Pasienten. En 24 år gammel mann ble funnet komatøs og cyanotisk med respirasjonsdepresjon og miotiske pupiller. Han hadde røykt heroin samt tatt morfin og flunitrazepam per os kvelden før innleggelsen. Det ble gitt nalokson av ambulansepersonell. Dette økte respirasjonsfrekvensen, men bedret ikke cyanosen. Ved innleggelse hadde pasienten lungeødem og var komatøs. Han ble intubert og respiratorbehandlet i intensivavdelingen.
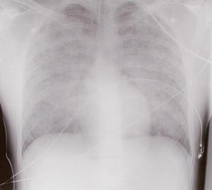
Røntgen thorax viste uttalte ulne, spredte fortetninger bilateralt (fig 1). Transøsofageal ekkokardiografi viste hyperdynamisk sirkulasjon, ingen klaffefeil og normal kontraktilitet. Tilkoblet respirator fikk han 100 % oksygen, og han ble behandlet med et høyt positivt endeekspiratorisk trykk (PEEP). På tross av dette var han alvorlig hypoksisk og hadde metabolsk acidose. Han var også hypotensiv (60/40 mm Hg), og det ble startet med væske- og vasopressorterapi. På bakgrunn av manglende behandlingsrespons ble han etter hvert snudd i mageleie. Dette bedret oksygeneringen.
Årsaken til pasientens lungeødem var en tid usikker. På bakgrunn av anamnese, undersøkelser, funn av brukerutstyr og kontakt med Giftinformasjonssentralen konkluderte vi med at det var heroinindusert. Pasienten ble gradvis bedre, og neste dag var han våken og pustet med moderat respiratorstøtte. Røntgen thorax viste betydelig tilbakegang av infiltratene. Videre ble forløpet komplisert av pneumoni og akutt lungesviktsyndrom (ARDS). Han ble ekstubert 18 dager etter innkomst og utskrevet åtte dager senere.
Heroinbruk er et betydelig samfunnsproblem i Norge. I 2001 ble det registrert 338 narkotikarelaterte dødsfall, fordelt over hele landet (1).
Hovedmekanismen bak dødsfall ved heroinoverdoser er respirasjonsdepresjon, som gir anoksiutløst hjertestans. Antidot i form av nalokson er et effektivt middel mot respirasjonsdepresjonen. Enkelte pasienter kommer seg imidlertid ikke, og får vedvarende hypoksi på tross av adekvat respirasjonsfrekvens. I noen tilfeller passer det kliniske bildet med lungeødem. Heroinindusert lungeødem eller «heroinlunge» ble første gang beskrevet i 1880 av Osler (2).
Forekomst
Forekomsten varierer i ulike materialer. I 1960- og 70-årene fant man en svært høy forekomst av lungeødem ved heroinoverdoser i USA. I en retrospektiv studie fra New York i 1971 var forekomsten 48 % (3). I en studie fra et sykehus i San Francisco, der man evaluerte innlagte pasienter med heroinoverdoser fra 1994 til 1998, var forekomsten av heroinindusert lungeødem 2,1 % (4). Andre studier fra 1980-årene har vist en forekomst på 0,8 – 2,4 % (5). Diagnostiske kriterier og observasjonstid i disse studiene har variert, og antall inkluderte pasienter har vært lavt. Det er likevel konkludert med at det har vært en reell nedgang i antall tilfeller i USA. Innføringen av nalokson som antidot kan være forklaringen på denne nedgangen. I samme tidsrom har man også raskere startet prehospital behandling.
I USA er lungeødem fortsatt kjent som en komplikasjon til heroinoverdoser (6), og en observasjonstid på 1 – 2 timer er blitt anbefalt (4, 5, 7). I Norge er forekomsten av heroinindusert lungeødem ukjent. I Oslo behandles pasienter med heroinoverdoser rutinemessig prehospitalt. Dersom pasienten kommer seg raskt, blir vedkommende ikke observert etterpå. Forbigående dyspné og takypné, som kan være uttrykk for ødemutløst hypoksi, fanges derfor ikke opp. Hos pasienter som innlegges kan tilstanden feiltolkes.
Pasienter som dør av overdoser, har ofte «våte» lunger ved obduksjon. Dette kan være uttrykk for at mange som dør av overdose, har hatt et lungeødem, og at lungeødemet, i tillegg til respirasjonsdepresjonen, bidrar til dødsfallet (4). Den korte observasjonstiden etter akuttbehandling, manglende kunnskap om tilstanden og funn post mortem hos pasienter med heroinoverdose gir holdepunkter for at heroinindusert lungeødem er underdiagnostisert i Norge.
Symptomer og funn
De vanlige symptomer og funn ved heroinoverdoser er relatert til opiateffekten slik som nedsatt bevissthet, nedsatt respirasjonsfrekvens og miotiske pupiller. Ved fullt utviklet lungeødem kan pasienten ha skummende rødt ekspektorat og være cyanotisk. Symptomer på lungeødem kommer vanligvis innen 1 – 2 timer, sjeldnere innen fire timer etter inntak. Ved mildere tilfeller kan man ofte påvise nedsatt perifer oksygenmetning til tross for normal eller økt respirasjonsfrekvens. Foreslåtte diagnosekriterier er sO₂(a) under 90 % uten tilførsel av oksygen, normal eller økt respirasjonsfrekvens, opptreden innen ett døgn etter en heroindose og røntgenologiske lungeinfiltrater uten andre kjente årsaker (4). Infiltratene er vanligvis bilaterale, spredte og ulne. Unilaterale infiltrater kan forekomme. Arteriell blodgassanalyse vil som regel vise acidose, hypoksi og varierende grad av hyperkapni. Grad av sirkulatorisk påvirkning vil variere med grad av sympatikushemning. De dårligste pasientene vil ofte ha hypotensjon med en kompensatorisk takykardi. Man vil finne et lavt sentralt venetrykk, moderat forhøyet lungearterietrykk og normal lungekapillarmotstand (8).
Differensialdiagnoser er aspirasjon, pneumoni, atelektase, lungeemboli og hjertesvikt. Spesielt kan det være vanskelig å skille tilstanden fra et kardiogent lungeødem. Anamnese, EKG og ekkokardiografi vil kunne bidra til å skille tilstanden fra endokarditt, iskemi og kardiomyopati. Røntgen thorax kan også være til hjelp. I vanskelige tilfeller kan man ha nytte av lungearteriekateter. Ved ikke-kardiogent lungeødem er det innkilte lungekapillartrykket lavere enn 18 mm Hg.
Som differensialdiagnose bør man også vurdere nevrogent lungeødem. Dette kan ses ved en rekke former for akutt hjerneskade, som hjerneslag, subaraknoidalblødninger og hodetraume, og sjeldnere etter epileptiske kramper. Pasientene vil, trolig på grunn av rask intrakranial trykkstigning, ofte være betydelig sympatisk aktivert og ha forhøyet blodtrykk. Anamnese, nevrologiske funn og tegn på hodeskade er nyttig diagnostisk. Ved usikkerhet bør det foretas CT caput.
Patogenese
I motsetning til ved hjertesvikt, der økt hydrostatisk trykk presser væske over i alveolene, er skade av endotelet i kapillarene trolig årsak til ødemet ved heroinoverdoser. Dette kan også forklare det økte proteininnholdet i ødemvæsken som man finner hos disse pasientene (9). Mekanismen bak denne plutselige endringen av permeabiliteten er uavklart.
Hypoksi kan tenkes å skade vaskulært enotel, slik at permeabiliteten øker (10). Alveolær hypoksi kan også gi en akutt kraftig stigning av lungearterietrykket. Dette antas å være en av mekanismene ved lungeødem hos pasienter med akutt alvorlig høydesyke. Hos pasienter med heroinlunge er det målt normalt eller lett forhøyede trykk i pulmonalarterien, og normal lungekarmotstand.
Ved nevrogent lungødem er det også vist forbigående høyt lungearterietrykk og økt kapillarlekkasje (11). Dette kan skyldes en kraftig sympatikusaktivering, som via perifer vasokonstriksjon sentraliserer blodvolumet over i lungekretsløpet. Sympatikusaktiveringen kan også påvirke permeabiliteten i lungekapillarene direkte (12).
En anafylaktisk reaksjon på heroin er også foreslått som årsak. Lungene er rikelig forsynt med histaminfrigjørende celler, og opiater kan stimulere disse direkte. Lungeødemet kan komme svært raskt, noen ganger rett etter at injeksjonen er satt, som ved en anafylaktisk reaksjon. Faktorer som taler mot denne teorien er at man sjelden finner andre symptomer på anafylaksi, som urticaria, larynxødem eller Quinckes ødem. I en studie ble det ikke funnet forskjell i forekomst av IgE-produserende celler i lungene mellom pasienter som døde av heroinoverdoser og pasienter som døde med et kardiogent lungeødem (10).
Behandling
Behandlingen av heroinindusert lungeødem er understøttende i påvente av tilbakegang av kapillarlekkasjen. Dette skjer vanligvis innen 1 – 2 døgn. Ved milde tilfeller av heroinindusert lungeødem vil det ofte være nok å gi ekstra oksygen på maske kombinert med nalokson, og så observere pasienten. Ved økende ødem kan man forsøke maskebehandling med et kontinuerlig overtrykk (CPAP). For komatøse pasienter med respirasjonssvikt vil respiratorbehandling være nødvendig. Det kan da være aktuelt å bruke høyt positivt endeekspiratorisk trykk (PEEP).
Det er viktige forskjeller på hemodynamisk strategi i behandling av ulike typer lungeødem. Ved kardiogent lungeødem er det viktig å senke fyllingstrykket for å redusere volumbelastingen på lungene og samtidig optimalisere arbeidsforholdene for venstre ventrikkel. Hos pasienter med et heroinindusert lungeødem er dette ikke viktig. De dårligste pasientene kan ha perifer vasodilatasjon og behov for væske og eventuelt vasopressorterapi.
Nalokson har kortere halveringstid enn opiater. Naloksoninfusjon kan derfor gis for å unngå en tilbakevirkende effekt av heroinet, men effekten mot heroinindusert lungeødem er ikke dokumentert. Dersom man har behov for å sedere pasienten, er det rimelig å bruke propofol for å gjøre oppvåkningen raskere. Pasienter som har tatt en heroinoverdose, har ofte et blandingsmisbruk, ofte med benzodiazepiner. Man bør derfor være liberal med antidot i form av flumazenil.
Konklusjon
Heroinindusert lungeødem er en sjelden komplikasjon til heroinoverdoser, lite kjent i Norge og trolig underdiagnostisert. Det er viktig å skille tilstanden fra kardiogent lungeødem. Ved riktig behandling og uten tilstøtende komplikasjoner vil ødemet gå tilbake innen 24 – 48 timer.
Oppgitte interessekonflikter: Ingen
Hovedbudskap
Lungeødem er en lite kjent komplikasjon til heroinbruk, og underdiagnostisering er sannsynlig
Symptomdebut er vanligst innen 1 – 2 timer etter inntak av heroin
Patofysiologi og behandling er forskjellig ved kardiogent og heroinindusert lungeødem
- 1.
Kripos’ årsberetning 2001. www.kripos.no (9.10.2003).
- 2.
Osler W. Oedema of the lung complicating morphine poisoning. Report 1. Montreal: Montreal General Hospital, 1880: 291 – 3.
- 3.
Duberstein JL, Kaufman DM. A Clinical study of an epidemic of heroin intoxication and heroin-induced pulmonary edema. Am J Med 1971; 51: 704 – 14.
- 4.
Sporer KA, Dorn E. Heroin-related noncardiogenic pulmonary edema. Chest 2001; 120: 1628 – 32.
- 5.
Sporer KA. Acute heroin overdose: update. Ann Intern Med 1999; 130: 584 – 90.
- 6.
Sterrett C, Brownfield J. Patterns of presentation in heroin overdose resulting in pulmonary edema. Am J Emerg Med 2003; 21: 32 – 4.
- 7.
Christenson J, Etherington J. Early discharge of patients with presumed opiod overdose. Acad Emerg Med 197; 110: 1110 – 8.
- 8.
Gopinathan K, Saroya D. Hemodynamic studies in heroin-induced acute pulmonary edema. Circulation 1970; 44: 61 – 3.
- 9.
Katz S, Aberman A. Heroin pulmonary edema. Evidence for increased pulmonary capillary permeability. Am Rev Dis 1972; 106: 472 – 4.
- 10.
Dettmeyer R, Schmidt P, Musshoff F, Dreisvogt C, Madea B. Pulmonary edema in fatal heroin overdose. Forensic Science Int 2000; 110: 87 – 96.
- 11.
Hacket PH, Roach RC. High-altitude illness. N Engl J Med 2001; 345: 107 – 14.
- 12.
Friedmann JA, Pichelmann MA. Pulmonary complications of aneurismal subarachnoid hemorrhage. Neurosurgery 2003; 52: 1025 – 34.