Hjertesvikt rammer nesten 15 millioner mennesker globalt, og er et av verdens største helseproblemer. Insidensen av hjertesvikt per 1 000 innbyggere per år øker med alderen fra gjennomsnittlig 1 – 5 nye tilfeller i totalbefolkningen til så høyt som 30 – 40 nye tilfeller hos personer 75år (1 – 2). I den aldrende befolkningen er prevalensen av hjertesvikt økende selv om den kardiovaskulære mortalitet er redusert.
Studier har vist at konvensjonell atrioventrikulær pacing ikke med sikkerhet bedrer hjertets pumpefunksjon og pasientens symptomer dersom det ikke samtidig foreligger hjerteblokk som indikasjon for permanent pacemakerbehandling (3 – 8). Hos pasienter med venstre grenblokk og behandlingsrefraktær hjertesvikt til tross for maksimal medikamentell behandling, vil man kunne bedre hjertets pumpefunksjon og bedre hjertesviktsymptomene ved implantasjon av pacemaker som stimulerer høyre og venstre ventrikkel simultant (6 – 13). På denne måten resynkroniseres kontraksjonen av høyre og venstre ventrikkel slik at venstre ventrikkels kontraksjon blir mer effektiv med økt venstre ventrikkel-ejeksjonsfraksjon og økt slagvolum. Dette oppnår man ved å plassere en pacemakerledning på vanlig måte endokardialt i apeks av høyre ventrikkel og en ledning epikardialt på venstre ventrikkel via en koronarvene. Denne formen for pacemakerbehandling har fått betegnelsen biventrikulær fordi man stimulerer både høyre og venstre ventrikkel. Hos pasienter som har sinusrytme, implanteres også ledning i høyre atriums aurikkel. I denne fremstillingen vil man benytte begrepet biventrikulær pacing når bare ventriklene stimuleres og begrepet atriobiventrikulær pacing når det også implanteres ledning til høyre aurikkel. Vi vil belyse denne formen for avansert pacemakerbehandling hos fem pasienter som har fått biventrikulær/atriobiventrikulær pacemaker.
Biventrikulært pacemakersystem
Et nytt pacemakersystem er anvendt hos alle fem pasientene (Medtronic InSyncTM). Begge ventrikkelutgangene er koblet sammen inne i pulsgeneratoren slik at ventriklene får samme stimuleringsspenning. InSyncTM-pacemakeren er multiprogrammerbar med aktivitetsreagerende sensor, adaptivt atrioventrikulært intervall og programmerbare amplituder fra 0,5 V til 7,5 V. Med programmert spenning 2,5 V i atriet og 5,0 V i ventriklene, vil beregnet varighet av pacemakeren være 6,8 år ved 100 % pacing av ventriklene og 10 % pacing av atriene. Pacemakeren gir mulighet for å lagre de vanlige diagnostiske data som hjertefrekvenshistogram, stimuleringsmåte og episoder med unormalt rask hjertefrekvens etc. Ledningen er spesialkonstruert for å få godt feste i en koronarvene.
Metode
Etter punksjon av v. subclavia og innsetting av veneintroduser, innføres en lang ledesonde til høyre atrium under røntgengjennomlysning, oftest i flere plan. Over ledesonden innføres et spesiallaget introdusersystem med en 40 – 45 cm lang introduserhylse over en 54 cm lang dilatator til sinus coronarius. Etter at introduseren er plassert i stabil posisjon i sinus coronarius, innføres et 80 cm langt venografikateter med en lateksballong ved tuppen på kateteret til sinus coronarius. Denne ballongen kan blåses opp til en diameter på 10 mm og okkludere sinus coronarius helt eller delvis mens man injiserer kontrast og tar røntgenbilde av koronarvenene. Koronarveneanatomien har vist seg å variere fra pasient til pasient. Venogrammet gir et bilde av hvilke vener som er tilgjengelige for plassering av pacemakerledningen (fig 1). Man tilstreber å få spissen av pacemakerledningen plassert distalt i en lateral koronarvene. Til tross for spesielle vinklinger av ledningen er det ofte meget vanskelig å få plassert spissen på ledningen i ønsket posisjon. Kriteriene på en god posisjon av ledningen er at terskelen for stimulering av venstre ventrikkel ved 0,5 ms pulsvarighet er maksimum 3,0 V og at R-bølgen> 4,0 mV. Det må ikke forekomme stimulering av n. frenicus med diafragmastimulering ved høyeste spenning 7,5 V. Elektrogrammet avledes fra ledningen i koronarvenen og elektrogrammets konfigurasjon avgjør om ledningen er korrekt plassert over venstre ventrikkel.
Terskelen for stimulering må kontrolleres også etter at introduserhylsen er fjernet og ledningen er fiksert, fordi ledningen lett kan dras ut av posisjon pga. den kraftige medstrømmen som er i sinus coronarius når man skal fjerne den 45 cm lange innføringshylsen. Deretter innføres en standard bipolar pacemakerledning via introduser i v. cephalica til apeks av høyre ventrikkel. Dersom pasienten har sinusrytme, innføres også en standard bipolar atriepacemakerledning via ny introduser i v. cephalica til høyre atriumsaurikkel (fig 2). Etter at høyre ventrikkel-ledningen er plassert, avledes elektrogrammet fra høyre ventrikkel og epikardialt fra venstre ventrikkel via pacemakerelektroden i kornarvenen simultant både på EKG-skriver og med pacingsystemanalysator (Medtronic analyzer 8090TM). Med skriverhastighet 100 mm/s måler man den interventrikulære ledningstiden ut fra elektrogrammene fra høyre ventrikkel og fra venstre ventrikkel (fig 3). Det bør være lengst mulig spredning i tid mellom ventriklenes spontane aktiveringselektrogrammer for at man ved pacing skal få best mulig resynkronisering av høyre og venstre ventrikkel. Tersklene for stimulering, P-bølgeamplituden og R-bølgeamplituden måles i henholdsvis høyre aurikkel og høyre ventrikkel med pacingsystemanalysator. Til slutt kobles alle ledningene til pulsgeneratoren InSyncTM som plasseres i pacemakerlommen.
Klinisk erfaring med biventrikulær pacing for hjertesvikt
I vårt materiale inngår fem pasienter, alle menn, som i perioden november 1999 – juli 2000 har fått implantert pacemakersystemer for biventrikulær pacing (tab 1).
Tabell 1
Pasientmateriale
| Pasient |
Alder (år) |
Etiologi |
EKG |
Funksjonsgruppe |
Stimuleringsmetode |
| 1 |
72 |
Idiopatisk dilatert kardiomyopati |
Atrieflimmer, venstre grenblokk |
IV |
Biventrikulær pacing |
| 2 |
36 |
Idiopatisk dilatert kardiomyopati |
Sinusrytme, atrioventrikulært blokk, venstre grenblokk |
III |
Synkron atriobiventrikulær pacing |
| 3 |
76 |
Iskemisk dilatert kardiomyopati |
Sinusrytme, venstre grenblokk |
IV |
Synkron atriobiventrikulær pacing |
| 4 |
73 |
Valvulær aortastenose |
Atrieflimmer, venstre grenblokk |
III |
Biventrikulær pacing |
| 5 |
71 |
Iskemisk dilatert kardiomyopati |
Atrieflimmer, venstre grenblokk |
IV |
Biventrikulær pacing |
Tabell 2
Ekkokardiografiske målinger før implantasjonen av biventrikulær pacemaker
| Pasient |
Venstre atrium-diameter (cm) |
Venstre ventrikkels endediastoliske diameter (cm) |
Venstre ventrikkels ende-systoliske diameter (cm) |
Venstre ventrikkels ejeksjonsfraksjon (%) |
Mitralinsuffisiens (grad) |
Forsinkelsen av kontraksjonen av venstre ventrikkels frie vegg i forhold til kontraksjonen av interventrikularseptum (ms) |
| 1 |
5,4 |
9,2 |
8,1 |
15 |
3 |
– |
| 2 |
4,5 |
6,8 |
5,7 |
14 |
4 |
100 |
| 3 |
5,4 |
7,9 |
7,6 |
14 |
3 |
160 |
| 4 |
6,7 |
7,1 |
5,4 |
30 |
4 |
40 |
| 5 |
5,1 |
6,7 |
5,9 |
20 |
3 |
60 |
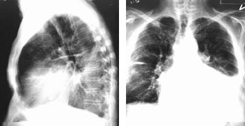
Pasient 1 er en 72 år gammel mann med idiopatisk dilatert kardiomyopati. Til tross for medikamentell behandling har hjertesvikten vist en jevn progrediering til funksjonsklasse IV (tab 1, 2). Han ble pleuratappet tre ganger for 1 300 – 2 000 ml pleuravæske (fig 4). Det ble implantert InSyncTM permanent pacemaker etter den angitte metoden (tab 3). Som vist på figur 5, fører biventrikulær pacing til en betydelig reduksjon av QRS-bredden sammenliknet med høyre ventrikkel-pacing. Det kom ganske snart betydelig subjektiv bedring av hans hjertesvikt til funksjonsklasse II, og han har hittil vært ute av sykehuset i 13 måneder. Det har vært en jevn reduksjon av hjertestørrelsen og vedvarende bedring av venstre ventrikkels ejeksjonsfraksjon (tab 4, 5). Røntgen thorax har vist avtakende hjertestørrelse (fig 6). Undersøkelse av vev med farge vevsdoppler ekkokardiografi-målinger viser bedret synkronisering av kontraksjonen under biventrikulær pacing. Man har også sett normalisering av serum-natriumkonsentrasjonen og bedring av en forhøyet serum-kreatininverdi.
Tabell 3
Elektrofysiologiske målinger ved implantasjon av biventrikulær pacemaker
| R-bølge (mV) |
Stimuleringsterskel (V) |
QRS-bredde (ms) målt fra overflate-EKG |
|||||||||
| Pasient |
P-bølge(mV) |
Høyre ventrikkel |
Venstre ventrikkel |
Høyre atrium |
Høyre ventrikkel |
Venstre ventrikkel |
Spontanrytme |
Høyre ventrikkelpacing |
Biventrikulær pacing |
Venstre ventrikkelpacing |
Forsinkelsen av depolariseringen av venstre ventrikkel (ms) |
| 1 |
Atrieflimmer |
16,9 |
6,3 |
– |
0,5 |
1,3 |
180 |
220 |
150 |
170 |
50 |
| 2 |
3,0 |
10,0 |
> 30 |
0,5 |
0,8 |
0,3 |
200 |
250 |
170 |
180 |
55 |
| 3 |
5,6 |
7,5 |
5,5 |
0,5 |
0,5 |
1,6 |
180 |
220 |
140 |
220 |
100 |
| 4 |
Atrieflimmer |
12,3 |
7,5 |
– |
3,3 |
0,3 |
Ingen |
200 |
160 |
180 |
Ingen egenrytme |
| 5 |
Atrieflimmer |
3,5 |
5,3 |
– |
0,8 |
1,1 |
200 |
200 |
160 |
220 |
120 |
| 5 |
Revisjon |
– |
8,0 |
– |
0,4 |
200 |
200 |
140 |
– |
120 |
|
Tabell 4
Venstre ventrikkels dimensjon og funksjon ved langtidsoppfølging av pasient 1
| Md. |
|||||
| Oppfølging |
Implantasjon |
1 |
3 |
6 |
12 |
| Endediastolisk diameter (cm) |
9,2 |
8,5 |
8,5 |
8,0 |
7,2 |
| Endesystolisk diameter (cm) |
8,1 |
7,2 |
7,3 |
7,1 |
5,4 |
| Ejeksjonsfraksjon (%) |
15 |
35 |
– |
– |
38 |
Pasient 2 er en 36 år gammel mann som ett år gammel ble operert for åpenstående ductus arteriosus og i 25 års alderen fikk diagnosen dystrofia myotonica, senere komplisert med dilatert kardiomyopati som har progrediert (tab 1, 2). På grunn av intermitterende høygradig atrioventrikulært blokk med nærsynkoper, fikk han permanent ventrikkelpacemaker for noen år siden. Det ble nå implantert InSyncTM-pacemaker etter den beskrevne metoden (tab 3). Det har vært stabil synkron atriobiventrikulær pacing med betydelig bedring av anstrengelseskapasiteten og av ejeksjonsfraksjonen (tab 5).
Tabell 5
Venstre ventrikkels ejeksjonsfraksjon under spontanrytme og under biventrikulær pacing
| Pasient |
Ejeksjonsfraksjonen (%)under spontanrytme |
Ejeksjonsfraksjonen (%)under biventrikulær pacing |
| 1 |
15 |
38 |
| 2 |
14 |
30 |
| 3 |
14 |
25 |
| 4 |
30 |
38 |
| 5 |
20 |
45 |
| Gjennomsnitt |
19 ± 7 |
35 ± 8 |
Pasient 3 er en 76 år gammel mann med postinfarkt hjertesvikt (tab 1, 2). EKG viste sinusrytme og venstre grenblokk med QRS-bredde 180 ms (tab 3). Det ble implantert atriobiventrikulær pacemaker etter den angitte metoden (tab 3, 5, fig 2). Allerede første postoperative døgn angav pasienten at dette var første natten på lang tid han ikke våknet av dyspné.
Pasient 4 er en 73 år gammel mann som for 15 år siden fikk implantert en mekanisk aortaventil på grunn av alvorlig aortastenose (tab 1). Pasienten fikk ett og ett halvt år etter hjerteoperasjonen ventilendokarditt og på nytt ventilendokarditt et år senere. Han ble operert med innsetting av ny ventil ved begge endokardittene, og fikk etter den første også permanent ventrikkelpacemaker pga. atrioventrikulært blokk. Pasienten har de siste årene utviklet økende hjertesvikt til tross for normal aortaventilfunksjon og opptrapping av sviktmedikasjonen (tab 1, 2). Det ble implantert InSyncTM-pacemaker etter den angitte metoden med ledning til en lateral koronarvene (tab 3, 5).
Pasient 5 er en 71 år gammel mann som hadde hjerteinfarkt for 16 år siden, aortokoronar bypassoperasjon for 13 år siden, paroksystisk atrieflimmer og høyresidig parietalt hjerneinfarkt med lett dysartri som sekvele for 12 år siden (tab 1). Han fikk permanent ventrikkelpacemaker pga. takybradyarytmi for sju år siden. Tross opptrapping av den medikamentelle behandlingen, har han hatt gradvis forverring av hjertesvikt til funksjonklasse IV (tab 1, 2). Det ble implantert biventrikulær pacemaker etter den angitte metoden med koronarveneledning plassert i en lateral vene (tab 3). Da man skulle fjerne den lange hylsen til sinus coronarius, drog denne med seg pacemakerledningen idet den kom ut av sinus coronarius-munningen. Det lot seg ikke gjøre å plassere ledningen tilbake til den opprinnelige gode posisjonen som gav lav stimuleringsterskel. Pasienten var sliten og man måtte derfor avslutte operasjonen.
Da en ny pacemakerledning (Medtronic ”AttainTM Side-Wire” 4191) var tilgjengelig, valgte vi å fjerne den gamle ledningen og implantere den nye. Ved denne prosedyren ble angioplastikk-ledesonde benyttet (Schimed Choice TM, Boston Scientific). Pacemakerledningen ble ført til koronarvenen over denne ledesonden via en meget liten sidering (tab 3). Pasienten har fått betydelig bedret kardial funksjonskapasitet og mer enn fordobling av ejeksjonsfraksjonen (tab 5).
Diskusjon
Resynkronisering av høyre og venstre ventrikkels kontraksjon hos pasienter med langtkommen hjertesvikt og venstre grenblokk, kan gi betydelig bedring av venstre ventrikkels systoliske funksjon (tab 5). Generelt bedres pasientenes funksjonskapasitet med 1 – 2 funksjonsklasser ved resynkronisering av venstre ventrikkels kontraksjon ved biventrikulær pacing.
Den første av våre pasienter har vært behandlet med pacemaker i 13 måneder. Det har vært en tiltakende bedring av hans kardiale funksjonskapasitet, bedring av venstre ventrikkels ejeksjonsfraksjon fra 15 % til 38 %, samtidig betydelig reduksjon av venstre ventrikkels endediastoliske dimensjon og regress av kronisk pleuravæske (tab 4, fig 4, 6). Pasienten har ifølge eget utsagn fått et helt nytt liv. Han steller seg selv som enkemann, utfører alle daglige gjøremål og har ikke vært innlagt i sykehus siden han fikk implantert pacemaker. For at biventrikulær pacing skal virke gunstig hemodynamisk, må det være kontinuerlig pacemakerstimulering både av høyre og venstre ventrikkel, for det er først da man resynkroniserer kontraksjonen. Hos pasienter med atrieflimmer med rask overledning til ventriklene og med spontanrytme i ventriklene (pasient 1), må man i noen tilfeller gjøre radiofrekvensablasjon av atrioventrikulærknuten slik at man oppnår kontinuerlig pacemakerrytme. Hos pasienter med sinusrytme i atriet, må atrioventrikulærintervallet i pacemakeren programmeres slik at man oppnår maksimal økning av slagvolumet under pacing og samtidig har kontinuerlig stimulering av ventriklene (14).
Metode
For å innføre pacemakerledning til koronarvener kreves erfaring i hjertekateterisering. Man må ha mulighet for venografi av koronarvenene (fig 1). Ofte kan ikke de laterale koronarvener påvises ved venografi (15). Prosedyren som krever gjennomlysning i flere plan, tar fra en time til 4 – 5 timer. For våre fem pasienter var gjennomsnittlig prosedyretid 187 ± 40 minutter. Dersom man ikke får ledningen langt nok perifert i koronarvenen, kan den forskyve seg sentralt, noe som vil kunne føre til stimuleringssvikt (pasient 5) og eventuelt også til stimulering av n. frenicus med diafragmarykninger som konsekvens.
Virkning på myokards kontraktilitet
Virkningsmekanismene for den gunstige effekten på hjertets pumpefunskjon er sannsynligvis flere. Ved venstre grenblokk vil interventrikularseptum trekke seg sammen først under systolen, og da er den frie vegg fortsatt i diastolen og gir derved lavt mottrykk mot kontraksjonen av interventrikularseptum. Dette fører til paradoks bevegelse av venstre ventrikkels frie vegg tidlig i systolen. Den sene kontraksjonen av venstre ventrikkels frie vegg inntrer når interventrikularseptum er i relaksasjonsfasen, og er elastisk og strekker seg inn i høyre ventrikkel med paradoks bevegelse av interventrikularseptum (16, 17). Faseforskyvningen av den regionale kontraksjon av venstre ventrikkel kan påvises ved hjelp av ekkokardiografi. Ved undersøkelse med farge vevsdoppler ekkokardiografi som har meget høy tidsoppløsning, kan man ved venstre grenblokk påvise en forsinket kontraksjon av venstre ventrikkels frie vegg, og resynkronisering ved biventrikulær pacing. Denne asynkrone kontraksjonen av venstre ventrikkel fører til større endesystolisk venstre ventrikkel-volum og forskyver den endesystoliske trykkvolumkurven mot høyre. Ved resynkronisering av interventrikularseptum og den frie vegg, bedres ejeksjonsfraksjonen betydelig (tab 5), endesystolisk volum avtar mens endringene av endediastolisk volum er så å si uforandret i akuttstudier (18). Denne normaliseringen av impulsutbredningen i venstre ventrikkel og bedringen av ejeksjonsfraksjonen, vil over tid kunne føre til mer normal geometri og størrelse av venstre ventrikkel, noe som vi har sett hos vår første pasient etter lang observasjonstid (tab 4). Det er derfor grunn til å vente ytterligere bedret venstre ventrikkel-funksjon over tid etter at behandlingen er igangsatt.
Det har vist seg å være en invers relasjon mellom QRS-bredden og systolisk venstre ventrikkel-funksjon (19). Hjertesviktpasientene med venstre grenblokk har rundt 30 % lavere systolisk venstre ventrikkel-funksjon enn det som er rapportert hos pasienter der man ikke direkte har konsentrert seg om hvorvidt de hadde grenblokk eller ikke (16).
Direkte måling av dyssynkroniteten er sannsynligvis en bedre markør enn QRS-bredden for seleksjon av pasienter som kan få hemodynamisk nytte av biventrikulær pacing. Undersøkelser ved bruk av MR av pasienter med venstre grenblokk har vist faseforskyvning mellom tidlig interventrikularseptumforkorting (negative strain) og lateralveggsforkorting med resiprok strekking (positive strain) av anteroseptale region under forkortning av den laterale frie vegg av venstre ventrikkel (17). Hos individer med normal venstre ventrikkel-funksjon er kontraksjonen synkron og ”negative strain” er i samme fase og av samme amplitude i alle deler av venstre ventrikkel under systolen (17). Venstre grenblokk som resulterer i forsinket aktivering av venstre ventrikkels frie vegg i systolen, fører til en dyskoordinasjon av kontraksjonen. Graden av dyskoordinasjon korrelerer med nedsettelsen av systoliske kontraksjonsindekser både i den isovolumetriske fase og i ejeksjonsfasen (20). Ved simultan elektrisk stimulering av motsatt vegg av det tidlig aktiverte interventrikularseptum, kan man oppnå synkron kontraksjon og motvirke dysfunksjonen av venstre ventrikkel. Bedringen av kontraksjonen avhenger av graden av dyssynkroni forårsaket av grenblokk med forsinket aktivering av den frie vegg i venstre ventrikkel (21, 22).
Virkning på mitralklaffefunksjonen
En annen mekanisme som ser ut til å bedre hjertets pumpefunsjon ved biventrikulær pacing og resynkronisering, er reduksjon i graden av mitralinsuffisiens, noe som vi også har sett. Mange av pasientene med dilatert venstre ventrikkel og hjertesvikt har betydelig mitralinsuffisiens. Dette kan skyldes dilatasjon av mitralringen med påfølgende klaffelekkasje. En bidragende mekanisme for mitralinsuffisiens har vist seg å være venstre grenblokk. Mitralklaffelukningen begynner med venstre atriums kontraksjon som øker trykket i venstre ventrikkel etter atriebidraget til venstre ventrikkels fylling (”den atriale komponent”), deretter aktiveres venstre ventrikkel og papillemuskulaturen som lukker mitralklaffene helt (”den ventrikulære komponent”). Ved forsinket aktivering av venstre ventrikkel ved venstre grenblokk, lukkes mitralklaffene kanskje 100 ms forsinket, noe som fører både til diastolisk mitralinsuffisiens og til forverret systolisk mitralinsuffisiens. Resynkronisering av venstre ventrikkel med normal aktivering av papillemusklene, vil redusere mitralinsuffisiensen. Vår første pasient hadde atrieflimmer, slik at den ”atriale komponent” av mitral klaffelukningen var borte. Mekanismen for reduksjonen av mitralinsuffisiensen man har målt hos ham, må derfor være bedring av den ”ventrikulære komponent” i mitralklaffelukningen. Reduksjon av mitralinsuffisiensen vil også redusere V-bølgen i venstre atriumtrykket samt trykket i lungekarene som kan bidra til bedring av pasientens dyspné. Vår tredje pasient våknet vanligvis opp hver natt med dyspné. Første natten etter implantasjonen av synkron atriobiventrikulær pacemaker sov han uavbrutt, noe som kan skyldes reduksjon av ven
etrykket i lungene pga. redusert mitralinsuffisiens. Ved atriobiventrikulær pacing vil forkorting av atrioventrikulærintervallet forlenge den diastoliske fyllingstid og endre fyllingmønsteret fra hovedsakelig tidlig fylling til en mer balansert tidlig og sen (atrial) diastolisk fylling (14). Dette vil kunne føre til reduksjon av venstre atriums middeltrykk og bidra til å forklare den redusjon man har sett av kiletrykket i lungene ved biventrikulær pacing (23).
Pasientseleksjon
Det kan tenkes at pasientene kan ha dyssynkron venstre ventrikkel-kontraksjon uten klassisk venstre grenblokk og likevel dra nytte av biventrikulær pacing. Dette har vi sett tegn til i våre studier av pasienter med alvorlig hjertesvikt. Overflate-EKG kan dessuten underestimere den temporale spredningen av depolariseringen av ventriklene hvis tidlige og sene deler av QRS har lave amplituder og filtreres bort. Det har vist seg å være en positiv relasjon mellom QRS-bredden og den systoliske respons på synkron atriobiventrikulær pacing. Dette støtter hypotesen om at jo mer dyssynkront venstre ventrikkel trekker seg sammen før pacing, jo større er sjansen for å få hemodynamisk gevinst av biventrikulær pacing. Endringer av QRS-varigheten ved biventrikulær pacing indikerer imidlertid ikke direkte den hemodynamiske forbedring ved biventrikulær pacing (18). Man trenger derfor andre metoder enn bare påvisning av venstre grenblokk for å oppfange de pasientene som vil kunne ha nytte av biventrikulær pacing.
Hittil har denne behandlingen vært gitt til meget dårlige pasienter i funksjonsklasse III-IV med venstre grenblokk. Dette er pasienter hvor det ikke er mulig å bedre tilstanden ytterligere ved medikamentell behandling eller ved risikofylt hjertekirurgi, og som oftest er over aldersgrensen for hjertetransplantasjon. Det har vært rapportert at det også kan være en bro til hjertetransplantasjon, og at pasienter har vært strøket fra transplantasjonslisten på ubestemt tid på grunn av den forbedring de har fått av biventrikulær pacing.
Randomiserte langtidsstudier av biventrikulær pacing er foreløpig ikke utført, men er i gang. Man kan derfor ikke si noe sikkert om behandlingen er livsforlengende. Den har i hvert fall god symptomatisk effekt på en del av pasientene, reduserer stadige sykehusinnleggelser og intensiv behandling, og er derfor sannsynligvis kostnadseffektiv.
Pasientgruppen som kan nyte godt av biventrikulær pacing er anslått til ca. 30 – 50 % av dem med alvorlig hjertesvikt og hos hele 10 % av en uselektert gruppe pasienter som fikk diagnosen hjertesvikt ved innleggelse i en generell medisinsk avdeling (24). Alle pasientene som er inkludert i disse tallene, har hatt venstre grenblokk, men vi vet ikke med sikkerhet om dette er en forutsetning for å få bedring av hjertesvikten ved biventrikulær pacing.
Behandlingsmetoden er et alternativ for pasienter som ikke kan tilbys hjertetransplantasjon, og til yngre individer for å utsette og eventuelt unngå hjertetransplantasjonen. I pågående studier med anvendelse av avanserte ekkokardiografiske metoder håper vi å øke forståelsen og bedre kartlegge mekanismene som ligger til grunn for den betydelige forbedringen av venstre ventrikkels ejeksjonsfraksjon og funksjonsklasse man ser hos pasienter som får biventrikulær pacemaker. Kanskje kan man ut fra ikke-invasive målinger forutsi hvilke hjertesviktpasienter som vil ha nytte av biventrikulær pacing. Dette er en unik situasjon når det gjelder valg av behandling til pasienter med hjertesvikt.
Arbeidet er støttet av Nasjonalforeningen, Det norske råd for hjerte- og karsykdommer.
- 1.
Eriksson H. Heart failure: a growing public health problem. J Intern Med 1995; 237: 135 – 41.
- 2.
Cowie MR, Mosterd A, Wood DA, Decker JW, Pool-Wilson PA, Sutton GC et al. The epidemiology of heart failure. Eur Heart J 1997; 18: 208 – 25.
- 3.
Hochleitner M, Hortnagel H, Ng CK, Hortnagel H, Gschnitzer F, Zechmann et al. Usefulness of physiologic dual-chamber pacing in drug-resistant idiopathic dilated cardiomyopathy. Am J Cardiol 1990; 66: 198 – 202.
- 4.
Brecker SJD, Xiao HB, Sparrow J, Gibson DG. Effects of dual-chamber pacing with short atrioventricular delay in dilated cardiomyopathy. Lancet 1992; 340: 1308 – 12.
- 5.
Innes D, Leitch JW, Fletcher PJ. VDD pacing at short atrioventricular intervals does not improve cardiac output in patients with dilated heart failure. Pacing Clin Electrophysiol 1994; 17: 959 – 65.
- 6.
Foster AH, Gold MR, McLauglin JS. Hemodynamic effects of atriobiventricular pacing in humans. Ann Thorac Surg 1995; 59: 294 – 300.
- 7.
Cazeau S, Ritter P, Bakdach S, Lazarus A, Limousin M, Henao L et al. Four chamber pacing in dilated cardiomyopathy. Pacing Clin Electrophysiol 1994; 17: 1974 – 94.
- 8.
Daubert JC, Ritter P, LeBreton HL, Gras D, LeClercq C, Lazarus A et al. Permanent left ventricular pacing with transvenous leads inserted into the coronary veins. Pacing Clin Electrophysiol 1998; 21: 239 – 45.
- 9.
Auricchio A, Stellbrink C, Block M, Sack S, Vogt J, Bakker P et al. Effect of pacing chamber and atrioventricular delay on acute systolic function of paced patients with congestive heart failure. Circulation 1999; 99: 2993 – 3001.
- 10.
Gras D, Ritter Ph, Lazarus A, Mabo P, Bucknall C, Tang ASL, et al for the InSync Trial Investigators. Long-term outcome of advanced heart failure patients with cardiac resynchronization therapy. Pacing Clin Electrophysiol 2000; 23: 658.
- 11.
Ritter P, Gras D, Daubert JC. Implant success rate of the transvenous left ventricular lead in the MUSTIC trial. Pacing Clin Electrophysiol 2000; 23: 580.
- 12.
Bakker P, Meijburg H, de Vries J, Mower M, Thomas A, Hull M et al. Biventricular pacing in end-stage heart failure improves functional capacity and left ventricular function. J Interv Card Electrophysiol 2000; 4: 395 – 404.
- 13.
Leclercq C, Victor F, Alonso C, Pavin D, Revault d’Allones G, Bansard JV et al. Comparative effects of permanent biventricular pacing for refractory heart failure in patients with stable sinus rhythm or chronic atrial fibrillation. Am J Cardiol2000; 85: 1154 – 6.
- 14.
Færestrand S. Noninvasive hemodynamic evaluation of pacing. I: Barold SS, Mugica J, red. New perspectives in cardiac pacing. Bd. 3. Mount Kisko, New York: Futura Publishing, 1993: 113 – 67.
- 15.
Gilard M, Mansourati J, Etienne Y, Larlet JM, Truong B, Boschat J. Angiographic anatomy of the coronary sinus and its tributaries. Pacing Clin Electrophysiol 1998; 21: 2280 – 4.
- 16.
Nelson GS, Curry CW, Wyman BT, Kramer A, Declerck J, Talbot M et al. Predictors of systolic augmentation from left ventricular preexcitation in patients with dilated cardiomyopathy and intraventricular conduction delay. Circulation 2000; 101: 2703 – 9.
- 17.
Curry CW, Nelson GS, Wyman BT, Declerck J, Talbot M, Berger RD et al. Mechanical dyssynchrony in dilated cardiomyopathy with intraventricular conduction delay as depicted by 3D tagged magnetic resonance imaging. Circulation 2000; 101: E2.
- 18.
Kass DA, Chen CH, Curry C, Talbot M, Berger R, Fetics B et al. Improved left ventricular mechanics from acute VDD pacing in patients with dilated cardiomyopathy and ventricular conduction delay. Circulation 1999; 99: 1567 – 73.
- 19.
Xiao HB, Brecker SJ, Gibson DG. Effects of abnormal activation on the time course of the left ventricular pressure pulse in dilated cardiomyopathy. Br Heart J 1992; 68: 403 – 7.
- 20.
Burkhoff D, Oikawa RY, Sagava K. Influence of pacing site on canine left ventricular contraction. Am J Physiol 1986; 251: H428-H35.
- 21.
Printzen FW, Van Oosterhout MMF, Vanagt WYR, Storm C, Renemann RS. Optimization of ventricular function by improving the activation sequence during ventricular pacing. Pacing Clin Electrophysiol 1998; 21: 2256 – 60.
- 22.
Wyman BT, Hunter WC, Printzen FW, McVeigh ER. Mapping propagation of mechanical activation in the paced heart with MRI tagging. Am J Physiol 1999; 276: H881-H91.
- 23.
Blanc JJ, Etienne Y, Gilard M, Mansourati J, Munier S, Boschat J et al. Evaluation of different ventricular pacing sites in patients with severe heart failure: result of an acute hemodynamic study. Circulation 1997; 96: 3272 – 77.
- 24.
Farwell D, Patel NR, Hall A, Ralph S, Sulke N. How many people with heart failure are appropriate for biventricular resynchronization? Eur Heart J 2000; 21: 1246 – 50.