Background.
The aim of this paper is to give Norwegian medical doctors and students an updated review of paediatric brain tumours.
Material and methods.
A review is given based on our experience and a Medline search of relevant literature published over the last ten years.
Results.
In Norway, the yearly incidence of primary intracranial tumours in children is 4 per 100,000 children. Astrocytoma is the most common tumour type, followed by medulloblastoma and ependymoma. This histological distribution is different from that in adults, where metastases to the brain, glioblastomas, astrocytomas and meningiomas dominate. Posterior fossa tumours are relatively more common in children than in adults. Thus, in children with brain tumour, symptoms and signs of raised intracranial pressure secondary to hydrocephalus are frequently encountered. Children tolerate extensive intracranial surgery better than adults do. For radiotherapy, the tolerance is the opposite, since radiotherapy of the developing brain often causes severe late sequelae. Radical surgery is the treatment of choice for children with brain tumour. If necessary, the treatment is supplemented with stereotactic radiation, radiotherapy and/or chemotherapy.
Interpretation.
The overall results for treatment of paediatric brain tumours are favourable and continuously improving, with ten-year and twenty-year survival of approximately 60 %.
Hjernesvulst er den vanligste solide svulstform hos barn under 15 år i Norge, med ca. 40 nye tilfeller per år. Intrakraniale svulster hos barn skiller seg på mange måter fra tilsvarende hos voksne.
Astrocytomer og medulloblastomer er vanligst, hos voksne er det hjernemetastaser, glioblastomer og andre astrocytomer (1, 2). Meningeomer, vestibularisschwannomer (akusticusnevrinomer) og hypofyseadenomer er meget sjeldent hos barn (1).
Hos barn er nesten halvparten av svulstene lokalisert i bakre skallegrop (3), til tross for at bare 15 % av vevsmassen i sentralnervesystemet ligger her. Hos voksne ligger svulstene i og omkring storhjernen (4).
Barnekraniet er elastisk. Hos spedbarnet består det av tynne beinplater bundet sammen med bindevev (periost og dura). Disse forbindelsene ossifiseres etter hvert, og sømmene blir fastere. I de tidligste barneår kan det ekspanderende kraniet til en viss grad kompensere for et økende intrakranialt volum, og dermed bufre trykkøkningen av en voksende svulst. Slik avdempes og forsinkes utviklingen av kliniske symptomer. Svulstene hos barn har en betydelig større tendens til spredning innenfor subaraknoidalrommet enn det man ser hos voksne.
Toleransen for kirurgisk behandling hos barn er god, men bivirkningene av cellegifter og konvensjonell strålebehandling kan bli større hos barn enn hos voksne fordi hjernen ikke er ferdig utviklet.
Insidens og histologisk klassifikasjon
I Norge er den årlige insidens av intrakraniale svulster hos barn ca. 4/100 000 (1). Hjernesvulstene opptrer jevnt fordelt fra nyfødtperioden til tenårene (3, 5) og noe hyppigere hos gutter enn hos piker, ratioen er 1,29 (3).
Barn kan bli rammet av de samme primære intrakraniale svulster som voksne (6), men noen forekommer hyppigst hos barn.
Astrocytomer
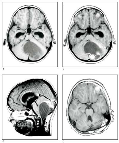
Disse utgår fra astrocytter. Etter WHO-klassifiseringen deles de inn i malignitetsgrad 1 – 4 (6). Grad 3 og 4, de maligne, er sjeldne hos barn. Astrocytom grad 1 (pilocytisk astrocytom) og grad 2 (fibrillært astrocytom), kalt lavgradige astrocytomer, er hyppigere hos barn enn hos voksne. Den vanligste varianten er pilocytisk astrocytom i cerebellum (fig 1), en godartet svulst dersom man oppnår radikal fjerning.
Medulloblastom
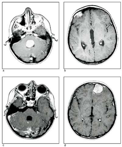
Medulloblastomer er udifferensierte nevroepiteliale svulster(primitiv nevroektodermal tumor, PNET) i lillehjernen, oftest nær midtlinjen (fig 2). De er høymaligne og har uttalt tendens til spredning i subaraknoidalrommet via cerebrospinalvæsken. Tilsvarende svulster i storhjernen kalles nevroblastomer, i corpus pineale pineoblastomer.
Ependymomer
Disse utgår fra ependymcellene i veggen av ventrikkelsystemet og sentralkanalen i ryggmargen. 4. ventrikkel er predileksjonsstedet.
Kraniofaryngeomer
Svulstene utgår fra embryonale rester av ductus craniopharyngeus (Rathkes gang), og sees hyppigst i området rundt hypofysestilken og bunnen av 3. ventrikkel. De kan ha både solide og cystiske komponenter. Til tross for manglende histologiske malignitetstegn er de ofte adherente til eller infiltrerer i tilgrensende hjernevev (adamantinomatøs type). Tilsvarende svulst hos voksne er ofte velavgrenset og ekstracerebral (papillær type).
Plexus choroideus-papillomer
Detteer intraventrikulære svulster, som kan infiltrere omliggende hjernevev. De kan være store og karrike og medfører ofte hydrocephalus. Hos barn er ca. 10 % histologisk maligne, og kalles da plexus choroideus-karsinomer.
Germinalcellevulster
Svulsteneutgår sannsynligvis fra primitive germinalceller, og er identiske med dem som opptrer i testikler og ovarier. De sees hyppigst i corpus pineale og i bunnen av 3. hjerneventrikkel. Vanligst er germinom (tilsvarer seminom i testis og dysgerminom i ovarier).
Pineocytom og pineoblastom
Dette er sjeldne svulster utgått fra epifysevev. Pineoblastom inngår i PNET-gruppen. Pineocytom er bedre differensiert, velavgrenset og har en bedre prognose enn pinealoblastom, og sees hyppigst hos voksne. Blandingsformer forekommer.
Diagnose
Symptomer og tegn
Intrakraniale svulster hos barn vokser ofte langsomt. Symptomene vil lenge være vage. Det er viktig å være oppmerksom på kliniske symptomer og tegn som svulster i bakre skallegrop kan gi.
Infratentoriale svulster
Fra bakre skallegrop vil symptomene svært ofte skyldes en påvirkning eller skade av lokale strukturer (lillehjerne, hjernenerver eller hjernestamme) i kombinasjon med et generelt økt intrakranialt trykk, som kommer som en følge av avklemming av hjernevæskedrenasjen og hydrocephalusutvikling (fig 1). Hos barn i første leveår kan økende hodeomkrets lenge være eneste symptom. Hos eldre barn er kardinalsymptomet hodepine. Denne kommer ofte gradvis, og med mest uttalte plager om morgenen. Smertene kan være lokalisert til nakke/bakhode eller mer diffust. Det vil ofte være kvalme og morgenbrekninger, i avanserte stadier bevissthetsforstyrrelser, og til slutt ev. herniering og død. Papillødem er ofte til stede når diagnosen stilles.
Ved affeksjon av cerebellare strukturer eller langbaner i hjernestammen er ataksi, spesielt gangataksi, et tidlig klinisk tegn. Videre sees diplopi og nystagmus som følge av hjernestammeaffeksjon. Regulære bulbære pareser med dysartri og svekket svelgerefleks kan man se ved infiltrerende svulst i hjernestammen. I avanserte tilfeller kan dette også medføre hemiparese. Feilstillinger i hode/nakke kan skyldes at barnet rent reflektorisk inntar stillinger som reduserer plagene fra bakre skallegrop. Torticollis kan også være et tidlig klinisk tegn på en lateral lillehjernesvulst med affeksjon av n. accessorius. Ikke sjelden har pasienter med dette symptomet gått til behandling hos fysioterapeut i lang tid før diagnosen stilles. Også nakkestivhet kan sees, da som et truende tegn på herniering av cerebellartonsillene, eller som følge av trykk og drag på hjernehinnene.
Supratentoriale svulster
Disse kan gi symptomer i form av epileptiske anfall, økt intrakranialt trykk, fokalnevrologiske utfall, personlighetsforandringer og endokrine forstyrrelser.
Over halvparten av barn med svulst i storhjernens hemisfærer har symptomdebut i form av epilepsi. Derfor bør alle barn med nyoppstått epilepsi utredes med MR.
Personlighetsforandringer og atferdsforstyrrelser er vanlig ved svulster i frontalregionen. Ved svulster i hypothalamusområdet kan man se det såkalte diencefale syndrom: oppkast, synsforstyrrelser, avmagring, hyperkinesi og irritabilitet. Hypotalamiske svulster kan også gi forstyrrelser i sult-metthets-reguleringen. Ved svulster lokalisert suprasellært/hypotalamisk er det vanlig med endokrine forstyrrelser. Typisk er veksthormonmangel ved kraniofaryngeomer.
Av og til ser man solnedgangsblikk med blikkparese oppad ved et generelt økt intrakranialt trykk. Dette er sannsynligvis en følge av kompresjon ved lamina quadrigemina. Det samme kan sees ved svulster som utgår fra corpus pineale-regionen, hvor man av og til får Parinauds syndrom: blikkparese oppad, strabisme og forstyrrelse av pupillrefleksene.
Også supratentoriale svulster kan gi hydrocephalus ved avklemming av hjernevæskedrenasjen i 3. ventrikkel eller foramina Monroi. Et økt intrakranialt trykk kan hos barn gi diastase av skallens suturer (sutursprengning), noe som kan forårsake en uren tone ved perkusjon av kraniet – «sprukken potte-lyd». Denne testen foretas mest hensiktsmessig ved å perkutere på den ene side av kraniet, mens undersøkerens øre legges inn til skallen på motsatt side.
Bildediagnostikk
Viktigste diagnostiske hjelpemiddel er cerebral magnetisk resonanstomografi (MR). Pga. av begrenset MR-tilgjengelighet blir primærundersøkelsen oftest cerebral CT. Man må imidlertid være klar over at CT-undersøkelsen har klare begrensninger når det gjelder fremstilling av svulster i lillehjerne/hjernestamme, samt at ikke-kontrastoppladende svulster lett kan bli oversett. Hos barn under 5 – 7 år må som oftest MR-undersøkelsen gjøres i narkose. Ved mistanke om eller ved konstatert svulst i bakre skallegrop må bildediagnostikken suppleres med MR av spinalkanalen for å utelukke asymptomatiske metastaser der.
Blod- og spinalvæskeundersøkelser
Viktigst er full endokrin status ved svulster i hypofyse- og hypothalamusregionen. Bestemmelse av svulstmarkører i perifert blod kan ha betydning ved medulloblastom (nevronspesifikk enolase (NSE)), samt ved germinalcellesvulster (a-føtoprotein (AFP) og humant choriongonadotropin (b-HCG).
Videre vil funn av maligne celler i spinalvæsken være viktig for valg av behandlingsopplegg. Som ledd i tidlig diagnostikk har imidlertid lumbalpunksjon bare betydning ved mistanke om germinalcellesvulst. Spinalpunksjon bør overlates til spesialavdeling, da dette kan være farlig ved for høyt intrakranialt trykk.
Generelle behandlingsprinsipper
Glukokortikoider
Svulster omgis ofte av et betydelig ødem i hjernevevet. Dette reagerer godt på glukokortikoider, noe som gir betydelig symptomlindring for pasienten. Er det ødem, bør pasienten få et glukokortikoid preoperativt. Den definitive behandling av ødemet rundt en tumor er å fjerne denne.
Kirurgi
I de fleste tilfeller forsøker man å fjerne svulsten helt. Der hvor dette ikke går, fjernes så mye som mulig, dog slik at man forsøker å beholde et godt funksjonelt resultat (subtotal reseksjon). Barnehjernen viser stor toleranse overfor ekstensiv kirurgi (7) – (9). I Norge gjøres rutinemessig en ny MR-undersøkelse umiddelbart etter operasjonen for å vurdere radikalitet. Hvis det er en restsvulst som er kirurgisk tilgjengelig og prognosen avhenger av graden av svulstfjerning, bør man operere på nytt, gjerne i samme narkose, for å oppnå total fjerning.
Stereotaktisk fokusert ekstern bestråling
Denne teknikken (gammakniv/strålekniv eller lineær akselerator) (2) kan også brukes ved avgrensede, vanskelig tilgjengelige svulster hos barn, som for eksempel kraniofaryngeom.
Strålebehandling
Hjernen hos barn kan påføres varig skade av konvensjonell strålebehandling: kognitiv svikt, hormonforstyrrelser, kortvoksthet og utvikling av sekundære svulster (7, 10) – (15). Hyppighet og alvorlighetsgrad av slike senskader er omvendt proporsjonale med alder ved start av stråleterapi. Barn under tre år vil få store senskader etter en hjernebestråling i terapeutiske doser. Indikasjonen for strålebehandling bestemmes av svulstens histologi. Er svulsten fjernet radikalt og den er histologisk «lavgradig», som for eksempel et astrocytom i lillehjernen, er det ikke indikasjon for postoperativ strålebehandling. Er operasjonen ikke radikal, men histologien fortsatt «lavgradig», vil man som regel følge pasienten med regelmessige kontroller. Avhengig av svulstens vekstpotensial og vekstmønster vil man etter hvert vurdere ny reseksjon eller strålebehandling. Viser svulsten seg å være malign, vil postoperativ strålebehandling som regel være indisert hos barn over tre år, selv om man forsøker å unngå/utsette dette inntil barnet er blitt 6 – 7 år.
Kjemoterapi
Dette er hovedsakelig prøvd ved histologisk maligne svulster. Per i dag, i randomiserte prospektive studier, er det ikke dokumentert økt langtidsoverlevelse ved cellegiftbehandling, selv om flere studier har vist økt overlevelse etter 3 – 5 år som følge av kjemoterapi/stråleterapi i kombinasjon, sammenliknet med stråleterapi alene (16). Trolig kan kjemoterapi bedre langtidsoverlevelsen ved medulloblastom og germinalcellesvulst av ikke-seminom type (17).
Hydrocephalus
Hydrocephalus er et hyppig problem hos barn med svulst i bakre skallegrop. Om lag en tredel av pasientene har persisterende hydrocephalus etter fjerning av svulsten. Disse må enten behandles med endoskopisk tredjeventrikkelstomi (åpning av veggen i 3. ventrikkel mot de basale, ekstracerebrale væskerom) (18) eller ventrikuloperitoneal shunt.
De enkelte svulsttyper – behandling og prognose
Cerebellare astrocytomer
Lavgradige cerebellare astrocytomer behandles kirurgisk. Total ekstirpasjon av svulsten (verifisert med umiddelbar postoperativ MR) er som regel kurativt (9, 19, 20) (fig 1). Hvis det er resttumor, bør ny operasjon overveies. Dersom svulsten residiverer etter antatt radikal operasjon, skal pasienten opereres på nytt. Kjemoterapi eller strålebehandling er kun unntaksvis indisert. Lavgradige astrocytomer sprer seg ikke via hjernevæsken, og alle residiver er lokale. I perioden 1960 – 2001 ble 110 pasienter i aldersgruppen 0 – 19 år behandlet for lavgradig cerebellart astrocytom ved Nevrokirurgisk avdeling, Rikshospitalet (9). Femårs, tiårs og 20-års overlevelse var henholdsvis 90 %, 87 % og 85 %. Total ekstirpasjon var en sikker gunstig prognostisk faktor. De fleste langtidsoverlevere hadde et godt funksjonelt resultat ved oppfølgingsundersøkelsen, bare 10 % et dårlig.
Medulloblastomer
Disse sprer seg via hjernevæsken til hele det kraniospinale rom (fig 2). Behandlingen må derfor rettes mot hele nevroaksen og består derfor i å fjerne så mye som mulig av svulsten, deretter gis kjemoterapi og kraniospinal strålebehandling hvis barnet er over tre år (10, 13, 17, 21). Femårs og tiårs overlevelse med dette behandlingsregimet er i Norge henholdsvis 53 % og 45 % (7). Tilsvarende er rapportert fra andre sentre (10, 22). Ingen kan kureres med kirurgi alene (7, 23). Barn under tre år får et intensivt kjemoterapiregime etter operasjonen.
Om lag halvparten av de kurerte får betydelige senfølger av strålebehandlingen, spesielt de som er bestrålt før femårsalderen. Den typisk alvorlig stråleskadede er mentalt redusert, kortvokst, har forsinket kjønnsutvikling, dårlig hårvekst og er sosialt isolert (7). Det forskes på å utvikle kjemoterapiregimer som kan erstatte kraniospinal bestråling. Preliminære resultater gir grunnlag for optimisme ved behandling med kjemoterapi alene (17).
Ependymomer
Bakre skallegrop er predileksjonssted for ependymomer. Behandlingen er først og fremst kirurgisk, og overlevelsen korrelerer med graden av reseksjon (8, 24) – (26). Hvis umiddelbar postoperativ MR viser subtotal reseksjon, bør reoperasjon vurderes. Nytteverdien av strålebehandling er usikker (8). Det er ikke indikasjon for rutinemessig profylaktisk kraniospinal bestråling, da disseminert sykdom ved diagnosetidspunktet er sjeldent og omtrent alle residiver lokale. Ev. strålebehandling skal kun rettes mot svulstområdet. Kjemoterapi har per i dag ikke vist sikker effekt. I et norsk materiale var femårs og tiårs overlevelse begge 28 % (8). Omtrent tilsvarende rapporteres fra Danmark (27).
Kraniofaryngeomer
For disse har vi i dag tre forskjellige behandlingsmåter: mikrokirurgi, stereotaktisk bestråling (strålekniv) og stereotaktisk punksjon av cystiske svulster, med instillasjon i cysten av et radioaktivt stoff (yttrium-90) for intern bestråling (28) – (32), eller et cytostatikum (bleomycin) (33). Disse kan kombineres, for eksempel kirurgisk reseksjon med stråleknivsbehandling av svulstrester eller yttriumbehandling av cystiske komponenter og stråleknivsbehandling av de solide komponentene. Dersom det er mulig, er mikrokirurgisk reseksjon å foretrekke. Kraniofaryngeomene er uvanlig kompliserte svulster kirurgisk sett, idet man svært ofte har betydelige adheranser mellom svulstkapsel, chiasma opticum, hypothalamus og a. carotis interna bilateralt. Ikke sjelden må rester av svulstkapselen etterlates, noe som kan gi ny svulstvekst. Stereotaktisk bestråling kan i slike tilfeller gi bedre resultater. De fleste med svulster i dette området har påvirkning av hypothalamus/hypofyse, og trenger hormonsubstitusjonsbehandling etterpå. Svulstene kan gi nedsatt syn som resultat av klemskade på synsnervene eller chiasma, og ved vekst oppad kan foramina Monroi klemmes av, slik at det oppstår hydrocephalus.
Hjernestammesvulster
Den vanligste hjernestammesvulsten infiltrerer diffust i pons. Et ponsgliom er ikke tilgjengelig for kirurgisk behandling. De fleste fraråder også biopsi, fordi de behandlingsmessige konsekvensene av biopsitaking er små og risikoen for funksjonsforstyrrelser store. Median overlevelse er på under ett år. Strålebehandling kan brukes som palliativ terapi, idet mange deretter får en remisjon og noen gode måneder før sykdommen innhenter dem (34, 35). Mulighet for radikal helbredelse finnes ikke. Ponsgliomene blir i dag svært godt karakterisert på MR.
Opticus-chiasma-hypothalamus-gliomer
Dette er vanligvis lavgradige astrocytomer av pilocytisk type. Behandlingen er kontroversiell. Om lag halvparten av pasientene har et medfødt opticus-chiasma-hypothalamus-gliom som ledd i en nevrofibromatose (36). Selv om den histologiske undersøkelse som regel viser lavgradig astrocytom, er disse svulstenes biologiske oppførsel svært variabel. Mens noen kan leve med svulsten uten synspåvirkning og med god funksjon gjennom mange tiår, vil andre ha rask svulstprogrediering i løpet av få år. Svulsten kan være begrenset til bare en av synsnervene, men utbredelsen kan gå over chiasma opticum og/eller infiltrere hypothalamus og videre bakover i storhjernen langs synsbanene til corpus geniculatum katerale i thalamus. Gliomer i chiasma opticum og hypothalamus kan bli monstrøst store og fylle ut 3. ventrikkel, med utvikling av sekundær hydrocephalus.
Det rene optikusgliom kan ekstirperes når øyet er blindt. Hovedindikasjonen for svulstreseksjon for øvrig er eksofytisk utvekst fra n. opticus og chiasma opticum som truer funksjonen i vitale strukturer. I slike tilfeller kan man se gode resultater av kirurgi. Behandling med strålekniv kan være aktuelt. Biopsi for verifikasjon av diagnosen er spesielt viktig hos pasienter som ikke har nevrofibromatose, da disse svulstene bildemessig kan forveksles med suprasellære germinomer og kraniofaryngeomer, som skal ha en annen type behandling. Konvensjonell strålebehandling kan gi store skader, særlig hos de minste. Hos barn med nevrofibromatose må håndteringen av et opticus-chiasma-hypothalamus-gliom sees i lys av systemsykdommen og muligheten for opptreden av andre svulster.
Svulster i corpus pineale-regionen
Vanligst er germinalcellevulstene, med tilsvarende histologisk variasjon som ved testiscancer. Germinomer (seminomer) utgjør ca. 50 %, og over 90 % av pasientene kan helbredes (37, 38). Prognosen for ikke-seminomsvulstene er noe dårligere (39). Man ønsker å avstå fra radikal kirurgi, da dette kan medføre stor postoperativ morbiditet. Man bør likevel tilstrebe histologisk klassifisering av svulsten ved hjelp av biopsi. Avhengig av biopsiresultatet velger man behandling med cellegifter, konvensjonell bestråling eller stereotaktisk bestråling.
Hemisfæresvulster
Det er en klar overvekt av lavgradige svulster i storhjernens hemisfærer. Astrocytomer av WHO-grad 1 og 2 er de hyppigste. Ellers finnes noen meget sjeldne svulstformer. Ved lavgradig histologi vil man forsøke å oppnå en så radikal reseksjon som lokalisasjonen tillater, etterfulgt av tett bildemessig oppfølging og ev. sekundær kirurgi. I noen tilfeller er stråle- eller cellegiftbehandling aktuelt.
De sentralt beliggende svulstene i basalgangliene og thalamus har varierende histologi, og byr på spesielle problemer på grunn av lokalisasjonen. Dersom pasienten er svært ung og det ikke foreligger malignt histologisk resultat, vil de fleste satse på kirurgisk behandling, idet potensialet for opptrening etter operasjonstraumet er meget stort hos mindre barn. Lavgradige svulster medialt i temporallappen (hippocampusregionen) presenterer seg ofte i form av medikamentelt vanskelig traktabel epilepsi. Disse svulstene og omkringliggende epileptogene områder fjernes kirurgisk. Resultatene er meget gode.
Meningeomer
Meningeomer forekommer sjelden i barnealder og er oftest benigne. Omtrent 20 % finnes hos nevrofibromatosepasienter (40). Behandlingen er kirurgisk ekstirpasjon. Prognosen hos pasienter uten nevrofibromatose er svært god (40).
Plexus chorioideus-papillomer
Hos barn forekommer pleksuspapillomene først og fremst i hjernens sideventrikler. Disse svulstene er oftest store og ekstremt vaskulariserte – en stor kirurgisk utfordring. Total svulstreseksjon er kurativt (41) – (43).
Konklusjon
Totalresultatene for behandling av intrakraniale svulster hos barn er oppmuntrende og blir stadig bedre, med tiårs og 20-års langtidsoverlevelse på omkring 60 %. Flertallet av barna, hvor det ikke har vært nødvendig med postoperativ stråle- eller cytostatikabehandling, har få eller ingen senskader av behandlingen. Over halvdelen av barna som er strålebehandlet får betydelige senskader, men dette er en virkelighet vi må leve med så lenge det ikke foreligger andre behandlingsalternativer.
Hjernesvulst er den vanligste solide svulstform hos barn under 15 år i Norge, med ca. 40 nye tilfeller per år
Svulster i bakre skallegrop er relativt sett hyppigere hos barn enn hos voksne, og tegn på høyt intrakranialt trykk på grunn av hydrocephalus er derfor vanlige debutsymptomer
Barn tåler omfattende intrakraniale inngrep godt, men bestråling av den umodne hjerne kan ha store skadevirkninger
Totalresultatene for behandling av hjernesvulst hos barn er oppmuntrende og blir stadig bedre, med tiårs og 20-års langtidsoverlevelse omkring 60 %
- 1.
Helseth A. A population-based survey of neoplasms of the central nervous system in Norway. Doktoravhandling. Bergen: Gades Institutt, Universitetet i Bergen, 1989.
- 2.
Helseth E, Meling T, Lundar T, Scheie D, Skullerud K, Lote K et al. Intrakraniale svulster hos voksne. Tidsskr Nor Lægeforen 2003; 123: 0000 – 00.
- 3.
Rickert CH, Paulus W. Epidemiology of central nervous system tumors in childhood and adolescence based on the new WHO classification. Childs Nerv Syst 2001; 17: 503 – 11.
- 4.
Surawicz TS, McCarthy BJ, Kupelian V, Jukich PJ, Bruner JM, Davis FG. Descriptive epidemiology of primary brain and CNS tumors: results from the Central Brain Tumor Registry of the United States, 1990 – 1994. Neuro-oncol 1999; 1: 14 – 25.
- 5.
Lundar T, Langmoen IA, Hovind KH, Skullerud K. Hjernesvulst hos barn. Tidsskr Nor Lægeforen 1990; 110: 809 – 11.
- 6.
Kleihues P, Cavenee WK. Tumours of the nervous system. World Health Organization classification of tumours. Lyon: IARC Press, 2000.
- 7.
Helseth E, Due-Tønnessen B, Wesenberg F, Lote K, Lundar T. Posterior fossa medulloblastoma in children and young adults (0 – 19 years): survival and performance. Childs Nerv Syst 1999; 15: 451 – 6.
- 8.
Helseth E, Due-Tønnessen BJ, Lote K, Skullerud K, Storm-Mathisen I, Wesenberg F et al. Ependymoma in children and young adults (0 – 19 years): report of 25 consecutive cases. Childs Nerv Syst 2001; 17: 24 – 30.
- 9.
Due-Tønnessen BJ, Helseth E, Scheie D, Skullerud K, Aamodt G, Lundar T. Long-term outcome after resection of benign cerebellar astrocytomas in children and young adults (0 – 19 years): report of 110 consecutive cases. Pediatr Neurosurg 2002; 37: 71 – 80.
- 10.
Hoppe-Hirsch E, Renier D, Lellouch-Tubiana A, Sainte-Rose C, Pierre-Kahn A, Hirsch JF. Medulloblastoma in childhood: progressive intellectual deterioration. Childs Nerv Syst 1990; 6: 60 – 5.
- 11.
Schultscheiss TE, Kun LE, Ang KK, Stephens LC. Radiation response of the central nervous system. Int J Radiat Oncol Biol Phys 1995; 31: 1093 – 112.
- 12.
Constine LS, Woolf PD, Cann D, Mick G, McCormick K, Raubertas RF et al. Hypothalamic-pituitary dysfunction after radiation for brain tumors. N Engl J Med 1993; 328: 87 – 94.
- 13.
Syndikus I, Tait D, Ashley S, Jannoun L. Long-term follow-up of young children with brain tumors after irradiation. Int J Radiat Oncol Biol Phys 1995; 31: 1113 – 21.
- 14.
Emami B, Lyman J, Brown A, Coia L, Goitein M, Munzenrider JE et al. Tolerance of normal tissues to therapeutic irradiation. Int J Radiat Oncol Biol Phys 1991; 21: 109 – 22.
- 15.
Fossen A, Skjeldal OH, Storm-Mathisen I. Psykologiske og neurologiske langtidsvirkninger av hjernesvulst hos barn. Tidsskr Nor Lægeforen 1989; 109: 3406 – 8.
- 16.
Kolmannskog S, Wesenberg F, Lundar T, Lote K. Solide svulster hos barn. I: Dahl O, Christoffersen T, Kvaløy S, Baksaas I, red. Cytostatika. Medikamentell kreftbehandling. Oslo: Institutt for farmakoterapi, 1999: 256 – 65.
- 17.
Kortmann RD, Kuhl J, Timmermann B, Calaminus G, Dieckmann K, Wurm R et al. Aktuelle und zukunftige Strategien in der interdiziplinaren Therapie von Medulloblastomen, supratentoriellen PNET und intrakraniellen Keimzelltumoren im Kindesalter. Strahlenther Onkol 2001; 177: 447 – 61.
- 18.
Helseth E, Due-Tønnessen B, Egge A, Eide PK, Meling T, Lundar T et al. Behandling av hydrocephalus med endoskopisk tredjeventrikkelstomi. Tidsskr Nor Lægeforen 2002; 122: 994 – 8.
- 19.
Schneider JH, Raffel C, McComb JG. Benign cerebellar astrocytomas of childhood. Neurosurgery 1992; 30: 58 – 63.
- 20.
Pencalet P, Maixner W, Sainte-Rose C, Lellouch-Tuiana A, Cinalli G, Zerah M et al. Benign cerebellar astrocytomas in children. J Neurosurg 1999; 90: 265 – 73.
- 21.
Whelan HT, Krouwer HG, Schmidt MH, Reichert KW, Kovnar EH. Current therapy and new perspectives in the treatment of medulloblastoma. Pediatr Neurol 1998; 18: 103 – 15.
- 22.
Merchant TE, Wang MH, Haida T, Lindsley KL, Finlay J, Dunkel IJ et al. Medulloblastoma: long-term results for patients treated with definitive radiation therapy during the computed tomography era. Int J Radiation Oncology Biol Phys 1996; 36: 29 – 35.
- 23.
Cushing H. Experiences with the cerebellar medulloblastomas: a critical review. Acta Pathol Microbiol Scand 1930; 7: 1 – 86.
- 24.
Healey EA, Barnes PD, Kupsky WJ, Scott RM, Sallan SE, Black PM et al. The prognostic significance of postoperative residual tumor in ependymoma. Neurosurgery 1991; 28: 666 – 72.
- 25.
Robertson PL, Zeltzer PM, Boyett JM, Rorke LB, Allen JC, Geyer JR et al. Survival and prognostic factors following radiation therapy and chemotherapy for ependymomas in children: a report of the Children`s Cancer Group. J Neurosurg 1998; 88: 695 – 703.
- 26.
Bouffet E, Perilongo G, Canete A, Massimino M. Intracranial ependymomas in children: a critical review of prognostic factors and a plea for cooperation. Med Pediatr Oncol 1998; 30: 319 – 31.
- 27.
Gjerris F, Agerlin N, Børgersen SE, Buhl L, Haase J, Klinken L et al. Epimiology and prognosis in children treated for intracranial tumours in Denmark 1960 – 1984. Childs Nerv Syst 1998; 14; 297 – 301.
- 28.
Backlund EO. Studies on craniopharyngiomas. IV. Stereotaxic treatment with radiosurgery. Acta Chir Scand 1973; 139: 344 – 51.
- 29.
Chung WY, Pan DH, Shiau CY, Guo WY, Wang LW. Gamma knife radiosurgery for craniopharyngiomas. J Neurosurg 2000; 93 (suppl 3) : 47 – 56.
- 30.
Backlund EO. Studies on craniopharyngiomas. 3. Stereotaxic treatment with intracysticyttrium-90. Acta Chir Scand 1973; 139: 237 – 47.
- 31.
Voges J, Sturm V, Lehrke R, Treuer H, Gauss C, Berthold F. Cystic craniopharyngioma: long-term results after intracavitary irradiation with stereotactically applied colloidal beta-emitting radioactive sources. Neurosurg 1997; 40: 263 – 9.
- 32.
Vernet O, Montes JL, Farmer JP, Blundell JE, Bertrand G, Freeman CR. Long term results of multimodality treatment of craniopharyngioma in children. J Clin Neurosci 1999; 6: 199 – 203.
- 33.
Mottolese C, Stan H, Hermier M, Berlier P, Convert J, Frappaz D et al. Intracystic chemotherapy with bleomycin in the treatment of craniopharyngeoma. Childs Nerv Syst 2001; 17: 724 – 30.
- 34.
Freeman CR, Farmer JP. Pediatric brain stem gliomas: a review. Int J Radiat Oncol Biol Phys 1998; 40: 265 – 71.
- 35.
Walker DA, Punt JAG. Clinical management of brain stem glioma. Arch Dis Child 1999; 80: 558 – 64.
- 36.
Grill J, Laithier V, Rodriguez D, Raquin MA, Pierre-Kahn A, Kalifa C. When do children with optic pathway tumours need treatment? An oncological perspective in 106 patients trated in a single center. Eur J Pediatr 2000; 159: 692 – 6.
- 37.
Baranzelli MC, Patte C, Bouffet E, Couanet D, Habrand JL, Portas M et al. Nonmatastatic intracranial germinoma. The experience of the french society of pediatric oncology. Cancer 1997; 80: 1792 – 7.
- 38.
Bamberg M, Kortmann RD, Calaminus G, Becker G, Meisner C, Harms D et al. Radiation therapy for intracranial germinoma: results of the german cooperative prospective trials MAKEI 83/86/89. J Clin Oncol 1999; 17: 2585 – 92.
- 39.
Robertson PL, DaRosso RC, Allen JC. Improved prognosis of intracranial non-germinoma germ cell tumors with multimodality therapy. J Neurooncol 1997; 32: 71 – 80.
- 40.
Lund-Johansen M, Scheie D, Muller T, Lundar T, Helseth E. Neurosurgical treatment of meningiomas in children and young adults. Childs Nerv Syst 2001; 17: 719 – 23.
- 41.
Ellenbogen RG, Winston KR, Kupsky WJ. Tumors of the choroid plexus in children. Neurosurg 1989; 25: 327 – 35.
- 42.
Pencalet P, Sainte-Rose C, Lellouch-Tubiana A, Kalifa C, Brunelle F, Sgouros S et al. Papillomas and carcinomas of the choroid plexus in children. J Neurosurg 1998; 88: 521 – 8.
- 43.
Due-Tønnessen B, Helseth E, Skullerud K, Lundar T. Choroid plexus tumors in children and young adults: report of 16 consecutive cases. Childs Nerv Syst 2001; 17: 252 – 6.