Background.
Imaging plays an important part in cardiology, and MR imaging (MRI) is one of many methods used in the diagnosis of cardiac disease.
Material and methods.
Based on the literature and own experience, an overview is given of the current potential of MRI in cardiology.
Results.
MRI represents the most comprehensive diagnostic modality in cardiac imaging. Non-invasively and without the use of ionizing radiation, MRI may depict the anatomy in freely selectable planes, visualise and quantify cardiac pump function and valvular function, and provide detailed information on myocardial contractility, perfusion, and viability. MRI may give valuable, sometimes unique contributions in both congenital and acquired heart disease.
Interpretation.
Restricted availability and experience have slowed the spread of cardiac MRI, but the method is expected to play a major role in the diagnosis of cardiac disease.
Bildediagnostikk spiller en stor rolle i mange kliniske disipliner, så også i kardiologien. Røntgen thorax, ekkokardiografi med doppler, nukleærmedisinske metoder, invasiv kateterbasert angiografi, MR (magnetisk resonanstomografi, magnettomografi) og i den siste tid også multidetektor-CT er alle metoder som spiller viktige, men ulike roller innen diagnostikk av hjertesykdommer. Metodene har sine sterke og svake sider, dels på grunn av apparaturens tekniske muligheter, dels på grunn av pris, kompetanse og tilgjengelighet.
Hensikten med denne artikkelen er å plassere MR i kardiologiens bildediagnostiske landskap, peke på metodens fordeler og ulemper i forhold til alternative metoder, gi en oversikt over dagens viktigste indikasjoner og også forsøke å antyde metodens fremtidsutsikter. Artikkelen er basert dels på litteraturstudier, dels på 16 års egen erfaring med MR-diagnostikk av hjertesykdommer.
MR versus alternativ bildediagnostikk
MR er, i likhet med ekkokardiografi, nukleærmedisinske teknikker (scintigrafi) og CT, en ikke-invasiv metode som kan lage snittbilder av hjertet. I motsetning til scintigrafi og CT er det ved MR ingen ioniserende stråler, her er det radiobølger og magnetfelter som ligger til grunn for bildedanningen (1). I forhold til CT har MR også den fordel at man unngår bruk av potensielt nefrotoksiske kontrastmidler. Mange MR-undersøkelser av hjertet kan gjøres uten bruk av kontrastmiddel, men intravenøs injeksjon av MR-kontrastmiddel er nødvendig ved undersøkelse av perfusjon og viabilitet. MR-kontrastmidlene har imidlertid betydelig mindre nefrotoksisitet enn røntgenkontrastmidlene og kan vanligvis gis også til pasienter med redusert nyrefunksjon, uten skadelig effekt (2).
De aller fleste MR-undersøkelser av hjertet må gjøres med såkalt EKG-trigging, dvs. synkronisert med EKG eller hjerteslagene (3, 4). Ett enkelt bildeopptak kan kreve fra omtrent ti til flere hundre hjerteslag før opptaket er ferdig, dvs. fra ca. 10 – 15 sekunder til flere minutter. Dette betyr bl.a. at svært uregelmessig hjerteaksjon kan gjøre det vanskelig å få gode MR-bilder av hjertet. Det betyr også at pasienten må ligge helt stille i løpet av bildeopptaket, hvilket for små barn kan kreve sedering eller narkose. Dette er en klar ulempe i forhold til ekkokardiografi, som på sin side er helt avhengig av et såkalt akustisk vindu for å visualisere hjertet. I motsetning til ultralyd stoppes ikke radiobølger og magnetfelter av luft eller bein, og MR gir derfor ofte en langt bedre anatomisk oversikt enn ekkokardiografi.
Indikasjonen bestemmer undersøkelsen
En god MR-undersøkelse av hjertet forutsetter en godt fundert klinisk problemstilling. I tillegg til anatomisk fremstilling i flere plan, enten som snittbilder eller angiografiske projeksjonsbilder (5), kan MR gi informasjon om flere aspekter ved hjertets funksjon, f.eks. global og regional kontraktilitet, klaffefunksjon og hemodynamikk, blodstrømshastighet, myokardperfusjon i hvile og under stress og myokardviabilitet. Hver av disse problemstillingene krever imidlertid egne, spesielle MR-opptak (6), og for å unngå at undersøkelsen tar unødig lang tid, må den skreddersys til den aktuelle kliniske problemstilling.
Gode indikasjoner for MR-undersøkelse av hjertet kan være medfødt hjertesykdom, iskemisk hjertesykdom, kardiomyopati (og enkelte andre myokardsykdommer), klaffefeil, perikardsykdom, høyre ventrikkel-dysplasi og tumor.
Medfødt hjertesykdom
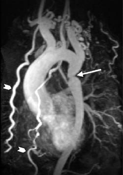
Ikke-invasiv bildediagnostisk utredning av medfødt hjertesykdom er i første rekke en oppgave for ekkokardiografi med doppler. Bruken av MR er derfor langt på vei bestemt av hvor langt man kommer med den undersøkelsen. MR er særlig godt egnet til å avklare komplisert anatomi (3, 4) og kan også bedre enn ekkokardiografi brukes til å vurdere både høyre og venstre ventrikkels funksjon (7). MR kan benyttes ved postoperativ kontroll av flere tilstander (3, 5), ikke minst hos barn og unge. Ved en forholdsvis enkel tilstand som coarctatio aortae (fig 1) vil MR alene som regel gi tilstrekkelig informasjon både pre- og postoperativt (3).
Iskemisk hjertesykdom
Selv om MR foreløpig gir en utilstrekkelig fremstilling av koronararteriene og deres stenoser, er det ved iskemisk hjertesykdom at undersøkelsen har sitt største potensial.
Ved reversibel iskemi er stressekkokardiografi med høydose dobutamin en etablert diagnostisk metode, men flere studier har vist at tilsvarende test utført med MR gir høyere sensitivitet og spesifisitet (8). Reversibel og permanent iskemi kan også påvises ved å studere myokardperfusjonen i hvile og under koronar hyperemi utløst av f.eks. sykling eller farmaka (adenosin eller dipyridamol) (9). Tradisjonelt brukes nukleærmedisinske metoder, men myokardperfusjon kan også måles med MR ved å analysere kontrastoppladningen i myokard under første gangs passasje av et MR-kontrastmiddel injisert intravenøst. Kliniske studier har vist at MR har minst like høy sensitivitet og spesifisitet som de nukleærmedisinske metodene i påvisning av koronar hjertesykdom (10).
En sentral problemstilling ved iskemisk hjertesykdom er differensieringen mellom viabelt og ikke-viabelt myokard. Man har brukt flere strategier for å skille mellom disse tilstandene med MR (11). Såkalt stresstest med lavdose dobutamin blir oftest utført med ekkokardiografi, men kan også gjøres med MR. Den beste MR-metoden for diagnostisering av ikke-viabelt myokard har imidlertid vist seg å være påvisning av forsinket kontrastopptak (fig 2). 10 – 20 minutter etter intravenøs injeksjon av et ekstracellulært MR-kontrastmiddel vil man ved hjelp av spesielle bildeopptak («viabilitetsopptak») se kraftig kontrastoppladning i både nye og gamle infarkter, men ingen oppladning i levende myokard (12). Inntil nylig var påvisning av glukosemetabolisme med positronemisjonstomografi (PET) gullstandard i differensieringen mellom viabelt og ikke-viabelt myokard. Viabilitetsopptak med MR er en like sensitiv metode, men romoppløsningen er bedre. I motsetning til PET kan MR også vise den transmurale utbredelsen av et infarkt. Kliniske studier har vist at sannsynligheten for funksjonell bedring etter revaskularisering er nøye relatert til hvor stor del av veggtykkelsen som er infarsert. De aller fleste veggsegmentene som viser mindre enn 50 % transmural infarsering vil bedre sin kontraksjonsevne etter revaskularisering (13).
Kardiomyopati
Den primære bildediagnostiske utredningen av kardiomyopati gjøres vanligvis med ekkokardiografi, men MR kan gi viktige bidrag ved flere typer av kardiomyopati. Fordi MR ofte gir en mer nøyaktig fremstilling av venstre og høyre ventrikkels veggtykkelse enn ekkokardiografi og en sikrere fremstilling av arrområder, kan metoden sannsynligvis sikrere skille mellom idiopatisk dilatert kardiomyopati og ventrikkeldilatasjon pga. iskemisk hjertesykdom. Ved hypertrofisk kardiomyopati kan MR vise den nøyaktige distribusjon av veggfortykkelsen og også avsløre og kvantitere en eventuell obstruksjon i utløpstractus av venstre ventrikkel (fig 3). Mitral insuffisiens, som ofte er til stede ved denne tilstanden, kan også påvises og kvantifiseres. Ved restriktiv kardiomyopati er en aktuell differensialdiagnose konstriktiv perikarditt. Ved sistnevnte sykdom kan MR påvise fortykket perikard.
Andre myokardsykdommer
MR er ikke sensitiv for avleiring av fremmede stoffer i myokard, så som amyloid eller glykogen. Et unntak er uttalt jernavleiring, som vil ses som generelt redusert signalstyrke i myokard ved flere typer MR-opptak. Dette vil kunne oppdages både ved hemokromatose og ved transfusjonshemosiderose. Sarkoidgranulomer i myokard kan påvises med MR som områder med patologisk kontrastopptak. Akutt myokarditt er vanligvis ingen bildediagnose, men MR kan vise patologisk kontrastopptak i myokard ved virusmyokarditter (14).
Klaffefeil
Det er sjelden indikasjon for å gjøre MR-undersøkelse ene og alene for å evaluere klaffefeil, som regel kommer man til målet med ekkokardiografi. Når dette mislykkes, kan imidlertid MR være en god erstatning (15). MR-opptak som viser hjertets kontraksjoner og normalt sirkulerende blod med kraftig signal («hvitt blod») – såkalt cine-MR – vil vise høye blodstrømshastigheter og turbulens som bortfall av signal (fig 3). En klaffestenose ses derfor som en sort dusj (i det ellers hvite blodet) på medstrømssiden av klaffen, mens en insuffisient klaff ses som en sort dusj på motstrømssiden av klaffen (3, 4). Både stenoser og insuffisienser kan kvantifiseres.
Perikardsykdom
MR er en god undersøkelse til å vise fokal eller generell fortykkelse av perikard og til å vise væske i perikard. Kalk i perikard vises imidlertid dårlig, til dette er CT betydelig bedre. MR er godt egnet for påvisning av konstriktiv perikarditt, og kan ved denne tilstand i tillegg til perikardfortykkelsen også vise dilatasjon av høyre atrium, v. cava inferior og levervenene, normalt stor eller liten høyre ventrikkel samt typiske kontraksjonsmønstre i venstre ventrikkel (16).
Høyre ventrikkel-dysplasi
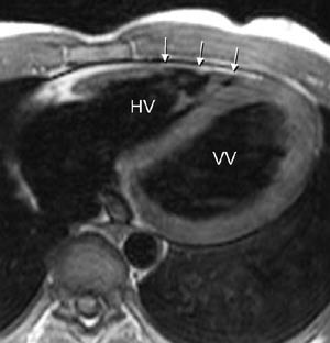
Høyre ventrikkel-dysplasi er bl.a. karakterisert av at myocyttene i høyre ventrikkels frie vegg helt eller delvis er erstattet av fett og bindevev (17). MR er den mest sensitive metoden til å påvise fettinfiltrasjon og redusert tykkelse av høyre ventrikkels frie vegg og kan derfor gi et viktig bidrag til diagnosen (fig 4). Slike funn er imidlertid ikke obligatoriske for diagnosen, og en normal MR-undersøkelse utelukker derfor ikke høyre ventrikkel-dysplasi. På den annen side vil MR kunne påvise karakteristiske forandringer også hos asymptomatiske personer med sykdommen, f.eks. slektninger til pasienter med verifisert høyre ventrikkel-dysplasi.
Tumor i og omkring hjertet
MR er den beste undersøkelsen til å fremstille en tumors relasjon til hjertet og de store kar, ikke minst med hensyn til innvekst i disse strukturene. Dette beror dels på en overlegen kontrastoppløsning, dvs. evne til å skille mellom ulike typer vev, dels på muligheten for helt valgfrie snittretninger. Unntaket kan være små, bevegelige intraatriale eller intraventrikulære tumorer; i slike tilfeller vil den bedre tidsoppløsningen til ekkokardiografi kunne være en fordel. MR kan skille mellom cyste og solid tumor, og enkelte solide tumorer lar seg også karakterisere nærmere, f.eks. lipomer. De fleste solide tumorer har imidlertid med MR (og andre metoder) et nokså uspesifikt utseende. Det er da bare vekstmønsteret, f.eks. grad av invasivitet, som kan gi en pekepinn om tumor er benign eller malign.
Fremtidsperspektiver
Det hersker ingen tvil om at MR har et stort potensial i kardiologisk diagnostikk. Mulighetene til å evaluere regional og global kontraktilitet, høyre og venstre ventrikkels volumer, ejeksjonsfraksjon, muskelmasse, klaffefunksjon, blodstrømshastighet, minuttvolum, perfusjon og viabilitet gjør MR til den mest komplette av de bildediagnostiske metodene. De ulike MR-teknikkene blir dessuten stadig forbedret, de blir raskere og gir bedre bildekvalitet. Sanntidsopptak er i ferd med å bli en realitet, og med ytterligere forbedringer vil kanskje også koronararteriene kunne bli fremstilt godt nok til at MR kan erstatte invasiv diagnostisk utredning.
MR er i dag godt etablert i kardiologisk diagnostikk internasjonalt, men metoden er fortsatt lite utbredt her i landet. Dette beror dels på manglende kapasitet – de fleste av landets mange MR-maskiner er i kontinuerlig bruk til undersøkelser av sentralnervesystemet og muskel- og skjelettsystemet. Det beror imidlertid også på manglende kompetanse. For de fleste av våre radiologiske avdelinger og institutter er hjertediagnostikken avgrenset til røntgen thorax – de har kanskje mye erfaring med MR-teknikken som sådan, men ingen erfaring med mer avansert bildediagnostikk av hjertet. På den annen side har de fleste kardiologer med ekkokardiografierfaring ingen erfaring med bruk av MR. MR-undersøkelse av hjertet, og da særlig ved iskemisk hjertesykdom, bør bli et tilbud på sentralsykehusnivå. Dette forutsetter et godt samarbeid mellom kardiologer og MR-kyndige radiologer.
Oppgitte interessekonflikter: Ingen
- 1.
Smith H-J, Gjesdal K-I. Magnetisk resonans – historikk og teoretisk grunnlag Tidsskr Nor Lægeforen 2000; 120: 931 – 5.
- 2.
Berg KJ, Lundby B, Reinton V, Nordal KP, Rootwelt K, Smith H-J. Gadodiamide in renal transplant patients: effects on renal function and usefulness as a glomerular filtration rate marker. Nephron 1996; 72: 212 – 7.
- 3.
Smith H-J. Cardiac MR imaging. Acta Radiol 1999; 40: 1 – 22.
- 4.
Smith H-J. Magnetisk resonanstomografi av hjertet Tidsskr Nor Lægeforen 2000; 120: 1337 – 41.
- 5.
Smith H-J. Magnetisk resonansangiografi Tidsskr Nor Lægeforen 2000; 120: 936 – 40.
- 6.
Gjesdal K-I, Smith H-J. Magnettomografi – nyere bildeteknikker og fremtidsperspektiver Tidsskr Nor Lægeforen 2000; 120: 1562 – 6.
- 7.
Didier D, Ratib O, Beghetti M, Oberhaensli I, Friedli B. Morphologic and functional evaluation of congenital heart disease by magnetic resonance imaging. J Magn Reson Imaging 1999; 10: 639 – 55.
- 8.
Nagel E, Lehmkuhl HB, Bocksch W, Klein C, Vogel U, Frantz E et al. Noninvasive diagnosis of ischemia-induced wall motion abnormalities with the use of high-dose dobutamine stress MRI. Comparison with dobutamine stress echocardiography. Circulation 1999; 99: 763 – 70.
- 9.
Gould KL, Kerkeeide RL, Buchi M. Coronary flow reserve as a physiologic measure of stenosis severity. J Am Coll Cardiol 1990; 15: 459 – 74.
- 10.
Schwitter J, Nanz D, Kneifel S, Bertschinger K, Büchi M, Knüsel PR et al. Assessment of myocardial perfusion in coronary artery disease by magnetic resonance. A comparison with positron emission tomography and coronary angiography. Circulation 2001; 103: 2230 – 5.
- 11.
Sandstede JJW. Assessment of myocardial viability by MR imaging. Eur Radiol 2003; 13: 52 – 61.
- 12.
Kim RJ, Fieno DS, Parrish TB, Harris K, Chen E-L, Simonetti O et al. Relationship of MRI delayed contrast enhancement to irreversible injury, infarct age, and contractile function. Circulation 1999; 100: 1992 – 2002.
- 13.
Kim RJ, Wu E, Rafael A, Chen E-L, Parker MA, Simonetti O et al. The use of contrast-enhanced magnetic resonance imaging to identify reversible myocardial dysfunction. N Engl J Med 2000; 343: 1445 – 53.
- 14.
Friedrich MG, Strohm O, Schulz-Menger J, Marciniak H, Luft FC, Dietz R. Contrast media-enhanced magnetic resonance imaging visualizes myocardial changes in the course of viral myocarditis. Circulation 1998; 97: 1802 – 9.
- 15.
Didier D, Ratib O, Lerch R, Friedli B. Detection and quantification of valvular heart disease with dynamic cardiac MR imaging. RadioGraphics 2000; 20: 1279 – 99.
- 16.
Masui T, Finck S, Higgins CB. Constrictive pericarditis and restrictive cardiomyopathy: evaluation with MR imaging. Radiology 1992; 182: 369 – 73.
- 17.
Blake LM, Scheinman MM, Higgins CB. MR features of arrhythmogenic right ventricular dysplasia. AJR Am J Roentgenol 1994; 162: 809 – 12.