Background.
Uterine myomata are the most common tumours of the female reproductive system. Treatment options are typically surgical, either hysterectomy or myomectomy.
Method.
Percutaneous transcatheter embolisation of the uterine arteries through the injection of non-biodegradable polyvinyl alcohol particles is a new, minimally invasive investigational treatment modality. The procedure is performed under local analgesia with mild sedation. The procedure has recently been introduced in four Norwegian hospitals and by August 2002 approximately 150 patients had been managed. This review provides information about the method and current worldwide experience with it. Our own clinical routines are described.
Results and interpretation.
Embolisation of myoma is a promising new method for treating myoma-related symptoms. It has well documented effect on volume reduction and clinical symptoms. Severe complications are rare. Long-term comprehensive data are still lacking.
Myoma uteri er den vanligste godartede tumor hos kvinner og kan være assosiert med betydelige plager, som blødningsforstyrrelse, smerter, dysmenoré, dyspareuni og trykksymptomer. Behandling har i hovedsak vært hysterektomi eller myomektomi, eventuelt transcervikal reseksjon ved submukøse myomer. Sistnevnte to metoder er organbevarende.
Perkutan transarteriell embolisering av uterinarteriene ved injeksjon av inerte ikke-nedbrytbare polyvinylalkoholpartikler er nylig tatt i bruk som behandling av symptomgivende uterusmyomer ved flere av våre større sykehus. Siktemålet er å oppnå volumreduksjon og blødningskontroll. Behandlingen er minimalt invasiv, organbevarende og kan utføres dagkirurgisk i lokalanestesi (1).
Hensikten med artikkelen er å gi en kort omtale av metoden, dens potensial og begrensninger. Litteratursøk er gjort i anerkjente internasjonale tidsskrifter samt datasøk i ISI Web of Science og Medline (Webspirs) med søkeordene: «uterine artery embolization/embolisation», «uterine fibroid», «embolization», «PVA particles».
Historikk
I 1979 beskrev Brown og medarbeidere embolisering av uterinarteriene som behandling av alvorlig blødning post partum (2). Senere er metoden brukt for å oppnå blødningskontroll ved trofoblastsvulster, gyne-kologisk cancer og bekkentraumer og som behandling ved cervikal graviditet ((3) – (6) ).
Ravina og medarbeidere fra Paris publiserte i 1995 resultatene av embolisering hos 16 pasienter med symptomgivende myom, hovedsakelig menoragi (7). I 1997 publiserte samme gruppe en 6 – 60 måneders oppfølging av 80 pasienter der man hadde oppnådd en gjennomsnittlig volumreduksjon på 69 % og blødningskontroll hos 89 % (8). Metoden har raskt fått stor utbredelse. I 1999 var det på verdensbasis rapportert behandlet 193 pasienter (9), i 2001 trolig mer enn 20 000 (10). I Norge er det per august 2002 behandlet ca. 150 pasienter ved fire sykehus.
Metodikk
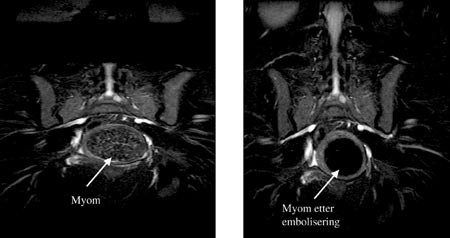
Arteria femoralis communis punkteres perkutant i høyre lyske og a. iliaca interna kateteriseres med 4 F-kateter med fleksibel tupp. Deretter tilstrebes selektiv kateterisering av a. uterina slik at den cervikovaginale gren av arterien bevares ved emboliseringen. Røntgenkontrast blandet med polyvinylalkoholpartikler av 355 – 500 m størrelse injiseres langsomt. Injiseringen avsluttes når det ikke lenger påvises sirkulasjon til myomet eller myomene. Samme prosedyre gjentas på motsatt side via samme tilgang i lysken. Dermed unngås nytt innstikk. Det er viktig å påvise eventuell kollateral sirkulasjon fra a. uterina til det ene eller begge adnekser fordi det kan redusere emboliseringseffekten. I slike tilfeller kan det være aktuelt først å embolisere kollateralene. Ved kateteriseringen kan det oppstå arteriespasme i området der katerspissen befinner seg. Dette kan behandles med lokal injeksjon av nitroglyserin. Avslutningsvis utføres aortagrafi for å utelukke eventuell sirkulasjon til myom fra a. ovarica. Figur 1 viser selektiv angiografi av venstre a. uterina med oppladning i stort myom før og etter embolisering. Figur 2 viser stort intramuralt myom før og ni måneder etter embolisering.
Indikasjoner
Hovedindikasjonen er store, symptomgivende myomer, hovedsakelig relatert til trykksymptomer og blødningsforstyrrelser hos kvinner som ikke lenger har ønske om barn (10) – (14). Metoden er særlig aktuell for dem som ønsker å unngå hysterektomi og hos kvinner som av religiøse grunner ønsker å minske risikoen for blodtransfusjon ved kirurgisk behandling.
Ved infertilitet som antas å skyldes myom er den mest aktuelle behandling fortsatt abdominal eller transcervikal myomektomi, selv om det er beskrevet ukompliserte svangerskap etter emboliseringsbehandling (3, 11, 15). I gitte situasjoner kan det imidlertid være aktuelt å vurdere embolisering som et mulig alternativ også ved infertilitet. Det gjelder særlig ved multiple myomer eller myomlokalisasjon der kirurgi medfører stor risiko for å skade uterus. Embolisering vil imidlertid kreve grundig klinisk vurdering, god pasientinformasjon og samtykke.
Kontraindikasjoner
Pågående eller nylig gjennomgått genitalinfeksjon og koagulopati er absolutte kontraindikasjoner. På grunn av mulig økt risiko for komplikasjoner, muligens også dårligere virkning, er det hevdet at embolisering ikke bør tilbys dersom øvre begrensning av den myomatøse uterus når over umbilikaltransversalen (svarende til 24 ukers graviditet) eller ved stilkete subserøse myomer (11, 14). Pasienten må være innforstått med at hysterektomi kan bli nødvendig dersom det oppstår komplikasjoner, for eksempel infeksjon i et nekrotisk myom.
Resultater
De foreløpige publiserte resultater er oppmuntrende både når det gjelder volumreduksjon og blødningskontroll, men det er grunn til å fremheve at det ikke finnes langtidsresultater. Den gjennomsnittlige myomskrumping ved submukøse eller interstitielle myomer etter seks og 12 måneder er funnet å være i størrelsesorden 60 – 70 % (10) – (19). Hos enkelte forsvinner myomene fullstendig (> 98 % volumreduksjon) (18). Det er imidlertid også beskrevet manglende virkning hos enkelte pasienter, muligens som følge av utilstrekkelig, for eksempel unilateral, embolisering, ved stilkete subserøse myomer eller revaskularisering via a. ovarica.
Ved menoragi som hovedindikasjon fant Pelage og medarbeidere at 90 % var blitt kvitt sine plager (16). Også de få undersøkelser som belyser livskvalitet viser høy pasienttilfredshetsskåre (20, 21). Undersøkelsenes validitet begrenses imidlertid av relativt kort observasjonstid. 2 – 6 % ender opp med hysterektomi pga. manglende volumreduksjon, persisterende blødning, infeksjon eller smerter (12, 16).
Komplikasjoner og bivirkninger
Med utgangspunkt i de publikasjoner som foreligger, og at det på verdensbasis er utført mer enn 20 000 behandlinger, synes komplikasjonsrisikoen å være liten og trolig vesentlig lavere enn ved hysterektomi og myomektomi (22) – (24). De fleste komplikasjoner er lette og av forbigående natur.
Det såkalte postemboliseringssyndromet opptrer hos de fleste og i vekslende grad. Det kjennetegnes av noen dager med moderat temperaturstigning, smerte, kvalme, sykdomsfølelse, leukocytose og forhøyet CRP. Dette er trolig en naturlig følge av den induserte iskemi og vevsnekrose. Hematom og smerte på innstikksstedet i lysken forekommer. Forbigående fluor kan være rikelig. Ved submukøse myomer kan deler av myomet avstøtes vaginalt. To tilfeller av uterusnekrose er publisert (16, 25).
Infeksjon i nekrotisk myommateriale forekommer og er, ved siden av manglende virkning eller persisterende smerter, en av årsakene til at det må utføres hysterektomi. Fem dødsfall er rapportert. To skyldtes sepsis, trolig med utgangspunkt i et nekrotisk myom (26, 27). To var relatert til oversett malignitetsdiagnose, henholdsvis sarkoma uteri og anorektalcancer (28, 29). En kvinne på 60 år med kjent mammacancer døde trolig på grunn av lungeemboli (11).
Bradley og medarbeidere har henledet oppmerksomheten på at behandlingen kan føre til amenoré og fremskyndet menopause, teoretisk som følge av minsket gjennomblødning til eller bestråling av ovariene (30). Det er imidlertid foreløpig vanskelig å avgjøre om denne risikoen er reell, fordi behandlingen i de fleste tilfeller tilbys kvinner i premenopausal livsfase (31). Dertil kommer at alternativet, hysterektomi, trolig også fremskynder menopausealder (22). Stråledosen mot ovariene er beregnet å være moderat, 14 – 20 rad, dvs litt over nivået ved røntgen colon og hysterosalpingografi (17, 32).
Egne retningslinjer
Universitetssykehuset Nord-Norge har siden primo 2001 tilbudt denne behandlingen til kvinner med symptomgivende myom, fortrinnsvis smerte og trykksymptomer, som ellers ville blitt tilbudt hysterektomi og som ønsker organbevaring. Det kreves samtykke basert på skriftlig og muntlig informasjon. Preoperativt utføres bl.a. cervixcytologisk undersøkelse, endometriehistologi, bakteriologisk undersøkelse, hemoglobin, ferritin, CA-125, hormonstatus, hCG, kreatinin og MR. Vi har foreløpig valgt å utføre behandlingen under sykehusinnleggelse for å sikre optimal postoperativ smertelindring og kontroll. Selve emboliseringen utføres i lokalanestesi. Iskemismerten inntrer ganske akutt under siste del av emboliseringen og behandles enkelt og effektivt ved repetitive små doser fentanyl intravenøst. I avdelingen benyttes pasientstyrt smertepumpe med morfin i ett til tre døgn, eventuelt i kombinasjon med diklofenak stikkpiller. Pasienten innkalles til MR-kontroll etter 6 – 12 måneder.
Økonomi
Emboliseringsprosedyren utføres i løpet av en til to timer, dvs. omtrent samme tidsforbruk som ved hysterektomi. Det er foreløpig ikke utført økonomiske beregninger der man sammenlikner embolisering med tradisjonell abdominal eller vaginal hysterektomi eller organbevarende myomektomi. Fordi behandlingen har få komplikasjoner, kan utføres ambulant med liten komplikasjonsrisiko og medfører kort sykmeldingstid, er det nærliggende å anta at embolisering vil være et omkostningsgunstig alternativ sammenliknet med både tradisjonell hysterektomi og myomektomi.
Kapasitet
Kapasiteten for denne type behandling vil i stor grad bestemmes av lokale ressurser. Den kan utføres ved sykehus som har godt angiografiutstyr og kompetente intervensjonsradiologer. Etnært samarbeid mellom gynekolog og radiolog er viktig.
Konklusjon
Emboliseringsbehandling av symptomgivende uterusmyomer er et nytt, organbevarende behandlingstilbud. De foreløpige resultater er lovende både når det gjelder volumreduksjon og oppnådd blødningskontroll, men langtidsresultater foreligger ikke. Metoden synes å ha få alvorlige komplikasjoner. Bare 2 – 6 % ender opp med hysterektomi. Den er særlig aktuell hos kvinner der det foreligger indikasjon for hysterektomi, men der hun ønsker å bevare uterus. Behandlingen utføres av erfarne intervensjonsradiologer og krever spesialutstyr. Ressursmessig er det sannsynlig at metoden vil være gunstig sammenliknet med tradisjonell kirurgisk hysterektomi. Embolisering av uterinarteriene er fortsatt å anse som utprøvende behandling. Det tilsier informert samtykke og at resultater og komplikasjoner registreres nøye.
Embolisering av uterinarteriene ved hjelp av injiserbare mikropartikler er et nytt minimalt invasivt og organbevarende behandlingsalternativ ved symptomgivende uterusmyomer. De første resultater ble publisert 1995
Komplikasjonsrisikoen synes å være liten, men langtidsresultater er ikke kjent
Beregninger over omkostninger, ressursbruk og sykmeldingstid i forhold til tradisjonell kirurgi foreligger ikke
Injeksjonsteknikken er krevende og utføres av erfarne intervensjonsradiologer
Metoden er fortsatt å anse som utprøvende
Vi takker overlege Geir Havsahl, Røntgenavdelingen, Rikshospitalet, for samarbeid og god faglig støtte i forbindelse med innføring av emboliseringsbehandling ved Universitetssykehuset Nord-Norge.
- 1.
Klein A, Schwartz ML. Uterine artery embolization for the treatment of uterine fibroids: an outpatient procedure. Am J Obstet Gynecol 2001; 184: 1556 – 63.
- 2.
Brown DJ, Heaston DK, Poulson AM, Scott JR. Uncontrollable postpartum bleeding: a new approach to hemostasis through angiographic arterial embolization. Obstet Gynecol 1979; 54: 361 – 5.
- 3.
Mc Ivor J, Cameron EW. Pregnancy after uterine artery embolization to control haemorrhage from gestational trophoblastic tumour. Br J Radiol 1996; 69: 624 – 9.
- 4.
Cosin JA, Bean M, Grow D, Wiczyk H. The use of metothrexate and arterial embolization to avoid surgery in a case of cervical pregnancy. Fertil Steril 1997; 67: 1169 – 71.
- 5.
Lang EK. Management of haemorrhaging pelvic neoplasms by transcatheter embolisation. J Intervent Radiol 1989; 4: 113 – 7.
- 6.
Katz MD, Teitelbaum GP, Pentecost MJ. Diagnostic arteriography and therapeutic transcatheter embolization for post-traumatic pelvic hemorrhage. Semin Intervent Radiol 1992; 9: 4 – 12.
- 7.
Ravina JH, Herbreteau D, Bouret JM, Houdart E, Aymard A, Merland JJ. Arterial embolisation to treat uterine myoma. Lancet 1995; 346: 671 – 2.
- 8.
Ravina JH, Bouret JM, CiraruVigneron N, Repiquet D, Herbreteau D, Aymard A et al. Recours à l’embolisation artérielle particulaire dans le traitement de certains fibromyomes utérins. Bull Acad Natl Med 1997; 181: 233 – 46.
- 9.
Abulafia O, Sherer DM. Transcatheter uterine artery embolization for the management of symptomatic uterine leiomyomas. Obstet Gynecol Surv 1999; 54: 745 – 53.
- 10.
Justesen P, Lund N, Andersen PE, Elle B, Jensen CF. Endovaskulær behandling av uterusfibromer. Ugeskr Læger 2001; 163: 437 – 4.
- 11.
Royal college of radiologists and Royal college of obstetricians and gynaecologists. Clinical recommendations on the use of uterine artery embolisation in the management of fibroids. Report from a joint working party. London: Royal college of obstetricians and gynaecologists, 2001.
- 12.
Goodwin SC, Vedantham S, McLucas B, Forno AE, Perella R. Preliminary experience with uterine artery embolization for uterine fibroids. J Vasc Interv Radiol 1997; 8: 517 – 26.
- 13.
Goodwin SC, McLucas B, Lee M, Chen G, Perella R, Vedantham S et al. Uterine artery embolization for the treatment of uterine leiomyomata. J Vasc Interv Radiol 1999; 10: 1159 – 65.
- 14.
Spies JB, Asher SA, Roth AR, Kim J, Levy EB, Gomez-Jorge J. Uterine artery embolization for leiomyomata. Obstet Gynecol 2001; 98: 29 – 34.
- 15.
Ravina JH, Vigneron NC, Aymard A, Le Dref O, Merland JJ. Pregnancy after embolization of uterine myoma: report of 12 cases. Fertil Steril 2000; 73: 1241 – 3.
- 16.
Pelage J-P, Le Dref O, Soyer P, Kardache M, Dahan H, Abitbol M et al. Fibroid related menorrhagia: treatment with superselective embolization of the uterine arteries and midterm follow-up. Radiology 2000; 215: 428 – 31.
- 17.
McLucas B, Adler L, Perella R. Uterine fibroid embolization: nonsurgical treatment for symptomatic fibroids. J Am Coll Surg 2001; 192: 95 – 105.
- 18.
Watson GMT, Walker WJ. Uterine artery embolisation for the treatment of symptomatic fibroids in 114 women: reduction in size of the fibroids and women´s views of the success of the treatment. Br J Obstet Gynaecol 2002; 109: 129 – 35.
- 19.
Andersen PE, Lund N, Justesen P, Munk T, Elle B, Jensen C. Uterine artery embolization of symptomatic uterine fibroids: initial success and short-term results. Acta Radiol 2001; 42: 234 – 8.
- 20.
Worthingthon-Kirsch RL, Popky GL, Hutchins FL. Uterine arterial embolization for the management of leiomyomas: quality-of-life assessment and clinical response. Radiology 1998; 208: 625 – 9.
- 21.
Spies JB, Warren EH, Mathias SD, Walsh SM, Roth AR, Prentecost MJ. Uterine fibroid embolization: measurements of health-related quality of life before and after therapy. J Vasc Interv Radiol 1999; 10: 1293 – 303.
- 22.
Bachmann GA. Hysterectomy: a critical review. J Reprod Med 1990; 35: 839 – 62.
- 23.
Iverson RE, Chelmow D, Strohbehn K, Waldman L, Evantash EG. Relative morbidity of abdominal hysterectomy and myomectomy for management of uterine leiomyomas. Obstet Gynecol 1996; 88: 415 – 9.
- 24.
Walker JW, Pelage JP, Sutton C. Fibroid embolization. Clin Radiol 2002; 57: 325 – 31.
- 25.
Godfrey CD, Zbella EA. Uterine necrosis after uterine artery embolization for leiomyoma. Obstet Gynecol 2001; 98: 950 – 2.
- 26.
Vashist A, Studd J, Carey A, Burn P. Fatal septicaemia after fibroid embolization. Lancet 1999; 354: 307 – 8.
- 27.
Rosenthal AN. Fibrinoid embolisation: a technique not without significant complications. Br J Obstet Gynaecol 2001; 108: 337 – 8.
- 28.
Al-Badr A, Faught W. Uterine artery embolization in an undiagnosed uterine sarcoma. Obstet Gynecol 2001; 97: 836 – 7.
- 29.
Armstrong C, Caird L. Fibrinoid embolisation: a technique not without significant complications. Br J Obstet Gynaecol 2001; 108: 126 – 32.
- 30.
Bradley EA, Reidy JF, Forman RG, Jarosz J, Braude PR. Transcatheter artery embolisation to treat large uterine fibroids. Br J Obstet Gynaecol 1998; 105: 235 – 40.
- 31.
Chrisman HB, Saker MD, Ruy RK, Nemcek AA, Gerbie MV, Milad MP et al. The impact of uterine artery embolization on resumption of menses and ovarian function. J Vasc Interv Radiol 2000; 6: 699 – 703.
- 32.
Nikolic B, Spies JB, Lundsten MJ, Abbara S. Patient radiation dose associated with uterine artery embolization. Radiology 2000; 214: 121 – 5.