Den patofysiologiske prosess som fører til alkoholisk levercirrhose går via steatose, nekroinflammasjon og fibrose (1). De senere år har man fått gode holdepunkter for et tilsvarende klinisk-patologisk bilde hos ikke-alkoholikere. Ludwig og medarbeidere presenterte i 1980 funn fra 20 slike pasienter (2). De kalte tilstanden ”nonalcoholic steatohepatitis” (NASH). Denne betegnelsen har senere fått gjennomslag i litteraturen. I det følgende vil vi omtale tilstanden som ikke-alkoholisk steatohepatitt.
Kunnskapen om patofysiologi, risikofaktorer, behandling og prognose ved denne tilstanden er fortsatt mangelfull. Vi omtaler tre pasienter med ikke-alkoholisk steatohepatitt og gir en kort oversikt over dagens kunnskap på dette feltet (3 – 8).
Pasient 1. Tidligere frisk 38 år gammel mann fra Vietnam. På grunn av tilfeldig påvist forhøyet serum-ferritinnivå og nedsatt glukosetoleranse ble han henvist til utredning. Han hadde ingen symptomer og brukte ingen fast medikasjon, spesielt ikke jernpreparater. Pasienten var avholdsmann og ikke-røyker.
Ved klinisk undersøkelse fant man en overvektig, men friskt utseende mann. Leveren var palpabel 3 cm under høyre kostalbue. Øvrig organstatus var normal.
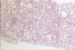
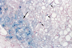
Blodprøver viste moderat forhøyede verdier for alaninaminotransferase (ALAT) og aspartataminotransferase (ASAT) og markert forhøyet serum-ferritinnivå med samtidig normal transferrinmetning og negativ gentest for hemokromatose (tab 1). Ultralydundersøkelse og computertomografi av lever viste forandringer forenlig med steatose. Leverbiopsi viste betydelig steatose (fig 1) og jernavleiring (fig 2) (tab 2). Det var ikke holdepunkt for viral eller autoimmun leversykdom og verdier for serum-pipider var normale (tab 1).
Tabell 1
Biokjemiske parametere og kliniske karakteristika hos tre pasienter med fettlever og patologiske leverenzymer
| Referanseverdier |
Pasient 1 Mann – 38 år |
Pasient 2 Kvinne – 45 år |
Pasient 3 Mann – 32 år |
|
| S-ALAT (U/l) |
M< 50 |
159 |
231 |
160 |
| K< 35 |
||||
| S-ASAT (U/l) |
M< 50 |
67 |
217 |
56 |
| K< 35 |
||||
| S-GT (U/l) |
M< 80 |
66 |
497 |
140 |
| K< 50 |
||||
| S-ferritin ( µg/l) |
25 – 200 |
895 |
46 |
436 |
| Transferrinmetning (%) |
15 – 45 |
27 |
10 |
29 |
| Gentest for hemokromatose |
Homozygot |
Homozygot |
Homozygot |
|
| (HFE) |
negativ |
negativ |
negativ |
|
| Hepatittserologi¹ |
Negativ |
Negativ |
Negativ |
|
| Antistoff mot glatt muskel og mitokondrier |
Negativ |
Negativ |
Negativ |
|
| Antinukleært antistoff (titer) |
1/64 |
1. gang 1/512 |
< 1/64 |
|
| 2. gang< 1/64 |
||||
| Nedsatt glukosetoleranse |
Ja |
Nei |
Nei |
|
| Kroppsmasseindeks (kg/m²) |
19 – 25 |
27 |
31 |
29 |
| P-kolesterol (mmol/l) |
3,9 – 8,5 |
5,2 |
6,8 |
4,2 |
| P-triglyserid (mmol/l) |
0,3 – 1,5 |
1,5 |
2,2 |
5,7 |
| Hypertensjon |
Nei |
Nei |
Nei |
|
| ||||
Tabell 2
Histologiske funn ved leverbiopsi hos tre pasienter med fettlever og patologiske leverenzymverdier
| Pasient 1 Mann – 38 år |
Pasient 2 Kvinne – 45 år |
Pasient 3 Mann – 32 år |
|
| Andel hepatocytter med steatose (%) |
60 – 70 |
70 – 80 |
75 |
| Nekroinflammasjon |
Ingen |
Moderat |
Lett |
| Fibrose |
Ingen |
Moderat |
Moderat |
| Jernavleiring |
Moderat |
Ingen |
Ingen |
| (Perls grad 2) |
|||
| Klinisk-patologisk |
Leversteatose med |
Ikke-alkoholisk |
Ikke-alkoholisk |
| diagnose |
moderat jernavleiring |
steatohepatitt |
steatohepatitt |
Tilstanden ble oppfattet som ikke-alkoholisk steatose. Pasienten ble anbefalt økt fysisk aktivitet og vektreduksjon. På grunn av økt jernavleiring ble det startet behandling med flebotomi. Åtte måneder senere, etter 12 flebotomier med tapping hver gang av 450 ml blod, var ALAT redusert til 70 U/l, ASAT redusert til 36 U/l og serum-ferritin til 51 µg/l. Vekten var i denne perioden uendret.
Pasient 2. 45 år gammel kvinne fra Sør-Amerika. 38 år gammel fikk hun utført bilateral mastektomi på grunn av lobulær carcinoma in situ. Utover periodevis bruk av protonpumpehemmer siste året (øsofagitt) hadde hun ikke brukt faste medisiner.
I 1996 hadde hun normale leverprøver. Senere gikk hun gradvis opp 15 kg i vekt. Fra 1998 ble det ved gjentatte anledninger påvist patologiske leverfunksjonsverdier.
Ved undersøkelsen på gastroenterologisk poliklinikk angav hun ingen spesielle plager. Hun var ikke-røyker, og angav et meget beskjedent alkoholinntak. Hun var overvektig (tab 1), ellers var det normal organstatus.
Fastende blodprøver viste forhøyede verdier for ALAT, ASAT og gammaglutamyltransferase (GT) (tab 1). C-peptid var 1583 pmol/l (referanse 240 – 720) tydende på nedsatt insulinfølsomhet. Det ble påvist moderat hypertriglyseridemi.
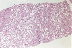
Ultralydundersøkelse og computertomografi av lever viste forandringer forenlig med steatose. Histologisk undersøkelse av leverbiopsi viste betydelig steatose og moderat nekroinflammasjon (fig 3) (tab 2). Det var ikke holdepunkt for viral eller autoimmun leversykdom (tab 1).
Tilstanden ble oppfattet som ikke-alkoholisk steatohepatitt. Ved kontroll åtte måneder senere hadde hun gått ned 3 kg i vekt, ALAT var redusert til 111 U/l og ASAT til 79 U/l.
Pasient 3. 32 år gammel med tidligere anfall av urinsyregikt. I forbindelse med sannsynlig infeksjon med parvovirus B19 ble det påvist forhøyet serum-ferritinnivå og leverfunksjonsprøver viste unormale forhold.
Han ble utredet ved gastroenterologisk poliklinikk ca. fem måneder senere og følte seg da helt frisk. Han var ikke-røyker, brukte ingen faste medisiner og angav et meget moderat alkoholinntak. Ved klinisk undersøkelse var han overvektig. Organstatus var normal.
Blodprøver viste fortsatt forhøyede verdier for leverenzymer og forhøyet serum-ferritinnivå. Videre ble det påvist forhøyet nivå av fastende triglyserider. Det var ikke holdepunkt for hemokromatose, viral eller autoimmun leversykdom (tab 1).
Ultralydundersøkelse og computertomografi av lever viste forandringer forenlig med steatose. Histologisk undersøkelse av leverbiopsi viste betydelig steatose, lette tegn til nekroinflammasjon samt moderat fibrose. Det var imidlertid ingen patologisk jernavleiring (tab 2).
Tilstanden ble oppfattet som ikke-alkoholisk steatohepatitt. Pasienten ble anbefalt økt fysisk aktivitet og vektreduksjon.
Diskusjon
Våre pasienter illustrerer at ikke-alkoholisk steatohepatitt ofte oppdages tilfeldig. Foranledningen til diagnosen er ikke sjelden tilfeldig påvist forhøyede verdier for aminotransaminaser og/eller serum-ferritin.
For å stille diagnosen ikke-alkoholisk steatohepatitt må andre kjente årsaker til leversykdom, spesielt alkoholoverforbruk, være ekskludert. Data fra en stor italiensk befolkningsundersøkelse har vist at alkoholinntak under 30 g/dag ikke gir økt risiko for leversykdom (9). En halv flaske vin inneholder ca. 30 g alkohol. Hos ingen av våre tre pasienter var det mistanke om alkoholoverforbruk.
Bortsett fra moderat økt jernavleiring i leveren hos en av pasientene fant vi ikke holdepunkt for viral, autoimmun eller vaskulær leversykdom. Spesielt er eksklusjon av hepatitt C viktig da slike pasienter ofte har leversteatose (10).
Hos alle tre pasientene fant vi moderat aminotransferaseforhøyelse, med ALAT høyere enn ASAT. Dette er typisk ved ikke-alkoholisk steatohepatitt (3, 11), og står i kontrast til det man finner ved alkoholisk hepatitt, hvor ASAT som regel er høyere enn ALAT (3).
Ved leverbiopsi kan det histologiske bildet ikke skilles fra det man finner ved alkoholisk leverskade; makrovesikulær steatose, nekroinflammasjon, Mallory-legemer, og ulike grader av fibrose, inklusive cirrhose (7).
Forekomst og assosierte lidelser
Forekomsten av ikke-alkoholisk steatohepatitt varierer i ulike studier. I autopsistudier av individer som verken var diabetikere, overvektige eller alkoholiserte, har man funnet steatose hos 7 % og steatohepatitt hos 2,7 % (3). Tilsvarende tall hos individer med uttalt adipositas var 29 % og 19,5 %. Disse dataene kan ikke uten videre ekstrapoleres til levende da det før døden ofte inntreffer betydelige metabolske forandringer. I den italienske befolkningsundersøkelsen (12) fant man ved ultrasonografi tegn til steatose i lever hos 16 % av normalvektige som drakk mindre enn 30 g ren alkohol per dag. Blant overvektige (kroppsmasseindeks> 30 kg/m²) var hyppigheten av steatose hele 76 %. I gruppen av normalvektige med alkoholinntak> 60 g per dag var prevalensen av steatose 46 %, og blant overvektige med samtidig alkoholinntak> 60 g per dag, ble det påvist steatose hos 95 %.
Ikke-alkoholisk steatohepatitt er svært ofte assosiert til metabolsk syndrom hvor insulinresistens synes å spille en sentral rolle (3, 4 ,7) (tab 3). Adipositas, hyperlipidemi, diabetes mellitus og hypertensjon er kliniske manifestasjoner ved metabolsk syndrom. Våre pasienter illustrerer godt denne sammenhengen. To hadde hypertriglyseridemi, alle var overvektige, og en hadde redusert glukosetoleranse.
Tabell 3
Viktige årsaker og assosierte tilstander til ikke-alkoholisk steatohepatitt
| Forhold knyttet til insulinresistenssyndrom |
| Diabetes mellitus type 2, adipositas, hyperlipidemi, hypertensjon |
| Økt jernavleiring i lever uten samtidig holdepunkt for hemokromatose |
| Total parenteral ernæring |
| Proteinkaloriunderernæring |
| Jejunoilealbypassoperasjon |
| Medikamenter. Eksempler hvor sammenhengen er veldokumentert: |
| Amiodarone, tetrasyklin, diltiazem, nifedipin og tamoxifen |
Senere rapporter har fremhevet at tilstanden også kan være assosiert til høyt ferritinnivå og samtidig normal jernmetning i serum (11, 13, 14). Deugniers gruppe i Frankrike har studert pasienter med jernavleiring i lever og som ikke har genetisk hemokromatose (14), og fant at 94 % hadde en eller flere tilstander knyttet til insulinresistens (kroppsmasseindeks> 25 kg/m², nedsatt glukosetoleranse, hyperlipidemi eller hypertensjon).
I motsetning til den franske studien (14) ble det i en australsk undersøkelse av pasienter med ikke-alkoholisk steatohepatitt funnet økt forekomst av heterozygoti for mutasjon C282Y i hemokromatosegenet (HFE) (13). Hvilken rolle jern spiller i utviklingen av leverskade ved denne tilstanden er ikke avklart, men det rapporteres om god effekt av behandling med flebotomi hos pasienter med ikke-alkoholisk steatohepatitt og samtidig patologisk jernavleiring i lever (15). Dette er bakgrunnen for vår håndtering av pasient 1 som etter flebotomi fikk betydelig fall i ALAT-nivå og normalisering av serum-ferritinnivået.
Utvikling av ikke-alkoholisk steatohepatitt kan også sees ved total parenteral ernæring, ved proteinkalori-underernæring, ved raskt vekttap etter jejunoilial bypassoperasjon og som bivirkning til en del vanlig brukte medikamenter (3, 6) (tab 3).
Patofysiologi
Fettlever skyldes enten økt tilbud av fett til leveren, økt mitokondriell nysyntese av fett, redusert nedbrytning av fett i mitokondrier eller redusert eksport av fett fra hepatocyttene. Ved insulinresistens vil redusert betaoksidasjon av fettsyrer være en viktig årsak til fettakkumulering, dels i form av triglyserider og dels som frie fettsyrer.
James & Day oppfatter steatose som starten på et klinisk-patologisk kontinuum som via nekroinflammasjon og fibrose kan føre til levercirrhose (3). Ved leversteatose er hepatocyttene sannsynligvis mer sårbare for oksidativt stress og lipidperoksidering, som nettopp kan initieres av reaktive frie fettsyrer.
Når kapasiteten til mitokondriell betaoksidasjon overskrides, vil peroksisomal fettnedbrytning resultere i danningen av hydrogenperoksid. I nærvær av jern kan dette gi opphav til reaktive hydroksylradikaler (3). Dette belyser kanskje noe av den epidemiologisk observerte sammenheng mellom ikke-alkoholisk steatohepatitt og patologisk jernstoffskifte (11, 13 – 16).
Den senere tid har man vært opptatt av en biokjemisk prosess hvor oksygen reduseres til reaktive forbindelser som kan ødelegge vev i en prosess kalt oksidativt stress. Oksidativt stress kan også øke ekspresjon av adhesjonsmolekyler og sekresjon av cytokiner som utvilsomt spiller en helt sentral rolle i utvikling av leverskade (17). Best undersøkt er tumornekrosefaktor-alfa (TNF- α ) som direkte og indirekte kan resultere i levercellenekrose. Men bildet er relativt komplekst idet TNF- α også har betydning for regenerasjon av skadede hepatocytter (18).
Bakteriell overvekst i tynntarm kan muligens spille en rolle ved utvikling av ikke-alkoholisk steatohepatitt ved at økte mengder endotoksin utløser inflammatorisk aktivitet i leveren som på forhånd er mer sårbar på grunn av fettakkumuleringen. I dyreeksperimentelle modeller har man kunnet sannsynliggjøre denne hypotesen, men sammenhengen er sålangt ikke sikkert påvist hos mennesker (19).
Prognose
Det er stor usikkerhet knyttet til det naturlige forløp ved ikke-alkoholisk steatohepatitt. Teli og medarbeidere (20) fant at kun 2,5 % av pasienter med ren steatose utviklet mild fibrose etter ti års oppfølging. Sheth og medarbeidere sammenliknet tre studier og fant på dette grunnlag at 8 – 17 % av pasienter med ikke-alkoholisk steatohepatitt utviklet cirrhose innen sju år (7). Det synes som om ren steatose har en god prognose, mens tilstedeværelse av nekroinflammasjon eller fibrose indikerer en reell risiko for utvikling av mer avansert leversykdom (8). Mange hepatologer er av den oppfatning at noen tilfeller av kryptogen cirrhose kan ha utviklet seg via ikke-alkoholisk steatohepatitt.
Behandling
Økt fysisk aktivitet og gradvis vektreduksjon anbefales der hvor ikke-alkoholisk steatohepatitt er assosiert med overvekt og metabolsk syndrom (3, 5, 7, 8). Hvilken betydning dette har for progrediering av leversykdom er ikke avklart, men det er vist at økt fysisk aktivitet kan redusere både transaminaser og grad av leversteatose, også uten at det nødvendigvis tilkommer vektreduksjon (D. Sutedja, personlig meddelelse).
Som omtalt kan det være en sammenheng mellom patologisk jernstoffskifte og ikke-alkoholisk steatohepatitt. Økt aminotransferaseaktivitet i serum ledsages ofte av forhøyet serum-ferritinnivå uten at jernlagrene i leveren er økt (21). Hvis derimot leverbiopsi viser økt jernavleiring, og det samtidig foreligger klart forhøyet serum-ferritinnivå, kan man forsøksvis behandle med flebotomi (14, 15).
I en pilotundersøkelse fant man effekt av ursodeoksykolsyre på biokjemiske parametere og grad av steatose (22). Det foregår nå større studier for å evaluere dette funnet. Videre er det initiert studier for å avklare om antioksidativ behandling med vitamin E kan ha positiv effekt i forhold til ikke-alkoholisk steatohepatitt.
Forslag til utredningsplan
Hos alle pasienter med vedvarende forhøyede leverfunksjonsprøver bør det gjøres ultralydundersøkelse av lever. Hvis denne undersøkelsen gir usikre eller negative funn, bør det suppleres med computertomografi av lever. Transferrinmetning og ferritin må kontrolleres. Virale og autoimmune leversykdommer må utelukkes ved blodprøver. Et stort antall medikamenter kan være levertoksiske, grundig medikamentanamnese er derfor viktig. Alkoholvaner må kartlegges.
Diagnosen ikke-alkoholisk steatohepatitt forutsetter histologisk undersøkelse av lever ettersom det ikke er mulig å skille mellom ren steatose og steatohepatitt ut fra blodprøver. Vi anbefaler likevel ikke rutinemessig leverbiopsi, dels fordi de fleste med leversteatose ikke har betennelsesforandringer, og dels fordi leverbiopsi vanligvis ikke får andre terapeutiske konsekvenser enn råd om vektreduksjon. Pasientene bør følges med årlige blodprøver for å utelukke progrediering av leversykdom.
Etter vår oppfatning kan mange pasienter med steatose håndteres i allmennpraksis. Ved tvil om diagnosen bør pasienten henvises til hepatologisk vurdering hos spesialist. Også pasienter med vedvarende høyt ferritinnivå eller vedvarende forhøyede transaminaseverdier over 200 – 300 U/l, bør henvises med tanke på leverbiopsi for å utelukke patologisk jernavleiring og autoimmun hepatitt.
- 1.
Day CP, Yeaman SJ. The biochemistry of alcohol-induced fatty liver. Biochim Biophys Acta 1994; 1215: 33 – 48.
- 2.
Ludwig J, Viggiano TR, McGill DB, Oh BJ. Nonalcoholic steatohepatitis: Mayo Clinic experiences with unnamed disease. Mayo Clin Proc 1980; 55: 434 – 8.
- 3.
James OFW, Day CP. Non-alcoholic steatohepatitis (NASH): a disease of emerging identity and importance. J Hepatology 1998; 29: 495 – 501.
- 4.
Lonardo A. Fatty liver and nonalcoholic steatohepatitis. Dig Dis 1999; 17: 80 – 9.
- 5.
Ludwig J, McGill DB, Lindor KD. Review: nonalcoholic steatohepatitis. J Gastroenterol Hepatol 1997; 12: 398 – 403.
- 6.
Diehl AM. Nonalcoholic steatohepatitis. Semin Liver Dis 1999; 19: 221 – 9.
- 7.
Sheth S, Gordon FD, Chopra S. Nonalcoholic steatohepatitis. Ann Intern Med 1997; 126: 137 – 45.
- 8.
Saadeh S, Younossi ZM. The spectrum of nonalcoholic fatty liver disease: from steatosis to nonalcoholic steatohepatitis. Cleve Clin J Med 2000; 67: 96 – 104.
- 9.
Bellentani S, Saccoccio G, Costa G, Tiribelli C, Manenti F, Sodde M et al. Drinking habits as cofactors of risk for alcohol induced liver damage. Gut 1997; 41: 845 – 50.
- 10.
Rubbia-Brandt L, Quadri R, Karim A, Giostra E, Malè P, Mentha G et al. Hepatocyte steatosis is a cytopathic effect of hepatitis C virus genotype 3. J Hepatol 2000; 33: 106 – 15.
- 11.
Bacon BR, Farahvash MJ, Janney CG, Neuschwander BA. Nonalcoholic steatohepatitis: an expanded clinical entity. Gastroenterology 1994; 107: 1103 – 9.
- 12.
Bellentani S, Saccoccio G, Masutti F, Croce LS, Brandi G, Sasso F et al. Prevalence of and risk factors for hepatic steatosis in Northern Italy. Ann Intern Med 2000; 132: 112 – 7.
- 13.
George DK, Goldwurm S, MacDonald GA, Cowley LL, Walker NI, Ward PJ et al. Increased hepatic iron concentration in nonalcoholic steatohepatitis is associated with increased fibrosis. Gastroenterology 1998; 114: 311 – 8.
- 14.
Mendler MH, Turlin B, Moirand R, Jouanolle A, Sapey T, Guyader D et al. Insulin resistance-associated hepatic iron overload. Gastroenterology 1999; 117: 1155 – 63.
- 15.
Moirand R, Mortaji AM, Lorèal O, Paillard F, Brissot P, Deugnier Y. A new syndrome of liver iron overload with normal transferrin saturation. Lancet 1997; 11: 95 – 7.
- 16.
Tsukamoto H, Horne W, Kamimura S, Niemelä O, Parkkila S, Seppo Y et al. Experimental liver cirrhosis induced by alcohol and iron. J Clin Invest 1995; 96: 620 – 30.
- 17.
Farrel GC. Is bacterial ash the flash that ignites NASH? Gut 2001; 48: 149 – 9.
- 18.
Tilg H, Diehl AM. Cytokines in alcoholic and nonalcoholic steatohepatitis. N Engl J Med 2000; 343: 1467 – 75.
- 19.
Wigg AJ, Roberts-Thomson IC, Dymock RB, McCarthy PJ, Grose RH, Cummins AG. The role of small intestine bacterial overgrowth, intestinal permeability, endotoxaemia, and tumor necrosis factor α in the pathogenesis of non-alcoholic steatohepatitis. Gut 2001; 48: 206 – 11.
- 20.
Teli MR, James OFW, Burt AD, Bennett MK, Day CP. The natural history of non-alcoholic fatty liver: a follow-up study. Hepatology 1995; 22: 1714 – 9.
- 21.
Bell H, Skinningsrud A, Raknerud N, Try K. Serum ferritin and transferrin saturation in patients with chronic alcoholic and non-alcoholic liver diseases. J Intern Med 1994; 236: 315 – 22.
- 22.
Laurin J, Lindor KD, Crippin JS, Gossard A, Gores GJ, Ludwig J et al. Ursodeoxycholic acid or clofibrate in the treatment of non-alcohol-induced steatohepatitis: a pilot study. Hepatology 1996; 23: 1464 – 7.