Background.
Although CT is considered the method of choice in the evaluation of inflammatory sinus disease, plain film radiography is still used, as repetitive CT examinations may impart a considerable radiation dose to the lens. We designed a new low-dose CT examination and compared this and plain film radiography to standard-dose CT.
Methods and materials.
The new CT low-dose protocol consisted of ten coronal scans at 40 mAs and 1 mm collimation. 47 patients referred for acute sinusitis were examined with plain film radiography, low-dose and standard-dose CT on the same day. The latter was used as «the gold standard».
Results.
The sensitivity of plain film radiography was low (< 50 %) except for the maxillary sinus (80 %). The overall sensitivity of low-dose CT was 95 % and the specificity 97 %. Effective dose and lens dose of low-dose CT were 3 % and 2 % respectively compared to standard-dose CT. Corresponding values for conventional radiography were 13 % and 2 %.
Interpretation.
Low-dose CT had image quality comparable to standard-dose CT and a dose to the eye lens equal to plain film radiography. Low-dose CT should be the method of choice in patients referred for acute sinusitis.
CT er ansett som beste metode for bildediagnostikk av de fleste bihuleforandringer. I faglitteratur fra begynnelsen av 1990-årene benyttes kontinuerlig snittføring (1) og til dels høye mAs-verdier (2) – (4). Gjentatte slike undersøkelser kan medføre unødig høye stråledoser.
Den hurtige utviklingen av CT-teknologien har resultert i moderne maskiner med høy diagnostisk bildekvalitet og betydelig redusert stråledose og undersøkelsestid sammenliknet med eldre maskiner (3). Det er utviklet CT-protokoller med redusert stråledose for utredning av inflammatoriske forandringer i bihulene (3). Konvensjonell røntgenundersøkelse er fortsatt vanlig ved mistanke om akutt sinusitt, men påliteligheten av funnene er omdiskutert. Spesielt vanskelig kan det være å avgjøre om det foreligger tegn til sinusitt i sinus ethmoidalis og sphenoidalis. Argumentene til fordel for konvensjonell røntgenundersøkelse har vært bedre tilgjengelighet, enklere prosedyre, lavere stråledose og lavere pris (5).
Hensikten med denne prospektive undersøkelsen var å utarbeide en lavdoseprosedyre for CT-utredning av akutt sinusitt og sammenlikne diagnostisk informasjon, stråledose og prosedyretid med konvensjonell røntgenundersøkelse. Standarddose-CT ble brukt som gullstandard.
Materiale og metode
I en seks måneders periode fra november 2000 til mai 2001 ble 47 pasienter inkludert. Det var 25 kvinner og 22 menn i aldersgruppen 15 – 65 år (gjennomsnittsalder 43 år). Alle var henvist med mistanke om akutt sinusitt. Hver enkelt pasient ble på en og samme dag undersøkt med vanlig røntgenundersøkelse, standarddose-CT og lavdose-CT av bihulene. Røntgenundersøkelsen ble utført i tre projeksjoner (frontal, semiaksial og lateral), med analog teknikk.
CT-undersøkelsene ble utført med en HiSpeed CT/i-maskin (GE Medical Systems, Milwaukee, WI, USA) med koronal snittføring og hyperekstendert nakke. Standarddose-CT ble utført med ca. 23 snitt med snittykkelse 3 mm. Snittintervallet var 3 mm gjennom det ostiomeatale kompleks og 5 mm gjennom resterende bihuler. Eksponeringen ble foretatt med strømstyrke 200 – 240 mA og rørspenning 120 kilovolt (kV) i ett sekund. Ved lavdose-CT ble det tatt ti koronale snitt med snittykkelse 1 mm, kV 120, mA 40 og eksponeringstid ett sekund. Det første snittet ble lagt gjennom midtre del av frontalsinus foran øyets linse. Snitt nummer to ble lagt 15 mm bak første snitt og bak øyets linse for å unngå direkte bestråling. Snittene 3 – 7 ble lagt gjennom det ostiomeatale kompleks med snittavstand 5 mm. De tre siste snittene ble lagt gjennom bakre etmoidalceller og sphenoidalsinus med en snittavstand på 10 mm (fig 1). Bildene ble rekonstruert med kantforsterkningsalgoritme og avbildet med bildevinduet (Window Width) 2000 Hounsfield-enheter (HU) og bildesenter (Window Level) 250 HU. Stråledosene ble for CT-undersøkelsene utregnet med dataprogrammet CTDOSE og for røntgenundersøkelsen med programmet XDOSE (National Radiation Laboratory, Christchurch, New Zealand).
De radiologiske kriteriene for akutt sinusitt var enten total sløring, luft-væske-speil eller slimhinnefortykkelse på minst 3 mm (6). Ved å benytte standarddose-CT som gullstandard ble sensitivitet og spesifisitet for konvensjonell røntgen og lavdose-CT utregnet for hver gruppe av bihuler. På de vanlige røntgenbildene ble sphenoidalsinus bedømt ved hjelp av sidebildet, og høyre og venstre avsnitt kunne ikke utdifferensieres separat.
Resultater
CT-undersøkelsen (gullstandard) var positiv for sinusitt i 45 av 94 kjevehuler, i 17 av 87 pneumatiserte pannehuler, i 17 av 94 pneumatiserte høyre eller venstre avsnitt av sphenoidalsinus og i 39 av 94 høyre eller venstre sides etmoidalceller.
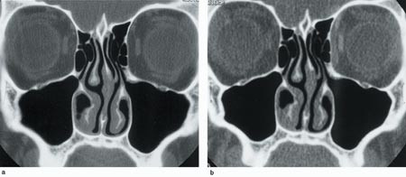
Sensitivitet og spesifisitet for røntgen bihuler og lavdose-CT fremgår av tabell 1. Ved røntgen bihuler var spesifisiteten høy, men sensitiviteten lav (< 50 %) for alle sinusgrupper bortsett fra kjevehulene, hvor sensitiviteten var 80 %. For lavdose-CT var den samlede sensitivitet og spesifisitet for tilstedeværelse eller fravær av sinusitt henholdsvis 95 % og 97 %. Lavdose-CT var ved denne problemstillingen tilnærmet like nøyaktig som standarddose-CT. Den lave mA-verdien med økte artefakter gav få tolkingsproblemer (fig 2).
Tabell 1
Diagnostisk nøyaktighet ved sinusittmistanke
| Konvensjonell radiologi |
Lavdose-CT |
|||||
| Sinus |
Antall |
Sensitivitet (%) |
Spesifisitet (%) |
Sensitivitet (%) |
Spesifisitet (%) |
|
| Sinus maxillaris |
94 |
80 |
92 |
98 |
98 |
|
| Sinus ethmoidalis |
94 |
41 |
100 |
95 |
96 |
|
| Sinus frontalis |
84 |
39 |
97 |
83 |
98 |
|
| Sinus sphenoidalis |
47/94 |
25 |
97 |
100 |
96 |
|
Doseestimatene (tab 2) viste at det var mulig å oppnå en betydelig dosereduksjon. Effektiv dose ved lavdose-CT var 3 % (0,02 mSv) og linsedose 2 % (0,4 mGy) sammenliknet med standarddose-CT. Tilsvarende tall for konvensjonell røntgen var 13 % (0,07 mSv) og 2 % (0,5 mGy).
Tabell 2
Doseestimat
| Standarddose-CT |
Lavdose-CT |
Røntgen bihuler |
||
| Linsedose (mGy) |
24 |
0,4 |
0,5 |
|
| Effektiv dose (mSv) |
0,6 |
0,02 |
0,07 |
|
Diskusjon
Puss i meatus medius er det eneste spesifikke kliniske tegn (7) på sinusitt. I tvilstilfeller er bildediagnostikk av verdi. CT regnes som en god diagnostisk metode, men medfører relativt høy stråledose. Internasjonalt arbeides det for å registrere og redusere prosedyrerelaterte doser. På grunn av de store kontrastforskjeller i bihuleregionen er det mulig å senke mAs-verdien og redusere snittykkelsen. Sinusittdiagnosen kan stilles uten helt tettliggende snitt.
Vår intensjon var å utvikle en lavdoseprotokoll hvor det var balanse mellom bildekvalitet og stråledose. Generelt vil senkning av mAs-verdien redusere stråledosen, men øke bildestøyen. Redusert snittykkelse og økt snittavstand reduserer også stråledosen. Det er en direkte sammenheng mellom snittykkelse og bildestøy. Ved å utvide bildevinduet blir støyen mindre fremtredende. Vi kom frem til en nedre grense for fremstilling av bihuler ved mAs 40 og snittykkelse 1 mm. Ved lavere verdier dominerte tannfyllingsartefakter og bildestøy. Snittavstanden varierte vi avhengig av de aktuelle anatomiske strukturer, og vi unngikk å bestråle øyets linse direkte. Vi oppnådde med den aktuelle lavdose-CT en reduksjon til under 10 % av standarddosen.
Det nye ved vår lavdoseprotokoll var tynnere snittføring, varierende snittavstand, reduksjon av antall snitt, særlig i linseregionen. Dette var trolig årsaken til at sensitiviteten for frontalsinus ved lavdose-CT var lavere (83 %) enn for de øvrige bihuler. Våre beregnede linsedoser ved lavdose-CT var lavere enn i andre tilsvarende studier (8, 9). I vårt materiale hadde lavdose-CT høy spesifisitet for alle sinusgrupper. Et positivt funn kunne i de fleste tilfeller bekreftes ved standarddose-CT. Sensitiviteten var også høy (>= 95 %) for alle sinusgrupper, bortsett fra frontalsinus. Konvensjonell røntgenundersøkelse av bihuler hadde også relativt høy spesifisitet. Sensitiviteten var imidlertid lav. Et negativt funn hadde dermed liten verdi bortsett fra i kjevehulen, der sensitiviteten var 80 %.
I en tilsvarende undersøkelse fant Burke og medarbeidere (6) for kjevehulen en sensitivitet på 70 % og en spesifisitet på 96 – 100 %. Ingen av sløringene i andre bihuler enn kjevehulen ble påvist ved vanlig røntgenundersøkelse.
Ved vår avdeling tok CT-undersøkelsene 5 – 9 minutter (gjennomsnittlig 6,5 min), mens vanlig røntgenundersøkelse tok 10 – 20 minutter (gjennomsnittlig 15 min). Sistnevnte undersøkelsestid vil kunne reduseres ved fluoroskopi og flatpanelradiografi.
Ultrasonografi brukes av en del øre-nese-hals-leger for å stadfeste om det foreligger maxillaris- eller frontalsinusitt. Ultralyd kan ikke diagnostisere sykdom i de dypereliggende bihuler. En undersøkelse i Finland (10) viste en sensitivitet for ultralydundersøkelse på 77 % og en spesifisitet på 49 %. MR-undersøkelse som utføres uten bruk av ioniserende stråler, kan i større grad enn CT differensiere mellom puss og fortykket slimhinne (11).
MR har imidlertid dårligere oppløsning ved høy kontrast enn CT, slik at anatomiske detaljer fremstilles dårligere.
Artikkelen bygger på undersøkelser publisert i European Radiology (12) og Dentomaxillofacial Radiology (13)
- 1.
Harnsberger HR. Sinonasal imaging: imaging issues in sinusitis. I: Harnsberger HT, red. Handbook of head and neck imaging. St. Louis: Mosby, 1995: 359.
- 2.
Marmolya G, Wiesen EJ, Yagan R, Haria CD, Shah AC. Paranasal sinuses; low-dose CT. Radiology 1991; 181: 689 – 91.
- 3.
Duvoisin B, Landry M, Chapuis L, Krayenbuhl M, Schnyder P. Low-dose CT and inflammatory disease of the paranasal sinuses. Neuroradiology 1991; 33: 403 – 6.
- 4.
Shankar L, Evans K, Hawke M, Stammberger H. Basic principles of radiography of the nasal cavity and paranasal sinuses. I: Shankar L, Evans K, Hawke M, Stammberger H, red. An atlas of imaging of the paranasal sinuses. London: Martin Dunitz, 1994: 24 – 30.
- 5.
Mendelsohn M, Noyek A. The role of conventional sinus radiographs in paranasal sinus disease. I: Shankar L, Evans K, Hawke M, Stammberger H, red. An atlas of imaging of the paranasal sinuses. London: Martin Dunitz, 1994: 33 – 40.
- 6.
Burke TF, Guertler AT, Timmons JH. Comparison of sinus x-rays with computed tomography scans in acute sinusitis. Acad Emerg Med 1994; 1: 235 – 9.
- 7.
Williams JW, Simel DL, Roberts L, Samsa GP. Clinical evaluation for sinusitis. Making the diagnosis by history and clinical examination. Ann Intern Med 1992; 117: 705 – 10.
- 8.
Mc Lennan AC. Radiation dose to the lens from coronal CT scanning of the sinuses. Clin Radiol 1995; 50: 265 – 7.
- 9.
Moulin G, Chagnaud C, Waultier S, Le Briand, Espagnan M, Dessi P et al. Radiation dose to the lenses in CT of the paranasal sinuses. Neuroradiology 1996; 38: 127 – 9.
- 10.
Haapaniemi J, Laurikainen E. Ultrasound and antral lavage in the examination of maxillary sinuses. Rhinology 2001: 39: 39 – 42.
- 11.
Eggesbø HB, Dølvik S, Stiris M, Søvik S, Storrøsten OT, Kolmanskog F. Complementary role of MR imaging of ethmomaxillary sinus disease depicted at CT in cystic fibrosis. Acta Radiologica 2001; 42: 144 – 50.
- 12.
Hagtvedt T, Aaløkken TM, Nøtthellen J, Kolbenstvedt A. A new low-dose CT examination compared with standard-dose CT in the diagnosis of acute sinusitis. Eur Radiol 2003; 13: 976 – 80.
- 13.
Aaløkken TM, Hagtvedt T, Dalen I, Kolbenstvedt A. Conventional sinus radiography compared with CT in the diagnosis of acute sinusitis. Dentomaxillofac Radiol 2003; 32: 60 – 2.