Background.
The aim of this paper is to give Norwegian medical doctors and medical students an updated review of intracranial tumours in adults.
Material and methods.
A review is given based on our experience and a Medline search of relevant literature published over the last ten years.
Results.
The incidence of primary intracranial tumours in adults is 10 per 100,000/year. In addition, 20 – 40 % of all patients with an extracranial malignant tumour will get one or more brain metastases. Apart from genetic predisposition, ionizing radiation is the only risk factor significantly associated with development of primary intracranial tumours. Clinical manifestations of a possible intracranial expansion can be divided into symptoms and signs of increased intracranial pressure, epileptic seizures, focal neurological deficits, personality changes and endocrine disturbances. MRI is the most important diagnostic tool. The aim of the surgical treatment is as radical surgery as possible with a good neurological outcome. The surgical treatment may be supplemented with radiotherapy and chemotherapy, mainly based on the histological diagnosis and grade of tumour resection. The histological diagnosis is the most important prognostic factor.
Interpretation.
Most doctors will every year meet a few patients who have or have had a brain tumour. Doctors and students should continuously refresh and update their knowledge in this field.
Selv om primære hjernesvulster er den tredje hyppigste årsak til kreftdød hos yngre voksne, vil den enkelte lege bare i begrenset omfang få noen større personlig erfaring med slike pasienter. I en annen artikkel omtales intrakraniale svulster hos barn (1).
Epidemiologi og histologisk klassifikasjon
Aldersjusterte insidenstall for primære intrakraniale svulster ligger på 7,5 – 12,3/100 000/år for voksne (2) – (5). 20 – 40 % av dem som har en ekstrakranial primær ondartet svulst, får én eller flere hjernemetastaser (6). Med økende utbredelse av CT og MR blir flere og flere av disse oppdaget og behandlet.En forenklet fremstilling av WHO-klassifiseringen av intrakraniale svulster er gitt i tabell 1 sammen med insidenstall (5) – (7).
Nevroepiteliale svulster
Dette er de hyppigst forekommende. De utgår fra glia- eller nervecellene, dvs. fra celler som utviklingsmessig stammer fra primitivt nevroepitel. Karakteristiske fellestrekk er tendensen til diffus infiltrasjon i hjernen, hvilket begrenser mulighetene for radikal kirurgisk behandling, og at de uhyre sjelden metastaserer til andre organer. Gliomer er fellesbetegnelsen på astrocytt-, oligodendrocytt- og ependymcellederiverte svulster, og er den største gruppen primære intrakraniale svulster.
Tabell 1
Histologisk klassifisering av intrakraniale svulster
| Svulsttype |
Insidens |
| Nevroepiteliale svulster |
|
| Astrocyttderiverte |
|
| Astrocytom |
1,10 |
| Anaplastisk astrocytom |
0,48 |
| Glioblastoma multiforme |
2,60 |
| Pilocytisk astrocytom |
|
| Spesielle varianter av astrocytom |
|
| Oligodendrocyttderiverte |
|
| Oligodendrogliom |
0,36 |
| Blandingsgliomer |
|
| Oligo-/astrocytom |
|
| Ependymcellederiverte |
|
| Ependymom |
|
| Plexus choroideus-svulster |
|
| Nevronale og blandede nevronale og gliale svulster |
|
| Dysembryoplastisk nevroepitelial tumor |
|
| Gangliogliom |
|
| Sentralt nevrocytom |
|
| Corpus pineale-svulster |
|
| Embryonale svulster |
|
| Medulloblastom |
|
| Supratentoriell primitiv nevroektodermal tumor (nevroblastom) |
|
| Andre sjeldne embryonale svulster |
|
| Meningeale svulster |
|
| Meningeom |
2,63 |
| Atypisk meningeom |
|
| Anaplastisk meningeom |
|
| Svulster utgått fra hjernenerver |
|
| Nevrilemmom (schwannom) |
0,75 |
| Nevrofibrom |
|
| Primært lymfom i hjernen |
0,43 |
| Germinalcellesvulster |
|
| Svulster i sellaområdet |
|
| Hypofyseadenom |
0,90 |
| Kraniofaryngeom |
|
| Svulster av annen opprinnelse |
|
| Hemangiopericytom |
|
| Kapillært hemangioblastom |
|
| Hjernemetastaser |
|
| [i] | |
[i] Tabellen angir en forkortet og forenklet versjon av WHO-klassifiseringen (7)
Primære intrakraniale svulster, nye tilfeller per år per 100 000 innbyggere i USA, total insidens 11,7 (5)
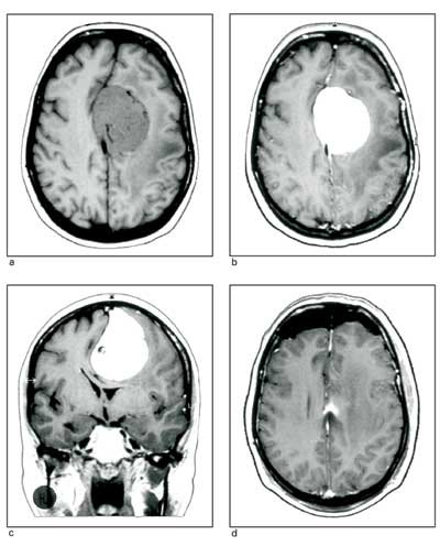
Astrocytomer.Disse utgår fra astrocytter. Lavgradig astrocytom, anaplastisk astrocytom og glioblastom er undergrupper med økende malignitetsgrad. Glioblastomer er mest infiltrerende og vokser hurtigst, og er derfor mest maligne (fig 1). Det er godt samsvar mellom histologisk bilde og prognose. Glioblastom, som er vanligst, kan enten utvikles fra astrocytom av lavere grad (sekundært glioblastom) eller oppstå de novo (primært glioblastom). Pilocytisk astrocytom er en variant av lavgradig astrocytom som, til forskjell fra de ovenstående, er en velavgrenset, langsomtvoksende svulst hos barn og unge voksne uten tendens til malign degenerasjon. Den forekommer først og fremst i cerebellum, n. opticus og hypothalamus.
Oligodendrogliomer. Disse diffust infiltrerende svulstene utgår fra oligodendrocytter og forekommer hyppigst i alderen 40 – 50 år. De er som regel lokalisert til storhjernehemisfærene. Det angis ofte at de utgjør 5 – 10 % av alle gliomer, men pga. mulig underdiagnostisering kan tallet være 25 – 30 % (8). Også her skiller man mellom lav og høy (anaplastisk) malignitetsgrad, men sammenhengen mellom de histologiske funn og prognose er ikke så klar som ved astrocytomer.
Nevroepiteliale svulster med nevroner. Nevronale og blandede nevronale-gliale svulster (dysembryoplastisk nevroepitelial tumor, gangliogliom og sentralt nevrocytom) er relativt sjeldne. De har god prognose, men gangliogliomer kan utvikle seg i malign retning. De to førstnevnte er ofte lokalisert til temporallappene og forårsaker epilepsi. Sentralt nevrocytom er vanligvis en intraventrikulær tumor av celler med nevronal differensiering. Den er hyppigst lokalisert nær foramen Monroi og sees oftest hos unge voksne. Om lag halvparten av alle supratentoriale intraventrikulære svulster er nevrocytomer.
Hjernehinnesvulster
Meningeomer. Disse utgjør 20 % av primære intrakraniale svulster. Forekomsten øker med alderen, og det er en overvekt av kvinner (1,7 : 1). Kvinner med meningeom har en lett overhyppighet av brystkreft og vice versa, antakelig fordi begge svulstformer er påvirkelige av kvinnelige kjønnshormoner. Meningeomene oppstår fra araknoidale celler og er godartet hos 95 %. De er velavgrenset og omgitt av en kapsel, og skyver hjernen foran seg under veksten (fig 2). Dura er som regel infiltrert, av og til også tilgrensende deler av kraniet. De vokser vanligvis langsomt. Hjernen kan tilpasse seg veksten, derfor kan pasientene ha appelsinstore svulster før de får klare symptomer.
Hjernenervesvulster
Akustikusnevrinom. Dette er den hyppigste primære infratentoriale svulst (6 % av primære intrakraniale svulster). De opptrer vanligvis i 40 – 50-årsalderen, noe hyppigere hos kvinner enn hos menn. Nesten alle nevrinomer er godartede. De vokser langsomt, utgår fra vestibularisdelen av 8. hjernenerve og ligger derfor i vinkelen mellom cerebellum og pons. I 5 % av tilfellene er de bilaterale, og er da vanligvis knyttet til nevrofibromatose type 2. Svært sjelden oppstår nevrinomer i den 5. hjernenerve (n. trigeminus).
Lymfomer
Primære maligne lymfomeri sentralnervesystemet er vanligvis av B-celletype. Det er en økende forekomst av denne svulsttypen, bl.a. hos AIDS-pasienter og immunsupprimerte (9). Forekomsten har imidlertid ikke økt ved Rikshospitalet i perioden 1985 – 99 (K. Skullerud, upubliserte observasjoner).
Hypofysesvulster
Disse utgår fra adenohypofysen og utgjør 8 – 10 % av intrakraniale svulster i kirurgiske materialer. Det er stor variasjon i størrelse, veksthastighet, klinisk presentasjon og innvekst i omliggende vev. Infiltrasjonen skjer først og fremst i veggene i sella turcica (sinus cavernosus). Omkring 10 % er lokalt invasive. Metastaserende hypofysekarsinom forekommer, men ekstremt sjelden. Hypofyseadenomene inndeles etter hormonproduksjon: 25 – 30 % prolaktinproduserende (pro-laktinom), 20 – 25 % ikke-hormonproduserende, 15 – 20 % veksthormonproduserende, 10 – 15 % produserer ACTH (Cushings sykdom), 5 % produserer både prolaktin og veksthormon, 3 – 5 % produserer gonadotropiner (LH og FSH), mens svulster som produserer tyreotropinfrisettende hormon (TSH) er sjeldne. I tillegg inndeles svulstene etter størrelse: mikroadenom (< 10 mm) og makroadenom (³ 10 mm).
Metastaser fra ekstrakranial kreftsykdom
Hjernemetastaserer vanligere enn primære intrakraniale svulster, men i kirurgiske serier av hjernesvulster utgjør de bare 10 – 12 %. Primærsvulsten er som regel lokalisert i bronkiene, bryst, mage og tarmkanal, urinveier, genitalia og hud (melanom), i denne rekkefølgen. På MR er hjernemetastasene som regel runde, velavgrensede, homogent utseende, kontrastoppladende og omgitt av et kraftig ødem.
Etiologi
Ioniserende stråling er eneste risikofaktor som sikkert er assosiert med intrakraniale svulster. Bestråling av kraniet (selv små doser) øker risikoen for utvikling av meningeom med en faktor på 10 og risikoen for utvikling av gliom med en faktor på 3 – 7, med en latenstid på 10 – 30 år etter eksponering (10, 11). Det er ikke påvist sikker sammenheng mellom økt forekomst av primære intrakraniale svulster og tobakk, alkohol, bruk av mobiltelefon, eksponering for høyspentledninger, bruk av hårfargingsmidler eller hodeskader (12) – (15).
Diagnostikk
Symptomer og tegn
Intrakraniale svulster debuterer med vidt forskjellige symptomer, avhengig av lokalisasjon, type og veksthastighet. Tiden fra første symptom til diagnose kan ofte si noe om veksthastigheten og dermed malignitetsgraden.
Pasienter med glioblastom har gjerne hatt symptomer i bare noen uker, mens personer med langsomtvoksende svulster, som meningeom, kan ha hatt symptomer i flere år. Av og til ser man blødning i svulsten. Symptomene kan da utvikle seg like raskt som ved et hjerneslag.
Bildediagnostikk
Viktigste diagnostiske hjelpemiddel for å påvise hjernesvulst er MR. På grunn av begrenset tilgjengelighet blir primærundersøkelsen oftest cerebral CT. CT har klare begrensninger når det gjelder fremstilling av svulster i lillehjerne/hjernestamme, og ikke-kontrastoppladende svulster kan lett bli oversett. Få nevrokirurger vil operere en intrakranial svulst uten preoperativ MR-undersøkelse. Cerebral angiografi er bare unntaksvis indisert, for eksempel ved mistanke om karrike svulster eller differensialdiagnostisk overfor rene karmalformasjoner. Ofte vil imidlertid CT-angiografi eller MR-angiografi gi en tilfredsstillende avklaring av de vaskulære forhold.
Funksjonell MR vil i fremtiden være et viktig supplement i den preoperative utredningen, spesielt av svulster nær språkområdet og motorisk hjernebark. Funksjonell MR er tilgjengelig ved Haukeland Universitetssykehus, St. Olavs Hospital og Rikshospitalet. EEG og testing for språklateralisering (WADA-test) er rutine ved svulstoperasjon etter epilepsiprotokoll (ved medikamentell intraktabel epilepsi).
Positronemisjonstomografi (PET) skiller best mellom residiv av hjernesvulst og stråleskade (16).
Undersøkelse av blod og cerebrospinalvæske
Dette har som regel liten eller ingen diagnostisk betydning. Bestemmelse av hormoner i perifert blod er imidlertid viktig ved hypofysesvulster (tab 2).
Generelle behandlingsprinsipper
Glukokortikoider
Svulster omgis ofte av et betydelig ødem i hjernevevet. Dette reagerer godt på glukokortikoider, noe som gir betydelig symptomlindring. Pasienten bør få et glukokortikoid preoperativt. Dette er symptomatisk behandling, den definitive behandling av ødemet rundt en tumor er å fjerne denne.
Kirurgi
Man tar sikte på total ekstirpasjon av svulsten. Der dette ikke er mulig, forsøker man å oppnå en så omfattende reseksjon som er forenlig med et godt funksjonelt resultat. Ved en del svulsttyper er prognosen avhengig av så total reseksjon som mulig. Derfor foretar man ny MR-undersøkelse umiddelbart etter inngrepet for å vurdere operativ radikalitet. Hvis kirurgisk tilgjengelig restsvulst påvises og prognosen avhenger av graden av fjerning, bør pasienten opereres på nytt.
Nevronavigasjon
Stereotaktiske biopsier og stereotaksiveiledet svulstreseksjon har eksistert i 40 år. I løpet av de siste ti år er det utviklet mer avanserte navigasjonssystemer. Disse kan brukes til å planlegge tilgangen ved et inngrep, men også til å lokalisere svulster og andre patologiske og normale strukturer som ikke er synlige på hjernens overflate. Hensikten er ikke bare å finne svulstene, men også å definere avgrensningen bedre, for å oppnå total ekstirpasjon. Navigasjonssystemene kan deles i to hovedgrupper: De som baserer seg på preoperative bilder (MR, CT) og de som baserer seg på peroperative (MR, ultralyd). Fordelen med peroperativ bilderegistrering er at man får korrigert for den forskyvning av hjernen som finner sted under operasjonen (brain shift), hvilket burde muliggjøre større grad av radikalitet. Alle norske nevrokirurgiske avdelinger har ett eller flere navigasjonssystemer. Per i dag er det imidlertid kun St. Olavs Hospital og Rikshospitalet som har systemer basert på peroperativt bildeopptak. St. Olavs Hospital har utviklet en ultralydbasert nevronavigator som nå lanseres på det internasjonale markedet (17). Rikshospitalet har et kommersielt tilgjengelig system basert på MR (intervensjonsmagnet).
Stereotaktisk fokusert ekstern bestråling
Med gammakniv/strålekniv eller lineær akselerator, tidligere omtalt i Tidsskriftet (18), kan høye stråledoser leveres med stor nøyaktighet mot målområdet, for gammaknivens vedkommende med diameter opptil 3,5 cm, uten at omkringliggende vev strålebelastes utover toleransegrensen. Ofte brukes da en enkelt strålefraksjon, ev. noen få. Gammakniven ved Haukeland Universitetssykehus gir fokusert bestråling i én seanse fra multiple koboltkilder med svært god presisjon ved små tumorer (opptil 3 – 3,5 cm), Radiumhospitalet har en lineær akselerator for stereotaktisk bestråling. Gammakniven brukes i første rekke ved intrakraniale metastaser, små akustikusnevrinomer, restsvulster etter tidligere operasjon for hypofysesvulster og andre benigne svulster hvor operasjon innebærer risiko.
Strålebehandling
Stråling kan helbrede pasienter med germinomer og embryonale svulster, samt noen med lymfomer, men er prinsipielt av palliativ verdi ved gliomer. Pasienter med inoperable meningeomer kan ha stor nytte av strålebehandling.
Behandlingen starter 2 – 4 uker etter operasjonen, varer i 2 – 6 uker, og vil temporært medføre håravfall i strålefeltene. Mulige bivirkninger er mental reduksjon, nedsatt hukommelse, økt trettbarhet, skade av synsbaner eller hypotalamiske og/eller hypofysære endokrine utfall (19, 20). Etter fem år er det risiko for stråleinduserte svulster, særlig meningeomer.
Kjemoterapi
Dette har vært av underordnet betydning. Mange regimer har vært forsøkt ved glioblastom, med marginal effekt. Pasienter med gliomer der tumor viser en oligodendrogliomkomponent, eller pasienter med anaplastiske gliomer kan respondere godt på prokarbazin, lomustin (CCNU) og vinkristin (PCV-kur) eller temozolomid (21, 22). Pasienter med germinalcellesvulster av germinom eller ikke-seminom type kan i en del tilfeller helbredes med regimer som inneholder cisplatin eller karboplatin. Kjemoterapi er også av verdi ved primært lymfom i hjernen.
De enkelte svulsttyper, behandling og prognose
Nevroepiteliale svulster
Ved lavgradige astrocytomer tilstreber man total ekstirpasjon av svulsten (23, 24).Vi anbefaler ikke postoperativ strålebehandling. Der man ikke oppnår radikal fjerning, følges pasienten med MR-kontroller. Ved MR-verifisert vekst av restsvulst og ved residiv av svulst etter totalreseksjon gjøres ev. ny reseksjon etterfulgt av strålebehandling. Kjemoterapi har ingen etablert plass i behandlingen av lavgradige astrocytomer (25). Femårsoverlevelsen for voksne astrocytompasienter er ca. 50 % (26), men kurven er fallende etter fem år pga. svulstprogrediering/residiv.
De hurtigvoksende og mer maligne anaplastiske astrocytomer og glioblastomer behandles med så radikal reseksjon som mulig, etterfulgt av strålebehandling (27) – (29). Ved vekst av resttumor/residiv av anaplastisk astrocytom kan det være aktuelt med ny operasjon. Ved residiv av glioblastom er man mer tilbakeholden med dette. Cytostatika har for tiden liten plass i behandlingen av astrocyttderiverte svulster. Det er imidlertid vist at karmustin gitt intravenøst gir noe forlengelse av livet for pasienter med glioblastom (30), men femårsoverlevelsen for disse er < 5 % (26). Prognosen ved anaplastisk astrocytom er noe bedre. Kurasjon er imidlertid svært sjeldent. Gjennomsnittlig overlevelse for glioblastompasienter er 0,5 – 1 år, men tilsynelatende varig helbredelse er også sett.
Oppfølgingsrutinene for pasienter med glioblastom og anaplastisk astrocytom må være avstemt etter behandlingsmuligheter ved ev. residiv og konsekvensen av progrediering ved etablert residiv. Overdreven diagnostisk iver skaper ofte falske forhåpninger. Høy alder, svekket preoperativ funksjonsstatus og subtotal reseksjon er negative prognostiske faktorer ved glioblastom og må tillegges vekt i valg av behandling og oppfølging (29).
Ved oligodendrogliomer tilstrebes total ekstirpasjon. Pasienten skal ikke ha ytterligere svulstrettet behandling, men følges med MR-kontroller. Ved subtotal reseksjon vurderes kjemoterapi i form av prokarbazin, lomustin (CCNU) og vinkristin (PCV-kur), en kur som har en relativt godt dokumentert effekt på oligodendrogliomer (21, 31). Dersom det er residiv etter totalreseksjon, vurderes ny reseksjon, etterfulgt av PCV-kurer. Ved manglende effekt av kjemoterapi skal pasienten ha stråleterapi. Femårsoverlevelsen ved oligodendrogliom er ca. 50 % (26), men kurven er fallende etter fem år pga. svulstprogrediering/residiv. Få blir kurert, men enkelte kan leve i over 20 år til. Nye rapporter tyder på at kjemoterapiresponsen for oligodendrogliomer er assosiert med spesifikke genskader i svulsten (31).
Nevronale og blandede nevronale-gliale svulster
Gangliogliom og dysembryoplastisk nevroepitelial tumor har predileksjonssted i temporallappen, hvor de ofte gir opphav til medikamentelt intraktabel epilepsi. Total ekstirpasjon er kurativt, men residiv er beskrevet. Nytteverdien av stråleterapi og kjemoterapi er diskutabel.
Sentralt nevrocytom finnes som regel i relasjon til ventrikkelsystemet. Malign transformasjon er meget sjeldent. Behandlingen er totalreseksjon, og dette er som regel kurativt. Residiv er sjeldent. Pasientene skal ikke ha stråleterapi.
Tabell 2
Blodprøver ved mistanke om hypofysesvulst
| S-kalsium |
S-veksthormon |
| S-natrium |
S-IGF I |
| S-kalium |
S-ACTH |
| S-osmolaritet |
S-TSH |
| S-østradiol (kvinne) |
S-fritt tyroksin |
| S-testosteron (mann) |
S-tyroksin |
| S-progesteron |
S-trijodtyronin |
| S-prolaktin |
S-kortisol kl 08 |
| S-FSH |
S-kortisol kl 20 |
| S-LH |
Meningeomer
Dette er som regel godartede, velavgrensede svulster som vokser langsomt. Ved små svulster, som gir lite eller ingen plager, må man derfor overveie om man skal operere. Dersom pasienten er gammel eller skrøpelig og forventet livslengde kort, kan det være riktig å observere vedkommende med regelmessige CT- eller MR-kontroller. Kirurgi bør først vurderes dersom tumorvekst kan forringe/forkorte pasientens liv. Det samme gjelder ved akustikusnevrinomer. Hvis man opererer, tilstreber man radikal operasjon. Dette er oftest mulig ved meningeomer på hjernens konveksitet, falx cerebri, laterale kilebeinsvinge eller frontobasalt (fig 2). Radikal operasjon kan være vanskeligere eller umulig ved meningeomer som affiserer sinus sagittalis, den cerebellopontine vinkel, sinus cavernosus eller clivus. Etter makroskopisk radikal operasjon får ca. 10 % residiv innen ti år, og ved subtotal reseksjon vil mer enn 50 % få betydelig vekst av restsvulsten i dette tidsrom (32). Radikalopererte skal ikke ha strålebehandling. Etter subtotal reseksjon bør man overveie stereotaktisk ekstern bestråling av restsvulst (33). Konvensjonell bestråling kan også gis ved restsvulst (34), men pga. senskader foretrekker vi stereotaktisk bestråling når dette er mulig. Ved anaplastiske/maligne meningeomer er residivfrekvensen betydelig hyppigere, derfor er man mer liberal med stråleterapi. Tiårsoverlevelsen for pasienter med meningeom er 96 % (korrigert for annen dødsårsak) (35).
Akustikusnevrinomer
Akustikusnevrinomer hos yngre bør behandles, og jo tidligere de oppdages og jo mindre de er, desto bedre blir resultatet. Hos eldre eller skrøpelige pasienter må det gjøres en grundig avveining av risiko versus nytte. Som for meningeompasientene velger man ofte å avvente utviklingen, for så å tilby behandling bare der svulsten vokser eller gir progredierende symptomer.
Behandlingsalternativene er kirurgisk reseksjon og/eller stereotaktisk ekstern bestråling. Valget avhenger av pasientens alder, yrke, hørsel (ipsilateral og kontralateral), svulstens størrelse og ledsagende medisinske problemer, som for eksempel hjerte og lungesykdom. Akustikusnevrinomer større enn ca. 3 cm skal behandles kirurgisk. Ev. restsvulst kan bestråles stereotaktisk.
Hovedproblemet ved disse operasjonene er å bevare n. facialis, som ofte ligger som et tynt slør over svulstkapselen. Ved hjelp av mikrokirurgisk teknikk og peroperativ nevrofysiologisk kartlegging er det som regel mulig å bevare facialisnerven også ved store akustikusnevrinomer (36). Hørselen går gjerne tapt på den opererte siden, men ved små akustikusnevrinomer kan man bevare noe (37). Stereotaktisk ekstern bestråling er et alternativ til operasjon ved svulster som er mindre enn ca. 3 cm i diameter (38, 39). For små svulster er behandlingsresultatene relativt likeverdige med henblikk på svulstkontroll og komplikasjoner.
Primære maligne lymfomer
Disse debuterer ofte med multifokale periventrikulære lesjoner, og de sprer seg sjelden ekstrakranialt. Kliniske og radiologiske tegn på primært hjernelymfom kan forbigående forsvinne etter steroid- eller strålebehandling. Prognosen er likevel dårlig, med raskt residiv. Median overlevelse er ca. ett år, femårsoverlevelsen 10 – 20 % etter strålebehandling alene. Systemisk og intratekal metotreksat i kombinasjonskurer med bl.a. cytarabin synes å forbedre prognosen (40).
Hypofysesvulster
Behandlingsmulighetene er operasjon, medikamenter, stereotaktisk bestråling og ev. konvensjonell strålebehandling, hver for seg eller i kombinasjon (41) – (47). Operasjonen gjøres som regel med transsfenoidal tilgang opp gjennom nesen, bare sjelden med transkranial tilgang.
Operasjon er primærbehandling ved følgende tilfeller:
Svulster (unntatt prolaktinomer) som gir kompresjon av nevrale strukturer, særlig synsnervene
Veksthormonproduserende svulster
ACTH- og TSH-produserende svulster
Prolaktinomer som ikke skrumper ved medikamentell behandling, eller hvis medikamentell behandling må stoppes på grunn av bivirkninger
Medikamentell behandling av hypofysesvulster brukes i følgende tilfeller:
Dopaminagonister er primærbehandling ved alle mikroprolaktinomer og de fleste makroprolaktinomer
Ved veksthormonproduserende svulster har man et behandlingsalternativ i somatostatinanaloger, ev. i kombinasjon med dopaminagonister. Hovedindikasjonen er når kirurgisk behandling og/eller stereotaktisk bestråling ikke har gitt tilfredsstillende reduksjon av plasmanivået av veksthormon og insulinliknende vekstfaktor 1 (IGF-1)
Substitusjonsbehandling ved hypopituitarisme
Strålebehandling. Hypofysesvulster er relativt strålefølsomme. Konvensjonell stråleterapi og stereotaktisk ekstern fokusert bestråling er dokumentert nyttig adjuvans ved inkomplett fjernede svulster og infiltrerende svulster. I Norge benyttes i hovedsak stereotaktisk bestråling. Residiv er ikke uvanlig (10 – 20 %), og for alle pasienter er det nødvendig med livslang oppfølging.
Metastaser
Siktemålet for behandlingen er å stoppe veksten i de intrakraniale svulstmanifestasjonene. Dersom man oppnår dette, blir det de ekstrakraniale manifestasjonene som avgjør prognosen og det videre forløp. Avgjørende for valg av behandling er antall metastaser (bedømt ved cerebral MR), deres lokalisasjon, utbredelse av grunnsykdom, pasientens allmenntilstand og svulsttype. Ved utbredt kreftsykdom og dårlig allmenntilstand som ikke skyldes én solitær hjernemetastase, bør man avstå fra spesifikk behandling rettet mot hjernemetastasene. Glukokortikoider gis mot ødem rundt svulsten. Det er indikasjon for kirurgisk behandling av solitære hjernemetastaser i følgende tilfeller:
Kreftsykdommen ellers er relativt stasjonær, pasientens allmenntilstand er relativt god, og metastasen gir betydelige plager
Ukjent primærsvulst
Metastasekirurgi på nevnte indikasjoner gir forlenget levetid og bedre livskvalitet (48). Solitære hjernemetastaser kan fjernes kirurgisk. Metastaser med diameter under 3 – 3,5 cm kan også behandles med stereotaktisk ekstern bestråling (18, 49). Ved ukjent primærsvulst har kirurgisk fjerning den fordelen at man kan få en histologisk pekepinn om utgangspunktet. For øvrig er resultatene ved de to behandlingsmodalitetene likeverdige for solitære metastaser under 3 cm. Det er ofte for omfattende å fjerne flere enn én metastase. Hos pasienter med inntil tre hjernemetastaser foretrekkes derfor stereotaktisk ekstern bestråling.
Postoperativ strålebehandling gis ofte ikke etter ekstirpasjon eller stereotaktisk bestråling av solitære metastaser. Ved svulstresidiv i samme område gjøres ny reseksjon/stereotaktisk bestråling, da vanligvis fulgt av konvensjonell strålebehandling. Ved solitære hjernemetastaser som ikke egner seg for kirurgi eller stereotaktisk ekstern bestråling, samt ved multiple hjernemetastaser (mer enn to-tre), kan konvensjonell bestråling vurderes. Kjemoterapi har liten plass i behandlingen av hjernemetastaser, bortsett fra ved bryst- og testikkelkreft. I jakten på primærsvulst hos pasienter behandlet for solitær hjernemetastase uten kjent origo, bør man begrense seg til undersøkelser som kan ha terapeutiske konsekvenser. Det er viktig å avdekke om pasienten har germinalcellesvulst, brystkreft, kreft i prostata, lymfom, småcellet anaplastisk lungekarsinom, svulst i skjoldkjertelen eller plateepitelkarsinom i øre-nese-hals-området, fordi det ved disse svulstformer finnes behandlingsmuligheter i tillegg til kirurgi og strålebehandling.
- 1.
Helseth E, Due-Tønnessen B, Lundar T, Scheie D, Skullerud S, Wesenberg F et al. Intrakraniale svulster hos barn. Tidsskr Nor Lægeforen 2003; 123: 0000 – 00.
- 2.
Gudmundsson KR. A survey of the tumours of the central nervous system in Iceland during the 10-year period 1954 – 1963. Acta Neurol Scand 1970; 46: 538 – 52.
- 3.
Fogelholm R, Uutela T, Murros K. Epidemiology of central nervous system neoplasms. A regional survey in central Finland. Acta Neurol Scand 1984; 69: 129 – 36.
- 4.
Helseth A, Langmark F, Mørk SJ. Neoplasms of the central nervous system in Norway. II. Descriptive epidemiology of intracranial neoplasms 1955 – 1984. APMIS 1988; 96: 1066 – 74.
- 5.
Surawicz TS, McCarthy BJ, Kupelian V, Jukich PJ, Bruner JM, Davis FG. Descriptive epidemiology of primary brain and CNS tumors: results from the Central Brain Tumor Registry of the United States, 1990 – 1994. Neuro-oncol 1999; 1: 14 – 25.
- 6.
Posner JB. Management of brain metastases. Rev Neurol (Paris) 1992; 148: 477 – 87.
- 7.
Kleihues P, Cavenee WK. Tumours of the nervous system. World Health Organization classification of tumours. Lyon: IARC Press, 2000.
- 8.
Daumas-Duport C, Varlet P, Tucker ML, Beuvon F, Cervera P, Chodkiewicz JP. Oligodendrogliomas. Part I: Patterns of growth, histological diagnosis, clinical and imaging correlations: a study of 153 cases. J Neurooncol 1997; 34: 37 – 59.
- 9.
Corn BW, Marcus SM, Topham A, Hauck W, Curran WJ jr. Will primary central nervous system lymphoma be the most frequent brain tumor diagnosed in the year 2000? Cancer 1997; 79: 2409 – 13.
- 10.
Pollak L, Walach N, Gur R, Schiffer J. Meningiomas after radiotherapy for tinea capitis – still no history. Tumori 1998; 84: 65 – 8.
- 11.
Walter AW, Hancock ML, Pui CH, Hudson MM, Ochs JS, Rivera GK et al. Secondary brain tumors in children treated for acute lymphoblastic leukemia at St Jude Children`s Research Hospital. J Clin Oncol 1998; 16: 3761 – 7.
- 12.
Kaplan S, Novikov I, Modan B. Nutritional factors in the etiology of brain tumors: potential role of nitrosamines, fat, and cholesterol. Am J Epidemiol 1997; 146: 832 – 41.
- 13.
Salvatore JR, Weitberg AB, Mehta S. Nonionizing electromagnetic fields and cancer: a review. Oncology (Huntingt) 1996; 10: 563 – 74.
- 14.
Inskip PD, Mellemkjær L, Gridley G, Olsen JH. Incidence of intracranial tumors following hospitalization for head injuries (Denmark). Cancer Causes Control 1998; 9: 109 – 16.
- 15.
Inskip PD, Tarone RE, Hatch EE, Wilcosky TC, Shapiro WR, Selker RG et al. Cellular-telephone use and brain tumors. N Engl J Med 2001; 344: 79 – 86.
- 16.
Langleben DD, Segall GM. PET in differentiation of recurrent brain tumor from radiation injury. J Nucl Med 2000; 41: 1861 – 7.
- 17.
Gronningsaeter A, Kleven A, Ommedal S, Aarseth TE, Lie T, Lindseth F et al. SonoWand, an ultrasound-based nevronavigation system. Neurosurg 2000; 47: 1373 – 80.
- 18.
Baardsen R, Larsen JL, Wester K, Pedersen P-H. Hjernemetastaser behandlet med stereotaktisk gammabestråling – seks års erfaring med bruk av «gammakniven» ved Haukeland Sykehus. Tidsskr Nor Lægeforen 1997; 117: 1591 – 5.
- 19.
Schultscheiss TE, Kun LE, Ang KK, Stephens LC. Radiation response of the central nervous system. Int J Radiat Oncol Biol Phys 1995; 31: 1093 – 112.
- 20.
Rauhut F, Stolke D. Combined surgery and radiotherapy of invasive pituitary adenomas – problems of radiogenic encephalopathy. Acta Neurochir Suppl (Wien) 1996; 65: 37 – 40.
- 21.
Batchelor T. Temozolomide for malignant brain tumours. Lancet 2000; 355: 1115 – 6.
- 22.
Chinot O. Chemotherapy for the treatment of oligodendroglial tumors. Semin Oncol 2001; 28 (suppl 13): 13 – 8.
- 23.
Keles GE, Lamborn KR, Berger MS. Low-grade hemispheric gliomas: a critical review of extent of resection as a factor influencing outcome. J Neurosurg 2001; 95: 735 – 45.
- 24.
Laws ER. Resection of low-grade gliomas. J Neurosurg 2001; 95: 731 – 2.
- 25.
Lesser GJ. Chemotherapy of low-grade gliomas. Semin Radiat Oncol 2001; 11: 138 – 44.
- 26.
Helseth A, Mørk S. Neoplasms of the central nervous system in Norway. III. Epidemiological characteristics of intracranial gliomas according to histology. APMIS 1989; 97: 547 – 55.
- 27.
Barker FG, Prados MD, Chang SM, Gutin PH, Lamborn KR, Larson DA et al. Radiation response and survival time in patients with glioblastoma multiforme. J Neurosurg 1996; 84: 442 – 8.
- 28.
Wirtz CR, Knauth M, Staubert A, Bonsanto MM, Sartor K, Kunze S et al. Clinical evaluation and follow-up results for intraoperative magnetic resonance imaging in neurosurgery. Neurosurg 2000; 46: 1112 – 22.
- 29.
Lacroix M, Abi-Said D, Fourney DR, Gokaslan ZL, Shi W, DeMonte F et al. A multivariate analysis of 416 patients with glioblastoma multiforme: prognosis, extent of resection, and survival. J Neurosurg 2001; 95: 190 – 8.
- 30.
Fine HA, Dear KB, Loeffler JS, Black PM, Canellos GP. Meta-analysis of radiation therapy with and without adjuvant chemotherapy for malignant gliomas in adults. Cancer 1993; 71: 2585 – 97.
- 31.
Cairncross JG, Ueki K, Zlatescu MC, Lisle DK, Finkelstein DM, Hammond RR et al. Specific genetic predictors of chemotherapeutic response and survival in patients with anaplastic oligodendrogliomas. J Natl Cancer Inst 1998; 90: 1473 – 9.
- 32.
Simpson D. The recurrence of intracranial meningiomas after surgical treatment. J Neurol Neurosurg Psych 1957; 20: 22 – 39.
- 33.
Debus J, Wuendrich M, Pirzkall A, Hoess A, Schlegel W, Zuna I et al. High efficacy of fractionated stereotactic radiotherapy of large base-of-skull meningiomas: long-term results. J Clin Oncol 2001; 19: 3547 – 53.
- 34.
Glaholm J, Bloom HJG, Crow JH. The role of radiotherapy in the management of intracranial meningiomas: the Royal Marsden Hospital experience with 186 patients. Int J Radiat Oncol Biol Phys 1990; 18: 755 – 61.
- 35.
Helseth A. Incidence and survival of intracranial meningioma patients in Norway 1963 – 1992. Neuroepidemiol 1997; 16: 53 – 9.
- 36.
Samii M, Matthies C. Management of 1000 vestibular schwannomas (acustic nevromas): the facial nerve – preservation and restitution of function. Neurosurg 1997; 40: 684 – 95.
- 37.
Matthies C, Samii M. Management of vestibular schwannomas (acustic nevromas): the value of nevrophysiology for evaluation and prediction of auditory function in 420 cases. Neurosurg 1997; 40: 919 – 30.
- 38.
Flickinger JC, Kondziolka D, Niranjan A, Lunsford D. Results of acoustic nevroma radiosurgery: an analysis of 5 years` experience using current methods. J Neurosurg 2001; 94: 1 – 6.
- 39.
Foote KD, Friedman WA, Buatti JM, Meeks SL, Bova FJ, Kubilis PS. Analysis of risk factors associated with radiosurgery for vestibular schwannoma. J Neurosurg 2001; 95: 440 – 9.
- 40.
Reni M, Ferreri AJ, Guha-Thakurta N, Blay JY, Dell`Oro S, Biron P et al. Clinical relevance of consolidation radiotherapy and other main therapeutic issues in primary central nervous system lymphomas treated with upfront high-dose metotrexate. Int J Radiat Oncol Biol Phys 2001; 51: 419 – 25.
- 41.
Klibanski A, Zervas NT. Diagnosis and management of hormone secreting pituitary adenomas. N Engl J Med 1991; 324: 822 – 31.
- 42.
Krieger MD, Weiss MH. Transsphenoidal approach for nonfunctioning macroadenomas. Techniq Neurosurg 2000; 6: 266 – 74.
- 43.
Foote KD, Friedman WA, Buatti JM, Bova FJ. Radiosurgical techniques for pituitary adenomas. Techniq Neurosurg 2000; 6: 289 – 98.
- 44.
Bollerslev J, Johansen ML, Bakke S, Aanderud S, Cappelen J, Schreiner T et al. Akromegali – diagnostikk og behandling. Tidsskr Nor Lægeforen 2000; 120: 2534 – 8.
- 45.
Svartberg J, Carlsen SM, Cappelen J, Aanderud S, Johansen ML, Schreiner T et al. Hyperprolaktinemi og prolaktinom – utredning og behandling. Tidsskr Nor Lægeforen 2002; 122: 494 – 8.
- 46.
Milker-Zabel S, Debus J, Thilmann C, Schlegel W, Wannenmacher M. Fractionated stereotactically guided radiotherapy and radiosurgery in the treatment of functional and nonfunctional adenomas of the pituitary gland. Int J Radiat Oncol Biol Phys 2001; 50: 1279 – 86.
- 47.
Sasaki R, Murakami M, Okamoto Y, Kono K, Yoden E, Nakajima T et al. The efficacy of conventional radiation therapy in the management of pituitary adenoma. Int J Radiat Oncol Biol Phys 2000; 47: 1337 – 45.
- 48.
Patchell RA, Tibbs PA, Walsh JW, Dempsey RJ, Maruyama Y, Kryscio RJ et al. A randomized trial of surgery in the treatment of single metastases to the brain. N Engl J Med 1990; 322: 494 – 500.
- 49.
Schoggl A, Kitz K, Wolfsberger S, Schneider B, Dieckmann K, Ungersbock K. Defining the role of stereotactic radiosurgery versus microsurgery in the treatment of single brain metastases. Acta Neurochir (Wien) 2000; 142: 621 – 6.