Les mer om ...

    ()

    sporsmal_grey_rgb
    Artikkel
    HIV-infeksjon

    HIV-infeksjon

    Det er i år 20 år siden AIDS ble beskrevet første gang. Verdens AIDS-dag 1. desember markeres med omtale av status for antiretroviral behandling ved HIV-infeksjon og behandling av tuberkulose hos HIV-infiserte. Tanzania er blant landene som er hardest rammet av HIV-epidemien.

    Antiretroviral behandling av HIV-infeksjon anno 2001

    Antiviral behandling av kronisk HIV-infeksjon hos voksne

    HIV-1-resistens mot antiretrovirale midler

    Tuberkulose hos HIV-smittede i Norge

    Hardt rammet av helseproblemer

    Akutt endoskopi

    Akutt endoskopi

    Av 162 pasienter med gastrointestinal blødning eller fastsittende fremmedlegeme som var henvist til og vurdert til å trenge akutt endoskopi, ankom nær halvparten sykehuset utenom ordinær arbeidstid. Dette understreker behovet for døgnkontinuerlig beredskap for endoskopi.

    Hvilke vaktordninger sikrer god behandling av gastrointestinale blødninger?

    Evaluering av behovet for døgnkontinuerlig endoskopitilbud

    Tortur

    Tortur

    Tortur er etisk forkastelig, og leger skal ikke medvirke til tortur. Norske leger, særlig de som har ansvar for asylsøkere, må ha kunnskap om medisinske og psykologiske følger av tortur.

    Kunnskap om følger av tortur

    Torturoverlevere i Norge – lægernes ansvar

    Luftambulansene

    Luftambulansene

    Ansvaret for luftambulansetjenesten blir fra 1.1. 2002 overført til de regionale helseforetakene. Leger tilknyttet denne tjenesten mener at en slik oppsplitting kan forringe kvaliteten og føre til dårligere sikkerhet.

    Statens luftambulanse inn for regional landing

    EEG og epilepsi

    EEG og epilepsi

    EEG spiller en viktig rolle i epilepsidiagnostikk. I en retrospektiv studie fra Stavanger og Trondheim med 189 pasienter uten epileptiform aktivitet ved standard-EEG hadde EEG etter søvndeprivasjon en sensitivitet på 35 %, en spesifisitet på 98 % og en positiv prediktiv verdi på 92 %.

    EEG etter søvndeprivering hos pasienter med epilepsisuspekte anfall

    Tvang og vold

    Tvang og vold

    Bruken av tvangsbehandling ved psykiske lidelser varierer, og omfanget av tvangsbehandling bør reduseres. Pasienter med langvarig psykisk lidelse er fortsatt alvorlig syke etter mange års behandling i psykiatrien. Ved vurdering av risiko for voldelig atferd kan bruk av sjekklister være nyttig. Ved behandling av somatisk sykdom kan tvang bare benyttes når pasienten ikke er i stand til å avgi samtykke.

    Hva skal til for å redusere antall tvangsinnleggelser?

    Kan ulik pasientsammensetning forklare forskjeller i tvangsinnleggelser?

    Rehabilitering av psykiatriske langtidspasienter

    Risikovurdering for voldelig atferd – bruk av sjekklister

    Somatisk tvangsbehandling

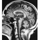
    Diagnostikk ved atypisk parkinsonisme

    Diagnostikk ved atypisk parkinsonisme

    Avanserte diagnostiske metoder som SPECT (single photon emission computed tomography) og MR kan være nyttige i diagnostikken ved atypisk parkinsonisme.

    Diagnostisk nytte av SPECT- og MR-undersøkelse ved atypisk parkinsonisme

    Kommentarer  ( 0 )

    Anbefalte artikler