Background.
Actinic keratosis is a common sun-induced skin disease. For many years there has been a great deal of discussion of the term used for the disease and of its classification. Recent molecular studies indicate an association between actinic keratosis and squamous cell carcinoma.
Material and methods.
Review of recent reports on histological, molecular, biochemical and clinical findings in actinic keratosis and cutaneous squamous cell carcinoma.
Results and interpretation.
The morphology of atypical cells in both actinic keratosis and squamous cell carcinoma is identical. The risk of progression to squamous cell carcinoma is minimal, but up to 60 % of squamous cell carcinoma cases begin as actinic keratosis. Regression of actinic keratosis occurs when sun exposure is decreased. Examination of possible chromosome aberrations and gene mutations in both actinic keratosis and squamous cell carcinoma reveals similar patterns, including the same mutation in the tumour suppressor gene TP53. Recent studies indicate that actinic keratosis is the earliest manifestation of a potentially malignant disease similar to carcinoma in situ in cervix uteri. Thus, actinic keratosis requires careful diagnosis and follow up.
Aktinisk keratose er karakterisert ved proliferasjon av transformerte neoplastiske keratinocytter. De er begrenset til epidermis og er indusert av ultrafiolette stråler i sollys. Derfor kalles aktinisk keratose også solar keratose, som er den vanligste kliniske diagnosen og som beskriver hudforandringer med karakteristisk tekstur uten hensyn til biologiske eller histopatologiske forandringer. I 1926 karakteriserte Freudenthal lesjonen som keratoma senilis, mens Pinkus i 1958 gav den navnet aktinisk keratose, en betegnelse som fortsatt er i bruk (1). Det har vært mye diskusjon både om nomenklatur og om aktinisk keratose skal karakteriseres som benign, premalign eller malign (2) – (4).
I den senere tid har man fått mer grunnleggende kunnskap om cellebiologiske forandringer ved aktinisk keratose og plateepitelkarsinom. Denne oversiktsartikkelen er basert på aktuell forskningslitteratur og på egen forskning innen feltet.
Patogenese
I forhold til normale celler har de neoplastiske økt genetisk instabilitet som følge av kromosomforandringer. En viktig årsak til genetisk instabilitet i keratinocytter er UV-B-stråling (bølgelengde 290 – 320 nm) i sollys, men andre former for ioniserende stråling kan også ha betydning (5). Ved UV-B-stråling dannes tymidindimerer i DNA og RNA, noe som forårsaker genmutasjoner og induserer en neoplastisk transformasjon i keratinocyttene. Slike abnormaliteter kan påvises cytogenetisk. De antatt viktigste mutasjonene finnes i telomerasegenet og i tumorsuppressorgenet TP53. Mutasjoner i TP53-genet hemmer reparasjon av skadet DNA, noe som fremmer vekst av celler med endret DNA. Celler med mutant DNA er mer resistente mot apoptotisk celledød og kan ved videre celledeling akkumulere nye genskader, noe som forårsaker ukontrollert vekst og danner grunnlag for neoplastisk transformasjon.
Ved å sammenlikne resultatene i aktinisk keratose og plateepitelkarsinom finner man omtrent lik frekvens av TP53-mutasjoner i begge lesjonstyper (5, 6). Avhengig av karsinogenet kan TP53 være mutert i ulike kodoner, men UV- bestråling gir et spesifikt mutasjonsmønster som man finner både i aktinisk keratose og i plateepitelkarsinom i hud (2, 5, 7). I 2002 postulerte Mortier og medarbeidere hypotesen at en forutsetning for progrediering av aktinisk keratose til plateepitelkarsinom også involverer inaktivering av suppressorgenet p16 (8). Matriksmetalloproteinaser utgjør en genetisk familie av enzymer som bryter ned ekstracellulær matriks, som er viktig for progredieringen av neoplastiske lesjoner. Ved mRNA-analyser er det funnet overlapping av matriksmetalloproteinasetyper i plateepitelkarsinom og aktinisk keratose (9).
Ved å benytte statisk bildeanalyseteknikk er det vist at transformasjon fra aktinisk keratose til plateepitelkarsinom er forbundet med økt forekomst av DNA-aneuploide celler (10). Dette samsvarer med Sudbøs erfaring i munnslimhinne, hvor DNA-aneuploiditet predikerer risiko for utvikling av plateepitelkarsinom (11).
Klinisk presentasjon
Aktinisk keratose opptrer på soleksponert hud hos eldre mennesker, først og fremst på hodet, i ansiktet, på armer og på hender. Lesjonene er ofte lettere å palpere enn å se, og de fremtrer som ru, skjellende, lyse til rødbrune papler og plakk. Tykkelsen på lesjonen varierer fra atrofisk til hypertrofisk, størrelsen fra 1 mm til flere centimeter. Ofte ses multifokale forandringer.
Plateepitelkarsinomer med begynnende infiltrasjon kan klinisk være vanskelig å skille fra aktinisk keratose (12). Lys hud og betydelig soleksponering er viktige risikofaktorer, men andre faktorer, som kronisk immunsuppresjon, har også betydning. Det har vist seg at så mange som 25 % av aktiniske keratoser regredierer spontant om soleksponeringen opphører eller avtar, noe som skiller dem fra plateepitelkarsinomer (13).
Morfologiske holdepunkter for plateepitelneoplasi
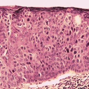
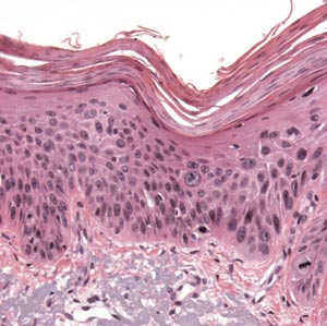
Aktinisk keratose har forskjellige presentasjonsformer. Lesjonen er begrenset til epidermis og gjenkjennes ved tap av cellenes polaritet, cytologisk atypi og enkelte mitoser (e-fig 1, fig 2, fig 3). De atypiske keratinocyttene finnes oftest nær basallaget (e-fig 1), men atypiske epitelceller kan også finnes i andre lag av epidermis når lesjonen progredierer (fig 2, fig 3). På overflaten er de atypiske keratinocyttene dekket av hyperkeratose og parakeratose, noe som gjør at epidermis blir fortykket når lesjonen blir mer avansert.
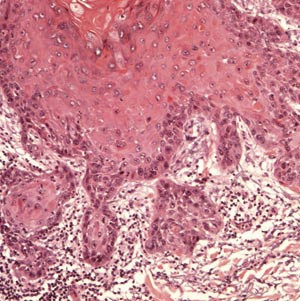
Grensen mellom dysplastiske og normale keratinocytter er ofte skarp. De atypiske keratinocyttene danner ofte tappformede nedvekster fra basallaget som kan gå over i svettekjertler og hårfollikler uten gjennomvekst av basalmembranen. De vanligste formene er atrofisk, hypertrofisk, bowenoid og lichenoid. Den atrofiske varianten har ofte lettere atypi, mens den hypertrofiske og den bowenoide er karakterisert ved grov atypi og manglende polaritet i hele epitelet, som ved cancer in situ. Bare manglende infiltrasjon gjennom basalmembranen skiller hypertrofisk og bowenoid form fra plateepitelkarsinom (fig 4).
Er aktinisk keratose et intraepitelialt plateepitelkarsinom?
Tanken at det ikke er noen vesentlig forskjell mellom aktinisk keratose og plateepitelkarsinom, bare tidsrelatert forskjell i progrediering av celleforandringer, er ikke ny (14). Den økte forekomsten av DNA-aneuploide celler i plateepitelkarsinom relatert til aktinisk keratose (10) og delesjon av suppressorgenet p16 i plateepitelkarsinom (8) støtter hypotesen om at aktinisk keratose er premalign. Mens de fleste definerer plateepitelkarsinom som en tumor som infiltrerer gjennom basalmembranen, klassifiserer Ackerman aktinisk keratose som et plateepitelkarsinom (15). Dette imøtegås av Fu & Cockerell og andre (16), som kaller aktinisk keratose for keratinocytisk intraepidermal neoplasi (KIN). I likhet med carcinoma in situ (CIN) i cervix uteri graderes den i tre nivåer. Etter denne klassifikasjonen er KIN I en flat rosa flekk på solskadet hud uten hyper- eller parakeratose. Histologisk viser keratinocyttene basalt og suprabasalt bare lett atypi. KIN II er karakterisert ved rosa til røde papler eller plakk med fokal proliferasjon av atypiske keratinocytter som hovedsakelig involverer de nedre to tredeler av epidermis. KIN III er rødlig, skjellende plakk eller papler som histologisk viser proliferasjon av grovt atypiske keratinocytter gjennom hele epidermis, i samsvar med vår definisjon av cancer in situ. Risikoen for progrediering til invasivt plateepitelkarsinom er avhengig av grad av soleksponering og hudtype og ses spesielt i KIN III eller den fortykkede, hyperkeratotiske eller bowenoide varianten. Aktinisk keratose er oftest multifokal, og den enkelte pasients risiko for karsinomutvikling øker med antall lesjoner.
Det er mange likhetstrekk mellom keratinocytisk intraepidermal neoplasi i hud og carcinoma in situ i cervix uteri (16, 17). Uansett KIN-grad vil opptil 25 % av aktiniske keratoser regrediere spontant om soleksponeringen reduseres eller opphører. Transformasjon til plateepitelkarsinom er rapportert hos 8 – 20 % av pasienter med ubehandlet aktinisk keratose, og risikoen er på under 1 % for den enkelte ubehandlede lesjon (14, 16) – (18). Det er vist at opptil 60 % av plateepitelkarsinomer i hud begynner som aktinisk keratose, 40 % oppstår de novo (19). Dette samsvarer godt med CIN-lesjoner i cervix uteri. De fleste slike lesjoner regredierer spontant, men da høygradig carcinoma in situ i cervix uteri behandles kirurgisk, er det få studier av ubehandlet CIN III, og ekspektativ behandling anses ikke som lege artis. I en prospektiv studie omkring ubehandlet CIN III, fulgt i opptil 28 år, fant McIndoe og medarbeidere at bare 22 % av lesjonene progredierte til invasivt karsinom, og en tredel regredierte (20).
Aktinisk keratose forekommer hyppig, og risikoen for å utvikle plateepitelkarsinom er liten. DNA-ploiditetsmåling av lesjoner som endrer tekstur og størrelse kan være et godt hjelpemiddel til å identifisere de lesjoner som med stor sannsynlighet vil progrediere til plateepitelkarsinom, tilsvarende slik det er ved lesjoner i munnslimhinnen (11). Dermed kan man iverksette profylaktiske tiltak før det oppstår et invasivt plateepitelkarsinom (21).
e-fig 1 finnes i artikkelen på www.tidsskriftet.no
Oppgitte interessekonflikter: Ingen
- 1.
Pinkus H. Keratosis senilis: a biological concept of its pathogenesis and diagnosis based on the study of normal epidermis and 1730 seborrhoic and senile keratoses. Am J Clin Pathol 1958; 29: 193 – 207.
- 2.
Cockerell CJ. Histopathology of incipient intraepidermal squamous cell carcinoma («actinic keratosis»). J Am Acad Dermatol 2000; 42: 11 – 7.
- 3.
Heaphy MR jr., Ackerman B. The nature of solar keratosis: a critical review in historical perspective. J Am Acad Dermatol 2000; 43: 138 – 50.
- 4.
Hurwitz RM. Solar keratosis: an evolving squamous cell carcinoma. Benign or malignant? Dermatol Surg 1995; 21: 183 – 7.
- 5.
Ortonne J-P. From actinic keratosis to squamous cell carcinoma. Br J Dermatol 2002; 146: 20 – 3.
- 6.
Lefell DJ. The scientific basis of skin cancer. J Am Acad Dermatol 2000; 42: 18 – 22.
- 7.
Park W-S, Lee H-K, Lee J-Y et al. p53 mutations in solar keratosis. Hum Pathol 1996; 27: 1180 – 4.
- 8.
Mortier L, Marchetti P, Delaporte E et al. Progression of actinic keratosis to squamous cell carcinoma of the skin correlates with deletion of the 9p21 region encoding the p16 (INK4a) tumor suppressor. Cancer Lett 2002; 176: 205 – 14.
- 9.
Tsukifuji R, Tagawa K, Hatamouchi A et al. Expression of matrix metalloproteinase-1,-2 and -3 in squamous cell carcinoma and actinic keratosis. Br J Cancer 1999; 80: 1087 – 91.
- 10.
Biesterfeld S, Pennings K, Grussendorf-Conen EI et al. Aneuploidy in actinic keratosis and Bowen’s disease – increased risk for invasive squamous cell carcinoma? Br J Dermatol 1995; 4: 557 – 60.
- 11.
Sudbo J, Kildal W, Risberg B et al. DNA content as a prognostic marker in patients with oral leukoplakia. N Engl J Med 2001; 344: 1270 – 7.
- 12.
Moy RL. Clinical presentation of actinic keratosis and squamous cell carcinoma. J Am Acad Dermatol 2000; 42: 8 – 10.
- 13.
Mittelbronn MA, Mullins DL, Ramos Caro FA et al. Frequency of pre-existing actinic keratosis in cutaneous squamous cell carcinoma. Int J Dermatol 1998; 37: 677 – 81.
- 14.
Lober BA, Lober CW. Actinic keratosis is squamus cell carcinoma. South Med J 2000; 93: 650 – 6.
- 15.
Ackerman AB. Solar keratosis is squamous cell carcinoma. Arch Dermatol 2003; 139: 216.
- 16.
Fu W, Cockerell CJ. The actinic (solar) keratosis. A 21st-century perspective. Arch Dermatol 2003; 139: 66 – 70.
- 17.
Schwartz RA. Premalignant keratinocytic neoplasms. J Am Acad Dermatol 1996; 35: 223 – 42.
- 18.
Lebwohl M. Actinic keratosis: epidemiology and progression to squamous cell carcinoma. Br J Dermatol 2003; 149: 31 – 3.
- 19.
Marks R, Rennie G, Selwood TS. Malignant transformation of solar keratoses to squamous cell carcinoma. Lancet 1988; 1: 795 – 7.
- 20.
McIndoe WA, McLean MR, Jones RW et al. The invasive potential of carcinoma in situ of the cervix. Obstet Gynecol 1984; 64: 451 – 8.
- 21.
Drake LA, Ceilley RI, Cornelison RL et al. Guidelines of care for actinic keratoses. J Am Acad Dermatol 1995; 32: 95 – 8.