Intraabdominalt fokalt fettinfarkt er foreslått som fellesbetegnelse for infarkt i omentet og i appendices epiploicae, på engelsk kalt henholdsvis «segmental omental infarction» og «epiploic appendagitis» (epiploisk appendagitt) (1). Dette er en lite kjent tilstand, men en viktig differensialdiagnose ved akutt abdomen. Ved en litteraturgjennomgang fant Vriesman og medarbeidere at denne tilstanden forekom hos 2,3 – 7,1 % av pasienter med mistenkt divertikulitt og hos 0,3 – 1 % av dem med mistenkt appendisitt (2). Ved Sørlandet sykehus Arendal var det to tilfeller i 2002, og i det samme året ble det gjort 107 appendektomier. I artikler med data samlet fra en lengre tidsperiode ble det funnet en frekvens av tilstanden på én per 30 appendektomier (1) og én per 173 appendektomier (3). Intraabdominalt fokalt fettinfarkt kan forekomme i alle aldre, men maksimal insidens er ved 40 års alder, og tilstanden er noe hyppigere hos menn enn hos kvinner (2).
Her presenteres to sykehistorier fra Sørlandet sykehus Arendal, og deretter en litteraturgjennomgang med hovedvekt på bildediagnostikk ved intraabdominalt fokalt fettinfarkt.
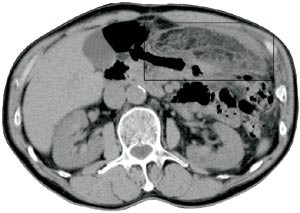
Pasient 1. En 56 år gammel mann med medikamentelt behandlet hypertensjon og tidligere operert brokk i epigastriet ble henvist fra primærlege til ultralydundersøkelse av abdomen på grunn av smerter under venstre costalbue, tiltakende over en uke og konstante de siste tre dager. Undersøkelsen viste en ekkorik, hovedsakelig homogen, 12 x 3 cm stor oval masse med enkelte lavekkogene avsnitt i sentrale deler og et tynt hypoekkoisk sjikt omkring (fig 1). Supplerende CT viste en 10 x 3 cm stor oppfylling i det tilsvarende området under venstre costalbue. Den lå tett an mot bukveggen foran ventrikkelen og hadde attenuasjon som fettvev med ødem (fig 2). Klinisk var han subfebril, direkte og indirekte øm medialt og nedenfor venstre costalbue, samt hadde forverring av smerten ved hoste. Man mistenkte omentnekrose, og pasienten ble operert ved laparoskopi. Alt nekrotisk vev ble resecert, og histologisk diagnose var fettvev med akutt hemoragisk infarkt og subserøs fibrose. Postoperativt forløp var ukomplisert.
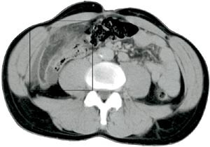
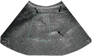
Pasient 2. En 42 år gammel mann, tidligere appendektomert og operert for etterfølgende adheranseileus, kom inn med konstante smerter i høyre nedre kvadrant av halvannet døgns varighet. Han hadde redusert matlyst, men ikke oppkast. Ved klinisk undersøkelse var han subfebril og hadde en palpabel oppfylling til høyre for umbilicus og tegn til peritonitt. Ultrasonografi viste, svarende til palpasjonsfunnet, en ekkorik, relativt homogen oppfylling med et par små sentrale hypoekkoiske foci. Den var velavgrenset fra tarm, 3 x 8 cm stor og med litt ødem omkring (fig 3). CT fremstilte i samme lokalisasjon en skarpt avgrenset lavattenuerende, inhomogen oval oppfylling med omliggende ødem. Den var 10 x 4 cm stor og hadde utseende som ødematøst fettvev (fig 4). Røntgen thorax og oversikt abdomen var upåfallende. Preoperativ diagnose var uspesifisert oppfylling eller infiltrat, sannsynligvis uten relasjon til tarm. Pasienten ble laparotomert, og det ble funnet torsjon av en del av omentet, med begynnende nekrose. Affisert fettvev ble fjernet og diagnosen verifisert ved histologisk undersøkelse.
Diskusjon
Patogenese og patologi
Mobilitet og skjør blodtilførsel disponerer appendices epiploicae og omentet for venøs trombose ved torsjon og strekk. Enkelte skiller mellom primært omentinfarkt etter spontan trombose og en sekundær form forårsaket av torsjon, adheranser, tromboembolisk tilstand, tidligere abdominalt traume eller kirurgi (4). Hos begge våre pasienter var lesjonen lokalisert ved eller nær arret etter tidligere inngrep. Fedme er en predisponerende faktor (1).
Histologisk ses hemoragisk infarkt med fettvevsnekrose, senere infiltrasjon av lymfocytter, histiocytter og fibroblaster. Ubehandlet resulterer dette i komplett resolusjon eller fibrotiske arr, kalsifisering og autoamputasjon (5, 6). Utvikling av abscess eller adheranser kan forekomme.
Kliniske symptomer og funn
Pasienten har lokalisert akutt eller subakutt smerte i magen, vanligvis av 1 – 3 dagers varighet (2, 7). Kvalme eller oppkast er uvanlig, men lett feber og leukocytose kan forekomme. Ved klinisk undersøkelse er det lokal ømhet og ofte tegn til peritonitt, i en del tilfeller også palpabel oppfylling (1). Varighet av symptomer ved konservativ behandling er funnet å være gjennomsnittlig 5 – 15 dager (7, 8).
Infarkt av omentet affiserer vanligvis ett segment, og da oftest på høyre side nedad eller i nivå med umbilicus (7). Minst hyppig beskrevet er lokalisasjon som hos vår første pasient, i venstre øvre kvadrant (1). Epiploisk appendagitt er hyppigst i de nedre kvadranter, særlig venstre, da det er flest lange og prominerende appendices epiploicae på colon sigmoideum.
Bildediagnostikk
Ultrasonografi og CT brukes i diagnostikken av intraabdominalt fokalt fettinfarkt. Konvensjonell røntgen oversikt abdomen er uspesifikk, men kan i kompliserte tilfeller vise tegn på tynntarmsobstruksjon. MR fremstiller patologiske forandringer i fettvev godt, men er hittil lite brukt ved utredning av akutt abdomen.
Ultrasonografisk viser lesjonen seg som en rund eller oval ekkorik oppfylling lokalisert til ømhetens punctum maximum (1, 6) – (8). Oppfyllingen er ikke-komprimerbar og ofte adherent til peritoneum, sistnevnte demonstreres best i sagittalplan, hvor man under respirasjon kan observere lesjonens manglende bevegelighet i forhold til øvrig intraperitonealt innhold (7). Det ses ofte et 1 – 2 mm tynt, hypoekkoisk sjikt rundt oppfyllingen. Andre beskrevne assosierte funn er hypoekkoiske foci inni lesjonen som sannsynligvis representerer hemoragiske forandringer, fortykkelse av tilgrensende tarmvegg og peritoneum og masseeffekt med dislokasjon av tarm. Ved bruk av fargedoppler ses manglende blodstrøm.
Intraabdominalt fokalt fettinfarkt fremstilles ved CT som en velavgrenset oppfylling med fettattenuasjon av noe høyere tetthet enn normalt peritonealt fettvev (ca. -60 Hounsfield-enheter versus -120 Hounsfield-enheter) (1, 2, 6) – (9). I fettoppfyllingen ses høyattenuerende linjer eller drag arrangert i konsentrisk eller spiralaktig mønster (oftest kalt «stranding») og eventuelt mer veldefinerte foci med høyere tetthet. Dette indikerer ødem og blødning. En liten mengde fri væske nær lesjonen er hyppig til stede. Som ved ultrasonografi kan man finne fortykkelse av tarmvegg og peritoneum og masseeffekt.
Peroral, og eventuelt også rektal, kontrast kan tenkes å forenkle bildevurderingen, særlig ved små lesjoner, men det er ukjent om dette øker den diagnostiske nøyaktigheten ved denne tilstanden. Intravenøs kontrast kan ha differensialdiagnostisk verdi, for eksempel ved opptak i små peritoneale metastaser og perifert i abscesser.
Hyperattenuerende perifert sjikt omkring lesjonen er også beskrevet, men da oppfattet som å være indikator for at epiploisk appendagitt foreligger (5, 8). Vår andre pasient med omentinfarkt fremviste delvis dette tegnet på CT (fig 4), men hos ham brukte man intravenøs kontrast, som kan ha gitt oppladning i inflammert peritoneum. Andre kriterier som kan gi mulighet for å skille mellom disse to entiteter, er størrelsen og relasjonen til colon. Infarkt av oment er større enn epiploisk appendagitt, og omentinfarkt befinner seg medialt for colon ascendens eller descendens, mens epiploisk appendagitt ligger anteriørt eller anterolateralt (8). Massen ved omentinfarkt er heterogen og oftest til høyre i abdomen, mens epiploisk appendagitt er mer homogen og hyppigst på venstre side (1, 8). I praksis har det liten betydning å skille disse to former for fettinfarkt, fordi det ikke foreligger overbevisende diskriminerende kriterier og fordi symptomatologi og behandling er lik. Det samme gjelder enten det foreligger torsjon av omentet eller primært infarkt (5).
De fleste radiologiske rapporter er basert på kombinasjon av ultrasonografi og CT (1, 5) – (8). Det vil ofte være vanskelig å utelukke appendisitt eller divertikulitt ved bruk av ultrasonografi alene, noe som er en forutsetning for diagnosen ettersom disse to tilstandene har liknende sykdomsbilde som ved intraabdominalt fokalt fettinfarkt.
Differensialdiagnostikk
Potensielle fallgruver for radiologen er å overse funn forenlig med appendisitt eller divertikulitt. Det vil da være liknende kliniske manifestasjoner, men vanligvis mer allmennsymptomer enn ved fettinfarkt. Oftest ses noe inflammasjon i intraperitonealt fett nær slike betennelser, men mer diffust avgrenset enn ved fettinfarkt. Ved utbredt affeksjon av intraabdominalt fokalt fettinfarkt med dårligere avgrensning av oppfyllingen kan det bli vanskelig å utelukke malignitet som liposarkom, peritonealt mesoteliom eller omentmetastase (5, 7). Stumpt traume mot buken kan også gi ødem og blødning i omentet.
Ytterligere differensialdiagnostiske overveielser er intraabdominal pannikulitt, tuberkuløs peritonitt og fokal fettnekrose ved pankreatitt. Pannikulitt er oftest idiopatisk, men kan være assosiert med malignitet. Det er det sentrale mesenteriale fettvevet som er affisert, men omentet kan en sjelden gang være involvert (5). Pasienten får vekttap, feber og kvalme – altså et helt annet sykdomsbilde enn ved intraabdominalt fokalt fettinfarkt.
Et diagnostisk hjelpemiddel kan være å gjenta ultrasonografi- eller CT-undersøkelsen etter 1 – 4 uker, da fettinfarkt viser tilbakegang av lesjonen parallelt med klinisk bedring (1, 7) – (11).
Behandling og forløp
Konservativ behandling ved denne tilstanden er observasjon og eventuelt milde analgetika ved behov. Det foreligger minst 97 rapporterte tilfeller hvor konservativ behandling var ukomplisert (2, 10) – (14). I den kirurgiske litteraturen tales det oftere for primær kirurgisk behandling for å oppnå rask symptomlindring og for å redusere risikoen for komplikasjoner som abscess og adheranser (3). Ett fatalt tilfelle er rapportert (15), og det er beskrevet 15 kompliserte tilfeller, fire med abscessutvikling og 11 med tarmobstruksjon på grunn av adheranser fra epiploisk appendagitt (2).
Konklusjon
Intraabdominalt fokalt fettinfarkt er en tilstand som trolig er underdiagnostisert. Med hyppigere bruk av ultrasonografi og CT ved akutt abdomen kan man vente at diagnosen stilles oftere (5). Ved karakteristiske funn kan man stille diagnosen med høy grad av sannsynlighet og ofte unngå kirurgisk intervensjon.
Jeg takker Aksel A. Ongre for gode råd og nyttige kommentarer.
Interessekonflikter: Ingen
Hovedbudskap
Intraabdominalt fokalt fettinfarkt er infarkt i oment eller appendices epiploicae
Kliniske manifestasjoner er som ved akutt abdomen
Tilstanden går oftest tilbake, og komplikasjoner forekommer sjelden
Diagnosen kan stilles ved bruk av bildediagnostikk
- 1.
van Breda Vriesman AC, Lohle PNM, Coerkamp EG, Puylaert JBCM. Infarction of omentum and epiploic appendage: diagnosis, epidemiology and natural history. Eur Radiol 1999; 9: 1886 – 92.
- 2.
van Breda Vriesman AC, de Mol van Otterloo AJC, Puylaert JBCM. Epiploic appendagitis and omental infarction. Eur J Surg 2001; 167: 723 – 7.
- 3.
Goti F, Hollmann R, Stieger R, Lange J. Idiopathic segmental infarction of the greater omentum successfully treated by laparoscopy: report of a case. Surg Today 2000; 30: 451 – 3.
- 4.
Balthazar EJ, Lefkowitz RA. Left-sided omental infarction with associated omental abscess: CT diagnosis. J Comput Assist Tomogr 1993; 17: 379 – 81.
- 5.
van Breda Vriesman AC, Puylaert JBCM. Epiploic appendagitis and omental infarction: pitfalls and look-alikes. Abdom Imaging 2002; 27: 20 – 8.
- 6.
Grattan-Smith JD, Blews DE, Brand T. Omental infarction in pediatric patients: sonographic and CT findings. AJR Am J Roentgenol 2002; 178: 1537 – 9.
- 7.
Puylaert JBCM. Right-sided segmental infarction of the omentum: clinical, US, and CT findings. Radiology 1992; 185: 169 – 72.
- 8.
Rioux M, Langis P. Primary epiploic appendagitis: clinical, US, and CT findings in 14 cases. Radiology 1994; 191: 523 – 6.
- 9.
Rao PM, Wittenberg J, Lawrason JN. Primary epiploic appendagitis: evolutionary changes in CT appearance. Radiology 1997; 204: 713 – 7.
- 10.
Karak PK, Millmond SH, Neumann D, Yamase HT, Ramsby G. Omental infarction: report of three cases and review of the literature. Abdom Imaging 1998; 23: 96 – 8.
- 11.
Amin Z, Healy J, Leach RD. A case of acute right-sided abdominal pain. Br J Radiol 1999; 72: 421 – 2.
- 12.
McClure MJ, Khalili K, Sarrazin J, Hanbidge A. Radiological features of epiploic appendagitis and segmental omental infarction. Clin Radiol 2001; 56: 819 – 27.
- 13.
ter Meulen PH, Repelear van Driel OJ, Ooms HWA. Focal intraperitoneal fat infarction. Dig Surg 2001; 18: 328 – 31.
- 14.
Noordzij J, Puylaert JBCM, Smithuis RHM, Langezaal OAM. Rightsided segmental infarction of the omentum. Eur J Surg 1994; 160: 703 – 5.
- 15.
Patchell RD. A fatal case of idiopathic omental infarction. WV Med J 1977; 73: 29 – 30.