Demens har høy prevalens hos gamle, og insidensen i Norge er ca. 9 000/år (1). Demens er et syndrom, og diagnosen stilles på grunnlag av en sykehistorie av mer enn seks måneders varighet samt en vurdering av pasientens atferd og vedkommendes kognitive, sosiale og praktiske evner (2). Tilstanden er kronisk, oftest progredierende, og har en rekke årsaker, og ved mistanke om demens er det nødvendig å utelukke potensielt reversible sykdommer. Dette dreier seg om både intrakraniale tilstander, som f.eks. tumor, normaltrykkshydrocephalus og subduralt hematom, og tilstander som depresjon og myksødem. For å kunne iverksette adekvat behandling er det avgjørende å stille en etiologisk diagnose (1).
Alzheimers sykdom og vaskulær demens er de to hyppigst forekommende demenstypene hos eldre over 75 år, og disse kan også forekomme samtidig (3). Det foreligger veldokumentert effekt av medikamentell behandling av symptomgivende Alzheimers sykdom. Mange vil også foreskrive behandling med det formål å stanse progredieringen av vaskulær demens, selv om dokumentasjonen her er usikker. Det er viktig for både pasient og pårørende å få klarlagt diagnosen, ikke minst med tanke på å vurdere omsorgsbehovet og de medisinsk-juridiske sidene ved disse sykdommene (2).
Bildediagnostiske metoder står sentralt i diagnostikken. Det bør bare benyttes metoder som, i tillegg til å være reliable og valide, er lite ressurskrevende og lite problemskapende.
-
Bildediagnostikkens formål ved demensutredning er å
-
– påvise fokale patologiske forhold som infarkt, blødning, tumor, normaltrykkshydrocephalus
-
– gradere sentralt eller generelt kortikalt substanssvinn
-
– lokalisere og gradere fokalt substanssvinn
-
– påvise forandringer i hvit substans
Vi gir her en oversikt over bildeediagnostiske metoder som i dag benyttes som hjelpemidler ved demensutredning, og vektlegger metoder som er allment tilgjengelige. Artikkelen er basert på klinisk erfaring fra utredning av pasienter henvist med mistanke om demens til hukommelsesklinikken ved Ullevål universitetssykehus de siste 12 årene og på relevant medisinsk forskningslitteratur fremskaffet ved søk på Medline.
Computertomografi av hjernen
CT-maskiner finnes ved de fleste norske sykehus. Undersøkelsen er lite ressurskrevende, og det er få problemer knyttet til den. Ved mistanke om demens brukes denne metoden både for å utelukke fokal hjerneorganisk patologi med tanke på de sjeldnere, potensielt reversible årsakene til demens (tumor, subduralt hematom og normaltrykkshydrocephalus) (1) og for å påvise tegn til cerebrovaskulær sykdom. Radiologer beskriver i stor utstrekning disse bildene basert på erfaring, altså uten distinkt vektlegging av funn i forhold til diagnostiske kriterier for demens (4).
Alzheimers sykdom
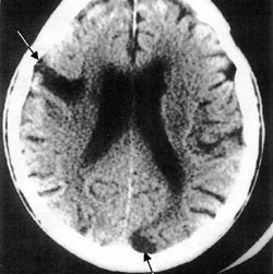
Ved klinisk mistanke om Alzheimers sykdom vektlegges bildemessige tegn på substanssvinn kortikalt, subkortikalt, temporalt og sentralt. Det er flere usikkerhetsmomenter knyttet til vurderingen av substanssvinn på CT (4). For det første fører normal aldring til tap av hjernevev. En viss hjerneatrofi er således fysiologisk i høy alder. Videre er reliabiliteten for grad av substanssvinn ved cerebral CT variabel (5, 6), og gode interobservatørstudier av reliabilitet hvor eldre er inkludert etterlyses. Ved vurderingen av eventuelt substanssvinn ved cerebral CT vil det ofte være usikkerhet om hva som er normalt for alderen. Spesielt i tidlige stadier av Alzheimers sykdom er det tvilsomt om cerebral CT har tilstrekkelig sensitivitet til å være et brukbart diagnostisk hjelpemiddel i vurderingen av temporallappsatrofi, og andelen med falskt positivt funn kan være høy på grunn av vansker med å skille patologiske forhold fra normale aldersforandringer (4) (fig 1). Ved mistanke om Alzheimers sykdom er dette spesielt relevant, da det her foreligger patologisk substanssvinn i hippocampus og perihippokampale deler av hjernebarken tidlig i sykdomsprosessen (7).
I flere studier har man evaluert nytten av CT-baserte målinger av tykkelsen av hjernens mediale temporallapp, som et uttrykk for størrelsen på hippocampus, ved mistanke om Alzheimers sykdom (8 – 11). Én enkelt studie (8) har vist sterk korrelasjon mellom slike mål og patologisk-anatomiske forandringer forenlig med Alzheimers sykdom post mortem, og forfatterne konkluderer med at slike målinger har høy senitivitet i å diagnostisere Alzheimers sykdom i tidlig stadium. Pasientene i denne studien var imidlertid alvorlig demente da målingene ble foretatt, og materialet var ikke representativt for den kliniske situasjonen hvor allmennpraktikeren eller spesialisten møter eldre med spørsmål om demens. Metodens diagnostiske presisjon for å påvise tidlig stadium av Alzheimers sykdom er omdiskutert (12).
Klinisk erfaring fra hukommelsesklinikken ved Ullevål universitetssykehus tyder på at det kan være hensiktsmessig med en beskrivelse av utbredelse, lokalisasjon og kvantifisering av substanssvinn når henvisningsgrunnen til cerebral CT er klinisk mistanke om Alzheimers sykdom, og spesielt hvis det foreligger cerebrovaskulær tilleggspatologi som kan ha betydning for behandling og prognose. Gjentatte CT-undersøkelser med lengre tidsintervall (>12 md.) kan være nyttig for å vurdere utvikling og progrediering av substanssvinn og iskemiske forandringer, spesielt ved subjektive demenssymptomer uten objektive funn, og burde kunne brukes som supplement i demensdiagnostikken. Her mangler imidlertid fortsatt forskningsdokumentasjon.
Vaskulær demens
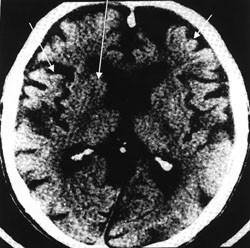
For å stille diagnosen vaskulær demens stilles det krav om påvisning av cerebrovaskulær sykdom på CT eller MR (1) (fig 2). Ved klinisk mistanke om vaskulær demens vektlegges bildemessige tegn til gjennomgått hjerneinfarkt og periventrikulære forandringer i hvit substans, og i henhold til ICD-10-kriteriene for vaskulær demens (2) skal det kunne påvises en tidsmessig sammenheng mellom et hjerneslag og utvikling av demenssymptomer. Patologiske funn av iskemiske forandringer på CT-caput kan gi indikasjon på cerebrovaskulær skade både i akuttfasen (13) og senere, men sensitiviteten for påvisning av fokale iskemiske forandringer er langt fra 100 %. En nyere klinisk-patologisk studie konkluderte med at cerebral CT bør brukes rutinemessig for å identifisere cerebrovaskulær sykdom som årsak til demens (14). Men fravær av nevroradiologisk patologi på cerebral CT er ikke ensbetydende med at cerebrovaskulære faktorer som årsak til demens kan utelukkes (15).
Et viktig spørsmål er hvilken betydning man skal tillegge periventrikulær iskemi (leukoaraiosis) beskrevet ved CT-undersøkelser. Slike forandringer sees hos 70 – 80 % av alle som lider av vaskulær demens og hos like mange med Alzheimers sykdom. Hos eldre uten kognitiv svikt er prevalensen om lag 25 %, og funnet har liten differensialdiagnostisk verdi (16).
Konsensusrapporter
Både europeiske og amerikanske nevrologer anbefaler cerebral CT uten kontrast som rutineundersøkelse ved utredning av eldre ved mistanke om demens. Det argumenteres med at metoden er tilstrekkelig presis til å utelukke potensielt reversible årsaker til demens og for å påvise fokal vaskulær patologi (17, 18).
Magnetisk resonanstomografi
MR-teknikken er unik for å fremstille hjernens strukturer tredimensjonalt, og representerer ingen strålebelastning for pasienten. Ulempene er høyere kostnader og større krav til pasientens samarbeidsevne enn ved CT. Ifølge begge konsensusrapportene (17, 18) anbefales cerebral MR i rutinediagnostikken av demens hvis tilgjengelig. Dette er ikke tilfellet overalt i Norge, og vi anbefaler at yngre pasienter med spørsmål om demens prioriteres til MR. MR tillater også en vurdering av corpus callosum-atrofi som ikke kan bedømmes ved CT (19).
I den europeiske konsensusrappoerten (17) påpekes det at MR kan bidra til å kvantifisere vaskulær patologi, blant annet med tanke på å diagnostisere pasienter med en kombinasjon av Alzheimers sykdom og vaskulær demens, og at MR er bedre enn CT når det gjelder fremstillingen av subkortikale strukturer ved spørsmål om vaskulære skader som kan innvirke på forløpet av Alzheimers sykdom. Dette diskuteres i en nylig utkommet doktoravhandling (20) om nytten av MR ved forandringer i hjernens hvite substans ved demens. Hovedkonklusjonene er at bildediagnostiske teknikker ikke er valide indikatorer på alvorlighetsgrad av slike forandringer, og at deres årsak fortsatt er uavklart for differensialdiagnostisk formål i demensutredning.
Volumetri
Cerebral MR er bedre egnet enn cerebral CT for å fremstille hjernens mediale temporallapper og kan f.eks. benyttes for volummåling av hippocampusområdet ved mistanke om Alzheimers sykdom. Validiteten av volumetri på denne indikasjonen er imidlertid omdiskutert, og metoden anbefales foreløpig ikke i rutinediagnostikken. I en oversiktsartikkel (19) refereres det imidlertid til at det i tidlig stadium av Alzheimers sykdom er høy korrelasjon mellom kognitiv funksjon og volumetrisk bedømmelse av hippocampusområdet. Studiene som refereres har til dels få pasienter, og det kan også settes spørsmålstegn ved deres representativitet. For optimal reliabilitet krever metoden et dedikert teknisk personale (Scheltens, personlig meddelelse 2000), og i den amerikanske konsensusrapporten poengteres det at metoden er arbeidskrevende og lite tilgjengelig (18).
Perfusjonsscintigrafi av hjernen
For måling av regional cerebral blodstrøm benyttes ulike perfusjonsscintigrafiske teknikker. Fordelen med perfusjonsscintigrafi av hjernen (single photon emission computer tomography, SPECT) er at den fremstiller den cerebrale mikroperfusjonen som uttrykk for hjernens funksjon og metabolisme. Cerebral SPECT-undersøkelse benyttes ofte som hjelpemiddel for å lokalisere cerebral patologi (21). Ressursbruken og problemene knyttet til en cerebral SPECT-undersøkelse er små og svarer om lag til en cerebral CT-undersøkelse.
Ved mistanke om demens baseres vurderingen av SPECT-bildene på en semikvantitativ vurdering av blodstrømmen i storhjernen i forhold til i lillehjernen, som antas å være lite affisert ved Alzheimers sykdom. Enkelte nukleærmedisinske avdelinger bruker databaserte kvantifiseringsteknikker og sammenlikner med et internasjonalt normalmateriale. Ved mistanke om fokal patologi, f.eks. lokaliserte hjerneinfarkter, kan cerebral SPECT-undersøkelse være et hjelpemiddel til å påvise avgrensede områder med hypometabolisme, men det er usikkerhet knyttet til metodens reliabilitet og sensitivitet (22). Diffuse, konfluerende områder med hypometabolisme kan like gjerne være tegn på generelt substanssvinn som fokal sirkulasjonssvikt.
Ved Alzheimers sykdom ansees redusert perfusjon avgrenset til hjernens temporo-parietale regioner for å være en markør for Alzheimers sykdom og kan være uttrykk for substanssvinn i disse områdene (fig 3). I en nylig publisert studie, hvor man korrelerte cerebrale SPECT-forandringer hos pasienter med Alzheimers sykdom med senere autopsifunn, konkluderes det med at SPECT-undersøkelse er et nyttig hjelpemiddel ved klinisk mistanke om Alzheimers sykdom (23). Imidlertid setter andre forfattere spørsmålstegn ved SPECT-metodens presisjon og gyldighet i diagnostikken ved denne problemstillingen (24). Gjentatte undersøkelser over tid ved usikre kliniske symptomer kan gi diagnostisk tilleggsinformasjon, men også her mangler forskningsdokumentasjon. Metoden anbefales imidlertid brukt på spesialistnivå som et supplement til cerebral CT eller MR ved mistanke om patologiske forhold frontalt (25). SPECT-metoden ser ut til å være spesielt velegnet for å påvise patologi i frontallappene i tidlig fase (26) (fig 4). Hypometabolisme begrenset til subkortikale strukturer, som man kan se ved subkortikal demens, kan imidlertid være vanskelig å påvise ved denne metoden. Ifølge den amerikanske konsensusrapporten (18) gir ikke SPECT-undersøkelser tilleggsinformasjon av betydning i forhold til dagens kliniske diagnostiske kriterier for demens, og metoden anbefales derfor ikke brukt rutinemessig.
Funksjonell MR
Ifølge Scheltens og medarbeidere (19) er funksjonell MR (fMR) den mest lovende metoden når det gjelder demensdiagnostikk. Strukturelle og funksjonelle forhold påvises samtidig og antas å kunne å gi informasjon som bidrar til mer spesifikk diagnostikk og dermed bedre behandling (27). Imidlertid er funksjonell MR foreløpig kun brukt i forskningsøyemed ved demensutredning, og forventes ikke å bli rutine i Norge i overskuelig fremtid.
Diskusjon
En demensutredning er tidkrevende – enten den gjøres i en travel allmennpraksis eller i spesialisthelsetjenesten. Utredningen må tilpasses den pasientpopulasjonen man møter. Økende behov for utredning nødvendiggjør kunnskaper om de ulike metodenes verdi i demensdiagnostikken. Ved utredning av personer der det er mistanke om demens, er bildediagnostikk et nødvendig differensialdiagnostisk hjelpemiddel og viktig for en helhetlig vurdering. Det er imidlertid ønskelig at det blir etablert konsensus for vurdering av slike metoder. Gifford og medarbeidere etterlyser i en oversiktsartikkel gode studier for å evaluere nytten av bildediagnostiske metoder ved demensutredning. De konkluderer at risikoen for å overse potensielt reversible årsaker til demens er stor ved en selektiv henvisningspraksis og argumenterer for etablering av universale retningslinjer (5).
I lys av vår kliniske erfaring ved årsskiftet 2001/02, etter å ha utredet ca. 2 300 personer henvist med spørsmål om kognitiv svikt eller demens, foreslår vi at følgende bildediagnostiske metoder tas i bruk ved demensutredning:
-
– CT uten kontrast bør gjennomføres hos alle pasienter der det er mistanke om kognitiv svikt eller demens
-
– MR anbefales brukt hos yngre pasienter og i tidlig sykdomsfase
-
– SPECT-undersøkelse foreslås ikke brukt rutinemessig, men kan være et nyttig hjelpemiddel, særlig ved klinisk mistanke om frontal patologi
Disse anbefalingene er i samsvarer med nylig publiserte internasjonale konsensusdokumenter (17, 18). Vi oppfordrer til etablering av en nasjonal standard for bildediagnostisk utredning av eldre der man mistenker kognitiv svikt og demens. En slik standard bør utvikles i samarbeid mellom klinikere, nevroradiologer og nukleærmedisinere, ikke minst med tanke på studier av ulike bildediagnostiske metoders reliabilitet og validitet.
Vi takker professor Lars-Olof Wahlund, Neurotec, Geriatriska kliniken, Karolinska Institutet, Huddinge sjukhus, Sverige, for gjennomlesing av manuskriptet.
- 1.
Engedal K. Diagnostikk og behandling av demens Tidsskr Nor Lægeforen 2002; 122: 520 – 4.
- 2.
The ICD-10 Classification of Mental and Behavioural disorders. Clinical descriptions and diagnostic guidelines. Genève: WHO, 1992.
- 3.
Ott A, Breteler MMB, van Harskamp F, Claus JJ, van der Cammen TJM, Grobbee DR et al. Prevalence of Alzheimer’s disease and vascular dementia: association with education. The Rotterdam Study. BMJ 1995; 310: 970.
- 4.
Korsbrekke K. Om radiologi og radiologisk metode – samarbeid kliniker og radiolog Tidsskr Nor Lægeforen 2000; 120: 1907 – 8.
- 5.
Gifford DR, Holloway RG, Vickery BG. Systematic review of clinical prediction rules for neuroimaging in evaluation of dementia. Arch Intern Med 2000; 18: 2855 – 62.
- 6.
Larøi F, Fannemel M, Rønneberg U, Flekkøy K, Opjordsmoen S, Dullerud R et al. Unawareness of illness in chronic schizophrenia and its relationship to structural brain measures and neuropsychlogical tests. Psychiatr Res Neuroimaging 2000; 100: 49 – 58.
- 7.
Braak H, Braak E. Evolution of the neuropathology of Alzheimer’s disease. Acta Neurol Scand 1996; 165 (suppl 1): 3 – 12.
- 8.
Jobst KA, Smith AD, Barker CS, Wear A, King EM, Smith A et al. Association of atrophy of the medial temporal lobe with reduced blood flow in the posterior parietotemporal cortex in patients with a clinical and pathological diagnosis of Alzheimer’s disease. J Neurol Neurosurg Psychiatry 1992; 55: 190 – 4.
- 9.
Pasquier F, Bail L, Lebert F, Pruvo JP, Petit H. Determination of medial temporal lobe atrophy in early Alzheimer’s disease with computed tomography. Lancet 1994; 43: 861 – 2.
- 10.
Denihan A, Wilson G, Cunningham C, Coakley D, Lawlor BA. CT measurement of medial temporal lobe atrophy in Alzheimer’s disease, vascular dementia, depression and paraphrenia. Int J Ger Psychiar 2000; 15: 306 – 12.
- 11.
O’Brian JT, Metcalfe S, Swann A, Hobson J, Jobst KA, Ballard C et al. Medial temporal lobe width on CT scanning in Alzheimer’s disease: comparison with vascular dementia, depression and dementia with Lewy bodies. Dement Geriatr Cogn Disord 2000; 11: 114 – 8.
- 12.
Philpot M, Burns A. Jobst et al’s Detection in life of confirmed Alzheimer’s disease using a simple measurement of medial temporal lobe atrophy by computed tomography. Br J Psychiatr 1993; 163: 809 – 12.
- 13.
Hordnes J, Thomassen L, Waje-Andereassen U, Smievoll AI. Tidlige CT-forandringer ved akutte hjerneinfarkter Tidsskr Nor Lægeforen 2001; 121: 2147 – 9.
- 14.
Massoud F, Devi G, Moroney J, Stern Y, Lawton A, Bell K et al. The role of routine laboratory studies and neuroimaging in the diagnosis of dementia: a clinicopathological study. J Am Geriatr Soc 2000; 48: 1204 – 10.
- 15.
O’Brien J. Neuroimaging in vascular dementia. I: Chiu E, Gustafson L, Ames D, Folstein MF, red. Cerebrovascular disease and dementia. London: Martin Dunitz, 2000: 145 – 63.
- 16.
Keye J, Cummings J. Diagnostic challenges in dementia. Neurology 1998; 51 (suppl 1): 45 – 52.
- 17.
Waldemar G, Dubois B, Emre M, Scheltens P, Tariska P, Rossor M: Diagnosis and management of Alzheimer’s disease and other disorders associated with dementia. The role of neurologists in Europe. Euro J Neurol 2000; 7: 133 – 44.
- 18.
Knopman DS, DeKosky ST, Cummings JL, Chui H, Corey-Bloom J, Relkin N et al. Practice parameter: diagnosis of dementia (an evidence-based review). Report of the quality standards subcommittee of the American Acadamy of Neurology. Neurology 2001; 56: 1143 – 53.
- 19.
Scheltens P, Korf ES. Contribution of neuroimaging in the diagnosis of Alzheimer’s disease and other dementias. Curr Opin Neurol 2000; 13: 391 – 6.
- 20.
Bronge L. Magnetic resonance imaging in dementia; a study of brain white matter changes. Doktoravhandling. Stockholm: Karolinska Institutet, Department of diagnostic radiology, Huddinge University Hospital, 2001.
- 21.
Herholz K, Perani D, Fazekas F. A survey of neuroimaging in European neurological departements. Eur J Neurol 2001; 10: 950 – 6.
- 22.
Steinling M, Defebvre L, Duhamel A, Lecouffe P, Lavenu I, Pasquier F et al. Is here a typical pattern of brain SPECT imaging in Alzheimer’s disease? Dement Geriatr Cogn Disord 2001; 12: 371 – 8.
- 23.
Jagust W, Thisted R, Devous MD, Van Heertum R, Mayberg H, Jobst K et al. SPECT perfusion imaging in the diagnosis of Alzheimer’s disease: a clinical-pathologic study. Neurology 2001; 56: 951 – 6.
- 24.
McKelvey R, Bergmann H, Stern J. Lack of prognostic significans of SPECT abnormalities in non-demented elderly subjects with memory loss. Can J Neurol Sci 1999; 26: 23 – 8.
- 25.
Forstl H, Besthorn C, Hentschel F, Geiger-Kabisch H, Sattel H, Screiter-Gasser U. Frontal lobe degeneration and Alzheimer’s disease: a controlled study on clinical findings, volumetric brain changes and quantitative electroencephalography data. Dementia 1996, 27: 27 – 34.
- 26.
Pagani M, Salmaso D, Ramström C. Mapping pathological (99m)tc-d,l-hexamethylpropylene amine oxime uptake in Alzheimer’s disease and frontal lobe dementia with SPECT. Dement Geriatr Cogn Disord 2001; 12: 177 – 84.
- 27.
Cummings JL. Neuroimaging in the dementia assessment: is it necessary ? JAGS 2000; 48: 1345 – 6.