Stormorkens syndrom

    ()

    sporsmal_grey_rgb
    Abstract

    Tre norske pasienter ble i begynnelsen av 1980-årene diagnostisert med et nytt syndrom kjennetegnet av trombopati, trombopeni, aspleni, miose, hodepine, anemi, iktyose, dysleksi, muskeldefekt og senere også hypokalsemi. Fremtredende plager er blødninger, leggkramper, nedsatt mørkesyn og dysleksi. Artikkelen beskriver disse pasientene, og det gis en oversikt over de undersøkelser som er foretatt.

    Blødningstendensen skyldes en tidligere ikke beskrevet kompleks forstyrrelse i blodplatemembranen. Den er permanent aktivert (scrambling), og av ukjent grunn blir blodplatepluggen for ustabil til å motstå skjærekreftene i sirkulasjonen. Muskeldefekten består i tubulære aggregater som gir høye blodverdier for kreatinkinase. Det er sannsynligvis sammenheng mellom muskeldefekten og hypokalsemien, da kalsitriolhøyning av jonisert kalsium fører til klar bedring av muskelsymptomene. Miosen er resistent for mydriatika, gir dårlig mørkesyn og virker trolig negativt inn på dysleksien, som er av alvorlig karakter. Asplenien fører ikke til signifikante avvik i immunstatus, og til sammen har de norske og japanske pasienter levd med aspleni i mer enn 300 år uten livstruende infeksjoner. Genfeilen er ennå ikke funnet, men er antakelig lokalisert til ett eller flere av kromosomene 1, 3, 6, 13 og 15.

    Abstract

    In 1985, a new syndrome with the following characteristics was described: thrombopathia, thrombopenia, asplenia, miosis, headache, ichthyosis, dyslexia, muscle defect, and subsequently also hypocalcaemia. Skin and deep bleedings, leg spasms, disturbed dark vision and dyslexia are main worries. This paper describes these patients with a review of the investigations performed.

    Causes of the bleeding tendency are complex disturbances of the platelet membrane causing insufficient stability of the haemostatic plug, the nature of which is unresolved, but involves membrane scrambling. The muscle defect consists in tubular aggregates and high blood values of creatine kinase. A connection with the hypocalcaemia is possible, because increasing the ionic Ca with calcitriol significantly improves muscle function. Miosis is resistant to mydriatics and causes decreased dark vision, possibly also influencing dyslexia. The asplenia has little influence on immunocompetence, and the patients have survived 300 patient years without critical infections. The gene defect has not yet been unravelled.

    Artikkel

    Syndromer er pleiotrope utslag av én arvelig defekt eller en delesjon der flere defekter er til stede. De benevnes ofte lyskastersykdommer fordi de kan åpenbare sammenhenger mellom flere biologiske mekanismer. Dermed kan de lede til definisjon av det biokjemiske grunnlag for fysiologiske og patologiske prosesser som ennå ikke er kjent. Menneskets genom er nå utredet i detalj, og mulighetene til å løse den basale defekt bak en sykdom er blitt enklere. Om få år vil denne kunnskapen kunne gi muligheter til bl.a. å utvikle nye medikamenter eller rette opp genfeil.

    I det følgende omtales norske pasienter med et sjeldent syndrom, som av andre har fått betegnelsen Stormorkens syndrom, materialet ble publisert for første gang i 1985 (1). De underliggende patologiske prosesser er foreløpig ikke klarlagt. Den overveiende del av de omtalte undersøkelsene er utført ved Institutt for indremedisinsk forskning, Rikshospitalet.

    Pasientene

    Pasientene

    I 1974 ble en fire år gammel gutt innlagt ved Ullevål universitetssykehus med et hematom under hele skalpen etter et fall. Det ble notert at både han og moren hadde moderat blødningstendens og permanent maksimal miose. Han ble innlagt på nytt i mars 1975 for å utrede blødningstendensen. En lett trombopeni som ikke kunne forklare blødningene, ble funnet. Koagulasjonsstatus var normal, og det ble ikke funnet holdepunkter for von Willebrands sykdom. Sammen med moren ble han henvist til Koagulasjonslaboratoriet på Rikshospitalet. Det viste seg at moren hadde vært undersøkt her i 1957 (under sitt pikenavn) og fått diagnosen trombopati med mild trombocytopeni, uten at de andre kliniske funnene ble notert.

    I anamnesen kom det frem at moren hadde fått et stort ingvinalt/perinealt hematom i barnealderen etter å ha sklidd av pedalene på sykkel. Videre hadde begge lett for å få blåmerker, opptil suggilasjoner, og mindre traumatiske hematomer. Det ble også klart at begge hadde dysleksi, mest uttalt hos gutten, og moren opplyste at begge, særlig hun, var mye plaget av migreneliknende hodepine. Begge hadde også lett iktyose og en muskeldefekt, som ytret seg med spasmeliknende tilstand kort tid etter at de begynte å løpe.

    De samme symptomer og funn ble påvist hos slektninger i fire generasjoner (fig 1), hvorav to er døde, den siste i 1998, 83 år gammel. De hadde/har dyptliggende øyne med nesten fraværende pupiller (fig 2). Kroppen var velproporsjonert og uten anmerkninger.

    Generelle laboratorieundersøkelser

    Generelle laboratorieundersøkelser

    Det ble funnet følgende verdier ved generelle laboratorieprøver: SR normal, Hb 10 – 11,5 g/100 ml, platetall 130 – 170 · 10⁹/l, blødningstid 12 – 18 minutter. Hemoglobinverdien var ganske stabil på 10,5 – 12,0 utenom blødninger (lavest for moren og under menstruasjonen ofte nede i 8,0). Verdiene for serumjern, TIBC, B12, folsyre og haptoglobin var normale, osmotisk fragilitet lett nedsatt, og erytropoesen moderat økt. Tourniquet-test gav normalt resultat; koagelretraksjon var moderat nedsatt.

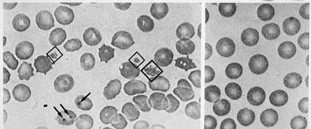
    Blodutstryk (fig 3) viste for blodplater abnorm størrelsesfordeling og mikroaggregater, for erytrocytter anisocytose, poikilocytose, krenering og fragmentering, stomatocytter og Howell-Jolly-legemer. Røntgen abdomen viste ingen tegn til milt, noe som ble verifisert ved CT med kontrast, 99Tc-Sn-kolloid helkroppsskanning og tuftsinbestemmelse (spor hos sønn; 0 hos mor).

    Hemostaseundersøkelser

    Hemostaseundersøkelser

    Spesifikke hemostaseundersøkelser viste normale koagulasjonsfaktorer, von Willebrand-parametere, trombintid og aktiveringspeptider (protrombinfragment 1 + 2, fibrinopeptid A og B) (Holme PA, Stormorken H, Bevers EM, Solum NO, Brosstad F. Flowcytometric studies on the haemostatic defect in the Stormorken syndrome. Abstrakt nr. 2349, 27th Congress on thrombosis and haemostasis, Washington, 1999). Elektronmikroskopi viste normale plateorganeller, ellers ingen nevnbare tilleggsopplysninger. Blodplatelevetid var nedsatt til halvparten, og nivået av b-tromboglobulin var lett forhøyet. Platefaktor 3 (platelet coagulant activity) var unormalt til stede i ikke-aktivert blod, verifisert med moderne bestemmelse av protrombinasedanning og med annexin V-binding og gjennomstrømningscytometri. Plateaggregasjon var signifikant nedsatt med kollagen og lett abnorm eller normal med en rekke andre agonister. Verdiene for ADP/ATP og hydrolasesekresjon var normale.

    Krysset immunelektroforese viste normale membranproteiner (GP IIb/IIIa, GP Ib/IX-kompleks). Med Iso-Dalt-metodikk ble det funnet en tidligere ukjent normal polymorfisme av et plateprotein, ellers normalt. Protrombinforbruk (F II-forbruk) viste økt initial hastighet. TxB₂-danning, fosfoinositolsyklus (PA, PI, PIP, PIP₂) og cAMP var alle normale. Scramblase ble funnet å være normalt til stede ved testing med monoklonalt antistoff. Ex vivo-hemostase i Sakariassen-kammer viste normal plateadhesjon, men markert nedsatt danning av hemostaseplugg (defekt aggregasjon), særlig ved høye shear-verdier (2 600 sek–1).

    Aspleni

    Aspleni

    Aspleni førte til omfattende undersøkelser av humorale og cellulære variabler i immunsystemet. Disse viste ikke signifikante avvik fra funn i en normal populasjon. Responsen på pneumokokkvaksine var imidlertid lav (særlig hos moren), men her er normalvariasjonen stor.

    Muskel- og kalsiumavvik

    Muskel- og kalsiumavvik

    Muskelbiopsi viste tubulære aggregater (fig 4). Ergometer-EKG viste at med 300 Kp inntrådte stivhet og kramper i legger etter seks minutter. Muskelresponsen ved akillesrefleksen var unormalt lang og hadde myoklon karakter, mens både motorisk og sensorisk ledningshastighet var normal. Kreatinkinaseverdien var 2 814 U/l (referanse 40 – 150), og Cat 2,17 mmol/l (referanse 2,20 – 2,60), Cai 1,01 mmol/l (referanse 1,16 – 1,28). Etter 1,5 g/d kalsitriol var verdiene henholdsvis 875; 2,19 og 1,12.

    Dysleksi

    Dysleksi

    Både lese- og skriveevnen var betydelig forstyrret hos sønnen (fig 5) og mer alvorlig enn hos mor. Begge hadde god auditiv hukommelse, som i betydelig grad virker kompenserende.

    Miose

    Miose

    Med infrarødt pupillometer var maksimal utvidelse med mydriatika ca. 1,2 mm. Mørkesynet var klart redusert, mens synsstyrken var normal med korreksjon. Elektroretinogram viste forlenget latenstid for A- og B-bølger. På grunn av blødningsfaren kunne det ikke gjøres biopsi, og det er uvisst om dilatator pupillae var til stede. Det er ingen tilfredsstillende forklaring på de okulære avvik (3).

    Hud

    Hud

    Elektronmikroskopi av hudbiopsi og enzymstudier av epitel viste iktyose av tidligere ikke kjent type.

    Hodepine

    Hodepine

    Hodepinen ved syndromet er vanskelig å klassifisere, men den er migreneliknende (4).

    Genetiske undersøkelser

    Genetiske undersøkelser

    Det er utført genetiske studier under anvendelse av tallrike metoder og tilnærmingsmåter uten at det er lyktes å identifisere genfeilen. De aktuelle områdene ser ut til å være knyttet til en eller flere av kromosomene 1, 3, 6, 13 og 15.

    Diskusjon

    Diskusjon

    Utførte undersøkelser viser at det dreier seg om et autosomalt dominant arvelig syndrom av kompleks natur. I henholdsvis 1999 og 2000 ble samme syndrom identifisert hos en norsk mann (G. Tjønnfjord, Rikshospitalet, personlig meddelelse) og en japansk mor og datter (5). Hos disse pasientene ble patogenesen for muskelavviket klarlagt både histologisk og biokjemisk. I tillegg ble avviket i kalsiumverdiene oppdaget hos den norske pasienten. Begge deler ble verifisert for de første pasientene. Siden verdiene for total-kalsium er vekslende ved eller litt under referansenivå, er avviket blitt oversett ved flere sykehus. Da den ioniserte del ble undersøkt, viste den seg å være under nedre referansegrense (G. Tjønnfjord, personlig meddelelse).

    Blodplateavviket

    Blodplateavviket

    Trombopatien er ikke tidligere beskrevet, og om de andre avvik skiller seg genetisk fra liknende kjente defekter, kan bare avgjøres av fremtidige resultater.

    Blodplatefaktor 3 er en nødvendig forutsetning for at koagulasjonen skal komme i gang. Det er en aktivitet som oppstår når platemembranen påvirkes av agonister (f.eks. ADP og kollagen). To familier med blødningssykdom, det såkalte Scotts syndrom (6 – 8), er kjent, der denne mekanismen ikke fungerer. Hos våre pasienter er membranen derimot «tent» permanent, fordi reverseringen ikke fungerer. Allikevel blør også våre pasienter – de tromboserer ikke. Resultatene fra Sakariassen-kammeret viser at kohesjonskreftene i blodplateknappen er for svake i forhold til skjærekreftene i sirkulasjonen. At deres blødningstype er en kombinert koagulasjons- og blodplatetype – med både hematomer og hudblødninger – skyldes at aktivering av koagulasjonsmekanismen er utilstrekkelig, noe normale verdier av aktiveringspeptider viser.

    Slik membranaktivering, som raskt kan reverseres, er ikke spesifikk for blodplatene. Forandringen består i en omfordeling av fosfolipidene i membranen: fosfatidylserin spesielt og fosfatidyletanolamin forflyttes raskt fra indre til ytre membranlamell, mens andre (PC, PI, SP) går motsatt vei eller holder seg i ro. Denne prosessen kalles scrambling og er av avgjørende betydning for mange prosesser, ikke bare for koagulasjonen. Den involverer minst tre enzymer: translokase, floppase og scramblase, med ATP som viktig energidonor (9).

    Bestemt med et monoklonalt antistoff er scramblasen til stede hos våre pasienter, men det utelukker ikke de mange kjente isoformer, eller andre forhold, som årsak.

    Aspleni

    Aspleni

    Asplenier er meget sjelden kongenitale. Kongenital aspleni kan si mer om betydningen av milten i utviklingen av immunkompetanse enn etter splenektomi. Den er mest fryktet som bakgrunn for overveldende septikemi, som medfører høy dødelighet. Men som våre pasienter viser, er betydningen for immunsystemet ikke iøynefallende, noe som stemmer med erfaringer etter splenektomi. Til sammen har disse aspleniske pasientene levd i mer enn 300 pasientår uten livstruende infeksjonsproblemer på tross av de andre plager som kan utgjøre økt infeksjonsrisiko. Mye tyder på at fraværet av milt alene ikke er årsaken til at noen dør under fulminant intravaskulær koagulasjon (purpura fulminans). Det er sannsynlig at en eller annen defekt i tromboseforsvaret eller immunsystemet er til stede i slike tilfeller, og noen slike er påvist. Erfaringen viser at samtidige sykdommer som tærer på immunsystemet i høy grad øker mortaliteten.

    Muskelavviket

    Muskelavviket

    Muskeldefekten er det best utredede avvik i syndromet så langt, idet både histologiske og biokjemiske forandringer er påvist. At kreatinkinasenivået ved myopatier kan stige til større høyder, er vel kjent. Det viste seg at kalsitrasinmedikasjon, som økte konsentrasjonen av det ioniserte kalsium, også gav nedgang i kreatinkinaseverdien og klar bedring i muskelfunksjonen. Dette kan tyde på at kalsiumdefekten er primær. Dette kan etterprøves ved å se om de anatomiske forandringer bedres etter slik behandling, men dette er ennå ikke gjort.

    Et arvelig avvik med hypokalsemi og nedsatt konsentrasjon av ionisert kalsium på samme nivå som hos våre pasienter, men uten andre symptomer, er beskrevet fra Vestlandet (10). Avviket skyldes en mutasjon, T151M, i et kalsiumreseptorgen (PCAR1), men er antakelig ikke identisk med kalsiumavviket hos våre pasienter.

    Trombopeni

    Trombopeni

    Trombopenien er mulig sekundær til trombopatien. Med scramblet membran der fosfatidylserin er eksponert, blir blodplatene utsatt både for fagocytose og apoptose. Dette stemmer med nedsatt levetid for blodplatene. Imidlertid kan man ikke se bort fra at årsaken ligger i beinmargen (G. Tjønnfjord, personlig meddelelse).

    Sykdomsfenomenene som inngår i syndromet er ganske stabile og har ikke noen betydning for levealder eller sykelighet ellers. De som er døde, er blitt mer enn 80 år, men å leve med avvikene gir sterkt nedsatt livskvalitet. Muskelplagene er betydelig bedre med kalsitriolbehandling, som bringer ionisert kalsium til nedre referansenivå. Hodepinen er bare delvis påvirkelig av de mange midler som er prøvd, mens iktyosen kan holdes i sjakk med milde salver. De andre deler av syndromet kan det ikke gjøres noe med, annet enn å unngå ikke-steroide antiinflammatoriske legemidler og utøve forsiktighet for å hindre blødning. Merkelig nok er ikke miosen så hemmende som man kunne vente – mest sjenerende er nedsatt mørkesyn.

    Perspektiver fremover

    Perspektiver fremover

    Det er selvfølgelig interessant å få løst alle problemene dette syndromet frembyr. Størst interesse er rettet mot blodplatenes membranfosfolipider i relasjon til blødning/trombose og nydanning av kar. Det er nå klart at enkle derivater av disse fosfolipidene, før ansett som mer passive komponenter av membranen, aktiverer tallrike gener i den store familie av endoteliale differensieringsgener (EDG). I sin tur styrer de danning av en rekke proliferasjons-, migrasjons-, differensierings-, adhesjons- og vekstfaktorer, bl.a. for endotelceller og annet vev, noe som fører til nydanning av kar (11, 12).

    Blodplatene har selv en rekke kjente vekstfaktorer. Sammen med deres aktiverte fosfolipider og endotelceller i et biologisk miljø, dannes raskt rørformede strukturer. Men det er ennå et stykke igjen før det funksjonelle kar er klart. Omvendt: det har hittil ikke lyktes å lage en funksjonell blodplate, et sårt tiltrengt middel for alle de pasienter som lider av cytostatikabetinget trombopeni.

    De uanselige, kjerneløse danninger som blodplatene er, reflekterer ikke deres store fysiologiske betydning: opprettholde et lekkasjefritt kartre, stanse en blødning (og dessverre lage trombose) og nydanne kar. Dette er fundamentalt både for fosterutvikling og reparasjon av skader på organismen, men også en nødvendig forutsetning for veksten av enhver svulst, godartet som ondartet.

    Det er vel karakteristisk for norsk forskning at det ikke er lyktes å skaffe midler til løsning av dette syndromet i vår postgenome tid. De fleste undersøkelser er utført ved Institutt for indremedisinsk forskning og Bioteknologisentret uten noen ekstra tilskudd.

    I håp om å kunne fortsette arveundersøkelsene er vi interessert i flere pasienter og ser derfor gjerne at kolleger har syndromet in mente.

    Følgende forskere (utenom referanselisten) har ytt bidrag til de refererte resultater: Kjell Rootwelt, Gino R. Corazza, Ove J. Mellbye, Ingeborg S. Aaberge, Kari Skullerud, Øystein V. Sjaastad, Anne Blom, Jean F. Launay, Hans Prydz, Eirik Frængen, Tobias Gedde-Dahl jr., Carl B. van der Hagen, Peter Sims, Kjell Sakariassen, Marius Barstad, Anne Thorsrud, Egil Jellum, Trond Ganes, Edouard M. Bevers, David Lane, E. Hansen samt en lang rekke bioingeniører som alle fortjener stor takk.

    Kommentarer  ( 0 )

    Anbefalte artikler