Background.
Acute transient ischaemic colitis gives abdominal pain and blood per rectum; the symptoms disappear in the course of a few days. The diagnosis is made by clinical signs and symptoms, endoscopy and histology.
Material and methods.
During the last tree years this diagnosis has been made in 12 patients in our department. In an attempt at evaluating the extent to which transabdominal ultrasonography could give diagnostic information, the patients were examined in the acute state and at control a few days later; then the data were compared.
Results.
At admission the bowel wall echotexture was non-stratified; proximal to the ischaemic damage was fluid or air within the bowel lumen in all patients. During the observation period the thickness of the bowel wall was reduced from 9.0 ± 1.7 to 4.2 ± 0.7 mm (p < 0.0005). At the same time, mural resistive index was reduced from 0.72 ± 0.08 to 0.62 ± 0.09 (p = 0.010), while systolic acceleration time was reduced from 0.144 ± 0.054 to 0.070 ± 0.023 ms (p = 0.001), the same value as was found in the great mesenteric vessels (p = 0.969).
Interpretation.
In acute transient ischaemic colitis, transabdominal ultrasonography may reveal pathological haemodynamic conditions and bowel wall thickness, both of which normalise within a few days.
Ved akutt transitorisk iskemisk kolitt kan ultrasonografi påvise den iskemiske skaden
Forandringene i tarmveggen normaliseres spontant i løpet av få dager
Man skiller mellom to kliniske former for akutt iskemisk kolitt (1, 2). Komplisert iskemisk kolitt fører til gangren, perforasjon eller iskemisk striktur i tarmen. Insidensen øker med alderen. Akutt transitorisk iskemisk kolitt er den vanligste formen, og presenterer seg oftest ved akutte magesmerter etterfulgt av blodig diaré. Det kliniske bildet er likevel fredelig, pasientene utvikler ikke tegn til peritonitt, og symptomene avtar spontant i løpet av få dager. Det kreves ingen spesifikk behandling, men pasientene vil kunne ha behov for intravenøs væsketilførsel og smertestillende medisiner de første 2 – 3 dagene.
Ved akutt transitorisk iskemisk kolitt er venstre colon – som forsynes av a. mesenterica inferior – affisert hos 75 % av pasientene. Rectum forsynes både med mesenterielt blod og med blod fra iliacakarene, og unnslipper vanligvis den iskemiske skaden. Affeksjon av høyre colonhalvdel gir ofte alvorligere tarmiskemi enn på venstre side (3).
Tilstanden har økende insidens med økende alder, men kan også forekomme hos unge voksne (4, 5). Sykdommen opptrer hyppigere hos kvinner enn hos menn, og kjønnsforskjellen er mest markert hos pasienter under 50 år. Prognosen er god, de fleste får ikke tilbakefall, og det blir vanligvis ingen sekveler i tarmen. Til tross for at man kjenner til flere risikofaktorer, er etiologien hos den enkelte pasient ukjent i omtrent halvparten av tilfellene (6) – (8).
Diagnosen baseres på det kliniske bildet (4), endoskopiske funn (4, 9) og histologi (10). Røntgen oversikt abdomen er som regel normal, røntgen colon med bariumklyster og CT abdomen kan vise fortykket tarmvegg 2 – 3 dager etter sykdomsdebut (11). De patologiske forandringene som medfører akutt iskemisk kolitt, omfatter blodkarene nær eller i selve tykktarmen, mens de tilførende karene er uaffisert. Selektiv mesenteriell angiografi har derfor liten plass i diagnostikken (12). Blodprøvene kan vise lett leukocytose og lett forhøyet CRP og SR, men er ellers normale (5).
Ultrasonografi har vært lite brukt som diagnostisk hjelpemiddel ved denne tilstanden. I tillegg til kasuistikker er det publisert relativt få studier, og pasientmaterialet er begrenset (13) – (15). I det affiserte tarmsegmentet viser todimensjonal ultrasonografi fortykket tarmvegg med ultrasonografisk utviskede vegglag, redusert eller opphevet peristaltikk samt væske eller luft proksimalt for det syke området (11, 13, 14). Fargedoppler gir, i motsetning til ved akutt inflammatorisk tarmsykdom, kun svake signaler fra tarmveggen, og signalene kan dessuten være vanskelig å påvise (13, 16). Dersom man ikke kan påvise arteriell sirkulasjon fra murale kar ved hjelp av pulset doppler, indikerer det alvorlig iskemi. Bruk av dopplerteknikk kan derfor ha prognostisk betydning i evalueringen av akutt iskemisk kolitt (11). Analyse av blodstrømmens profil i tarmveggen viser signifikant høyere resistensindeks ved akutt transitorisk iskemisk kolitt enn ved akutt inflammatorisk tarmsykdom (13). Metoden har ikke tidligere vært beskrevet i Tidsskriftet.
Formålet med denne presentasjonen er å meddele våre erfaringer ved bruk av transabdominal ultrasonografi hos 12 pasienter med akutt transitorisk iskemisk kolitt.
Materiale og metode
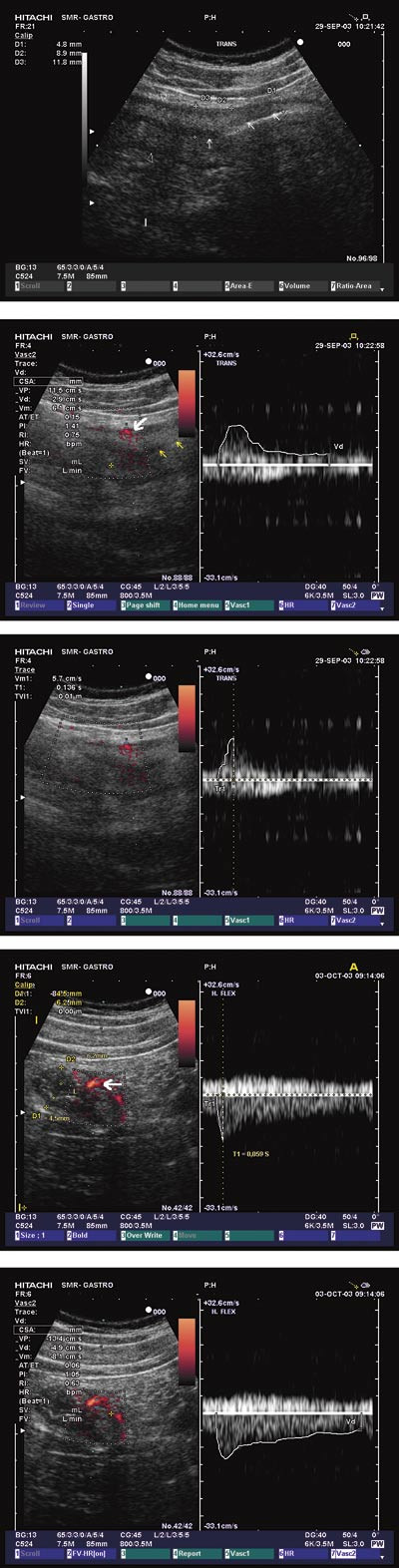
De siste tre årene er ni kvinner og tre menn innlagt ved Ålesund sjukehus med diagnosen akutt transitorisk iskemisk kolitt. Aldersfordelingen er vist i figur 1. Alle hadde akutt innsettende magesmerter etterfulgt av blodig diaré, og ble undersøkt endoskopisk uten forhåndstømming av tarmen i løpet av et døgn etter innleggelsen. Biopsier ble tatt både fra patologisk og fra normal tarmvegg. Kontrollendoskopi ble ikke utført. Pasientene ble innlagt 2,4 ± 0,7 døgn etter smertedebut. Transabdominal ultrasonografi ble gjennomført ved innleggelsen samt ved kontroll 6,5 ± 2,6 dager etter at symptomene startet. Pasientene ble undersøkt med Hitachi EUB 6000 ultralydapparat med multifrekvent 3,5 – 7,5 MHz sektor lydhode av type EUP C524, der det kun ble brukt 7,5 MHz. Todimensjonal ultrasonografi ble brukt for å vurdere veggstrukturen samt måle maksimal veggtykkelse i tarmen. Power-doppler gir en sensitiv visuell fremstilling av blodsirkulasjon med lave hastigheter (17), og ble brukt for å påvise hyperemi i slimhinnen. Signalene ble vurdert etter en skala på tre: sterke, svake eller ingen signaler. Veiledet av signalene fra power-doppler kunne samlevolumet ved pulset doppler plasseres korrekt og registrere arterielle signaler fra murale blodkar. Signalene ble fremstilt i et spektrogram, med tiden langs x-aksen og hastigheten langs y-aksen (18). Ved dupleksundersøkelse ble det gjort analyse av spektrogrammet, der blodstrømmens profil i murale kar ble uttrykt som resistensindeks (RI = Vmaksimum systole – Vendediastole/Vmaksimum systole) (18) og systolisk akselerasjonstid (SAT = tid fra start av systole til maksimal hastighet i systolen). Systolisk akselerasjonstid samt maksimal hastighet under systolen ble også målt i tilførende mesenterielle blodkar. Målingene i tarmveggen ble gjentatt ved kontroll, og resultatene ble sammenliknet med akuttfasen.
Tallverdier er angitt som gjennomsnitt ± standardavvik. Måleresultater i akuttfasen og ved kontroll er analysert med Students t-test av pardata, der p < 0,05 er oppfattet som statistisk signifikant. Statistiske beregninger og grafisk fremstilling er gjort i SPSS for windows, versjon 11.0.
Resultater
Endoskopi og histologi
Hos alle pasientene ble det endoskopisk påvist lesjoner i slimhinnen med utseende forenlig med akutt iskemisk kolitt (3, 9). To pasienter hadde affeksjon av høyre colon, resten hadde patologiske forandringer i sigmoideum og descendens. Histologi fra affisert slimhinne bekreftet diagnosen hos ti pasienter, mens det hos to ble påvist uspesifikke forandringer.
Todimensjonal ultrasonografi
I den affiserte delen av colon viste todimensjonal ultrasonografi transmurale forandringer hos alle pasientene, med opphevet ultrasonografisk lagdeling og redusert eller opphevet peristaltikk samt luft eller væskeansamling proksimalt for det iskemiske området. I akuttfasen var veggtykkelsen 9,0 ± 1,7 mm, ved kontroll 4,2 ± 0,7 mm, p < 0,0005. De sonografiske forandringene viste mer utbredt patologi enn det man kunne påvise ved endoskopi, både i tarmens lengderetning og tverrsnitt.
Power-doppler
Signalene var asymmetrisk lokalisert i tarmveggen. I akuttfasen ble det registrert sterke signaler hos to pasienter, hos de øvrige var det svake signaler (e-fig 2). Ved kontroll var signalene ikke mulig å påvise hos tre pasienter, for øvrig var de uendret.
Resistensindeks
I akuttfasen var resistensindeksen i murale blodkar 0,72 ± 0,08, ved kontroll 0,62 ± 0,09, p = 0,010.
Systolisk akselerasjonstid
I akuttfasen var systolisk akselerasjonstid i tarmen 0,144 ± 0,054 ms, mens den ved kontroll ble målt til 0,070 ± 0,023 ms, p = 0,001. Systolisk akselerasjonstid i mesenterielle kar kunne måles hos ni pasienter, og var 0,070 ± 0,010 ms – nærmest identisk med det som ble funnet i tarmveggen ved kontroll (p = 0,969). Hos to pasienter med høyresidig kolitt ble målingene gjort i a. mesenterica superior, mens resten av målingene ble gjort i a. mesenterica inferior.
Maksimal hastighet i systole
Den maksimale systoliske hastigheten i mesenterielle kar ble målt til 54,1 ± 13,4 cm/s. Vinkelen mellom blodkaret og lydbølgene var under 60 grader, og registreringene ble gjort 1 cm etter avgangen fra aorta.
Diskusjon
Hos mange pasienter finner man ingen tilgrunnliggende årsak til den iskemiske episoden, selv om mange risikofaktorer er beskrevet (6) – (8). Mulige medvirkende årsaker hos våre pasienter er angitt i tabell 1. Flere forfattere beskriver tilstanden både hos eldre og hos unge voksne, noe også denne studien bekrefter (fig 1).
Tabell 1
Mulige medvirkende årsaker til akutt transitorisk iskemisk kolitt blant våre pasienter
| Risikofaktorer |
Antall pasienter |
| Høy alder (> 80 år) |
4 |
| Hjertesvikt/digitalis |
1 |
| Diabetes mellitus/røyking |
1 |
| Venstresidig nyregraft |
1 |
| Raynauds fenomen |
1 |
| Obstipasjon |
1 |
| Lang flyreise |
1 |
| Kjerneantistoffer (positiv ANA, SSA og SSB) |
1 |
Lave verdier av maksimal systolisk hastighet i tilførende kar viste at det ikke forelå signifikante avgangstenoser hos noen av pasientene. Det er derfor sannsynlig at årsaken til den iskemiske skaden satt enten i de murale blodkarene eller i arterier eller vener nær tarmveggen. Studien støtter derfor undersøkelser gjort med selektiv mesenteriell angiografi, der man som regel ikke kan påvise patologi.
I denne studien (fig 3) ble den maksimale veggtykkelsen i tarmen halvert i løpet av få dagers observasjonstid. Systolisk akselerasjonstid i murale kar (som i motsetning til resistensindeks ikke tar hensyn til blodets hastighet i diastolen) ble også halvert i løpet av observasjonstiden, og ble samtidig sammenfallende med tilsvarende målinger i de tilførende mesenterielle karene. Dette parameteret er så vidt vi kjenner til ikke tidligere beskrevet ved akutt iskemisk kolitt, men synes å kunne være et godt supplement til resistensindeks dersom man ønsker å analysere de hemodynamiske forandringene ved denne sykdommen.
Resistensindeks øker når endediastolisk hastighet avtar. Med så svake dopplersignaler fra murale blodkar som ved akutt iskemisk kolitt, står man i fare for å nærme seg eller til og med komme under deteksjonsgrensen for pulset doppler i diastolen. Dette kan medføre falsk høy verdi av indeksen, særlig i akuttfasen hvor tarmsirkulasjonen er mest påvirket.
Resistensindeks var lavere og systolisk akselerasjonstid kortere ved kontroll enn i akuttfasen. Begge oppfattes som uttrykk for reperfusjonshyperemi, der den patologiske motstanden mot gjennomblødningen i tarmen spontant reduseres eller oppheves i løpet av sykdomsforløpet.
Til tross for få pasienter viser studien at ultrasonografi kan gi diagnostisk tilleggsinformasjon utover endoskopi ved akutt transitorisk iskemisk kolitt.
Konklusjon
Ved akutt transitorisk iskemisk kolitt kan transabdominal ultrasonografi påvise den iskemiske skaden og følge utviklingen av sykdommen over tid hos den enkelte pasient.
Oppgitte interessekonflikter: Ingen
- 1.
Robert JH, Mentha G, Rohner A. Ischemic colitis: two distinct patterns of severity. Gut 1993; 34: 4 – 6.
- 2.
Rygh J, Mosvold J, Serck-Hanssen A. Ischemisk kolitt. Tidsskr Nor Lægeforen 1990; 110: 1825 – 7.
- 3.
Flobert C, Cellier C, Berger A et al. Right colon involvement is associated with severe forms of ischemic colitis and occurs frequently in patients with chronic renal failure requiring hemodialysis. Am J Gastroenterol 2000; 95: 195 – 8.
- 4.
Habu Y, Tahashi Y, Kiyota K et al. Reevaluation of clinical features of ischemic colitis. Scand J Gastroenterol 1996; 31: 881 – 6.
- 5.
Apelland T, Stray N, Løberg EM. Iskemisk kolitt hos yngre pasienter. Tidsskr Nor Lægeforen 1996; 116: 1571 – 2.
- 6.
Koutroubakis E, Sfiridaki A, Theodoropoulou A et al. Role of acquired and hereditary thrombotic risk factors in colon ischemia of ambulatory patients. Gastroenterol 2001; 121: 561 – 5.
- 7.
Mann D, Kessel ER, Mullins DL et al. Ischemic colitis and acquired resistance to activated protein C in a woman using oral contraceptives. Am J Gastroenterol 1998; 93: 1960 – 2.
- 8.
Hourmand-Ollivier I, Bouin M, Saloux E et al. Cardiac sources of embolism should be routinely screened in ischemic colitis. Am J Gastroenterol 2003; 98: 1573 – 7.
- 9.
Zuckerman GR, Prakash C, Merriman RB et al. The colon single-stripe sign and its relationship to ischemic colitis. Am J Gastroenterol 2003; 98: 2018 – 22.
- 10.
Butcher JH, Davis AJM, Page A et al. Transient ischemic colitis following an aeroplane flight: two case reports and review of the literature. Gut 2002; 51: 746 – 7.
- 11.
Danse EM, Van Beers BE, Jamart J et al. Prognosis of ischemic colitis: Comparison of color Doppler sonography with early clinical and laboratory findings. Am J Radiol 2000; 175: 1151 – 4.
- 12.
Toursarkissian B, Thompson RW. Ischemic colitis. Surg Clin N Am 1997; 77: 461 – 8.
- 13.
Shirahama M, Ishibashi H, Onohara S et al. Colour Doppler ultrasound for the evaluation of bowel wall thickening. Br J Radiol 1999; 72: 1164 – 9.
- 14.
Danse EM, Laterre PF, Van Beers BE et al. Early diagnosis of acute intestinal ischemia: Contribution of colour Doppler sonography. Acta Chir Belg 1997; 97: 173 – 6.
- 15.
Dirkx CA, Gerscovich EO. Sonographic findings in methamphetamine-induced ischemic colitis. J Clin Ultrasound 1998; 26: 479 – 82.
- 16.
Teeffey SA, Raorke MC, Brinke JA et al. Bowel wall thickening: differentiation of inflammation from ischemia with color Doppler and duplex US. Radiol 1996; 198: 547 – 51.
- 17.
Kolmann C, Turetschek K, Mostbeck G. Amplitude-coded colour Doppler sonography: physical principles and technique. Eur Radiol 1998; 8: 649 – 56.
- 18.
Eriksen R, Qvigstad T. Ultrasonografi ved inflammatoriske tarmsykdommer – foreløpige erfaringer Tidsskr Nor Lægeforen 2002; 122: 2594 – 7.