Anemi er en vanlig tilstand, og medisinsk utredning og behandling byr som regel ikke på spesielle problemer. Av og til blir den imidlertid både langvarig og omfattende og kan avdekke svært sjeldne sykdommer. Vi ønker å presentere en slik sykehistorie.
Pasienten. En 64 år gammel mann ble henvist til medisinsk poliklinikk pga. anemi. Han angav generelt dårlig form, nedsatt matlyst og et ufrivillig vekttap på 5 – 6 kg i løpet av et par år. Han hadde ingen organspesifikke symptomer.
Pasienten hadde fått påvist seronegativ revmatoid artritt 13 år tidligere. Han ble behandlet med klorokin (Ercoquin) i to år og hadde etter dette ingen tegn til aktiv revmatisk sykdom. Gjennom flere år var han plaget med ”likfingrer”. Utredning med blant annet angiografi konkluderte med mulig okklusjon av interdigitale arterier, uten kirurgisk behandlingstilbud.
Ti år senere (høsten 1997) begynte pasienten å føle seg slapp og tiltaksløs, og det ble påvist anemi med Hb 8,6 g/100 ml. Pasientens primærlege utredet anemien videre og fant at pasienten hadde en latent hypotyreose med TSH på 6,0 mIU/l (normalområde 0,2 – 4,0 mIU/l) og fritt tyroksin på 10 pmol/l (normalområde 9 – 26 pmol/l). Det ble startet behandling med Thyroxin-Na (0,2 mg daglig), men pasienten forble anemisk. Primærlegen rekvirerte ultralydundersøkelse av nyrer og thyreoidea, som begge var normale. S-erytropoietin tatt etter ett år viste 5,7 IE/l (normalområde 2,8 – 30 IE/l).
I desember 1999 var han innlagt i tre døgn i nevrologisk avdeling til observasjon og ble utskrevet med diagnosen transitorisk global amnesi av usikker betydning. CT caput, EEG, spinalvæskeundersøkelse og ultralyd av halskar var normale. Pasienten hadde Hb 9,6 g/100 ml og ble derfor henvist til medisinsk poliklinikk for videre utredning.
Generell anemiutredning . Ved den første konsultasjonen ved medisinsk poliklinikk ble det ved klinisk undersøkelse funnet en meget slank mann i noe redusert allmenntilstand. Blodtrykket var 110/60 mm Hg, pulsen 60 regelmessig, og det var normal organstatus. Hemofec var negativ.
Hb var 10,0 g/100 ml, LPK 7,4? 10⁹/l, trombocytter 287? 10⁹/l, retikulocytter 0,9 %, MCV 90,3 fl, MCH 30,1 pg, jern 13 µ mol/l, ferritin 270 µg/l, TIBC 35 µ mol/l, vitamin B12 378 pmol/l, folinsyre 11 nmol/l, SR 27 mm/t, CRP< 5 mg/l, Na 140 mmol/l, K 4,2 mmol/l, Ca 2,26 mmol/l, albumin 38,6 g/l, kreatinin 88 µ mol/l, bilirubin 6 µ mol/l, normale leverprøver, LD 357 U/l, IgG 13,4 g/l, IgA 2,49 g/l, IgM 0,53 g/l, normal s-elektroforese, ANA negativ, lateks 23 (svakt positiv), urinstiks normal, PSA 0,5, CEA 0,7, TSH 0,16 mIU/l, fritt tyroksin 20 pmol/l og normalt blodutstryk fra perifert blod. Beinmargsutstryket var normalt. Ultralyd abdomen og røntgen thorax viste normale forhold.
Pasienten hadde altså en normokrom, normocytær anemi uten holdepunkter for jern-, vitamin B12- eller folsyremangel. Tilstanden ble oppfattet som en sekundær anemi. Da hans hypotyreose var velregulert, ble det ansett som usannsynlig at denne skulle være årsaken til anemien. Pasienten hadde ingen kliniske symptomer eller laboratoriemessige funn som pekte i retning av nyre-, lever-, mage-, tarm- eller systemsykdom. Det ble derfor startet utredning med tanke på malign sykdom. På grunn av nedsatt matlyst og vekttap begynte man med utredning av gastrointestinaltractus. Bortsett fra fundusgastritt var det normale funn ved gastro- og koloskopi. CT abdomen/bekken viste normale forhold. Pasienten var tidligere mangeårig storrøyker, og det ble derfor utført CT thorax, som var normal.
Under utredningen gikk pasienten ytterligere ned i vekt. Frem til midten av juli 2000 hadde han hatt et samlet vekttap på ca. 13 kg, hvorav 7 kg de siste fem månedene. Det ble vurdert om pasienten var deprimert eller hadde annen psykisk lidelse som kunne forklare hans anoreksi, men han hadde ikke symptomer på dette. Mistanken om at pasienten hadde en malign lidelse ble forsterket, og han ble innlagt i hematologisk seksjon for videre utredning.
Da han ble innlagt, var han mager, nærmest kakektisk. Høyden var 173,5 cm og vekten 52 kg (BMI 18,5 kg/m², normalt 20 – 25 kg/m²). Allmenntilstanden var nedsatt, og han var sen i bevegelsene og i kognitiv funksjon. Han var blekere enn tidligere, men ellers var organstatus uendret. Blodtrykket var 116/70 mm Hg og pulsen 48 regelmessig. Hb var 9,1 g/100 ml, MCV 88,7 fl, MCH 29,9 pg, LPK 5,3? 10⁹/l, trombocytter 221? 10⁹/l, Na 138 mmol/l, K 4,5 mmol/l, kreatinin 79 µ mol/l, normale leverprøver.
Hematologisk utredning. I perifert blodutstryk forelå det lett anisocytose og poikilocytose samt en absolutt nøytropeni og relativ lymfocytose (54 %) (fig 1). Beinmargsutstryk (fig 2a) viste nedsatt celleholdighet med lett økt antall blaster (6 %), promyelocytter (5 %) og modne lymfocytter (25 %). I tillegg var det enkelte kjerneskygger, og margen hadde et dysplastisk preg. Pasienten ble utredet videre med tanke på myeloproliferativ sykdom og myelodysplastisk syndrom. Immunfenotyping og cytogenetisk undersøkelse av perifert blod og beinmarg var normale.
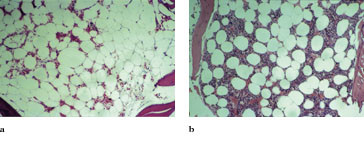
Beinmargsbiopsien viste hypocellulær og områdevis nærmest acellulær beinmarg med dominerende erytropoese uten beinmargsfremmede celler (fig 3a). Cellulariteten i beinmargen ble beregnet til 15 %. Det ble konkludert med reaktiv hypoplasi uten kjent årsak.
Endokrinologisk utredning. Serumkonsentrasjonen av kortisol var svært lav og uten døgnvariasjon (kl 8< 30 nmol/l (250 – 750 nmol/l) og kl 20< 30 nmol/l (100 – 280 nmol/l)). ACTH-konsentrasjonen i plasma var lav (tab 1), spesielt vurdert sammen med den lave kortisolverdien. Synachtentest, 250 µg intravenøst, gav kun en minimal stigning i s-kortisol til 81 nmol/l (normalt> 550 nmol/l). Dette talte for svikt i ACTH-produksjonen og sekundær svikt i kortisolproduksjonen. Fordi isolert hypofysehormonsvikt er sjeldent, ble det foretatt undersøkelser av hypofysefunksjonen generelt (tab 1). Det ble funnet normale verdier for LH, FSH, testosteron og prolaktin, men lavt veksthormon (<0,4 mIE/l) og lavt IGF-1 (1,3 nmol/l). Thyreoideafunksjonen var vanskeligere å vurdere ettersom pasienten fikk tyroksinsubstitusjonsbehandling på grunn av primær hypotyreose.
Det ble utført insulin-hypoglykemitest for å undersøke ACTH- og veksthormonsekresjonen nærmere og for å vurdere om det forelå hypotalamisk dysfunksjon. Pasienten hadde normal veksthormonrespons, men han hadde som forventet lav kortisol- og ACTH-respons (tab 2). MR viste en sella turcica som var normal i form og størrelse. Subaraknoidalrommet strakk seg i kaudal retning og omfattet store deler av sella turcica (fig 4a og b). Hypofysevev ble bare påvist i bunnen av sella. Bildet er forenlig med primær tom sella.
Tabell 1
Endokrinologisk utredning av hypofysefunksjon og ulike hormonakser hos en middelaldrende mann med påvist kortisolmangel. Resultatene viser konsentrasjoner av hormoner i fastende blodprøve tatt kl 8 om morgenen eller i døgnurin
| Hormon |
Resultat |
Referanseområde |
| S-Kortisol (nmol/l) |
< 30 |
250 – 750 (kl 0800) |
| U-Kortisol (nmol/24t) |
15 |
100 – 450 |
| ACTH¹ (ng/l) |
12 |
10 – 52 (kl 0800) |
| GH² (mIE/l) |
< 0,4 |
< 10 |
| IGF-1³ (nmol/l) |
1,3 |
9,0 – 38,0 |
| Prolaktin (mIE/l) |
174 |
< 500 |
| FSH⁴ (IE/l) |
9,7 |
< 12 |
| LH⁵ (IE/l) |
6,7 |
< 12 |
| Testosteron (nmol/l) |
21,1 |
10 – 40 |
| SHBG⁶ (nmol/l) |
71 |
10 – 40 |
| TSH⁷ (mIU/l) |
< 0,05 |
0,20 – 4,00 |
| FT4⁸ (pmol/l) |
24 |
9 – 26 |
| ||
Tabell 2
Hypoglykemitest. Effekt av insulinindusert hypoglykemi på plasma-glukose, ACTH, kortisol og veksthormon hos en middelaldrende mann med ACTH-kortisolmangel
| Tid (min) |
||||
| Variabel |
0 |
30 |
60 |
90 |
| Glukose (mmol/l) |
5,1 |
< 1,1 |
2,3 |
2,7 |
| Kortisol (nmol/l) |
33 |
< 30 |
61 |
65 |
| ACTH¹ (ng/l) |
11 |
13 |
19 |
14 |
| GH² (mIE/l) (økning til>10) |
0,5 |
1,2 |
13,8 |
14,2 |
| ||||
Behandling og klinisk forløp. Pasienten fikk diagnosen primært tom sella-syndrom med isolert ACTH-mangel. Det ble startet peroral behandling med Cortone 25 mg ⋅ 2 peroralt. I tillegg fortsatte han med Thyroxin-Na 0,2 mg ⋅ 1 som tidligere.
En måned etter utskrivning kom pasienten til poliklinisk kontroll. Han hadde merket tydelig bedring i sin fysiske yteevne. Da han viste tegn til å få for mye kortisol (rund og rødmusset i fjeset), ble Cortone redusert til 25 mg + 12,5 mg. Han begynte også med gradvis nedtrapping av tyroksin. Etter tre måneder ble det foretatt kontroll av blodprøver og beinmarg. Han hadde gått opp 6 – 7 kg i vekt og var blitt rund i kinnene. Allmenntilstanden var svært god, han drev daglig fysisk aktivitet og hadde til dels anstrengende arbeid. Plagene med kalde fingrer var helt forsvunnet. Hb hadde steget til 13,1 g/100 ml, og det forelå ingen absolutt nøytropeni eller relativ lymfocytose (fig 1). Perifert blodutstryk var normalt. Beinmargsutstryket hadde normalisert seg og viste ikke lenger venstreforskjøvet myelopoese eller dysplastiske trekk (fig 2b). Beinmargsbiopsien (fig 3b) ble vurdert å ha normal cellefordeling og normal cellularitet (45 – 50 %).
Seks måneder senere var pasientens allmenntilstand fortsatt like god, han veide 72 kg og var normalvektig (BMI 24 kg/m²). Han hadde hatt en vektøkning på 20 kg i løpet av seks måneder. Stoffskiftet var normalisert, og han har ikke hatt behov for tyroksinsubstitusjon etterpå.
Diskusjon
Denne pasienthistorien illustrerer at kortisol har en sentral betydning for normal hematopoese. Pasienten presenterte uspesifikke symptomer som slapphet og vekttap. Han hadde en normocytær anemi, og i perifert blod fant man absolutt nøytropeni og relativ lymfocytose. Hematologisk utredning med beinmargsutstryk og biopsi viste noen dysplastiske trekk, venstreforskjøvet myelopoese og flekkevis hypoplasi. Det var ingen holdepunkter for primær hematologisk sykdom ved immunfenotyping eller cytogenetisk undersøkelse. Utredning med tanke på sekundær årsak til anemien, som kreft, system-, nyre-, lever-, mage- og tarmsykdom, var negativ. Endokrinologisk utredning avslørte at pasienten hadde sekundær binyrebarksvikt. MR sella turcica viste tom sella. Etter substitusjonsbehandling med kortisol forsvant pasientens symptomer, og det perifere blodbildet, modningsforstyrrelsene og hypoplasien i beinmargen ble normalisert. Primært tom sella-syndrom med isolert svikt i ACTH-kortisolaksen er en svært sjelden tilstand, og det foreligger bare noen få kasuistikker i den medisinske litteratur (1).
Tom sella er en anatomisk og radiologisk beskrivelse av en sella turcica som i varierende grad hernieres fra subaraknoidalrommet og cerebrospinalvæsken (2). Tom sella kalles primær når man ikke finner identifiserbar årsak og sekundær når det finnes en plausibel forklaring. Primær tom sella utvikles sannsynligvis på grunn av en ikke helt lukket diaphragma sellae. Trykk fra cerebrospinalvæsken påvirker innholdet i sella og medfører sammenpressing av hypofysen, som ofte kan sees som en tynn struktur i bunnen av sella (3). Om lag to tredeler av pasientene med primær tom sella har normal hypofysefunksjon, mens resten har tegn på endokrinologisk dysfunksjon.
Det har lenge vært kjent at kortisol spiller en modulerende rolle i myelopoesen. Hard fysisk anstrengelse er ledsaget av en forsinket, lett venstreforskjøvet nøytrofil granulocytose (4), som er proporsjonal med stigningen i serum-kortisol (5). Observasjonen av en forsinket og mer umoden granulocyttpopulasjon ved fysisk anstrengelse indikerer mobilisering av celler fra beinmargen heller enn fra den marginale sirkulatoriske fraksjonen. Likeledes har oral administrasjon av prednison (40 mg) daglig i 11 dager vist 67 % økning i den totale granulocyttfraksjonen i blodet, sannsynligvis gjennom mobilisering av celler fra beinmargen (6). Vår pasient hadde absolutt nøytropeni, relativ lymfocytose i perifert blod og flekkevis hypoplasi i beinmargen. Det er også tidligere beskrevet nøytropeni i perifert blod, og videre hypoplasi (7) og aplasi (8) i beinmargen hos pasienter med pan- og hypopituitarisme. I tillegg fant vi en tydelig modningsforstyrrelse med venstreforskjøvet myelopoese i beinmargsutstryket. Vi kjenner ikke til at dette er beskrevet tidligere. Substitusjonsbehandling med kortisol normaliserte forandringene i blod og beinmarg i løpet av tre måneder. Disse observasjonene underbygger at kortisol har en sentral rolle i reguleringen av myelopoesen.
Det er kjent at hypofunksjon i endokrine organer kan være forbundet med anemi (9 – 12). Anemien er som regel normokrom og normocytær og lar seg oftest korrigere ved substitusjonsterapi med de manglende hormoner (1, 8, 13). Kortisolmangel ved Addisons sykdom er oftest forbundet med en normokrom og normocytær anemi (14), men kan også være assosiert med en moderat, makrocytær pernisiøs anemi med autoimmun genese (15).
Flere dyrestudier tyder på at hypofyseforlappen spiller en viktig rolle i regulering og stimulering av erytropoesen (9, 10, 12). Hypofyseforlappen kan ha en direkte virkning på erytropoesen, idet responsen på hypoksi hemmes etter hypofysektomi. Andre studier tyder på at hypofyseforlappen stimulerer erytropoesen indirekte, enten ved å øke syntesen og frigjøringen av erytropoietin (11) eller ved å øke den biologiske effekten av endogent erytropoietin (16). Kortisol har en stimulerende effekt på erytropoesen både hos normale rotter og hos hypofysektomerte og adrenalektomerte rotter (17, 18).
Isolert ACTH-kortisolmangel hos vår pasient var assosiert med ineffektiv erytropoese. Substitusjonsbehandling med kortisol stimulerte erytropoesen og normaliserte hemoglobinnivået i løpet av tre måneders behandling. Dette viser at kortisol også spiller en sentral rolle i reguleringen av erytropoesen hos mennesker. Isolert ACTH-kortisolmangel ved tom sella-syndrom har hos noen vært assosiert med primær hypotyreose (19). Det er ikke funnet noen sikker patofysiologisk sammenheng mellom disse tilstandene, men fordi det hos noen av pasientene er funnet thyreoideaantistoffer, har man mistenkt at det forelå en autoimmun polyglandulær svikt (20). Adekvat substitusjon med glukokortikoider normaliserte hypofyse-thyreoidea-aksen hos et flertall av pasientene (19). Dette kan tyde på at kronisk adrenalinsuffisiens kan hemme thyreoideakjertelens hormonsyntese. Etter kortisolsubstitusjon normaliserte stoffskiftet til vår pasient seg, og han bruker ikke lenger tyroksin. Sannsynligvis var det den sekundære kortisolmangelen som forårsaket hypotyreose hos ham.
Denne sykehistorien viser at svikt i ACTH-produksjon og sekundær binyrebarksvikt forårsaket av primært tom sella-syndrom kan være en svært sjelden årsak til vekttap, normocytær anemi, nøytropeni og beinmargsforandringer. Normalisering av hematopoese og thyreoideafunksjon etter substitusjonsbehandling med kortisol illustrerer at dette hormonet spiller en viktig rolle i reguleringen av hematopoesen og thyreoideafunksjonen.
- 1.
Ihara T, Tsujikawa T, Hodohara K, Inoue H, Fujiyama Y, Bamba T et al. Severe anemia in a patient with isolated adrenocorticotropin deficiency. Intern Med 1996; 35: 898 – 901.
- 2.
Berke JP, Buxon LF, Kokmen E. The empty sella. Neurology 1975; 25: 1137 – 43.
- 3.
Randall RV, Scheithauer BW, Abboud CF. Anterior pituitary in clinical medicine. I: Spitell JA jr., red. Textbook of medicine. Philadelphia: Harper Row, 1983: 1 – 97.
- 4.
Hansen JB, Wilsgård L, Østerud B. Biphasic changes in leukocytes induced by strenous exercise. Eur J Appl Physiol 1991; 62: 157 – 61.
- 5.
Moorthy AV, Zimmerman SW. Human leukocyte responses to an endurance run. Eur J Appl Physiol 1978; 38: 271 – 6.
- 6.
Athens IW, Raab SO, Haab OP, Mauer AM, Aschenbrucker H, Cartwright GE et al. Leukokinetic studies III. The distribution of granulocytes in the blood of normal subjects. J Clin Invest 1961; 40: 159 – 64.
- 7.
Kanade A, Ruiz AE, Tornyos K, Wakabayashi I, Kastin AJ. Panhypopituitarism and anemia secondary to traumatic fracture of the sella turcica. J Endocrinol Invest 1978; 3: 263 – 8.
- 8.
Ferrari E. Ascari E, Bossolo PA, Barosi G. Sheehans syndrome with complete bone marrow aplasia: long-term results of substitution therapy with hormones. Br J Haematol 1976; 33: 575 – 82.
- 9.
Van Dyke DC, Contopoulos AN, Williams BS, Simpson ME, Lawrence JH, Evans HM. Hormonal factors influencing erythropoiesis. Acta Haematol 1954; 11: 203 – 22.
- 10.
Meyer OO, Thewlis EW, Rusch HP. The hypophysis and hematopoiesis. Endocrinology 1940; 27: 932 – 44.
- 11.
Meinke HA, Crafts RC. Further observations on the mechanism by wich androgens and growth hormone influence erythropoiesis. Ann N Y Acad Sci 1968; 149: 298 – 307.
- 12.
Craft RC. The effect of endocrines on the formed elements of the blood. Endocrinology 1941; 29: 596 – 605.
- 13.
Ishikawa K, Sohmiya M, Furuya H, Kato Y. A case of Sheehan’s syndrome associated with severe anemia and empty sella proved 48 years after post partum hemorrhage. Endocr J 1995; 42: 803 – 9.
- 14.
Baez-Villasenor J, Rath CE, Finch CA. The blood picture in Addisons disease. Blood 1948; 3: 769 – 73.
- 15.
Lee GR, Foerster J, Lukens J, Paraskevas F, Greer JP, Rodgers GM. Pernicious anemia and other causes of vitamin B12 deficiency. Wintrobes Clinical Hematology. 10. utg. Baltimore, MD: Williams and Wilkins, 1999: 941 – 64.
- 16.
Naets JP, Wittek M. Mechanism of action of androgens on erythropoiesis. Am J Phys 1966; 210: 315 – 20.
- 17.
Peschle C, Sasso GF, Mastroberardino G, Condorelli M. The mechanism of endocrine influences on erythropoiesis. J Lab Clin Med 1971; 78: 20 – 9.
- 18.
Bagby GC jr., Goodnight SH, Mooney WM, Richert-Boe K. Prednisone responsive aplastic anemia: a mechanism of glucocorticoid action. Blood 1979; 54: 322 – 33.
- 19.
Murakami T, Wada S, Katayam Y, Nemoto Y, Kugai N, Nagata N. Thyroid dysfunction in isolated adrenocorticotropic hormon (ACTH) deficiency: case report and literature review. Endocr J 1993; 40: 473 – 9.
- 20.
Hashimoto K, Takahara J, Takaya Y, Yunoki S, Ofugi T. Isolated ACTH and B-LPH deficiency in patient having anaphylactoid shock after 1 – 18 ACTH. J Clin Endocrinol Metab 1980; 51: 1175 – 9.