Background.
In recent years, new radiographic diagnostics have increased our knowledge about dissection of the carotid and vertebral arteries as a cause of stroke, probably an underdiagnosed condition. Carotid dissection is now considered one of the most frequent aetiologies of ischaemic stroke in patients less than 50 years of age and it accounts for 20 % of all cases under the age of 30.
Material and methods.
In this paper we describe clinical course and investigations in four patients who had dissection of the precerebral arteries.
Results.
Three patients had carotid artery dissection, one vertebral artery dissection. Three patients had ischaemic symptoms. One patient had symptoms following physiotherapy to the neck.
Interpretation.
Patients with craniocervical arterial dissection should be investigated with ultrasound techniques and MRI or CT; antiplatelet agents or anticoagulation therapy should be considered.
Ved disseksjon i en precerebral arterie penetrerer blod gjennom en defekt i intima, og det hyppigste predileksjonsstedet er ca. 2 cm distalt for carotisdelingen. Blodet trenger seg inn mellom lagene i åreveggen, vanligvis mellom intima og media, og kan sprenge seg ut lenger distalt og danne et falskt blodførende lumen. Disseksjonen stopper vanligvis før arterien løper inn i skallebasis. Hematomet som dannes, kan redusere blodstrømmen i arterien og gi iskemiske symptomer. Karskaden kan også gi opphav til emboli.
Årlig insidens av carotisdisseksjon angis i to epidemiologiske studier til henholdsvis 2,6 og 2,9 per 100 000 (1, 2). Det er mulig at den reelle insidensen er høyere, fordi disseksjonen kan være så symptomfattig at pasienten ikke kontakter lege. Flere arterier er affisert i 28 % av tilfellene, og asymptomatisk disseksjon i andre precerebrale kar kan påvises tilfeldig under utredningen (3).
Patologiske tilstander i karveggen kan disponere for disseksjon. Anatomiske avvik i form av slynger og knekk av de affiserte arteriene forekommer oftere hos disse pasientene enn hos normalbefolkningen og øker risikoen for disseksjon (4). Fibromuskulær dysplasi er en vaskulopati av ukjent årsak som påvises ved ca. 15 % av carotisdisseksjonene og 30 % av vertebralisdisseksjonene (4, 5). Kardisseksjon er også vanligere ved enkelte kollagensykdommer, som Marfans syndrom, Ehlers-Danlos’ syndrom, osteogenesis imperfecta, cystisk medianekrose og a₁-antitrypsinmangel (4). Hypertensjon ansees for å være en risikofaktor, og migrene er hyppigere blant pasienter med carotisdisseksjon enn i normalbefolkningen (5).
Den hyppigste utløsende årsak er traume mot hodet eller nakken eller fysisk anstrengelse, og kan påvises hos opptil 40 % av pasientene. Det kan dreie seg om alvorlige skader ved trafikkulykker, men oftere er det minimale traumer eller fysisk aktivitet. Det er beskrevet arteriedisseksjon etter traume ved fritidsaktiviteter, kraftig oppkast, hoste, brå hodebevegelser, fysikalsk manipulasjon av nakken, langvarig bøying av nakken under telefonsamtale, rytmiske hodebevegelser til musikk (headbanging) og etter fødsel (6, 7).
Vi beskriver her fire pasienter med precerebral disseksjon.
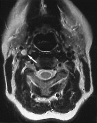
Pasient 1. Mann, 50 år. Han hadde kjent hemokromatose, men var for øvrig frisk. To dager før innleggelse fikk han gradvis økende smerter i midtre trigeminusområde på venstre side av ansiktet som strålte opp rundt venstre øye. Morgenen etter merket han at venstre øyelokk hang ned og tok kontakt med lege. Ved innleggelse var blodtrykket 170/100 mm Hg. Venstre øyelokk hang ned og tangerte pupillen, og han hadde miose og lett enophthalmus på venstre øye, forenlig med Horners syndrom. Hudsvetten var normal. Nevrologisk undersøkelse for øvrig var normal. CT av skallebasis viste ingen patologiske forhold, MR-angiografi viste en høysignalgivende veggfortykkelse og forsnevring av lumen i et kort parti over venstre a. carotis interna (fig 1). Dopplerundersøkelse viste normal blodstrøm på venstre side både i carotis communis, begynnelsen av carotis interna og carotissifongen. Man konkluderte med at det forelå en carotisdisseksjon, og han fikk acetylsalisylsyre som tromboseprofylakse.
Pasient 2. Mann, 62 år. Han var tidligere frisk og hadde ikke vært utsatt for skade av hodet eller nakken. Han fikk problemer med viljestyrte bevegelser i høyre sides ekstremiteter og merket hengende venstre øyelokk, og noe trykk over venstre øye, og ble innlagt påfølgende dag. Ved innleggelse var blodtrykket 165/110 mm Hg. Han hadde venstresidig ptose og miose, men normal øyemotilitet og sidelik ansiktssvette, forenlig med Horners syndrom. Han hadde normalt tempo og grovmotorisk kraft, men lett usikkerhet ved finger-nese-prøve på høyre side. De dype senerefleksene var symmetriske og normale. Ved gange var han lett ustø, idet han gikk noe stivt med høyre bein. Diffusjonsvektet MR av hjernen viste ferske infarkter i vannskilleområdene på venstre side, og flere mindre infarktforandringer i pons av eldre dato. MR-angiografi viste forandringer i venstre carotistopp, forenlig med carotisdisseksjon. Dopplerundersøkelse av precerebrale kar viste redusert blodstrøm i venstre a. carotis interna, og reversert blodstrøm i a. supratrochlearis og a. cerebri anterior. Samlet sett konkluderte man med at det forelå en carotisdisseksjon, selv om man ikke hadde definitivt bevis for diagnosen. Han fikk acetylsalisylsyre som tromboseprofylakse, og ved kontroll med duplekssonografi etter fem måneder var karveggen normalisert.
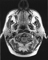
Pasient 3. Kvinne, 50 år. Hun var tidligere frisk. Broren hadde hatt dyp venetrombose i beina, og moren hadde hatt dyp venetrombose i beina og samtidig lungeemboli. Hun hadde båret byggematerialer på høyre skulder, og merket etter dette smerter på høyre side av halsen med utstråling til høyre tinning, og noe sårhet ved svelging. Etter 11 dager fikk hun akutt svakhet og styringsproblemer i venstre arm, og etter hvert ustøhet og kraftsvekkelse i venstre bein, og ble innlagt som øyeblikkelig hjelp. I løpet av tre timer fikk hun også hengende venstre munnvik og talevansker. Ved innleggelse hadde hun dysartri, venstresidig sentral facialisparese og venstresidig hemiparese med paralyse i armen, invertert venstre plantarrefleks og noe nedsatt oppmerksomhet for venstre side. CT av hjernen viste infarkt i fremre og midtre høyre mediaområde. MR-angiografi viste langstrakt okklusjon av a. carotis interna (fig 2). Duplekssonografi viste okklusjon og intimaforandringer i a. carotis interna, og økt blodstrøm i kollateralkar. På grunnlag av disse funnene konkluderte man med gjennomgått carotisdisseksjon. Man ønsket å gi både dipyramidol og acetylsalisylsyre, men man måtte seponere dipyramidol på grunn av hodepine. Ved kontroll etter sju måneder var arterien rekanalisert og blodstrømmen normalisert. Hun hadde lett hemiparese og neglekt, noe redusert korttidshukommelse og konsentrasjonsvansker.
Pasient 4. Kvinne, 60 år. Hun hadde vært sykmeldt på grunn av skuldertendinitt, og fikk hos fysioterapeut noe som etter beskrivelsen kan ha vært traksjonsbehandling. Hun merket under traksjon smerte i venstre side av nakken, «som om noe røk». Umiddelbart fikk hun rotatorisk svimmelhet, og siden kvalme og oppkast. Hun var de første dager mer eller mindre sengeliggende på grunn av dette, og merket tendens til å gå mot venstre. Hun merket ikke dobbeltsyn, svelgevansker eller kraftsvekkelse. Hun ble innlagt tre dager etter symptomstart. Ved innleggelse hadde hun horisontal nystagmus med rask fase mot venstre, ustøhet ved gange med falltendens mot venstre, for øvrig ingen sikre nevrologiske utfall. Blodprøver viste lett forhøyet blodsukkernivå og lett forhøyet homocysteinnivå. CT av hjernen var normal. MR av hjernen viste ett stort og flere små infarkter i venstre cerebellarhemisfære, og MR-angiografi viste okklusjon av venstre a. vertebralis i et lengre parti. Dopplerundersøkelse viste pendelstrøm i venstre a. vertebralis. Tilstanden ble oppfattet som en vertebralisdisseksjon med opphevet sirkulasjon i venstre a. cerebelli inferior posterior, og hun fikk heparin intravenøst og det ble igangsatt behandling med Albyl-E som tromboseprofylakse.
Diskusjon
Av de beskrevne pasientene var det tre som hadde carotisdisseksjon og en som hadde vertebralisdisseksjon. En pasient hadde familiær overhyppighet av venøs tromboembolisme, ellers fant man ingen disponerende faktorer for hjerneinfarkt. Pasientene var alle relativt unge, men noe eldre enn rapportert gjennomsnittsalder, som i litteraturen angis til 40 – 45 år (4).
Symptomer og funn
Alle pasientene hadde smerter i hodet eller på halsen, og dette er angitt å forekomme hos 80 – 90 % av pasientene (5). Ved carotisdisseksjon sitter smertene fortil på halsen, i kjevevinkelen eller rundt øyet på den affiserte siden, mens vertebralisdisseksjon gir smerter i nakken og bakhodet. To pasienter hadde Horners syndrom. Dette observeres i opptil 50 % av carotisdisseksjonene, og skyldes affeksjon av sympatiske fibrer i den skadede arterien. Kombinasjonen av Horners syndrom og hode-/nakkesmerter bør gi mistanke om carotisdisseksjon. Det er også beskrevet bilyd over halskarene og pulssynkron øresus, men dette forekommer sjeldnere (4).
Tre av pasientene hadde tegn på cerebral iskemi. To hadde hemiparese, og den ene fikk også facialisparese og neglekt og hadde betydelig sekvele etter sju måneder. Pasienten med vertebralisdisseksjon hadde symptomer fra bakre kretsløp i form av vertigo, nystagmus og falltendens. Hos pasient 1 og 3 kom iskemisymptomene sent i forløpet, og det er beskrevet at dette kan inntreffe opptil 30 dager etter disseksjonen. Pasient 2 hadde forsnevret karlumen, infarkter i vannskilleområdene til a. cerebri media og dårlig blodstrøm i denne arterien. Dette tyder på at han hadde et hemodynamisk infarkt. Pasient 3 og pasient 4 hadde total arterieokklusjon som direkte følge av disseksjonen.
To av pasientene hadde ved nærmere utspørring hatt et mindre traume mot halsen som kan settes i sammenheng med arteriedisseksjonen. En av pasientene fikk symptomer etter å ha fått behandling hos fysioterapeut. Det er beskrevet flere tilfeller av hjerneinfarkt etter kiropraktisk manipulasjon av nakken, både med og uten disseksjon (8). Litteraturen angir at hyperekstensjon og rotasjon i nakken er det mest risikofylte (9), mens vår pasient trolig hadde fått vanlig traksjonsbehandling. Så vidt vi kjenner til er det ikke beskrevet tidligere.
Utredning og behandling
Våre pasienter ble utredet med ultralydundersøkelser, MR og MR-angiografi. Tidligere var man nødt til å gjøre konvensjonell angiografi for å stille diagnosen. Angiografi påviser stenose, forsnevret lumen (string sign) eller sjeldnere dobbelt lumen. MR- og CT-angiografi viser tilsvarende funn, men kan også demonstrere tromben som et halvmåneformet høysignal. MR påviser ikke fibromuskulær dysplasi, og man kan overvurdere stenosegrad og ha vansker med å påvise helt ferske tromber. Likevel foretrekkes nå MR- og CT-teknikker fordi man oppnår samme sensitivitet og spesifisitet og unngår risikoen ved intraarteriell kontrast (3, 10). Med blind dopplerteknikk kan man vurdere blodgjennomstrømningen, og duplekssonografi viser også karets anatomi. Kombinasjonen av blind dopplerteknikk og duplekssonografi er sensitiv, og man kan derfor bruke ultralyd til å selektere pasienter til videre undersøkelser og til å følge utviklingen (7, 11). Pasientene bør derfor utredes med så vel ultralydteknikk som MR-angiografi eller CT-angiografi.
Våre pasienter fikk acetylsalisylsyre som tromboseprofylaktikum, og en pasient fikk heparin i akuttfasen. Ved arteriedisseksjon har man forsøkt antikoagulasjonsbehandling, platehemmere og kirurgisk behandling, men det er ikke gjort randomiserte kontrollerte forsøk som kan gi grunnlag for terapianbefalinger. Antikoagulasjonsbehandling kan tenkes å ha størst beskyttende effekt mot ny embolisering fra disseksjonsstedet, og det rapporteres sjelden om at dette gir komplikasjoner ved ekstrakraniale disseksjoner. Enkelte forfattere anbefaler derfor antikoagulasjonsbehandling i 3 – 6 måneder (4, 7). Ved intrakraniale disseksjoner og store infarkter med ødem ser man imidlertid økt tendens til hjerneblødning, og antikoagulasjonsbehandling bør unngås. Når det ikke er aktuelt, synes det rimelig å bruke platehemmer. Kirurgisk rekonstruksjon, fjerning av trombemasser eller stenting i a. carotis interna er mulig, men teknisk vanskelig på grunn av lokalisasjonen og skjør karvegg. Det er også risiko for embolisering og hjernenerveskade under disse inngrepene. Man velger av og til i stedet å ligere arterien for å hindre senere emboli (5).
Risikoen for ny disseksjon er liten, ca. 1 % årlig, og høyest hos unge pasienter (3). Arteriesykdommer øker trolig risikoen for ny disseksjon (12). Arterien rekanaliserer i de fleste tilfeller i løpet av seks måneder, men sjeldnere i a. vertebralis eller hvis arterien er okkludert (7, 13). Det er rimelig å behandle med antikoagulasjon eller platehemmer i 3 – 6 måneder, eller til arterien er rekanalisert.
Prognosen ved disseksjon er generelt god og mortaliteten angis i nyere publikasjoner til 1,5 – 4 %. Det dårligste kliniske resultat sees ved store infarkter, manglende rekanalisering og ved intracerebrale disseksjoner.
- 1.
Schievink WI, Mokri B, Whisnant JP. Internal carotid artery dissection in a community. Rochester, Minnesota, 1987 – 1992. Stroke 1993; 24: 1678 – 80.
- 2.
Giroud M, Fayolle H, Andre N, Dumas R, Becker F, Martin D et al. Incidence of internal carotid artery dissection in the community of Dijon. J Neurol Neurosurg Psychiatry 1994; 57: 1443.
- 3.
Schievink WI, Mokri B, O’Fallon M. Recurrent spontaneous cervical-artery dissection. N Engl J Med 1994; 330: 393 – 7.
- 4.
Guillon B, Levy C, Bousser M-G. Internal carotid artery dissection: an update. J Neurol Sci 1998; 153: 146 – 58.
- 5.
Stapf C, Elkind MSV, Mohr JP. Carotid artery dissection. Annu Rev Med 2000; 51: 329 – 47.
- 6.
Karlsen B, Fossan GO, Larsen JL. Traumatisk trombose av arteria carotis interna. Tidsskr Nor Lægeforen 1986; 106: 1477 – 9.
- 7.
Zetterling M, Carlström C, Konrad P. Internal carotid artery dissection. Acta Neurol Scand 2000; 101: 1 – 7.
- 8.
Lee KP, Carlini WG, McCormick GF, Albers GW. Neurologic complications following chiropractic manipulation: a survey of California neurologists. Neurology 1995; 45: 1213 – 5.
- 9.
Hufnagel A, Hammers A, Schönle P-W, Böhm K-D, Leonhardt G. Stroke following chiropractic manipulation of the cervical spine. J Neurol 1999; 246: 683 – 8.
- 10.
Leclerc X, Godefroy O, Salhi A, Lucas C, Leys D, Pruvo JP. Helical CT for diagnosis of extracranial internal carotid artery dissection. Stroke 1996; 27: 461 – 6.
- 11.
Bakke SJ, Smith H-J, Kerty E, Dahl A. Cervicocranial artery dissection. Acta Radiol 1996; 37: 529 – 34.
- 12.
Bassetti C, Carruzzo A, Sturzenegger M, Tuncdogan E. Recurrence of cervical artery dissection. Stroke 1996; 27: 1804 – 7.
- 13.
de Bray JM, Penisson-Besnier I, Dubas F, Emile J. Extracranial and intracranial vertebrobasilar dissections: diagnosis and prognosis. J Neurol Neurosurg Psychiatry 1997; 63: 46 – 51.