Det å kunne ta ut et organ fra sitt naturlige leie og gjøre den nødvendige kirurgi under optimale betingelser på et sidebord, såkalt ekstrakorporeal kirurgi, eller ex situ-kirurgi i angloamerikansk litteratur kalt «bench surgery», ble mulig etter at teknikker for organtransplantasjon ble utviklet utover i 1960-årene. I Norge har ex situ-kirurgi på nyrer med påfølgende autotransplantasjon hatt utstrakt anvendelse siden tidlig i 1970-årene (1).
For lever har det derimot internasjonalt kun vært rapportert noen få tilfeller hvor ex situ-reseksjon med påfølgende autotransplantasjon av resterende lever har vært gjennomført (2) – (5). Vår første pasient er beskrevet i en nylig publisert kasuistikk (6). Etter at vi har benyttet denne teknikken hos ytterligere én pasient, beskriver vi her vår erfaring med denne behandlingsmetoden basert på disse to pasientene.
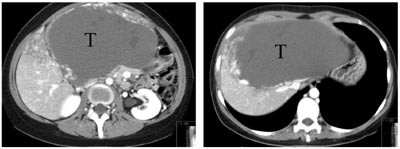
Pasient 1. 64 år gammel mann som ble utredet ved lokalsykehus for ukarakteristiske magesmerter. Ved abdominal CT var det blitt påvist en 6 x 6 x7 cm stor tumor beliggende mot leverens bakside, muligvis i segment 1. V. cava var sterkt komprimert og på det nærmeste okkludert av denne tumoren (fig 1). Tumoren ble initialt oppfattet som et leverneoplasme. Grunnet relasjonen til v. cava ble tilstanden ansett som utilgjengelig for kirurgi, men pasienten ble henvist til Rikshospitalets Seksjon for gastroenterologisk kirurgi til vurdering (second opinion). Biopsimateriale fra tumoren ble av ett laboratorium med et visst forbehold beskrevet å være fra et leiomyom. Et annet laboratorium mente det dreide seg om et schwannom. Antatt risiko for forestående okklusjon av vitale leverkar samt en sannsynlighet for at det dreide seg om et malignt neoplasme gjorde at man ble enig om å forsøke kirurgisk fjerning av tumor. Rutinemessige preoperative blodprøver viste normale verdier (e-tab 1).
Operasjonen ble utført 30.4. 2001. Etter mobilisering av leveren fikk man god tilgang til neoplasmet, som viste seg å være totalt adherent til v. cava i et område som strakte seg fra levervenenes innmunning i v. cava kranialt til innmunningen av venstre nyrevene kaudalt. Å løsne neoplasmet fra v. cava viste seg ikke å være mulig. Det ble da anlagt ekstrakorporeal veno-venøs bypass til v. brachiocefalica fra høyre v. femoralis og fra v. mesenterica inferior (7), og leveren ble tatt ut sammen med neoplasmet og den retrohepatiske v. cava etter at leverkarene og gallegangen var fripreparert og avsatt. Leveren med tilhørende vev ble straks plassert på et sidebord, hvor den ble lagt i iskjølt saltvannsløsning og perfundert med standard preservasjonsløsning (8). Heller ikke ex situ var det mulig å løse neoplasmet fra v. cava. Hele v. cava med neoplasmet ble derfor fjernet fra leveren (fig 2). V. cava ble så erstattet av en 22 mm goretexprotese, og de tre levervenene ble koblet til denne protesen, som vist i figur 3. Leveren ble deretter brakt tilbake til pasienten hvor vaskulær rekonstruksjon ble gjennomført som ved regulær levertransplantasjon (9). Leveren ble revaskularisert etter at pasienten hadde vært anhepatisk i 4 timer og 43 minutter. Den veno-venøse bypass ble avsluttet og gallegangen ble rekonstruert ved en ende-til-ende-anastomose.
Pasienten ble ekstubert to timer etter avsluttet operasjon, flyttet fra intensivavdelingen 2. postoperative dag og utskrevet til hjemmet ni dager senere, etter et ukomplisert postoperativt forløp. Før utskrivningen ble operasjonsområdet fremstilt ved hjelp av CT (e-fig 4). Leverfunksjonsprøver er vist i e-tabell 1. Histologisk undersøkelse av det ekstirperte neoplasmet viste et bilde forenlig med leiomyosarkom. To år etter operasjonen er pasienten i velbefinnende og uten tegn til residiv.
Tabell 1
Pasient 1. Pre- og postoperative blodprøver i dagene før og etter operasjonen
| Dag |
–3 |
1 |
3 |
5 |
7 |
11 |
| Hemoglobin (g/dL) |
14,5 |
11,3 |
10,9 |
10,7 |
10,2 |
10,7 |
| ASAT (U/L) |
15 |
1 050 |
463 |
61 |
31 |
30 |
| ALAT (U/L) |
25 |
881 |
1 057 |
389 |
184 |
73 |
| Bilirubin (mmol/l) |
10 |
17 |
14 |
10 |
6 |
|
| LD (U/L) |
286 |
1 141 |
663 |
434 |
376 |
362 |
| ALP (U/L) |
101 |
51 |
90 |
120 |
127 |
148 |
| GT (U/L) |
31 |
37 |
65 |
69 |
64 |
64 |
| INR |
1,0 |
1,5 |
1,1 |
1,1 |
1,1 |
1,0 |
| Totalprotein (g/L) |
78 |
51 |
57 |
58 |
62 |
71 |
| Albumin (g/L) |
44 |
33 |
32 |
30 |
29 |
33 |
| Kreatinin (mmol/L) |
88 |
71 |
71 |
70 |
69 |
79 |
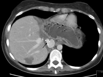
Pasient 2. 29 år gammel kvinne som de siste tre år hadde merket økende bukomfang og ubehag i abdomen. Hun hadde gjentatte ganger konsultert lege for dette før hun ble innlagt i lokalsykehus til utredning for anemi. Det ble der konstatert at pasienten hadde en meget stor levertumor, hvorpå hun ble overflyttet til Rikshospitalet. Hun hadde da et bukomfang som ved langtkommet graviditet. Nedre kant av tumor kunne palperes nedenfor umbilicus. CT (fig 5) viste at det dreide seg om en ekstremt stor levertumor, et sannsynlig hemangiom, som inntok hele venstre leverlapp, inkludert segment 4. Høyre leverlapp var flatklemt ut mot flanken. Den retrohepatiske del av v. cava var tilsynelatende okkludert, og et utstrakt nett av kollateraler ble påvist. Preoperative laboratorieprøver er vist i e-tabell 2.
Operasjonen ble utført 18.11. 2002. Etter konstruksjon av veno-venøs bypass ble den ekstremt forstørrede leveren (fig 6) eksplantert sammen med tilhørende del av v. cava. På sidebordet ble så hele neoplasmet ekstirpert (e-fig 7). Den resterende del av leveren (segment 5 – 8) ble deretter lagt tilbake i pasienten og revaskularisert som skissert i figur 8. Pasientens v. cava var i mellomtiden blitt erstattet av en ca. 10 cm lang goretexprotese med diameter 22 mm. En preoperativt diagnostisert, men ubehandlet stenose i a. coeliaca antas å ha vært en disponerende årsak til trombosering i leverarterien. Den ble påvist ved ultralydkontroll neste morgen.
Under reoperasjonen 19.11. ble det gjort trombektomi. I samme seanse ble fibrer av crura diafragmatica rundt avgangen av a. coeliaca fra aorta spaltet med tanke på at dette kunne bedre blodstrømmen i arterien. For å hindre en potensielt livstruende arteriell retrombosering ble tromboseprofylakse med heparin startet. I løpet av de påfølgende dager medførte dette blødning til begge pleurahuler og til buken. Blod ble evakuert perkutant og tromboseprofylaksen ble fortsatt med dalteparin (Fragmin) etter seponering av heparin.
Det videre forløp var uten komplikasjoner. En abdominal CT viste tilfredsstillende forhold (e-fig 9), og pasienten ble utskrevet til hjemmet med normale leverfunksjonsprøver tre uker etter operasjonen. Leverfunksjonsprøver ved utskrivningen er vist i e-tabell 2. Den histologiske undersøkelsen av det fjernede neoplasmet stadfestet at det dreide seg om et hemangiom, uten tegn til malignitet.
Tabell 2
Pasient B. Pre- og postoperative blodprøver i dagene før og etter operasjonen
| Dag |
–3 |
1 |
3 |
5 |
7 |
20 |
| Hemoglobin (g/dL) |
10,5 |
10,1 |
7,6 |
7,7 |
8,7 |
11,8 |
| ASAT (U/L) |
68 |
486 |
113 |
500 |
165 |
26 |
| ALAT (U/L) |
87 |
255 |
156 |
333 |
255 |
65 |
| Bilirubin (mmol/l) |
7 |
46 |
15 |
25 |
32 |
16 |
| LD (U/L) |
278 |
723 |
372 |
663 |
660 |
800 |
| ALP (U/L) |
307 |
89 |
135 |
436 |
747 |
|
| GT (U/L) |
104 |
24 |
34 |
28 |
112 |
121 |
| INR |
1,1 |
1,4 |
1,3 |
1,3 |
1,2 |
1,0 |
| Totalprotein (g/L) |
63 |
46 |
40 |
41 |
51 |
81 |
| Albumin (g/L) |
38 |
26 |
22 |
25 |
26 |
33 |
Diskusjon
Lesjonens art og lokalisasjon er det som først og fremst bestemmer hvilken teknikk man bør anvende ved leverkirurgi. De aller fleste reseksjoner kan gjennomføres med tradisjonell in situ-teknikk, eventuelt ved hjelp av Pringels manøver, kombinert med okklusjon av v. cava kranialt og kaudalt for leveren (total vaskulær eksklusjon). Det forutsetter imidlertid at varm isckemitid ikke overskrider visse grenser, avhengig av leverens kvalitet (10).
Teknikker for ex situ-organpreservasjon ble utviklet i forbindelse med at organtransplantasjon ble introdusert i klinisk virksomhet i andre halvdel av 1960-årene. Takket være videreutvikling av disse prosedyrer kan kirurgi på nyre og lever nå utvides til å omfatte lesjoner som tidligere ble vurdert å være utilgjengelige grunnet omfang, beliggenhet eller relasjon til vitale karstrukturer. Ekstrakorporeal leverreseksjon ble først beskrevet av Pichlmayr og medarbeidere i 1988 (2), og noen få kasuistikker og mindre materialer er siden publisert (3) – (5). Høy postoperativ mortalitet var hovedårsaken til at metoden fikk liten utbredelse.
Våre to pasienter hadde begge neoplasmer som var vurdert å være utilgjengelige for konvensjonell kirurgi. Hos begge var det overhengende fare for at videre tumorvekst ville medføre okklusjon av vitale leverkar. Ekstrakorporeal reseksjon med vaskulær rekonstruksjon og påfølgende autotransplantasjon gav utmerket resultat hos begge. Fordelen med ekstrakorporeal kirurgi kombinert med hypoterm organperfusjon er først og fremst at teknikken gir optimale arbeidsforhold, med fri tilgang til alle deler av leveren og dens karstrukturer. Den gir rikelig tid til nøyaktig disseksjon og komplekse leverreseksjoner samt omfattende vaskulære rekonstruksjoner. Dette gjør en radikal enbloc-fjerning av maligne neoplasmer enklere, og risikoen for hematogen spredning av maligne celler reduseres. Veno-venøs bypass tillater avstenging av v. cava og portvenen under den anhepatiske fasen.
Utviklingen innen organtransplantasjon har frembrakt kirurgiske fremskritt som nå gjør det mulig å behandle lesjoner i og omkring leveren som tidligere har vært bedømt å være inoperable. Ekstrakorporeal leverkirurgi og autotransplantasjon vil likevel ha en meget begrenset indikasjon og må reserveres til sentre med erfaring innen levertransplantasjon.
e-tab 1, e-tab 2, e-fig 4, e-fig 7 og e-fig 9 finnes i artikkelen på www.tidsskriftet.no
Delvis basert på artikkel i Hepato-Gastroenterology (6)
Interessekonflikter: Ingen
Hovedbudskap
Hepatektomi og ex situ-reseksjon med påfølgende autotransplantasjon kan være løsningen i tilfeller der in situlerkirurgi ikke lar seg gjennomføre
Prosedyren er basert på teknikker utviklet for organtransplantasjon og må sentraliseres til avdeling med erfaring i levertransplantasjon
- 1.
Brekke IB, Flatmark A, red. Extracorporeal renal surgery and autotransplantation. Berlin: Springer Verlag, 1997.
- 2.
Pichlmayr R, Bretschneider HJ, Kirchner E, Ringe B, Lamesch P, Gubernatis G et al. Ex situ Operation an der Leber: eine neue Möglichkeit in der Leberkirurgie. Langenbecks Arch Chirurgie 1988; 373: 122 – 6.
- 3.
Yanaga K, Kishikawa K, Shimada M, Kakizoe S, Higashi H, Nishizaki T et al. Extracorporeal hepatic resection for previously unresectable neoplasms. Surgery 1993; 113: 637 – 43.
- 4.
Hamazaki K, Yagi T, Inagaki M, Tanaka N, Mimura H, Orita K et al. Hepatectomy with extracorporeal circulation for liver metastasis from colon carcinoma located at the confluence of the major hepatic vein: a case report. Hepato-Gastroenterology 1994; 41: 150 – 3.
- 5.
Forni E, Meriggi F. Bench surgery and liver autotransplantation. Personal experience and technical considerations. G Chir 1995; 16: 407 – 13.
- 6.
Brekke IB, Mathisen Ø, Line P-D, Hauss HJ, Osnes S. Hepatic autotransplantation with ex situ neoplasm extirpation and v. cava replacement. A case report. Hepato-Gastroenterology 2003; akseptert for publisering.
- 7.
Scholz T, Mathisen O, Bergan A, Osnes S, Innes R, Pedersen T et al. Percutaneous technique for venovenous bypass including a heat exchanger is safe and reliable in liver transplantation. Transpl Int 1997; 10: 180 – 4.
- 8.
Wahlberg JA, Love R, Landegaard L. 72-hour preservation of the canine pancreas. Transplantation 1987; 43: 5 – 8.
- 9.
Molmenti EP, Klintmalm GB. Atlas of liver transplantation. Philadelphia: Saunders, 2002.
- 10.
Huguet C, Gavelli A, Chieco PA, Bona S, Harb J, Joseph JM et al. Liver ischemia for hepatic resection: where is the limit? Surgery 1992; 111: 251 – 9.