Borderlinetumorer i ovariene

    ()

    sporsmal_grey_rgb
    Abstract

    I løpet av det siste tiåret har vi begynt å forstå biologien og utviklingsmønsteret til borderlinetumorer i ovariene. I motsetning til de fleste invasive epiteliale ovarialkarsinomer er de fleste borderlinetumorer begrenset til ovariene (stadium 1). Fordi prognosen til pasienter med serøse borderlinetumorer er svært god, med femårige overlevelsesrater på nesten 100 %, hevder enkelte at denne undergruppen skal klassifiseres som benign. Selv om standardbehandling for eldre pasienter er abdominal hysterektomi og bilateral salpingo-ooforektomi, kan mange unge pasienter som ønsker barn senere, trygt behandles med unilateral salpingo-ooforektomi, kombinert med grundig kirurgisk eksplorasjon. En annen uavklart problemstilling er behandlingen av pasienter med avansert sykdom eller peritoneale implantater. Mange eksperter mener at kirurgi er den eneste effektive behandling for pasienter med borderlinetumorer. Andre behandler i hvert fall en undergruppe av pasienter med peritoneale implantater rutinemessig med postoperativ kjemoterapi.

    Man har satt søkelyset på DNA-ploiditet som en prediktor for tilbakefall og prognose, men resultatene er motstridende.

    Abstract

    Only within the last decade we have begun to fully appreciate the natural history and biologic behaviour of borderline tumours in the ovaries. In contradiction to invasive epithelial tumours, most borderline tumours are confined to the ovary(ies) (stage I). Because the prognosis of stage I serous borderline tumours is excellent, with five-year survival rates of almost 100 %, some experts are advocating that this subset should be classified as benign. Although the standard treatment for older patients is abdominal hysterectomy and bilateral salpingo-oophorectomy, many young patients who have not completed childbearing can be safely treated with unilateral salpingooophorectomy coupled with comprehensive surgical staging, thereby preserving their fertility potential. Another major controversy associated with borderline tumours is the clinical management of patients with advanced-stage disease or peritoneal implants. Many experts strongly believe that surgery is the only effective treatment for borderline tumours. Others routinely employ postoperative chemotherapy for at least some subset of patients with peritoneal implants. Several investigators have focused on DNA ploidy as a predictor of recurrence and survival, but their findings are conflicting.

    Artikkel

    I 1929 beskrev Taylor (1) og i 1932 Taylor & Alsop (2) en egen gruppe epiteliale ovarialsvulster som hadde histopatologiske egenskaper og en biologisk virkning som var en mellomting mellom de benigne og de åpenbart maligne svulstene. Disse svulstene ble kalt semimaligne eller «carcinoma of low malignant potential». Kottmeier (3) og Woodruff & Novak (4) definerte svulstene ytterligere i 1950-årene. Gruppen som sådan ble imidlertid ikke formelt anerkjent som en egen entitet før i 1970-årene, av FIGO (International Federation of Gynecology and Obstetrics) i 1971 og av WHO (World Health Organization) i 1973 (5 – 7). De ble da kalt borderlinetumorer.

    Den histologiske definisjonen av borderlinetumorer er basert på følgende kriterier (8, 9): Epitelcelleproliferasjon med cytologisk atypi (stratifisering av det epiteliale cellelaget på papillene, mitotisk aktivitet og kjerneatypi) uten stromainfiltrasjon.

    Det er essensielt at tumorene blir undersøkt grundig for at man ikke skal overse noen områder med karsinomutvikling. Det anbefales å ta ett snitt per centimeter, særlig av mucinøse svulster, eller maksimalt 2 cm mellom snittene, gjennom hele tumoren (8). Dette viktige elementet blir dessverre sjelden beskrevet i publiserte studier.

    Epidemiologi og etiologi

    Epidemiologi og etiologi

    Borderlinetumorer i ovariene er beskrevet i kaukasiske, afrikanske, kinesiske, japanske og indiske populasjoner (10). I kaukasiske befolkninger representerer de fra 4 % til 14 % av alle ovarialcancere (11 – 13). Katsube og medarbeidere rapporterte at 20 % av alle maligne epiteliale ovarialsvulster i Denver var av borderlinetypen (14). Andelen ved Det Norske Radiumhospital og andre store sykehusinstitusjoner i Skandinavia er lavere, omkring 12 % (spredning 9 – 20 %) (13, 15), sannsynligvis som en følge av at ikke alle borderlinetumorer blir henvist til regionale onkologiske sentre.

    Det finnes få populasjonsbaserte studier av borderlinetumorer (16). I Norge i perioden 1970 – 93 ble det diagnostisert 2 343 borderlinetumorer (tab 1) (17). Den aldersjusterte insidensen har økt siden 1970, fra 3,1 til 4,8 per 100 000 personår i perioden 1989–93. I Finland er det vist at den aldersjusterte insidensen for disse tumorene økte med 50 % fra perioden 1973 – 77 til perioden 1988 – 92, mens insidensen av ovarialcancer var stabil i perioden 1973 – 92 (18). I Norge er sannsynligheten for at en kvinne skal utvikle en borderlinetumor i løpet av sin levetid ca. 0,4 %. I det norske populasjonsbaserte materialet økte den aldersspesifikke insidensraten opp til aldersgruppen 45 – 49 år, men var forholdsvis stabil i de høyere aldersgruppene (fig 1). Median alder ved diagnose var 53 år. I hele studieperioden ble 93 % av tilfellene diagnostisert som lokaliserte tumorer (generelt rapporteres 80 – 90 % i denne kategorien), 0,9 % med regional spredning, 4,8 % med fjernspredning og 1 % med ukjent utbredelse. Andelen med fjernspredning økte fra 2,7 % i 1970 – 73 til 6,6 % i 1989 – 93 (17).

    Begrepet «borderline» stammer fra lesjoner som tidligere dels ble diagnostisert som «cystadenom med atypi» og dels som «karsinom». Det er ukjent i hvilken grad disse to diagnosene relativt sett har bidratt til kategorien borderlinetumor. I tillegg er det usikkert om økningen i insidens er reell, eller om den er en følge av forandringer i klassifiseringen av karsinomer og muligens også benigne cystadenomer. Økningen i insidens for borderlinetumorer og den avtakende insidensen av ovarialcancer som er observert siden midten av 1980-årene kan således bare være en følge av forandrede diagnosekriterier. Borderlinetumorer opptrer hos yngre kvinner og med en mer fordelaktig stadiedistribusjon enn invasive ovarialtumorer (15, 19).

    De fleste borderlinetumorer i Norge er av mucinøs (52 %) og serøs type (43 %) (17).

    Man vet lite om risikofaktorene for utvikling av borderlinetumorer. Infertile og nullipare kvinner har økt risiko, mens økende antall graviditeter, amming og bruk av p-piller har en beskyttende effekt. Dette har ført til hypoteser om eggløsning og endokrin lidelse som en utløsende faktor (20 – 22). Foreløpig er det ukjent om det finnes en genetisk predisposisjon for sykdommen.

    Histologiske undergrupper

    Histologiske undergrupper

    Serøse borderlinetumorer

    Serøse borderlinetumorer

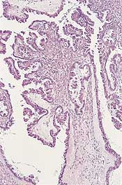
    Serøse borderlinetumorer utgjør 10 – 15 % av alle serøse ovarialsvulster (23). Disse tumorene har generelt sett et konstant og homogent histopatologisk utseende (fig 2). Bilateralitet forekommer i 28 – 50 % av tilfellene, og overlevelsen synes utelukkende relatert til spredning utenfor ovariene (24, 25). Slik spredning og implantater er rapportert hos 35 % av pasientene ved diagnosetidspunktet. Det er ikke avklart om disse implantatene er sanne metastaser, eller om de representerer multifokale in situ-lesjoner av bukhinnen. Begge alternativer synes å eksistere, men in situ-lesjonene forekommer hyppigere (24, 25). Noen av disse implantatene kan utvikle seg til infiltrerende cancer, men flertallet vil enten være stasjonære eller regrediere etter at hovedtumor i ovariet er fjernet (26 – 28). Prognosen er dårligere i de tilfellene det dreier seg om utvikling av et infiltrerende karsinom, som tilsvarer sykdom i stadium 3 (23, 24, 29). Foci med endosalpingiose og ikke-infiltrerende lesjoner forekommer ofte samtidig, noe som indikerer at disse lesjoner stammer fra benigne kjertelelementer i peritonealserosa (mulighet for Müllersk differensiering). Analyser av DNA-innholdet i peritoneale lesjoner og ovarialtumorer kunne muligens bidra til en differensialdiagnose mellom metastatiske og in situ-lesjoner.

    Burks og medarbeidere (30) identifiserte en aggressiv undergruppe av serøs papillær borderlinetumor som de kalte mikropapillært serøst karsinom. Mortalitetsraten var 15 %. Samme gruppe (31) fant at sju av 11 pasienter (64 %, alle hadde infiltrerende implantater) med mikropapillært serøst karsinom fikk tilbakefall med infiltrerende cancer og/eller døde av sykdommen. Ifølge disse forfatterne burde svulster med et mikropapillært vekstmønster og serøse borderlinetumorer med infiltrerende implantater vært klassifisert som karsinomer. De fleste gynekologiske patologer synes/mener at denne gruppen skal klassifiseres som borderlinetumor, siden det ikke sees infiltrasjon i stroma (32, 33).

    Tabell 1  

    Borderlinetumorer. Inndeling etter histologisk subtype i Norge 1970 – 93 (17)

    Subtype

    Antall

    Prosent

    Serøs

    1 010

     (43)

    Mucinøs

    1 207

     (52)

    Endometroid

     26

      (1)

    Klarcellet

     4

    (<1)

    Andre

     85

      (4)

    Ukjent

     11

    (<1)

    Total

    2 343

    (100)

    Mucinøse borderlinetumorer

    Mucinøse borderlinetumorer

    Mucinøse borderlinetumorer utgjør 10 – 15 % av alle mucinøse ovarialtumorer (23). Makroskopisk kan man ikke se noen forskjell mellom borderlinetumorer, benigne cystadenomer eller cystadenokarsinomer. Disse tumorene er som regel store og multilokulære, og består av cyster kledd med atypiske mucinøse celler, som kan være stratifiserte (ikke flere enn tre cellelag i tykkelse), med vekslende grad av atypi og antall mitoser. Fokale områder med fortykkelse av veggen, nodularitet og endofytiske papillære ekskresenser er ofte til stede (fig 3). Det er således viktig med grundig og utbredt prøvetaking av slike tumorer for å kunne stille en riktig histopatologisk diagnose. Bilateralitet forekommer i 5 % av tilfellene, og spredning utenfor ovariene er rapportert i 10 – 15 % av tilfellene på diagnosetidspunktet, som regel som pseudomyxoma peritoneii (23), ikke som sanne peritoneale metastaser eller omentmetastaser.

    Pseudomyxoma peritonei kjennetegnes ved produksjon av store mengder cellefattig slim som i mer eller mindre grad er kompartementalisert av tett fibrøst vev i abdominalhulen. Denne tilstanden kan utvikle seg i forbindelse med enhver intraabdominal mucinøs tumor, og de fleste forekommer sammen med neoplasier i appendix. Patogenesen til pseudomyxoma peritoneii er fortsatt uklar, og man vet ikke om den kontinuerlige produksjonen av gelatinøst slim er en følge av peritoneal implantasjon av neoplastiske mucinøse celler eller av metaplasi av peritoneale celler indusert av mucin. Pseudomyxoma peritoneii er ofte assosiert med pseudomyxoma ovarii, men er ikke relatert til pre- eller intraoperativ ruptur av en mucinøs borderlinetumor (8). Pseudomyxoma peritoneii forekommer i forbindelse med borderlinetumorer i omkring 15 % av tilfellene. I et materiale fra Det Norske Radiumhospital hadde 17 % pseudomyxoma peritoneii, og ni var assosiert med mucinøs tumor i appendix (15). Det er uklart hva selve tilstanden betyr for prognosen, men i nyere internasjonale publikasjoner er residivfrekvensen høy og langtidsoverlevelsen lav (tiårsoverlevelse på 18 %) (12, 25, 34, 35). Dette er lavere overlevelse enn hos pasienter behandlet ved Det Norske Radiumhospital, der 61 % overlevde i ti år (15). De mucinøse tumorene kan inndeles i endocervikale (Müllerske) og intestinale former, og pseudomyxoma peritoneii forekommer bare ved den intestinale typen. Pasienter som residiverer, får som regel tarmobstruksjon med fatalt utfall. Det diskuteres om samtidig forekomst av mucinøs tumor i ovariet og appendix er to primære svulster eller om ovarialtumor representerer metastase fra tumor i appendix (32, 35).

    Andre borderlinetumorer

    Andre borderlinetumorer

    Omkring 5 % av alle borderlinetumorer er av annen type: endometroide (1 %), blandingstumorer (2 %), klarcellede (<1 %) og av Brennertype (<1 %) (15, 17). Den endometroide typen er den mest benigne og den klarcellede den mest maligne. Biologien og prognosen for pasientene med disse sjeldne tumorene er lite undersøkt.

    DNA-ploiditet – et nytt prognostisk verktøy?

    DNA-ploiditet – et nytt prognostisk verktøy?

    Man ønsker å finne objektive prognostiske verktøy for å kunne selektere de pasientene som har behov for adjuvant behandling, og for å unngå overbehandling av de pasientene som ikke trenger slik behandling. Dette er en vanskelig oppgave i forbindelse med borderlinetumorer, fordi residivrisikoen er lav og residivene ofte opptrer sent.

    Den prognostiske betydningen av DNA-ploiditet er imidlertid i flere studier fortsatt uavklart. DNA-aneuploiditet har i flere studier (36 – 39) vært assosiert med dårlig prognose. Klemi og medarbeidere (40) har forsøkt å korrelere distribusjonen av DNA-innholdet i cellekjernene, definert som andelen av aneuploide versus diploide tumorceller i hver enkelt tumor, med prognosen for pasienter med serøse borderlinetumorer. Disse forfatterne fant 1 % aneuploiditet i benigne lesjoner, 17 % i borderlinetumorer og 66 % i serøse adenokarsinomer, men kunne ikke finne noen sammenheng mellom aneuploiditet og aggressiv atferd i benigne tumorer eller borderlinetumorer. Også i andre retrospektive studier har man undersøkt disse forholdene. Imidlertid fant man ingen assosiasjon mellom DNA-ploiditet og overlevelse (39, 41, 42). Friedlander og medarbeidere og Drescher og medarbeidere bekrefter derimot våre funn om at DNA-ploiditet er en sterk og uavhengig prognostisk faktor (37, 38).

    Uoverensstemmelsene mellom studiene kan forklares med det lave antall pasienter som er undersøkt, samt den relativt korte oppfølgingstiden. En annen grunn kan være at den histopatologiske diagnosen av en borderlinetumor er vanskelig. I tillegg bør det nevnes at ulike analysemetoder som brukes i bestemmelsen av DNA-ploiditet kan gi uoverensstemmelser i resultatene.

    Ved væskestrømscytometri måles et stort antall celler med en høy oppløsningsgrad, men kun med indirekte cytologisk kontroll. Små aneuploide cellepopulasjoner, spesielt med høyt DNA-innhold, kan oversees, slik at svulsten feilaktig klassifiseres som diploid. Sensitiviteten for å finne aneuploide celler er høyere med bildecytometri, som også gir en direkte morfologisk kontroll. Metoden har imidlertid vært tidkrevende, relativt få celler blir målt, og en valid bestemmelse av S-fasefraksjonen er helt umulig. Metoden er imidlertid nå blitt såpass avansert at den i den kliniske service har erstattet væskestrømscytometrien ved Det Norske Radiumhospital. Et annet problem er tumorheterogeniteten, og det er derfor ønskelig å undersøke to eller flere biopsier fra hver enkelt tumor. I de få studiene der man har sett på S-fasefraksjonen, er det vist lave verdier (43), sannsynligvis som et uttrykk for den lave proliferasjonshastigheten av disse tumorene, som har få repliserende cellepopulasjoner.

    Henriksen og medarbeidere har sett på immunhistokjemisk Ki-67-ekspresjon i normalt ovarievev samt i benigne tumorer, borderlinetumorer og infiltrerende ovarialtumorer (44). Alle prøvene ble undersøkt uavhengig av to av forfatterne og bedømt som negative, svakt positive (mindre enn 1 % positive celler) eller sterkt positive.

    De fant ingen ekspresjon i normalt epitelvev, derimot svakt positiv i to av 11 (18 %) benigne tumorer, i sju av ni (78 %) (svakt positive tre serøse, sterkt positiv fire mucinøse) borderlinetumorer og i 36 av 45 (80 %) (svakt positiv 12, sterkt positiv 24) ovarialcancere. En korrelasjon ble funnet mellom Ki-67-ekspresjon, væskestrømscytometrisk bestemt S-fasefraksjon og DNA-ploiditet. Ki-67-antigenekspresjonsnivået i borderlinetumorer synes generelt å ligge mellom nivået i benigne lesjoner og nivået i karsinomer (45, 46).

    Vi analyserte den mulige prognostiske verdien av DNA-ploiditet i en gruppe på 370 pasienter som ble fulgt over 15 år (15, 36). 174 pasienter hadde serøse tumorer, 178 mucinøse og 18 hadde andre typer. Median oppfølgingstid var 149 måneder, spredning 15 – 183 måneder. Aneuploiditet var sterkt korrelert til høyere alder, mer avansert stadium, ikke-serøs eller mucinøs histologi, høyere grad av atypi og forekomst av pseudomyxoma peritoneii. De ulike kirurgiske prosedyrene og postoperative behandlingsformene, inkludert observasjon, var fordelt likt på de diploide og de aneuploide gruppene. I univariatanalyse var DNA-ploiditet, stadium, histologisk type, resttumor, pseudomyxoma peritoneii, tumorvekst på ovariets utside og alder av prognostisk betydning, men ikke graden av cellulær atypi. I en Cox multivariatanalyse for 315 radikalt opererte pasienter viste DNA-ploiditet seg å være den sterkeste prognostiske faktoren, fulgt av stadium, histologisk type og alder. Pasienter med aneuploide tumorer hadde 20 ganger så høy risiko for å dø av sykdommen som pasienter med diploide tumorer. Innenfor stadium og histologisk type er DNA-ploiditet fortsatt en uavhengig signifikant prognostisk faktor. Pasienter med stadium 1-diploide tumorer hadde en 15-års-overlevelse på 100 %, sammenliknet med 60 % for stadium 1-aneuploide. For pasienter med diploide tumorer i stadium 1 var det ingen forskjell i overlevelse mellom dem som hadde fått (98,8 %) og dem som ikke hadde fått adjuvant behandling (98,6 %). En typisk lavrisikopasient hadde en DNA-diploid stadium 1-tumor av serøs eller mucinøs histologi og var yngre enn 40 år. Pasienter som var eldre enn 70 år

    med en aneuploid klarcellet tumor, hadde derimot mindre enn 35 % langtidsoverlevelse.

    Morfometriske undersøkelser

    Morfometriske undersøkelser

    I 1981 viste Baak og medarbeidere (47) at man ved bruk av datamaskinassistert kvantitativ mikroskopanalyse var i stand til å skjelne mellom ti benigne tumorer, ti borderlinetumorer og 22 maligne tumorer. Det viste seg at følgende sett av fem karakteristika gav den beste diskriminasjonen: gjennomsnittskjerneoverflaten, omkrets, kortest diameter, volumprosent epitelceller og antall mitoser per 25 synsfelter (40x objektiv). Den kvantitative klassifikasjonsmodellen er lett å forstå: Større kjerne, spesielt med forlenget kort diameter, en relativt større mengde epitelialvev og mer enn 30 mitoser per synsfelt gir en forskyvning mot malignitet. Den samlede overensstemmelsen på 93 % mellom datamaskinassistert kvantitativ mikroskopanalyse og histopatologisk diagnose er tilfredsstillende.

    I en retrospektiv studie av 20 epiteliale ovarialtumorer ble denne teknikken brukt, uten at undersøkeren hadde tilgang til noen kliniske data (48). 19 av disse var borderlinetumorer og én var en høyt differensiert infiltrerende tumor. Morfometrianalysen identifiserte korrekt det ene karsinomet og de to pasientene som døde av sin borderlinetumor. Selv om studien omfattet få pasienter, kunne den morfometriske analysen bidra med prognostisk informasjon.

    Dette ble bekreftet i en studie utført ved Free University i Amsterdam og Det Norske Radiumhospital, der 303 tumorer (279 diploide og 24 aneuploide) ble undersøkt med datamaskinassistert kvantitativ mikroskopanalyse og DNA-ploiditet målt med bildeanalytisk analyse. I en multivariat analyse var imidlertid DNA-ploiditet den sterkeste prognostiske faktor, fulgt av morfometrivariabelen gjennomsnittlig kjerneoverflate (mean nuclear area) og FIGO-stadium, mens histologisk undergruppe var mindre viktig (posterpresentasjon ved 171 st møte i Pathological Society of Great Britain and Ireland, 5 juli 1995). Bildeanalytisk DNA-analyse og morfometrisk analyse burde derfor bli en del av den rutinemessige histopatologiske undersøkelsen av borderlinetumorer. Dette må dog bekreftes i en prospektiv analyse.

    Mutasjon/tap av onkogener og tumorsuppressorgener

    Mutasjon/tap av onkogener og tumorsuppressorgener

    Kimcellemutasjoner i BRCA1- og BRCA2-genene er assosiert med økt risiko for utvikling av bryst- og/eller ovarialcancer. Imidlertid hersker det fremdeles usikkerhet omkring en mulig arvelig faktor ved borderlinetumorer, og om disse tumorene representerer en tidlig form av den infiltrerende sykdommen. I denne sammenhengen har Gotlieb og medarbeidere (49) analysert forekomsten av BRCA1- og BRCA2-mutasjoner hos 48 askenasiske jøder med borderlinetumorer og hos 54 med infiltrerende karsinomer. Det ble bare funnet én BRCA1-mutasjon og ingen BRCA2-mutasjoner blant pasientene med borderlinetumorer. Deres konklusjon er at karsinomer og borderlinetumorer synes å være forskjellige når det gjelder genetisk predisposisjon og molekylære utviklingsmekanismer.

    Lu og medarbeidere fant argumenter for en multifokal genese av bilaterale og langtkomne serøse borderlinetumorer (50). Disse forfatterne undersøkte om bilaterale eller ekstraovariale serøse borderlinelesjoner var metastatiske eller om de representerte separate primærtumorer. Tumormateriale fra ulike tumorlokalisasjoner og normalt vev fra pasienter med bilaterale eller ekstraovariale svulster ble undersøkt på DNA-innhold og tap av heterozygositet (loss of heterozygosity – (LOH)) for androgenreseptorlocus på X-kromosomet. Hos to av åtte pasienter var det i de høyresidige og de venstresidige tumorene ulike androgenreseptoralleler som var inaktivert, noe som støtter en multifokal genese. Denne multifokaliteten av langtkomne serøse borderlinetumorer står i kontrast til situasjonen ved infiltrerende ovarialkarsinomer, som er av unifokal genese.

    I en studie fra 1995 var HER-2/neu-genet amplifisert i fem av 34 borderlinetumorer (15 %), mens ingen av 20 normale ovarier viste slik amplifikasjon (51). Det ble ikke funnet noen korrelasjon mellom HER-2/neu-amplifikasjonen og celletype eller grad av atypi. HER-2/neu-amplifikasjonen forekommer sjelden ved borderlinetumorer og i tidlig stadium av ovarialkarsinom, og det er lite sannsynlig at slik amplifikasjon er viktig for karsinogenesen.

    Ekspresjon av C-myc, et onkogen som koder for et DNA-bindende protein som igjen er viktig i reguleringen av cellens vekst, er blitt dokumentert i solide svulster. Kacinski og medarbeidere fant økt ekspresjon av dette genet i en av tre borderlinetumorer (52). Polacarz og medarbeidere viste at C-myc-ekspresjonsnivået i borderlinetumorer ligger mellom nivået i benigne tumorer og nivået i infiltrerende tumorer (53). I seks av 17 borderlinetumorer var nivået identisk med det i karsinomer, men disse pasientene hadde en like god prognose som de øvrige 11.

    K-ras-mutasjoner ble funnet i 48 % av borderlinetumorene, og hyppigere i mucinøse (63 %) enn i serøse (36 %) tumorer (54). Disse mutasjonene korrelerer med et mer avansert sykdomsstadium ved den serøse varianten, men mer informasjon er nødvendig for å kunne vurdere betydningen av K-ras-mutasjoner for karsinogenesen.

    Worsley og medarbeidere (55) har vist at overekspresjon av syklin D1 er assosiert med borderlinetumorer eller høyt differensierte svulster, men ikke korrelerer med noen bestemt histologisk type, overekspresjon av C-erb-B2-onkogenet eller positivitet for østrogenreseptorer. Forfatterne mente at syklin D1-overekspresjon muligens bidrar til utvikling av epiteliale ovarialcancere hos en del av pasientene, inklusive en del tumorer som skiller seg fra dem som har overekspresjon av C-erb-B2-onkogener.

    Lee og medarbeidere (56) har undersøkt 19 tilfeller av ovarialkarsinomer og 17 borderlinetumorer med henblikk på tap av LOH på kromosom 17p og eventuelle p53-mutasjoner. Mutasjoner i p53-genet ble funnet i 37 % av de maligne svulstene, og ble først og fremst observert i tumorer med tap av alleler på 17p. LOH ble vist i ni av 17 borderlinetumorer. Ved hjelp av direkte gensekvensering viste man at en punktmutasjon forekom i bare ett tilfelle, men i tillegg ble p53-immunreaksjon funnet i tre tumorer. Konklusjonen var at tap eller inaktivering av tumorsuppressorgenfunksjonen gjennom delesjoner på 17p eller p53-mutasjoner er viktige genetiske forandringer i både ovarialkarsinomer og borderlinetumorer.

    Ekspresjon av p53-protein er blitt undersøkt immunhistokjemisk i tumorer av varierende malignitetsgrad (57). Mutasjoner av TP53-tumorsuppressorgenet er blant de vanligste genetiske forandringer ved kreftutvikling hos mennesker (58, 59). «Murine double minute»-2 (MDM2)-genet koder for et protein som kan knytte seg til TP53-proteinet og hindre dets tumorsuppressorvirkning (60). Overekspresjon av MDM2 har således det samme funksjonelle resultatet som en inaktivering av TP53 gjennom mutasjon. TP53-mutasjoner forekommer hyppig ved ovarialkarsinomer, og er til stede allerede før metastaser er dannet.

    Skomedal og medarbeidere (60) har studert TP53 og MDM2-proteinakkumulasjon i 27 borderlinetumorer og i 345 ovarialcancere i stadium 1. I borderlinetumorene var det TP53- og MDM2-overekspresjon i henholdsvis 15 % og 4 %, noe som stemmer overens med funnene fra noen andre studier (61 – 64), men ikke alle (65, 66). Disse resultatene tyder på at TP53-overekspresjon har en viktig rolle i utviklingen av borderlinetumorer og i tidlige stadier av ovarialkarsinom, mens MDM2 ikke synes å være særlig viktig i denne sammenhengen. For øvrig korrelerte ingen av de studerte variablene med pasientoverlevelsen, noe som også bekreftes av Hongxiu og medarbeidere (64). Til gjengjeld fant Klemi og medarbeidere (61) p53-overekspresjon i 53 % av 45 maligne tumorer, men ikke i seks benigne tumorer eller ti borderlinetumorer. Disse forfatterne hevder at p53-immunfarging kan bidra til at det blir lettere å skille mellom borderlinetumorer og maligne ovarialtumorer, og at p53-ekspresjonen har prognostisk betydning.

    Ved hjelp av RNA-fingeravtrykk og Northern blot-analyse fant Mok og medarbeidere (67) ulik ekspresjon av DOC-2-tumorsuppressorgen, som gjenfinnes i alle cellekulturer av normale epiteliale ovarialceller, men ikke i ovarialkarsinomcellelinjer og vevskulturer. DOC-2-tumorsuppressorgenet er lokalisert på kromosom 5p13. In situ-hybridiseringsundersøkelser viser en redusert transkripsjon av genet i borderlinetumorer og i infiltrerende ovarialkarsinomer. Ved overføring av DOC-2-tumorsuppressorgenet i ovarialkarsinomcellelinjen SKOV3 viste de stabilt transfekterte cellene betydelig redusert vekst og evne til å danne svulster i nakne mus. Studien til Mok og medarbeidere (67) viser at DOC-2-tumorsuppressorgenet kan være viktig i patogenesen av borderlinetumorer og ovarialkarsinomer. Liknende resultater ble funnet av Lau og medarbeidere (68) i ti normale ovarier, 12 benigne tumorer, 16 borderlinetumorer og 45 infiltrerende ovarialtumorer. Også her fantes en betydelig redusert ekspresjon av DOC-2-tumorsuppressorgenet i borderlinetumorer og i infiltrerende tumorer.

    Tabell 2  

    Multivariat overlevelsesanalyse for pasienter med borderlinetumorer, diagnostisert mellom 1970 og 1993 med fem års oppfølging: Relativ dødsrisiko (RR) relatert til alder, stadium, diagnosetidspunkt og histologi. KI = Konfidensintervall (81)

    RR

    (95 % KI)

    Antall

    Alder (år)

    0 – 44

    1,00

    Referanse

    803

    45 – 64

    4,70

     (2,46 – 8,99) 

    843

    65 – 74

    11,09 

     (5,84 – 21,05)

    430

    75 – 89

    34,16 

    (18,23 – 64,02)

    245

    Stadium

    Lokalisert

    1,00

    Referanse

    2 165  

    Regional spredning

    2,52

     (0,80 – 7,96) 

     21

    Metastaser

    1,78

     (1,08 – 2,94) 

    112

    Ukjent

    1,14

     (0,36 – 3,57) 

     23

    Periode

    1970 – 73

    1,00

    Referanse

    331

    1974 – 78

    1,52

     (0,95 – 2,42) 

    459

    1979 – 83

    1,42

     (0,88 – 2,29) 

    372

    1984 – 88

    1,07

     (0,66 – 1,72) 

    495

    1989 – 93

    1,24

     (0,75 – 2,05) 

    664

    Histologi

    Serøs

    1,00

    Referanse

    994

    Mucinøs

    0,72

     (0,54 – 0,95) 

    1 202  

    Andre

    1,30

     (0,79 – 2,12) 

    125

    Justert for alle andre variabler i tabellen

    Behandling

    Behandling

    Standardbehandlingen for en ovarial borderlinetumor er abdominal hysterektomi og bilateral salpingo-ooforektomi, infrakolisk omentektomi, bukskyllevæske og lymfeknutebiopsier. En stor del av de unge pasientene som ønsker seg barn i fremtiden kan trygt behandles med en unilateral salpingo-ooforektomi kombinert med grundig kirurgisk eksplorasjon (36, 69 – 71). Til og med ovarial cystektomi er beskrevet, men har høy lokal residivfrekvens (15 %) (72). Multifokalitet korrelerte sterkt med persisterende eller residiverende sykdom, og er en kontraindikasjon for cystektomi alene. Ingen residiver ble sett i ovarier der én enkelt cyste var blitt fjernet og det var negative reseksjonsflater. For at konserverende kirurgi skal lykkes, er det nødvendig med en grundig kirurgisk evaluering av sykdommens utbredelse peroperativt, etterfulgt av en like grundig histopatologisk analyse av resektatet. I det ovenfornevnte materialet fra Det Norske Radiumhospitalet kunne åtte av 19 stadium Ia-pasienter gjennomføre en normal graviditet.

    Konserverende behandling kan være forsvarlig hos noen pasienter med en i utgangspunktet god prognose. Unilateral ooforektomi og omentektomi samt appendektomi er indisert hos en ung kvinne som ønsker å bevare sin fertilitet. Den samme prosedyren (minus appendektomi) er trygg hos pasienter med serøse tumorer i stadium 1a hvis det kontralaterale ovarium makroskopisk er normalt. Siden kilebiopsi kan føre til infertilitet i 10 – 20 % av tilfellene og bilateralitet er sjeldent, frarådes dette (12). I materiale fra Radiumhospitalet fra 1993 var det bare hos fire av 51 pasienter med stadium 1b (bilaterale tumorer) ikke-makroskopisk synlige patologiske forhold i begge ovarier, og ingen av disse fire fikk residiv (15). Residivfrekvensen for stadium 1a-pasienter som er behandlet med konserverende kirurgi varierer fra 0 til 30 % (15, 25, 69 – 71). Overlevelsen blir ikke forverret dersom pasientene først opereres radikalt når de residiverer. Frekvensen for et nytt (annengangs) residiv er under 5 % for pasienter med serøse borderlinetumorer som får residivbehandling (12, 70). Pasienter som blir behandlet med konserverende kirurgi, bør selvsagt følges opp svært nøye.

    Et forhold som ikke er avklart, er nødvendigheten av lymfeknuteeksisjon eller biopsier. Leake og medarbeidere tok retroperitoneale lymfeknutebiopsier fra 34 pasienter med borderlinetumorer (73) og fant metastaser hos to av 12 pasienter med serøse tumorer i bekkenet, mens det ikke ble funnet spredning hos noen av de sju pasientene med mucinøse tumorer. De fleste pasienter i Det Norske Radiumhospital-materialet fra 1960- og 70-årene (15) var, ifølge FIGOs definisjon, suboptimalt operert, idet man ikke konsekvent utførte hysterektomi med bilateral salpingo-ooforektomi, omentektomi og lymfeknuteeksisjon. Til tross for dette fikk ikke en eneste pasient residiv i lymfeknutene, og 15-årsoverlevelsen for pasientene i stadium 1 var på 95 %. Vi anbefaler ikke og utfører derfor ikke rutinemessig lymfeknuteeksisjon hos pasienter med borderlinetumorer.

    Pasienter med pseudomyxoma peritoneii residiverer hyppig, og får ofte en livstruende ileus. Gjentatte kirurgiske inngrep med fjerning av det mucinøse materialet er nødvendig, og anbefales for pasienter som ellers er friske nok til å tåle en laparotomi. Selv om man av og til ser respons på cisplatinum, synes ikke kjemoterapi å ha noen effekt på overlevelsen i denne situasjonen. En total peritonektomi har vært utført hos enkelte pasienter, blant annet ved Radiumhospitalet, men det er for tidlig å si noe om betydningen av denne meget omfattende prosedyren. Sugarbaker & Jablonski viste at en fullstendig stripping av hele det viscerale og parietale peritoneum etterfulgt av intraperitoneal kjemoterapi med 5-FU (5-fluorouracil) og mitomycin C har ført til imponerende resultater for kolorektal- og appendixcancer (74). Prosedyren er imidlertid beheftet med en svært høy frekvens av intra- og postoperative komplikasjoner.

    Betydningen av adjuvant behandling for borderlinetumor er meget kontroversiell. Konsensuskonferansen til National Institute of Health (NIH) i 1994 konkluderte med at det ikke var noen plass for slik behandling, heller ikke ved avansert sykdom (75). De aller fleste pasientene har sykdom i stadium 1 og en svært lav residivrisiko. Det finnes i tillegg svært få randomiserte studier av adjuvant behandling for ovarialkreft i tidlig stadium og borderlinetumorer (76, 77). Disse studiene er små (51 – 83 pasienter), og kan ikke gi noen endelige anbefalinger med henblikk på den optimale behandlingsstrategien for denne sykdommen.

    Mellom 1970 og 1988 har vi ved Radiumhospitalet gjennomført fire randomiserte studier hos til sammen 253 pasienter med borderlinetumorer (fig 4) (78). Den korrigerte overlevelsen og totaloverlevelsen for pasienter med sykdom i stadium 1 var henholdsvis 99 % og 94 %, og adjuvant behandling gav ingen forbedring i overlevelse. Tvert imot så man en del toksisitet med tynntarmskomplikasjoner etter strålebehandling, nevrotoksisitet ved cisplatinbehandling og beinmargstoksisitet etter tiotepabehandling. Vår konklusjon er at pasienter med borderlinetumorer i stadium 1 ikke bør få adjuvant behandling. Dette støttes av en metaanalyse av Kurman & Trimble på 953 pasienter med serøse borderlinetumorer (29). Man fant at flere pasienter døde av behandlingsrelaterte komplikasjoner enn av sykdommen (12 versus åtte).

    Også studier fra Yale-universitetet (70), MD Anderson (79) og Massachusetts General Hospital (80) kunne ikke vise noen forbedring i overlevelsen ved bruk av adjuvant kjemo- eller radioterapi. Slike resultater burde man for øvrig forvente, siden det ville krevd at flere tusen pasienten ble inkludert i en studie der man ønsket å vise en signifikant forskjell i overlevelse mellom grupper av pasienter som i utgangspunktet har en ti- eller 15-årsoverlevelse på 90 % eller mer. En slik studie er sannsynligvis ikke engang gjennomførbar i et multisenteropplegg. Dette kan illustreres ved at GOG (den amerikanske samarbeidsgruppen innen gynekologisk onkologi) måtte avslutte sin studie av borderlinetumorer på grunn av at det ikke kunne inkluderes nok pasienter (80).

    Prognose

    Prognose

    I en studie basert på data fra det norske Kreftregisteret har vi bl.a. sett på histologispesifikke prognostiske tendenser i femårsoverlevelsen for 2 343 pasienter med borderlinetumorer (81). Den femårs relative overlevelsen var så å si konstant fra 1970 til 1993, omkring 93 %. Generelt sett var overlevelsen for pasientene med serøse tumorer noe dårligere enn for pasientene med mucinøse tumorer. Den relative risikoen for å dø av sykdommen økte med alder på diagnosetidspunktet (tab 2). Femårsoverlevelsen for pasienter yngre enn 44 år var 99 %, sammenliknet med 85 % for pasienter i alderen 75 – 89 år. Før 1970 var sannsynligvis en del borderlinetumorer rapportert som høyt differensierte karsinomer, og forbedringen i prognosen fra 1950-årene kan derfor være noe undervurdert her. Noen av disse tumorene er imidlertid biologisk aggressive og kan residivere mange år etter diagnose (13, 15). Også i det kliniske materialet fra Radiumhospitalet finner man en uforandret gunstig prognose siden 1970, med fem- og tiårsoverlevelse på henholdsvis 95 % og 94 % (15). Dette er i overensstemmelse med de store amerikanske gynonkokologiske sentre (75).

    Konklusjon

    Konklusjon

    Ifølge våre egne erfaringer og ifølge konsensuskonferansen til NIH (75) har følgende faktorer prognostisk betydning for borderlinetumorer i ovariene uten resttumor etter primæroperasjon: DNA-ploiditet, morfometrisk analyse, FIGO-stadium, histologisk type og alder. Den anbefalte kirurgiske behandlingen bør bestå av bilateral salpingo-ooforektomi med omentektomi, samt appendektomi ved mucinøse tumorer. Bukskyllevæsken bør undersøkes cytologisk, og det er valgfritt om det bør utføres en total abdominal hysterektomi eller ikke. Vi anbefaler ikke lymfeknutebiopsier, bortsett fra for selekterte aneuploide tumorer. For pasienter med residiv anbefales ny kirurgi, og gjentatte laparotomier kan være nødvendig for pasienter med pseudomyxoma peritoneii. Konserverende kirurgi, bestående av unilateral salpingo-ooforektomi, omentektomi og bukskyllevæske anbefales for unge kvinner med diploide tumorer i stadium 1a som fortsatt ønsker seg barn. Biopsi av det kontralaterale ovarium anbefales ikke. I og med at intraoperativ DNA-analyse ennå ikke er mulig, kan en relaparotomi være nødvendig i tilfelle aneuploide tumorer eller dersom histologisk undersøkelse tyder på spredning utenfor ovariene. Adjuvant behandling anbefales ikke for sykdom i stadium 1. Det er ikke vist at cisplatin- og paklitaxelbehandling forbedrer overlevelsen i avansert stadium. Pasienten bør følges opp resten av livet, med kontroll hver tredje måned de første to årene, senere hver sjette måned. I fremtidige studier bør man sette søkelyset på patogenesen og den biologiske utviklingen til borderlinetumorer. Slik informasjon kan bidra til å løse noen av de uavklarte problemstillingene som gjenstå

    r, blant annet omkring klassifiseringen av disse tumorene.

    Kommentarer  ( 0 )

    Anbefalte artikler