Tidlige CT-forandringer ved akutt hjerneinfarkt

    ()

    sporsmal_grey_rgb
    Abstract

    Formålet med undersøkelsen var å vurdere kliniske funn hos pasienter med hjerneslag og sammenholde disse med funn ved cerebral computertomografi (CT) innen seks timer etter sykdomsstart.

    42 pasienter med kliniske funn på lesjon i a. cerebri medias forsyningsområde ble tallmessig beskrevet ut ifra Scandinavian Stroke Scale Score (SSS-skåre). Cerebral CT ble på en standardisert måte vurdert av en nevroradiolog.

    De kliniske funn samsvarte ikke med funn av tidlige infarkttegn. Pasienter med flere tidlige infarkttegn ved CT var klinisk dårligere enn de med få eller ingen infarkttegn. Hypodensitet i mer enn 1/3 av a. cerebri medias forsyningområde var det isolerte infarkttegnet som var sterkest knyttet til dårlig SSS-skåre. Det hyppigste tidlige infarkttegnet radiologisk var hypodensitet i insula.

    Kliniske funn gir ikke sikker informasjon om den iskemiske skade i akuttfasen av akutt hjerneslag. CT gir sikker informasjon først ved opptreden av tidlige infarkttegn.

    Abstract

    Background.

    The aim of this study was to evaluate neurological clinical findings and cerebral computed tomography (CT) findings in patients with acute stroke within six hours after stroke onset.

    Material and methods.

    42 patients with presumed stroke in the middle cerebral artery territory were clinically assessed with the Scandinavian Stroke Scale Score. CT scans were assessed in a standardized manner by one neuroradiologist.

    Results.

    The clinical deficit did not forecast the CT findings. Patients with several early CT signs of ischaemia, and especially those with hypodensity in less than one third of the middle cerebral artery area had lower clinical scores than patients with fewer signs. Hypodensity in the insular region was the overall most frequent finding.

    Interpretation.

    Clinical findings do not give definite information about the ischaemic damage in the acute phase of cerebral infarction. CT scans may give valuable information primarily when there are positive findings.

    Artikkel

    Korrekt akuttbehandling av pasienter med akutt hjerneslag forutsetter bildediagnostisk fremstilling av hjernen for å skille mellom infarkt og blødning og for om mulig å se lokalisasjonen og utbredelsen av den iskemiske lesjonen. Hvis pasienten kan komme til sykehuset innen tre timer fra sykdomsstart, tilbyr noen sykehusavdelinger trombolytisk behandling ved akutt hjerneinfarkt (1). Ved innleggelse blir derfor hurtig undersøkelse og diagnostikk viktig. Indikasjonen for trombolytisk behandling er basert på funn ved klinisk undersøkelse og cerebral CT. Det er da nødvendig å vite hva pasientens kliniske bilde kan si oss om sykdomsprosessen og dens alvorlighetsgrad, og hvor mye informasjon cerebral CT kan gi i tidlig fase. CT gir mer informasjon enn bare å utelukke blødning (2), men informasjonsmengden i denne undersøkelsen underestimeres ofte (3).

    Vi ønsket å undersøke i hvilken grad kliniske funn samsvarer med røntgenologisk tidlige infarkttegn ved akutt hjerneinfarkt.

    Materiale og metode

    Materiale og metode

    Fra mai 1998 til mai 2000 ble 42 pasienter (26 menn) med median alder 74,5 år (spredning 54 – 91 år) med et klinisk bilde forenlig med infarkt i a. cerebri medias forsyningsområde inkludert i studien. 28 av pasientene var meldt via akutt medisinsk kommandosentral som mulige trombolysekandidater. Det kliniske bildet ble vurdert ved bruk av Scandinavian Stroke Scale (SSS). Skalaen er 0 – 58, hvor SSS-skåre 0 er en pasient som ikke er vekkbar, ikke orientert, med komplett afasi, blikkparese og hemiparalyse. Den kliniske vurdering ble gjort av nevrologisk forvakt som sammen med sykepleier skåret pasienten (4). I noen tilfeller skåret erfaren slagsykepleier pasienten alene. Hvis pasientene ble ufullstendig skåret i akuttfasen, ble de fullstendig skåret av to overleger i nevrologi basert på nøyaktige kliniske opplysninger i innkomstjournalen. Overlegene var blindet for hverandres vurderinger. Ved en divergens i SSS-skåre på> 3 poeng ble skåringen fastsatt etter ny gjennomgang av primærjournal og diskusjon.

    Pasientene ble inndelt i kliniske grupper: alvorlig slag (SSS-skåre 0 – 20), middels alvorlig slag (SSS-skåre 21 – 40) og lett slag (SSS-skåre 41 – 58). Pasienter som viste seg å ha et transitorisk iskemisk attakk (TIA) ble ekskludert.

    Alle pasientene ble undersøkt med cerebral CT innen seks timer etter sykdomsstart. CT ble tatt uten kontrast med 5 mm tykke aksiale snitt basalt og med 10 mm tykke snitt i resten av hjernen. Nevroradiolog ble informert om de kliniske funn og vurderte bildene med henblikk på tidlige infarktforandringer (tab 1).

    Tabell

    Tabell 1   Karakteristiske tidlige funn ved cerebral CT hos pasienter med infarkt i mediakretsløpet

    Hyperdens a. cerebri media

    Hypodensitet i caput av nucleus caudatus

    Hypodensitet i nucleus lentiforme

    Hypodensitet i insula/utvisking av grensen mellom grå og hvit substans i insula

    Hypodensitet/ødem i mer enn 1/3 av a. cerebri medias forsyningsområde

    Med utgangspunkt i pasientens SSS-skåre vurderte vi om pasienter med alvorlig, middels alvorlig eller lett slag, hadde forskjellig hyppighet av de forskjellige CT-tegn. Med utgangspunkt i cerebral CT vurderte vi om antall eller type tidlige infarkttegn ved CT var relatert til pasientens SSS-skåre. Hyperdens a. cerebri media ble her sett i sammenheng med andre tidlige infarkttegn. Med utgangspunkt i pasienter med samme kliniske alvorlighetsgrad og samme undersøkelsestidspunkt for CT vurderte vi om cerebral CT viste samme antall tidlige infarkttegn.

    Resultater

    Resultater

    Pasientene hadde en median SSS-skåre på 26. 17 pasienter hadde alvorlig slag (median SSS-skåre 10), 14 middels alvorlig slag (median SSS-skåre 30) og 11 pasienter hadde et lett slag (median SSSe-skår 46). Ti pasienter ble tilleggsskåret av to overleger. Hos fire pasienter divergerte SSS-skåre satt av overlegene med mer enn tre poeng (henholdsvis 4, 5, 6 og 9 poeng). Hos en pasient medførte divergens at pasienten kom enten i gruppen middels alvorlig slag eller i gruppen lett slag.

    13 pasienter hadde et høyre hemisfære-infarkt og 29 hadde et venstre hemisfære-infarkt. I gruppen med alvorlig sykdom hadde to av 17 et høyre hemisfære-infarkt. Gjennomsnittlig tid fra sykdomsstart til CT-undersøkelse i de tre gruppene var henholdsvis 155, 163 og 194 minutter. De tre gruppene hadde forskjellig hyppighet av tidlige infarkttegn (tab 2). Alle funn hadde avtakende hyppighet ved lettere kliniske funn, bortsett fra at hypodensitet/ødem i> 1/3 av a. cerebri medias forsyningsområde var litt hyppigere i gruppen av pasienter med middels alvorlige kliniske funn enn i gruppen med alvorlige kliniske funn. Cerebral CT viste ett eller flere tidlige infarkttegn hos 15 av 28 pasienter (54 %) undersøkt 0 – 3 timer etter sykdomsstart og hos åtte av 14 (57 %) undersøkt 3 – 6 timer etter sykdomsstart.

    Tabell

    Tabell 2   Prosentvis forekomst av tidlige infarkttegn i pasientgruppene med alvorlig, middels alvorlig og lett slag

    SSS-skåre¹

    SSS-skåre

    SSS-skåre

    0 – 20

    21 – 40

    41 – 58

    (%)

    (%)

    (%)

    Hyperdens a. cerebri media

    41

    36

    18

    Hypodens caudatus

    29

    29

    18

    Hypodens lentiforme

    47

    36

    27

    Hypodens insula

    65

    29

    27

    Hypodensitet i> 1/3 av media

    24

    29

    0

    Scandinavian Stroke Scale Score

    Tabell

    Tabell 3   Gjennomsnittlig SSS-skåre og antall pasienter med tidlige infarkttegn ved cerebral CT

    Antall pasienter

    Gjennomsnittlig SSS-skåre¹ (2 SD)

    Hyperdens a. cerebri media

    13

    24 (14)

    Hypodensitet i caput av nucleus caudatus

    12

    26 (13)

    Hypodensitet i nucleus lentiforme

    17

    23 (13)

    Hypodensitet i insula

    18

    20 (13)

    Hypodensitet i> 1/3 av media

    8

    16  (9)

    Scandinavian Stroke Scale Score

    Tabell 3 viser den gjennomsnittlige SSS-skåre hos pasienter med de forskjellige tidlige infarkttegn. Det var ingen signifikant forskjell i gjennomsnittlig SSS-skåre mellom pasientene med hyperdens media (SSS-skåre 24) eller uten dette tegnet (SSS-skåre 28) (p = 0,4).

    23 pasienter (55 %) hadde ett eller flere tidlige infarkttegn ved CT (medregnet hyperdens media) og en gjennomsnittlig SSS-skåre på 23. 19 pasienter uten tidlige infarkttegn hadde en gjennomsnittlig SSS-skåre på 31 (p = 0,7). Hypodensitet i> 1/3 av a. cerebri medias forsyningsområde var det isolerte infarkttegnet som var klarest knyttet til alvorlige kliniske funn.

    Ved hypodensitet i både nucleus caudatus, lentiforme og insula var det hyperdens media hos seks av åtte pasienter (75 %). Fire av 13 pasienter (31 %) med hyperdens media hadde hypodensitet i> 1/3 av a. cerebri medias forsyningsområde, mens fire av 29 pasienter (14 %) uten hyperdens media hadde slike forandringer.

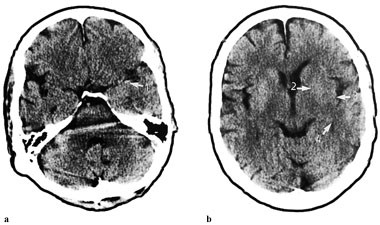
    Hos pasienter med alvorlig slag (SSS-skåre 8) varierte antallet tidlige infarkttegn mellom null og fem. Hos to pasienter med lett slag (SSS-skåre 42 og 46 og CT 322 og 324 minutter etter sykdomsstart) hadde én pasient fire tidlige infarkttegn og én ingen. Hos to pasienter med alvorlig slag (SSS-skåre 8 og 10 og CT 120 og 130 minutter etter sykdomsstart) hadde én pasient fem tidlige infarkttegn og én ett. Hos to pasienter med alvorlig slag og CT to timer etter sykdomsstart hadde den ene ikke infarkttegn mens den andre hadde fire (fig 1).

    Diskusjon

    Diskusjon

    Vår studie indikerer at klinisk undersøkelse er utilstrekkelig for å vurdere iskemisk skadegrad og at det er liten sammenheng mellom kliniske funn og CT-funn i tidlig fase av akutt hjerneinfarkt.

    Pasientene ble inndelt etter SSS-skåre i alvorlig, middels alvorlig eller lett hjerneslag. En tilsvarende gruppering er benyttet tidligere (5, 6). En supplerende klinisk skåring basert på innkomstjournal og delvis utført skåringsskjema ble gjort hos ti pasienter. En tilsvarende metode er også benyttet tidligere med stor grad av reliabilitet (7). I vår studie skåret overlegene sammenfallende hos seks pasienter, med lav divergens hos tre pasienter, og med en divergens som gav plassering i forskjellige slaggrupper hos kun en pasient. Etter gjennomgang og diskusjon ble denne pasienten plassert i gruppen lett slag. Vi valgte i vår studie en streng definisjon (SSS-skåre ³ 3) på divergens, selv om andre (5) har benyttet høyere verdier (SSS-skåre 5 og 10) som uttrykk for forskjell i klinisk status.

    Inndelingen etter SSS-skåre kan gi et misvisende bilde av slagets alvorlighetsgrad. Pasienter med klinisk totalt mediainfarkt i venstre hemisfære vil gjennomgående ha lavere SSS-skåre enn de med tilsvarende infarkt i høyre hemisfære fordi skalaen registrerer afasi (venstre hemisfære), men ikke neglektfenomener (høyre hemisfære). Våre pasienter med alvorlig slag (SSS-skåre 0 – 20) er hovedsakelig venstresidige mediainfarkter (15 av 17 pasienter), og gir et representativt bilde av en større hjerneskade.

    De tidlige infarkttegn var hyppigst til stede i gruppen med alvorlig slag, og ved lett slag hadde pasientene færre tidlige infarkttegn. Hypodensitet i> 1/3 av a. cerebri medias forsyningsområde ble derimot funnet hyppigere ved middels alvorlig slag enn ved alvorlig slag, men vi oppfatter dette som en tilfeldighet.

    Vi fant færre infarkttegn i tidlig (0 – 3 timer) enn i sen (3 – 6 timer) fase. Allikevel var pasientene som kom tidlig til CT, dårligere klinisk enn de som kom sent. Årsaken er sannsynligvis at tid er en viktigere faktor enn kliniske utfall for utvikling av tidlige infarkttegn ved CT.

    I vår studie valgte vi å basere konklusjonene på CT-beskrivelser fra én nevroradiolog fordi dette gjenspeiler klinisk praksis. Varierende bildekvalitet på CT og subjektiv vurdering av tidlige infarktforandringer kan imidlertid vanskeliggjøre sikre konklusjoner. En studie har for eksempel vist at hypodensitet i> 1/3 av a. cerebri medias forsyningsområde vurdert av tre nevroradiologer har en sensitivitet på 60 – 85 % (8). For å kunne bruke røntgenologiske funn med større prognostisk sikkerhet er det derfor anbefalt å benytte et standardisert kvantitativt CT-graderingssystem (6).

    23 av våre 42 pasienter hadde tidlige infarkttegn ved CT. I en tidligere studie hadde 22 av 25 pasienter med emboliske mediainfarkt tidlige infarkttegn ved CT tatt innen 340 minutter (9). Årsaken til denne forskjellen kan være at tidsvinduet i vår studie var noe lengre (360 minutter), at mange av våre pasienter sannsynligvis ikke hadde embolisk infarkt og at det kan være stor heterogenisitet i forskjellige pasientmaterialer. En annen studie har vist at tidlige infarkttegn kan sees hos 56 % ved CT tatt innen fem timer (10).

    Vi fant ingen forskjell i SSS-skåre hos de pasientene som hadde hyperdens media og de som ikke hadde dette. Dette funn står i kontrast til en studie som viste at pasientene med dette funn var dårligere initialt enn de uten (11). Forskjellen kan blant annet gjenspeile varierende effektiv kollateralsirkulasjon, falskt positiv hyperdens media (høy hematokritverdi og arteriosklerose) og eventuelt at CT ikke viser den okkluderte arterien. I vår studie var dette tegnet til stede hos om lag en tredel av pasientene, mens hyppigheten av hyperdens media i andre studier er funnet å være 18 – 26 % (11, 12). Funn av hyperdens media ved CT har en sensitivitet på 27 % (13).

    Funn av ett eller flere tidlige infarkttegn ved CT er knyttet til mer alvorlige slag. Dette gjelder særlig hypodensitet i> 1/3 av a. cerebri medias forsyningområde. Hypodensitet i basalgangliene sammen med hyperdens media ble funnet hyppigere enn hypodensitet i> 1/3 av a. cerebri media-området sammen med hyperdens media. Dette kan skyldes bedre kollateralsirkulasjon til kortikalt og subkortikalt vev og at basalgangliene er høyperfusjonsområder og er utsatt for en nær absolutt perfusjonssvikt ved proksimale mediaokklusjoner og at iskemi derfor først kommer til syne her.

    Vi har ikke undersøkt den vaskulære okklusjon som er den tilgrunnliggende sykdomsprosess. Å diagnostisere den patologiske blodsirkulasjon er nødvendig hos slagpasienter hvis vi ønsker å forstå pasientens sykdom. Ultralydundersøkelse av halskar og cerebrale kar har sannsynligvis høyere prognostisk verdi enn CT i akuttfasen (14).

    Kommentarer  ( 0 )

    Anbefalte artikler