Operativ behandling av normaltrykkshydrocephalus

    ()

    sporsmal_grey_rgb
    Abstract

    Diagnostikk av normaltrykkshydrocephalus er viktig. Muligheten for at denne tilstand, og ikke en irreversibel nevrodegenerativ sykdom, kan forårsake symptomer som gangataksi, urininkontinens og demens må vurderes. Slike symptomer kan med et enkelt operativt inngrep bedres og noen ganger helt reverseres.

    Vi ønsket med denne prospektive studien å vurdere resultatene av shuntoperasjon. Åtte konsekutive pasienter med mistenkt normaltrykkshydrocephalus ble testet for gangfunksjon og med nevropsykologiske tester før og etter operasjon.

    En bedring i de postoperative testene 3 – 4 måneder etter shuntoperasjonen førte til at seks av åtte pasienter fikk den endelige diagnosen normaltrykkshydrocephalus. Gangfunksjonen ble bedre etter shuntinnleggelse også hos de pasienter som hadde en betydelig demens. Ved uttalt demens er det lite sannsynlig at demensen reverseres, men en bedring av enkelte kognitive funksjoner kan likevel ofte spores ved nevropsykologiske tester. Hvis pasienten ikke er dement i henhold til testen Mini Mental Status, kan shuntoperasjonen likevel gi bedring av kognitive funksjoner.

    Pasienter med både klinisk og røntgenologisk mistenkt normaltrykkshydrocephalus bør tilbys shuntoperasjon.

    Abstract

    Normal pressure hydrocephalus (NPH) is an important diagnosis to keep in mind, i.e the possibility that NPH and not a neurodegenerative disease causes the patient’s symptoms with ataxia, urinary incontinence and dementia. Clinical improvement, sometimes a complete reversal of the symptoms, may be seen after a simple surgical procedure.

    This prospective study was performed by testing eight consecutively shunted patients with a walking test and a cognitive test battery pre- and postoperatively.

    Improvement 3 – 4 months after the shunting procedure suggests that NPH was present in six of eight patients. Walking ability was improved after surgery, also in patients with severe dementia. Severe dementia caused by NPH is hardly reversible, though cognitive tests may indicate some improvement. However, early surgical treatment of NPH in patients not suffering from a dementia according to the Mini Mental Status Test may bring improvement in some cognitive functions.

    Patients with both clinical and radiological signs of normal pressure hydrocephalus should be offered a shunting procedure.

    Artikkel

    Demens forårsaket av normaltrykkshydrocephalus ble først beskrevet av Hakim & Adams i 1965 (1). Den velkjente symptomtriade med gangforstyrrelse, urininkontinens og demens er typisk for normaltrykkshydrocephalus, men den kliniske diagnose er forbundet med usikkerhet, og tilstanden lar seg ikke alltid skille fra demens av andre årsaker.

    Differensialdiagnostisk vil det ofte være mulighet for at det foreligger andre demensformer, for eksempel primær degenerativ hjernesykdom eller multiinfarktdemens, i stedet for eller i tillegg til normaltrykkshydrocephalus.

    Ved normaltrykkshydrocephalus (som ved andre kommuniserende hydrocephalusformer) regner vi med at det er et misforhold mellom produksjon og drenasje av cerebrospinalvæske. Fordi cerebrospinalvæsken er inkompressibel og produksjonen av den er relativ konstant, medfører en økning i drenasjemotstanden en trykkøkning som kompenserer for drenasjesvikten.

    Begrepet ”normaltrykk” er misvisende, da det kan gi en forestilling om at det foreligger helt normale intrakraniale væske- og trykkforhold hos pasienter med denne form for hydrocephalus. Begrepet har likevel oppstått fordi det hos disse pasienter ofte blir målt normalt trykk ved lumbalpunksjon. Det målte normale trykket forhindrer likevel ikke at pasienten kan ha episodiske trykkøkninger som kan være årsak til symptomutviklingen (2).

    I tillegg til de kliniske symptomer baseres diagnosen normaltrykkshydrocephalus på funnene ved cerebral computertomografi (CT) (2 – 5). En CT-undersøkelse av hjernen er fortsatt en god screeningmetode, der store ventrikler, utplanert kortikalt relieff og periventrikulær lavattenuering er typisk for normaltrykkshydrocephalus (3).

    Gangfunksjonsprøve før og ett døgn etter lumbalpunksjonsavlasting, kontinuerlig døgnregistrering av det intrakraniale trykket og infusjonstester av forskjellige typer er tilleggsutredninger for normaltrykkshydrocephalus. Ved infusjonstester undersøkes pasientens evne til å filtrere vekk spinalvæske fra subaraknoidalrommet. Kunstig cerebrospinalvæske infunderes spinalt eller i hjernens hulrom under samtidig måling av trykket, slik at filtrasjonsmotstanden (resorpsjonskapasiteten) kan bestemmes (5 – 9). Tradisjonelt har den patofysiologiske forklaringen for normaltrykkshydrocephalus vært at pasientene har økt filtrasjonsmotstand for cerebrospinalvæske (nedsatt resorpsjonskapasitet).

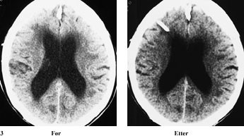
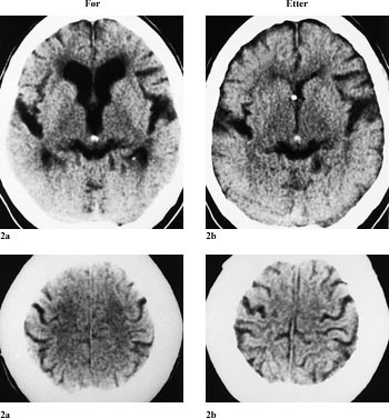
    Behandlingen ved normaltrykkshydrocephalus går ut på å drenere cerebrospinalvæsken via et rørsystem til bukhulen, ventrikuloperitoneal shunt (fig 1 – 3), for å normalisere og stabilisere de intrakraniale trykkforhold.

    Pga. våre egne erfaringer (10) med meget lav komplikasjonsfrekvens (0 %) hos denne kategori pasienter (25 pasienter 1984 – 91) har vi inntatt en liberal holdning til ventrikuloperitoneal shuntkirurgi ved mistanke om normaltrykkshydrocephalus.

    Materiale og metode

    Materiale og metode

    I løpet av halvannet år ble åtte konsekutivt utvalgte pasienter operert for sannsynlig normaltrykkshydrocephalus. Indikasjonen for operasjon var liberal, basert på ventrikkelutvidelse ved cerebral CT, og kliniske tegn med typiske gangproblemer som ustøhet, bredbent stiv gange med korte, subbende skritt, samt alt fra mulig begynnende til uttalt demens. Kun pasienter yngre enn 80 år ble inkludert i studien, og aldersspredningen ble avslutningsvis 70 – 78 år.

    Operasjonen ble foretatt i narkose med vanlig teknikk for ventrikuloperitoneal shuntinnleggelse. Alle pasientene hadde et normalt trykk ved ventrikkelpunksjon (<200 mm vann (11) målt ved normokapni under inngrepet).

    Pasientene ble testet med nevropsykologiske tester preoperativt, samt 2 – 3 dager og 3 – 4 måneder etter inngrepet. Testene var: gangfunksjonsprøve (vår prøve); Mini Mental Status, MMS (12); Street Completition Test for visuospatial integrering (13); Ravens matriser, modifisert til en enklere test for visuospatial analytisk evne (14); Bergen Face Recognition Test for visuospatial konstruktiv hukommelse (15); Lurias test modifisert til en enklere test for ordhukommelse (16); Wechslers Standard Memory Scale modifisert til en enklere test for assosiativ ordhukommelse (17); databasert testprogram for reaksjonstid og oppmerksomhet (18); Wisconsin Card Sorting Test (19) eller Stroop-testen (20) for å teste frontallappsfunksjon.

    Gangfunksjonsprøven ble målt ved å telle antall skritt brukt på 16 meters ganglengde (i fire meters etapper) med eller uten støtte. To av pasientene kunne ikke gå før operasjonen. En av disse kunne heller ikke gå 3 – 4 måneder etter operasjonen. For likevel å kunne inkludere disse to pasientene i den statistiske rangsumanalysen ble testresultatet for ikke å klare å utføre prøven satt til 100 skritt, et dårligere resultat enn det dårligst registrerte resultatet for de gående pasientene.

    All statistisk analyse av postoperativ forandring målt ved ovenstående tester er foretatt med Wilcoxons rangsumtest for parede data.

    Resultater

    Resultater

    Den endelige diagnosen normaltrykkshydrocephalus i tabell 1 baserer seg på en anamnestisk og klinisk vurdering, inkludert bedring i gangfunksjonsprøven etter shuntinnleggelse. For pasient 1 – 6 gav det samlede batteriet av kognitive tester (tab 2 – 4) en bedring av assosiative cerebrale funksjoner ved den postoperative kontrollen 3 – 4 måneder etter operasjon (p< 0,01).

    Testresultater preoperativt og ved 3 – 4 måneders kontroll er vist i tabell 1 – 4. Av dette begrensede, men prospektive pasientmaterialet med åtte pasienter gjennomgikk seks pasienter en bedring typisk for diagnosen normaltrykkshydrocephalus. Av de to pasientene som ikke responderte som forventet på shuntbehandling, utviklet den ene en bedring i gangfunksjonen, men forverring i arm- og håndfunksjonen på høyre side, forenlig med et venstresidig mediainfarkt som han antakelig utviklet uavhengig av den gjennomgåtte operasjonen. Den andre pasienten gjennomgikk en progredierende forverring til tross for fungerende ventrikuloperitoneal shunt, noe som er typisk for diagnosen primær degenerativ hjernesykdom (shuntfunksjonen ble testet ved en operasjon i lokalbedøvelse og ventrikkelstørrelsen var uendret ved cerebral CT-undersøkelse).

    Gangfunksjonen viste signifikant bedring 3 – 4 måneder etter shunting (tab 1).

    Tabell 1  

    Den preoperative diagnosen var normaltrykkshydrocephalus hos alle pasienter. Ved den postoperative oppfølgingen ble diagnosen revurdert på grunnlag av annen diagnose og/eller manglende bedring etter operasjonen. Gangfunksjonsprøven før og 3 – 4 måneder etter operasjon. Reduksjon i antall skritt indikerer en forbedring i gangfunksjon

    Pasient

    Før

    Etter

    Wilcoxons rangsumtest (p-verdi)

    Endelig diagnose

    1

     60

     46

    Normaltrykkshydrocephalus

    2

     72

     42

    Normaltrykkshydrocephalus

    3

     72

     40

    Normaltrykkshydrocephalus

    4

     54

     51

    Normaltrykkshydrocephalus

    5

     48

     36

    Normaltrykkshydrocephalus

    6

     99

     49

    0,021

    Normaltrykkshydrocephalus

    7

    100

     39

    Cerebralt infarkt/normaltrykkshydrocephalus?

    8

    100

    100

    0,018

    Cerebral atrofi/Alzheimers sykdom

    Tabell 2  

    Assosiasjonslæring før og 3 – 4 måneder etter operasjon. Økning i skåre indikerer en forbedring i evnen til å huske ordpar

    Pasient

    Før

    Etter

    Wilcoxons test (p-verdi)

    Endelig diagnose

    1

    17

    23

    Normaltrykkshydrocephalus

    2

    19

    22

    Normaltrykkshydrocephalus

    3

    16

    20

    Normaltrykkshydrocephalus

    4

    11

    18

    Normaltrykkshydrocephalus

    5

     4

    21

    Normaltrykkshydrocephalus

    6

     6

    10

    0,028

    Normaltrykkshydrocephalus

    7

    13

    16

    Cerebralt infarkt/normaltrykkshydrocephalus?

    8

     0

     0

    0,018

    Cerebral atrofi/Alzheimers sykdom

    Evnen til assosiasjonslæring og visuospatial integrerende evne var også signifikant bedret 3 – 4 måneder etter operasjonen (tab 2, 3).

    Tabell 3  

    Street completition test før og 3 – 4 måneder etter operasjon. Økning i skåre indikerer en forbedring i evnen til å gjenkjenne fragmentariske bilder (visuospatial integrerende evne)

    Pasient

    Før

    Etter

    Wilcoxons rangsumtest(p-verdi)

    Endelig diagnose

    1

    12

    17

    Normaltrykkshydrocephalus

    2

    14

    16

    Normaltrykkshydrocephalus

    3

    11

    12

    Normaltrykkshydrocephalus

    4

     6

     7

    Normaltrykkshydrocephalus

    5

     2

     4

    Normaltrykkshydrocephalus

    6

     8

     9

    0,028

    Normaltrykkshydrocephalus

    7

    10

    11

    Cerebralt infarkt/normaltrykkshydrocephalus?

    8

     3

     3

    0,018

    Cerebral atrofi/Alzheimers sykdom

    Målt enkeltvis viste de øvrige testene i batteriet ikke signifikant postoperativ bedring (tab 4).

    Tabell 4  

    Øvrige og mindre utslagsgivende tester ved normaltrykkshydrocephalus. Skåre før/etter operasjon (Wilcoxons rangsumtest)

    Pasient

    Mini Mental Status

    Ravens matriser

    Lurias 5-ordsprøve

    Bergen face recognition test

    Endelig diagnose

    1

    29/29

    4/4

    44/50

    5/9

    Normaltrykkshydrocephalus

    2

    29/29

    3/3

    48/46

    6/6

    Normaltrykkshydrocephalus

    3

    26/29

    2/5

    40/46

    2/4

    Normaltrykkshydrocephalus

    4

    21/23

    0/2

    44/44

    4/3

    Normaltrykkshydrocephalus

    5

    18/29

    3/5

    40/48

    4/5

    Normaltrykkshydrocephalus

    6

    14/21

    2/3

    38/32

    1/0

    Normaltrykkshydrocephalus

    7

    27/22

    2/3

    50/36

    6/3

    Cerebralt infarkt/normal- trykkshydrocephalus?

    8

    11/9

    0/0

    30/26

    1/1

    Cerebral atrofi/Alzheimers sykdom

    Da shuntkirurgi alltid foretas i narkose, var det ikke overraskende at den tidlige testingen 2 – 3 dager etter operasjonen, ikke viste uttalte endringer (resultatene ikke vist i tabellene). For kognitive funksjoner var det ingen tendens til endring (p-verdier> 0,5), og gjennomsnittsverdiene var faktisk noe dårligere enn preoperativt. For gangfunksjon kan det imidlertid være en tendens til bedring da gjennomsnittlig gangfunksjon var målbart endret i positiv retning (p = 0,14) allerede to til tre dager etter shuntoperasjonen på tross av den gjennomgåtte narkosen.

    Diskusjon

    Diskusjon

    Gangforstyrrelse er det tidligste og sikreste kliniske symptomet på normaltrykkshydrocephalus (2), men gangproblemene kan sannsynligvis ledsages av en tidlig subtil og ofte subklinisk kognitiv reduksjon.

    For å måle grad av kognitiv svikt kan Mini Mental Status brukes som en flerdimensjonal test på demente pasienter, men denne enkle testen er ikke følsom nok ved tidlig diagnostisert normaltrykkshydrocephalus med subtil cerebral reduksjon.

    Mentale evner vil alltid være sammensatt av mange kognitive dimensjoner. Flere tester vil således være nødvendig for måling av små forandringer. Våre tester viste seg å være sensitive for postoperativ bedring etter shuntavlastning. Pasienter med gangfunksjonsforstyrrelse uten ”demens”, slik den ble målt med Mini Mental Status, gjennomgikk bedring også av de kognitive evner, slik disse ble målt med mer følsomme tester. Således vil sannsynligvis en tidlig foretatt operasjon forhindre demensutvikling hos pasienter med normaltrykkshydrocephalus med samtidig redusert gangfunksjon og god Mini Mental Status-skåre. Uttalt funksjonsnedsettelse målt med Mini Mental Status kan innebære at kognitive evner er gått tapt for alltid. Det er likevel et forbedringspotensial etter shuntavlasting, der ikke minst gangfunksjonen og evnen til enkel assosiativ læring kan forbedres betydelig (tab 1 – 3, pasient 4, 5, og 6).

    Våre tester for oppmerksomhet/årvåkenhet og frontallappsfunksjon viste seg å være for vanskelige for denne pasientkategorien. Frontallappsdysfunksjon med oppmerksomhetssvikt er nok derfor et fremtredende symptom ved mental reduksjon som følge av normaltrykkshydrocephalus.

    I litteraturen angis det ofte at demens som har vart mer enn seks måneder er prognostisk ugunstig mht. reversering av symptomene etter shuntbehandling. Dette kan forklares med at demens som følge av normaltrykkshydrocephalus i over seks måneder ofte betyr at pasienten har gått med sin tilstand ubehandlet i vesentlig lengre tid og kanskje nærmere et år enn seks måneder, hvorav den første tiden med en subklinisk kognitiv reduksjon som gradvis utvikler seg til demens. Tidsintervallet med normaltrykkshydrocephalus i kanskje opptil og endog over ett år hos disse pasientene kan være for langt for at normale cerebrale funksjoner skal gjenopprettes.

    Infusjonstesten kan gi viktig informasjon, men trenger kanskje ikke være nødvendig forut for tilbudet om shuntavlasting (3). Med en lav komplikasjonsfrekvens ved dette inngrep hos disse pasienter (10), har vi valgt å være liberale med indikasjonsstillingen. Vi foretar derfor kun infusjonstest på de pasienter der klinisk undersøkelse, CT-bilder og pasientens allmenne status gjør at kirurgen er i tvil om pasienten skal tilbys en operativ behandling. Pasienter som har hatt subaraknoidalblødning, hodeskade eller meningitt, årsaker som kan forklare en sekundær hydrocephalus, bør etter vår mening alltid opereres hvis den kliniske og radiologiske undersøkelsen gir mistanke om en tilstand liknende normaltrykkshydrocephalus.

    For streng operasjonsindikasjon med krav om patologisk infusjonstest vil frata noen pasienter et adekvat behandlingstilbud. En konsekvens kan bli forverring av gangfunksjon, urininkontinens og mental svikt, og enkelte pasienter med gangfunksjonsforstyrrelse og pågående subklinisk kognitiv forverring vil utvikle irreversibel demens.

    Patofysiologien bak normaltrykkshydrocephalus er ikke entydig. Enkelte studier viser at cerebral sirkulasjon er redusert ved denne tilstanden (2). Det er vist at pasienter med normaltrykkshydrocephalus har en global cerebral reduksjon i glukoseforbruk sammenliknet med friske pasienter og pasienter med Alzheimers sykdom som har reduksjon i glukoseforbruk bitemporoparietalt (21). Det er også vist at den regionale sirkulasjon i frontallappenes hvite substans og thalamus er spesielt nedsatt ved normaltrykkshydrocephalus (22). Trykk og nedsatt mikrosirkulasjon i frontallappenes forbindelsesfibrer (hvit substans som ligger tett inntil hjerneventriklene) kan forklare de sensitive, men uspesifikke enkeltsymptomene, og den noe mer spesifikke triaden for normaltrykkshydrocephalus med gangforstyrrelse, urininkontinens og frontallappsdysfunksjon. Reduksjon av den regionale sirkulasjon av thalamuskjernene kan muligens være en tilleggsforklaring på den reduserte oppmerksomheten som ofte er fremtredende ved denne tilstand. Parallelt med bedringen etter shuntbehandling hos pasienter med normaltrykkshydrocephalus har det vært vist bedring av den forannevnte regionale mikrosirkulasjonen (21).

    I litteraturen har det etter hvert fremkommet en forståelse av at idiopatisk normaltrykkshydrocephalus er positivt korrelert til cerebrale sirkulasjonsforstyrrelser som gir synlige radiologiske forandringer (2, 22, 23). Dette kan øke forståelsen av hvorfor enkelte pasienter responderer på shuntbehandling til tross for en negativ utredning med infusjonstest. Sikker diagnose kan trolig kun baseres på klinisk bedring etter shuntbehandling (2).

    Konklusjon

    Konklusjon

    Ved mistanke om normaltrykkshydrocephalus skal shuntoperasjon alltid vurderes. Ved den preoperative vurderingen bør det legges størst vekt på den typiske gangfunksjonen og den foretatte radiologiske utredningen sammen med anamnese med henblikk på gjennomgått sykdomstilstand som kan gi sekundær hydrocephalus. Gangfunksjonstest før og etter lumbalpunksjon og/eller infusjonstest bør utføres ved tvil om nytteverdien av kirurgisk shuntavlasting. Mini Mental Status er ofte en utilstrekkelig test for å påvise tidlig og subtil kognitiv reduksjon. Det er ofte nødvendig å anvende flere nevropsykologiske tester for å kunne foreta objektiv vurdering av kognitiv bedring etter en shuntoperasjon, men prediksjonsverdien for en postoperativ bedring er foreløpig usikker ved slik testing.

    Kommentarer  ( 0 )

    Anbefalte artikler