Background.
Gastrointestinal stromal tumour (GIST) is a gastrointestinal mesenchymal neoplasm that expresses KIT, a receptor tyrosine kinase. They lack differentiation toward smooth muscle cells and neural cells. GIST is considered to originate from intestinal cells of Cajal, as these cells also express KIT.
Materials and methods.
123 neoplasms from the gastrointestinal tract in the period 1974 – 2002 that previously were classified as leiomyomas/leiomyosarcomas/ schwannomas/fibromas; other not further classified stromal tumours were immunohistochemically stained for expression of KIT (CD117) and CD34.
Results.
77 stromal tumours were reclassified as GIST. 47 of the tumours were found in the stomach, 21 in the small intestine, 5 in the large bowel and 5 in the rectum. One tumour was found in the oesophagus and one in the omentum. The average age of patients was 65 and there was a male predominance (1.75 : 1).
Interpretation.
GIST is the largest group of stromal neoplasms in the gastrointestinal tract. International studies suggest that 20 – 30 % of the tumours display malignant behaviour. The treatment has so far been surgery only, but a new drug (STI571) has shown promising effect on two patients with metastatic GIST in our material.
Benigne og maligne spolecellede svulster i gastrointestinalkanalen kan deles inn i tre hovedgrupper. Den ene gruppen innbefatter svulster som er utgått fra glatte muskelceller, disse klassifiseres som leiomyomer eller leiomyosarkomer. Den andre gruppen er svulster av nevral opprinnelse, de klassifiseres som schwannomer, nevrofibromer etc. Den tredje og største gruppen spolecellede svulster har ikke sikker muskel- eller nevral opprinnelse. Disse svulstene er bærere av en transmembran tyrosinkinasereseptor (KIT) som farges ved immunhistokjemiske metoder. De klassifiseres som gastrointestinale stromale tumorer (GIST) (1). En mindre gruppe svulster som benevnes gastrointestinale autonome nervetumorer (GANT) er også bærere av KIT, og det foreligger rapporter på at disse skal klassifiseres som undergruppe av de gastrointestinale stromale svulstene. Relasjonen mellom disse er ikke endelig klarlagt (2).
Vi har undersøkt alle svulster som har vært kodet som leiomyomer/leiomyosarkomer/schwannomer/fibromer og uspesifikke mesenkymale svulster i gastrointestinalkanalen i Tromsø i perioden 1974 til 2002. Det dreide seg om til sammen 123 pasienter. Ved ny morfologisk vurdering og immunhistokjemisk undersøkelse ble 77 tilfeller klassifisert som gastrointestinale stromale svulster. Av de 77 pasientene var det 49 menn og 28 kvinner, med en gjennomsnittsalder ved diagnosetidspunktet på 65 år. Over halvparten (61 %) av svulstene var lokalisert til ventrikkelen, 27 % var lokalisert til tynntarmen. Fem svulster ble funnet i colon og fem i rectum. I oesophagus ble det funnet én svulst, og én svulst utgikk fra oment. Dette er i overensstemmelse med resultater fra andre studier (1).
Histogenese
Det er holdepunkter for at interstitielle Cajalske celler eller deres prekursorceller er utgangspunkt for gastrointestinale stromale svulster (3). Cajalske celler uttrykker KIT immunhistokjemisk. Videre er de lokalisert i muskellaget i gastrointestinalkanalen, hvor de gastrointestinale stromale svulster vanligvis synes å ha sitt utgangspunkt. De Cajalske cellene ligger hovedsakelig i tilslutning til det myenteriske pleksus (fig 1). Cajalske celler er morfologisk svært heterogene, og man antar at de stammer fra multipotente mesenkymale celler. Cajalske celler kalles også pacemakerceller på grunn av de langsomme elektriske impulser som dannes i dem og som medvirker til tarmens motilitet (4). Det er også påvist mesenkymale celler like under mesotelet i omentet som man antar er Cajalske celler. Dette kan være forklaringen på at man har funnet primære svulster i omentet og i mesenteriet som er identiske med de gastrointestinale stromale tumorer (5).
Tabell 1
Karakteristika ved gastrointestinal stromal tumor (GIST)
| Definisjon |
Mesenkymale svulster i gastrointestinalkanalen positive for KIT-proteinet ved immunhistokjemisk undersøkelse |
| Lokalisasjon |
Magesekk > tynntarm > tykktarm > spiserør > bukhinne |
| Symptomer |
Blødning, magesmerter, dyspepsi |
| Forekomst |
1 – 2 per 100 000 per år |
| Alder 10 – 90 år, gjennomsnitt 50 – 60 år |
|
| Ingen sikker kjønnsforskjell |
|
| Histogenese |
Svulster utgående fra Cajalske celler («pacemakerceller») og deres forstadier |
| Immunhistokjemisk undersøkelse |
KIT (CD117): 85 – 100 % |
| CD34: ca. 70 % |
|
| S100: – |
|
| Muskelaktin: – (spredt positiv i enkelte tilfeller) |
|
| Desmin: – |
|
| Andel maligne gastrointestinale stromale tumorer |
20 – 30 % |
| Kliniske malignitetskriterier |
Eneste sikre tegn på malignitet er metastaser |
| Lokalisasjon |
Svulster i magesekk oftere benign enn svulster i tynntarm. Colon- og rectumlokalisasjon som oftest malign |
| Svært liten malignitetsrisiko |
Størrelse < 2 cm, mitoser < 5/50 HPF¹ |
| Liten malignitetsrisiko |
Størrelse 2 – 5 cm, mitoser < 5/50 HPF¹ |
| Moderat malignitetsrisiko |
Størrelse < 5 cm, mitoser 6 – 10/50 HPF¹ |
| Størrelse 5 – 10 cm, mitoser < 5/50 HPF¹ |
|
| Høy malignitetsrisiko |
Størrelse > 5 cm, mitosetall < 5/50HPF¹ |
| Størrelse >10 cm uansett mitosetall |
|
| Uansett størrelse, mitosetall >10/50 HPF¹ |
|
| Behandling |
Kirurgi |
| Imatinibmesylat (STI571) ved avansert metastaserende sykdom |
|
| [i] | |
[i] 1 HPF: high power field, stor forstørrelse
KIT, eller CD117, som er til stede i Cajalske celler og gastrointestinale stromale svulster, er et transmembranøst protein på 145 kilodalton som kodes av c-kit-protoonkogen. Proteinet har på overflaten en reseptor som kan bindes til en ligand som kalles stamcellefaktor (SCF) (6). Binding av ligand til reseptor fører til reseptordimerisering og aktivering av reseptorens tyrosinkinaseaktivitet på innsiden av cellemembranen.
KIT kan også påvises i mastceller, hematopoetiske stamceller, melanocytter, kjønnsceller, basalceller i hudens epidermis, epitelet i adneksale strukturer i huden samt i melkegangsepitel.
Epidemiologiske og kliniske funn
Det er angitt med bakgrunn i data fra Finland og USA at gastrointestinale stromale tumorer forekommer i størrelsesorden 1 – 2 per 100 000 innbyggere per år. Svulsten diagnostiseres vanligvis når pasienten er rundt 50 – 60 år (1), men det er funnet gastrointestinale stromale tumorer hos barn ned til ti års alder. Det er ingen sikker kjønnsforskjell i internasjonale serier av pasienter, men vi fant i vårt materiale en forskjell på 1,75 : 1 (menn : kvinner).
Gastrointestinale stromale svulster på inntil 2 cm i diameter er som regel et tilfeldig funn i forbindelse med kirurgi eller røntgenundersøkelse av annen årsak. I enkelte studier har andelen asymptomatiske gastrointestinale stromale svulster vært opptil 30 % (1). Når svulstene gir symptomer, er dette vanligst i form av gastrointestinal blødning som vanligvis skyldes ulcerasjon i sentrum av en frembukende lesjon. Andre symptomer er magesmerter, kvalme og dyspepsi. Det er også observert høyst uventede symptomer som hypotermi, forhøyede amoniakkverdier i blod, nyresvikt og redusert bevissthetstilstand (egne observasjoner).
Morfologi og immunhistokjemi
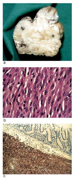
Gastrointestinale stromale tumorer varierer i størrelse fra under 1 cm til rundt 30 cm i diameter. De er velavgrensede, men ikke kapselkledde (fig 2a). Siden de fleste av disse svulstene har sitt utgangspunkt i muskelveggen, vokser de som oftest inn i den abdominale kavitet. Noen kan imidlertid presentere seg som intraluminale polypoide masser i ventrikkel- og tarmlumen. Andre ganger vokser svulsten multisentrisk og finnes som multiple intramurale og omentale knuter. Dette er vanligvis cellerike svulster som histologisk kan ha et varierende vekstmønster. Det vanligste cytologiske utseendet er spoleformede eller epiteloide celler (fig 2b). Immunhistokjemisk er gastrointestinale stromale svulster nesten alltid positive for KIT (fig 2c) og i noe mindre grad for CD34 (7). Miettinen & Lasota krever positivitet for KIT for å klassifisere en svulst som en gastrointestinal stromal tumor (8).
I vårt materiale fant vi at 73 av de 77 svulstene som ble klassifisert som gastrointestinale stromale tumorer, var KIT-positive (95 %). Det var 55 CD34-positive (71 %).
Malignitet
Mellom 20 % og 30 % av gastrointestinale stromale tumorer er maligne (9). Det sikreste tegn på malignitet er tilstedeværelse av metastaser i oment og mesenterium eller infiltrasjon i nærliggende organer. Fjernmetastaser er vanligst i lever. Lymfeknutemetastaser er ikke vanlig. Svulster som er større enn 5 cm i diameter, regnes for å ha et vesentlig høyere malignitetspotensial enn mindre svulster (10). Lokalisasjonen av svulstene i gastrointestinalkanalen har også betydning for prognosen. Det er gunstigere prognose når tumor er lokalisert til ventrikkelen enn når den er lokalisert til tynntarmen (1). Svulster i colon og spesielt i rectum er oftest maligne.
Kjernevariasjon (nukleær pleomorfisme) og økt kjerne-cytoplasma-ratio tas som regel med i malignitetsvurderingen av gastrointestinale stromale tumorer, men har mindre sensitivitet enn ved vurdering av epiteliale svulster i gastrointestinalkanalen. Forekomst av nekrose i en gastrointestinal stromal tumor er som regel et tegn på malignitet. Mitoseindeks, som uttrykker gjennomsnittlig antall mitoser per synsfelt ved stor forstørrelse, er en parameter som ofte er brukt ved vurdering av malignitet i mesenkymale svulster. På grunn av regionale variasjoner i mitoseaktivitet i en gastrointestinal stromal tumor er det vanlig å telle mitoser over et høyt antall synsfelter, for eksempel 50. Størrelse over 5 cm og mitoser over fem per 50 synsfelter indikerer en tumor med høyt malignitetspotensial (10).
Mutasjoner og kromosomforandringer
Mutasjoner i genet som koder for KIT, forekommer i omtrent halvparten av alle gastrointestinale stromale tumorer og er fortrinnsvis knyttet til maligne svulster (11). Dette kan gi et kontinuerlig aktivt tyrosinkinaseprotein uten at det foreligger en ligand, en såkalt «gain-of-function»-mutasjon (12). Det er funnet mutasjoner i flere forskjellige eksoner på genet, men den mest vanlige finner man i ekson 11. Dette området koder for det jukstamembrane området på KIT. I tillegg er det rapportert om mutasjoner i ekson 9 og 13 på c-kit-genet. Mutasjoner i disse områdene er relatert til høy grad av malignitet (13). I mange gastrointestinale tumorer finner man ingen forandringer i genet som koder for KIT, og mutasjoner i genet ansees derfor ikke å være den eneste mekanismen til svulstutvikling.
De vanligste kromosomale forandringene er tap av kromosom 14 og 22. Tap av kromosom 14 er ikke funnet i leiomyomer eller schwannomer (14).
Behandling
Frem til i dag har kirurgi vært ansett som eneste kurative tiltak i behandling av pasienter med gastrointestinale stromale tumorer. Tumor skal fjernes radikalt hvis dette er mulig (15). Tradisjonell adjuvant kjemoterapi eller stråling har ingen effekt. Et helt nytt medikament, imatinibmesylat (STI571), har derimot vist god effekt på svulstene. Medikamentet er en spesifikk hemmer av enkelte tyrosinkinaser. Den hemmer blant annet kinaseaktiviteten i det unormalt forekommende Bcr-Abl-fusjonsproteinet som er til stede ved kronisk myelogen leukemi og mutert KIT i gastrointestinale stromale tumorer (16). STI571 er i dag brukt i behandlingen av kronisk myelogen leukemi. Medikamentet administreres oralt og har en halveringstid på 13 – 16 timer. Dette innebærer at det kan administreres en gang daglig.
I 2000 ble den første pasienten med utbredt gastrointestinal stromal tumor behandlet med STI571. Foreløpige resultater fra to multisenterstudier viser respons på STI571 i mer enn 50 % av KIT-positive pasienter i de første månedene av behandlingen. De fleste hadde betydelig og rask symptomatisk effekt, med økt arbeidskapasitet. I Tromsø er to pasienter med utbredt gastrointestinal stromal tumor blitt behandlet med dette medikamentet. Begge har hatt god effekt av behandlingen, eneste registrerte bivirkning er lett periokulært ødem. Dette er oppløftende med tanke på behandlingen av avansert gastrointestinal stromal tumor, hvor kirurgi til nå har vært eneste behandling.
Gastrointestinale stromale tumorer er den største gruppen av stromale svulster i gastrointestinalkanalen
Gastrointestinale stromale tumorer uttrykker KIT (~100 %) og i noe mindre grad CD34 ved immunhistokjemisk farging
Størrelse på tumor og antall mitoser er de viktigste variabler som kan indikere prognose/malignitet
Gastrointestinale stromale tumorer behandles kirurgisk, men ved utbredt sykdom kan pasientene også behandles medikamentelt med en tyrosinkinasehemmer (STI571)
- 1.
Miettinen M, Sarlomo RM, Lasota J. Gastrointestinal stromal tumours. Ann Chir Gynaecol 1998; 87: 278 – 81.
- 2.
Lee JR, Joshi V, Griffin JW jr., Lasota J, Miettinen M. Gastrointestinal autonomic nerve tumor: immunohistochemical and molecular identity with gastrointestinal stromal tumor. Am J Surg Pathol 2001; 25: 979 – 87.
- 3.
Hirota S. Gastrointestinal stromal tumors: their origin and cause. Int J Clin Oncol 2001; 6: 1 – 5.
- 4.
Maeda H, Yamagata A, Nishikawa S, Yoshinaga K, Kobayashi S, Nishi K et al. Requirement of c-kit for development of intestinal pacemaker system. Development 1992; 116: 369 – 75.
- 5.
Miettinen M, Monihan JM, Sarlomo-Rikala M, Kovatich AJ, Carr NJ, Emory TS et al. Gastrointestinal stromal tumors/smooth muscle tumors (GISTs) primary in the omentum and mesentery: clinicopathologic and immunohistochemical study of 26 cases. Am J Surg Pathol 1999; 29: 1109 – 18.
- 6.
Vliagoftis H, Worobec AS, Metcalfe DD. The protooncogene c-kit and c-kit ligand in human disease. J Allergy Clin Immunol 1997; 100: 435 – 40.
- 7.
Sarlomo-Rikala M, Kovatich AJ, Barusevicius A, Miettinen M. CD117: a sensitive marker for gastrointestinal stromal tumors that is more specific than CD34. Mod Pathol 1998; 11: 728 – 34.
- 8.
Miettinen M, Lasota J. Gastrointestinal stromal tumors – definition, clinical, histological, immunohistochemical, and molecular genetic features and differential diagnosis. Virchows Arch 2001; 438: 1 – 12.
- 9.
Suster S. Gastrointestinal stromal tumors. Semin Diagn Pathol 1996; 13: 297 – 313.
- 10.
Fletcher C, Berman JJ, Corless C, Gorgstein F, Lasota J, Longley BJ et al. Diagnosis of gastrointestinal stromal tumors: a consensus approach. Hum Pathol 2002; 33: 459 – 65.
- 11.
Lasota J, Jasinski M, Sarlomo RM, Miettinen M. Mutations in exon 11 of c-Kit occur preferentially in malignant versus benign gastrointestinal stromal tumors and do not occur in leiomyomas or leiomyosarcomas. Am J Pathol 1999; 154: 53 – 60.
- 12.
Hirota S, Isozaki K, Moriyama Y, Hashimoto K, Nishida T, Ishiguro S et al. Gain-of-function mutations of c-kit in human gastrointestinal stromal tumors. Science 1998; 279: 577 – 80.
- 13.
Ernst SI, Hubbs AE, Przygodzki RM, Emory TS, Sobin LH, O’Leary TJ. KIT mutation portends poor prognosis in gastrointestinal stromal/smooth muscle tumors. Lab Invest 1998; 78: 1633 – 6.
- 14.
Sarlomo-Rikala M, el Rifai W, Lahtinen T, Andersson LC, Miettinen M, Knuutila S. Different patterns of DNA copy number changes in gastrointestinal stromal tumors, leiomyomas, and schwannomas. Hum Pathol 1998; 29: 476 – 81.
- 15.
Lee JS, Nascimento AG, Farnell MB, Carney JA, Harmsen WS, Ilstrup DM. Epithelioid gastric stromal tumors (leiomyoblastomas): a study of fifty-five cases. Surgery 1995; 118: 653 – 60.
- 16.
Heinrich MC, Blanke CD, Druker BJ, Corless CL. Inhibition of KIT tyrosine kinase activity: a novel molecular approach to the treatment of KIT-positive malignancies. J Clin Oncol 2002; 20: 1692 – 703.