En 60 år gammel kvinne med asteni og dyspné

    ()

    sporsmal_grey_rgb
    Abstract

    Coronary artery aneurysms are uncommon and the prevalence in patients undergoing coronary artery angiography is 1.5 – 4.9 %.The most common cause of coronary artery aneurysm is arteriosclerosis, followed by Kawasaki disease, periarteritis nodosa, systemic lupus erythematosus, syphilis, rheumatic fever, congenital heart disease and trauma.

    Most coronary aneurysms remain asymptomatic. Patients may present symptoms of angina or myocardial infarction due to thrombosis within the aneurysm. This would lead to occlusion of the coronary artery or to distal thromboembolisms. There is no consensus on how to manage coronary artery aneurysms. Medical therapies include aspirin as well as warfarin. Surgery may be performed in patients with a large aneurysm, i.e. when the risk of rupture or thrombosis is high.

    We present a 60-year-old female patient with symptoms of a transient ischaemic attack followed by a period of fever, nausea, vomiting and ecchymoses on the lower extremity. Transthoracic and transoesophageal echocardiography was suggestive of a tumour located at the basis of the lateral wall of the right atrium. Heart surgery revealed, however, a large right coronary aneurysm and an atrial septum defect of the secundum type.

    Artikkel

    En 60 år gammel kvinne med kronisk obstruktiv lungesykdom ble innlagt i lokalsykehus på grunn av forverret dyspné. Hun hadde fått gradvis dårligere pust i løpet av noen måneder, til tross for intensivert medikamentell behandling, og innleggelsesdagen ble hun brått ytterligere dyspnéisk. Hun hadde i seksårsalderen fått fjernet nedre pol av venstre nyre på grunn av infeksjon, og i voksen alder hadde hun hatt residiverende urinveisinfeksjoner og fått utført knusing av en koralstein i høyre nyre. Hun hadde også fått fjernet en colonpolypp. Røntgen thorax tatt ved innleggelsen viste høyresidig pneumothorax, og det ble derfor lagt inn pleuradren, med godt resultat.

    Under oppholdet klaget hun over nedsatt kraft i venstre over- og underekstremitet. Disse symptomene varte i et par timer. Ved klinisk undersøkelse ble det funnet lett nedsatt kraft i venstre overekstremitet, men ingen sikker parese i underekstremiteten, og heller ikke andre nevrologiske utfall. Det ble ikke hørt bilyd over hjertet eller stenoselyd over halspulsårene. Cerebral CT viste ikke tegn til infarkt eller blødning. Nærmere undersøkelse med ekkokardiografi eller ultralyddoppler av halskar for å påvise eventuelle embolikilder ble ikke utført på dette tidspunktet. Hun ble utskrevet etter noen få dager uten nevrologiske symptomer.

    Pasientens nevrologiske symptomer var forenlige med et transitorisk iskemisk anfall (TIA). Pasienter som har gjennomgått et slikt anfall, har betydelig økt risiko for hjerneslag, og bør derfor utredes med tanke på risikofaktorer som kan være gjenstand for intervensjon, slik som carotisstenose, embolikilder i hjertet eller trombofili. De fleste skal ha forebyggende behandling med acetylsalisylsyre. Ikke noe av dette ble gjort hos vår pasient, sannsynligvis fordi de nevrologiske symptomene kom i skyggen av hennes lungeproblem.

    Etter oppholdet var pasienten i dårlig form, med betydelig asteni og økende dyspné ved moderat anstrengelse. Hun oppdaget også et par blåmerker på høyre underekstremitet, og var til utredning hos hudlege. Det ble tatt hudbiopsi, som ikke førte til noen nærmere diagnose.

    Etter et halvt år ble hun igjen innlagt i medisinsk avdeling med ca. én ukes sykehistorie med oppkast, diaré og feber. Noen dager forut for innleggelsen hadde hun fått antibiotika pga. mistanke om cystitt.

    Ved innleggelsen var blodtrykket 120/80 mm Hg og pulsen 70, regelmessig. Det var ingen halsvenestuvning eller deklive ødemer, og det var normale funn ved auskultasjon av hjerte og lunger. Hun var palpasjonsøm under høyre kostalbue, men leveren var ikke sikkert forstørret. Det ble funnet tre ca. 2 x 3 cm store ekkymoser på høyre underekstremitet (fig 1).

    Tabell 1 viser laboratorieprøver ved innkomst. EKG var normalt. Røntgen thorax viste normal hjerteskygge og hyperinflaterte lunger, men denne gang ingen tegn til pneumothorax. Strimmelundersøkelse av urinen var normal, og urindyrking gav ingen bakterievekst. Virusserologisk undersøkelse indikerte tidligere gjennomgått infeksjon med Epstein-Barr-virus, men gav for øvrig ikke spesifikke funn. Immunologiske undersøkelser med henblikk på autoantistoffer var også negative.

    Tabell 1

    Blodprøvesvar ved annen gangs innleggelse

    Hb

    11,2 g/100 ml

    LD

    524U/l

    Leukocytter

    6 x10⁹/l

    Albumin

    34 g/l

    SR

    55 mm

    Gamma-GT

    384 U/l

    CRP

    74 mg/l

    Amylase

    245 U/l

    Na

    137 mmol/l

    Jern

    4 µmol/l

    K

    4,2 mmol/l

    Jernmetning

    11 %

    Kreatinin

    83 µmol/l

    Ferritin

    197 µg/l

    ALAT

    40 U/l

    FT4

    15 pmol/l

    ASAT

    75 U/l

    TSH

    0,88 mIE/l

    ALP

    404 U/l

    Pasienten hadde altså i lang tid vært slapp og hatt økende dyspné. I tillegg hadde hun en uklar febertilstand som hadde vart i ca. én uke. Klinisk undersøkelse, bakteriologiske prøver og røntgen thorax påviste ikke noe sikkert infeksjonsfokus. Hun kunne selvfølgelig ha hatt en gastroenteritt, ettersom hun var plaget med diaré, oppkast og feber og hadde moderat forhøyet CRP. Funn av ekkymoser i høyre underekstremitet gav imidlertid mistanke om endokarditt med perifer embolisering av vegetasjoner fra klaffeapparatet. Det ble derfor utført ekkokardiografi.

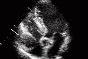
    Transtorakal ekkokardiografi viste en veggfast homogen tumor, ca. 3,8 x 3,8 cm, lokalisert lateralt i høyre atrium like overfor tricuspidalklaffeplanet, samt et atrieseptumaneurisme (fig 2). Transøsofageal ekkokardiografi viste i tillegg en atrieseptumdefekt med både høyre-venstre- og venstre-høyre-shunt. Det ble ikke påvist blodstrøm i selve tumoren ved undersøkelse med fargedoppler.

    Svulst i hjertet er sjeldent. Slike svulster inndeles i primære og sekundære typer. I større uselekterte obduksjonsmaterialer påvises primære hjertesvulster med en prevalens som varierer fra 0,002 % til 0,3 % (1). Histologisk inndeles primære hjertesvulster i maligne og benigne former. De benigne er de vanligste, og utgjør ca. 75 % av tilfellene (2), hvorav de fleste er myksomer (3). Myksomer forekommer i alle aldersgrupper og ses hyppigst hos kvinner. Ca. 90 % finnes i venstre atrium, og de fleste har sitt feste til fossa ovalis. Blant primære maligne hjertesvulster er sarkomer de vanligste. Sekundære hjertesvulster utgjøres av metastaser fra maligne sykdommer i andre organer eller svulster som utgår fra perikard. Sekundære hjertesvulster, spesielt metastaser, forekommer hyppigere enn primære maligne hjertesvulster. Hos pasienter med kjent malign sykdom bør nyoppståtte bilyder over hjertet, funn av røntgenologiske tegn til kardiomegali eller nyoppståtte arytmier vekke mistanke om hjerteaffeksjon og føre til nærmere utredning.

    De vanligste kreftformene som metastaserer til hjertet er lungekreft, brystkreft, nyrekreft, malignt melanom, lymfomer og ulike former for leukemi. Systemiske manifestasjoner som feber, anemi, høy senkning, trombocytopeni samt sentrale og perifere embolier er vanlig både ved benigne og maligne hjertesvulster, men ses hyppigst ved myksomer. Differensialdiagnoser ved hjertesvulster er intrakardiale tromber, koronararterieaneurismer, ekinokokkinfeksjoner og Løfflers endokarditt (4). Ut fra kliniske og ekkokardiografiske funn antok vi at vår pasient hadde et myksom, selv om lokalisasjonen ikke var helt typisk.

    Pasienten ble henvist til regionsykehus med tanke på videre diagnostikk. Koronar angiografi viste ektatiske koronararterier uten signifikante stenoser (fig 3). MR av hjertet viste en solid rundaktig oppfylning på ca. 3,7 x 3,3 cm som lå like innenfor perikard, omringet av epikardialt fettvev. Største del av oppfylningen buket inn mot høyre atrium og hadde nær relasjon til tricuspidalklaffen og proksimale del av høyre ventrikkel. Den tentative diagnosen etter disse tilleggsundersøkelsene var hjertetumor eller aneurisme i en av koronararteriene.

    Funn av patologiske strukturer i furen mellom høyre atrium og høyre ventrikkel ved ekkokardiografi bør gi mistanke om aneurisme i høyre koronararterie. Mistanken om at vår pasient kunne ha et slikt aneurisme, ble forsterket etter at koronarangiografi viste ektatiske koronarkar, siden aneurismer og ektasier ofte foreligger samtidig.

    Ved torakotomi ble det funnet et stort trombosert aneurisme utgående fra høyre koronararterie (fig 4). Det ble gjort ekstirpasjon av selve aneurismet og koronar bypass av høyre koronararterie. Det ble også gjort lukking av en atrieseptumdefekt av secundum type.

    Postoperativt fikk pasienten paroksysmal atrieflimmer og trengte frekvensregulerende medikamentell behandling. For øvrig var det postoperative forløpet ukomplisert, og hun ble flyttet tilbake lokalsykehuset etter noen få dager.

    Diskusjon

    Diskusjon

    Diagnostikk av hjertesvulster er en klinisk utfordring. Ofte påvises de tilfeldig ved utredning av andre medisinske tilstander, for eksempel symptomer fra sentralnervesystemet eller perifere tromboemboliske tilstander. Supplerende blodprøver, EKG og røntgen thorax er som regel ikke tilstrekkelig for å påvise hjertesvulst. Transtorakal og eventuelt transøsofageal ekkokardiografi er de viktigste diagnostiske hjelpemidlene, og gir som regel tilstrekkelig informasjon om svulstens størrelse og lokalisasjon. Ved påvist hjertesvulst gjøres som regel MR av hjertet og koronar angiografi for nærmere kartlegging av svulsten og for å kunne gjøre en vurdering med tanke på eventuell kirurgisk behandling. MR av hjertet kan i mange tilfeller med relativt stor sikkerhet skille mellom forskjellige typer svulstvev (2, 5). Ved tegn til embolier til huden, som hos vår pasient, kan biopsi av hudforandringene i noen tilfeller gi en histologisk diagnose av selve embolikilden. Dette gjelder spesielt ved myksomer og maligne hjertesvulster.

    Pasienter med hjertesvulst har et bredt spekter av symptomer – avhengig av svulstens type, størrelse og lokalisasjon. Embolisering ses oftest når svulsten er lokalisert i venstre hjertehalvdel, men paradoksal embolisering fra høyresidige svulster til systemkretsløpet kan også forekomme hos pasienter med atrieseptumdefekt. Trombemasser fra høyre hjertehalvdel kan også embolisere til lungene.

    Tidlig diagnostikk av hjertesvulster er viktig. For sikkert å kunne skille mellom benigne og maligne svulster kreves histologisk undersøkelse. Ved mistanke om trombe vil antikoagulasjonsbehandling være indisert. Pasienten må i slike tilfeller følges med ekkokardiografi for å se om svulsten går tilbake.

    En viktig differensialdiagnose til perikardiale eller intrakardiale hjertesvulster er aneurismer i koronararterier. Vår pasient hadde i omtrent ett år hatt diffuse symptomer med slapphet, vekttap og økende dyspné, som alle ble relatert til hennes lungesykdom. Hun hadde imidlertid TIA under sitt første sykehusopphold. På dette tidspunkt burde hun kanskje vært henvist til nærmere utredning med ekkokardiografi og ultralydundersøkelse av halskar for å finne eventuelle embolikilder. Personer under 65 år som ikke har risikofaktorer for arterielle embolier men som likevel gjennomgår TIA eller hjerneslag, bør utredes med ekkokardiografi (6).

    Perifer og sentral embolisering kan ses hos mennesker med koronararterieaneurismer, slik som hos vår pasient. Den store oppfylningen i høyre atrium vil kunne disponere for lokal trombedanning. Vår pasient hadde i tillegg en atrieseptumdefekt, som var en forutsetning for paradoksal embolisering.

    Koronararterieaneurismer defineres som en dilatasjon av arterien med en diameter på minst 1,5 ganger nærliggende og uaffisert koronararterie (7, 8). Tilstanden ses oftest i høyre koronararterie. Den vanligste komplikasjonen er lokal trombedanning i arterien, med mulighet for perifer embolisering, som kan føre til anginaplager eller akutt koronarsyndrom. En mer sjelden, men fatal komplikasjon er ruptur av selve aneurismet (8).

    Forekomsten av koronararterieaneurismer er 1,5 – 4,9 % i angiografimaterialer (9). Den vanligste årsaken er aterosklerose, fulgt av en rekke andre og sjeldnere sykdommer som Kawasakis sykdom, periarteritis nodosa, systemisk lupus erythematosus, syfilis, revmatisk feber og medfødte hjertemisdannelser (10).

    Fistler mellom aneurismet og hjertekamrene kan også forekomme. Hvorvidt man skal operere ved koronararterieaneurismer, er avhengig av størrelse, risiko for ruptur, tilstedeværelse av stenoser i koronararterien og eventuelle fistler mellom aneurismet og et av hjertekamrene. Operativ behandling består av reseksjon av aneurismet og koronar bypass av den aktuelle koronararterien. Det finnes ingen konsensus om den medikamentelle behandlingen, men acetylsalisylsyre eller warfarin kan være aktuelle alternativer.

    Oppgitte interessekonflikter: Ingen

    Se kommentar side 297

    Kommentarer  ( 0 )

    Anbefalte artikler