Akromegali – diagnostikk og behandling

    ()

    sporsmal_grey_rgb
    Abstract

    Akromegali er en sjelden, snikende, men klinisk viktig sykdomsenhet som nesten uten unntak skyldes et veksthormonproduserende hypofyseadenom. Det er en betydelig morbiditet og ubehandlet en økt mortalitet.

    Man regner med en insidens på 4 – 6 tilfeller per million per år. Den diagnostiske test er veksthormonbestemmelse under peroral glukosebelastning. Tumor visualiseres ved hjelp av MR-skanning av sellaregionen.

    Standardbehandlingen er transsfenoidal operasjon. Tumorutbredelsen på diagnosetidpunktet er ofte omfattende, så radikal operasjon er vanskelig. Teoretisk og på grunnlag av få studier har det vært antatt at preoperativ behandling med somatostatinanalog kan føre til bedre radikalitet.

    Norsk Neuroendokrin Interessegruppe har initiert en prospektiv studie for å avklare dette. Ved postoperativ sykdomsaktivitet gis adjuvant behandling, i første rekke i form av somatostatinanaloger, fortrinnsvis som depotinjeksjoner. Behandlingen er tilsynelatende uten takyfylaksi og har få bivirkninger, men er foreløpig kostbar. Alternativt anvendes dopaminagonister, spesielt ved blandingstumorer med samtidig produksjon av prolaktin. Effekten er dårlig, sammenliknet med somatostatinanaloger, men mer spesifikke dopaminagonister er til utprøvning. Strålebehandling kan være aktuelt ved store svulster. Effekten inntrer langsomt, bivirkningene kan være plagsomme og nesten alle pasienter utvikler hypofysesvikt etterpå. Stråleknivsbehandling mot små restsvulster ser ut til å kunne bli et lovende tilbud både med henblikk på å stanse tumorvekst og å bremse eller stanse hormonoverproduksjon. Effekten inntrer imidlertid først etter ett til flere år.

    Abstract

    Background. Acromegaly is a rare but clinically important disease caused by growth hormone hypersecretion, usually from a pituitary adenoma. The condition is associated with increased morbidity and mortality.

    Material and methods. The prevalence of acromegaly is estimated to be 4 – 6 cases per million per year. The diagnosis is based on glucose-suppressed plasma growth hormone. When the diagnosis is confirmed, MR imaging of the pituitary gland is performed.

    Results. Standard treatment is transsphenoidal microsurgery; however, radicality is often difficult because of extensive tumour growth. Preoperative administration of somatostatin analogues may improve the surgical outcome.

    Interpretation. We have initiated a randomized, prospective study to elucidate this adjuvant treatment. Somatostatin analouges are required in the case of postoperative activity. This treatment is without tachyphylaxis and has few side effects. Alternatively, dopamine agonists such as bromocriptine can be used, especially in mixed tumours coproducing prolactin. Newer, more specific dopamine agonists are currently being evaluated. Radiation therapy may be required in large, unresectable tumours, but the effects are slow-acting, and almost all patients develop hypopituitarism. Gamma knife radiosurgery seems promising for stopping tumour growth as well as for decreasing excessive hormone production. However long-time follow-up results are so far lacking.

    Artikkel

    Overproduksjon av veksthormon medfører karakteristiske kliniske bilder, avhengig av sykdomsdebut i forhold til biologisk alder. Dersom overproduksjonen inntrer før lukking av epifyseskivene, utvikles gigantisme, mens sykdomsdebut etter avsluttet lengdevekst medfører akromegali. Dette er sjeldne sykdommer, med en insidens på 4 – 6 nye tilfeller per million innbyggere per år (1 – 3), altså 15 – 25 nye tilfeller årlig i Norge. Sykdommene er kroniske og kan medføre en betydelig morbiditet, men relativt begrenset mortalitetsøkning, spesielt ved moderne behandling. Prevalensen er derfor relativt høy, opp mot 100 per million innbyggere, altså ca. 400 pasienter i Norge. Gigantisme er mye sjeldnere enn akromegali, men ettersom diagnostikk og behandling er prinsipielt like, vil vi i det følgende konsentrere oss om akromegali.

    Akromegali skyldes praktisk talt i alle tilfeller et veksthormonproduserende hypofyseadenom. Andre uhyre sjeldne årsaker til sykdommen finnes, for eksempel ektopisk produksjon av veksthormonstimulerende hormon (Growth Hormone Releasing Hormone, GHRH). Som ved andre sykdommer i hypofysen er symptomutviklingen ofte langsom, slik at pasienten og de nærmeste omgivelser ikke legger merke til den. I et arbeid fra Nederland var den gjennomsnittlige tid fra symptomdebut til diagnose mer enn seks år (4). Det svarer til våre egne erfaringer at man tidvis kan få frem symptomer tiår tilbake. Ofte er det bemerkninger fra bekjente som ikke har sett pasienten på lenge som leder til diagnosen, og på fotografier kan man i ettertid spore de akromegale trekk flere tiår tilbake.

    Formålet med denne artikkelen er å gi en oversikt over diagnostikk ved klinisk mistanke om akromegali og hvilke behandlingsalternativer som finnes. Både diagnostikk og behandling krever samarbeid mellom ulike medisinske spesialiteter for at resultatet skal bli godt. Behandling av sekundære manifestasjoner, som er vanlige ved akromegali, vil ikke bli berørt.

    Symptomer og patofysiologi

    Symptomer og patofysiologi

    Ved det fullt utviklede kliniske bilde hvor pasienten har hatt symptomer i mange år, stilles den kliniske diagnose i døren (fig 1). Diagnosen bør selvsagt stilles i god tid før dette sene tidspunkt, hvor det har inntruffet irreversible skader på utseende og organer. Det er de typiske symptomer og kliniske funn som skal føre til at diagnosen mistenkes.

    Sykdommen er relatert til den kroniske overproduksjon av veksthormon (ramme 1). Hormonet virker anabolt, påvirker lipolysen og øker konverteringen av tyroksin (T4) til det metabolsk mer aktive triiodotyronin (T3). De fleste av kroppens celler uttrykker reseptorer for veksthormon og vekstfaktoren insuinliknende vekstfaktor 1 (IGF-1). Sistnevnte produseres blant annet i leveren, og produksjonen stimuleres av veksthormon.

    Begrepet akromegali henspiller på den akrale vekst, det vil si delvis reversibel bløtdelsfortykkelse av hender og føtter, kjeveregion, nese, ører, ligamenter (karpaltunnelsyndrom), tunge og svelg (søvnapné). Sykdommen medfører også periostale påleiringer og dermed ikke-reversibel fortykkelse av rørknoklene. Når pasienter med akromegali øker i skostørrelse, skyldes dette derfor primært en breddeforøkelse av føttene og ikke en lengdevekst. Sannsynligvis er det den akrale vekst, og spesielt bløtdelshevelsen, som medfører at mange udiagnostiserte pasienter gjentatte ganger søker lege på grunn av smerte i hode, rygg og ekstremiteter. Bløtdelshevelsen medfører videre at fingrene blir stive og lite smidige. Pasienter med akromegali har også økt forekomst av nervus medianus-kompresjon. Ved radikal kirurgi ser man ofte allerede dagen etter inngrepet at bløtdelshevelsen avtar og pasienten angir symptomlindring.

    Den endrede lipolyse og den muskeloppbyggende effekt av veksthormon medfører endret kroppssammensetning med nedsatt fettmasse (5). Den karakteristiske svettetendensen og økte metabolisme er trolig sekundær til det endrede thyreoideahormonnivå. Menstruasjonsforstyrrelser, nedsatt libido og potensproblemer skyldes enten sekundær svikt av de andre hormonakser i hypofyseforlappen eller at adenomet produserer prolaktin i tillegg til veksthormon, noe som forekommer hos rundt en tredel av de akromegale pasienter. Når det gjelder menstruasjonsforstyrrelser og hirsutisme hos akromegale kvinner, bidrar trolig også reduksjon i nivået av kjønnshormonbindende globulin (SHBG) (6). På grunn av redusert bindingskapasitet medfører dette økte frie androgennivåer.

    Når en hypofysetumor vokser opp til synsbanekrysningen, kan dette medføre synsfeltutfall, i meget sjeldne tilfeller i form av bitemporal øvre kvadrantanopsi. Alvorlig chiasmakompresjon kan gi redusert sentralsyn og behov for øyeblikkelig hjelp-operasjon. De sekundære manifestasjoner ved akromegali må sees i sammenheng med den kroniske organpåvirkning. De hyppigste er uttalt artrosetendens (bilateral skulderleddsartrose sees nesten bare ved akromegali), kardiomyopati, forlenget tarm, colonpolypper og sekundær diabetes mellitus (7, 8).

    Akromegali medfører altså en betydelig morbiditet. Videre er det påvist at sykdommen medfører økt mortalitet, relatert til kardiovaskulære sykdommer og kreft, spesielt i gastrointestinalkanalen (2, 9, 10). En nyere undersøkelse viser at risikoen for malignitetsutvikling hos akromegale er over tre ganger høyere enn i normalbefolkningen (11). Interessant nok viste denne undersøkelsen også økt forekomst av maligne sykdommer hos pasienter med ikke-hormonproduserende hypofyseadenomer. Det er fortsatt uavklart om det er overdødelighet ved akromegali når man oppnår normalisering av veksthormonnivået (10, 12).

    Diagnostikk

    Diagnostikk

    Veksthormon er et 191 aminosyrer stort peptid som dannes i de somatotrope celler i hypofysens forlapp under innflytelse av det veksthormonstimulerende hormon og det hemmende hormon somatostatin. Begge disse hormoner dannes i hypothalamus og transporteres til hypofysens forlapp via det lokale portåresystem. Veksthormonproduksjonen er under normale forhold primært kontrollert av somatostatinets hemmende effekt. Somatostatin er et 14 aminosyrer stort peptid med en halveringstid på et par minutter.

    Ved den biokjemiske verifisering av diagnosen må det tas hensyn til veksthormonets sekresjon, metabolisme og feedbackmekanismer. Som for de andre hypofyseforlappshormoner skjer sekresjonen av veksthormon i pulser, som er spesielt høye på etternatten (fig 2) (13). Unge fertile kvinner har høyere verdier enn unge menn, og den totale produksjon avtar med alderen. På grunn av disse store svingningene i produksjon opererer man ikke med et avgrenset normalområde for veksthormon, og en enkeltbestemmelse av veksthormon har derfor ingen diagnostisk verdi ved mistanke om akromegali (14, 15). Diagnosen stilles sikkert ved en peroral glukosebelastning, og denne test benyttes også for å avgjøre om pasienten har aktivitet i sykdommen etter kirurgisk behandling (7). Hos friske vil en standardbelastning med 75 g glukose supprimere veksthormonkonsentrasjonen til under 5 mU/l, mens dette ikke er tilfellet ved akromegali. Tvert imot sees også ofte en paradoks stigning i veksthormonkonsentrasjonen (ramme 2).

    IGF-1 produseres primært i leveren og stimuleres av veksthormon. Serumnivået av IGF-1 avspeiler den integrerte veksthormonproduksjonen (7), og referenseområdet for serum-IGF-1 følger den samme variasjon for kjønn og alder som veksthormon. Ved akromegali vil IGF-1-nivået være forhøyet eller i øvre del av normalområdet, men som nevnt stilles diagnosen akromegali ikke ved bestemmelse av IGF-1. Serum-IGF-1 kan riktignok benyttes som screeningmarkør, men det er spesielt ved monitorering av den behandlede akromegale pasient at analysen blir brukt. Analyse av bindingsproteinet til IGF-1, IGF-bindingsprotein 3 (IGFBP-3), har ingen klinisk anvendelse ved diagnostikk eller behandling av akromegali (16).

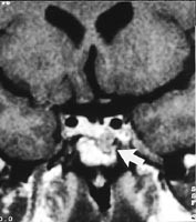
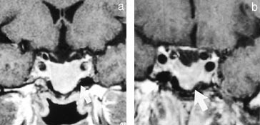
    Radiologisk verifisering og kartlegging av tumor skjer fortrinnsvis ved MR-skanning (fig 3). På bakgrunn av sykdommens langsomme utvikling har adenomet ofte en betydelig størrelse og utbredelse ved diagnosetidspunktet, hvilket indirekte sier noe om de somatotrope cellers relativt beskjedne hormonproduksjon. Generelt skiller man mellom svulster som kun har sin utbredelse i sellagropen, såkalte mikroadenomer (<10 mm i diameter), og svulster som i tillegg til intrasellær vekst også vokser ut av sella. Veksten kan skje i ulike retninger – lateralt inn i sinus cavernosus (fig 4), oppover mot de basale cisterner og chiasma og nedover i sinus sphenoidale. De preoperative bilder kan ofte indikere om tumor lar seg radikaloperere, og har derfor stor prognostisk verdi (12, 17, 18).

    Behandling

    Behandling

    Effektiv behandling av akromegali gir tilbakegang av de akromegale trekk, reduserer symptomer, hindrer progrediering av sekundære manifestasjoner og forbedrer (muligens normaliserer) prognosen (7). Disse faktorer er alle direkte relatert til veksthormonproduksjonen under og etter behandlingen (10). Ettersom veksthormonnivået viser store variasjoner, har kriteriene for å definere en pasient som helbredet variert i ulike materialer. Det hersker nå internasjonal enighet om at den beste måte å definere postterapeutisk normalisering av veksthormonproduksjonen på er en suppresjon til under 5 mU/l etter glukosebelastning og normalisering av IGF-1-nivået i serum (7). Likevel ser man tidvis pasienter med kliniske tegn på aktiv akromegali med slike laboratorieverdier (ramme 3).

    Operativ behandling

    Operativ behandling

    Standardbehandlingen ved akromegali er transsfenoidal operasjon med resektion av den veksthormonproduserende tumor. Inngrepet kan utføres med begrenset risiko, komplikasjonene er relativt få og ofte reversible eller korrigerbare (19). Ved siden av lokale komplikasjoner fra nese og bihuler er den hyppigste komplikasjonen nedsatt hypofysefunksjon, eventuelt også med diabetes incipidus. Likvorlekkasje kan opptre, men stanser oftest etter behandling med lumbal drenasje av cerebrospinalvæsken. I sjeldne tilfeller kan lekkasjen kompliseres med meningitt. Hjernenervelesjoner (spesielt n. opticus og chiama opticum) og alvorlige blødninger fra carotis er beskrevet, men dette er uvanlige komplikasjoner. Pasienten mobiliseres dagen etter inngrepet og kan vanligvis utskrives etter 4 – 7 dager, med en normal rekonvalesensperiode på 1 – 3 måneder (19). Utsikten til helbredelse ved inngrepet er avhengig av adenomets størrelse og utbredelse, og som nevnt også av hvordan man velger å definere helbredelse. Også nevrokirurgens erfaring har betydning for prognosen (20). I et 24-årig operasjonsmateriale på 73 pasienter fra to sykehus i Manchester fant man en betydelig lavere helbredelsesfrekvens enn i andre sammenliknende serier. Man konkluderte med at de dårlige resultatene skyldtes at det var en rekke forskjellige nevrokirurger som opererte, og ikke én spesielt interessert og erfaren nevrokirurg, som i andre serier (21).

    På diagnosetidspunktet er 7 – 20 % av hypofyseadenomene mikroadenomer (< 10 mm) (12, 17, 18), med en kirurgisk helbredelsesrate på 70 – 80 %. Remisjonsraten, som altså ikke er helbredelse, angis til 40 – 50 % ved makroadenom (12, 17, 18). Likevel er kirurgi standardbehandling også av makroadenomer, idet tumormassen og dermed veksthormonproduksjonen reduseres og muligheten for adjuvant terapi bedres.

    Medikamentell behandling

    Medikamentell behandling

    Somatostatinanaloger med lengre halveringstid (ca to timer etter subkutan injeksjon) har større veksthormonhemmende effekt og mindre uttalt insulinhemmende effekt enn genuint somatostatin. Disse er i økende grad blitt benyttet som adjuvant behandling ved akromegali de siste 15 år (14, 15). Ca. 70 % av pasientene responderer (med mer enn 50 % reduksjon av veksthormonverdiene) på preparatene, og effekten er den samme hos uopererte som hos opererte med restaktivitet (22). Ved en kombinert analyse av 466 pasienter fra fem forskjellige studier (8) fant man normalisering av veksthormonnivået hos 30 % av pasientene behandlet med somatostatinanalogen octreotid, en normalisering av IGF-1-nivået hos ca. 40 % og signifikant tumorreduksjon hos ca. 40 %. Octreotid skal administreres subkutant tre ganger i døgnet, men det finnes nå to depotformuleringer av somatostatinanaloger registrert i Norge, Sandostatin LAR og Lanreotid. Vi har størst erfaring med den ene, Sandostatin LAR, som gis som intramuskulær injeksjon hver 28. dag. I ulike studier der til sammen 175 pasienter inngikk, gav preparatet normalisering av veksthormonnivået i opptil 40 % av tilfellene, uten tegn til takyfylaksi (23). Depotformuleringen av Lanreotid er i mindre studier (24) og dessuten i en sammenliknende studie med Sandostatin vist å tilsvare Sandostatin i effekt og bivirkningsprofil. Injeksjonene må imidlertid settes hyppigere (25).

    Medikamentell behandling med somatostatinanalog er kostbart. Bivirkningene er relativt beskjedne, men en del av pasientene opplever gastrointestinalt besvær, og preparatet medfører økt forekomst av kolesterolholdig gallestein (14). Så langt er somatostatinanaloger i første rekke blitt anvendt postoperativt ved manglende fall i hormonnivåer.

    Dopaminagonister som bromokriptin hemmer den økte veksthormonproduksjonen ved akromegali ved en stimulering av dopaminreseptorene på de somatotrope celler (26), og effekten er størst ved kombinerte veksthormon- og prolaktinproduserende svulster. Ved behandling av akromegali må det gis langt høyere doser enn ved prolaktinomer, noe som ofte medfører bivirkninger. Man har ikke kunnet påvise økning av behandlingseffekten ved doser over 20 mg daglig (27), og den veksthormonhemmende effekt er langt mindre enn for somatostatinanaloger. I en analyse av mer enn 500 pasienter ble det vist suppresjon av veksthormon til mindre enn 10 mU/l, som ikke er en normalisering, hos under 20 % av de behandlede pasienter (26). Det er ikke sikre holdepunkter for at mer selektive dopaminagonister er mer effektive i behandlingen av akromegali enn bromokriptin (14). En åpen, mindre studie (18 pasienter) med den selektive D2-agonisten cabergolin, som har en dokumentert lavere bivirkningsfrekvens enn eldre preparater, har imidlertid antydet bedre effekt enn bromokriptin (28).

    Fordelen med dopaminagonister er at behandlingen er vel gjennomprøvd gjennom flere årtier, behandlingen er peroral og omkostningsnivået er lavt. Opptil 70 % av pasientene opplever en forbedring av tilstanden (26). Behandlingen er derfor fortsatt aktuell hos det fåtall av pasienter der annen behandling ikke egner seg, men man må da observere nøye med hensyn på de potensielt alvorlige bivirkninger som kan opptre ved høy dosering.

    Preoperativ medikamentell behandling

    Preoperativ medikamentell behandling

    Preoperativ behandling med somatostatinanaloger ved akromegali anvendes i økende grad internasjonalt, og har også vært foreslått som den eneste behandling i noen tilfeller (15, 22). Skrumpning av hypofyseadenomet er rapportert hos 20 – 50 % av pasientene, hvilket teoretisk forbedrer mulighetene for operativ radikalitet. I tillegg hevdes det at preparatet medfører at tumor blir bløtere, noe som skulle virke i samme retning. Ettersom veksthormonverdiene reduseres, bedres den kardiopulmonale tilstand og glukose- og lipidmetabolismen. Dette antas å medføre redusert komplikasjonsrisiko. Det foreligger allerede flere retrospektive studier som indikerer dette, men det er ikke gjort noen prospektive undersøkelser som belyser effekten av preoperativ behandling med somatostatinanalog (29 – 31). Norsk Neuroendokrin Interessegruppe har høsten 1999 påbegynt en slik studie der alle de norske regionsykehus deltar. Vi forventer å inkludere i alt vel 60 pasienter over en periode på tre år, formodentlig i samarbeid med ett eller flere svenske sentre. Pasientene vil bli randomisert til umiddelbar operativ behandling eller seks måneders forbehandling med somatostatinanalogen Sandostatin LAR.

    Strålebehandling

    Strålebehandling

    Konvenjonell strålebehandling av hypofyseadenomer, med strålefelt mot sellaregionen, brukes i varieriende grad internasjonalt. Holdningen i Norge i de senere år har vært at vi som hovedregel ikke gir konvensjonell strålebehandling til hypofysesvulster. Grunnen til dette er frykt for alvorlige bivirkninger, som hypofysesvikt, skade på synsnervene, basale avsnitt av hjernen, demensutvikling og utvikling av sekundære svulster. I de få tilfeller hvor strålebehandling anvendes, dreier det seg om store svulster hvor radikalitet ikke lar seg oppnå ved kirurgi og hvor tumor er symptomgivende og/eller viser vekst (14). Effekten av strålebehandlingen inntrer langsomt (32), og kun halvparten av pasientene oppnår tilstrekkelig veksthormonsuppresjon etter ti års oppfølging. De fleste pasienter har innenfor dette tidsrom utviklet forlappssvikt. Hyppigheten av sekundære svulster er i ukontrollerte studier angitt til 2 – 3% (33).

    Effekten av stereotaktisk strålekniv (gammakniv)-behandling er for tiden til vurdering i Norge. Som postoperativ adjuvant terapi fant man hos 15 akromegale pasienter et fall i middelverdien for veksthormon på mer enn 75 % etter ett års observasjon (34), men kun tre pasienter oppnådde normalisering av veksthormon og IGF-1 i serum. En annen studie rapporterer at 17 av 38 pasienter med endokrint aktive svulster (hvorav 20 akromegale) oppnådde normale hormonnivåer etter en gjennomsnittlig observasjonstid på 25 måneder (35).

    Denne behandlingen utføres i Norge kun ved Nevrokirurgisk avdeling, Haukeland Sykehus, hvor man i mange år har behandlet pasienter med hypofysetumorer med strålekniv. Behandlingen gis adjuvant til kirurgi ved ikke-oppnådd radikalitet. Hvorvidt tumor er egnet for stråleknivsbehandling, avhenger av de anatomiske forhold hos den enkelte pasient. Tumor må ha en begrenset størrelse (opptil 3 cm), og avstanden til strålefølsomme strukturer, spesielt chiasma og en eventuelt fortsatt fungerende hypofyse, må være stor nok. Generelt gjelder at den stråledoser som må til for å stanse en endokrin overproduksjon, er høyere enn den dosen som er tilstrekkelig for å stanse tumors vekst. Resultatene ved denne behandlingsformen i Norge er for tiden under bearbeiding.

    Norsk Neuroendokrin Interessegruppe består av representanter fra de endokrinologiske seksjoner, nevrokirurgiske avdelinger og nevroradiologiske seksjoner ved våre fem regionsykehus. Gruppen arbeider for å fremme det tverrfaglige samarbeid omkring nevroendokrine sykdommer. Til møtevirksomhet har gruppen mottatt støtte fra legemidelfirmaet Novartis Norge A/S.

    Norsk Neuroendokrin Interessegruppe, forfatterkollektivet: Jens Bollerslev, Morten Lund Johansen, Søren Bakke, Sylvi Aanderud, Johan Cappelen, Thomas Schreiner, Tormod Kollevold, Sven M. Carlsen og Johan Svartberg.

    Ramme 1

    Vanlig forekommende symptomer og funn ved akromegali

    Akral vekst

    Svettetendens og tretthet

    Karpaltunnelsyndrom og andre perifere nevropatier

    Makroglossi (snorking og søvnapné)

    Endret kroppssammensetning

    Menstruasjonsforstyrrelser, nedsatt libido og impotens

    Hodepine og eventuelt synsforstyrrelser

    Muskel- og leddplager

    Ramme 2

    Diagnostisering av akromegali

    Diagnostiseringen av den akromegale pasient skjer i tre trinn:

    Klinisk mistanke

    Biokjemisk verifisering (glukosebelastning)

    Visualisering av (veksthormonproduserende) hypofysetumor (MR-skanning)

    Ramme 3

    Behandling av akromegali

    Transsfenoidal adenomektomi er primær standardbehandling

    Somatostatinanalog anvendes ved fortsatt klinisk og biokjemisk aktivitet

    Dopaminagonist kan anvendes i enkelte tilfeller som alternativ, hvis somatostatinanalog ikke er anvendelig. Dette spesielt ved blandingstumorer

    Ved veldefinert resttumorer med fortsatt klinisk og biokjemisk aktivitet og en tilstrekkelig avstand til synsnervene vurderes gammakniv. Inntil det er full effekt av denne, gis medikamentell tilleggsbehandling

    Kommentarer  ( 0 )

    Anbefalte artikler