Behandling av pseudoaneurismer etter karintervensjoner

    ()

    sporsmal_grey_rgb
    Abstract
    Bakgrunn.

    Bakgrunn.

    Ved angiografiske prosedyrer er en av komplikasjonene pseudoaneurisme på punksjonsstedet. Behandlingen av disse har vært ultralydveiledet kompresjon, og i noen tilfeller kirurgisk lukking. En ny metode for behandling er ultralydveiledet injeksjon av trombin.

    Materiale og metode.

    Materiale og metode.

    Studien er en retrospektiv gjennomgang av pasientjournaler og røntgenbilder for 27 pasienter ved Ullevål universitetssykehus som i perioden 2000 – 03 ble diagnostisert med pseudoaneurismer etter arteriepunksjon. Pseudoaneurismene ble diagnostisert med ultralyd- og dopplerundersøkelse ved klinisk mistanke. Ved etterundersøkelse av behandlede pseudoaneurismer ble samme metode benyttet.

    Resultater og fortolkning.

    Resultater og fortolkning.

    12 pasienter ble behandlet initialt med kompresjonsteknikk med endelig suksessrate på 83 %, to kirurgisk, 12 med trombininjeksjon med en suksessrate på 100 %, to fikk ingen behandling. Pasientgruppen som ble behandlet med ultralydveiledet injeksjon av trombin, hadde lite ubehag under prosedyren og kortere liggetid i sykehus sammenliknet med dem som gjennomgikk kompresjonsbehandling.

    Abstract

    Background.

    Increasing numbers of patients undergoing angiographic procedures result in an increase in the total number of complications. False aneurysm may develop in 1 – 5 % after femoral artery puncture. Until recently, ultrasound-guided compression was the preferred method of treatment, in a few cases surgery. A newer method with ultrasound-guided injection of thrombin has been shown to be effective.

    Material and methods.

    Between 2000 and 2003, twenty-seven patients were diagnosed with iatrogenic false aneurysms in our hospital. The diagnosis was obtained by ultrasound when clinically suspected. Twelve patients were treated with compression technique, one with surgery, twelve with ultrasound-guided injection of thrombin, and two received no active treatment.

    Results and conclusion.

    Ultrasound-guided needle injection of thrombin was a good method of treatment with a success rate of 100 %, as compared to 83 % with compression technique. Days in hospital stay were few and no complications were observed. Based on the good results reported in the literature and our own experience, we suggest that ultrasound-guided injection of thrombin should be the treatment of choice for femoral pseudoaneurysms.

    Artikkel

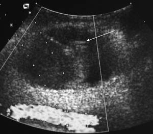
    Punksjonskomplikasjoner etter en karintervensjon er vanlig, og består oftest av mer eller mindre uttalt subkutan blødning. Dette kan gi smerter, tyngdefornemmelse, blålig misfarging og en palpabel kul i nærheten av punksjonsstedet. De fleste hematomer resorberes etter noen dager til uker. Dersom man rutinemessig utførte ultralydundersøkelse med doppler dagen etter punksjonen, ville man finne at en del av disse hematomene var sirkulert og stod i direkte kommunikasjon med den punkterte arterien. Dette kalles et pseudoaneurisme (fig 1). Til forskjell fra et ekte aneurisme, er dette ikke omgitt av en arterievegg. Det som hindrer fri blødning, er mottrykk fra vevet omkring arterien. Et slikt ekspansivt hematom kan forårsake store skader på omliggende vev og gi opphav til alvorlige blodtap (1).

    Forekomsten av pseudoaneurismer etter punksjon av a. femoralis varierer, og er rapportert hos opptil 5 % av dem som er angiografert med femoralt innstikk, men er sannsynligvis nærmere 1 % (2). Ultralydundersøkelse med doppler benyttes for å stille diagnosen. Man bør være liberal med å sende pasientene til denne undersøkelsen ved mistenkte symptomer og funn som store hematomer, senblødning og pulserende kul. Små pseudoaneurismer, dvs. de som har en sirkulert diameter på mindre enn 2 cm, lukkes ofte spontant (3). Man kan derfor velge å avvente behandling av disse og ta pasienten tilbake til kontroll. Større pseudoaneurismer derimot, viser mindre tendens til spontantrombosering og kan ekspandere. Disse bør behandles.

    Flere behandlingsmetoder er tilgjengelig for lukking av pseudoaneurismer. For flere år siden var det vanlig med kirurgisk lukking med sutur av det åpne punksjonshullet (4). Behandlingen er fortsatt aktuell, men brukes der andre metoder ikke når frem. Ultralydveiledet kompresjon av forbindelsen mellom arterien og hematomet har gitt gode resultater, men er smertefull for pasienten, er en tidkrevende og fysisk tung prosedyre for behandler og mislykkes hos noen (5). Særlig har det vist seg vanskelig å komprimere om pasienten blir behandlet med blodfortynnende medisin og hvis tilstanden oppdages etter flere dager (6). Ultralydveiledet injeksjon av trombin i aneurismet er en relativt ny metode. I denne artikkelen ønsker vi å presentere våre resultater med denne metoden og sammenlikne med våre tidligere resultater av kompresjonsbehandling.

    Materiale og metode

    Materiale og metode

    Studien er en retrospektiv gjennomgang av pasientjournaler og røntgenbilder til 27 pasienter som i perioden 2000 til 2003 ble diagnostisert med pseudoaneurismer etter arteriepunksjon ved Ullevål universitetssykehus (tab 1). 26 % av aneurismene kom etter en diagnostisk angiografi mens 70 % oppstod etter en ballongdilatasjon. Mange pasienter benyttet platehemmere og/eller warfarin. Avdelingenes rutine er at behandling med platehemmere ikke stoppes når pasientene skal til angiografi, mens warfarinbehandlingen stoppes 48 timer før prosedyren. Kravet er INR < 2,5.

    Tabell 1

    Inkluderte pasienter i studien

    Antall

    27

    Gjennomsnittsalder (år)

    64

    Kjønn (mann/kvinne)

    15/12

    Utført prosedyre

     Angiografi

    7

     Embolisering

    1

     Angioplastikk

    19

    Medikamenter

     Warfarin

    5

     Acetylsalisylsyre

    16

     Klopidogrel/tiklopidin

    13

    Katetertykkelse

    < 2 mm (5 og 6F)

    24

    > 2 mm (8F)

    3

    Pseudoaneurismene ble diagnostisert med ultralyd og doppler ved klinisk mistanke. Behandlede pasienter ble etterundersøkt med samme metode.

    Kompresjonsbehandling

    Kompresjonsbehandling

    Frem til 2002 var ultralydveiledet kompresjon førstevalg for behandling av pseudoaneurismer. Behandlingen ble utført med perkutan kompresjon mot aneurismehalsen. Med håndkraft ble ultralydproben presset mot huden samtidig som blodgjennomstrømning ble registrert. Man fikk da opphevet sirkulasjon i aneurismet samtidig som man unngikk å okkludere arterien til beinet. Lokalanestesi og intravenøse smertestillende medikamenter ble brukt ved behov.

    Trombinbehandling

    Trombinbehandling

    Aneurismet, aneurismehalsen og den punkterte arterien ble identifisert med ultralydundersøkelse og doppler (fig 1). Inklusjonskriteriene for behandlingen med trombin fremgår av tabell 2. Perifer puls ble sjekket før og etter behandling, eventuelt ble det utført en dopplerundersøkelse av arteriene på foten. Aneurismet ble punktert ultralydveiledet med en 20 G nål som var 15 cm lang. Målet var å plassere nålen i den sirkulerte del av aneurismet fra ventralsiden og på en slik måte at nålespissen pekte bort fra aneurismehalsen. Det ble ikke foretatt noen kompresjon. Med en 1 ml sprøyte ble trombin 1 000 IE/ml injisert (Trombostat, hetteglass med 5 000 IE). Ved pågående dopplerundersøkelse injiserte vi 0,1 ml om gangen inntil det var mulig å se at blodstrømmen i aneurismet ble opphevet (fig 2). Man satte en maks grense på 1 ml for aneurismer med bare ett lokulament, og 1,5 ml som øvre grense ved pseudoaneurismer med flere rom. Målet var å sette så lite trombin som mulig og å stoppe injeksjonen umiddelbart etter at blodstrømmen opphørte, noe som vanligvis tok få sekunder (fig 2). Undersøkelser har vist at aneurismehalsen lukkes spontant etter ca. ti minutter (3). Om man tilstreber å lukke også halsen, øker risikoen for å få trombin over i den native arterien. Etter behandlingen anbefalte vi sengeleie i to timer og pasienten kunne eventuelt utskrives samme dag. Ultralydkontroll ble utført neste dag hos de inneliggende pasientene og poliklinisk hos dem som var utskrevet. Pasientene ble ved ultralydkontrollen informert om å ta kontakt med oss, dersom de på ny skulle få symptomer fra punksjonsområdet. Det ble ikke gjort systematisk oppfølging av pasientene etter dette, da andre har vist at slik oppfølging ikke er nødvendig (3).

    Tabell 2

    Inklusjons- og eksklusjonskriterier for trombinbehandling

    Inklusjonskriterier

    Pseudoaneurisme etter arteriepunksjon

    Størrelse: diameter > 2 cm, ingen maksimal diameter

    Hals: lengde >=1 cm og diameter <=1 cm

    Eksklusjonskriterier

    Hals: lengde < 1 cm eller diameter > 1 cm

    Kjent allergi for trombin

    Resultater

    Resultater

    I perioden valgte man ikke å behandle to mindre aneurismer. De lukket seg spontant innen en uke (tab 3). En pasient ble primært kirurgisk behandlet fordi aneurismehalsen var bred og kort. 12 pasienter ble kompresjonsbehandlet, og behandlingen var initialt vellykket hos sju (58 %). Etter gjentatte behandlinger (gjennomsnitt 1,3), oppnådde man ytterligere lukning hos tre. Det var altså ti av12 pasienter (83 %) som til slutt ble vellykket behandlet med kompresjonsmetoden. De to med mislykket resultat, ble kirurgisk behandlet.

    Tabell 3  

    Suksess ved behandling av pseudoaneurismer antall (%)

    Initialbehandling

    Antall

    Primær suksess Antall (%)

    Sekundær suksess Antall (%)

    Ingen behandling

    2

    2 (100)

    Kirurgisk behandling

    1

    1 (100)

    Kompresjon

    12

    7 (58)

    10 (83)

    Trombininjeksjon

    12

    11 (92)

    12 (100)

    Kompresjonsbehandlingen krevde i gjennomsnitt 48 minutter med håndkompresjon. I tillegg ble flere behandlet med mekanisk kompresjon etterpå (Femostop, Radi Medical). Hos flere pasienter var det angitt at behandlingen måtte avbrytes på grunn av smerter. Hos flere var det nødvendig å sette lokalbedøvelse og gi beroligende og smertestillende medikamenter. Ekstra liggetid i forbindelse med kompresjonsbehandlingen var gjennomsnittlig 2,6 dager, median 2 dager, variasjon 0 – 6 dager. Ytterligere liggetid for de to som ble kirurgisk behandlet var 3,5 dager. Dermed ble total ekstra liggetid for denne gruppen forlenget med 3,2 dager. Det var ingen komplikasjoner ved behandlingen.

    12 pasienter ble behandlet med trombininjeksjon (tab 3 og e-tab 4). En av disse ble behandlet over to dager pga. flere sirkulerte lokulamenter. Ingen pasienter behøvde kirurgisk lukking. Suksessraten var dermed 100 %. Flere pasienter meldte om en sansing i låret under injeksjonen som gav seg umiddelbart etterpå. Alle hadde uendret perifer puls. Ekstra liggetid i forbindelse med trombinbehandlingen var gjennomsnittlig 1,3 dager, median 1 dag, variasjon 0 – 5 dager. Ingen komplikasjoner ble observert, men en pasient kom tilbake neste dag med økende hevelse i låret og leggen: kontrollundersøkelsen med ultralyd og doppler viste at pseudoaneurismet fortsatt var lukket. Det var ingen tegn til dyp venetrombose. Klinisk forløp og ultralydundersøkelse de neste dagene viste at det hadde vært en reblødning fra punksjonsstedet etter trombinbehandlingen, sannsynligvis direkte fra punksjonshullet. Det var ikke nødvendig med ytterligere behandling, men pasienten var plaget med smerter et par uker.

    Tabell 4  

    Pseudoaneurismer behandlet med ultralydveiledet trombininjeksjon

    Kjønn

    Alder (år)

    Platehemmer/antikoagulasjon

    Ytre diameter av pseudoaneurismet (cm)

    Antall lokulamenter

    Trombinmengde (IE)

    Kommentar

    K

    73

    Acetylsalisylsyre

    4,5

    1

    500

    Forsøkt kompresjon ved annet sykehus

    K

    79

    Acetylsalisylsyre + klopidogrel

    7,0

    2

    800

    Behandlet med to innstikk

    M

    68

    Acetylsalisylsyre + klopidogrel

    8,0

    2

    1 000

    Behandlet med to innstikk

    K

    60

    Acetylsalisylsyre + klopidogrel

    3,0

    1

    300

    M

    86

    Acetylsalisylsyre

    4,2

    1

    600

    K

    77

    Acetylsalisylsyre + klopidogrel

    6,0

    2

    800

    Behandlet over to dager

    M

    75

    Acetylsalisylsyre

    2,3

    1

    1 500

    Trombin ble injisert i to lokulamenter

    K

    77

    2,8

    1

    200

    Fortsatt blødning etter lukket pseudoaneurisme

    K

    65

    Klopidogrel + warfarin

    2,0

    1

    Ikke oppgitt

    Pseudoaneurisme i a. radialis. Forsøkt kompresjon ved annet sykehus

    K

    41

    3,7

    1

    800

    K

    58

    Acetylsalisylsyre + klopidogrel

    3,0

    2

    400

    Behandlet med to innstikk

    K

    83

    Acetylsalisylsyre

    1,5

    2

    1 000

    Behandlet med to innstikk

    Diskusjon

    Diskusjon

    Arterielle punksjoner for diagnostikk og behandling utføres hos svært mange pasienter. I Norge ble det i 2002 utført 17 591 koronarangiografier og 7 381 ballongblokkinger av koronarkar. I tillegg ble det utført et betydelig antall arteriepunksjoner ved øvrige angiografier, utblokkinger og emboliseringer. Med økt antall arteriepunksjoner kommer også et økt antall punksjonskomplikasjoner. Utvikling av pseudoaneurisme er den hyppigste behandlingskrevende komplikasjonen. Man må anta at økende bruk av platehemmere vil føre til flere pseudoaneurismer. Imidlertid ser det ut til at pseudoaneurismer er langt sjeldnere ved innstikk i a. radialis. Denne innstikksveien er blitt svært vanlig å benytte ved utredning og behandling av koronararteriesykdom. Det er beskrevet pseudoaneurisme etter innstikk via a. radialis (7), og vi har hatt en slik pasient etter ca. 5 000 punksjoner.

    Kirurgisk lukking av pseudoaneurismer har en suksessrate på 100 %. Metoden var standard behandling frem til 1991, og var den foretrukne metoden for å behandle små pseudoaneurismer inntil nylig (4). I dag opereres pasienter for pseudoaneurismer når halsen er kort eller bred, eller andre metoder har mislyktes. Det er imidlertid åpenbart at kirurgisk behandling krever en del ressurser, er beheftet med komplikasjoner og etterlater seg et postoperativt arr i lysken. Det har derfor i flere år vært forsøkt forskjellige metoder for å lukke pseudoaneurismer med en mindre invasiv metode.

    Flere metoder har vært forsøkt, men ekstern ultralydveiledet kompresjon har det siste tiåret vært den dominerende behandlingen, også hos oss. Kompresjonsmetoden har vært beheftet med lite komplikasjoner. Bare noen få tilfeller av dyp venetrombose har vært rapportert. Dessverre har flere store materialer vist en relativt lav suksessrate, ca. 75 % (8). Dette er i samsvar med våre resultater, der suksessen var 83 %.

    En annen ulempe med denne behandlingen er smertene lokalt når ultralydproben presses hardt mot et område som i utgangspunktet er sårt. Smertene kan dempes med smertestillende medikamenter intravenøst og lokal infiltrasjon med xylokain, men de fleste av våre pasienter syntes likevel at behandlingen var ubehagelig.

    Vår erfaring er også at behandlingstiden ved bruk av kompresjonsmetoden er lang, i gjennomsnitt 48 minutter. Hos noen brukte vi faktisk halvannen time med håndkompresjon. Dette var fysisk anstrengende for både behandler og pasient. Det finnes mekaniske hjelpemidler for å gjøre jobben lettere for behandler, men ikke behageligere for pasienten. Kommersielle hjelpemidler er Femostop (Radi Medical) og «C-clamp», som er et stativ hvor en plastplate presses mot lysken. Vår avdeling har et selvlaget stativ for å holde ultralydhodet presset mot pasienten.

    Trombininjeksjon i pseudoaneurisme ble beskrevet i allerede 1986, men er tatt i bruk av flere laboratorier først de senere år (9). Vellykket behandling er beskrevet etter innstikk i a. radialis, a. femoralis og a. brachialis. Behandlingen har også vært vellykket utført i a. subclavia i relasjon til innleggelse av dialysekateter og i forbindelse med posttraumatisk pseudoaneurisme i a. tibialis posterior (7).

    Ultralydveiledet injeksjon av trombin er en metode som har vist høy suksessrate i større studier, 98 – 100 % (8). Vi startet med behandlingen i samarbeid med Sahlgrenska sjukhuset i Göteborg (5) og har fulgt retningslinjene som de trakk opp. Selve prosedyren tok kort tid og pasienten opplevde ikke behandlingen som ubehaglig. Ekstra liggetid var kort, siden vi anbefalte sengeleie i bare to timer etterpå. Vi beholdt de pasientene som hadde lang reisevei innlagt til neste dag for å utføre en ultralydkontroll. Sammenholdt med kompresjonsbehandlingen var det kortere behandlingstid og færre ekstra liggedager.

    Trombininjeksjonen var mindre ubehagelig for pasienten og suksessraten var høyere. Vi har hatt en pasient med kort og bred hals der vi ikke behandlet med trombin. I slike tilfeller er alternativet ikke kompresjonsbehandling, men operasjon.

    Det kan synes risikofylt å injisere trombin i et område som ligger nær, og faktisk er sirkulatorisk forbundet med, en stor arterie. Faren for at noe av trombinet kan komme på avveie og tette til arterien er til stede. Det har imidlertid ikke vært rapportert komplikasjoner i form av ekstremitetstruende iskemi (9).

    Noen forekomster av forbigående iskemi er beskrevet, og var sannsynligvis relatert til små pseudoaneurismer og for stor trombinmengde. En studie har like etter trombininjeksjon vist økning i antitrombin III-trombinkomplekset, som indikerer at noe av trombinet går over i systemisk sirkulasjon, men dette forårsaket ikke kliniske symptomer (10).

    Det er vist at man oppnår godt behandlingsresultat med små trombinmengder, dvs. mindre enn 600 IE (4). Trenden i behandlingen har derfor gått mot å gi mindre trombinmengder for aneurismer som ikke har multiplisitet. I praksis vil det si at man må sette trombinet veldig sakte og stoppe umiddelbart etter trombosering, slik at man ikke setter mer enn det som er nødvendig for å oppnå opphevet blodstrøm i pseudoaneurismet.

    Forsinkede allergireaksjoner i form av urtikarielt utslett har vært beskrevet. Det har vært rapportert straksallergisk alvorlig reaksjon, og en studie har anbefalt at de som er blitt eksponert for trombin, må gjennomgå en prikktest før andre gangs eksponering (9).

    e-tab 4 finnes i artikkelen på www.tidsskriftet.no

    Oppgitte interessekonflikter: Ingen

    Kommentarer  ( 0 )

    Anbefalte artikler