Nevrologiske komplikasjoner til myksom

    ()

    sporsmal_grey_rgb
    Abstract

    Myksom er den vanligste primærtumor i hjertet og er oftest lokalisert til venstre atrium. Nevrologiske komplikasjoner i form av multiple embolier til sentralnervesystemet kan derfor opptre før myksomet er påvist.

    Vi beskriver en pasient med akutt afasi som følge av hematom i venstre temporallapp. Senere fikk han akutt ataksi som følge av et høyresidig cerebellart infarkt.

    Magnettomografiundersøkelse viste i tillegg multiple infarkter både supra- og infratentorielt. Ekkokardiografi påviste et myksom i venstre atrium som ble fjernet kirurgisk. Det var ingen tegn til residiv av myksom eller nye infarkter ved senere oppfølging.

    Ekkokardiografi bør utføres ved hjerneinfarkt, spesielt hos yngre pasienter med multiple infarkter.

    Abstract

    Background

    . Myxomas are the most common type of primary cardiac tumours. As they are most often located in the left atrium, primary neurological manifestations are often multiple embolic infarcts in the central nervous system.

    Material and methods

    . We describe a patient with acute aphasia due to left temporal haemorrhage. Later he developed acute ataxia due to right cerebellar infarct.

    Results

    . Magnetic resonance also showed multiple supra- and infratentorial infarcts. Eccocardiography revealed a myxoma in the left atrium which was treated by surgical excision. There were no signs of myxoma recurrence or embolic infarcts at follow-up.

    Interpretation

    . Eccocardiography should be included in the diagnostic work-up of patients with cerebrovascular events, especially in young patients with multiple infarcts.

    Artikkel

    Myksom er en sjelden tumor i hjertet som påvises i ca. 1/2 000 – 1/10 000 tilfeller i autopsimaterialer. Det er den hyppigste primærtumor, og utgjør i post mortem-studier ca. 30 – 50 % av kardiale tumorer. Myksom opptrer som regel sporadisk, i alle aldre, oftest hos personer i alderen 30 – 60 år, med en viss kvinnelig overvekt. I sjeldne tilfeller kan myksom være arvelig, og da kan flere myksomer, ev. også andre ikke-kardiale tumorer påvises.

    Myksom er i ca. 75 % av tilfellene lokalisert til venstre atrium. Dette predileksjonsstedet gjør at man ofte får nevrologiske symptomer og tegn før det er oppdaget (1 – 3). Den vanligste komplikasjonen er emboliske infarkter. I denne artikkelen blir nevrologiske komplikasjoner til myksom drøftet med utgangspunkt i en kasuistikk.

    Pasienten. En mann på 59 år hadde hatt hypertensjon som ikke hadde vært medikamentelt behandlet. Ellers hadde han stort sett vært frisk, og det var ingen kjent familiær sykdomsdisposisjon.

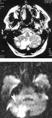
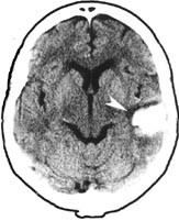
    3.6. 1998 fikk han akutt motorisk og sensorisk afasi. Cerebral computertomografi viste hematom temporalt på venstre side (fig 1). Hjerneblødningen ble vurdert å være hypertensivt betinget, og det ble startet med antihypertensiv behandling. 22.8. 1998 fikk han akutt vertigo, kvalme og lett høyresidig ekstremitetsataksi. Over cor hørtes en svak systolisk bilyd. Cerebral magnettomografi viste bilaterale infarkter supra- og infratentorielt, mest uttalt i høyre cerebellum (fig 2), samt rest etter tidligere hematom temporalt på venstre side. EKG viste sinusrytme med venstre ventrikkel-hypertrofi. Pasienten fikk feber og forhøyede infeksjonsparametere (CRP = 170 mg/ml, SR = 70 mm/t og LPK = 21 × 10⁹/l). Antibiotikabehandling ble startet på mistanke om endokarditt. Det var imidlertid ingen oppvekst i flere blodkulturer. Transtorakal og transøsofageal ekkokardiografi viste et stilket myksom utgående fra venstre atrium. Myksomet ble ekstirpert. Mikroskopisk undersøkelse viste myksoid vev, uten tegn til malignitet. Ved senere kontroller ble det ikke påvist residiv av myksom eller flere cerebrale embolier. Pasienten ble 3.2. 1999 innlagt igjen pga. et epileptisk anfall. EEG viste klare cerebrale funksjonsforstyrrelser lokalisert frontotemporalt på venstre side. Han fikk behandling med karbamazepin og har siden vært anfallsfri.

    Diskusjon

    Diskusjon

    Myksom består av en amorf basofil kjerne med et tynt lag av endotelceller som er kledd med trombemasser. Tumorene er veldig skjøre og blir derfor ofte kilde til multiple embolier. Emboliene er som oftest tumorfragmenter, men kan også være tromber fra tumoroverflaten. Bakterielle embolier kan forekomme ved samtidig endokarditt.

    Emboliske komplikasjoner er første symptom på myksom i ca. 30 % av tilfellene. I og med at bare ca. 25 % av myksomene sitter i høyre atrium, blir lungeemboli en sjeldnere komplikasjon enn systemiske embolier. Av de systemiske emboliene går minst 50 % til sentralnervesystemet (3).

    Cerebrale embolier fra myksom kan føre til aneurismedanning eller metastatisk tumorvekst (4, 5). Mekanismen kan være at myksomatøse embolier vokser og invaderer arterieveggen og dermed fører til svakhet og dilatasjon. Subaraknoidale og intraparenkymale blødninger er imidlertid sjeldne komplikasjoner til myksom.

    Siden de fleste myksomene er stilket og ca. 75 % er lokalisert til venstre atrium, kan de prolabere gjennom mitralklaffeåpningen i diastole. På denne måten kan myksomene være årsak til både mitralstenose og mitralinsuffisiens og forårsake symptomer som synkope og vertigo. Dette kan være stillingsbetinget.

    Myksom kan også forårsake symptomer og funn som feber, vekttap, Raynauds fenomen, klubbing, anemi, forhøyet senkning og CRP, leukocytose, trombocytopeni og hypergammaglobulinemi (3, 6). Det er mulig at dette kan ha en autoimmun mekanisme.

    Det er meget få rapporterte tilfeller av metastaser fra myksomer. Myksomer kan imidlertid vært feildiagnostiserte myosarkomer (7).

    I en studie av 12 pasienter med myksom var hemiparese, afasi, synsforstyrrelse, demens og vertigo første manifestasjon hos fire (8). Vår pasient fikk først afasi, og det ble påvist hematom temporalt på venstre side. Dette har sannsynligvis vært hypertensivt betinget, siden hematomet var manifest i akuttfasen. Det er mindre sannsynlig at det har vært en hemoragisk transformasjon av et iskemisk infarkt betinget i emboli fra myksom i venstre atrium. Senere fikk pasienten vertigo og ataksi, og det ble påvist multiple infarkter av ny og eldre dato.

    Sentralnervøse infarkter er vanlige nevrologiske manifestasjoner ved myksom, og ble påvist hos seks av 13 pasienter med venstre atrie-myksom (6). Sykehistorie med gjentatte nevrologiske lesjoner i forskjellige deler av sentralnervesystemet er derfor typisk ved embolier fra myksom (9).

    I vårt tilfelle ble det startet med antibiotikabehandling på grunn av mistanke om endokarditt. Myksom kan infiseres med bakterier og sopp, og hvis myksomet gir obstruksjon av blodstrømmen, øker dette risikoen for endokarditt.

    Undersøkelse med både transtorakal og transøsofagal ekkokardiografi er nesten 100 % sensitiv for myksom (10). I tvilstilfeller er magnettomografiundersøkelse av hjertet indisert.

    Myksom behandles kirurgisk. Residivfrekvensen for sporadiske myksomer er ca. 1 – 2 %. Ved familiære former for myksom er residivfrekvensen ca. ti ganger høyere. Hos vår pasient var det ingen tegn til residiv ved oppfølging og heller ingen kliniske tegn til flere embolier. I en oppfølgingsstudie av 13 pasienter ble det heller ikke påvist nye røntgenologiske forandringer ved cerebral computertomografi- eller magnettomografiundersøkelser (6).

    Konklusjon

    Konklusjon

    Myksom er en sjelden diagnose. Allikevel skyldes ca. ett av 500 hjerneinfarkter embolisering fra myksom (3). Ekkokardiografi er derfor viktig i utredning av cerebrovaskulær sykdom, spesielt hos yngre mennesker med multiple infarkter.

    Kommentarer  ( 0 )

    Anbefalte artikler