Med begrepet parkinsonisme forstår vi et klinisk bilde hvor pasienten har minst to av de typiske symptomene hypo-/akinesi, rigiditet, hviletremor og postural instabilitet. Hos omkring 75 % av pasienter med parkinsonisme blir diagnosen idiopatisk Parkinsons sykdom bekreftet ved nevropatologisk undersøkelse post mortem (1). Pasienter med parkinsonisme som ikke har Parkinsons sykdom, kan grovt deles inn i to grupper: Pasienter med andre nevrodegenerative sykdommer som omfatter mer enn det nigrostriatale system, og pasienter med sekundære former for parkinsonisme. I den sistnevnte gruppen er parkinsonisme som bivirkning til bruk av tradisjonelle nevroleptika hyppigst.
I gruppen andre nevrodegenerative sykdommer er de såkalte Parkinson-pluss-syndromene de viktigste. De vanligste er progressiv supranukleær parese og multippel systematrofi (2), mens kortikobasal degenerasjon, progressiv pallidal atrofi, diffus Lewy-legemedemens og andre er mer sjeldne. Multippel systematrofi deles igjen inn i undergruppene striatonigral degenerasjon, sporadisk olivopontocerebellar atrofi og Shy-Drägers syndrom.
Det kan være vanskelig å skille Parkinson-pluss-syndromene fra Parkinsons sykdom, særlig tidlig i sykdomsforløpet. Kliniske forhold som trekker i retning av et Parkinson-pluss-syndrom er andre nevrologiske symptomer og funn i tillegg til parkinsonisme, dårlig eller manglende effekt av levodopa og en raskere progrediering enn hos pasienter med Parkinsons sykdom. Magnetisk resonanstomografi (MR) kan vise typiske patologiske funn hos en del pasienter med Parkinson-pluss-syndrom, men funnene kan også være uspesifikke.
Ved nukleærmedisinske metoder som singel fotonemisjonstomografi (single photon emission computed tomography, SPECT) og positronemisjonstomografi (PET) kan de dopaminerge nigrostriatale nerveterminalene (fra substantia nigra til striatum) og de postsynaptiske dopaminreseptorene i striatum undersøkes in vivo. På den presynaptiske siden i striatum finnes dopamintransportproteinet i membranen som sørger for reopptak av dopamin fra den synaptiske spalten. Radioaktivt123I-merket β -CIT (2 β -karboksy-metoksy-3 β -(4-iodofenyl) tropan) har høy affinitet for dopamintransportproteinet og er den mest brukte ligand for å påvise dopaminerge nerveterminaler med SPECT-undersøkelse. På den postsynaptiske siden er det særlig dopamin-D₂-reseptorene som er av interesse, fordi man antar at det er redusert stimulering av disse som er viktigst for opptreden av motoriske parkinsonistiske symptomer.123I-epideprid er en ligand med høy spesifisitet for D₂-reseptorer utviklet for SPECT-undersøkelse. Fordi det ved Parkinsons sykdom er en ren presynaptisk affeksjon av den nigrostriatale banen, mens det ved Parkinson-pluss-syndromene også er en degenerasjon postsynaptisk i striatum, kan slike undersøkelser bidra i differensialsiagnostikken av de ulike parkinsonistiske tilstandene. Det er viktig å skille idiopatisk Parkinsons sykdom og Parkinson-pluss-syndromene, fordi det har implikasjoner for både medikamentell og kirurgisk behandling av pasientene og for vurdering av prognosen.
I denne artikkelen presenteres tre pasienter med atypisk parkinsonisme hvor SPECT-undersøkelse og MR har vært brukt som hjelpemidler i diagnostikken. Nytteverdien av slike undersøkelser diskuteres.
Materiale og metode
Pasientene ble henvist fra nevrologisk avdeling ved sentralsykehus for nærmere utredning grunnet atypisk parkinsonisme. Foruten klinisk nevrologisk undersøkelse ble det gjort supplerende undersøkelser, med spesiell vekt på MR- og SPECT-undersøkelse med radioaktivt123I-merket β -CIT og epideprid. To pasienter ble fulgt opp poliklinisk ved Rikshospitalet, den tredje ved sentralsykehus.
MR ble utført med sagittale T₁-vektede og aksiale proton- og T₂-vektede snitt med en 1,5 tesla Siemens Vision-magnet (Erlangen). SPECT-undersøkelse ble utført ved at pasienten fikk injisert123I- β -CIT intravenøst ca. 24 timer før emisjonstomografien med dedisert hodetomograf (Tomomatic Medimatic 564, Hellerup, Danmark). Ved SPECT-undersøkelse med123I-epideprid ble injeksjonen gitt ca. tre timer før den scintigrafiske undersøkelsen. Ved hver prosedyre ble det registrert 27 transaksiale snitt. Tomogrammene ble bedømt visuelt med henblikk på symmetri og relativ fordeling av opptaket mellom nucleus caudatus og putamen.
Pasient 1. Kvinne, 66 år, tidligere stort sett frisk og uten hereditær sykdomsbelastning. Siste to år hadde hun fått gradvis økende ustø gange med fremoverlutende holdning og stivhet i kroppen. Levodopa opptil 600 mg i døgnet hadde muligens noe effekt, i hvert fall initialt. Hun var ved klinisk undersøkelse mentalt upåfallende, men mimikkfattig og hadde noe monoton stemme. Det var ingen hjernenerveutfall. Glabellarefleksen var ikke trettbar og snoutrefleksen var til stede. Hun hadde ustø gange med rullator og en sterkt fremoverlutende holdning. I alle ekstremiteter var det bradykinesi og rigiditet med tannhjulspreg, men ingen hviletremor. Myotatiske reflekser og plantarreflekser var normale. Blodtrykket var 140/80 mm Hg, og nevrourologisk undersøkelse viste detrusorhyperrefleksi. Apomorfintest var negativ.
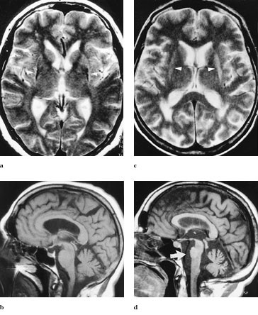
MR cerebrum viste lavsignalforandringer i putamen bilateralt med en hyperintens kant lateralt mot capsula externa og lett generell atrofi kortikalt og sentralt (fig 1a), mens cerebellum var normal (fig 1b). SPECT-undersøkelse med β -CIT viste nedsatt dopaminerg aktivitet i striatum bilateralt, mest uttalt i putamen og relativt symmetrisk (fig 2e). SPECT-undersøkelse med epideprid viste nedsatt D₂-reseptortetthet i putamen og nucleus caudatus bilateralt (fig 2f).
Det påfølgende året tilkom dysartri og hypofoni, forverret trunkal rigiditet, mer fremoverlutende holdning og propulsjon ved gange. Økning av levodopadosen til 1 000 mg/døgn gav ingen effekt. Et år senere hadde hun uttalt hypokinesi og generell rigiditet med uttalt anterocollis, måtte bruke rullestol og var fullstendig pleietrengende, men mentalt velbevart.
Pasient 2. Kvinne, 59 år. Migrene fra ungdomsårene, ellers tidligere stort sett frisk. Ingen sikker hereditær sykdomsbelastning. Siste tre år økt trettbarhet i muskulatur og skjelving i høyre arm, og etter hvert ustøhet ved gange, med økende falltendens bakover og generell stivhet i kroppen. Hun måtte bruke gåstol innendørs. Etter hvert fikk hun dysartri, noe dysfagi og skjelving i begge bein samt imperiøs vannlatingstrang. Levodopa i økende dose til 500 mg i døgnet hadde noe effekt på tremor.
Ved klinisk undersøkelse var hun mentalt upåfallende, hadde moderat dysartri, men normalt tempo i tungen. Det var ujevne sakkadebevegelser, for øvrig var øyemotilitet og andre hjernenerver normale. Ved Rombergs prøve hadde hun spontan falltendens bakover. Hun hadde koreatisk pregede dyskinesier i høyre arm, men ingen tremor. Det var moderat bradykinesi og lett ataksi i alle ekstremiteter, god kraft og minimal rigiditet. Hun hadde en lett dysdiadokokinesi i høyre arm. Myotatiske reflekser var generelt noe livlige, men plantarefleksene var normale.
MR cerebrum viste høysignal lateralt og oppad i begge putamen (fig 1c) og markert (og økende) atrofi av cerebellare foliae, vermis cerebelli og av pons (fig 1d). I tillegg var det høysignalforandringer periventrikulært nær sideventriklenes bakhorn. SPECT-undersøkelse med β -CIT viste bilateral betydelig reduksjon av dopaminerg aktivitet, like mye i putamen og nucleus caudatus og mest på venstre side. SPECT-undersøkelse med epideprid var normal.
Ett år senere måtte hun bruke rullestol, kunne ikke stå uten støtte, hadde generell hypokinesi, uttalt venstresidig ataksi, dysartri og dysfagi.
Pasient 3. Kvinne, 68 år. Hun hadde hatt paroksysmal supraventrikulær takykardi fra ungdomsårene, ellers tidligere frisk. Moren hadde hatt demens og døde 83 år gammel, og en halvsøster hadde parkinsonisme. Fire år tidligere hadde pasienten merket balanseproblemer, treghet og dårlig finmotorikk. Etter to år ble hun brått verre med økende falltendens bakover, sviktende stemme, nedsatt utholdenhet og nedsatt initiativ. Ifølge pårørende fikk hun også en viss personlighetsendring og nedsatt hukommelse. Hun hadde urininkontinens med imperiøs vannlatingstrang. Det var ingen sikker effekt av levodopa opptil 600 mg i døgnet i tillegg til selegelin, men hun fikk bivirkninger i form av svimmelhet og økt falltendens. Forsøk med enkeltdoser på 200 mg gav dyskinesier. Tilstanden forverret seg ikke etter seponering av antiparkinsonistisk medikasjon.
Ved klinisk undersøkelse var hun fullt orientert, mimikkfattig, hadde dysartri og hypofoni. Primitive reflekser (glabella, snout, palmomental) var til stede, og hun hadde parese for blikk i vertikalplanet, spesielt oppad. Hun hadde parkinsonistisk gange (med rullator) og holdning, og falltendens særlig ved vending. I ekstremitetene var det moderat rigiditet med tannhjulspreg, særlig i overekstremiteter. Hun hadde ingen tremor, spastistet, kraftsvikt eller sikker temporetardasjon. Det var symmetrisk moderat hyperrefleksi, men nedadvendte plantarreflekser.
MR cerebrum viste små, spredte, uspesifikke høysignalområder, ellers ingen sikre patologiske funn. SPECT-undersøkelse med β -CIT viste uttalt reduksjon av dopaminerg aktivitet i striatum bilateralt, mest på høyre side. SPECT-undersøkelse med epideprid viste lett nedsatt D₂-reseptortetthet i nucleus caudatus, men normal i putamen.
Ved kontroll ett år senere hadde hun nesten ikke taleevne og betydelige vansker med fødeinntak på grunn av dysfagi, dårlig finmotorikk og generell hypokinesi i ekstremitetene, men kunne reise seg og gå noen skritt med støtte. Rigiditeten var mest uttalt aksialt. Hun døde fire måneder senere av pneumoni og sannsynlig lungeemboli. Autopsi ble ikke utført.
Diskusjon
Hos pasienter med parkinsonisme er det i en del tilfeller vanskelig å avklare om det dreier seg om idiopatisk Parkinsons sykdom, Parkinson-pluss-syndrom eller sekundær parkinsonisme. I en klinisk-patologisk studie av 100 pasienter med klinisk diagnose Parkinsons sykdom stilt av nevrologer og geriatere fant Hughes og medarbeidere at bare 76 hadde nevropatologiske funn diagnostisk for Parkinsons sykdom (1). Dette viser at det er behov for å øke treffsikkerheten for den klinisk funderte diagnosen ved parkinsonisme, og understreker det faktum at man først ved autopsi får en helt sikker diagnose.
Det er viktig å identifisere de relativt få tilfellene av sekundær parkinsonisme dersom årsaken kan elimineres eller angripes terapeutisk. Det er også viktig å skille idiopatisk Parkinsons sykdom og Parkinson-pluss-syndromer fordi dette har implikasjoner for prognose, bruk av antiparkinsonistisk medikasjon og i vurderingen av om nyere kirurgiske behandlingsmetoder kan være aktuelle for pasienten.
Kliniske karakteristika
Ved de vanligste Parkinson-pluss-syndromene progressiv supranukleær parese og multippel systematrofi (2) er akinesi og aksiale motoriske symptomer (dysartri, aksial rigiditet, postural instabilitet og gangvansker) de dominerende parkinsonistiske symptomene, mens hviletremor forekommer sjeldnere enn ved Parkinsons sykdom. Progressiv supranukleær parese og multippel systematrofi progredierer raskere enn Parkinsons sykdom, og effekten av levodopa og dopaminagonister er dårligere, selv om enkelte pasienter kan ha en viss nytte av slike medikamenter.
Våre tre pasienter hadde alle et raskt progredierende akinetisk-rigid bilde med store gangvansker og falltendens tidlig i forløpet. På bakgrunn av den kliniske vurderingen hadde vi mistanke om multippel systematrofi hos pasient 1 og pasient 2, og progressiv supranukleær parese hos pasient 3. Rigiditet i ekstremitetene er gjerne mest uttalt ved striatonigral degenerasjon og ved progressiv supranukleær parese, mens man ved olivopontocerebellar atrofi ofte ser mindre rigiditet, fordi denne maskeres av cerebellare funn. Dette kan kanskje være grunnen til at pasient 2, som hadde en del cerebellare tegn, hadde minst rigiditet av de tre. Effekten av levodopa hos pasient 1 og pasient 2 var liten og etter hvert usikker, mens pasient 3 ikke hadde noen sikker effekt. Denne pasienten hadde parese for blikk i vertikalplanet, noe som trekker i retning av progressiv supranukleær parese. Sikker supranukleær blikkparese, som er et obligatorisk kriterium for diagnosen progressiv supranukleær parese, sees imidlertid ofte relativt sent i forløpet og kan også forekomme blant annet ved multippel systematrofi.
Hos pasient 3 hadde pårørende bemerket en viss personlighetsendring og apati, noe som kan sees tidlig ved progressiv supranukleær parese. Milde til moderate demenstegn kan også opptre sent i forløpet ved multippel systematrofi og Parkinsons sykdom. Ved parkinsonisme ledsaget av tidlige og klare tegn til demens bør imidlertid en primær demenstilstand mistenkes.
Autonom dysfunksjon, hvor man hyppigst ser ortostatisk hypotensjon, vannlatingsforstyrrelser og obstipasjon (3, 4), er vanligere og sees tidligere i forløpet ved multippel systematrofi enn ved Parkinsons sykdom (5 ) . Våre tre pasienter hadde alle imperiøs vannlatingstrang med inkontinens av varierende grad, men ikke sikre tegn til svikt i andre autonome funksjoner.
Magnetisk resonanstomografi (MR)
Ved striatonigral degenerasjon sees hyppig atrofi i putamen på T2-vektede bilder, atrofi kan også sees i globus pallidus med eventuelt nedsatt signal. Funn av en hyperintens kant på grensen mellom putamen og capsula externa, som hos pasient 1 og pasient 2 (fig 1a, 1c), er i to artikler funnet å ha høy spesifisitet for særlig striatonigral degenerasjon, mens atrofi og signalreduksjon i putamen alene er mer uspesifikt (6, 7). De mest typiske MR-funnene for sporadisk olivopontocerebellar atrofi er atrofi av cerebellum og pons relativt tidlig i forløpet, som hos pasient 2 (fig 1d) (6). Normal MR-undersøkelse er observert hos opptil 20 % av pasienter med multippel systematrofi (8). Ved Parkinsons sykdom påvises ikke patologiske forandringer ved MR hyppigere enn hos friske kontrollpersoner, og funnene er da av uspesifikk natur.
Ved progressiv supranukleær parese er følgende MR-funn de mest karakteristiske: Redusert anteroposteriør diameter av mesencephalon (<1,7 cm), signaløkning i mesencephalon, dilatasjon av tredje ventrikkel og frontal- og temporallappsatrofi (6). Ingen av våre pasienter hadde slike funn ved MR.
Singel fotonemisjonstomografi (SPECT) og positronemisjonstomo- grafi (PET)
De første studiene av dopaminopptak i striatum med funksjonelle nukleærmedisinske metoder ble gjort med PET-kameraer og18fluoro (F)-dopa som ligand. Disse viste hos pasienter med tidlig hemiparkinsonisme tydelig reduksjon av dopaminopptak i striatum bilateralt, mest uttalt i putamen og kontralateralt til klinisk affisert side (9, 10). Ved lenger kommet Parkinsons sykdom er det nedsatt dopaminopptak bilateralt i putamen, nucleus caudatus, substantia nigra og tegmentum i mesencephalon (11).
Det er senere utviklet andre ligander som i likhet med18F-dopa binder seg til dopamintransportproteinet i membranen til de nigrostriatale nerveterminalene og som er egnet for registrering med SPECT-kameraer.123I- β -CIT er den mest brukte av disse. I kliniske studier har man med bruk av slike undersøkelser kunnet påvise tap av dopaminerge terminaler i striatum hos pasienter med Parkinsons sykdom på gjennomsnittlig ca. 50 % av nivået hos friske (12, 13). Reduksjonen av dopaminopptak øker med økende varighet av sykdommen (14, 15).
Selv om sensitiviteten for påvisning av Parkinsons sykdom ved SPECT-undersøkelse med β -CIT er meget høy, er spesifisiteten lav når man bare vurderer grad av redusert dopaminopptak i striatum. Det viser seg imidlertid at mens dopaminopptaket hos pasienter med Parkinsons sykdom særlig er redusert i putamen og oftest asymmetrisk på de to sider, er det hos pasienter med Parkinson-pluss-syndrom og særlig ved progressiv supranukleær parese en mer symmetrisk reduksjon i hele striatum, inkludert nucleus caudatus (9, 16). Alle våre tre pasienter hadde patologiske funn ved SPECT-undersøkelse med β -CIT med tendens til mer proposjonal affeksjon i caudatus og putamen enn man ser hos pasienter med Parkinsons sykdom (fig 2c, 2e). Hos pasient 3 var affeksjonen mer uttalt enn man ser ved Parkinsons sykdom av like lang varighet.
For å bedre spesifisiteten har man også undersøkt den postsynaptiske siden av dopaminerg transmisjon i striatum; D₁- og D₂-reseptorene. Det er redusert stimulering av D₂-reseptorer som antas å være av størst betydning for opptreden av motoriske parkinsonistiske symptomer, og det er derfor disse man særlig har undersøkt med PET og SPECT-undersøkelse.123I-epideprid er en av ligandene som binder seg til D₂-reseptorene, og som benyttes ved SPECT-undersøkelse av disse (17). Undersøkelser av pasienter med Parkinson-pluss-syndrom har vist redusert D₂-reseptortetthet i gjennomsnitt for hele gruppen av pasienter, men noen av dem ligger innenfor det normale referanseområdet (17 – 19). Påvisning av signifikant nedsatt D₂-reseptortetthet i striatum, som hos pasient 1 (fig 2f), gir derfor støtte til diagnosen Parkinson-pluss-syndrom og taler imot diagnosen Parkinsons sykdom. Normal eller forhøyet D₂-reseptortetthet i striatum ved SPECT-undersøkelse, som man ser ved Parkinsons sykdom og som vi fant hos pasient 2, utelukker likevel ikke at det foreligger et Parkinson-pluss-syndrom. Hos pasient 2 er det særlig klinisk utforming og MR-funn som taler for olivopontocerebellar atrofi, mens man hos pasient 3 må støtte seg først og fremst til kliniske tegn samt de uttalte forandringene ved SPECT-undersøkelse med β -CIT.
Pasienter med atypisk parkinsonisme bør utredes nærmere i nevrologisk spesialavdeling. I tillegg til grundig klinisk evaluering, inkludert apomorfintest, bør det gjøres MR. Ved SPECT-undersøkelse med β -CIT og epideprid kan henholdsvis den presynaptiske og den postsynaptiske siden av den dopaminerge transmisjonen i striatum undersøkes in vivo. Er det affeksjon både pre- og postsynaptisk, støtter dette diagnosen Parkinson-pluss-syndrom, mens kun presynaptisk affeksjon sees både ved Parkinsons sykdom og hos noen pasienter med Parkinson-pluss-syndrom.
For pasient og pårørende er en tidlig diagnostisk avklaring viktig for en mest mulig realistisk innsikt i behandlingsmuligheter og prognose. Parkinson-pluss-pasienter bør slippe antiparkinsonistiske medikamenter dersom disse ikke virker. Nyere lovende kirurgiske behandlingsmetoder ved avansert Parkinsons sykdom er ikke indisert hos pasienter med Parkinson-pluss-syndrom, og de må derfor ikke gis urealistiske forhåpninger om slik behandling.
- 1.
Hughes AJ, Daniel SE, Kilford L, Lees AJ. Accuracy of clinical diagnosis of idiopathic Parkinson’s disease: a clinicopathological study of 100 cases. J Neurol Neurosurg Psychiatry 1992; 55: 181 – 4.
- 2.
Schrag A, Ben-Shlomo Y, Quinn NP. Prevalence of progressive supranuclear palsy and multiple system atrophy: a cross-sectional study. Lancet 1999; 354: 1771 – 5.
- 3.
Quinn NP. Multiple system atrophy – the nature of the beast. J Neurol Neurosurg Psychiatry 1989; 52: 78 – 89.
- 4.
Sakakibara R, Hattori T, Uchiyama T, Kita K, Asahina M, Suzuki A et al. Urinary dysfunction and orthostatic hypotension in multiple system atrophy: which is the more common and earlier manifestation? J Neurol Neurosurg Psychiatry 2000; 68: 65 – 9.
- 5.
Wenning GK, Ben-Shlomo Y, Hughes A, Daniel SE, Lees A, Quinn NP. What clinical features are most useful to distinguish definite multiple system atrophy from Parkinson’s disease? J Neurol Neurosurg Psychiatry 2000; 68: 434 – 40.
- 6.
Schrag A, Good CD, Miszkiel K, Morris HR, Mathias CJ, Lees AJ et al. Differentiation of atypical parkinsonian syndromes with routine MRI. Neurology 2000; 54; 697 – 702.
- 7.
Kraft E, Schwarz J, Trenkwalder C, Vogl T, Pfluger T, Oertel WH. The combination of hypointense and hyperintense signal changes on T2-weighted magnetic resonance imaging sequences: a specific marker of multiple system atrophy? Arch Neurol 1999; 56: 225 – 8.
- 8.
Kaufmann H. Multiple system atrophy. Curr Opin Neurol 1998; 11: 351 – 5.
- 9.
Brooks DJ, Ibanez V, Sawle GV, Quinn N, Lees AJ, Mathias CJ et al. Differing patterns of striatal18F-dopa uptake in Parkinson’s disease, multiple system atrophy and progressive supranuclear palsy. Ann Neurol 1990; 28: 547 – 55.
- 10.
Leenders K, Salmon EP, Tyrrell P, Perani D, Brooks DJ, Sager H et al. The nigrostriatal dopaminergic system assessed in vivo by positron emission tomography in healthy volunteer subjects and patients with Parkinson’s disease. Arch Neurol 1990; 47: 1290 – 8.
- 11.
Rakshi JS, Uema T, Ito K, Ashburner J, Morrish PM, Bailey D et al. Statistical parametric mapping of three dimensional18F-dopa PET in early and advanced Parkinson’s disease. Mov Disord 1996; 11 (suppl 1): 147.
- 12.
Seibyl J, Marek K, Quinlan D, Sheff K, Zoghbi S, Zea-Ponce Y et al. Decreased single-photon emission computed tomography (123I) β -CIT striatal uptake correlates with symptom severity in idiopathic Parkinson’s disease. Ann Neurol 1995; 38: 589 – 98.
- 13.
Marek KL, Seibyl JP, Zoghbi S, Zea-Ponce Y, Baldwin RM, Fussell B et al. (123I) β -CIT/SPECT imaging demonstrates bilateral loss of dopamine transporters in hemi-Parkinson’s disease. Neurology 1996; 46: 231 – 7.
- 14.
Marek KL, Seibyl J, Fussell B, Cellar J, Smith E, Innis R.123I- β -CIT-SPECT: assessment of progression in Parkinson’s disease. Neurology 1997; 48 (suppl 2): A207.
- 15.
Gerdts R, Rootwelt K, Nyberg-Hansen R. Staging of Parkinson’s disease by SPECT imaging of the dopamine transporter with123-beta-CIT. Acta Neurol Scand 1999; 100: 124.
- 16.
Burn DJ, Sawle GV, Brooks DJ. Differential diagnosis of Parkinson’s disease, multiple system atrophy and Steele-Richardson-Olszewski syndrome: discriminant analysis of striatal18F-dopa PET data. J Neurol Neurosurg Psychiatry 1994; 57: 278 – 84.
- 17.
Pirker W, Asenbaum S, Wenger S, Kornhuber J, Angelberger P, Deecke L et al. Iodine-123-epidepride-SPECT: studies in Parkinson’s disease, multiple system atrophy and Huntington’s disease. J Nucl Med 1997; 38: 1711 – 7.
- 18.
Brooks D, Ibanez V, Sawle G, Playford ED, Quinn N, Mathias CJ et al. Striatal D2 receptor status in patients with Parkinson’s disease, striatonigral degeneration and progressive supranuclear palsy, measured with11C-raclopride and position emission tomography. Ann Neurol 1992; 31: 184 – 92.
- 19.
Schwartz J, Tatsch K, Arnold G, Gasser T, Trenkwalder C, Kirsch CM et al.123I-iodobenzamide-SPECT predicts dopaminergic responsiveness in patients with de-novo parkinsonism. Neurology 1992; 42: 556 – 61.