Mononukleose er en akutt infeksiøs sykdom forårsaket av Epstein-Barr-virus. Klinisk karakteriseres sykdommen ved halsaffeksjon, feber, lymfeknutesvulst og forstørret milt og lever. Symptomatologien kan imidlertid variere, og en rekke alvorlige komplikasjoner kan opptre.
Nevrologiske komplikasjoner ved Epstein-Barr-virusinfeksjon inkluderer encefalitt, myelitt og polynevritt. Prognosen ved encefalitt er som oftest god, med helbredelse i 85 % av tilfellene, men en sjelden gang er sykdomsforløpet alvorlig, spesielt hos eldre barn og unge voksne (1 – 3). Det er beskrevet tilfeller hvor sykdomsbildet er dominert eller bare preget av encefalitt (4). Som antiviral behandling har man prøvd aciklovir, men det har aldri vært påvist at denne behandlingen har effekt på sentralnervøse sykdomsmanifestasjoner (5, 6). Den mest effektive undersøkelsen er sannsynligvis Epstein-Barr-viruspolymerasekjedereaksjon i spinalvæsken. Likevel er data utilstrekkelige og sensitiviteten og spesifisiteten er ennå ikke klarlagt (1, 7 – 9).
Vi har nylig hatt to pasienter med encefalitt etter akutt primær Epstein-Barr-virusinfeksjon. Både forløp og resultat var dramatisk.
Pasient 1. En 17 år gammel mann fikk to uker før innleggelse i Sykehuset Østfold halsbetennelse og ble behandlet med penicillin V. Ved innkomst 22.2. 2000 var han orientert, men i dårlig allmenntilstand. Han var høyfebril og hadde svelgevansker på grunn av tonsilitt. Han hadde hepato- og splenomegali, forstørrede lymfeknuter i nakkeregionen og patologiske leverprøver. Etter hvert snakket han usammenhengende og hadde perioder med hallusinasjoner. På grunn av halsobstruksjon ble han trakeostomert 3.3. og måtte få respiratorbehandling, som varte i alt fem uker. Han ble tonsillektomert og reoperert tre ganger på grunn av blødninger. Under lett sedering var han forvirret og delvis paranoid i perioden 7.3. – 15.3. Fra 14.3 fikk han aciklovir 3 ⋅ 350 mg intravenøst, tilpasset til kreatinin og kroppsvekt, på grunn av mistanke om herpes simplex-infeksjon. 29.3. fikk han et generalisert tonisk-klonisk anfall. Cerebral CT fra samme dag var upåfallende. Spinalvæsken fra samme dag viste 133 × 10⁶ celler/l og totalprotein 1,91 g/l.
Fra primo april snudde tilstanden seg, men likevel var den mentale funksjonen preget av betydelig svikt i nærhukommelsen og vanskeligheter med konsentrasjon og atferd. I tillegg hadde han redusert svelgekraft, slapt ganeseil og nedsatt tungemotilitet, som tegn på en hjernestammeaffeksjon. Ellers hadde han sidelik kraft og sensibilitet i alle ekstremiteter. En MR fra 3.4. viste på de T2-vektede bildene diffuse høysignalområder i høyre temporallapp, frontoparietalt og i basalgangliene, spesielt i nucleus caudatus og hippocampus. På venstre side fant man forandringer i samme område, men noe mindre utpreget. Man fant ingen kontrastoppladninger. Senere forbedret han seg gradvis, men han har fremdeles kognitive problemer.
Ved innkomst 22.2. var mononukleose hurtigtest negativ. 7.3. og 11.3. var anti-Epstein-Barr-viruskapsidantigen-IgM (VCA-IgM) positiv, 27.3. var den blitt negativ. 29.3. viste spinalvæsken positiv utfall av Epstein-Barr-viruspolymerasekjedereaksjon og Epstein-Barr-virus-VCA-IgM. I serum fant man samme dag en positiv anti-Epstein-Barr-viruskapsidantigen-IgG (VCA-IgG), mens anti-Epstein-Barr-virus-early antigen-IgM (EA-IgM), IgG (EA-IgG) og anti-Epstein-Barr-virus nukleært antigen-IgG (EBNA-IgG) var negative. Analyseresultatene i serum og spinalvæsken var forenlig med akutt primær Epstein-Barr-virusinfeksjon.
Ellers fant man i spinalvæsken ingen oligoklonale bånd og en normal IgG-indeks. Dessuten fant man i serum positive verdier for borrelia-IgM-ELISA og RS-virus komplementbindingsreaksjon og en grenseverdi for Mycoplasma pneumoniae-IgM-ELISA, som sannsynligvis skyldtes kryssreaksjoner. Serologien var ellers normal når det gjelder Paul-Bunnells prøve, HIV-I og -II, herpes simplex-virus 1 og 2, varizella zoster-virus, rubellavirus, hepatittvirus A – E, adenovirus, enterovirus, Mycoplasma pneumoniae og syfilis.
Pasient 2. En tidligere frisk 22 år gammel mann fikk i andre delen av mai 2000 halsbetennelse og tok penicillin. 31.5. utviklet han utydelig språk og kvalme. Dagen etter fikk han hodepine, han var trett og fikk hukommelsesproblemer. Ved innleggelse i lokalsykehuset var han ikke orientert, hadde amnesi for en uke tilbake, ellers var det normale nevrologiske funn. I vennekretsen hadde det forekommet tilfeller av infeksiøs mononukleose like før, men pasienten hadde verken forstørrede lymfeknuter, forstørret milt eller lever. CT med og uten kontrast var initialt vurdert som upåfallende, til tross for lettgradig asymmetri av sideventriklene (fig 1a). Infeksjonsparametere var uten anmerkning. 2.6. ble han utskrevet i velbefinnende. I løpet av de neste to dager virket pasienten eiendommelig, med humørsvingninger. 4.6. fikk han et generalisert tonisk-klonisk anfall og ble på nytt innlagt i lokalsykehuset. Tilstanden var vurdert som utløst av abstinensanfall etter moderat alkoholinntak. 5.6. ble han febril (39,0 ˚C), trett og fikk økende hukommelsesproblemer. Spinalvæskefunnet viste 7 × 10⁶ celler/l, protein 0,45 g/l, glukose 4,1 mmol/l; CRP var 21 mg/l, ASAT 31 U/l, ALAT 51 U/l, øvrige serumverdier var normale.
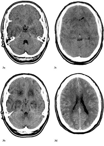
Pasienten ble overflyttet til Namdal Sykehus 6.6. Han var somnolent, desorientert og gav stereotype svar. Han hadde ingen fokale utfall. På mistanke om herpes simplex-encefalitt ble det iverksatt behandling med aciklovir 3 ⋅ 750 mg intravenøst, i tillegg fenytoin 2 ⋅ 250 mg intravenøst mot symptomatiske epileptiske anfall. Dagen etter ble pasienten soporøs. EEG var preget av en generalisert langsom aktivitet, delvis i form av bilateral synkron, rytmisk deltaaktivitet (frontal intermittent rhythmic delta acitvity, FIRDA). CT viste symmetriske forandringer i basalgangliene og basale deler av cerebrum som var ødematøs (fig 2a, 2b). En ny spinalvæskeprøve, tatt 8.6., viste 17 celler. En CT fra 9.6. viste progredierende forandringer (fig 3).
10.6. døde pasienten på grunn av sentral respirasjonsstans. Pårørende ønsket ikke autopsi.
Differensialtelling viste ingen tegn til infeksiøs mononukleose. Spinalvæskefunn: 5.6.: klart utseende, sju celler, totalprotein 0,45; 8.6.: 17 celler, totalprotein 1,13, normal IgG-indeks, ingen patologiske bånd; økt albuminnivå og IgG, tydende på nedsatt blod-hjerne-barriere.
Det ble gjort en omfattende serologisk undersøkelse av spinalvæske og serum 5.6. og 8.6. Som eneste påfallende funn forelå en positiv Epstein-Barr-virus-IgM-ELISA i serum, et lavt titer med 176 % av grenseverdi. Epstein-Barr-virus-IgM-ELISA og -polymerasekjedereaksjon i spinalvæske var negative.
I serum var anti-Epstein-Barr-virus early antigen-IgM (EA-IgM), anti-Epstein-Barr-virus early antigen-IgG (EA-IgG) og anti-Epstein-Barr-virus kapsidantigen-IgG (VCA-IgG) positive, mens anti-Epstein-Barr-virus nukleært antigen-IgG (EBNA-IgG) var negativ. Man må konkludere med en sannsynlig aktuell Epstein-Barr-virusinfeksjon, fordi Epstein-Barr-virusantistoffprofilen (påvist EA-IgM/IgG og VCA-IgG samt negativ EBNA-IgG) er helt karakteristisk for en Epstein-Barr-virus primærinfeksjon. Ved tidligere gjennomgått infeksjon kan EBNA-IgG påvises, men disse antistoffene dannes vanligvis ikke før tidligst en måned etter debut av primærinfeksjonen.
HSV-, VZV-, enterovirus- og Mycobacterium tuberculosis-polymerasekjedereaksjon var negative i spinalvæsken. Virusdyrking gav ingen vekst. Hepatitt B S-antigen, hepatitt C-antistoff, HIV 1 + 2-antistoff-ELISA og adenovirusantistoff komplementbindingsreaksjon i serum var negative 5.6. og 8.6. Øvrige serologiske funn er opplistet i tabell 1.
Tabell 1
Oversikt over serologiske funn i serum og spinalvæske av pasient 2
| 5.6. 2000 |
8.6. 2000 |
||||
| Serum |
Spinalvæske |
Serum |
Spinalvæske |
||
| CMV- |
IgM-ELISA |
− |
− |
||
| IgG-ELISA |
− |
¹ |
− |
||
| Morbilli- |
IgM-ELISA |
− |
− |
− |
− |
| IgG-ELISA |
+ |
− ¹ |
+ |
+² |
|
| Parotitt- |
IgM-ELISA |
− |
− |
− |
− |
| IgG-ELISA |
+ |
− |
+ |
+² |
|
| Rubella- |
IgM-ELISA |
− |
− |
||
| Antistoffagglutinasjon |
+³ |
+³ |
|||
| HSV- |
IgM-ELISA |
− |
− |
− |
|
| IgG-ELISA |
+³ |
+³ |
− |
||
| VZV- |
IgM-ELISA |
− |
− |
− |
|
| IgG-ELISA |
+ |
+ |
+¹ |
||
| Mycoplasma- |
IgM-ELISA |
− |
− |
||
| IgG-ELISA |
− |
− |
|||
| Borrelia- |
IgM-ELISA |
− |
− |
||
| IgG-ELISA |
− |
− |
|||
| Cox B-/enterovirusantistoff komplementbindingsreaksjon |
8⁴ |
− |
8⁴ |
||
| |||||
Diskusjon
Den første pasienten hadde klare tegn på en infeksiøs mononukleose og utviklet med en latens av to uker tegn til encefalitt med affeksjon av limbiske strukturer og senere hjernestammesymptomer. Diagnostisk var det ingen tvil om at det dreide seg om en cerebral Epstein-Barr-virusinfeksjon.
Den andre pasienten hadde symptomer på en generell infeksjon og i serum en akutt primær Epstein-Barr-virusinfeksjon. Flere i omgangskretsen hadde ”kyssesyke”, men han hadde ingen tegn på infeksiøs mononukleose. I løpet av ti dager utviklet han et sykdomsbilde som var preget av hukommelsesproblemer, personlighetsforandringer, global dysfasi og bevissthetsnedsettelse. I tillegg hadde pasienten et epileptisk anfall. Spinalvæsken viste en lettgradig pleocytose. Behandling med aciklovir viste ingen effekt, og pasienten døde etter ti dager. Spinalvæskeundersøkelse gav ikke holdepunkt for Epstein-Barr-virusinfeksjon.
I denne sammenheng må en akutt demyeliniserende encefalomyelitt diskuteres som differensialdiagnose. Det er en akutt symptomatikk med feber og multifokale nevrologiske symptomer som utvikler seg en til fire uker etter en akutt infeksjon eller vaksinasjon og et symptomfritt intervall. Forutgående infeksjoner gjelder morbilli, varicella, rubella, influensa, parotitt, herpes zoster og Epstein-Barr-virus (10, 11). Spinalvæskefunn er ikke i stand til å differensere mellom akutt viral encefalitt og akutt demyeliniserende encefalomyelitt (12). MR viser multifokale kontrastmiddeloppladende hvit substans-lesjoner (13 – 15).
Dessverre hadde vi ingen mulighet til å få utført MR og obduksjon. Likevel er en akutt demyeliniserende encefalomyelitt mindre sannsynlig på grunn av at sykdomsutviklingen ikke kom helt akutt, men var gradvis innsettende i løpet av ti dager. Dessuten hadde man ikke fokale eller multifokale motoriske eller sensible utfall (10, 13). CT-funn viste progredierende, symmetriske forandringer som gav hypodensitet først i basalganglier og senere generelt, men hele tiden mest i basale deler av storehjernen og i de limbiske strukturer (fig 1 – 3). Retrospektivt aner man allerede ved første CT-undersøkelse (fig 1b) små hypodense områder ut for 3. ventrikkel på hver side lavt i basalgangliene. Disse funnene tyder heller på en atypisk encefalitt enn på en akutt demyeliniserende encefalomyelitt og korresponderer med de kliniske funn av hukommelsesproblemer og personlighetsforandringer. Pasienten fikk terminalt sentral respirasjonsstans, noe som kan tyde på hjernestammeaffeksjon.
Sammenfattende hadde begge pasienter en sammenliknbar utvikling av de cerebrale symptomene: Nedsatt hukommelse og orientering, personlighetsforandringer, hjernestammesymptomer og generaliserte tonisk-kloniske anfall, men ingen fokale motoriske eller sensible utfall. Bildediagnostikken viste lesjoner i basalgangliene, spesielt i nucleus caudatus og limbiske strukturer, især i hippocampusområdet.
Både personlighetsforandringer inntil psykose, hukommelsesvansker og hjernestammesymptomer er beskrevet som hyppige ved Epstein-Barr-virusencefalitt (1). Dessuten har aciklovir ingen dokumentert effekt mot cerebrale Epstein-Barr-virusinfeksjoner (5, 6). Negativ Epstein-Barr-viruspolymerasekjedereaksjon utelukker ikke Epstein-Barr-virusencefalitt (1, 7 – 9). Man vet lite om i hvor lang tid etter sykdomsdebut DNA kan påvises. Andre faktorer som kan gi falskt negativ polymerasekjedereaksjon er at prøven inneholder inhiberende faktorer, at det finnes fortynningseffekt ved økt mengde spinalvæske eller at transporten eller oppbevaringen av prøven ikke har vært adekvat.
I de fleste tilfellene er forløpet av cerebrale Epstein-Barr-virusinfeksjoner godartet, men hos barn, yngre voksne og immunsupprimerte pasienter er alvorlige sykdomsbilder mulig. Letaliteten er angitt til 2 – 5 % (1). Også i barnealderen observeres Epstein-Barr-virusencefalitter uten kliniske tegn på infeksiøs mononukleose (4, 16). Det er beskrevet en tre år gammel gutt som utviklet sentral respirasjonssvikt, ble respiratorbehandlet og kom seg gradvis, men som ikke kunne snakke de første dagene – det vil si at også her fant man en symptomkonstellasjon av global encefalopati med hjernestammeaffeksjon (16).
Vi konkluderer at begge pasienter var rammet av en alvorlig encefalitt som følge av akutt primær Epstein-Barr-virusinfeksjon. Encefalitten var kjennetegnet av en kombinasjon av en global cerebral affeksjon med utfall i limbiske strukturer og i hjernestammen. Vi påpeker at begge pasienter umiddelbart før infeksjonen var friske og ikke hadde spesielle risikofaktorer.
- 1.
Portegies P, Corssmit N. Epstein-Barr virus and the nervous system. Curr Opin Neurol 2000; 13: 301 – 4.
- 2.
Conelly KP, DeWitt LD. Neurologic complications of infectious mononucleosis. Pediatr Neurol 1994; 10: 181 – 4.
- 3.
Corssmit EPM, Leverstein-van Hall MA, Portegies P, Bakker P. Severe neurological complications in association with Epstein-Barr virus infection. J Neurovirol 1997; 3: 460 – 4.
- 4.
Follet-Bouhamed C, Nassimi A, Troller S, Loiseau-Corvez MN, Berthier M, Oriot D. A cause of acute encephalitis: primary infection due to Epstein-Barr virus. Arch Pediatr 1999; 6: 286 – 9.
- 5.
Andersson J, Britton S, Ernberg I, Andersson U, Henle W, Skoldenberg B et al. Effect of acyclovir on infectious mononucleosis: a double-blind, placebo-controlled study. J Infect Dis 1986; 153: 283 – 90.
- 6.
van der Horst C, Joncas J, Ahronheim G, Gustafson N, Stein G, Gurwith M et al. Lack of effect of peroral acyclovir for the treatment of acute infectious mononucleosis. J Infect Dis 1991; 164: 788 – 92.
- 7.
Landgren M, Kyllerman M, Bergstrom T, Dotevall L, Ljungstrom L, Ricksten A. Diagnosis of Epstein-Barr virus-induced central nervous system infections by DNA amplification from cerebrospinal fluid. Ann Neurol 1994; 35: 631 – 5.
- 8.
Portolani M, Cermelli C, Meacci M, Pietrosemoli P, Sabbatini AM, Cerri MC et al. Epstein-Barr virus DNA in the cerebrospinal fluid of patients with human immunodeficiency virus infection and central nervous system disorders. New Microbiol 1999; 22: 369 – 74.
- 9.
Imai S, Usui N, Sugiura M, Osata T, Tsutsumi H, Tachi N et al. Epstein-Barr virus genomic sequences and specific antibodies in cerebrospinal fluid in children with neurologic complications of acute and reactivated EBV infections. J Med Virol 1993; 40: 278 – 84.
- 10.
Adams RD, Victor M, Ropper AH. Acute disseminated encephalomyelitis. I: Adams RD, Victor M, Ropper AH, red. Principles of neurology. 6. utg. New York: McGraw Hill, 1997: 921 – 5.
- 11.
Stueve O, Zamvil SS. Pathogenesis, diagnosis, and treatment of acute disseminated Encephalomyelitis. Curr Opin Neurol 1999; 12: 395 – 401.
- 12.
Kerkar S, Molavi A. Postinfection complications of the central nervous system. I: Schlossberg D, red. Infections of the nervous system. New York: Springer, 1990: 135 – 42.
- 13.
Andersen JB, Pedersen SA. Akut dissemineret encephalomyelitis hos børn. Ugeskr Læger 2000; 162: 3176 – 80.
- 14.
Cadelmeyer KS, Smith RR, Harris TM, Edwards MK. MRI in acute disseminate encephalomyelitis. Neuroradiology 1994; 36: 216 – 20.
- 15.
Mader I, Stock KW, Ettlin T, Probst A. Acute disseminated encephalomyelitis: MR and CT features. Am J Neuroradiol 1996; 17: 104 – 9.
- 16.
Kolmannskog S, Dramsdahl H, Bruu AL. Akutt encefalitt ved mononukleose. Tidsskr Nor Lægeforen 1982; 102: 182 – 3.