Valg av nevroradiologiske metoder i oftalmologi – øyeeplet og tåreveiene

    ()

    sporsmal_grey_rgb
    Abstract

    Muligheten for å påvise patologiske forandringer i synsbanene har økt parallelt med utviklingen av computertomografi (CT) og magnetisk resonanstomografi (MR). Utfordringen er å utnytte bildediagnostikken best mulig ut fra de kliniske funn. Den ideelle metode bør være billig, nøyaktig og risikofri, og helst så god at man ikke trenger tilleggsundersøkelser. Imidlertid finnes det ikke noen test som er absolutt nøyaktig, sikker og 100 % spesifikk. Vi ønsker å komme med råd og overveielser for valg av bildediagnostiske metoder ved synsforstyrrelser relatert til bulbus, orbita og de hjernenervene som er involvert i øyebevegelsene.

    Abstract

    With improved imaging methods, the possibility of demonstrating pathological changes in the visual pathways has increased substantially. However, optimal evaluation of visual disorders requires familiarity with the anatomy and pathology of the visual pathways, and with the many advances in neuroimaging. The purpose of this article is to provide clinicians with a practical approach for selecting the most appropriate imaging modalities. Choice of technique is discussed with reference to anatomical regions rather than a complete list of diseases.

    Ophthalmoscopy reveals many intraocular abnormalities. Imaging studies help in cases where opaque media preclude a view of the fundus. In addition, imaging studies assist in confirming the extraocular extent of the lesion. The advantages and disadvantages of x-ray, computed tomography and magnetic resonance imaging are discussed and illustrated by examples.

    Artikkel

    Klinikerens kunnskap, basert på sykehistorie og undersøkelse, skal bestemme lokalisasjonen av den forventede patologiske forandringen. Synsbanenes kompleksitet gjør at valg av bildemetode er meget viktig. Vi vil vise de relative fordelene av klassiske røntgenbilder, CT og MR.

    I de fleste tilfeller kan en metode være tilstrekkelig, men ved mer sammensatte problemstillinger er det nødvendig å kombinere flere typer undersøkelser. MR fremstiller mer spesifikt bløtdelsforandringer, mens CT med spiralteknikk har utviklet seg til en meget rask metode som gir fremragende fremstilling av beinstrukturer, men også av bløtdeler. Artefakter fra det tette beinet kan imidlertid redusere bløtdelsfremstillingens kvalitet. CT innebærer dertil stråleeksposisjon til for eksempel linsen (1), mens MR ikke gir slike bivirkninger. Ultrasonografisk undersøkelse av øyeeplet og synsnerven er rask og uten bivirkninger, men har mindre oppløselighet utover selve øyeeplet, og CT kan være nødvendig for å vise kalk eller ved tilstander hvor de okulære medier er uklare.

    Bein som er uten vann, fremstilles uten signal på MR. Det vil derfor heller ikke gi artefakter i bildene. Kalk har vist seg å ha et mer komplekst bilde, idet kalk som oftest ikke er signalgivende, men iblant gir et flekkete, lett økt signal. Sistnevnte er meget vesentlig ved tumordiagnoser og CT kan derfor være et nødvendig supplement for å påvise forkalkninger.

    Øyeeplet

    Øyeeplet

    Diagnostisering av intraokulære lesjoner gjøres som regel ved hjelp av direkte og indirekte oftalmoskopi. Øyelegen benytter selv i tillegg ultralydundersøkelser, og vi har valgt ikke å omtale denne metoden her. Radiologiske teknikker brukes til å bekrefte diagnosen samt benyttes i de tilfeller hvor mediene er uklare og umuliggjør innsyn. Hovedindikasjon for CT er å påvise kalk, som kan oversees på ultralyd, lokalisere tumor og påvise eventuell ekstraokulær utbredelse av tumor.

    Intraokulære romoppfyllende prosesser fremstilles både med CT og MR. CT-snitt bør ikke være tykkere enn 2 mm. Anvendelse av spesiallaget MR-overflatespole (MR-antenne som sender og mottar signal) tilpasset øyet, fettsuppresjonsteknikker og gadoliniumkontrastmiddel intravenøst har økt muligheten for å påvise og differensiere intraokulære lesjoner (2, 3).

    Aksiale T1-vektede bilder vil danne basis, og etterfølges eventuelt av koronale eller parasagittale snitt. T2-vektet bilde eller gradientekkobilder kan avgrense veggen i bulbus. For å skille mellom solid tumor og subretinal væske bør MR anvendes.

    Intraokulære blødninger

    Intraokulære blødninger

    Fremstilling av intraokulære blødninger med MR varierer ut fra blødningens alder og hvorvidt erytrocyttenes vegger er intakte eller ikke. Hemoglobinet i erytrocyttene må deoksygeneres før MR-signalet endres. Akutte blødninger er derfor isointense på T1-vekting, men etter flere timer dannes methemoglobin, som vil forkorte T1-relaksasjonstiden og gi et høyt signal på T1- og et lavt signal på T2-vektet serie. Etter 1 – 2 uker blir blødningen høysignalgivende både ved T1- og T2-vekting, for etter måneder/år å bli lavsignalgivende.

    Subakutt intraokulær blødning kan simulere et uvealt melanom eller retinoblastom, men et væskenivå i det subretinale rom taler for subretinal blødning. Manglende kontrast-oppladning støtter også hemoragisk etiologi.

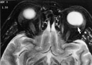
    I de tilfeller der ultralydundersøkelse ikke med full sikkerhet kan differensiere mellom primær retinal affeksjon (som Coats sykdom, primær persisterende hyperplastisk corpus vitreum, massiv retinal gliose eller premature endringer assosiert med subretinal væske eller blødning) og sekundære retinale forandringer med mulig underliggende vev, anbefales MR (fig 1). Solide svulster som er større enn 2 mm i tykkelse (retinoblastom, leiomyom, koroidalt melanom og retinalt kapillært hemangiom) er høysignalgivende på T1 og har lavt signal på T2-vekting (fig 2). Ved å vurdere T1-serien kan man skille mellom en enkel effusjon og en mer alvorlig sykdom (4).

    En vanlig effusjon er hypo-/isointens, dog kan effusjoner gi litt høyere signal på T1-vekting grunnet høyt proteininnhold. Blødning gir høyt signal. Solid tumor har vanligvis lavere signal på T2-bilder enn væske.

    Intraokulære tumorer

    Intraokulære tumorer

    Retinoblastom

    Retinoblastom

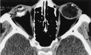
    Ved mistanke om retinoblastom utføres først oftalmoskopi og ultralydundersøkelse. Hvis ultralydundersøkelsen ikke viser kalk, bør CT gjøres (fig 3). Hvis ultralydundersøkelse eller CT viser kalk, bør MR utføres for å avgjøre om det er ekstraokulær utbredelse av tumor (fig 4), samt vise dette i forhold til n. opticus og orbita (5). Ved bilaterale eller familiære retinoblastomer er MR indisert for å utelukke eller påvise asymptomatisk midtlinjemalignitet, såkalt pinealoblastom (6).

    Koroidale hemangiomer

    Koroidale hemangiomer

    Diffuse eller velavgrensete koroidale hemangiomer, som er benigne tumorer, kan vanskelig skilles fra uveale melanomer oftalmoskopisk. Ultralydundersøkelse og fluoresceinangiografi er avklarende i de fleste tilfeller. I resterende tvilstilfeller bør MR utføres. På T2-bilder fremtrer koroidale hemangiomer med høyere signalintensitet enn glasslegemet, mens uveale melanomer som regel har lavere signalintensitet. Etter kontrast viser hemangiomer raskere og kraftigere oppladning enn melanomer (7). Det angis at opptil 50 % av barn med koroidale hemangiomer kan ha Sturge-Webers syndrom.

    Koroidal nævus

    Koroidal nævus

    Indirekte oftalmoskopi, ultralyd og fluoresceinangiografi er de viktigste diagnostiske metoder, og ytterligere bildefremstilling er sjelden nødvendig. Benigne melanocytiske tumorer er flate. Dette vanskeliggjør fremstillingen på MR. Pigmentert nævus har høy signalintensitet på T1- og lav signalintensitet på T2-bilder i forhold til corpus vitreum, og tar i liten grad opp kontrast.

    Uveale melanomer

    Uveale melanomer

    Melanomer gir karakteristisk signal fordi melanocyttene kan være paramagnetiske og gi høy signalintensitet på T1-vektede og lav signalintensitet på T2-vektede MR-bilder. Dette er karakteristisk, men mangler hos ca. 5 %. Postkontrast-T1-bilder med fettsuppresjon eller SPIR-teknikk er best egnet til å påvise små uveale melanomer (8) (fig 5).

    Ekstraokulær utbredelse av uvealt melanom sees som et velavgrenset område med lav signalintensitet på T1-bilder, men med normal eller lav signalintensitet på T2-bilder i forhold til det orbitale fettet. Etter kontrast fremkommer bare moderat oppladning. MR er nyttig for å skille mellom en ekstraokulær ekspansjon og et ikke-oppladende fibrotisk arr i nær relasjon til sclera etter lokal stråleterapi.

    Uveale metastaser

    Uveale metastaser

    Metastasene viser varierende signalintensitet på MR, oftest høyere signalintensitet på T1- og lavere signalintensitet på T2-bilder, og er derfor vanskelig å skille fra melanomer. Imidlertid er metastasene som regel mindre kontrastoppladende.

    Intraokulære fremmedlegemer

    Intraokulære fremmedlegemer

    Nøyaktig lokalisasjon av intraokulære og intrabulbære fremmedlegemer er nødvendig preoperativt, og CT er en velegnet metode (9). Artefakter fra metalliske fremmedlegemer kan imidlertid gi inntrykk at fremmedlegemet er større enn dets virkelige mål (fig 6). MR er ofte kontraindisert fordi det sterke magnetfeltet kan bevege magnetiske fremmedlegemer og gi komplikasjoner.

    CT gir best fremstilling av bein. Hvis det imidlertid er anamnestiske holdepunkter for at fremmedlegemet er av tre eller ikke-magnetisk materiale, er MR det beste valget. Til nøyaktig lokalisering av fremmedlegeme kreves snitt i to plan, noe som øker undersøkelsestiden og utsetter pasienten for større strålebelastning. Spiral-CT har mange fordeler i denne sammenheng – det gir kortere undersøkelsestid, reduserer stråledosen og gir høy kvalitet der bilder kan rekonstrueres i flere plan. CT har for en stor del erstattet tidligere ordinære røntgenbilder.

    Tåreveier og tårekjertel

    Tåreveier og tårekjertel

    Til påvisning av svulster i tårekjertelen er CT en adekvat undersøkelse, spesielt i differensiering mellom benigne blandingstumorer og tårekjertelen. Adenomer vokser langsomt, og sees på CT som runde eller ovale ekspansive prosesser ved bakre del av kjertelen. Ofte disloseres eller deformeres øyeeplet. Det er viktig å fremstille de anatomiske forholdene av orbitaveggen (beininnstilte bilder) og avklare hvorvidt fossa lacrimalis er intakt. Maligne svulster i tårekjertelen erroderer som regel omkringliggende bein. Forandringer i tårekjertelen kan ofte påvises i forbindelse med systemsykdommer som Sjögrens sykdom, Wegeners granulomatose og sarkoidose, og fører til forstørrelse av kjertelen.

    Tåreveiene ble tidligere tradisjonelt fremstilt ved dacrocystografi, som er en invasiv teknikk og ofte krever sedering av pasienten. Senere er dette kombinert med CT, men nå kan spiral-CT med vannoppløselig kontrast gjøre undersøkelsen besværfri for pasienten (10). To dråper Omnipaque 180 gis i konjunktivalsekken hvert minutt i fem minutter. Så utføres spiral-CT-undersøkelse (fig 7). Dette gir en god fremstilling av tåreveiene, samtidig som det viser ansiktsskjelett og det omkringliggende vev i fine detaljer. Dette er utmerket metode både for øyeleger, øre-nese-hals-leger og plastikkirurger.

    Kommentarer  ( 0 )

    Anbefalte artikler