Background.
The aim of the present investigation was to describe non-Hodgkin’s lymphoma in the head and neck region, with or without extranodal location, diagnosed in a regional department of otolaryngology in 1993 _ 97.
Material and methods.
Patients were identified by the Cancer Registry of Norway. Clinical data were obtained from patient files. Beside visible tumour the main reason for referal was pasient complaints of symptoms from upper respiratory or oropharyngeal tract. Biopsy specimens were reevaluated with regard to degree of malignancy and related clinical staging and topographic localization of the lymphoma.
Results.
121 patients with lymphomas from Vest-Agder County (155,000 inhabitants) were identified. In 21 of these patients (17 %) the lymphoma was sited in the head and neck region; in 12 items extranodally located. Seven of the lymphomas with extranodal sites were found in pallatine tonsils and Waldeyer’s ring. Thirteen of the 21 patients presented with a visible tumour.
Interpretation.
Less than 20 % of all recently discovered non-Hodgkin’s lymphomas were located to the head and neck. Early diagnosis depends on a thorough otolaryngological examination and biopsies from suspected lesions.
Ekstranodal lokalisasjon av maligne lymfomer defineres som malign proliferasjon av lymfoide celler utenfor det lymfatiske system. Waldeyers ring omfatter hovedsakelig lymfatisk vev som omkranser oro- og nasopharynx. Området atskiller seg imidlertid både histologisk og funksjonelt fra det man finner i ordinære lymfeknuter, og det er vanlig å betegne lymfomer med denne lokalisasjon som ekstranodale.
Non-Hodgkins lymfomer med ekstranodal lokalisasjon har vært forholdsvis lite omtalt i litteraturen. Minst en tredel av non-Hodgkins lymfomer med ekstranodal lokalisasjon angis å være lokalisert til hode-hals-området (1 – 3).
Formålet med vår undersøkelse er å gi en oversikt over pasienter ved Øre-nesehals-avdelingen, Vest-Agder sykehus, som i femårsperioden 1993 – 97 fikk diagnosen non-Hodgkins lymfom lokalisert til hode-hals-området med eller uten ekstranodal lokalisasjon. Resultatene ble sammenliknet med samtlige non-Hodgkins lymfomer fra Vest-Agder fylke (155 000 innbyggere) innmeldt til Kreftregisteret i perioden (4).
Materiale og metode
Materialet består av 21 pasienter (15 menn og seks kvinner) med symptomer eller tumor lokalisert til hode-hals-regionen som primært var henvist til øre-nese-hals-undersøkelse fra lokalsykehus og primærhelsetjenesten i fylket i perioden 1993 – 97, og som fikk diagnosen non-Hodgkins lymfom med histopatologisk verifisering. Gjennomsnittsalderen var 69 år (41 – 86 år) og gjennomsnittlig symptomvarighet før diagnose var 4 måneder (1 – 14 md.).
Ann Arbor-systemet (2, 5, 6) ble anvendt for klinisk stadieinndeling (tab 1).
Tabell 1
Kliniske stadier (Ann Arbor-systemet) av maligne lymfomer
|
|
|
|
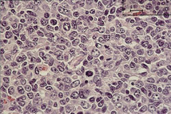
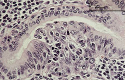
Den histopatologiske klassifisering ble utført ved Laboratorium for patologi, Vest-Agder sykehus, og malignitetsgradering ble bestemt på grunnlag av morfologi og immunhistokjemiske funn. Alle tilfeller ble klassifisert i henhold til både Kiel-klassifikasjonen og den europeisk-amerikanske lymfomklassifikasjonen Revised European American Lymphoma Classification (REAL) (7 – 9). Sammen med betegnelsene lavgradig (fig 1) og høygradig (fig 2) malignt lymfom var dette klassifisering som ble brukt i perioden for innsamlingen av vårt materiale.
Blod- og elektrolyttstatus, leverenzymer, totalprotein, albumin samt beinmargsbiopsier ble analysert hos samtlige pasienter. HIV-test ble ikke utført rutinemessig. Alle pasienter fikk utført CT-undersøkelse av abdomen og bekken, hals og nesebihuler med epipharynx.
Resultater
Antall non-Hodgkins lymfomer diagnostisert i Øre-nese-hals-avdelingen, Vest-Agder sykehus, og i Vest-Agder fylke i femårsperioden (1993 – 97), samt pasientenes kjønn, fremgår av tabell 2. Lymfomlokalisasjon ved første undersøkelse og klinisk stadieinndeling av lymfomene fremgår av tabell 3. Ekstranodal lokalisasjon av non-Hodgkins lymfomene ble funnet hos 12 pasienter, hvorav sju også hadde affeksjon av lymfeknuter. Ni pasienter hadde kun lymfeknuteforstørrelse. Histopatologisk gradering og lymfomlokalisasjon fremgår av tabell 4.
De symptomene som hyppigst ble registrert ved første spesialistundersøkelse var synlig og palpabel tumor på hals og kinn, svelgesymptomer, nesetetthet og sinusittsymptomer.
Ni pasienter døde i løpet av observasjonstiden. Gjennomsnittsalder for de 12 pasientene som var i live per 1.1. 2000, var 63 år (42 – 81 år) da diagnosen ble stilt. Tilsvarende gjennomsnittsalder for de ni som var døde, var 71 år (41 – 86 år). Sju pasienter døde av klinisk lymfomsykdom. To av disse ble obdusert, og lymfom ble bekreftet. Av de 12 pasientene som lever, har to fått påvist residiv.
Diskusjon
I femårsperioden 1993 – 97 ble det i Vest-Agder fylke meldt 121 non-Hodgkins lymfomer til Kreftregisteret (4). Hos 21 av pasientene (17 %) var lymfomet lokalisert til hode og hals (tab 2). Ekstranodal lokalisasjon av non-Hodgkins lymfom er relativt hyppig og angis å forekomme i 20 – 50 % av alle tilfeller (1, 10). Morton og medarbeidere etterundersøkte fortløpende 100 pasienter med diagnosen non-Hodgkins lymfom i hode-hals-regionen og fant ekstranodal lokalisasjon hos en tredel (11). Bare 52 av pasientene var primært henvist til øre-nese-hals-spesialist.
Tabell 2
Antall pasienter med non-Hodgkins lymfom ved Øre-nese-hals-avdelingen, Vest-Agder sykehus, og i Vest-Agder fylke, 1993 – 97
| Menn |
Kvinner |
Alle |
|
| Øre-nese-hals-av delingen |
15 |
6 |
21 |
| Vest-Agder fylke |
59 |
62 |
121 |
Symptomene i vår undersøkelse er i tråd med de som refereres i andre materialer (1, 12, 13).
I vårt materiale var det en overvekt av menn, noe som går igjen i andre publiserte undersøkelser (2, 3, 13, 14). Gjennomsnittsalderen er noe høyere enn det som refereres i liknende studier. I de fleste rapporter ligger imidlertid hovedvekten på klinisk stadium 1 og 2 (2, 3, 13 – 15), mens vi i vår undersøkelse inkluderer alle fire Ann Arbor-stadiene. Disse forhold bidrar også til den relativt høye dødelighet i vårt materiale. De fleste liknende rapporter omfatter imidlertid få pasienter, og ulike histopatologiske kriterier har vært anvendt (16).
Vi fant god overensstemmelse mellom klinisk stadieinndeling og graden av histopatologisk malignitet. Tallene er små, men i tråd med tidligere refererte funn (6, 14, 17). De fleste non-Hodgkins lymfomer lokalisert til Waldeyers ring og nesebihuler var histologisk høygradig maligne (tab 4) og viste ofte klinisk generell utbredelse (stadium 3 og 4) (tab 3). Derimot syntes lokalisering til spyttkjertler å utgjøre en gruppe med tendens til lavgradig histologisk malignitet, med mindre tendens til generell spredning.
Tabell 3
Klinisk stadieinndeling (Ann Arbor-klassifikasjon) og lokalisasjon av non-Hodgkins lymfom i øre-nese-hals-regionen
| Lokalisasjon |
Stadium 1/2 |
Stadium 3 |
Stadium 4 |
Alle |
| Tonsiller/Waldeyers ring |
||||
| (lymfeknute samtidig) |
5 (2) |
2 (2) |
– |
7 (4) |
| Nese/bihuler |
||||
| (lymfeknute samtidig) |
2 (1) |
– |
1 (0) |
3 (1) |
| Spyttkjertler |
||||
| (lymfeknute samtidig) |
2 (2) |
– |
– |
2 (2) |
| Kun lymfeknuter |
||||
| (hals + andre) |
4 |
5 |
– |
9 |
| Totalt |
13 (5) |
7 (2) |
1 (0) |
21 (7) |
Tabell 4
Histopatologisk malignitetsgrad og lymfomlokalisasjon (i parentes antall tilfeller med samtidig lymfeknuteaffeksjon)
| Malignitetsgrad |
Waldeyers ring |
Nese/bihuler |
Spyttkjertler |
Kun lymfeknuter |
| Høygradig |
6 (3) |
3 (1) |
– |
5 |
| Lavgradig |
1 (1) |
– |
2 (2) |
4 |
| Totalt |
7 (4) |
3 (1) |
2 (2) |
9 |
Prognosen ved non-Hodgkins lymfom i hode-hals-området er bedre enn for andre maligne svulster med liknende lokalisasjon, slik som plateepitelkarsinomer (18), men dårligere enn for Hodgkins lymfom (4). Det er rapportert 50 – 60 % femårsoverlevelse ved non-Hodgkins lymfom som helhet (1, 3, 10, 17). Selv om vi i vår undersøkelse ikke tok sikte på systematisk registrering av mortalitet etter diagnose, var ni av våre pasienter (42 %) døde to år etter avsluttet undersøkelse.
Nyere undersøkelser har vist overvekt av non-Hodgkins lymfom i hode-hals-regionen hos pasienter med AIDS (19, 20). Systematisk HIV-undersøkelse ble imidlertid ikke foretatt rutinemessig hos våre pasienter, men anbefales som fremtidig rutineundersøkelse.
Vi takker Avdeling for patologi ved Det Norske Radiumhospital for verdifull diagnostisk hjelp (second opinion) i mange tilfeller.
- 1.
Stenson KM, Wolf GT, Urba S. Extranodal non-Hodgkin’s lymfoma of the head and neck: presentation in the facial bones. Am J Otolaryngol 1996; 17: 276 – 80.
- 2.
Mill WB, Lee FA, Fransilla KO. Radiation therapy treatment of stage I and II extranodal non-Hodgkin’s lymphoma of the head and neck. Cancer 1980; 45: 653 – 61.
- 3.
Burton GV, Atwater S, Borowitz MJ, Huang AT. Extranodal head and neck lymphoma. Arch Otolaryngol Head Neck Surg 1990; 116: 69 – 73.
- 4.
Cancer in Norway 1997. Oslo: Kreftregisteret, 1997.
- 5.
Carbone PP, Kaplan HS, Musshoff K, Smithers DW, Tubiana M. Ann Arbor staging system: report of the Committee on Hodgkin’s disease staging classification. Cancer Res 1971; 31: 1860 – 1.
- 6.
Clark RM, Fitzpatrick PJ, Gospodarowicz MK. Extranodal malignant lymphomas of the head and neck. J Otolaryngol 1983; 12: 239 – 45.
- 7.
Lennert K, Mohri N, Stein H, Kaiserling E. The histopathology of malignant lymphoma. Br J Haematol 1975; 31: 193 – 203.
- 8.
Harris NL, Jaffe ES, Stein H, Banks PM, Chan JKC, Cleary ML et al. A revised European-American classification of lymphoid neoplasms: a proposal from the International Lymphoma Study Group. Blood 1994; 84: 1361 – 92.
- 9.
Ferry JA, Harris NL. Atlas of lymphoid hyperplasia and lymphoma. Philadelphia: Saunders, 1997.
- 10.
Freeman C, Berg JW, Cutler SJ. Occurrence and prognosis of extranodal lymphomas. Cancer 1972; 29: 252 – 60.
- 11.
Morton RP, Sillars HA, Benjamin CS. Incidence of ”unsuspected” extranodal head and neck lymphoma. Clin Otolaryngol 1992; 17: 373 – 5.
- 12.
McGurk M, Goepel JR, Hancock BW. Extranodal lymphoma of the head and neck: a review of 49 consecutive cases. Clin Radiol 1985; 36: 455 – 8.
- 13.
Shima N, Kobashi Y, Tsutsui K, Ogawa K, Maetani S, Nakashima Y et al. Extranodal non-Hodgkin’s lymphoma of the head and neck. Cancer 1990; 66: 1100 – 97.
- 14.
Jacobs C, Weiss L, Hoppe RT. The management of extranodal head and neck lymphomas. Arch Otolaryngol Head Neck Surg 1986; 112: 654 – 8.
- 15.
Economopoulos T, Fountzilas G, Kostourou A, Daniilidis J, Pavlidis N, Andreopoulou H et al. Primary extranodal non- Hodgkin’s lymphoma of the head and neck in adults: a clinicopathological comparison between tonsillar and non-tonsillar lymphomas. Anticancer Res 1998; 18: 4655 – 60.
- 16.
Hanna E, Wanamaker J, Adelstein D, Tubbs R, Lavertu P. Extranodal lymphomas of the head and neck. A 20-year experience. Arch Otolaryngol Head Neck Surg 1997; 123: 1318 – 23.
- 17.
Jacobs C, Hoppe RT. Non-Hodgkin’s lymphomas of head and neck extranodal sites. Int J Radiat Oncol Biol Phys 1985; 11: 357 – 64.
- 18.
Rowley H, McRae RD, Cook JA, Helliwell TR, Husband D, Jones AS et al. Lymphoma presenting to a head and neck clinic. Clin Otolaryngol 1995; 20: 139 – 44.
- 19.
Douglas GF. Lymphoma of the head and neck and aquired immunodeficiency syndrome: clinical investigation and immunohistological study. Laryngoscope 1995; 105: 1 – 18.
- 20.
Shapiro AL, Shechtman FG, Guida RA, Kimmelman CP. Head and neck lymphoma in patients with the acquired immune deficiency syndrome. Otolaryngol Head Neck Surg 1992; 106: 258 – 60.