Background.
Bird fancier’s lung is globally the second most frequent cause of extrinsic allergic alveolitis.
Material.
For many years, the patient had influenza-like symptoms and developed progressing pulmonary fibrosis. Over a period of 10 years she had been exposed to up to 43 birds in the house at any one time and serum precipitates against avian proteins had been found. After sanitation of the house of birds and avian proteins, the pulmonary function has not deteriorated further in 5 years.
Interpretation.
A thorough environmental history is essential in the diagnosis of extrinsic allergic alveolitis; at an earlier stage it would have made us think about this possible etiological factor. This could have prevented the development of permanent pulmonary fibrosis if the patient had been advised to avoid further exposure to antigens. There should be greater awareness of this disease among general practitioners as well as among chest consultants in Norway.
Eksogen allergisk alveolitt defineres som en gruppe diffuse parenkymale lungesykdommer forårsaket av en immunologisk betinget inflammasjon sekundært til gjentatt inhalasjon av organisk støv (bl.a. sopp, bakterier, dyreprotein og annet animalsk støv) (1). Vanligst er sykdom etter inhalasjon av soppsporer (Saccharopolyspora rectivirgula og Thermoactinomycetes vulgaris) som kan gi bondelunge, og etter inhalasjon av fugleproteiner som kan gi fugleholderlunge (2, 3). Bondelunge hos en 60 år gammel gårdbruker i Rogaland er omtalt for 37 år siden i Tidsskriftet (4).
Det akutte sykdomsbildet skyldes en immunkompleksmediert hypersensitivitetsreaksjon (type III) og komplementaktivering (5). Ved det kroniske sykdomsbildet er det en T-lymfocyttmediert hypersensitivitetsreaksjon i lungene med granulomer og fibroseutvikling (6, 7). Opphør av eksponering for det spesifikke antigen normaliserer vanligvis lymfocyttreaksjonen i lungeparenkymet etter seks måneder (2).
For å gjøre legene oppmerksom på manifestasjoner, behandling og forløp av fugleholderlunge beskriver vi her en pasient med sykdommen.
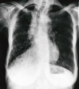
Pasienten. En 63 år gammel hjemmeværende husmor var synssvekket og hadde nedsatt hørsel. Pasienten røykte fra hun var 43 til 60 år. På grunn av residiverende urinveisinfeksjoner hadde hun flere ganger brukt nitrofurantoin 100 mg daglig. Hun ble første gang innlagt i sykehus primo januar 1996 på grunn av muskel- og leddsmerter, hodepine og forkjølelsessymptomer, et sykdomsbilde som ble journalført som influensa. Dessuten hadde hun tørrhoste, åndenød, hjertebank og inspiratoriske knatrelyder over begge lunger fra basis til topp. Arterielle blodgasser viste PaCO₂ 4,5 kPa, PaO2 8,3 kPa og O₂-metning 92 %. Røntgenbildet av thorax var normalt. Blodprøver viste leukocytter 10,6 10⁹/l, SR 55 mm/t, IgG 27 mg/l (normalt 7 – 15 mg/l) og ANA 40 enh/l (normalt < 32 enh/l). Spirometri viste et restriktivt mønster med FVC 1,75 l (67 % av forventet) (8), FEV1 1,51 l (69 %) og FEV₁/FVC 0,87. Tilstanden ble oppfattet som «furadantinlunge». Nitrofurantoin ble seponert og pasienten utskrevet med avtale om henvisning til sykehusets lungepoliklinikk ved nye symptomer. Ultimo februar 1997 kom hun til poliklinikken på grunn av progredierende åndenød. Røntgen thorax viste flekkvise fortetninger i høyre midt- og overlapp, men venstre lunge var upåfallende. FVC var 1,20 l (47 %), FEV1 1,08 l (50 %). FEV₁/FVC 0,89. Faren med å bruke nitrofurantoin ble på nytt poengtert. Computertomografi med høy oppløsning (HR-CT) viste diffuse fortetninger mest på høyre side forenlig med fibroserende alveolitt. I januar 1998 ble hun igjen henvist fordi hun var blitt tyngre i pusten, hadde taledyspné, takypné, tørrhoste, hjertebank, leppecyanose og et vekttap på 4 – 6 kg. Røntgen thorax viste økende lungefibrose, mest uttalt i basale og midtre lungefelt på høyre side og en 2 centimeters pneumothoraxkappe over høyre lungetopp (fig 1). Spirometri viste betydelig forverring siden januar 1996 med FVC 0,85 l (33 %). FEV₁ 0,78 l (37 %) FEV₁/FVC 0,91. Blodgasser viste PaCO2 5,3 kPa og PaO2 7,8 kPa. Lungebiopsi tatt ved torakoskopi var forenlig med hypersensitiv pneumonitt/granulomatøs alveolitt. Ektefellen ble oppfordret til å møte ved utskrivningssamtalen på grunn av pasientens tunghørthet. Han kom til legekonsultasjonen med følgende skriftlige spørsmål: «Hvordan oppstår sykdommen og hvordan er utsiktene? Er det ting eller forhold vi bør være oppmerksomme på? Kan bomiljøet ha vært av betydning og/eller kan det være av betydning fremover? Vi er glad i dyr og fugler og pasienten er i daglig kontakt med to hunder, to katter, 21 finker, 12 undulater, fire parakitter, fire dvergpapegøyer og to duer.» Han opplyste at ekteparet hadde hatt stuefugler i mer enn ti år. Undersøkelse på presipitater i serum viste kraftig positive immunpresipitater mot samtlige fugleantigener (fig 2). Det ble startet med prednisolon 40 mg dgl, dosen ble trappet ned og seponert etter åtte måneder. Pasienten var nær knyttet til sine fugler og først etter flere legekonsultasjoner lyktes det å få pasienten til å kvitte seg med fuglene. Lungefunksjon i oktober 1998 viste fortsatt restriksjon med FVC 1,26 l (50 %), FEV1 0,99 l (47 %), FEV₁/FVC 0,78. Arterielle blodgasser viste PaO₂ 9,3 kPa og PaCO2 5,1kPa. I mai 2003 ble pasienten innlagt med akutt åndenødsforverring, feber og PaO2 5,7 kPa. Ved spiral-CT var det en sentral embolus i lungearterie. Venografi viste dyp venetrombose i høyre underekstremitet. Senere polikliniske konsultasjoner frem til 2003 har vist betydelig restriktiv ventilasjonsinnskrenkning med redusert gassutveksling.
Diskusjon
I Norge har 60 000 husstander stuefugler (9). Av disse er de fleste papegøyefugler som undulater og parakitter eller finkefugler som kanarifugl og sebrafink. Dessuten er det i Norge nærmere 500 brevdueeiere som hver har fra ti til 100 duer. Prevalensen av eksogen allergisk alveolitt på grunn av fuglehold er i England antatt å være ca. 4 % blant fugleholdere, som er den samme prevalensen som for bondelunge blant bønder (10). I USA (5) og Sverige (11) er prevalensen av sykdommen blant fugleholdere henholdsvis 6 % og 8 %. I Sverige er imidlertid det totale antallet tilfeller av bondelunge langt høyere enn fugleholderlunge (12). Fugleholderlunge er observert av andre på Vestlandet (K. Skaug, Haugesund sykehus, B. Jakobsen, Molde sykehus, personlig meddelelse, 2004), men noen prevalenstall fra Norge foreligger ikke.
Sigarettrøyking undertrykker immunologisk respons på inhalerte dueantigener (13). Vi vet ikke om vår pasients røykeslutt bidrog til å fremprovosere sykdommen. Fugleholderlunge kan debutere med akutte symptomer eller snikende med ukarakteristisk sykehistorie etter eksponering for fugleproteiner over mange år. Det akutte sykdomsbildet domineres av influensaliknende symptomer med feber, frysninger, muskel- og leddsmerter, tett nese, tretthet og hodepine samt tørrhoste (1). Spesifikt IgG mot det aktuelle fugleantigen påvises i pasientens serum (2). I Norge gjøres etter vår viten slike immunologiske tester bare ved Mikrobiologisk institutt ved Rikshospitalet.
Pasienter med det akutte sykdomsbildet har i opptil 70 % av tilfellene normale funn på røntgen thorax, men noen utvikler mikronodulære lungefortetninger helst i midt- og underlapp (1). HR-CT er en mer sensitiv bildediagnostikk enn vanlig røntgen thorax, og lungeaffeksjon påvises tidligere (2). I en tidlig fase av sykdommen er det mulig å forhindre en varig irreversibel lungeskade ved å påvise eksponeringen og å fjerne den. Vår pasients bruk av nitrofurantoin gjorde at vi primært ikke tenkte på andre årsaker. Etter at sykdommen hadde gått inn i en subakutt/kronisk fase, oppstod de interstitielle lungefortetningene i høyre midt- og overlapp. Kronisk eksogen allergisk alveolitt er røntgenologisk ofte asymmetrisk lokalisert i lungene (1).
Diagnosen eksogen allergisk alveolitt baseres på følgende kriterier: identifikasjon av mulig spesifikt antigen i pasientens nærmiljø; karakteristiske kliniske tegn (funksjonsdyspné, inspiratoriske knatrelyder og febrile episoder), røntgenologiske tegn og lungefunksjonstegn (transferfaktor for karbonmonoksid og vital kapasitet) på lungeparenkym sykdom; presipiterende antistoffer i pasientens serum og bedring ved opphør av eksponering (2). Disse kriteriene gir vanligvis diagnosen slik at det sjeldent er behov for ytterligere utredning, som påvisning av lymfocyttalveolitt i bronkoalveolær skyllevann eller granulomer i lungebiopsi (2). De vanligste kliniske differensialdiagnoser for kronisk eksogen allergisk alveolitt er: kryptogen fibroserende alveolitt, interstitiell lungesykdom assosiert med bindevevssykdom, sarkoidose og medikamentell utløst interstitiell lungesykdom (14). Vår pasient ble initialt oppfattet å ha en nitrofurantoinindusert lungesykdom, men det forelå ikke eosinofil pneumoni, som er et vanlig histopatologisk funn ved denne sykdommen (7). Andre differensialdiagnoser for akutt eksogen allergisk alveolitt er influensa, akutt bronkitt, bronkial astma, atypisk viral pneumoni eller mykoplasmapneumoni, miliær tuberkulose, allergisk bronkopulmonal aspergillose, og psittakose (1).
Opphør av antigen eksposisjon er en forutsetning for å hindre videre progrediering av fugleholderlunge (1, 3). Dueslageiere må være nøye med rengjøringen og bør anvende maske. Behandling med kortikosteroider ved det akutte sykdomsbildet gir mindre symptomer og forkorter forløpet, men kan ikke alltid hindre fibroseutviklingen (1). Det anbefales 40 mg prednisolon daglig i de første ukene og så 20 mg daglig inntil de kliniske og røntgenologiske funn har gått tilbake (1). Ved det kroniske sykdomsbildet er kortikosteroider også aktuelt og anbefales gitt i 3 – 6 måneder (3, 7). Behandlingen videre er som ved kryptogen fibroserende alveolitt. Lungefunksjonen, bedømt ut fra spirometri og arterielle blodgasser, ble initialt bedre hos vår pasient, men de parenkymatøse fortetninger på røntgen thorax har ikke forandret seg i løpet av de siste fem årene. Pasienten har dessuten hatt lungeembolisme som ikke er en uvanlig komplikasjon ved kronisk diffuse lungeparenkymsykdommer med fibrose.
Prognosen er god ved akutt alveolitt når diagnosen blir stilt tidlig og pasienten har hatt liten eksponering for fugleekskrementer. Ved det kroniske sykdomsbildet er prognosen dårlig hva angår reversering av initial lungeskade, men gunstig med tanke på progresjon av lungefunksjonsskaden forutsatt at det ikke lenger er eksposisjon for antigen (1).
Vi takker Nielsen AL, avdeling for patologi, Stavanger Universitetssjukehus for histologisk lungebiopsisvar og Belin L, Allergilaboratoriet, Allergiseksjonen, Medicinska kliniken, Sahlgrenska sjukhuset, 413 45 Göteborg for undersøkelse på immunpresipitater i serum.
Oppgitte interessekonflikter: Ingen
Fugleholderlunge er i global sammenheng den nest hyppigste årsak til eksogen allergisk alveolitt
Diagnosen bygger på tilstedeværelse av funksjonsdyspné, inspiratoriske knatrelyder og febrile episoder; røntgenologiske og lungefunksjonstegn på diffus lungeparenkymsykdom samt presipiterende antistoffer mot fugleekskrementer i serum
Grundig anamnese av eksponering i nærmiljøet er essensiell i diagnostikk og forebygging av eksogen allergisk alveolitt
Udiagnostisert sykdom kan føre til irreversibel og invalidiserende lungeskade
- 1.
Pickering CAC, Newman-Taylor AJ. Extrinsic allergic alveolitis/Hypersensitivity pneumonia. I: Parks WR, red. Occupational lung disorders. 3. utg. Oxford: Butterworth-Heinemann, 1994: 667 – 709.
- 2.
Newman-Taylor AJ. Extrinsic allergic alveolitis. I: Brewis RAL, Corrin B, Geddes DM et al, red. Respiratory medicine. 2. utg. London: W.B. Saunders, 1996: 1395 – 402.
- 3.
Reed CE, Soman E, Barbee RA. Pigion-breeders lung – a newly observed interstitial pulmonary disease. J Am Med Assoc 1965; 193: 261 – 6.
- 4.
Aksnes EG, Øyri A. Farmer’s lung. Tidsskr Nor Lægeforen 1967; 87: 559 – 60.
- 5.
Caldwell JR, Pearce DE, Spencer C et al. Immunologic mechanisms in hypersensitivity pneumonitis. J Allergy Clin Immunol 1973; 52: 225 – 30.
- 6.
McSharry C, Anderson K, Bourke SJ et al. Takes your breath away – the immunology of allergic alveolitis. Clin Exp Immunol 2002; 128: 3 – 9.
- 7.
Hunninghake GW, Richerson HB. Hypersensitivity pneumonitis and eosinophilic pneumonias. I: Fauci AS, red. Harrisons principles of internal medicine. 14. utg. New York, NY: McGraw-Hill, 1998: 1426 – 9.
- 8.
Quanjer PH, Tammeling GJ, Pedersen OF et al. Lung volumes and forced ventilatory flows. Report Working Part Standardization of Lung Function Testes. Official Statement of the European Respiratory Society. Eur Respir J 1993; 6 (suppl 16): 5 – 40.
- 9.
St.meld. nr. 12 (2002 – 03). Dyrehold og dyrevelferd.
- 10.
Hendrick DJ, Faux JA, Marshall R. Budgerigar-fancier’s lung: the commonest variety of allergic alveolitis in Britain. BMJ 1978; 2: 8 – 14.
- 11.
Elgefors B, Belin L, Hanson LÅ. Pigeon breeder’s lung. Clinical and immunological observations. Scand J Resp Dis 1971; 52: 167 – 76.
- 12.
Strömquist LH, Belin L. Förekomsten av allergisk alveolitt i Sverige – redovisning av två enkätundersökningar. Hygiea 1984; 93: 189.
- 13.
Baldwin CI, Todd A, Bourke S et al. Pigeon fanciers’ lung: effects of smoking on serum and salivary antibody responses to pigeon antigens. Clin Exp Immunol 1998; 113: 166 – 72.
- 14.
Schuyler M. The diagnosis of hypersensitivity pneumonitis. Chest 1997; 111: 534 – 6.