Background
Most children with blunt splenic trauma are treated non-operatively. Controversy exists regarding the minimal hospital stay, follow-up imaging and length of activity restriction required after discharge.
Material and methods.
To evaluate outcome for this group of patients, a review was performed of children (age below 14) with blunt splenic injuries treated between January 2000 and December 2003.
Results.
Fifteen children were admitted with blunt splenic trauma, all were successfully treated non-operatively. Four patients were excluded from further analysis because of multiple injuries that prolonged their hospital stay or they were transferred to our institution more than six days after the accident. Median age was 8 years (range, 1 – 12). Median length of stay was 5 days (range, 3 – 8) including 0 days (range, 0 – 4) in the intensive care unit. Median numbers of follow-up ultrasound examinations were 2 (range, 0 – 4) with no influence on treatment. Reduced activity after discharge was advised for a median of 4 weeks (3) – (6). All patients had an uneventful recovery.
Interpretation.
Haemodynamically stable children with blunt splenic injuries can be treated non-operatively with short hospital stay and a few weeks of restricted activity after discharge. Routine follow-up imaging seems unnecessary.
Stumpe miltskader hos barn kan behandles ikke-operativt i om lag 90 % av tilfellene (1) – (5). Disse skadene er sjeldent forekommende i Norge. Dette medfører at de kirurgiske avdelinger får liten erfaring med behandling av denne pasientgruppen. Ut fra opplysninger gitt i forbindelse med henvendelser til Ullevål universitetssykehus, synes det å være store forskjeller i hvor lenge barn hospitaliseres etter isolerte miltskader. Hvor hyppig radiologiske undersøkelser utføres og i hvor lang tid pasientene pålegges restriksjoner i aktivitetsnivå etter skaden, synes også å variere betydelig. Vi ønsket derfor å presentere våre resultater med denne pasientgruppen sammenholdt med internasjonale erfaringer på området.
Materiale og metode
Fra sykehusets elektroniske pasientregister ble pasienter (< 14 år) med miltskade (kode S36.0 i ICD-10-klassifikasjonen) innlagt i Barnekirurgisk avdeling, Ullevål universitetssykehus, i perioden 1.1. 2000 til 31.12. 2003 identifisert. Data på den enkelte pasient ble deretter fremskaffet ved gjennomgang av journaler. Gradering av skaden ble utført retrospektivt ved gjennomgang av CT-undersøkelser fra alle pasientene basert på American Association for the Surgery of Trauma organ injury scale (6). Skadene graderes på en skala fra 1 til 5, der grad 5 er den alvorligste med fullstendig splintret eller devaskularisert milt.
Resultater
15 barn, yngre enn 14 år, med miltskade ble innlagt i Ullevål universitetssykehus i denne perioden. Alle pasientene ble vellykket ikke-operativt behandlet for miltskaden. Fire pasienter ble ekskludert fra videre analyse på grunn av multiple ledsagende skader som forlenget sykehusoppholdet, eller fordi de ble overflyttet hit mer enn seks dager etter skaden. Ledsagende skader som ikke influerte vesentlig på behandlingsopplegget, førte ikke til eksklusjon.
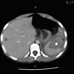
Av de resterende 11 pasientene var ni gutter og to piker. Hyppigste skademekanisme var fall (seks tilfeller), mens sykkelvelt og akeulykker var årsak i to tilfeller hver. Median alder ved innleggelse var åtte år (spredning 1 – 12). Median skadegrad av milt bedømt ved CT var 4 (spredning 3 – 4) (fig 1). En 12 år gammel pike ble hemodynamisk ustabil kort tid etter innkomst. Hun fikk transfusjonsbehandling, men var fortsatt ustabil og gjennomgikk deretter vellykket intervensjonsradiologisk embolisering av miltarterien. De øvrige pasientene var hemodynamisk stabile etter innleggelse. Median liggetid i sykehuset var fem døgn (spredning 3 – 8), hvorav null døgn (spredning 0 – 4) i overvåkningsavdeling. Mediant antall ultralydkontroller som ble utført i etterforløpet av miltskadene, var to (spredning 0 – 4). Resultatet av disse kontrollene viste begynnende eller fullstendig normalisering av milten. Anbefalt redusert aktivitetstid etter skaden var mediant fire uker (spredning 3 – 6), frem til en poliklinisk avsluttende kontroll. Det ble ikke registrert senblødninger eller andre komplikasjoner hos noen av pasientene.
Diskusjon
Det er mer enn 30 år siden de første rapporter om ikke-operativ behandling av stumpe miltskader hos barn ble presentert (7). Bakgrunnen for at denne behandlingsformen vant terreng, var både den økende forståelsen for miltens immunologiske betydning og erkjennelsen av at mange miltblødninger spontant hadde stoppet ved laparotomitidspunktet (8, 9). Ikke-operativ behandling av denne pasientgruppen er standard og kan gjennomføres hos om lag 90 % av pasientene (1) – (5).
Til tross for denne kunnskapen har det vært stor variasjon i behandlingen av barn med miltskade (1, 2, 5, 10, 11). Men i siste tiårsperiode har man demonstrert i større prospektive studier at pasienter med isolerte miltskader kan skrives ut etter noen dagers sykehusopphold (1) – (3). Behovet for intensivovervåkning og total liggetid i sykehus må vurderes i forhold til kliniske funn og skadegrad. Intensivovervåkning kan oftest begrenses til ett døgn, da tegn på hemodynamisk instabilitet eller annen behandlingstrengende skade intraabdominalt som regel er avklart i løpet av denne tiden (1) – (3). Dette var tilfelle hos den pasienten i vårt materiale som ble hemodynamisk ustabil etter innleggelse.
Siden risikoen for ruptur og blødning er svært liten lenger ut i forløpet, kan de fleste pasienter skrives ut med få ukers restriksjoner i vanlig fysisk aktivitet etter skaden (2, 3), som også vist i vårt materiale. Når risikoaktiviteter som for eksempel kontaktsport og skikjøring kan gjenopptas, bør vurderes individuelt avhengig av type aktivitet og pasientens alder (2).
CT vil ofte være den foretrukne modalitet ved primærutredning av stumpt abdominaltraume hos barn. På grunn av strålebelastningen CT-undersøkelsen representerer, bør indikasjonsstillingen være god. Skader av milten bedømmes internasjonalt ved vurdering av CT-bilder og graderes etter stigende alvorlighetsgrad etter den såkalte organ injury scale (6). Hemodynamisk stabile barn med isolert miltskade kan behandles ikke-operativt uavhengig av skadegrad bedømt radiologisk (1) – (4). I vårt materiale hadde vi kun alvorlige skader (grad 3 og 4) (fig 1), men ikke-operativ behandling lot seg likevel gjennomføre hos alle pasienter.
Ut over initial diagnostikk synes ikke radiologisk oppfølging å være nødvendig rutine (1) – (3). I vårt materiale influerte ikke noen av ultralydkontrollene tatt lenger ut i forløpet på behandlingsopplegget. Radiologisk kontroll forbeholdes pasienter med klinisk avvikende forløp (1, 2).
Konklusjon
Ikke-operativ behandling av stumpe miltskader hos barn kan gjennomføres med kort liggetid og med få uker med redusert aktivitet etter utskrivning. Rutinemessig radiologisk kontroll er ikke nødvendig.
Manuskriptet ble godkjent 19.4. 2005.
Oppgitte interessekonflikter: Ingen
De fleste miltskader hos barn skal behandles ikke-operativt
Behandlingen kan gjennomføres med kort liggetid og rask normalisering av aktivitetsnivået
- 1.
Gandhi RR, Keller MS, Schwab CW et al. Pediatric splenic injury: Pathway to play? J Pediatr Surg 1999; 34: 55 – 9.
- 2.
Stylianos S, the APSA Liver/Spleen Trauma Study Group. Compliance with evidence-based guidelines in children with isolated spleen or liver injury: A prospective study. J Pediatr Surg 2002; 37: 453 – 6.
- 3.
Leinwand MJ, Atkinson CC, Mooney DP. Application of the APSA evidence-based guidelines for isolated liver or spleen injuries: A single institution experience. J Pediatr Surg 2004; 39: 487 – 90.
- 4.
Lutz N, Mahboubi S, Nance ML et al. The significance of contrast blush on computed tomography in children with splenc injuries. J Pediatr Surg 2004; 39: 491 – 4.
- 5.
Mooney DP, Forbes PW. Variation in the management of pediatric splenic injuries in New England. J Trauma 2004; 56: 328 – 33.
- 6.
Moore EE, Cogbill TH, Jurkovich MD et al. Organ injury scaling: Spleen and liver (1994 revision). J Trauma 1995; 38: 323 – 4.
- 7.
Upadhyaya P, Simpson JS. Splenic trauma in children. Surg Gynecol Obstet 1968; 126: 781 – 90.
- 8.
Erakalis AJ, Kevy JV, Diamond LK et al. Hazards of overwhelming infection after splenectomy in childhood. N Engl Med 1967; 276: 1225 – 9.
- 9.
Ein SH, Shandling B, Simpson JS. Nonoperative management of traumatized spleen in children: How and why. J Pediatr Surg 1978; 13: 117 – 9.
- 10.
Mooney DP, Birkmeyer NJO, Udell JV et al. Variation in the management of pediatric splenic injuries in New Hampshire. J Pediatr Surg 1998; 33: 1076 – 80.
- 11.
Potoka DA, Schal LC, Ford HF. Risk factors for splenectomy in children with blunt splenic trauma. J Pediatr Surg 2002; 37: 294 – 9.