Background.
Appendiceal neoplasms are rare. Patients may present with clinical symptoms suggestive of «acute appendicitis» or other unspecific abdominal complaints. An appendiceal mucinous neoplasia is sometimes diagnosed during a laparotomy performed on another indication. Frequently, the condition remains undiagnosed until the pathologists’ examination.
Materials and methods.
We present the case of a 49-year-old woman who presented with symptoms suggestive of acute appendicitis. An appendectomy was performed. The appendectomy specimen revealed a mucinous cystadenoma with a diverticulum in the appendix. The case is discussed in the light of the current literature.
Results and interpretation.
Appendiceal tumours account for less than 0.4 % of neoplasias in the gastrointestinal tract and are found in less than 1 % of appendectomies. Mucinous lesions («mucocele») are classified as mucosal hyperplasia, mucinous cystadenoma, or mucinous cystadenocarcinoma. However, there are reports of great variability in the biological behavior, especially concerning the development of pseudomyxoma peritonei. No current consensus exists as to diagnostic criteria or treatment. A radically removed appendix is curative in most cases of mucinous cystadenoma, whereas right hemicolectomy should be considered for patients with malignant mucinous lesions of the appendix.
Mucinøse tumorer i appendix kan være alt fra benigne mukoceler og cystadenomer til maligne cystadenokarsinomer. Diagnostisk differensiering mellom de ulike lesjonene er av terapeutisk og prognostisk betydning.
Appendektomi er det hyppigst utførte kirurgiske inngrep. Det er fordi livstidsrisikoen for å utvikle akutt blindtarmsbetennelse er på rundt 7 % (1). Tumorer i appendix (ramme 1) utgjør under 0,4 % av alle neoplasier i mage-tarm-systemet, svulster forekommer i mindre enn 1 % av alle appendektomier og diagnostiseres oftest først ved patologens undersøkelse av reseksjonmaterialet (2). Mens den årlige insidensen av adenokarsinom i appendix er på rundt 0,3 per 100 000 (3), er insidensen av akutt blindtarmsbetennelse på rundt 84 per 100 000 (4).
Tumorer i appendix. Modifisert etter WHO
Adenomer
Karsinoid
Karsinomer
Ikke-epiteliale tumorer (leiomyom, gastrointestinale stromale tumorer (GIST), lymfom etc.)
Sekundære tumorer
Hyperplastiske polypper
Blindtarmsbetennelse er det vanligste morfologiske funn ved appendektomi, men muligheten for funn av neoplastiske forandringer i appendix øker med alderen. De aller fleste mucinøse neoplasier i appendix har kliniske symptomer som appendisitt, noen ganger er det uspesifikke symptomer fra abdomen eller de blir diagnostisert etter tilfeldige peroperative funn ved kirurgisk inngrep av annen årsak (1, 5, 6). Median alder for debut ligger på rundt 50 år.
Vi presenterer et tilfelle av mucinøst cystadenom i appendix og en aktuell oppdatering av litteratur om mucinøse tumorer i appendix.
Materiale og metode
Det ble gjennomført søk etter relevant litteratur i Medline med bruk av termene «mucocele», «mucinøs neoplasi», og «mucinøst cystadenom» kombinert med «appendix».
Pasienten. En 49 år gammel kvinne, tidligere behandlet for non-Hodgkins lymfom, kom til lege med akutt innsettende magesmerter av få timers varighet. Smertene var lokalisert til høyre nedre abdominalkvadrant og ble sterkere. Pasienten var direkte og indirekte trykk-og-slipp-øm over McBurneys punkt og hadde kastet opp én gang. Rektal temperatur ble målt til 38 °C, leukocytter og CRP var innen normalområdet.
På bakgrunn av kliniske funn ble det utført åpen appendektomi. Inngrepet var ukomplisert. Appendix ble peroperativt bedømt til å være fortykket og betent.
Ved makroskopisk vurdering (fig 1) ble det funnet en fortykket appendix med fibrinøst belegg på serosaflaten. Ved gjennomskjæring var lumen dilatert og fylt med slim. En divertikkel trengte inn i mesoappendix. Makroskopisk forelå det ingen tegn til perforasjon.
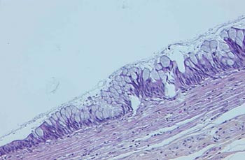
Mikroskopisk vurdering (fig 2) viste appendix med dilatert, slimfylt lumen og enkelte «slimsjøer» i veggen. Lumen var kledd med enradet epitel, noen steder med flerradige mucinholdige celler. Cellene viste lav til moderat grad av atypi. Det ble ikke påvist infiltrasjon i appendixveggen ved rutinefargede snitt (hematoksylin-eosin-safran-farging) eller ved immunhistokjemisk undersøkelse (cytokeratiner). Funn av «slimsjøer» i blindtarmens vegg ble betraktet som mekanisk forårsaket av økt intraluminalt trykk. I mucosa fantes lettgradig granulocyttinfiltrasjon, likeså i serosa. Det var frie reseksjonsrender.
På bakgrunn av de beskrevne funn ble det konkludert med diagnosen «mucinøst cystadenom med moderat atypi i appendix».
Diskusjon
Dilaterte, slimfylte lesjoner i appendix blir gjerne betegnet som «mukoceler». Historisk sett er mukocele en fellesbetegnelse på lesjoner i appendix karakterisert ut fra en eller flere av følgende kriterier: dilatert lumen, hypersekresjon av slim (mucin), endret mucosakledning, i noen tilfeller med ekspansjon utenfor appendix, som ved pseudomyxoma peritonei (5, 6). Pseudomyxoma peritonei forstås i dag som en tilstand hvor det foreligger slimet ascites som inneholder lavgradig mucinøst epitel assosiert med sjøer av ekstracellulært mucin og fibrose. Som oftest stammer det fra en rupturert mucinøs lesjon i appendix (7, 8).
Behovet for mer nøyaktig morfologisk klassifisering av «mukoceler» har ført til skille mellom «mucosahyperplasi», «mucinøst cystadenom» og «mucinøst cystadenokarsinom» (6), som også er den vanligste differensieringen brukt i dag.
Mucosahyperplasi er fullstendig benigne lesjoner, alltid asymptomatiske, uten entydige makroskopiske forandringer, og som regel er det kun mikroskopisk påvisbare forandringer. Morfologisk er de lik hyperplastiske eller metaplastiske forandringer som ses i colonpolypper (5, 6). Ingen sammenheng med pseudomyxoma peritonei er observert, og appendektomi er helbredende i alle tilfeller (6).
Mucinøse cystadenomer har histologisk mucinproduserende epitel av kubisk eller sylindrisk type, med mønster varierende fra enradet kubisk epitel til veldifferensierte, papillære formasjoner. Grad av atypi varierer, og mitoser forekommer (5, 6).
Mucinøse cystadenokarsinomer er karakterisert ut fra invasiv vekst av neoplastisk kjertelvev i appendixveggen eller ut fra innhold av epitelceller i slim (mucin) utenfor appendixlumen (6).
Klinisk, radiologisk og makroskopisk er de mucinøse cystiske lesjonene ikke mulige å skille fra hverandre. Mucinøse cystadenomer ble initialt rapportert med utelukkende godartet forløp, også for pasienter hvor mucin ble funnet fritt i abdomen under operasjon (5, 6). Mucinøse lesjoner i appendix ble således initialt betraktet som tre forskjellige typer proliferative prosesser, av enten hyperplastisk eller neoplastisk (benign eller malign) natur, med karakteristisk morfologisk utseende og biologi (6) (fig 3).
Varierende observasjoner relatert til biologisk manifestasjon og prognostisk forløp for mucinøse tumorer i appendix har ført til ulike forvirrende begreper som «malignt mukocele», «borderlinetumorer» (analogt til ovarietumorer) og «rumpert adenom» og karakteristikker som «usikkert malignt potensial» (9) – (11).
Mangel på entydig konsensus og kriterier har skapt forvirring blant så vel patologer som klinikere når det gjelder enhetlig diagnostisk terminologi, stadieinndeling og behandlingsalternativer. Spesielt gjelder dette mucinøse tumorer som mangler entydig maligne trekk, men hvor peritoneal spredning foreligger, som ved pseudomyxoma peritonei. Uenigheten dreier seg bl.a. om hvorvidt spredning til bukhulen per definisjon kvalifiserer for diagnosen adenokarsinom der epitelcellene per se ikke er maligne (9).
For pseudomyxoma peritonei er det heller ingen enhetlig bruk av terminologien (1). Både benigne og maligne mucinøse lesjoner i appendix er beskrevet med acellulært mucinmateriale utenfor blindtarmen. Prognostisk ugunstige faktorer er spredning av mucin i bukhulen utenfor nedre høyre abdominalkvadrant samt funn av mucin med epitelceller i bukhulen (12). Av andre er prognosen funnet å være avhengig av type cellemateriale som påvises i ascitesvæsken – adenomucinose (histologisk normale til lavgradige atypiske adenomatøse slimceller) eller mucinøs karsinomatose (epitelceller i slim fra peritoneum oppbygd etter mønster av mucinøst karsinom) (10, 13). Ved peritoneal adenomucinose inneholder ascites slim fra rumpert cystadenom. Det innebærer femårs- og tiårsoverlevelse på henholdsvis 75 % og 68 % (13). Ved cellulære funn av peritoneal mucinøs karsinomatose er imidlertid femårs- og tiårsoverlevelsen redusert til henholdsvis 14 % og 3 % (13).
Misdraji og medarbeidere har nylig forsøkt å dele gruppen av mucinøse neoplasier (unntatt mucosahyperplasi) i appendix i lavgradige mucinøse neoplasier (LAMN) og mucinøse adenokarsinomer (MACA) ut fra definerte diagnostiske kriterier (9). Lavgradige mucinøse neoplasier er en relativt homogen gruppe av papillære eller flate mucinøse tumorer med lavgradig cytologisk atypi, analogt til lavgradig dysplasi ellers i mage-tarm-kanalen (9). Adenokarsinomer er karakterisert ved proliferasjon av mucinøse epitelceller med varierende grad av atypi, med i det minste fokal høygradig atypi og kompleks cellearkitektur eller kjertelvev som infiltrerer i veggen av appendix med et desmoplastisk stroma (9). Celler fra spredning til bukhulen klassifiseres på samme måte for å kunne skille mellom lavgradige mucinøse neoplasier og mucinøse adenokarsinomer. Differensieringen ble funnet å være prognostisk signifikant (9). Tre av 107 mucinøse neoplasier kunne ikke defineres.
Hvordan lavgradige cystadenomer kan forårsake pseudomyxoma peritonei er usikkert, spesielt der makroskopisk perforasjon ikke kan påvises. Mikroskopisk påvisning av mural hyalinisering og fibrose tolkes av noen som tegn på tidligere mikroskopisk ruptur av appendix (9). Assosiasjon med divertikkel i appendix, slik som hos vår pasient, er tilskrevet økt fare for og mulig medvirkende årsak til utvikling av pseudomyxoma peritonei (11).
Både appendix og ovarier ble tidligere ansett som utgangslesjon for pseudomyxoma peritonei, ettersom funn av synkron mucinøs tumor i ovariene og appendix ofte er rapportert (1, 9). Cytogenetiske analyser og nyere data har imidlertid vist at lesjonene nesten utelukkende kan tilskrives mucinøse neoplasier i appendix (7, 8).
Det er rapportert overhyppighet av tykktarmskreft hos pasienter med mucinøs neoplasi (cystadenom/cystadenokarsinom) i appendix (1, 6, 14). Nitecki og medarbeidere fant synkron kreftsykdom hos en tredel av pasientene, hvorav halvparten i mage-tarm-regionen, og anbefaler endoskopisk utreding som ledd i diagnostikk og oppfølging (14).
Mucinøst cystadenom i appendix kureres ved appendektomi, forutsatt fri reseksjonskant. Ved mucinøst cystadenokarsinom anbefales høyresidig hemikolektomi, også som et sekundært inngrep etter appendektomi (1, 14). Skulle det foreligge peritoneal spredning eller inntreffe en ruptur under inngrepet, vil oppsamling av mest mulig slimmateriale være av diagnostisk og prognostisk betydning (13). En studie viser at høyresidig hemikolektomi ikke øker overlevelsen når det er spredning til bukhulen (15).
Konsensus når det gjelder diagnostisk klassifisering og terminologi angående mucinøse lesjoner i appendix er ennå ikke oppnådd. Tradisjonell klassifisering av mucinøse lesjoner (mucosahyperplasi, mucinøst cystadenom og mucinøst cystadenokarsinom) ligger fortsatt til grunn for den primære vurdering av patolog. Dialog mellom patolog og kirurg er avgjørende for valg av behandling og for prognose.
Oppgitte interessekonflikter: Ingen
Hovedbudskap
Mucinøse lesjoner i appendix forekommer sjelden. De oppdages ofte først ved patologisk undersøkelse
Differensiering mellom «benigne» og «maligne» mucinøse lesjoner er prognostisk viktig, men kan være diagnostisk vanskelig. Gjeldende konsensus mangler
Radikalt utført appendektomi vil være kurativt for benigne lesjoner, mens høyresidig hemikolektomi anbefales ved maligne lesjoner der det ikke er spredning til bukhulen
- 1.
Lo NS, Sarr MG. Mucinous cystadenocarcinoma of the appendix. The controversy persists: a review. Hepatogastroenterology 2003; 50: 432 – 7.
- 2.
Chan W, Fu KH. Value of routine histopathological examination of appendices in Hong Kong. J Clin Pathol 1987; 40: 429 – 33.
- 3.
Nielsen G, Isaksson H, Finnbogason H et al. Adenocarcinoma of the vermiform appendix. A population study. APMIS 1991; 99: 653 – 6.
- 4.
Kørner H, Søreide JA, Pedersen EJ et al. Stability in incidence of acute appendicitis. A population-based longitudinal study. Dig Surg 2001; 18: 61 – 6.
- 5.
Qizilbash A. Mucoceles of the appendix. Their relationship to hyperplastic polyps, mucinous cystadenomas, and cystadenocarcinomas. Arch Pathol 1975; 99: 548 – 55.
- 6.
Higa E, Rosai J, Pizzimbono CA et al. Mucosal hyperplasia, mucinous cystadenoma, and mucinous cystadenocarcinoma of the appendix. A re-evaluation of appendiceal «mucocele». Cancer 1973; 32: 1525 – 41.
- 7.
Mukherjee A, Parvaiz A, Cecil TD et al. Pseudomyxoma peritonei usually originates from the appendix: a review of the evidence. Eur J Gynaecol Oncol 2004; 25: 411 – 4.
- 8.
Ronnett BM, Kajdacsy-Balla A, Gilks CB et al. Mucinous borderline ovarian tumors: points of general agreement and persistent controversies regarding nomenclature, diagnostic criteria, and behavior. Hum Pathol 2004; 35: 949 – 60.
- 9.
Misdraji J, Yantiss RK, Graeme-Cook FM et al. Appendiceal mucinous neoplasms: a clinicopathologic analysis of 107 cases. Am J Surg Pathol 2003; 27: 1089 – 103.
- 10.
Ronnett BM, Shmookler BM, Sugarbaker PH et al. Pseudomyxoma peritonei: new concepts in diagnosis, origin, nomenclature, and relationship to mucinous borderline (low malignant potential) tumors of the ovary. Anat Pathol 1997; 2: 197 – 226.
- 11.
Lamps LW, Gray GF jr., Dilday BR et al. The coexistence of low-grade mucinous neoplasms of the appendix and appendiceal diverticula: a possible role in the pathogenesis of pseudomyxoma peritonei. Mod Pathol 2000; 13: 495 – 501.
- 12.
Carr NJ, McCarthy WF, Sobin LH. Epithelial noncarcinoid tumors and tumor-like lesions of the appendix. A clinicopathologic study of 184 patients with a multivariate analysis of prognostic factors. Cancer 1995; 75: 757 – 68.
- 13.
Ronnett BM, Yan H, Kurman RJ et al. Patients with pseudomyxoma peritonei associated with disseminated peritoneal adenomucinosis have a significantly more favorable prognosis than patients with peritoneal mucinous carcinomatosis. Cancer 2001; 92: 85 – 91.
- 14.
Nitecki SS, Wolff BG, Schlinkert R et al. The natural history of surgically treated primary adenocarcinoma of the appendix. Ann Surg 1994; 219: 51 – 7.
- 15.
Gonzalez-Moreno S, Sugarbaker PH. Right hemicolectomy does not confer a survival advantage in patients with mucinous carcinoma of the appendix and peritoneal seeding. Br J Surg 2004; 91: 304 – 11.