Blunt splenic injuries are increasingly being managed non-operatively. Consequently, radiological examinations in the follow up of these injuries must aim at detecting lesions like pseudoaneurysms that can cause delayed bleeding.
Two patients are presented. They were both diagnosed at a local hospital and treated at the regional trauma centre. In both patients pseudoaneurysms were detected on CT examination with arterial contrast phase. Angiographic embolisation was performed successfully. The cases are discussed with reference to relevant literature.
Pseudoaneurysms may not be detected at the initial CT scan and can cause delayed bleeding. Thus it seems wise to perform a CT scan in arterial and venous contrast phase 5 – 7 days after the injury. Interventional angiography should be offered haemodynamically stable adult patients with serious splenic injury and in the absence of other indications for laparotomy.
Milten er det organet som skades hyppigst ved stumpe buktraumer (1). Senblødning er en fryktet komplikasjon. Pseudoaneurismer (e-fig 1) dannes som følge av intraparenkymal karskade og hematomdanning. Hvis hematomet er helt eller delvis sirkulert, kalles det et pseudoaneurisme. Slike forandringer kan presentere seg forsinket (2) og kan også forårsake senblødning (3) – (5). Det er angitt at to tredeler av pasienter med forsinket ruptur har pseudoaneurismer (6).
Vi presenterer to kasuistikker som illustrerer hvert sitt viktige moment ved radiologisk diagnostikk av pseudoaneurismer etter miltskade: behovet for CT-undersøkelse i tidlig kontrastfase og behovet for gjentatt undersøkelse senere i skadeforløpet. Grunnlagsmaterialet er litteratursøk og foreløpige erfaringer ved Sykehuset i Vestfold, Tønsberg.
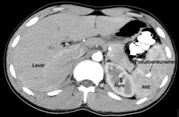
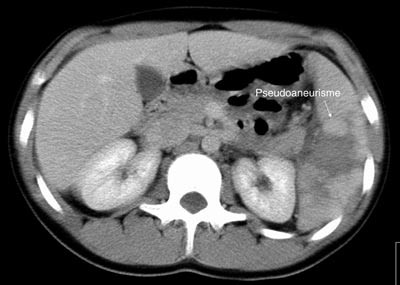
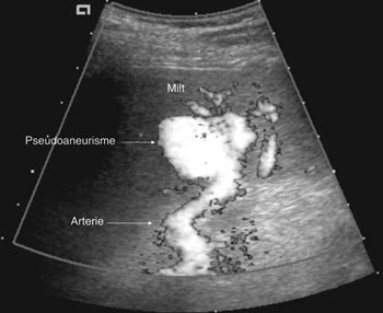
Pasient 1. En 16 år gammel gutt ble henvist til lokalsykehuset med spørsmål om miltskade. Han hadde seks dager tidligere falt under fotballtrening. Pasienten kom gående og klagde over magesmerter. CT-undersøkelse supplert med arteriell kontrastfase gav tydelig fremstilling av en rund, velavgrenset og høyattenuerende lesjon (fig 2a). På bildene fra vanlig venøs kontrastfase var denne strukturen dårligere fremstilt (fig 2b). Pseudoaneurisme ble mistenkt. Skaden ble vurdert som grad IV. Pasienten ble overflyttet til Ullevål universitetssykehus hvor det ble utført angiografi som bekreftet diagnosen. Deretter foretok man embolisering (fig 3). Prosedyren var vellykket og pasienten ble utskrevet etter én uke.
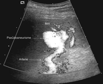
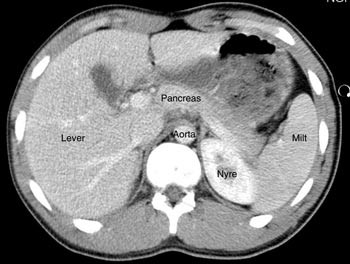
Pasient 2. En 20 år gammel mann ble utsatt for en trafikkulykke. Han var komatøs og ble intubert på skadestedet. CT-undersøkelse ved Ullevål universitetssykehus viste venstresidig pneumothorax og costafrakturer. I milten forelå en laserasjon kaudalt (skadegrad III), men normale funn i hilusnivå (e-fig 4). Pasienten ble observert og overflyttet til lokalsykehus etter tre dager. Seks dager etter traumet ble det gjort en CT-kontroll med arteriell kontrastfase. Denne viste en tilkommet, høytattenuerende lesjon ved milthilus, forenlig med et pseudoaneurisme (e-fig 5). Pasienten ble flyttet tilbake til Ullevål universitetssykehus hvor det ble utført angiografi med embolisering (e-fig 6). Ultralydkontroll samme dag viste opphørt sirkulasjon i lesjonen. Tre dager senere ble pasienten utskrevet.
Diskusjon
Fare for senblødning ved ikke-operativ behandling er avhengig av skadegrad. Graderingen foretas på grunnlag av CT-funn. Ved Ullevål universitetssykehus benyttes klassifikasjonen til American Association for the Surgery of Trauma (Organ Injury Scale) (7). Skaden graderes fra I til V, der grad V er den alvorligste med knust milt og opphevet sirkulasjon (tab 1).
Tabell 1
Skadegradering. Karskade i form av pseudoaneurisme, AV-fistel eller pågående blødning må beskrives særskilt. Ved flere skader oppgraderes inntil grad III
| Grad |
Funn |
Størrelse |
| I |
Hematom, subkapsulært |
> 10 % av overflaten |
| Laserasjon |
> 1 cm parenkymdybde |
|
| II |
Hematom, subkapsulært |
10 – 50 % av overflaten |
| Hematom, intraparenkymalt |
> 5 cm i diameter |
|
| Laserasjon |
1 – 3 cm parenkymdybde |
|
| III |
Hematom, subkapsulært |
< 50 % av overflaten |
| Hematom, intraparenkymalt |
< 5 cm |
|
| Laserasjon |
< 3 cm parenkymdybde |
|
| IV |
Laserasjon |
< 25 % devaskularisering |
| V |
Laserasjon |
Total devaskularisering |
I litteraturen er det beskrevet redusert sensitivitet og spesifisitet for pseudoaneurismer ved CT-undersøkelse sammenholdt med angiografi (8), men undersøkelsene er som oftest kun gjort i venøs kontrastfase. I flere studier er det benyttet forsinkelse fra kontrastinjeksjon til bildeopptak på mellom 70 og 85 sekunder som tilsvarer sen eller venøs kontrastfase (1, 9, 10). CT-bildene fra undersøkelsen av pasient 1 illustrerer at dette kan vanskeliggjøre diagnostikken. I tillegg er det viktig å vite at vaskulære lesjoner kan presentere seg forsinket. Det viser bildene av pasient 2. CT-undersøkelse i arteriell og venøs fase etter 5 – 7 dager i tillegg til undersøkelse ved innkomst er derfor anbefalt (2, 6).
Ultralydundersøkelse i traumesammenheng er vanlig ved oppfølging av kjente forandringer, spesielt hos barn (11). I akuttfasen finner vi det imidlertid vanskelig å benytte slik undersøkelse som grunnlag for skadegradering, og sensitiviteten er vanligvis for lav til at metoden kan benyttes som eneste undersøkelsesmodalitet ved stumpe buktraumer (12).
Miltskader tilstrebes ikke-operativt behandlet dersom pasienten er stabil sirkulatorisk og uten annen laparotomikrevende skade. Målet er å bevare miltens immunologiske funksjon samt å spare pasienten for belastningen og eventuelle komplikasjoner ved unødvendig laparotomi. Barn behandles ikke-operativt uavhengig av skadegrad. Kun ved hemodynamisk instabilitet skal videre diagnostikk og behandling av barn iverksettes.
Intervensjonsradiologisk embolisering ved stumpe miltskader hos voksne er blitt benyttet sporadisk siden 1981 og er i de senere år etablert som en del av ikke-operativ behandling (13). Våre pasienter ble behandlet med embolisering. Studier viser at miltembolisering sannsynligvis øker suksessraten ved ikke-operativ behandling av milttraumer, samtidig som komplikasjonsnivået synes akseptabelt (14, 15). Slik behandling bør derfor være et tilbud til voksne pasienter med alvorlig miltskade når disse er sirkulatorisk stabile og uten annen indikasjon for laparotomi.
Oppgitte interessekonflikter: Ingen
Pseudoaneurismer etter miltskade kan forårsake forsinket ruptur
CT- undersøkelse i arteriell kontrastfase ca. 5 – 7 dager etter miltskade anbefales ved konservativ behandling
Kateterbasert miltembolisering kan redusere antall splenektomier
- 1.
Yao DC, Jeffrey RB jr., Mirvis SE et al. Using contrast-enhanced helical CT to visualize arterial extravasation after blunt abdominal trauma: incidence and organ distribution. AJR 2002; 178: 17 – 20.
- 2.
Norotsky MC, Rogers FB, Shackford SR. Delayed presentation of splenic artery pseudoaneurysms following blunt abdominal trauma. J Trauma 1995; 38: 444 – 7.
- 3.
Hiraide A, Yamamoto H, Yahata K et al. Delayed rupture of the spleen caused by an intrasplenic pseudoaneurysm following blunt abdominal trauma: case report. J Trauma 1994; 36: 743 – 4.
- 4.
Kennedy JA, Majury C, Kelly I et al. Post traumatic pseudoaneurysm of an intrasplenic segmental artery; a mechanism of delayed splenic rupture. Injury 1999; 30: 535 – 6.
- 5.
Fitoz S, Atasoy C, Dusunceli E et al. Post-traumatic intrasplenic pseudoaneurysms with delayed rupture: color Doppler sonographic and CT findings. J Clin Ultrasound 2001; 29: 102 – 4.
- 6.
Davis K, Fabian T, Croce M. Improved success in nonoperative management of blunt splenic injuries: Embolization of splenic artery pseudoaneurysms. J Trauma 1998; 44: 1008 – 15.
- 7.
Moore EE, Cogbill TH, Jurkovich GH et al. Organ injury scaling: spleen and liver (1994 revision). J Trauma 1995; 38: 323 – 4.
- 8.
Shanmuganathan K, Mirvis SE, Boyd-Kranis R et al. Nonsurgical management of blunt splenic injury: use of CT criteria to select patients for splenic arteriography and potential endovascular therapy. Radiology 2000; 217: 75 – 82.
- 9.
Federle MP, Courcoulas AP, Powell M et al. Blunt splenic injury in adults: clinical and CT criteria for management, with emphasis on active extravasation. Radiology 1998; 206: 137 – 42.
- 10.
Willmann JK, Roos JE, Platz A. Multidetector CT: Detection of active hemorrhage in patients with blunt abdominal trauma. AJR 2002; 179: 437 – 44.
- 11.
Minarik L, Slim M, Rachlin S et al. Diagnostic imaging in the follow-up of non-operative management of splenic trauma in children. Pediatr Surg Int 2002; 18: 429 – 31.
- 12.
Richards JR, Knopf NA, Wang L et al. Blunt abdominal trauma in children: Evaluation with Emergency US. Radiology 2002; 222: 749 – 54.
- 13.
Liu PP, Lee WC, Cheng YF. Use of splenic artery embolization as an adjunct to nonsurgical management of blunt splenic injury. J Trauma 2004; 56: 768 – 73.
- 14.
Dent D, Alsabrook G, Erickson BA et al. Blunt splenic injuries: High nonoperative management rate can be achieved with selective embolization. J Trauma 2004; 56: 1063 – 7.
- 15.
Wahl WL, Ahrns KS, Chen S et al. Blunt splenic injury: Operation versus angiographic embolization. Surgery 2004; 136: 891 – 9.