Tuberkulose utenfor lungene blant somaliske innvandrere i Norge
De siste tiårene har Norge hatt en forholdsvis høy innvandring. I 1980 hadde 2,3 % av befolkningen innvandrerbakgrunn, mot 6,3 % i 2000. Samtidig endret sammensetningen av innvandrerbefolkningen seg. I 1980 kom knapt en firedel av innvandrerbefolkningen fra land utenfor Europa og Nord-Amerika, mot vel halvparten i 2000 (1). Andelen innvandrere blant norske tuberkulosepasienter har økt fra under 5 % i 1970-årene, til 40 % i 1993 og 71 % i 2000(2, 3).
Somaliere er en av de største innvandrergruppene i Norge. Ved utgangen av år 2000 var det vel 7 900 innvandrere fra Somalia i Norge (1). Fra flere land, særlig Danmark, har det vært pekt på at somaliske innvandrere både har en meget høy forekomst av tuberkulose og en relativt høy andel av ekstrapulmonal tuberkulose (4) – (7). Blant somaliske innvandrere til Danmark er 25 % barn og 90 % voksne smittet med tuberkulose (4).
Tuberkulose utenfor lungene er nesten ikke smitteførende, men kan gi alvorlig sykdom, diagnostikken kan være vanskelig (8, 9).
Vi vil omtale forekomst av tuberkulose blant somaliske innvandrere i Norge med særlig vekt på ekstrapulmonal tuberkulose, og med bakgrunn i et par kasuistikker.
Materiale og metode
Kasuistikkene er hentet fra praksisen til to av forfatterne. Data om tuberkulose i Norge er hentet fra Det sentrale tuberkuloseregister i Nasjonalt folkehelseinstitutt, for befolkningstall har vi brukt årbøker fra Statistisk sentralbyrå. Vi har definert en innvandrer som en person som er født i utlandet. Annengenerasjonsinnvandrere er ikke inkludert. Khikvadrattest er brukt for å analysere forskjeller mellom grupper.
Pasient 1. 30 år gammel kvinne som kom til Norge fra Somalia 1989, 21 år gammel. Hun gjennomgikk sannsynligvis ikke tuberkuloseundersøkelse ved ankomst. Hun fødte i 1995 og 1997. I mai 1998 fikk hun et krampeanfall og var bevisstløs i 30 minutter. Lege ble ikke kontaktet. Hun fikk et nytt krampeanfall tre dager senere og oppsøkte legevakt dagen deretter. Hun ble så innlagt i nevrologisk avdeling.
Ved innkomst ble hun beskrevet som litt sliten og med antydning til afasi, men ellers klar og orientert. Hun klaget over litt nummenhet rundt munnen. Rombergs prøve var positiv, det var litt usikre funn ved finger-nesetipp- og kne-hæl-prøve, ellers var det normale funn ved øvrige nevrologiske prøver og generell somatisk status. Temperaturen var 37,4 oC.
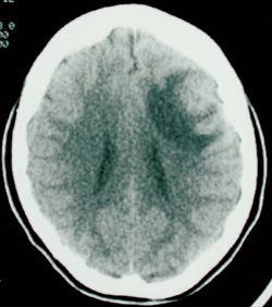
Laboratorieprøver viste Hb 9,5, hvite blodceller 7,6, CRP 29, SR 36. Elektrolytter, blodsukker, lever- og nyrefunksjonsprøver var normale. HIV-test negativ. CT caput (fig 1) viste 2 cm stor kontrastoppladende ringlesjon med ødem frontotemporalt på venstre side. Man mistenkte tumor, eventuelt abscess, og det ble startet behandling med antibiotika, fenytoin og deksametason.
11 dager etter innkomst ble det gjort kraniotomi. Det er beskrevet meget seig cortex, patologisk oppbløtt underliggende hvit substans og en relativt velavgrenset, seig og karfattig prosess. Denne ble fjernet. Frysesnitt viste kronisk betennelse med nekrose og granulomdanning. To dager postoperativt ble det påvist genmateriale fra Mycobacterium tuberculosis-komplekset ved PCR-undersøkelse, og man startet vanlig tuberkulosebehandling med fire medikamenter. Endelig histologidiagnose var nekrotiserende granulomatøs betennelse med kjempeceller. Det ble ikke påvist syrefaste staver ved mikroskopi, og dyrking for mykobakterier var negativ. Det videre forløpet var ukomplisert. Fenytoin ble seponert etter to år, og pasienten har ikke hatt flere krampeanfall.
Pasient 2. 24 år gammel kvinne, som kom til Norge i 1993 og gjennomgikk tuberkuloseundersøkelse ved ankomst. Hun er søster til pasient 1 og brukte samme legesenter. Hun fødte i 1996 og 1997, og sluttet å amme våren 1988. Ultimo mai fikk hun en kul i venstre aksille, nær øvre laterale mammakvadrant. Hun oppsøkte primærlege primo juni, legen mistenkte en forstørret lymfeknute. Laboratorieprøver viste Hb 11,8, hvite blodceller 4,7, CRP 13, SR 25. Hun ble henvist til ultralydundersøkelse. Denne viste et 2 ¥ 3,5 cm stort lobulært, lavekkogent område, oppfattet som forstørrede lymfeknuter. To dager senere ble det gjort finnålspunksjon. Makroskopisk ble det funnet væske som liknet på «gammel melk». Cytologisk undersøkelse viste histiocytter, granulocytter og regressivt forandret melkegangsepitel. Man mente bildet var forenlig med et galaktocele.
Hun kom tilbake til primærlege seks uker etter første konsultasjon og hadde nå et åpent sår, 3 cm langt, på punksjonsstedet etter finnålsbiopsien. Det ble observert kaseøst materiale, og det var nå også kjent at søsteren var blitt operert for tuberkulom. Materiale ble innsendt for mikroskopi og dyrking. Det ble ikke funnet syrefaste staver ved direkte mikroskopi, men etter tre uker kom det vekst av syrefaste staver, og genmateriale fra M tuberculosis ble påvist. Hun ble henvist til sykehus og ble mottatt poliklinisk. Supplerende undersøkelser viste en liten forkalkning i høyre lungehilum ved røntgenundersøkelse, HIV-test var negativ. Hun ble behandlet med tuberkulostatika på vanlig måte, og forløpet var ukomplisert.
Resultater
I perioden 1996 – 2000 ble det meldt 198 tilfeller av tuberkulose blant somaliske innvandrere til Det sentrale tuberkuloseregister. Gjennomsnittlig årlig insidensrate blant somaliske innvandrere i perioden var 754/100 000, mot 2,3/100 000 for norskfødte. Gjennomsnittsalder (SD) for somaliere med tuberkulose var 27 år (10 år), mot 63 år (23 år) for norskfødte; mens median alder var 26 år for somaliere og 72 år for norskfødte. 54 % av somaliere med tuberkulose var menn, mot 59 % av norskfødte. Tabell 1 viser insidensrater etter kjønn.
Tabell 1
Årlig insidensrate av tuberkulose/100 000 i Norge 1996 – 2000 etter type tuberkulose og kjønn; somaliskfødte og norskfødte
| Alle tilfeller | Lungetuberkulose | Ekstrapulmonal tuberkulose | ||||||
| Menn | Kvinner | Menn | Kvinner | Menn | Kvinner | |||
| Somaliskfødte | 722 | 794 | 485 | 262 | 337 | 532 | ||
| Norskfødte | 2,8 | 1,9 | 2,2 | 1,1 | 0,6 | 0,8 | ||
| Insidensrateratio | 258 | 361 | 175 | 238 | 562 | 665 | ||
56 % av tuberkulosetilfellene blant somaliske innvandrere var ekstrapulmonale, mot 29 % blant norskfødte (khikvadrat 44,07; p < 0,0001). Insidensrate av ekstrapulmonal tuberkulose hos somaliskfødte var 422/100 000 og for norskfødte 0,7/100 000. Blant somaliske kvinner var 67 % av tuberkulosetilfellene ekstrapulmonale, mot 47 % hos menn (khikvadrat 7,43; p < 0,01). Figur 2 viser insidens av lungetuberkulose og ekstrapulmonal tuberkulose for somaliere og enkelte andre innvandrergrupper med høy forekomst av tuberkulose. I alle grupper var det bare små forskjeller i aldersfordeling mellom personer med lungetuberkulose og personer med ekstrapulmonal tuberkulose.
Tabell 2 viser fordeling av tilfeller av ekstrapulmonal tuberkulose blant somaliskfødte, sammenliknet med norskfødte (10). Av de somaliskfødte med tuberkulose utenfor lungene hadde 56 % lymfadenitt, mot 27 % av norskfødte (khikvadrat 21,61; p < 0,0001). 4 % av somaliskfødte hadde urogenital tuberkulose, mot 36 % av norskfødte (khikvadrat 35,49; p < 0,0001).
Tabell 2
Insidensrater av tuberkulose/100 000, alle typer, Øst-Afrika 2000. Fra WHO (10)
| Land | Insidensrate (meldte tilfeller) | Insidensrate (estimert) |
| Somalia | 65 | 361 |
| Djibouti | 628 | 643 |
| Etiopia | 145 | 397 |
| Kenya | 209 | 484 |
Tabell 3 viser insidensrater av tuberkulose i Somalia og noen naboland i år 2000. Basert på meldte tilfeller hadde Somalia en insidensrate på 65/100 000, mens den estimerte raten var 361/100 000.
Tabell 3
Ekstrapulmonal tuberkulose og organfordeling i Norge 1996 – 2000 blant somaliskfødte og norskfødte
| Somaliskfødte | Norsk-fødte | ||||
| Antall | (%) | Antall | (%) | ||
| Lymfadenitt | 62 | (56) | 37 | (27) | |
| Bein/ledd | 14 | (13) | 11 | (8) | |
| Hilumadenitt | 8 | (7) | 5 | (4) | |
| Mage/tarm | 8 | (7) | 2 | (1) | |
| Sentralnerve- systemet | 5 | (5) | 6 | (4) | |
| Pleura | 4 | (5) | 13 | (9) | |
| Urogenitalt | 4 | (4) | 49 | (36) | |
| Miliærtuber- kulose | 3 | (3) | 10 | (7) | |
| Annet | 3 | (3) | 5 | (4) | |
Av de meldte tilfellene i Somalia i år 2000 gjaldt 13 % ekstrapulmonal sykdom (E. Capobianco, WHO, personlig meddelelse).
Diskusjon
Migrasjon og tuberkulose
Det er vanlig å anta insidensen av tuberkulose blant innvandrere de første årene etter ankomst til et nytt land, vil gjenspeile insidensen i hjemlandet. Insidensen i innvandrergruppen vil så gradvis nærme seg den generelle insidensen i det nye oppholdslandet (11). Besøk i hjemlandet medfører imidlertid risiko for nysmitte eller reinfeksjon (12).I tillegg har enkelte forfattere hevdet at migrasjon i seg selv kan disponere for tuberkulose via atferds- eller kostholdsendringer. Det er holdepunkter for at redusert soleksponering og derav følgende D-vitaminmangel kan bidra til en relativ immunsvikt og dermed disponere for tuberkulose, likeledes lavt innhold av vitamin D i kosten (13) – (15). Det har også vært spekulert på om psykososialt stress i forbindelse med en flyktningsituasjon kan aktivere latent tuberkulosesmitte (16).
Forekomst av tuberkulose blant somaliere i Norge i forhold til i Somalia
Som vi har vist er det høy insidens av tuberkulose blant somaliske innvandrere i Norge, betydelig høyere enn selv den estimerte insidensen i Somalia. Imidlertid vet vi ikke om denne forskjellen er reell, eller om WHOs estimerte rate er for lav. Det er kjent at krig og uro kan forverre tuberkulosesituasjonen i et land betydelig (17). Somalia har hatt borgerkrig fra 1991, og mangler fortsatt en sivil administrasjon. Som det fremgår av tabell 3 har nabolandet Djibouti, som ikke har hatt krig, en av verdens høyeste insidensrater for tuberkulose. Dette kan tyde på at selv WHOs estimerte rate for Somalia er for lav.
Forekomst av ekstrapulmonal tuberkulose
Vi har funnet en insidensrate for ekstrapulmonal tuberkulose på 422/100 000 for somaliere i Norge, mot en rate på 7/100 000 blant meldte tuberkulosetilfeller i Somalia. Som nevnt er det stor usikkerhet forbundet med tallene fra Somalia. Det er grunn til å anta at mørketallene for ekstrapulmonal tuberkulose er enda større enn for lungetuberkulose, blant annet fordi tuberkuloseprogrammene i høyinsidensland først og fremst er rettet mot diagnostikk av smitteførende lungetuberkulose. På den annen side har andelen av ekstrapulmonal tuberkulose vært forholdsvis lav også i historiske materialer fra Øst-Afrika. I en husholdsundersøkelse i Somalias naboland Kenya i 1974, der man undersøkte både med henblikk på lungetuberkulose og ekstrapulmonal tuberkulose, fant man at 8,6 % av tuberkulosetilfellene var ekstrapulmonale, mens det i 3 % var en kombinasjon av de to (18). Forskjeller i alderssammensetning er neppe forklaring, idet gjennomsnittsalder blant somaliere i Norge er cirka 21 år (1), mens anslått gjennomsnittsalder i Somalia er 24 år (19).
Somaliske barn i Danmark 1990 – 99 med tuberkulose hadde større andel av ekstrapulmonal sykdom enn danske og pakistanske barn med tuberkulose (6). I Minnesota 1993 – 98 var 44 % av tuberkulosetilfeller blant somaliere ekstrapulmonale, mot 26 % for alle utenlandskfødte svarte i USA og 16 % for amerikanskfødte svarte (7). Som det fremgår av figur 2 hadde pasienter fra India, Pakistan og Sri Lanka enda høyere andel ekstrapulmonal sykdom enn somaliskfødte. Insidensen blant disse tre siste gruppene var imidlertid langt lavere enn blant somaliskfødte.
Det er kjent at HIV-infeksjon kan gi økt andel ekstrapulmonal tuberkulose, men det har til nå vært få tilfeller av HIV-assosiert tuberkulose blant innvandrere fra Afrikas horn (E. Heldal, personlig meddelelse). Totalt er imidlertid de forskjellene vi har funnet, såpass store at det er grunn til å spørre seg om det er forhold i forbindelse med migrasjonen som disponerer for ekstrapulmonal tuberkulose i denne innvandrergruppen.
Som nevnt kan mangel på vitamin D disponere for tuberkulose, og det er holdepunkter for at det særlig gjelder ekstrapulmonal tuberkulose (15). En fellesnevner for innvandrergrupper i Norge som har en høy relativ andel av ekstrapulmonal tuberkulose (fig 2), er at de har kostvaner eller (for kvinner) klesvaner som kan gi D-vitaminmangel. Mangel på vitamin D er et kjent problem blant pakistanske kvinner i Norge (20) og blant muslimske kvinner i Danmark (21). Så vidt vi vet, er det ikke gjort undersøkelser med hensyn til D-vitaminstatus blant somaliske kvinner som er kommet hit. Men kanskje kan vitaminmangel, kombinert med en høy grad av tuberkulosesmitte i hjemlandet (4), forklare den høye insidensen av ekstrapulmonal tuberkulose blant kvinnene. Vi mener det er grunn til å gjøre undersøkelser av D-vitaminstatus i denne innvandrergruppen.
Kjønnsforskjeller
Som det fremgår av tabell 1, hadde somaliske kvinner en særlig høy insidens av ekstrapulmonal tuberkulose. Høyere forekomst blant somaliske kvinner enn blant somaliske menn kan ikke forklares av aldersforskjeller. I en amerikansk undersøkelse fra 1986, som omfattet alle etniske grupper i USA, var ekstrapulmonal tuberkulose relativt sett vanligere blant kvinner enn blant menn (22 % mot 15 %). I samme undersøkelse hadde likevel menn en høyere insidens av ekstrapulmonal tuberkulose enn kvinner (22).
Organmanifestasjoner
De mest fremtredende forskjellene med hensyn til organmanifestasjoner hos somaliskfødte og norskfødte var at somaliskfødte hadde signifikant høyere andel med lymfadenitt og lavere andel urogenital tuberkulose enn norskfødte. Disse forskjellene kan forklares ut fra forskjellig alderssammensetning i gruppene. I den tidligere nevnte amerikanske undersøkelsen fant man at tuberkuløs lymfadenitt opptrådte hyppigst hos barn og yngre voksne, mens urogenital tuberkulose var relativt vanligere hos eldre personer (22). I samme undersøkelse fant man at amerikanere av afrikansk opprinnelse hadde lavere forekomst av urogenital tuberkulose enn de av europeisk avstamming, også etter aldersjustering. Senere undersøkelser fra Vest- og Sør-Afrika taler imidlertid mot at afrikanere skulle ha mindre risiko for urogenital tuberkulose enn andre etniske grupper (23, 24).
Diagnostikk
Som det fremgår av kasuistikkene kan ekstrapulmonal tuberkulose ha mange manifestasjoner, og diagnostikken kan være vanskelig (8, 9). Hos vår pasient 2 var legens kjennskap til den første pasienten til stor hjelp. Tuberkulose kan ramme nær sagt alle organer, og det er viktig å ha muligheten for tuberkulose i mente ved uklare tilstander hos innvandrere fra høyinsidensland. Smitten kan ha skjedd fra måneder til tiår tilbake i tid, og kommer ofte fra slektninger. Opplysninger om at noen i familien har hatt tuberkulose bør skjerpe mistanken, men «negativ» familieanamnese utelukker på ingen måte sykdommen. Det er også viktig å være klar over at den obligatoriske tuberkuloseundersøkelsen for innvandrere og asylsøkere ved ankomst til Norge først og fremst er en screeningundersøkelse for lungetuberkulose på innreisetidspunktet, selv om det også foretas tuberkulintest. Både lungetuberkulose og ekstrapulmonal tuberkulose kan manifestere seg ved et senere tidspunkt, noe som blant annet pasient 2 viser.
De fleste tuberkulosetilfeller blant innvandrere i Norge skyldes reaktivering av tidligere smitte fra hjemlandet, forholdsvis få skyldes nysmitte (25). Ny veileder om tuberkulosekontroll anbefaler økt bruk av forebyggende behandling, noe som kan bidra til redusert forekomst av alle typer tuberkuløs sykdom (26).
Konklusjon
Somaliske innvandrere til Norge har en meget høy insidens av tuberkulose. Dette har direkte sammenheng med høy tuberkuloseforekomst i Somalia. Andelen av ekstrapulmonal tuberkulose er høy, også sammenliknet med hjemlandet.Kvinner er særlig utsatt. Mangel på vitamin D er en potensiell risikofaktor som bør undersøkes nærmere. Ekstrapulmonal tuberkulose kan manifestere seg mange år etter innreise, og det er viktig å ha tilstanden i mente ved undersøkelse av personer fra denne befolkningsgruppen.
-
Somaliere i Norge har svært høy insidens av tuberkulose utenfor lungene
-
Insidensen er høyere blant kvinner enn blant menn
-
Sykdommen manifesterer seg ofte flere år etter ankomst til Norge
-
Ha tilstanden i mente ved uklare sykdomsbilder hos somaliere
Vi takker Einar Heldal, Nasjonalt folkehelseinstitutt, for nyttige kommentarer.
- 1.
Statistisk årbok 2001. Oslo: Statistisk sentralbyrå, 2001.
- 2.
Heldal E, Bjartveit K, Tverdal A. Utviklingen av tuberkulose i Norge – har nedgangen stanset? Tidsskr Nor Lægeforen 1995; 115: 3590 – 3.
- 3.
Heldal E. Tuberkulose i Norge 2000. MSIS-rapport 2001; 18.
- 4.
Lillebæk T. World TB day. Epi-nyt 2000; 11.
- 5.
Lillebæk T, Andersen ÅB, Bauer J, Dirksen A, Glismann S, DeHaas P et al. Risk of Mycobacterium tuberculosis transmission in a low-incidence country due to immigration from high-incidence areas. J Clin Microbiol 2001; 39: 855 – 61.
- 6.
Andersen PA. Tuberkulose blant børn i Danmark 1990 – 99. Ugeskr Læger 2001; 163: 6739 – 42.
- 7.
Kempainen R, Nelson K, Williams DN, Hedemark L. Mycobacterium tuberculosis disease in Somali immigrants in Minnesota. J Clin Microbiol 2001; 39: 855 – 61.
- 8.
Olbjørn C, Bjørnvold M, Wathne K-O, Gaustad P, Abrahamsen TG. Tuberkulose hos barn i Norge – diagnostiske utfordringer Tidsskr Nor Lægeforen 2000; 120: 1721 – 5.
- 9.
Jensenius M, Bergmann A, Rø J, Meling GI, Nyhus S, Sauer T et al. Ekstrapulmonal tuberkulose. Tidsskr Nor Lægeforen 1995; 115: 3365 – 8.
- 10.
WHO Report 2002. Global tuberculosis control. Genève: WHO, 2002.
- 11.
Rieder HL. Epidemiologic basis of tuberculosis control. Paris: IUATLD, 1999.
- 12.
McCarthy OR. Asian immigrant tuberculosis – the effect of visiting Asia. Br J Dis Chest 1984; 78: 248 – 53.
- 13.
Davies PDO. A possible link between vitamin D deficiency and impaired host defence to Mycobacterium tuberculosis. Tubercle 1985; 66: 301 – 6.
- 14.
Finch PJ, Millard FJC, Maxwell JD. Risk of tuberculosis in immigrant Asians: culturally acquired immunodeficiency? Thorax 1991; 46: 1 – 5.
- 15.
Davies PD, Grange JM. Factors affecting susceptibility and resistance to tuberculosis. Thorax 2001; 56 (suppl 2): 23 – 9.
- 16.
Pedersen JT, Revsbech PA. Tuberkulose og migration. Ugeskr Læger 1999; 161: 3440 – 3.
- 17.
M’Boussa J, Yokolo D, Pereira B, Ebata-Mongo S. A flare-up of tuberculosis due to war in Congo Brazzaville. Int J Tuberc Lung Dis 2002; 6: 475 – 8.
- 18.
Second East African/British Medical Research Council Kenya Tuberculosis Survey. Tubercle 1978; 59: 155 – 77.
- 19.
- 20.
Stoltenberg C, Norum KR. Mangel på vitamin D. Tidsskr Nor Lægeforen 1996; 116: 1557 – 8.
- 21.
Glerup H. Vitamin D-mangel hos indvandrere. Ugeskr Læger 2000; 162: 6196 – 9.
- 22.
Rieder HL, Snider DE, Cauthen GM. Extrapulmonary tuberculosis in the United States. Am Rev Respir Dis 1990; 141: 347 – 51.
- 23.
Chijioke A. Current views on epidemiology of renal tuberculosis. West Afr J Med 2001; 20: 217 – 9.
- 24.
Allen FJ, deKock ML. Genito-urinary tuberculosis – experience with 52 urology inpatients. S Afr Med J 1993; 83: 903 – 7.
- 25.
Dahle UR, Sandven P, Heldal E, Caugant DA. Molecular epidemiology of Mycobacterium tuberculosis in Norway. J Clin Microbiol 2001; 39: 1802 – 7.
- 26.
Nasjonalt folkehelseinstitutt. Forebygging og kontroll av tuberkulose. Oslo: Nasjonalt folkehelseinstitutt, 2002.