Background.
Randomized controlled trials on acute necrotizing pancreatitis suggest that prophylactic antibiotics can reduce mortality and morbidity in these patients by preventing pancreatic infections.
Material and method.
Relevant articles were assessed using a clinical appraisal skills programme.
Results.
Eight trials have been published since 1990. The early trials showed that prophylactic antibiotics did reduce mortality and morbidity; however, errors of methodology weaken these results. In later trials results have varied: in September 2004, Isenmann et al. published a trial with a greatly improved design and found no effect of prophylactic antibiotics compared to antibiotic treatment on demand.
Interpretation.
Based on the results obtained so far, the evidence is not yet strong enough to recommend prophylactic antibiotics in acute necrotizing pancreatitis. There is still a need for a new, larger, multicentre study that pays careful attention to all aspects of the condition, for instance diagnosis and treatment of abdominal compartment syndrome, and guidelines for method and time of surgery.
Pasientar med akutt pankreatitt viser stor klinisk variasjon. Om lag 20 % av pasientane får akutt nekrotiserande pankreatitt. Mortaliteten blant desse er 15 – 30 % (1). Infiserte nekrosar i eller rundt pancreas er vist å vere den viktigaste prognostiske faktoren for desse pasientane (2). Overlevande pasientar har god livskvalitet trass i manglar i eksokrin og endokrin funksjon (3). Pasientane krev ofte langvarig og kostbar intensivbehandling, og gevinsten ville vere stor viss ein medikamentelt kunne førebyggje infiserte nekrosar.
Målet med denne studien har vore å finne litteratur om emnet og vurdere graden av bevis som føreligg per september 2004.
Materiale og metode
Litteraturdatabasane Ovid Medline og the Cochrane library vart gjennomgått med søkeorda «acute necrotizing pancreatitis», «antibiotics», «carbapenem», «imipenem» og «RCT». Siste søk er utført i september 2004.
Artiklane vart vurdert etter kriterium for kunnskapsbasert medisin. (Clinical Appraisal Skills Programme (CASP), Institute of Health Sciences, Oxford, England).
Sacketts «rules of evidence and clinical recommendations» (4) er blitt brukt for å gradere bevis (e-tab 1).
E-tabell 1
Sacketts gradering av svar på spørsmål om evidens (4)
| Gradering |
|
| A |
Støtta av minst ein, helst fleire, nivå I-studie |
| B |
Støtta av minst ein nivå II-studie |
| C |
Støtta av nivå III, IV eller V-studiar |
| Nivå av evidens |
|
| Nivå I |
Store, randomiserte studiar med klare resultat; lav risiko for falskt positive og falskt negative feil |
| Nivå II |
Små, randomiserte studiar med usikre resultat; moderat til høg risiko for falskt positive og falskt negative feil |
| Nivå III |
Ikkje randomiserte, samtidige kontrollar |
| Nivå IV |
Ikkje randomiserte, historiske kontrollar samt ekspertmeiningar |
| Nivå V |
Case-seriar, ukontrollerte studiar og ekspertmeiningar |
Det er sidan 1990 publisert åtte randomiserte studiar som tek for seg antibiotikaprofylakse ved akutt nekrotiserande pankreatitt. Det er også publisert ei rekkje oversiktsartiklar om emnet.
Studiane kan prinsipielt delast inn i tre grupper: Seks samanliknar tidleg og sein antibiotikabehandling hjå pasientar med etablert akutt nekrotiserande pankreatitt (5) – (10). Ein omhandlar antibiotika injisert direkte i den arterielle blodforsyninga til pancreas (11). Den siste studien samanliknar selektiv dekontaminasjon av mage-tarm-kanalen med standard intensivbehandling (12). Dei seks først nemnde vil bli gjennomgått her; dei to siste tek strengt tatt ikkje for seg antibiotikaprofylakse.
Resultat
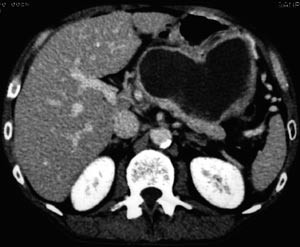
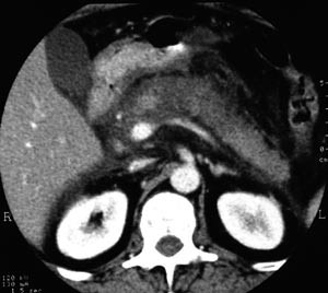
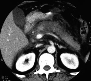
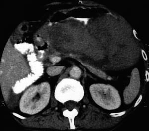
I tillegg til teksten er studiane vurdert systematisk i e-tabell 2 (5, 7) – (10, 12). Det vanlege inklusjonskriteriet i studiane er CT-påviste nekrosar i pancreas (fig 1 – 4) saman med klinisk akutt pankreatitt.
E-tabell 2
Kunnskapsbasert analyse av studiane
| Spørsmål |
Pederzoli et al (5) |
Delcenserie et al (7) |
Schwartz et al (8) |
Sainio et al (9) |
Nordback et al (10) |
Isenmann et al (6) |
| 1. Er det eit klart, fokusert mål for studien? |
Ja. «To perform a randomized, multicenter, clinical trial on imipenem prophylaxis in acute, necrotizing pancreatitis» |
Ja. «The aim of this study was to evaluate the necessity for prophylactic antibiotics in patients with severe acute pancreatitis» |
Ja. «To evaluate the effect of prophylactic administration of antibiotics to patients with ANP» |
Ja.«To find out whether clinical outcome for patients with acute alcohol-induced necrotizing pancreatitis can be improved by antibiotic treatment with cefuroxime started early on admission» |
Ja.«Does early treatment with antibiotics reduce the need for surgery in acute necrotizing pancreatitis?» |
«A double blind, placebo-controlled study (…) to investigate the effects of ciprofloxacin and metronidazole on the course and outcome of patients with predicted severe acute pancreatitis» |
| 2. Var pasientane randomiserte? |
Ja |
Ja |
Ja |
Ja. Nummererte konvoluttar |
Ja |
Ja, med blokkstorleik på 4 pasientar |
| 3. Vart alle pasientane som gjekk inn i studien skikkeleg gjort reie for ved utgangen av studien? |
Ja |
Kan ikkje seie |
Ja |
Nei |
Ja. Ekskluderte pasientar: Fem er for gamle, ein feil prosedyre, 26 ikkje store nok nekrosar |
Ja. 114 inkludert med «intention to treat», fem eksludert før dette, ingen etter. 76 av pasientane viste seg å ha akutt nekrotiserande pankreatitt |
| 4. Var pasientane, helsearbeidarane og studiepersonellet blinda? |
Nei |
Nei |
Nei |
Nei |
Nei |
Ja |
| 5. Var gruppene like ved starten av studien? |
Ja. Ranson-skåre 3,6 versus 3,7 |
Kan ikkje seie |
Ja. Ranson-skåre 4,5 versus 5 |
Ja. Tabell med viktige kriterium |
Kan ikkje seie. Det finst ikkje skåre for pasientane, t.d. Ranson, APACHE eller Imrie |
Ja. (Ranson-skåre, CRP, etiologi, alder, kjønn) |
| 6. Bortsett frå intervensjonen, vart gruppene behandla likt? |
Ja |
Kan ikkje seie |
Ja |
Ja |
Nei. Pasientar i behandlingsgruppa blir ikkje operert før fleire dagar etter at operasjonsindikasjon er nådd |
Ja |
| 7. Kor stor var behandlingseffekten? |
Pancreasrelatert sepsis: Fem pasientar (12,2 %) i behandlingsgruppa mot 10 (30,3 %) i kontrollgruppa Mortalitet: Fire (12 %) i behandlingsgruppa mot tre (7 %) i kontrollgruppa Behov for kirurgi: 11 (29 %) i behandlingsgruppa mot 12 (33 %) i kontrollgruppa Multiorgansvikt: 12 (39 %) i behandlingsgruppa mot 13 (29 %) i kontrollgruppa |
Sepsis: 0 % i behandlingsgruppa mot 58 % i kontrollgruppa Mortalitet: Ein i behandlingsgruppa mot tre i kontrollgruppa |
Sepsis: Fire pasientar (31 %) i behandlingsgruppa mot seks pasientar (46 %) i kontrollgruppa Mortalitet: 0 i behandlingsgruppa mot to i kontrollgruppa Nekrosar: 40 % av pancreas i begge grupper. Infiserte nekrosar: Etter mediantid 10 mot 9,5 dagar Klinisk forløp: APACHE-skåre dag 10 er gjennomsnitt 9,5 i behandlingsgruppa og 16 i kontrollgruppa |
Infeksiøse komplikasjonar: 20 pasienter i behandlingsgruppa mot 25 i kontrollgruppa.Majoriteten var urinvegsinfeksjonar, og insidensen av pancreasinfeksjon er lik (9 mot 12) Mortalitet: Ein pasient i behandlingsgruppa mot 7 i kontrollgruppa. Forfattaren argumenterer for å ekskludere to pasientar med tidleg dødsfall frå kontrollgruppa. Då blir resultatet ein mot fem Behov for kirurgi: Sju i behandlingsgruppa mot 14 i kontrollgruppa Tal dagar i sjukehus: 33,2 i behandlingsgruppa mot 43,8 dagar i kontrollgruppa. Gjennomsnittleg intensivavdelingsopphald er 12,7 mot 23,6 dagar |
Mortalitet: To av 25 pasientar i behandlingsgruppa. Fem av 33 pasientar i kontrollgruppa Behov for kirurgi: To av 25 i behandlingsgruppa, 14 av 33 i kontrollgruppa |
Ekstrapancreatisk infeksjon: 13 pasientar (22 %) i behandlingsgruppa mot 13 (23 %) i kontrollgruppa Infiserte nekrosar: Sju pasientar (12 %) i behandlingsgruppa mot fem (9 %) i kontrollgruppa Mortalitet: Tre pasientar (5 %) i behandlingsgruppa mot fire (7 %) i kontrollgruppa Behov for kirurgi: Ti pasientar (17 %) i behandlingsgruppa mot seks (11 %) i behandlingsgruppa Tal dagar i sjukehus (median): 21 i behandlingsgruppa mot 18 i kontrollgruppa Tal dagar på intensivavdeling (median): Åtte i behandlingsgruppa, seks i kontrollgruppa |
| 8. Kor presise er resultata? |
Sepsis: p < 0,01 Multiorgansvikt, behov for kirurgi, mortalitet: P = ikkje signifikant. Talet pasientar i studien, 74, er for lågt til å gi kraft |
Sepsis: P < 0,03 Mortalitet: P = ikkje signifikant. Talet pasientar i studien, 23, er for lågt til å gi kraft |
Infeksjon: P = ikkje signifikant, Nekrosar: P = ikkje signifikant, Mortalitet: P = ikkje signifikant, Klinisk forløp: P < 0,05. Talet pasientar i studien, 26, er for lågt til å gi kraft |
Infeksiøse komplikasjonar: P = ikkje signifikant for pancreatisk infeksjon, men P = 0,01 for infeksjonar sett under eitt Mortalitet: P = 0,028 Behov for kirurgi: Sju versus 14 pasientar, P = ikkje signifikant Sjukehusopphald: Ingen av desse funna er signifikante med mindre ein ekskluderer dei to pasientane som nemnt under «spørsmål 7, mortalitet». Då blir intensivopphaldet signifikant kortare for behandlingsgruppa. Pasienttalet er lågt, 60 |
Mortalitet: P = ikkje signifikant. Pasienttalet er lågt, 58 Behov for kirurgi: P = 0,003 |
Det er ikkje statistisk signifikant skilnad på behandlingsgruppa og kontrollgruppa med unntak av at fleire pasientar (26/56) i placebogruppa gjekk over til open antibiotikabehandling enn i behandlingsgruppa (16/58), p = 0,03 |
| 9. Kan resultatet av studien overførast til vår populasjon? |
Ja |
Nei. Det er kun pasientar med alkoholisk pankreatitt. I tillegg er behandlinga – ceftazidin, amikacin og metronidazol – ikkje optimal |
Usikkert. Pasientane er frå 24 til 82 år, og har både alkoholindusert og gallesteinsindusert pankreatitt. Antibiotikavalet er ikkje optimalt |
Nei. Berre med pasientar med alkoholindusert pankreatitt. Antibiotikavalet er ikkje optimalt. I tillegg kjem atypiske bakteriologiske funn og mange urinvegsinfeksjonar i kontrollgruppa |
Usikkert. Vi kan truleg overføre resultata til dei pasientane i vår populasjon som Nordback inkluderer |
Ja |
| 10. Vart alle klinisk viktige resultat tatt med i vurderinga? |
Ja. Sepsis, multiorgansvikt, behov for kirurgi, død |
Nei. Behov for kirurgi og multiorgansvikt manglar |
Nei. Behov for kirurgi manglar |
Ja |
Ja. Behov for kirurgi. Mortalitet. Effekt av antibiotika, sein mot tidleg. Behov for andre antibiotika enn imipenem. Store organkomplikasjonar |
Ja |
| 11. Er fordelane verd kostnader og skadeeffektar? |
Kan ikkje seie sikkert |
Kan ikkje seie sikkert |
Kan ikkje seie sikkert |
Kan ikkje seie sikkert |
Kan ikkje seie sikkert |
Nei |
Pederzoli og medarbeidarar (1993)
74 pasientar blir randomisert til tidleg imipenem 500 mg x 3 i to veker eller standard intensivbehandling. Denne studien viser nedgang i talet pasientar med pancreasrelatert sepsis og sepsis utan relasjon til pancreas. Det er inga statistisk signifikant endring i talet pasientar med multiorgansvikt, behov for kirurgi eller dødsfall.
Delcenserie og medarbeidarar (1996)
Studien inkluderer 23 pasientar med alkoholindusert pankreatitt. Her er inklusjonskriteria klinisk pankreatitt pluss to eller fleire væskeansamlingar. Difor har denne studien blitt utelukka frå somme metaanalyser. Behandlingsgruppa får ceftazidim, amikacin og metronidazol. Kontrollgruppa får berre standard intensivbehandling. Det er ingen statistisk signifikant reduksjon i mortalitet, men signifikant reduksjon i førekomst av sepsis.
Schwartz og medarbeidarar (1997)
Studien inkluderer 26 pasientar og samanliknar tidleg gitt ofloxazin og metronidazol med standard intensivbehandling. Antibiotika betrar det kliniske forløpet, registrert ved APACHE II-skåre, hos pasientar med påviste nekrosar på kontrast-CT. Pasientar som fekk antibiotika i gjennomsnitt vart betre etter ti dagar (APACHE II-skåre dag 1 – 5 – 10: 15 – 13,0 – 9,5) Pasientane i kontrollgruppa vart dårligare i same tidsrom (APACHE II-skåre: 11,5 – 15,0 – 16,0). Ein registrerte ingen innverknad på grad av infiserte nekrosar eller mortalitet. Behov for kirurgi blir ikkje registrert.
Sainio og medarbeidarar (1995)
60 pasientar med etylindusert akutt nekrotiserande pankreatitt vart randomisert til cefuroxim 1,5 g x 3 eller berre standard intensivbehandling med antibiotika ved behov. Sainio finn at tidleg cefuroxim reduserer førekomsten av sepsis og reduserer mortalitet.
Studien til Sainio har ein del svakheiter. Han inkluderer berre pasientar med etylutløyst akutt nekrotiserande pankreatitt, og berre sju er kvinner. Cefuroxim er ikkje verksamt mot ein del bakteriar ein vanlegvis finn i infiserte pancreasnekrosar, og er dårligare enn imipenem ved akutt nekrotiserande pankreatitt (13). Staphylococcus epidermidis er det vanlegaste bakteriefunnet hos pasientane, ein bakterie som er svært uvanleg i pancreasnekrosar, og som heller ikkje alltid er følsam for cefuroxim (14). Pasientane i kontrollgruppa har uvanleg høg førekomst av urinvegsinfeksjonar, 57 % mot normalt 20 % hos intensivpasientar (14).
På den andre sida viste Räty og medarbeidarar (15) at grampositive bakteriar var vanlegare hjå pasientar med etylindusert akutt nekrotiserande pankreatitt, medan gramnegative bakteriar oftast var å finne hjå pasientar med gallesteinspankreatitt. Kanskje heng bakteriefunnet saman med den spesielle pasientseleksjonen til Sainio.
Nordback og medarbeidarar (2001)
Nordback og medarbeidarar finn at tidleg behandling med imipenem 1 g x 3 og cilastatin reduserer organkomplikasjonar og behov for kirurgi samt halverer mortaliteten. 90 pasientar vart inkludert, 32 av desse vart ekskludert undervegs.
Studien har ein god design, men også denne studien har svakheiter. Dei pasientane som måtte leggjast rett på intensivavdeling grunna tidleg multiorgansvikt vart ekskluderte. Det same vart pasientar over 70 år. Det er med 51 menn og sju kvinner.
Kontrollgruppa fekk imipenem når det var indikasjon for kirurgi, så venta ein fem dagar før ein eventuelt opererte. Alle fem som måtte opererast døydde, noko som kan tyde på at ein lét det gå for lang tid før operasjon. Ni pasientar unngjekk på denne måten kirurgi. Dette overskuggar ikkje det faktum at ingen overlevde operasjonen, og det påverkar mortalitetsstatistikken i studien.
Trass i svakheitene: Til utvalde pasientar kan vi truleg overføre resultata frå studien.
Isenmann og medarbeidarar (2004)
I denne første placebokontrollerte, dobbeltblinde studien av behandling av akutt nekrotiserande pankreatitt finn Isenmann og medarbeidarar ingen reduksjon i førekomst av infiserte pancreasnekrosar ved 21 dagars profylaktisk behandling med ciprofloksacin og metronidazol. Studien har ein design som rettar opp mange feil frå tidlegare studiar. Det er også svært gode kliniske data om pasientane. Antibiotikavalet er godt (16). Mortaliteten i studien er lav (9,2 % av pasientane med påviste nekrosar).
Ein leiarartikkel i same utgåve av Gastroenterology rosar studien, men konkluderer med at spørsmålet om antibiotika enno ikkje er avklara.
Isenmann sin studie har også svakheiter. CT-påviste nekrosar er ikkje nødvendig for inklusjon, og 44 av pasientane vart inkludert på basis av CRP over 150 mg/l. Open antibiotikabehandling (imipenem er anbefalt i protokoll) blir initiert ved infeksjon, systemisk inflammatorisk respons-syndrom (SIRS) eller klinisk forverring. 26 av 56 pasientar i placebogruppa måtte skifte til slik behandling i forløpet, 16 av 58 pasientar i behandlingsgruppa. Slik kan bias oppstå ved at behandlingseffekt blir kamuflert. Fem av pasientane (26 %) fekk påvist infeksjon med staphylococcus epidermidis i pancreasnekrosar.
Den «vide» inklusjonen og antibiotikavalet gjer studien vanskeleg å samanlikne med andre. Studien gir gode argument for at målretta behandling ved behov (sepsis, multiorgansvikt, infeksjon) gir like godt resultat som profylaktisk antibiotika.
Diskusjon
Pankreatitt er ein sjukdom vi manglar full forståing av, og som kan ha eit raskt og dødeleg forløp. Prevalensen er lav, og det er vanskeleg å lage store nok studiar. Multisenterstudiar er vanlege. Vi har ingen gullstandard til å vise kor alvorleg forløpet vil bli.
Problemet med datagrunnlaget
Med unntak av studien til Isenmann er eit hovudproblem at studiane er for små. Vi veit for lite om pasientane på inklusjonstidspunktet. Ny kunnskap om abdominalt kompartmentsyndrom (ACS) hos pankreatittpasientar har gjort at ein er meir merksam på behov for tidleg kirurgi. Saggi og medarbeidarar (17) slår fast at abdominalt kompartmentsyndrom er endestadiet i ei progredierande, ukontrollert auke i intraabdominalt trykk som til sist fører til multiorgansvikt. Syndromet kan skuldast ei lang rekkje tilstandar, deriblant akutt pankreatitt.
Alvorleg intraabdominal hypertensjon må raskt avlastast, elles vil pasienten døy av påfølgjande multiorgansvikt. Lungesvikt og nyresvikt som følgje er vanleg. Minuttvolumet blir redusert grunna mindre venøs tilbakestraum og senka ventrikulært endesystolisk volum. Iskemisk skade på tarm aukar moglegheita for translokasjon av mikrobar og påfølgjande sepsis (17).
Det er altså store likskapar mellom den multiorgansvikten ein ser hos pasientar med alvorleg pankreatitt og hos pasientar med abdominalt kompartmentsyndrom. Det er nærliggjande å tru at ein del komplikasjonar til pankreatitt skuldast abdominalt kompartmentsyndrom. Viss så er tilfelle, er behandlinga i første omgang ikkje antibiotika, men trykkavlastning.
Desse aller sjukaste pasientane blir ofte ikkje inkludert i studiar. Difor kan vi heller ikkje trekke behandlingskonklusjonar om dei frå litteraturen. Ei retrospektiv registrering av slike pasientar ved Ullevål universitetssykehus finn det beste behandlingsresultatet i den gruppa som ikkje fekk antibiotika (Å.A. Fretland, innlegg ved norsk kirurgisk høstmøte, 2002).
Perspektivskilnader mellom studiane
På grunn av ulikskapane er det vanskeleg å lage metaanalysar. Dette er likevel blitt gjort, med konklusjon i favør av antibiotikaprofylakse (18). Oversiktsartiklar spriker meir i konklusjonen; Wyncoll og medarbeidarar (19) og Ihse og medarbeidarar (1) er negative til antibiotika, medan Baron og medarbeidarar (20) og Villatoro og medarbeidarar (21) er positive. Grunnsteinane i materialet er Sainio og medarbeidarar samt Nordback og medarbeidarar. Men å samanlikne desse er problematisk, då dei er ulike med tanke på både design og funn (tab 2, punkt 9). Isenmann og medarbeidarar er ikkje inkludert.
Skadeeffektar og biverknader av behandling
Karbapenem og fluorokinolon er dei antibiotika som har best penetrans av pancreas kombinert med breitt nok antibakterielt spektrum til å vere effektivt ved akutt nekrotiserande pankreatitt (16). Karbapenem blir ofte sett på som siste val i antibiotikasamanheng, både av kostnadsårsaker, biverknader og på grunn av stor økoskugge.
Det er uklart om imipenem aukar førekomsten av soppinfeksjonar hos pasientar. Ein norsk studie (O. Røkke, innlegg ved norsk kirurgisk høstmøte, 2002) konkluderer med at ein ikkje såg dette. Isenmann finn det motsette (22). Dette forblir usikkert, men viss det totale talet komplikasjonar er lågare hjå pasientar som blir behandla med imipenem, kan slik behandling forsvarast.
Den aukande resistensutviklinga, også mot imipenem, er også grunn til å vere tilbakehalden.
Kvifor blir spinkle data tolka så positivt?
Ti randomiserte studiar på antibiotikaprofylakse ved akutt nekrotiserande pankreatitt er gjennomført, inkludert to som førebels berre er publisert som abstrakt (O. Røkke, innlegg ved norsk kirurgisk høstmøte, 2002) (23). Effekten av antibiotikabehandling spriker i studiane, frå ingen effekt til mogleg reduksjon i mortalitet.
Kvifor tolkar review-forfattarar spinkle data så positivt? Det er ingenting som peikar i retning av upassande påverknad frå industrien. Er det ein aukande kultur for medikamentalisering i kirurgien? Er tanken på å unngå vanskeleg kirurgi ved å gi førebyggjande behandling ei drivkraft?
Kva må til i framtida?
Nordback hevdar at det ikkje er behov for nye studiar (10). Eg er ueinig i dette. Det er behov for ein studie som er stor nok og som brukar adekvat antibiotikabehandling. Det er kritisk at protokollen skildrar alle viktige sider av sjukdommen, til dømes korleis abdominalt kompartmentsyndrom skal påvisast og behandlast. Det same gjeld tidspunkt for og retningslinjer for metodeval ved kirurgi. Abdominalt kompartmentsyndrom kan ta livet av pasienten medan ein ventar på at antibiotika skal virke. Ein ny studie må eliminere denne feilkjelda. Det må stillast store krav til registrering av kliniske data om pasientane, så samanlikning blir mogleg. Det må spesifiserast om enteral (distalt for Treitz’ ligament) eller parenteral ernæring er brukt, då det førstnemnde er blitt vist å gi mindre bakteriell translokasjon (24).
Alle formalitetar må vere på plass, dvs. formell randomisering, ei konkret målsetjing og systematisk oppfølging og registrering av alle pasientane.
Det må også kunne seiast at det ikkje er behov for fleire små studiar av tidleg mot sein antibiotikabehandling. Skal ny forskingsinnsats gjerast, må ressursane samordnast så vi får studiar utan systemfeila som vi her peikar på.
Kva gjer vi no?
Studien til Isenmann og medarbeidarar gir gode argument for å vente med antibiotika til det er behov. Eit nytt materiale på tidleg behandling med meropenem som hittil kun er publisert som abstrakt, viser heller ingen effekt (23). Til det kjem ein avklarande studie kan det ikkje anbefalast å setje i gang tidleg antibiotikabehandling av pasientar med akutt nekrotiserande pankreatitt. Dette kan seiast med grad B av bevis etter Sacketts gradering.
Tolking
Jakta på den perfekt gjennomførte studien kan gå utover pasientane ved at vi ikkje torer å la verda gå framover.
Pasienten blir også skadelidande viss vi gir behandling som ikkje verkar, men som gir biverknader vi ikkje veit konsekvensane av. Bakgrunnen for kunnskapsbasert medisin er å førebyggje slik unødvendig liding. Viss kunnskapsbasert medisin skal styre behandlinga av pankreatitt, må nytt bevis leggjast fram før tidleg antibiotika blir standard behandling.
Oppgitte interessekonflikter: Ingen
Antibiotikaprofylakse er stadig meir brukt i behandlinga av akutt nekrotiserande pankreatitt
Bevisgrunnlaget for denne behandlinga er svakt, behovet for ein ny studie er stort
Det føreligg per i dag ikkje bevis for at antibiotikaprofylakse er effektivt ved akutt nekrotiserande pankreatitt
- 1.
Ihse I, Andersson R, Blind J et al. Guidelines for management of patients with acute pancreatitis. Läkartidningen 2000; 97: 2216 – 8.
- 2.
Gloor B, Muller CA, Worni M et al. Late mortality in patients with severe acute pancreatitis. Br J Surg 2001; 88: 975 – 9.
- 3.
Broome AH, Eisen GM, Harland RC et al. Quality of life after treatment for pancreatitis. Ann Surg 1996; 223: 665 – 70.
- 4.
Sackett DL. Rules of evidence and clinical recommendations on the use of antithrombotic agents. Chest 1989; 95 (suppl 2): 4S.
- 5.
Pederzoli P, Bassi C, Vesentini S et al. A randomized multicenter clinical trial of antibiotic prophylaxis of septic complications in acute necrotizing pancreatitis with imipenem. Surgery, Gynecology & Obstetrics 1993; 176: 480 – 3.
- 6.
Isenmann R, Runzi M, Kron M et al. Prophylactic antibiotic treatment in patients with predicted severe acute pancreatitis: a placebo-controlled, double-blind trial. Gastroenterology 2004; 126: 997 – 1004.
- 7.
Delcenserie R, Yzet T, Ducroix JP. Prophylactic antibiotics in treatment of severe acute alcoholic pancreatitis. Pancreas 1996; 13: 198 – 201.
- 8.
Schwarz M, Isenmann R, Meyer H et al. Antibiotic use in necrotizing pancreatitis. Results of a controlled study. Dtsch Med Wochenschr 1997; 122: 356 – 61.
- 9.
Sainio V, Kemppainen E, Puolakkainen P et al. Early antibiotic treatment in acute necrotising pancreatitis. Lancet 1995; 346: 663 – 7.
- 10.
Nordback I, Sand J, Saaristo R et al. Early treatment with antibiotics reduces the need for surgery in acute necrotizing pancreatitis – a single-center randomized study. J Gastrointest Surg 2001; 5: 113 – 8.
- 11.
Takeda K, Matsuno S, Sunamura M et al. Continuous regional arterial infusion of protease inhibitor and antibiotics in acute necrotizing pancreatitis. Am J Surg 1996; 171: 394 – 8.
- 12.
Luiten EJ, Hop WC, Lange JF et al. Controlled clinical trial of selective decontamination for the treatment of severe acute pancreatitis. Ann Surg 1995; 222: 57 – 65.
- 13.
Bassi C, Falconi M, Talamini G et al. Controlled clinical trial of pefloxacin versus imipenem in severe acute pancreatitis. Gastroenterology 1998; 115: 1513 – 7.
- 14.
Baudin F, Ozier Y. Early antibiotic treatment in acute necrotising pancreatitis. Lancet 1995; 346: 1374 – 5.
- 15.
Raty S, Sand J, Nordback I. Difference in microbes contaminating pancreatic necrosis in biliary and alcoholic pancreatitis. Int J Pancreat 1998; 24: 187 – 91.
- 16.
Buchler M, Malfertheiner P, Friess H et al. Human pancreatic tissue concentration of bactericidal antibiotics. Gastroenterology 1992; 103: 1902 – 8.
- 17.
Saggi BH, Sugerman HJ, Ivatury RR et al. Abdominal compartment syndrome. J Trauma 1998; 45: 597 – 609.
- 18.
Golub R, Siddiqi F, Pohl D. Role of antibiotics in acute pancreatitis: a meta-analysis. J Gastrointest Surg 1998; 2: 496 – 503.
- 19.
Wyncoll DL. The management of severe acute necrotising pancreatitis: an evidence-based review of the literature. Intensive Care Med 1999; 25: 146 – 56.
- 20.
Baron TH, Morgan DE. Acute necrotizing pancreatitis. N Engl J Med 1999; 340: 1412 – 7.
- 21.
Villatoro E, Larvin M, Bassi C. Antibiotic therapy for prophylaxis against infection of pancreatic necrosis in acute pancreatitis. Cochrane Database Syst Rev 2003: CD002941.
- 22.
Isenmann R, Schwarz M, Rau B et al. Characteristics of infection with Candida species in patients with necrotizing pancreatitis. World J Surg 2002; 26: 372 – 6.
- 23.
Spicak J, Hejtmankova S, Cech P et al. Antibiotic prophylaxis in severe acute pancreatitis: Randomized Multicenter Prospective Trial with Meropenem. Pancreatology 2003; 3: 220.
- 24.
Windsor AC, Kanwar S, Li AG et al. Compared with parenteral nutrition, enteral feeding attenuates the acute phase response and improves disease severity in acute pancreatitis. Gut 1998: 42; 431 – 5.