på grunn av begrensninger i teknikkens sensitivitet og prøvematerialets kvalitet. I cervixkarsinomer er humant papillomavirus ofte integrert i vertscellens DNA, hvilket kan føre til tap av L1- eller L2-regionen og falskt negative resultater med PCR dersom man bare benytter primere rettet mot disse regionene. Ved bruk av flere primersett og optimalisering av teknikken kan viruset påvises i nesten 100 % av cervixkarsinomer (59, 66).
Vulva
Vulvacancer er en sjelden kreftform, hvor det er geografiske variasjoner i forekomst. Insidensen øker med alderen, og plateepitelkarsinomer utgjør ca. 90 % av de maligne svulstene. I Norge, som er et lavinsidensland, diagnostiseres det i underkant av 50 nye tilfeller per år og dobbelt så mange carcinoma in situ (VIN III) (Gry Skare, Kreftregisteret, personlig meddelelse). Vulvacancer kan inndeles i to hovedgrupper ut fra årsaksfaktorer (67 – 72). Den vanligste tumortypen er de forhornede plateepitelkarsinomene, som er hyppigst hos kvinner over 70 år. Disse er ofte assosiert med lichen sclerosus, og HPV-prevalensen er lav (4 – 23 % detektert med PCR). De verrukøse og basaloide karsinomene forekommer hos yngre kvinner (47 – 54 år) og er ofte assosiert med carcinoma in situ og humant papillomavirus HPV-DNA er påvist hos 75 – 100 % av disse, og som i de øvrige anogenitale karsinomene er HPV 16 hyppigst (68, 69, 71, 72).
Anus
Analcancer er en sjelden kreftform, men insidensen har steget de siste årtier, spesielt blant kvinner og yngre menn (73, 74). Analcancer forekommer 2 – 3 ganger hyppigere hos kvinner (75) (Gry Skare, Kreftregisteret, personlig meddelelse). I Norge diagnostiseres det ca. 50 nye tilfeller hvert år, og de fleste er plateepitelkarsinomer. HPV og andre veneriske sykdommer, analt samleie og røyking er kjente risikofaktorer (75, 76). Analkanalen har i likhet med cervix en transformasjonssone som kan være utgangspunkt for HPV-infeksjon og malign transformasjon via forstadier (77). HPV-prevalens detektert med PCR er større for karsinomer i analkanalen enn for karsinomer som utgår fra hud i perianalregionen. Preinvasive lesjoner og HPV-infeksjon påvises hyppig hos HIV-positive homoseksuelle menn, og progrediering fra lavgradig til høygradig intraepitelial neoplasi er også signifikant hyppigere hos disse (78, 79). HPV-DNA er påvist i opptil 89 % av analcancere, med HPV 16 som den dominerende HPV-type (15, 80).
Penis
Betydning av HPV-infeksjon som risikofaktor for penisneoplasi er ikke avklart. Som vulvacancer øker insidensen av peniscancer lineært med alderen, i motsetning til insidensen av cervixcancer, som avtar signifikant etter 60 års alder (81). Peniscancer er også en sjelden kreftsykdom, i Norge diagnostiseres det årlig ca. 30 nye tilfeller, de fleste er plateepitelkarsinomer (Gry Skare, Kreftregisteret, personlig meddelelse). I penis er det ikke noen transformasjonssone slik som i cervix og anus, men de invasive karsinomene utvikles sannsynligvis via forstadier. Det naturlige forløpet av disse er ikke kjent. HPV-infeksjon kan representere det tidligste trinnet i kreftutviklingen. Studier basert på PCR har imidlertid vist stor variasjon i HPV-prevalens, fra 17 % til 82 % (15, 82, 83). HPV-positiviteten i de største studiene er ca. 40 %, og HPV 16 er den dominerende HPV-type.
I en fransk studie ble 1 000 mannlige seksualpartnere til kvinner med HPV-lesjoner eller cervikal intraepitelial neoplasi undersøkt med kolposkop. Det ble påvist kliniske eller subkliniske lesjoner hos 9,2 % av mennene, av disse hadde 93 % intraepitelial neoplasi (84). Hos 76 % av mennene med høygradig intraepitelial neoplasi hadde også deres kvinnelige partnere høygradig cervikal intraepitelial neoplasi. Epidemiologiske undersøkelser viser at neonatal omskjæring beskytter mot utvikling av peniscancer (85). Bevart forhud, dårlig hygiene, infeksjoner og fimose er disponerende faktorer for kreftutvikling. Omskjæring beskytter imidlertid ikke mot HPV-induserte lesjoner på glans penis (84). Smitte kan overføres via sæd, men det komplette virusgenom er ikke påvist i spermier, og det er ikke bevist at humant papillomavirus kan formere seg i spermier (86). I land med liten forekomst av cervixcancer er det funnet en sterk assosiasjon mellom påvist HPV-infeksjon i penis og risiko for utvikling av cervixcancer (87), mens dette ikke er påvist i høyinsidensland (88). I en norsk pasient-kontroll-studie ble det heller ikke funnet noen signifikant økt risiko for utvikling av cervix-, vulva- eller vaginaneoplasi hos ektefeller til menn med plateepitelkarsinom på penis (81).
Prostata
Humant papillomavirus som risikofaktor for utvikling av prostatacancer er kontroversielt, men prostata kan fungere som et reservoar for viruset, og dette kan ha betydning for smitteoverføring. Det foreligger ingen store, kontrollerte epidemiologiske studier der man har påvist noen kausal sammenheng mellom humant papillomavirus og prostatacancer (15). I noen små studier har man påvist HPV-DNA både i benignt prostatavev og i proatatakarsinomer (15 – 61 % versus 13 – 53 %) (89 – 91), mens man i andre studier ikke har greid å påvise dette (92, 93).
Øre-nese-hals-regionen
Frekvenstallene spriker sterkt for de ulike lokalisasjoner, noe som kan tyde på metodologiske vanskeligheter. Gjennomgang av litteraturen har vist at man med PCR kan påvise HPV-DNA i vel 35 % av øre-nese-hals-karsinomer. Forekomsten er høyest for tonsillkarsinom (94). I alle studier er HPV 16 hyppigst. Det er påvist høy forekomst av humant papillomavirus og onkogene HPV-typer i normal munnslimhinne, opptil 80 % i noen studier (95 – 97). En kausal sammenheng mellom viruset og kreftutvikling i øre-nese-hals-regionen er imidlertid ikke bevist. Røyking og alkohol representerer de viktigste risikofaktorer for kreftutvikling, men det er mulig at humant papillomavirus kan virke synergistisk (98).
Lunge
Det er ikke klarlagt om humant papillomavirus har noen betydning for kreftutvikling i lunge. Studiene så langt er små og dels motstridende. Den rapporterte forekomst av HPV-DNA varierer sterkt (0 – 79 %), noe som kan skyldes metodologiske faktorer (15, 99 – 103).
Oesophagus
Store geografiske variasjoner i prevalens av oesophaguskarsinomer tyder på at miljøfaktorer er viktige for kreftutviklingen. Av disse er alkohol og tobakk viktigst. Høyest forekomst av oesophaguskarsinomer finnes i Nord-Kina, Sør-Afrika, Iran og Nord-Frankrike (104). Forekomst av HPV-DNA er imidlertid betydelig lavere i plateepitelkarsinomer i oesophagus enn i cervix. I de fleste undersøkelser er prevalensen under 10 % i lavinsidensland, opptil 60 % i høyinsidensland (15, 105, 106).
Konklusjon
Kliniske, epidemiologiske og molekylærbiologiske studier har vist at HPV-infeksjon er en av de viktigste risikofaktorer for utvikling av cervixneoplasi. HPV-negative cervixkarsinomer forekommer svært sjelden. I 1995 ble HPV 16 og 18 klassifisert som humane karsinogener. Humant papillomavirus er en nødvendig, men ikke tilstrekkelig årsaksfaktor i karsinogenesen. Det er sannsynlig at viruset også har betydning for utvikling av plateepitelkarsinomer i anus, vulva og penis, siden det er funnet høy forekomst av onkogene HPV-typer i karsinomer disse stedene. Det er mer usikkert hvilken rolle HPV-infeksjon spiller i kreftutviklingen i respirasjonsveier og øvre gastrointestinalkanal. Terapeutiske og profylaktiske vaksiner mot HPV-infeksjon er nå under utvikling og utprøvning. Om noen år kan disse få betydning for behandling og forebygging av livmorhalskreft, som i global sammenheng er en av de hyppigste kreftformer hos kvinner.
- 1.
Ciuffo G. Innesto positivo con filtrado di verrucae volgare. G Ital Mal Venereol 1907; 48: 12 – 7.
- 2.
Shope RE. Infectious papillomatosis of rabbits. J Exp Med 1933; 58: 607 – 27.
- 3.
Strauss MJ, Shaw EW, Bunting H, Melnick JL. «Crystalline» virus-like-particles from skin papillomas characterized by intranuclear inclusions bodies. Proc Soc Exp Biol Med 1949; 72: 46 – 50.
- 4.
Crawford LV, Crawford EM. A comparative study of polyoma and papillomaviruses. Virology 1963; 21: 258 – 63.
- 5.
zur Hausen H. Condylomata acuminata and human genital cancer. Cancer Research 1976; 36: 794.
- 6.
Gissmann L, Diehl V, Schultz CH, zur Hausen H. Molecular cloning and characterization of human papilloma virus DNA derived from a laryngeal papilloma. J Virol 1982; 44: 393 – 400.
- 7.
de-Villiers EM, Gissmann L, zur Hausen H. Molecular cloning of viral DNA from human genital warts. J Virol 1981; 40: 932 – 5.
- 8.
zur Hausen H. Roots and perspectives of contemporary papillomavirus research. J Cancer Res Clin Oncol 1996; 122: 3 – 13.
- 9.
Dillner J. The serological response to papillomaviruses. Semin Cancer Biol 1999; 9: 423 – 30.
- 10.
Lie AK. Diagnosis and prevalence of human papillomavirus infection in cervical intraepithelial neoplasia. Relationship to cell cycle regulatory proteins and HLA BQB1 genes. Doktoravhandling. Trondheim: Institutt for morfologi, Norges teknisk naturvitenskaplige universitet, 1999.
- 11.
de Villiers EM. Pathogenetic papillomavirus types: an update. Curr Top Microbiol Immunol 1994; 186: 1 – 12.
- 12.
de Villiers EM. Papillomavirus and HPV typing. Clin Dermatol 1997; 15: 199 – 206.
- 13.
Van Ranst M, Kaplan JB, Burk RD. Phylogenetic classification of human papillomaviruses: correlation with clinical manifestations. J Gen Virol 1992; 73: 2653 – 60.
- 14.
Richart RM, Masood S, Syrjanen KJ, Vassilakos P, Kaufman RH, Meisels A et al. Human papillomavirus. International Academy of Cytology Task Force summary. Diagnostic cytology towards the 21st Century: an international expert conference and tutorial. Acta Cytol 1998; 42: 50 – 8.
- 15.
IARC Working group on the Evaluation Carcinogenic Risks to Humans. Human Papillomaviruses. Lyon: IARC, 1995: 64: 1 – 409.
- 16.
Evander M, Frazer IH, Payne E, Qi YM, Hengst K, McMillan NA. Identification of the alpha6 integrin as a candidate receptor for papillomaviruses. J Virol 1997; 71: 2449 – 56.
- 17.
Howley PM. Papillomavirinae: the viruses and their replication. I: Fields BN, Knipe DM, Howley PM, red. Fundamental virology. Philadelphia: Lippincott-Raven, 1996: 947 – 78.
- 18.
Syrjanen SM, Syrjanen KJ. New concepts on the role of human papillomavirus in cell cycle regulation. Ann Med 1999; 31: 175 – 87.
- 19.
Werness BA, Levine AJ, Howley PM. Association of human papillomavirus types 16 and 18 E6 proteins with p53. Science 1990; 248: 76 – 9.
- 20.
Scheffner M, Werness BA, Huibregtse JM, Levine AJ, Howley PM. The E6 oncoprotein encoded by human papillomavirus types 16 and 18 promotes the degradation of p53. Cell 1990; 63: 1129 – 36.
- 21.
Cobrinik D, Dowdy SF, Hinds PW, Mittnacht S, Weinberg RA. The retinoblastoma protein and the regulation of cell cycling. Trends Biochem Sci 1992; 17: 312 – 5.
- 22.
Thierry F, Howley PM. Functional analysis of E2-mediated repression of the HPV18 P105 promoter. New Biol 1991; 3: 90 – 100.
- 23.
Romanczuk H, Howley PM. Disruption of either the e1 or the e2 regulatory gene of human papillomavirus type 16 increases viral immortalization capacity. Proc Natl Acad Sci USA 1992; 89: 3159 – 63.
- 24.
Cullen AP, Reid R, Campion M, Lorincz AT. Analysis of the physical state of different human papillomavirus DNAs in intraepithelial and invasive cervical neoplasm. J Virol 1991; 65: 606 – 12.
- 25.
Kalantari M, Karlsen F, Kristensen G, Holm R, Hagmar B, Johansson B. Disruption of the E1 and E2 reading frames of HPV 16 in cervical carcinoma is associated with poor prognosis. Int J Gynecol Pathol 1998; 17: 146 – 53.
- 26.
Yoshinouchi M, Hongo A, Nakamura K, Kodama J, Itoh S, Sakai H, et al. Analysis by multiplex PCR of the physical status of human papillomavirus type 16 DNA in cervical cancers. J Clin Microbiol 1999; 37: 3514 – 7.
- 27.
Doorbar J, Ely S, Sterling J, McLean C, Crawford L. Specific interaction between HPV-16 E1-E4 and cytokeratins results in collapse of the epithelial cell intermediate filament network. Nature 1991; 352: 824 – 7.
- 28.
Roberts S, Ashmole I, Johnson GD, Kreider JW, Gallimore PH. Cutaneous and mucosal human papillomavirus E4 proteins form intermediate filament-like structures in epithelial cells. Virology 1993; 197: 176 – 87.
- 29.
Schneider A. Natural history of genital papillomavirus infections. Intervirology 1994; 37: 201 – 14.
- 30.
Syrjänen KJ. Natural history of genital human papillomavirus infections. Papillomavirus reviews: current research on papillomaviruses. Leeds: Leeds University Press, 1996; 189 – 206.
- 31.
Barrasso R, De-Brux J, Croissant O, Orth G. High prevalence of papillomavirus-associated penile intraepithelial neoplasia in sexual partners of women with cervical intraepithelial neoplasia. N Engl J Med 1987; 317: 916 – 23.
- 32.
Kyo S, Inoue M, Koyama M, Fujita M, Tanizawa O, Hakura A. Detection of high-risk human papillomavirus in the cervix and semen of sex partners. J Infect Dis 1994; 170: 682 – 5.
- 33.
Rotola A, Costa S, Monini P, Vendra C, Guida G, Terzano P et al. Impact of sexual habits on the clinical evaluation of male HPV infection. Eur J Epidemiol 1994; 10: 373 – 80.
- 34.
Baken LA, Koutsky LA, Kuypers J, Kosorok MR, Lee SK, Kiviat NB et al. Genital human papillomavirus infection among male and female sex partners: prevalence and type-specific concordance. J Infect Dis 1995; 171: 429 – 32.
- 35.
Oriel JD. Natural history of genital warts. Br J Vener Dis 1971; 47: 1 – 13.
- 36.
Dillner J, Andersson EA, Hagmar B, Schiller J. High risk genital papillomavirus infections are not spread vertically. Rev Med Virol 1999; 9: 23 – 9.
- 37.
Garden JM, O"Banion MK, Shelnitz LS, Pinski KS, Bakus AD, Reichmann ME et al. Papillomavirus in the vapor of carbon dioxide laser-treated verrucae. JAMA 1988; 259: 1199 – 202.
- 38.
Ferenczy A, Bergeron C, Richart RM. Carbon dioxide laser energy disperses human papillomavirus deoxyribonucleic acid onto treatment fields. Am J Obstet Gynecol 1990; 163: 1271 – 4.
- 39.
Puranen MH, Yliskoski MH, Saarikoski SV, Syrjänen KJ, Syrjänen SM. Exposure of an infant to cervical human papillomavirus infection of the mother is common. Am J Obstet Gynecol 1997; 176: 1039 – 45.
- 40.
Vernon SD, Unger ER, Miller DL, Lee DR, Reeves WC. Association of human papillomavirus type 16 integration in the E2 gene with poor disease-free survival from cervical cancer. Int J Cancer 1997; 74: 50 – 6.
- 41.
Hildesheim A, Schiffman MH, Gravitt PE, Glass AG, Greer CE, Zhang T et al. Persistence of type-specific human papillomavirus infection among cytologically normal women. J Infect Dis 1994; 169: 235 – 40.
- 42.
Evander M, Edlund K, Gustafsson A, Jonsson M, Karlsson R, Rylander E et al. Human papillomavirus infection is transient in young women: a population-based cohort study. J Infect Dis 1995; 171: 1026 – 30.
- 43.
Ho GY, Bierman R, Beardsley L, Chang CJ, Burk RD. Natural history of cervicovaginal papillomavirus infection in young women. N Engl J Med 1998; 338: 423 – 8.
- 44.
Koutsky LA, Holmes KK, Critchlow CW, Stevens CE, Paavonen J, Beckmann AM et al. A cohort study of the risk of cervical intraepithelial neoplasia grade 2 or 3 in relation to papillomavirus infection. N Engl J Med 1992; 327: 1272 – 8.
- 45.
Ho GY, Burk RD, Klein S, Kadish AS, Chang CJ, Palan P et al. Persistent genital human papillomavirus infection as a risk factor for persistent cervical dysplasia. J Natl Cancer Inst 1995; 87: 1365 – 71.
- 46.
Ostor AG. Natural history of cervical intraepithelial neoplasia: a critical review. Int J Gynecol Pathol 1993; 12: 186 – 92.
- 47.
McIndoe WA, McLean MR, Jones RW, Mullins PR. The invasive potential of carcinoma in situ of the cervix. Obstet Gynecol 1984; 64: 451 – 8.
- 48.
Bjorge T, Thoresen SO, Skare GB. Incidence, survival and mortality in cervical cancer in Norway, 1956 – 1990. Eur J Cancer 1993; 29A: 2291 – 7.
- 49.
Parkin DM, Pisani P, Ferlay J. Estimates of the worldwide incidence of 25 major cancers in 1990. Int J Cancer 1999; 80: 827 – 41.
- 50.
Kreft i Norge 1996. Oslo: Kreftregisteret: 1999.
- 51.
Wright TC, Ferenczy A, Kurman RJ. Precancerous lesions of the cervix. I: Kurman RJ, red. Blaustein"s pathology of the female genital tract. New York: Springer Verlag, 1994: 229 – 78.
- 52.
Olsen AO. Human papillomavirus and high-grade cervical intraepitelial neoplasia – a case-control study. Doktorgradsavhandling. Oslo: Folkehelsa, Avdeling for epidemiologi, Det medisinske Fakultet, 1998.
- 53.
Bauer HM, Ting Y, Greer CE, Chambers JC, Tashiro CJ, Chimera J et al. Genital human papillomavirus infection in female university students as determined by a PCR-based method. JAMA 1991; 265: 472 – 7.
- 54.
Melkert PW, Hopman E, van den Brule AJ, Risse EK, van Diest PJ, Bleker OP et al. Prevalence of HPV in cytomorphologically normal cervical smears, as determined by the polymerase chain reaction, is age-dependent. Int J Cancer 1993; 53: 919 – 23.
- 55.
Higgins GD, Davy M, Roder D, Uzelin DM, Phillips GE, Burrell CJ. Increased age and mortality associated with cervical carcinomas negative for human papillomavirus RNA. Lancet 1991; 338: 910 – 3.
- 56.
Burger MP, Hollema H, Pieters WJ, Schroder FP, Quint WG. Epidemiological evidence of cervical intraepithelial neoplasia without the presence of human papillomavirus. Br J Cancer 1996; 73: 831 – 6.
- 57.
Schiffman MH, Brinton LA. The epidemiology of cervical carcinogenesis. Cancer 1995; 76: 1888 – 901.
- 58.
Bosch FX, Manos MM, Munoz N, Sherman M, Jansen AM, Peto J et al. Prevalence of human papillomavirus in cervical cancer: a worldwide perspective. International biological study on cervical cancer (IBSCC) Study Group. J Natl Cancer Inst 1995; 87: 796 – 802.
- 59.
Walboomers JMM, Jacobs MV, Manos MM, Bosch XF, Kupek E, Shah KV et al. Human papillomavirus is a necessary cause of invasive cervical cancer worldwide. J Pathol 1999; 189: 12 – 9.
- 60.
Bosch FX, Munoz N, de-Sanjose S, Navarro C, Moreo P, Ascunce N et al. Human papillomavirus and cervical intraepithelial neoplasia grade III/carcinoma in situ: a case-control study in Spain and Colombia. Cancer Epidemiol Biomarkers Prev 1993; 2: 415 – 22.
- 61.
Schiffman MH, Bauer HM, Hoover RN, Glass AG, Cadell DM, Rush BB et al. Epidemiologic evidence showing that human papillomavirus infection causes most cervical intraepithelial neoplasia. J Natl Cancer Inst 1993; 85: 958 – 64.
- 62.
Becker TM, Wheeler CM, McGough NS, Parmenter CA, Jordan SW, Stidley CA et al. Sexually transmitted diseases and other risk factors for cervical dysplasia among southwestern Hispanic and non-Hispanic white women. JAMA 1994; 271: 1181 – 8.
- 63.
Olsen AO, Gjoen K, Sauer T, Orstavik I, Naess O, Kierulf K et al. Human papillomavirus and cervical intraepithelial neoplasia grade II-III: a population-based case-control study. Int J Cancer 1995; 61: 312 – 5.
- 64.
Lie AK, Skarsvåg S, Haugen OA, Skjeldestad FE, Olsen AO, Skovlund E et al. Association between the HLA DQB1*0301 gene and human papillomavirus infection in high-grade cervical intraepithelial neoplasia. Int J Gynecol Pathol 1999; 18: 206 – 10.
- 65.
Walboomers JMM, Meijer CJLM. Do HPV-negative cervical carcinomas exist? J Pathol 1997; 181: 253 – 4.
- 66.
Kleter B, van-Doorn LJ, ter-Schegget J, Schrauwen L, van-Krimpen K, Burger M et al. Novel short-fragment PCR assay for highly sensitive broad-spectrum detection of anogenital human papillomaviruses. Am J Pathol 1998; 153: 1731 – 9.
- 67.
Bloss JD, Liao SY, Wilczynski SP, Macri C, Walker J, Peake M et al. Clinical and histologic features of vulvar carcinomas analyzed for human papillomavirus status: evidence that squamous cell carcinoma of the vulva has more than one etiology. Hum Pathol 1991; 22: 711 – 8.
- 68.
Toki T, Kurman RJ, Park JS, Kessis T, Daniel RW, Shah KV. Probable nonpapillomavirus etiology of squamous cell carcinoma of the vulva in older women: a clinicopathologic study using in situ hybridization and polymerase chain reaction. Int J Gynecol Pathol 1991; 10: 107 – 25.
- 69.
Hording U, Junge J, Daugaard S, Lundvall F, Poulsen H, Bock JE. Vulvar squamous cell carcinoma and papillomaviruses: indications for two different etiologies. Gynecol Oncol 1994; 52: 241 – 6.
- 70.
Messing MJ, Gallup DG. Carcinoma of the vulva in young women. Obstet Gynecol 1995; 86: 51 – 4.
- 71.
Trimble CL, Hildesheim A, Brinton LA, Shah KV, Kurman RJ. Heterogeneous etiology of squamous carcinoma of the vulva. Obstet Gynecol 1996; 87: 59 – 64.
- 72.
Madeleine MM, Daling JR, Carter JJ, Wipf GC, Schwartz SM, McKnight B et al. Cofactors with human papillomavirus in a population-based study of vulvar cancer. J Natl Cancer Inst 1997; 89: 1516 – 23.
- 73.
Frisch M, Melbye M, Moller H. Trends in incidence of anal cancer in Denmark. BMJ 1993; 306: 419 – 22.
- 74.
Melbye M, Rabkin C, Frisch M, Biggar RJ. Changing patterns of anal cancer incidence in the United States, 1940 – 1989. Am J Epidemiol 1994; 139: 772 – 80.
- 75.
Frisch M, Glimelius B, van-den-Brule AJ, Wohlfahrt J, Meijer CJ, Walboomers JM et al. Sexually transmitted infection as a cause of anal cancer. N Engl J Med 1997; 337: 1350 – 8.
- 76.
Daling JR, Weiss NS, Hislop TG, Maden C, Coates RJ, Sherman KJ et al. Sexual practices, sexually transmitted diseases, and the incidence of anal cancer. N Engl J Med 1987; 317: 973 – 7.
- 77.
Melbye M, Frisch M. The role of human papillomaviruses in anogenital cancers. Semin Cancer Biol 1998; 8: 307 – 13.
- 78.
Palefsky JM, Holly EA, Ralston ML, Arthur SP, Jay N, Berry JM et al. Anal squamous intraepithelial lesions in HIV-positive and HIV-negative homosexual and bisexual men: prevalence and risk factors. J Acquir Immune Defic Syndr Hum Retrovirol 1998; 17: 320 – 6.
- 79.
Palefsky JM, Holly EA, Hogeboom CJ, Ralston ML, DaCosta MM, Botts R et al. Virologic, immunologic, and clinical parameters in the incidence and progression of anal squamous intraepithelial lesions in HIV-positive and HIV-negative homosexual men. J Acquir Immune Defic Syndr Hum Retrovirol 1998; 17: 314 – 9.
- 80.
Holm R, Tanum G, Karlsen F, Nesland JM. Prevalence and physical state of human papillomavirus DNA in anal carcinomas. Mod Pathol 1994; 7: 449 – 53.
- 81.
Iversen T, Tretli S. Intraepithelial and invasive squamous cell neoplasia of the vulva: trends in incidence, recurrence, and survival rate in Norway. Obstet Gynecol 1998; 91: 969 – 72.
- 82.
Maden C, Sherman KJ, Beckmann AM, Hislop TG, Teh CZ, Ashley RL et al. History of circumcision, medical conditions, and sexual activity and risk of penile cancer. J Natl Cancer Inst 1993; 85: 19 – 24.
- 83.
Gregoire L, Cubilla AL, Reuter VE, Haas GP, Lancaster WD. Preferential association of human papillomavirus with high-grade histologic variants of penile-invasive squamous cell carcinoma. J Natl Cancer Inst 1995; 87: 1705 – 9.
- 84.
Aynaud O, Ionesco M, Barrasso R. Penile intraepithelial neoplasia. Specific clinical features correlate with histologic and virologic findings. Cancer 1994; 74: 1762 – 7.
- 85.
Schoen EJ. The relationship between circumcision and cancer of the penis. CA Cancer J Clin 1991; 41: 306 – 9.
- 86.
Pao CC, Yang FP, Lai YM. Preferential retention of the E6 and E7 regions of the human papilloma virus type 18 genome by human sperm cells. Fertil Steril 1996; 66: 630 – 3.
- 87.
Bosch FX, Castellsague X, Munoz N, de-Sanjose S, Ghaffari AM, Gonzalez LC et al. Male sexual behavior and human papillomavirus DNA: key risk factors for cervical cancer in Spain. J Natl Cancer Inst 1996; 88: 1060 – 7.
- 88.
Munoz N, Castellsague X, Bosch FX, Tafur L, de Sanjose S, Aristizabal N et al. Difficulty in elucidating the male role in cervical cancer in Colombia, a high-risk area for the disease. J Natl Cancer Inst 1996; 88: 1068 – 75.
- 89.
McNicol PJ, Dodd JG. High prevalence of human papillomavirus in prostate tissues. J Urol 1991; 145: 850 – 3.
- 90.
Moyret LC, Marcais C, Jacquemier J, Moles JP, Daver A, Soret JY et al. ras, p53 and HPV status in benign and malignant prostate tumors. Int J Cancer 1995; 64: 124 – 9.
- 91.
Wideroff L, Schottenfeld D, Carey TE, Beals T, Fu G, Sakr W et al. Human papillomavirus DNA in malignant and hyperplastic prostate tissue of black and white males. Prostate 1996; 28: 117 – 23.
- 92.
Strickler HD, Burk R, Shah K, Viscidi R, Jackson A, Pizza G et al. A multifaceted study of human papillomavirus and prostate carcinoma. Cancer 1998; 82: 1118 – 25.
- 93.
Noda T, Sasagawa T, Dong Y, Fuse H, Namiki M, Inoue M. Detection of human papillomavirus (HPV) DNA in archival specimens of benign prostatic hyperplasia and prostatic cancer using a highly sensitive nested PCR method. Urol Res 1998; 26: 165 – 9.
- 94.
McKaig RG, Baric RS, Olshan AF. Human papillomavirus and head and neck cancer: epidemiology and molecular biology. Head Neck 1998; 20: 250 – 65.
- 95.
Jalal H, Sanders CM, Prime SS, Scully C, Maitland NJ. Detection of human papilloma virus type 16 DNA in oral squames from normal young adults. J Oral Pathol Med 1992; 21: 465 – 70.
- 96.
Lawton G, Thomas S, Schonrock J, Monsour F, Frazer I. Human papillomaviruses in normal oral mucosa: a comparison of methods for sample collection. J Oral Pathol Med 1992; 21: 265 – 9.
- 97.
Terai M, Takagi M, Matsukura T, Sata T. Oral wart associated with human papillomavirus type 2. J Oral Pathol Med 1999; 28: 137 – 40.
- 98.
Steinberg BM, DiLorenzo TP. A possible role for human papillomaviruses in head and neck cancer. Cancer Metastasis Rev 1996; 15: 91 – 112.
- 99.
Welt A, Hummel M, Niedobitek G, Stein H. Human papillomavirus infection is not associated with bronchial carcinoma: evaluation by in situ hybridization and the polymerase chain reaction. J Pathol 1997; 181: 276 – 80.
- 100.
Gorgoulis VG, Zacharatos P, Kotsinas A, Kyroudi A, Rassidakis AN, Ikonomopoulos JA et al. Human papilloma virus (HPV) is possibly involved in laryngeal but not in lung carcinogenesis. Hum Pathol 1999; 30: 274 – 83.
- 101.
Hennig EM, Suo Z, Karlsen F, Holm R, Thoresen S, Nesland JM. HPV positive bronchopulmonary carcinomas in women with previous high-grade cervical intraepithelial neoplasia (CIN III). Acta Oncol 1999; 38: 639 – 47.
- 102.
Bohlmeyer T, Le TN, Shroyer AL, Markham N, Shroyer KR. Detection of human papillomavirus in squamous cell carcinomas of the lung by polymerase chain reaction. Am J Respir Cell Mol Biol 1998; 18: 265 – 9.
- 103.
Hirayasu T, Iwamasa T, Kamada Y, Koyanagi Y, Usuda H, Genka K. Human papillomavirus DNA in squamous cell carcinoma of the lung. J Clin Pathol 1996; 49: 810 – 7.
- 104.
Day NE, Varghese C. Oesophageal cancer. Cancer Surv 1994; 19/20: 43 – 54.
- 105.
Chen B, Yin H, Dhurandhar N. Detection of human papillomavirus DNA in esophageal squamous cell carcinomas by the polymerase chain reaction using general consensus primers. Hum Pathol 1994; 25: 920 – 3.
- 106.
Kok TC, Nooter K, Tjong AH-S, Smits HL, Ter-Schegget JT. No evidence of known types of human papillomavirus in squamous cell cancer of the oesophagus in a low-risk area. Rotterdam Oesophageal Tumour Study Group. Eur J Cancer 1997; 33: 1865 – 8.