Svulster i orbita

    ()

    sporsmal_grey_rgb
    Abstract

    Svulster i orbita er relativt sjeldne. Fra Skandinavia foreligger det kun enkelte rapporter hvor pasienter med orbitasvulster beskrives.

    Vi har gått gjennom journaler fra 278 pasienter med svulst i orbita innlagt i Øyeavdelingen, Haukeland Sykehus, i perioden 1961 – 99.

    Svulsten var benign hos 177 og malign hos 96, mens fem hadde svulster med ukjent malignitetspotensial. I alt 71 ulike svulsttyper var representert. Ved øyeavdelingen har vi for de aktuelle pasientene utført 22 eksenterasjoner, 87 laterale orbitotomier, 47 fremre orbitotomier, samt 41 biopsier gjennom fremre tilgang.

    Materialet illustrerer den betydelige variasjon av svulster som kan forekomme i orbita. Ettersom orbitasvulster forekommer sjelden, bør diagnostikk og behandling sentraliseres til en øyeavdeling med spesialkompetanse for sykdommer i orbita.

    Abstract

    Background.

    Orbital tumours are relatively uncommon, and few series of patients with such tumours have been reported from Scandinavia. Here we present the experience of a Norwegian referral centre.

    Material and methods.

    We have retrospectively evaluated the records of 278 patients with orbital tumours hospitalized at the Department of Ophthalmology, Haukeland University Hospital from 1961 to 1999.

    Results.

    In 177 patients, a benign tumour was present, while 96 patients suffered from malignant disease. In five cases, the malignant potential of the tumour could not be assessed. A total of 71 different histological entities were observed. Surgical treatment performed at our department was in 22 patients exenteration, in 87 lateral orbitotomy, in 47 anterior orbitotomy and in 41 biopsy through an anterior approach.

    Interpretation.

    This series illustrates the wide panorama of space-occupying lesions that may be present in the orbit. Since the lesions are rare and management in many cases complex, the treatment should be centralised to an eye department with a defined interest in orbital disease.

    Artikkel

    En svulst i orbitaregionen defineres som en solid eller cystisk oppfylling beliggende bak septum orbitale. Tilstanden er relativt uvanlig. Større serier med orbitasvulster har de senere år vært publisert fra Nord-Amerika (1 – 4). Fra Skandinavia foreligger det bare et fåtall rapporter om dette (5, 6). Øyeavdelingen ved Haukeland sykehus har fra avdelingen ble opprettet i 1961 hatt diagnostikk og behandling av orbitalidelser som et særlig interesseområde (7, 8). For å illustrere det panorama av diagnostiske og terapeutiske utfordringer som svulster i orbitaregionen utgjør, presenterer vi her en oversikt over 278 pasienter med svulst i orbita som har vært undersøkt og behandlet ved avdelingen i årene 1961 – 99.

    Materiale og metode

    Materiale og metode

    Tre kilder har vært benyttet for retrospektivt å identifisere pasienter med svulst i orbita som har vært innlagt i Øyeavdelingen:

    – Avdelingens eget arkiv, hvor diagnosen til innlagte pasienter ble registrert fra 1961 til 1987.

    – Samtlige operasjonsprotokoller ved avdelingen fra 1961 til ut 1999.

    – Sykehusets dataarkiv, hvor det er mulig å hente ut oversikt over innlagte pasienter og deres diagnoser fra 1972 til ut 1999.

    Vi har gått gjennom journaler fra pasienter med diagnosene godartet, ondartet eller uspesifisert svulst i orbita eller synsnerve, mukocele og exophthalmus (ikke endokrin). Journal kunne ikke fremskaffes for to pasienter. I alt 278 pasienter med svulst i orbita ble identifisert, 145 kvinner og 133 menn. 31 av pasientene var barn (16 år og yngre). Histologisk diagnose forelå for 249 svulster. I fem tilfeller ønsket ikke pasientene videre utredning. Hos 17 pasienter med sannsynlig metastase ble ikke biopsi foretatt, da det kliniske og røntgenologiske bildet var forenlig med utbredt malign grunnlidelse. To pasienter med myelomatose og en med akutt leukemi fikk diagnosen stilt ved undersøkelse av blodutstryk og aspirat fra beinmarg. En pasient med histiocytose hadde kjent grunnlidelse ved innleggelse. Tre pasienter med fibrøs dysplasi hadde karakteristiske røntgenologiske forandringer. 17 av pasientene har vært beskrevet tidligere (7). Årlig insidens av orbitasvulster i Hordaland fylke ble estimert ut fra befolkningstall angitt i Statistisk årbok (9).

    Tabell 1  

    Pasientenes tilhørighet i ulike helseregioner etter tidligere inndeling

    Helseregion

    Antall

    1

    4

    2

    29

    3

    200

    4

    25

    5

    20

    Resultater

    Resultater

    Demografi

    Demografi

    Antall nye pasienter med orbitasvulster har variert fra to til 20 per år. Avdelingen ble i 1990 tildelt landsfunksjon for spesielle orbitalidelser, og det har etter dette vært en tydelig økning av antall nye pasienter (fig 1). Av 278 pasienter totalt kom 200 fra tidligere helseregion 3, derav 120 fra Hordaland fylke. Fordeling på øvrige helseregioner fremgår av tabell 1. I perioden 1961 – 90 var 17 % av pasientene bosatt utenfor helseregion 3. Dette steg til 45 % for perioden 1991 – 99. Dersom pasientene fra Hordaland hadde representert samtlige pasienter med orbitasvulster i dette området, gir det en samlet årlig forekomst av nye svulster på én per 127 808. Tilsvarende tall for benigne svulster er 1 : 218 026 og for maligne 1 : 308 870. De estimerte insidenstallene er ikke justert for alder og kjønn. Aldersfordelingen i materialet som helhet fremgår av figur 2. Det er en mindre topp i aldersgruppene 20 – 29 år samt en større topp i gruppen 50 – 59 år for benigne svulster, mens de maligne viser en topp i aldersgruppen 70 – 79 år.

    Klinisk bilde og diagnostikk

    Klinisk bilde og diagnostikk

    De vanligste symptomer og funn er samlet i tabell 2. Nedsatt syn er verken et tidlig eller et spesielt hyppig symptom, noe som skyldes synsnervens og bulbus’ store evne til å forskyve seg. Perioden med symptomer før innleggelse varte fra dager til mer enn 30 år, med medianverdi på 12 måneder for benigne og 5 – 6 måneder for maligne svulster.

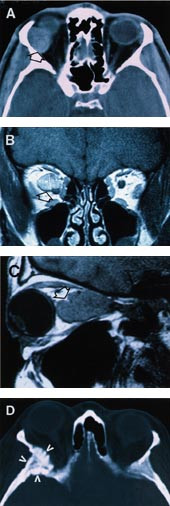
    Innføring av CT og senere MR har hatt uvurderlig betydning for diagnostisering av orbitasvulster (fig 3). CT- eller MR-undersøkelse har vært utført hos 181 pasienter. Før vi fikk CT, var den mest benyttede teknikk ved vår avdeling orbitopneumotomografi, hvor luft ble injisert inn i Tenons kapsel og anvendt som kontrast (7). I alt 25 pasienter fikk påvist en svulst på denne måten. Den mest ”avanserte” undersøkelse utført hos de øvrige var cerebral angiografi hos fem og vanlig røntgenundersøkelse eller planigrafi av ansiktsskjelett, bihuler eller kranium hos 39. Det mangler opplysninger om utført røntgenundersøkelse hos 28 pasienter.

    Histologisk diagnose

    Histologisk diagnose

    I materialet er 71 ulike svulsttyper representert, og noen eksempler er vist i figur 4. Tabell 3 – 7 gir en oversikt over ulike diagnoser med kjønns- og aldersfordeling. Dette inkluderer 177 benigne, 96 maligne og fem svulster med ukjent malignitetspotensial (pasientene ønsket ikke videre utredning). De hyppigst forekommende benigne svulster var mukocele, hemangiom, pseudotumor og meningeom. Av maligne svulster var non-Hodgkins lymfom vanligst. Blant metastasene var utgangspunktet oftest cancer prostatae eller cancer mammae. I tillegg har vi observert metastaser fra flere uvanlige kreftformer, deriblant paragangliom og malignt schwannom. Det var en overvekt av meningeom, sarkoidose og non-Hodgkins lymfom hos kvinner, mens pleomorft adenom var hyppigere hos menn. For de fleste svulsttypene er imidlertid antallet for lavt til at man kan angi noen sikker kjønnsspesifikk opphopning. Pasienter med optikusgliom, dermoid cyste og osteoid osteom hadde en lavere gjennomsnittsalder enn de øvrige. I tabell 8 presenteres en oversikt over orbitasvulster hos barn.

    Pseudotumor er et begrep som har vært benyttet på reaktive og kronisk inflammatoriske forandringer i orbita der det ikke foreligger noen kjent lokal eller systemisk årsak til inflammasjonen (10). Begrepet er imidlertid upresist, idet tilstandene som faller inn under det, er heterogene og må antas å ha ulik patogenese. I de senere år har det vært vanlig å skille mellom reaktiv lymfoid hyperplasi og inflammatorisk pseudotumor. Førstnevnte kjennetegnes av et regelmessig infiltrat av modne lymfocytter med enkelte plasmaceller, mens sistnevnte har et polymorft infiltrat med varierende reaktiv fibrovaskulær komponent, i noen tilfeller også med granulomdanning. Det inflammatoriske infiltratet kan være lokalisert enten diffust eller i form av en tumor. I vårt materiale har vi bare tatt med de pasientene som har hatt en veldefinert tumor. Tre av pasientene i denne kategorien hadde reaktiv lymfoid hyperplasi, mens hos fire forelå en granulomatøs reaksjon. Pseudotumoren var hos seks lokalisert til tårekjertel og kan således representere en slags kronisk dakryoadenitt, hos tre forelå opplysninger om forutgående traume, ytterligere tre hadde myositt, en hadde inflammatoriske infiltrater i andre organer (lymfeknute, spyttkjertel) slik at tilstanden kunne ha sammenheng med en systemsykdom, mens en senere har fått diagnostisert Wegeners granulomatose. Hos de øvrige kunne ikke tilstedeværelsen av et inflammatorisk infiltrat relateres til noen bestemt årsak.

    Ulike svulsttyper vil i mange tilfeller være lokalisert til bestemte deler av orbita. Svulster som har sitt utgangspunkt i vev med bestemt lokalisering, vil naturlig nok finnes i tilsvarende område. Således var samtlige pleomorfe adenomer lokalisert til tårekjertel og mer enn 90 % av mukocelene utgikk fra sinus ethmoidalis eller sinus frontalis. Videre var 67 % av lymfomene lokalisert oppad eller lateralt, samtlige osteoide osteomer oppad eller medialt, 50 % av hemangiomene intrakonalt og 54 % av inflammatoriske svulster (pseudotumor eller sarkoidose) lateralt i orbita.

    Tabell 2  

    De hyppigst forekommende symptomer og funn hos pasienter med svulst i orbita. Samlet prosentvis andel overstiger 100, da flere symptomer og funn i en del tilfeller vil være registrert hos samme pasient

    Symptom

    Andel (%)

    Utstående øye

    36

    Periorbital hevelse

    23

    Palpabel tumor

    22

    Dobbeltsyn

    21

    Nedsatt syn

    19

    Smerter

    16

    Hengende øyelokk

    9

    Rødt øye

     8

    Funn

    Proptose/feilstilling av øye

    67

    Palpabel tumor

    44

    Innskrenket motilitet

    18

    Nedsatt visus

    12

    Ptose

    11

    Papilleødem eller -atrofi

     8

    Behandling av benigne svulster

    Behandling av benigne svulster

    Som allerede omtalt forekommer et bredt spekter av svulster i orbitaregionen, og behandling vil være avhengig av lokalisasjon og histologisk diagnose (tab 9). Ved benigne svulster har vi ved vår avdeling som hovedregel gjort lateral orbitotomi. Denne tilgangen muliggjør god eksponering av orbita, med liten risiko for å skade viktige strukturer. Inngrepet utføres gjennom hudsnitt over laterale orbitakant. Laterale orbitavegg sages over oppad mot skallebasis og nedad mot arcus zygomaticus, og løses deretter ut. Ved inngrepets avslutning settes beinfragmentet på plass.

    De fleste godartede svulster har et vekstmønster som gjør radikal eksisjon mulig, men ikke alltid. Hos pasienter med pseudotumor har vi utført eksisjon hos sju, partiell reseksjon hos sju og biopsi hos 12. Åtte pasienter har fått supplerende behandling med prednison, mens strålebehandling har vært gitt hos fire. Biopsi ble tatt hos fem pasienter med sarkoidose, mens fire har fått utført partiell reseksjon. Av disse fikk to i tillegg behandling med prednison og en fikk strålebehandling. Alle pasienter med kilebeinsvingemeningeom er blitt henvist til Nevrokirurgisk avdeling for tumorreseksjon. I ett tilfelle er en pasient blitt henvist videre for radikal kirurgi i USA. Det har ikke vært behov for eksisjon av venøse anomalier, og disse pasientene har vært fulgt med kontroller. En pasient med fibrøs dysplasi har fått utført reseksjon av patologisk beinvev. Ved nevrofibromatose har vi i ett tilfelle fjernet et solitært nevrofibrom, mens hos en annen, som hadde mer utbredte forandringer, har vi kun tatt biopsi. Pasientene med dermolipom og amyloidose har også bare fått tatt biopsi. Hos disse var forandringene så vidt lite uttalt at partiell reseksjon ikke var aktuelt. To sannsynlige optikusmeningeomer og ett hemangiom som strakte seg inn i fremre skallegrop har vært fulgt med kontroller. En pasient med kapillært hemangiom fikk behandling med partiell reseksjon og prednison. De øvrige godartete svulstene operert ved vår avdeling har alle vært eksidert radikalt, med unntak av to dermoidcyster og tre (samtlige) hemangiopericytomer. To av de sistnevnte har fått supplerende strålebehandling.

    Behandling av maligne svulster

    Behandling av maligne svulster

    Behandling av maligne tilstander i orbita vil i mange tilfeller kreve eksenterasjon av orbita (tab 9). Ved dette inngrepet fjernes alt innhold i orbita med periost. Beinet dekkes deretter med hudtransplantat. Postoperativt må det tilpasses protese. Tidligere ble brilleproteser benyttet, men i dag er det vanlig med silikonprotese som festes med magnet til stifter plassert innenfor orbitakanten. Disse protesene er mer behagelige å benytte og gir et mye bedre utseendemessig resultat enn de gamle brilleprotesene. I noen tilfeller vil vevet som fjernes ved eksenterasjon også innbefatte beinete deler av orbita.

    I behandling av maligne tilstander som primært har oppstått i orbita har vi utført ni eksenterasjoner og fire lokale reseksjoner, sistnevnte hos to pasienter med adenoid cystisk karsinom, en med osteogent sarkom og en med pleomorft sarkom. En av pasientene med adenoid cystisk karsinom fikk senere utført eksenterasjon ved et annet sykehus, mens en pasient med fibrosarkom ble eksenterert ved Øre-nese-hals-avdelingen. Hos et barn med sannsynlig nevroblastom ønsket ikke foreldrene videre behandling. Supplerende strålebehandling har vært gitt hos minst sju pasienter, men informasjonen om dette er mangelfull, da flere pasienter har vært fulgt opp ved andre sykehus. Av den grunn er også opplysningene om behandlingsresultat mangelfulle. Operasjonen var ikke radikal hos åtte pasienter, og hos minst fire av disse var orbitasvulsten den primære dødsårsak. Blant de resterende sju er pasienten med myksosarkom residivfri, mens det ikke foreligger opplysninger om de øvrige.

    Blant pasienter med lokal innvekst ble eksenterasjon utført hos 12 og lokal reseksjon hos fem. Supplerende strålebehandling ble gitt hos seks, mens åtte pasienter med omfattende tumorvekst i bihuler fikk dette som eneste form for behandling. To pasienter, en med residiv av et spinocellulært karsinom etter tidligere eksenterasjon og en med plateepitelkarsinom utgående fra bihuler, ble henvist til Nevrokirurgisk avdeling for utvidet reseksjon. Sju pasienter er rapportert døde som følge av sin maligne sykdom, deriblant to med koroidalt malignt melanom og fem med karsinom i bihuler. Ytterligere fire pasienter med henholdsvis basalcellekarsinom, spinocellulært karsinom i øyelokk, i conjunctiva og i bihule har fått residiv. Hos en av pasientene med plateepitelkarsinom fra conjunctiva, tre med basalcellekarsinom og en med koroidalt malignt melanom er det ikke rapportert residiv. For de øvrige er det usikre opplysninger om videre utfall.

    Hos seks pasienter med metastaser ble det tatt biopsi. En hadde et udifferensiert karsinom som muligens kunne være fra cancer prostatae, en et adenokarsinom med ukjent utgangspunkt, en cancer prostatae, en cancer vesicae og to cancer mammae, hvor orbitametastasen var første manifestasjon av malign grunnlidelse hos den ene. I tre tilfeller ble metastasen fjernet, henholdsvis fra pasientene med cancer renis, karsinoid i tarm og paragangliom i bekkenet. Samtlige pasienter med metastaser fikk strålebehandling, unntatt en med cancer prostatae, hvor hormonbehandling ble gitt i stedet.

    Alle pasienter med non-Hodgkins lymfom fikk tatt biopsi eller utført partiell reseksjon av sin tumor, i fem tilfeller via lateral orbitotomi. Samtlige fikk deretter supplerende behandling med stråler eller cytostatika i regi av onkologisk avdeling. Det foreligger ikke opplysninger om residiv hos noen av pasientene med lymfom.

    Komplikasjoner

    Komplikasjoner

    Av komplikasjoner ved inngrep i vår avdeling har vi registrert tap av synet på det ene øyet hos to pasienter etter eksisjon av hemangiomer lokalisert intrakonalt, videre hos en pasient med nevrofibromatose, en med hemangiopericytom og hos to med metastaser. I tillegg vil synstap på øyet nødvendigvis inntre etter fjerning av svulster utgått fra synsnerve og ved eksenterasjon. Vi har indusert varig ptose og/eller strabisme hos to pasienter med hemangiom, en med lymfom, en med sarkoidose og to med pseudotumor. Videre har vi registrert to postoperative infeksjoner, en bløtdelsinfeksjon etter fjerning av et hemangiom og en osteomyelitt etter eksenterasjon pga. et lite differensiert karsinom.

    Tabell 3  

    Godartede svulster

    Svulsttype

    Antall

    Kvinner

    Menn

    Median alder (år) (spredning)

    Mukocele

    27

    13

    14

    57 (13 – 90)

    Hemangiom

    27

    12

    15

    43 (1 – 69)

    Kavernøst

    25

    12

    13

    43 (1 – 69)

    Kapillært

    1

    0

    1

     2

    Pseudotumor

    25

    16

    9

    58 (14 – 79)

    Meningeom

    18

    15

    3

    59 (16 – 76)

    N. opticus

    7

    7

    0

    59 (19 – 76)

    Kilebeinsvinge

    9

    8

    1

    60 (44 – 73)

    Annen

    2

    0

    2

    (16 – 32)

    Dermoid/epidermal cyste

    17

    6

    11

    21 (1 – 58)

    Sarkoidose

    9

    7

    2

    65 (20 – 85)

    Pleomorft adenom

    8

    2

    6

    45 (25 – 86)

    Osteoid osteom

    7

    2

    5

    27 (18 – 55)

    Schwannom

    6

    5

    1

    29 (3 – 71)

    Nevrofibrom

    5

    2

    3

    31 (4 – 65)

    Fibrøs dysplasi

    4

    4

    0

    18 (14 – 72)

    Hemangiopericytom

    3

    2

    1

    32 (16 – 54)

    Venøs anomali

    3

    2

    1

    66 (51 – 82)

    Gliom i n. opticus

    3

    1

    2

    18 (7 – 20)

    Mikrophthalmus med cyste

    2

    0

    2

    (1 – 1)

    Histiocytose

    2

    1

    1

    (5 – 6)

    Cyste i tårekjertel

    1

    0

    1

    21

    Tubulært adenom

    1

    1

    0

    69

    Myksom

    1

    0

    1

    19

    Fibrom

    1

    0

    1

    66

    Leiomyom

    1

    1

    0

    36

    Dermolipom

    1

    1

    0

    54

    Angiolipom

    1

    0

    1

    68

    Sylindrom

    1

    0

    1

    76

    Amyloidose

    1

    1

    0

    71

    Kolesterolgranulom

    1

    0

    1

    69

    Cyste i hematom

    1

    0

    1

    62

    Sum

    177

    94

    83

    Tabell 4  

    Maligne svulster med utgangspunkt i orbita

    Svulsttype

    Antall

    Kvinner

    Menn

    Alder (år)

    Adenoid cystisk karsinom

    2

    1

    1

    51 – 53

    Hemangiosarkom

    2

    1

    1

    1 – 10

    Nevroblastom

    2

    0

    2

    4 – 4

    Adenokarsinom i tårekjertel

    1

    1

    0

    46

    Fibrosarkom

    1

    1

    0

    2

    Nevrofibrosarkom

    1

    0

    1

    82

    Myksofibrosarkom

    1

    1

    0

    63

    Pleomorft sarkom

    1

    0

    1

    74

    Osteogent sarkom

    1

    0

    1

    47

    Malignt melanom

    1

    1

    0

    49

    Lite differensiert karsinom

    1

    1

    0

    75

    Sum

    14

    7

    7

    Tabell 5  

    Maligne svulster med innvekst i orbita

    Svulsttype

    Antall

    Kvinner

    Menn

    Median alder (år) (spredning)

    Basalcellkarsinom fra øyelokk

    4

    2

    2

    71 (57 – 83)

    Spinocellulært karsinom fra øyelokk

    3

    2

    1

    68 (45 – 73)

    Malignt melanom fra øyelokk

    2

    2

    0

    (45 – 82)

    Rabdomyosarkom fra øyelokk

    1

    1

    0

    11

    Plateepitelkarsinom fra conjunctiva

    2

    0

    2

    (79 – 83)

    Malignt melanom i conjunctiva

    1

    0

    1

    76

    Malignt melanom fra choroidea

    4

    1

    3

    71 (65 – 81)

    Plateepitelkarsinom fra bihule

     7

     3

     4

    71 (53 – 84)

    Adenoid cystisk karsinom i bihule

    2

    0

    2

    (25 – 71)

    Sum

    26

    11

    15

    Tabell 6  

    Lymfoproliferative tilstander

    Svulsttype

    Antall

    Kvinner

    Menn

    Median alder (år) (spredning)

    Non-Hodgkins lymfom

    25

    14

    11

    68 (44 – 84)

    Hodgkins lymfom

    1

    0

    1

    76

    T-cellelymfom

    1

    1

    0

    70

    Myelom

    2

    1

    1

    (68 – 73)

    Akutt leukemi

    1

    0

    1

     3

    Sum

    30

    16

    14

    Tabell 7  

    Metastaser

    Primærtumor

    Antall

    Kvinner

    Menn

    Median alder (år) (spredning)

    Cancer prostatae

    8

    0

    8

    73 (62 – 87)

    Cancer mammae

    6

    6

    0

    65 (50 – 71)

    Cancer coli (adenokarsinom)

    1

    1

    0

    82

    Cancer pancreatis

    1

    0

    1

    66

    Cancer renis (hypernefrom)

    1

    1

    0

    71

    Cancer pulmonis (ikke-biopsert lungetumor)

    1

    1

    0

    63

    Cancer vesicae

    1

    0

    1

    72

    Malignt melanom (ukjent primærfokus)

    1

    1

    0

    32

    Karsinoid i tynntarm

    1

    1

    0

    70

    Malignt schwannom høyre albue

    1

    1

    0

    54

    Paragangliom i bekkenet

    1

    1

    0

    48

    Rabdomyosarkom venstre lår

    1

    0

    1

    77

    Udifferensiert karsinom (cancer prostatae?)

    1

    0

    1

    63

    Adenokarsinom ukjent utgangs- punkt

    1

    1

    0

    51

    Sum

    26

    14

    12

    Diskusjon

    Diskusjon

    Flere store materialer med svulster i orbitaregionen har vært publisert (1 – 6). De fleste utgjør, i likhet med vårt, retrospektive samlematerialer fra et referansesenter.

    For vår serie avviker fordeling i forhold til alder og kjønn relativt lite fra andre materialer, likeledes det kliniske bildet. Vi har imidlertid observert en liten topp i forekomst av svulster for aldersgruppen 21 – 30 år. Hos andre har denne toppen vært tidligere (0 – 10 år) (1). Fordelingen mellom ulike svulsttyper er heller ikke atypisk, men i forhold til flere andre serier har vi en lavere forekomst av maligne svulster som har vokst inn i orbita fra omkringliggende vev, men en noe høyere forekomst av metastaser (1, 4, 6, 11). I andre serier med spesielt høy forekomst av lokalt avanserte maligne svulster har dette vært relatert til lav sosioøkonomisk status i befolkningen (11). At vi har sett så vidt få pasienter med denne svulsttypen, kan relateres til bedre tilgang på helsetjeneste, men kan også, i hvert fall for svulster med utgangspunkt i nese eller bihuler, forklares ved at disse pasientene har vært henvist direkte til øre-nese-hals-avdeling. Forekomst av meningeom og ossøse svulster (osteoid osteom og fibrøs dysplasi) samt mukocele er i vårt materiale likt (1) eller høyere enn i andre materialer (4, 6). Varierende henvisningspraksis kan også ha betydning i denne sammenheng, idet en del av disse pasientene vil bli henvist direkte til nevrokirurgisk avdeling eller øre-nese-hals-avdeling. Antall dermoidcyster er tilsvarende (1) eller lavere (4, 6) det som rapporteres i andre materialer, hvilket kan skyldes at kriteriene for inklusjon der har vært mindre strenge (4).

    Denne studien innbefatter kun pasienter som har vært innlagt i Øyeavdelingen. Pasienter som har vært fulgt poliklinisk eller innlagt i andre avdelinger ved sykehuset er ikke tatt med. Som diskutert tidligere vil dette medføre at en del pasienter med innvekst av svulster fra nese, bihuler eller fremre skallegrop ikke vil bli registrert. Videre vil barn med nevrofibromatose og optikusgliom hvor operativ behandling ikke er aktuelt, heller ikke bli registrert. Dette kan forklare hvorfor man i en rapport om nevrofibromatose hos barn i Sør-Trøndelag har observert et betydelig høyere antall optikusgliomer (12).

    Behandlingsmessig avviker vi noe fra enkelte andre sentre i og med at vi ikke har anvendt finnålsbiopsi i diagnostikken, men utelukkende tatt åpne biopsier eller eksidert tumor i samme seanse. Nesten dobbelt så mange (31,3 % mot 16,7 %) er blitt operert med lateral orbitotomi hos oss i forhold til i et materiale fra Stockholm (6).

    Kunne behandlingen vært bedre? Komplikasjonsfrekvensen har vært lav, men hos en relativ høy andel av pasientene med maligne svulster av typen karsinom eller sarkom utgående fra orbita eller bihuler har ikke den operative behandling vært radikal. Dette forklares i noen tilfeller av omfattende svulstvekst på diagnosetidspunktet, slik at svulsten har vært inoperabel. Imidlertid kunne prognosen for enkelte pasienter vært bedret dersom man tidligere hadde utført eksenterasjon og at ikke bare bløtdeler ble fjernet, men også de beinete deler av orbita. Bedre teknikker for plastikkirurgisk rekonstruksjon samt muligheten til å sette inn computerdesignede transplantater til erstatning for bein gjør at terskelen for å utføre slike inngrep bør bli lavere. Avgjørende for god prognose etter eksenterasjon er tilstedeværelse av frie reseksjonskanter (13). Videre har enkelte pasienter ikke fått supplerende strålebehandling umiddelbart etter operasjon. Dette kan ha medvirket til høyere residivfrekvens, men strålebehandling etter eksenterasjon er ikke uproblematisk pga. fare for nekrose av hudtransplantat og problem med blottlagt bein i orbita. Cytostatikabehandling har for primære sarkomer og karsinomer vært utilfredsstillende. Kasuistiske meddelelser indikerer imidlertid at intraarteriell behandling av adenoid cystisk karsinom med doksorubicin og cisplatin kan benyttes preoperativt med godt resultat (14).

    Som det fremgår av denne artikkelen kan behandling av pasienter med orbitasvulster være vanskelig og vil i mange tilfeller kreve samarbeid mellom flere spesialiteter. Imidlertid gir orbitasvulster alt vesentlig oftalmologiske manifestasjoner og hører derfor naturlig hjemme i en øyeavdeling. Da svulstene er sjeldne, bør behandlingen være sentralisert til en øyeavdeling der det er spesiell interesse for sykdommer i orbita. Dette er nødvendig for at noen skal få tilstrekkelig erfaring og dermed et grunnlag for videreutvikling og kompetanseoppbygging som skal til slik at diagnostikk og behandling blir optimal.

    Tabell 8  

    Orbitasvulster hos barn

    Svulsttype

    Antall

    Piker

    Gutter

    Median alder (år) (spredning)

    Dermoid/epidermal cyste

    5

    3

    2

     1  (1 – 3) 

    Hemangiom

    3

    2

    1

     2  (1 – 12)

    Kavernøst

    2

    2

    0

        (1 – 12)

    Kapillært

    1

    0

    1

     2

    Mukocele

    2

    2

    0

       (13 – 15)

    Mikrophthalmus med cyste

    2

    0

    2

        (1 – 1) 

    Schwannom

    2

    2

    0

        (3 – 12)

    Nevrofibromatose

    2

    0

    2

        (4 – 15)

    Nevroblastom

    2

    0

    2

        (4 – 4) 

    Hemangiosarkom

    2

    1

    1

        (1 – 10)

    Histiocytose

    2

    1

    1

        (5 – 6) 

    Meningeom

    1

    0

    1

    16

    Gliom

    1

    0

    1

     7

    Hemangiopericytom

    1

    1

    0

    16

    Pseudotumor

    1

    1

    0

    14

    Rabdomyosarkom

    1

    1

    0

    11

    Fibrosarkom

    1

    1

    0

     2

    Fibrøs dysplasi

    1

    1

    0

    14

    Akutt leukemi

    1

    0

    1

     3

    Ikke avklart

    1

    0

    1

     1

    Sum

    31

    16

    15

    Tabell 9  

    Operasjoner utført ved Øyeavdelingen og oversikt over pasienter henvist til andre avdelinger med diagnoser

    Operasjon/diagnose

    Antall

    Øyeavdelingen

    197

    Eksenterasjon av orbita

    22

    Lateral orbitotomi

    87

    Fremre orbitotomi

    47

    Biopsi – fremre tilgang

    41

    Onkologisk avdeling

    76

    Lymfoproliferative tilstander

    29

    Metastaser

    23

    Lokal innvekst

    9

    Malign tumor primært i orbita

    7

    Pseudotumor

    4

    Hemangiopericytom

    2

    Sarkoidose

    1

    Meningeom

    1

    Øre-nese-hals-avdeling

    38

    Mukocele

    24

    Malign tumor med affeksjon av bihule

    10

    Osteoid osteom

    2

    Kolesterolgranulom fra sinus frontalis

    1

    Schwannom

    1

    Nevrokirurgisk avdeling

    16

    Kilebeinsvingemeningeom

    7

    Osteoid osteom

    3

    Optikusgliom

    1

    Fibrøs dysplasi

    1

    Pseudotumor

    1

    Spinocellulært karsinom fra øyelokk

    1

    Plateepitelkarsinom fra bihuler

      1

    Hemangiosarkom

    1

    T-cellelymfom

    1

    Kirurgisk avdeling

    2

    Metastase fra cancer prostatae

    2

    Kommentarer  ( 0 )

    Anbefalte artikler