Bukorganenes venøse blod dreneres av de store mesenteriale venene og miltvenen, via portvenen, til leveren. Luft i portvenen og de intrahepatiske forgreninger av denne, er et uvanlig og illevarslende tegn. Den vanligste årsaken er tarmnekrose. Vi presenterer en pasient som døde fem timer etter ankomst ved vår avdeling, etter at CT-abdomen hadde vist luft i portvenesystemet, såkalt luftportogram. Obduksjon avdekket en nekrotisk ventrikkel. Årsaker til luft i portvenen og nekrose av ventrikkelen diskuteres.
Pasienten . En 69 år gammel mann, medisinert med doxazosin for moderat hypertensjon. Han var operert for lyskebrokk ett år tilbake, og led av intermitterende claudikasjon i venstre bein. To dager før innleggelsen fikk han smerter i øvre abdomen, med oppkast. Smertene gav seg, men han følte seg fortsatt uvel. Innleggelsesdagen fikk han tilbake smertene i øvre abdomen, nå ledsaget av pustebesvær.
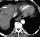
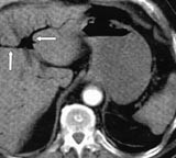
Ved ankomst i sykehuset var han kaldsvettende, forvirret og klaget over smerter i venstre bein. Han hadde ikke buksmerter. Han hadde puls 190/min, uregelmessig, systolisk blodtrykk 210 mm Hg og normal kroppstemperatur. Buken var lett utspilt, uten ømhet eller andre tegn på peritonitt. Venstre bein hadde nedsatt sirkulasjon. EKG viste raskt atrieflimmer. Pasienten var kritisk syk. Behandling av hans raske atrieflimmer med verapamil og metoprolol bedret ikke situasjonen. Blodprøver viste Hb 19,0 g/100 ml (jf. 17,4 g/100 ml to måneder tidligere), leukocytter 21,7 × 10 9 /l, trombocytter 226 × 10 9 /l, CRP 138 mg/l, natrium 141 mmol/l, kalium 3,3 mmol/l, albumin 42,3 g/l, kreatinin 140 µ mol/l, bilirubin 25 µ mol/l, ASAT 262 U/l, ALAT 139 U/l, CK 227 U/l, amylase 139 U/l. CT abdomen viste en normalt kalibrert aorta med tromber i venstre a. iliaca og i a. mesenterica superior. Det forelå en fyllingsdefekt nær avgangen av truncus coeliacus, samt fravær av kontrastfylling i coeliacusgebetet. Forgrening av luft var synlig i leveren (fig 1), helt ut til leverkapselen (fig 2). Luft var også synlig i den ekstrahepatiske del av portvenen, samt i miltvenen og i mesenteriale vener (fig 3). Det forelå ingen utvidelse av magesekken, og heller ingen intramural luft. Vi mistenkte en vaskulær katastrofe i buken. På vei til operasjonsstuen mistet pasienten bevisstheten og døde.
Obduksjon avdekket komplett nekrose av hele magesekken. Noen områder av tynntarmen virket iskemiske, men var ikke nekrotisert. Intramural luft ble ikke observert i magesekken. Leveren viste tegn på betennelse og nekrose i grenselagene mellom periportalt bindevev og leverparenkymet (”piecemeal”-nekrose). Undersøkelse av aorta viste murale tromber ved avgangen til truncus coeliacus, og inkomplett trombotisk okklusjon av a. mesenterica superior, med et antatt restlumen på 10 %. Tromben ble bedømt å være noen dager gammel. En trombe ble også funnet i aortabifurkaturen, over avgangen av venstre a. iliaca. Det var ingen patologiske funn ved undersøkelse av hjerte, lunger eller hjerne.
Diskusjon
Kasuistikken beskriver en sjelden og alvorlig tilstand med vanskelig diagnostikk.
Luftportogram
Det er alminnelig anerkjent at luft som forgrener seg lenger distalt enn 2 cm fra leverkapselen, gjengir et luftportogram, snarere enn et luftkolangiogram (1 – 3). Det sistnevnte er et hyppigere og mindre illevarslende funn. Luftportogram er også kjent i engelskspråklig litteratur som ”hepatic portal venous gas”, forkortet HPVG. Luftportogram er beskrevet i forløpet av en rekke ulike abdominale katastrofer, oftest i forbindelse med tarmnekrose (4, 5), og er med få unntakelser et varsel om elendig prognose (1). Tidligere ble dette tegnet alene sett på som tilstrekkelig indikasjon for øyeblikkelig laparotomi (1, 6). I den senere tid er det publisert enkelte rapporter om mindre kritiske tilstander som også har ført til danning av luft i portvenesystemet, spesielt inflammatoriske tarmsykdommer, både spontant og etter endoskopi/røntgen colon (7 – 9), tarmparalyse (10), dilatasjon av ventrikkelen (11, 12), divertikulitt med abscessdanning (2, 13 – 16) og tarmobstruksjon (17). Det kan også være et resultat av stumpt eller penetrerende traume (18 – 20). Skader av mucosa og distensjon av ventrikkel/tarm antas å være disponerende faktorer. Tilstander i ventrikkelen er sjelden årsak til luft i portvenesystemet. Blant disse er lokale infeksjoner og gastrisk emfysem. Sistnevnte beskriver tilstander der luft er presset inn i ventrikkelveggen på grunn av intraluminal dilatasjon, oftest iatrogent, obstruktivt eller traumatisk betinget (21, 22). Prognosen er utmerket.
Ventrikkelnekrose
Fullstendig nekrose av hele magesekken er svært sjeldent. Det er oftest forårsaket av embolus eller trombose, dilatasjon, traume, inntak av etsende substanser eller av infeksjon.
Trombotisk okklusjon, av både truncus coeliacus og a. mesenterica superior med påfølgende ventrikkelnekrose er beskrevet (23, 24), men da med samtidig nekrose av tynntarm. Cohen (24), beskriver en pasient med okkludert truncus coeliacus, med infarkt av magesekk og milt. Vår pasient hadde komplett nekrose av hele magesekken med en tilsynelatende paradoksal sparing av tynntarmen, selv om det forelå indirekte tegn på iskemisk sykdom også her (luft i mesenteriale vener). Han hadde kronisk aterosklerotisk sykdom i de store kar med kjent klaudikasjon i venstre bein. Partiell eller komplett obstruksjon av både truncus coeliacus og a. mesenterica superior ble demonstrert både med CT og ved obduksjon. Den relative sparing av hans tynntarm synes å tale mot iskemisk nekrose ettersom ventrikkelen er det klart best sirkulerte organet med sine store anastomoserende arterier. Siden leveren også var merket av iskemi og a. mesenterica inferior var åpen, må vi konkludere med at den veggfaste tromben ved avgangen av truncus coeliacus okkluderte dette karet og medførte den akutte forverringen hos vår pasient. A. mesenterica superior, med sitt restlumen på omtrent 10 %, har ikke kunnet forsyne de akutt iskemiske organene i øvre abdomen gjennom anastomoserende grener, men tynntarmen kan ha overlevd såvidt på anastomoserende grener fra a. mesenterica inferior. Det er beskrevet tilfeller der alle de tre store mesenterialkarene har vært okkludert og hele forsyningsområdet har vært dekket av anastomoserende grener fra hemoroidalkarene (25). Avaskulær nekrose må antas å være etiologien hos vår pasient. Nedenfor diskuteres differensialdiagnoser.
Inkarserasjon av deler av ventrikkelen i thorax etter fundoplikasjon, med påfølgende nekrotisering er kjent og kan forekomme flere år etter operasjonen (26, 27). Akutt dilatasjon har ført til nekrotisering (28 – 32). Vi har ingen grunn til å tro at herniering eller dilatasjon har medvirket i vår pasients tilfelle ettersom CT-bildene viser en ikke-utspilt magesekk med luftportogram allerede til stede. Han var ikke tidligere bukoperert, og det forelå ingen mistanke om traume eller instrumentering.
Etsende substanser kan ved inntak forårsake uttalt nekrose (33), og Fink og medarbeidere (34) beskriver to tilfeller av luft i portvenene via denne mekanismen. Vi har ingen grunn til å tro at dette har funnet sted.
Emfysematøs gastritt er en sjelden og dødelig tilstand, forårsaket av invaderende, gassdannende bakterier i ventrikkelveggen. I sin oversikt (22), foreslår Moosvi og medarbeidere de nå aksepterte kriterier for diagnosen emfysematøs gastritt: en tilstand med inflammasjon av ventrikkelveggen, radiologiske eller intraoperative tegn på intramural luft, og kliniske tegn på sepsis. Moosvi og medarbeidere gjennomgår de 28 publiserte tilfeller siden Fraenkels første rapport i 1889 (35). Senere er ytterligere ni tilfeller beskrevet i engelskspråklig litteratur (36 – 41). De fleste tilfellene har endt fatalt. Vår pasient var tydelig septisk og hadde nekrotisert magesekk. Luft i ventrikkelveggen var ikke sikkert tilstede på CT-bildene, selv om dette kunne mistenkes. Ved obduksjon var nekrosen så uttalt at bedømmelse av hvorvidt det forelå intramural luft, var umulig. Det ble ikke påvist bakterier i prøvematerialet fra lever eller lunger. Det ble ikke tatt blodkultur. De store mengder luft i portvenen, miltvenen og i mesenteriale vener kunne mistenkes å stamme fra en infeksjon med gassdannende bakterier, men det forblir indisier. Etter Moosvis definisjon kan vi ikke stille diagnosen emfysematøs gastritt. Flegmonøs gastritt betegner bakteriell invasjon av ventrikkelveggen, men uten gassdanning (10, 22, 42 – 46). Ved flegmonøs gastritt er abscessdanning det typiske, snarere enn regelrett nekrose, som derimot er kjennemerket på akutt nekrotiserende gastritt (47, 48). Ved akutt nekrotiserende gastritt er alle de fire store gastriske kar åpne, nekrosen forårsakes av en overveldende nekrobiotisk infeksjon (49). Akutt nekrotiserende gastri
tt kan ikke forklare de store mengdene luft i portvenesystemet hos vår pasient, og den uttalte aterosklerosen taler også mot.
Konklusjon
Vår pasient døde sannsynligvis av iskemisk nekrose av magesekken, forårsaket av trombosering av truncus coeliacus og a. mesenterica superior, med danning av luft i det portale venesystem. Luftportogram er isolert sett ikke operasjonsindikasjon, men sammenholdt med et alvorlig klinisk bilde er det indikasjon for umiddelbar laparotomi.
- 1.
Liebman PR, Patten MT, Manny J, Benfield JR, Hechtman HB. Hepatic–portal venous gas in adults: etiology, pathophysiology and clinical significance. Ann Surg 1978; 187: 281 – 7.
- 2.
Sisley JF, Miller DM, Nesbit RR jr. Computerized axial tomography (CT) as an aid in the diagnosis of hepatic portal venous gas: a case report. Surgery 1987; 101: 376 – 9.
- 3.
Wolff GT. Hepatic portal venous gas. Am Fam Physician 1982; 26: 185 – 6.
- 4.
Bloom RA, Lebensart PD, Levy P, Craciun E, Anner H, Manny J. Survival after ultrasonographic demonstration of portal venous gas due to mesenteric artery occlusion. Postgrad Med J 1990; 66: 137 – 9.
- 5.
Kundrotas LW, Robinson AB. Images in clinical medicine. Gas in the portal venous system. N Engl J Med 1996; 335: 864.
- 6.
Traverso LW. Is hepatic portal venous gas an indication for exploratory laparotomy? Arch Surg 1981; 116: 936 – 8.
- 7.
Birnberg FA, Gore RM, Shragg B, Margulis AR. Hepatic portal venous gas: a benign finding in a patient with ulcerative colitis. J Clin Gastroenterol 1983; 5: 89 – 91.
- 8.
Delamarre J, Capron JP, Dupas JL, Deschepper B, Jouet-Gondry C, Rudelli A. Spontaneous portal venous gas in a patient with Crohn’s ileocolitis. Gastrointest Radiol 1991; 16: 38 – 40.
- 9.
Kirsch M, Bozdech J, Gardner DA. Hepatic portal venous gas: an unusual presentation of Crohn’s disease. Am J Gastroenterol 1990; 85: 1521 – 3.
- 10.
Venkatesh B, Tesar P. Hepatic portal venous gas in a critically ill patient. Anaesth Intensive Care 1998; 26: 575 – 8.
- 11.
Benson MD. Adult survival with intrahepatic portal venous gas secondary to acute gastric dilatation, with a review of portal venous gas. Clin Radiol 1985; 36: 441 – 3.
- 12.
Radin DR, Rosen RS, Halls JM. Acute gastric dilatation: a rare cause of portal venous gas. AJR Am J Roentgenol 1987; 148: 279 – 80.
- 13.
Cambria RP, Margolies MN. Hepatic portal venous gas in diverticulitis: survival in a steroid-treated patient. Arch Surg 1982; 117: 834 – 5.
- 14.
Zielke A, Hasse C, Nies C, Rothmund M. Hepatic-portal venous gas in acute colonic diverticulitis. Surg Endosc 1998; 12: 278 – 80.
- 15.
Haak HR, Kooymans-Coutinho MF, von Teeffelen ME, Adhin S, Falke TH. Portal venous gas in a patient with diverticulitis. Hepatogastroenterology 1990; 37: 528 – 9.
- 16.
Bach MC, Anderson LG, Martin TA jr., McAfee RE. Gas in the hepatic portal venous system. A diagnostic clue to an occult intra-abdominal abscess. Arch Intern Med 1982; 142: 1725 – 6.
- 17.
Celoria G, Coe NP. Does the presence of hepatic portal venous gas mandate an operation? A reassessment. South Med J 1990; 83: 592 – 4.
- 18.
Munoz-Navas MA, Jimenez-Perez FJ, Lecumberri FJ. Portal venous gas secondary to a penetrating foreign body of the stomach. Gastrointest Endosc 1989; 35: 573 – 4.
- 19.
Dill-Macky MJ. Benign hepatic portal venous gas following blunt abdominal trauma. Australas Radiol 1997; 41: 166 – 8.
- 20.
Friedman D, Flancbaum L, Ritter E, Trooskin SZ. Hepatic portal venous gas identified by computed tomography in a patient with blunt abdominal trauma: a case report. J Trauma 1991; 31: 290 – 2.
- 21.
Kussin SZ, Henry C, Navarro C, Stenson W, Clain DJ. Gas within the wall of the stomach report of a case and review of the literature. Dig Dis Sci 1982; 27: 949 – 54.
- 22.
Moosvi AR, Saravolatz LD, Wong DH, Simms SM. Emphysematous gastritis: case report and review. Rev Infect Dis 1990; 12: 848 – 55.
- 23.
Lin JI, Park YS, Gopalsway N. Gastric infarction. South Med J 1991; 84: 406 – 7.
- 24.
Cohen EB. Infarction of the stomach. Am J Med 1951; 645 – 52.
- 25.
Liberski SM, Koch KL, Atnip RG, Stern RM. Ischemic gastroparesis: resolution after revascularization. Gastroenterology 1990; 99: 252 – 7.
- 26.
Peillon C, Steyaert H, Testart J, Heliot P, Muir JF. [Parahiatal gastric strangulation after Toupet’s operation]. Ann Chir 1993; 47: 65 – 7.
- 27.
Bass KD, Meagher DP jr., Haase GM. Gastric necrosis after fundoplication: a novel approach for esophageal preservation. J Pediatr Surg 1998; 33: 1720 – 2.
- 28.
Low VH, Thompson RI. Gastric emphysema due to necrosis from massive gastric distention. Clin Imaging 1995; 19: 34 – 6.
- 29.
Martinez de Azagra GA, Garcia GS, Romero SJ, Goded RF, Ruza TF. [Gastric necrosis caused by acute dilatation of the stomach. A rare entity]. An Esp Pediatr 1991; 34: 479 – 81.
- 30.
Reeve T, Jackson B, Scott-Conner C, Sledge C. Near-total gastric necrosis caused by acute gastric dilatation. South Med J 1988; 81: 515 – 7.
- 31.
Kerstein MD, Goldberg B, Panter B, Tilson MD, Spiro H. Gastric infarction. Gastroenterology 1974; 67: 1238 – 9.
- 32.
Sowande OA, Bianchi A. Total gastric replacement following gas bloat in a 21-month-old child. Pediatr Surg Int 1999; 15: 135 – 6.
- 33.
Berry WB, Hall RA, Jordan GL. Necrosis of the entire stomach secondary to ingestion of a corrosive acid. Am J Surg 1965; 109: 652 – 5.
- 34.
Fink DW, Boyden FM. Gas in the portal veins. A report of two cases due to ingestion of corrosive substances. Radiology 1966; 87: 741 – 3.
- 35.
Fraenkel E. eber einen Fall von Gastritis acuta emphysematosa wahrscheinlich mykotischen Ursprungs. Virchows Arch 1889; 118: 526 – 35.
- 36.
Bashour CA, Popovich MJ, Irefin SA, Esfandiari S, Ratliff NB, Hoffman WD et al. Emphysematous gastritis. Surgery 1998; 123: 716 – 8.
- 37.
Binmoeller KF, Benner KG. Emphysematous gastritis secondary to gastric infarction. Am J Gastroenterol 1992; 87: 526 – 9.
- 38.
Cherney CL, Chutuape A, Fikrig MK. Fatal invasive gastric mucormycosis occurring with emphysematous gastritis: case report and literature review. Am J Gastroenterol 1999; 94: 252 – 6.
- 39.
McKelvie PA, Fink MA. A fatal case of emphysematous gastritis and esophagitis. Pathology 1994; 26: 490 – 2.
- 40.
Sud A, Lehl SS, Bhasin DK, Deodhar SD. Emphysematous gastritis. Am J Gastroenterol 1996; 91: 604 – 5.
- 41.
Williamson MR, Shah HR, Harper RR, Angtuaco TL. CT of emphysematous gastritis. Comput Med Imaging Graph 1989; 13: 175 – 7.
- 42.
Iwakiri Y, Kabemura T, Yasuda D, Okabe H, Soejima A, Miyagahara T et al. A case of acute phlegmonous gastritis successfully treated with antibiotics. J Clin Gastroenterol 1999; 28: 175 – 7.
- 43.
O’Toole PA, Morris JA. Acute phlegmonous gastritis. Postgrad Med J 1988; 64: 315 – 6.
- 44.
Ross DA, Vincenti AC. Acute phlegmonous gastritis: a rare condition with a potentially common cause. Br J Hosp Med 1994; 52: 115 – 6.
- 45.
Wakayama T, Watanabe H, Ishizaki Y, Okuyama T, Ogata H, Tanigawa K et al. A case of phlegmonous esophagitis associated with diffuse phlegmonous gastritis. Am J Gastroenterol 1994; 89: 804 – 6.
- 46.
Webster VJ. Necrotizing gastritis and phlegmonous gastritis–are they separate entities? Aust N Z J Surg 1980; 50: 194 – 6.
- 47.
McKelvie PA, McClure DN, Fink RL. Two cases of idiopathic acute gastric necrosis. Pathology 1994; 26: 435 – 8.
- 48.
Stein LB, Greenberg RE, Ilardi CF, Kurtz L, Bank S. Acute necrotizing gastritis in a patient with peptic ulcer disease. Am J Gastroenterol 1989; 84: 1552 – 4.
- 49.
Strauss RJ, Friedman M, Platt N, Gassner W, Wise L. Gangrene of the stomach: a case of acute necrotizing gastritis. Am J Surg 1978; 135: 253 – 7._