Background.
In 1992 we developed a specially designed Olmed screw for treatment of slipped capital femoral epiphysis. The segment of which the screw is threaded is shorter than a regular Olmed screw. In that way the threaded portion of the screw can be placed entirely within the epiphysis. This makes the shank of the screw smooth through the physis; the purpose of this is to allow continued growth in the neck of femur. The threads are reverse cutting to make the screw easier to remove.
Material and methods.
From 1992 to 2004, we treated 18 hips with slipped capital femoral epiphysis; all patients were treated percutaneously with in situ fixation. We have retrospectively reviewed the medical records and radiographs. Nine patients were reviewed clinically and radiographically after an average follow up of seven year and nine months.
Results.
There were no difficulties with the surgical procedure, including removal of the screw. No further slippage, avascular necrosis or chondrolysis occurred. Radiographs showed that the screw allows continued growth of the neck of femur. Most of the patients had decreased internal rotation, but few had symptoms at follow up.
Epiphysiolysis capitis femoris ble først beskrevet av Ambroise Paré i 1572 (1). Ved epiphysiolysis capitis femoris skjer det en glidning i fysen mellom caput femoris og metafysen. Insidensen er ca. to av 100 000, og gutter rammes noe hyppigere enn jenter (60 %) (2) – (5). Gjennomsnittsalder ved diagnose er 13,5 år for gutter og 12 år for jenter (2). I de aller fleste tilfeller er årsaken ukjent. Insidensen av bilateral affeksjon er i litteraturen 20 – 80 % (2, 4).
Ved lett og moderat epiphysiolysis capitis femoris er behandlingsmålet å unngå ytterligere glidning frem til fysen lukker seg. Alvorlige komplikasjoner som caputnekrose og kondrolyse må unngås. Økende feilstilling gir økt risiko for degenerativ hoftelidelse senere i livet (5).
Operativ fiksasjon er veletablert behandling, og mest utbredt er in situ fiksasjon med en kannulert skrue. I forhold til multiple pinner eller flere skruer, vil en skrue gi tilstrekkelig stabilitet hvis den er korrekt plassert (2, 6) – (8). Likeledes vil en skrue oppta mindre volum i epifysen, og det er mindre risiko for å plassere skruen i områder i epifysen hvor blodforsyningen til caput kan skades (9).
Ved de fleste tidligere behandlingsmetoder (fysiodese) var målet å fremskynde lukning av fysen, for på den måten å oppnå stabilitet og hindre ytterligere glidning (10). Dette har også vært anbefalt i nyere studier (8). Imidlertid er det ønskelig at behandlingen bidrar til redusert feilstilling. En sannsynlig forutsetning for remodellering av feilstilling er at fiksasjonen tillater fortsatt vekst i fysen (11, 12). Dette vil også til en viss grad kunne bidra til å redusere beinlengdeforskjell.
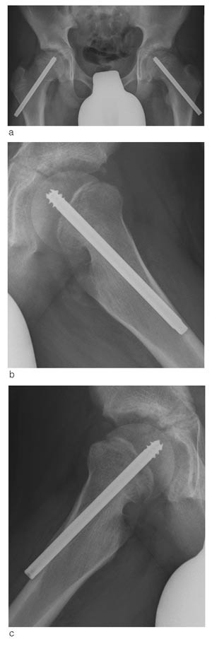
Vi fikk i 1992 spesialkonstruert en skrue som en modifisert Olmed-skrue (De Puy) og har siden da brukt denne rutinemessig ved epiphysiolysis capitis femoris. Målet var at skruen skulle kunne tillate fortsatt vekst i collum. Skruen har kortere gjengesegment enn vanlig Olmed-skrue som brukes til fractura colli femoris, for at hele gjengesegmentet kun skal stå i epifysen. Skruen er derfor glatt over vekstskiven, slik at den kan tillate fortsatt vekst i collum.
Det har tidligere vært til dels store problemer med å fjerne skruen (13, 14). For å redusere problemer med fjerning, er gjengene skjærende begge veier (fig 1, fig 2). Vi har med denne studien ønsket å kartlegge eventuelle problemer i tilknytning til operasjonsmetode både ved innsetting og ved fjerning av skruen, hvorvidt en skrue er tilstrekkelig i forhold til ev. ytterligere glidning og om det fortsatt skjer vekst i fysen. Videre har vi undersøkt forekomst av caputnekrose og kondrolyse og klinisk resultat ved oppfølging.
Materiale og metode
Fra 1992 til 2004 har vi behandlet 18 hofter med epiphysiolysis capitis femoris, ni gutter og fem jenter. Fire pasienter hadde bilateral affeksjon. Gjennomsnittsalder ved operasjon var 12 år (9) – (15) for gutter og 11,4 år (11) – (12) for jenter. Ingen pasienter er fiksert profylaktisk på den kontralaterale side. Collumskruen er fjernet etter at fysen har lukket seg, i gjennomsnitt etter 19 måneder ((12) – 36).
Vi har gjennomgått journaler og røntgenbilder retrospektivt. Ni pasienter er etterundersøkt klinisk og radiologisk med gjennomsnittlig oppfølgingstid sju år og to måneder (to år og sju md. – 11 år og ni md.).
Pasientene er operert på strekkbord under gjennomlysning, og det er brukt perkutan teknikk over ledepinne. Det er gjort fiksasjon in situ, dvs. det er ikke gjort aktivt forsøk på reponering, men enkelte er reponert spontant ved leiring på strekkbord. Vi har klassifisert klinisk mellom akutt og kronisk type, og mellom ustabil og stabil type. Ved akutt type har det vært symptomer under tre uker, mens det ved kronisk type har vært symptomer over tre uker. Ved ustabil type kan ikke pasienten gå, selv ikke med krykker. Ved stabil type kan pasienten gå med eller uten krykker. I vårt materiale var det to hofter som ble karakterisert som akutt/ustabil type og 16 som kronisk/stabil type.
Radiologisk har vi klassifisert mellom lett (glidning under 30°), moderat (glidning 30 – 50°) og alvorlig glidning (over 50°). I vårt materiale var det 13 hofter med lett glidning, tre med moderat glidning og ingen med alvorlig glidning.
Resultater
Ved gjennomgang av pasientjournaler er det ikke beskrevet spesielle problemer verken ved innsetting eller fjerning av collumskruen. Ingen pasienter har hatt spesielle plager fra den distale skrueende. Det har ikke vært tilfeller med malposisjon av skruen eller perforasjon av skruen til leddet. Man har ikke sett tegn til at skruens posisjon i epifysen har endret seg under behandling. Det er ingen tilfeller med caputnekrose eller kondrolyse.
Glidning
Vi har målt glidning i begge plan preoperativt og ved oppfølging hos 11 pasienter. I åtte av hoftene var glidningen redusert ved oppfølging. Glidningen var gjennomsnittlig redusert med 15° (5 – 30°). I de resterende tre hofter var glidningen uforandret (tab 1).
Tabell 1
Glidning målt røntgenologisk preoperativt og ved oppfølging
| Glidning preoperativt |
Glidning preoperativt |
Glidning ved oppfølging |
Glidning ved oppfølging |
||
| Kasus |
Side |
Frontplan |
Sideplan |
Frontplan |
Sideplan |
| 1 |
Venstre |
0 |
15 |
0 |
10 |
| 2 |
Venstre |
20 |
45 |
5 |
15 |
| 3 |
Venstre |
0 |
25 |
0 |
20 |
| 4 |
Høyre |
10 |
50 |
0 |
40 |
| Venstre |
5 |
25 |
5 |
25 |
|
| 5 |
Høyre |
0 |
25 |
0 |
5 |
| 6 |
Venstre |
0 |
20 |
0 |
20 |
| 7 |
Venstre |
0 |
15 |
0 |
15 |
| 8 |
Venstre |
0 |
15 |
0 |
10 |
| 9 |
Venstre |
0 |
30 |
0 |
0 |
| Høyre |
0 |
15 |
0 |
0 |
Fortsatt lengdevekst
For å se på hvorvidt det skjer en fortsatt lengdevekst i collum med denne fiksasjonen, har vi målt endring i distale skrueendes protrusjon ved laterale cortex, artikulotrokantær avstand samt collumlengde ved operasjon og ved oppfølging.
Vi har målt distale skrueendes protrusjon ved laterale cortex i ti hofter. Gjennomsnittlig er den redusert med 0,53 cm per år (fig 3). Dette kan kun delvis forklares med økt bredde av femur ved økt vekst. Femurs bredde ved skruens distale ende har vi målt i seks hofter og gjennomsnittlig har femurs bredde ved laterale cortex økt med 0,17 cm per år.
Hos seks pasienter har vi målt artikulotrokantær avstand og collumlengde på frisk og affisert side ved operasjon og ved oppfølging. Den artikulotrokantære avstand er uendret på den kontralaterale friske side (2,3 cm). På affisert side har artikulotrokantær avstand gjennomsnittlig sunket med 0,5 cm (2,3 – 1,8 cm). Collumlengden har økt både på den kontralaterale friske side og på affisert side med gjennomsnittlig 0,6 cm: På affisert side i gjennomsnitt 8,9 – 9,5 cm, og på den kontralaterale friske side i gjennomsnitt 9,3 – 9,9 cm.
Klinisk resultat
Vi har etterundersøkt ni pasienter klinisk. Seks av disse har redusert innadrotasjon. To pasienter har lite eller ingen symptomer, mens en pasient har moderate symptomer. De resterende seks har ingen kliniske plager (tab 2).
Tabell 2
Klinisk resultat ved oppfølging
| Kasus |
Innadrotasjon (grader) frisk/syk hofte |
Symptomer |
Oppfølgingstid |
| 1 |
55/30 |
Få eller ingen symptomer |
11 år, 9 måneder |
| 2 |
50/50 |
Ingen symptomer |
11 år, 4 måneder |
| 3 |
50/30 |
Få eller ingen symptomer |
10 år, 7 måneder |
| 4 |
50/40 |
Ingen symptomer |
9 år, 1 måneder |
| 5 |
0/10 (bilateral affeksjon) |
Ingen symptomer |
6 år, 10 måneder |
| 6 |
35/0 |
Moderate symptomer |
5 år, 10 måneder |
| 7 |
30/30 |
Ingen symptomer |
4 år, 9 måneder |
| 8 |
35/20 |
Ingen symptomer |
2 år, 11 måneder |
| 9 |
50/50 |
Ingen symptomer |
2 år, 7 måneder |
Diskusjon
Dette er en retrospektiv undersøkelse med et lite antall pasienter. Vi har derfor ikke forsøkt å se på hvorvidt resultatene er signifikante. Videre er det ved retrospektiv gjennomgang av røntgenbilder en svakhet at projeksjonene kan være forskjellige. Fjerning av skruen har tidligere vært forbundet med til dels store problemer (13, 14). I vårt materiale har det ikke vært spesielle problemer eller komplikasjoner tilknyttet metoden verken ved innsetting eller fjerning av skruen, og det at gjengene er skjærende begge veier, bidrar til å lette fjerningen. Ingen tilfeller av kondrolyse eller caputnekrose er sett.
Klinisk har de fleste pasienter ved oppfølging nedsatt innadrotasjon, men det er få av pasientene som har symptomer. Dette samsvarer med tidligere studier (15, 16). Ingen pasienter har hatt plager fra distale skrueender. At protrusjonen av distale skrueender reduseres med fortsatt vekst, kan bidra til dette. Det har ikke forekommet ytterligere glidning i noen av hoftene, noe som kan tolkes som tegn på at denne fiksasjonen gir adekvat stabilitet. Dette er i overensstemmelse med øvrig litteratur (2, 6) – (8). Det er ikke sett tegn til at skruens posisjon i epifysen har endret seg under behandling.
Vi ser at protrusjonen av distale skrueender ved den laterale cortex reduseres, og vi ser også at collumlengden øker. Dette tolker vi som tegn på at den spesialkonstruerte collumskruen tillater fortsatt vekst av collum. Hos de fleste av pasientene har feilstillingen bedret seg under behandlingen, og dette kan tyde på at den fortsatte veksten bevirker remodellering av feilstillingen. Guzzanti og medarbeidere (13) fant i sin studie fra 2004 at man oppnår fortsatt vekst av collum og remodellering av feilstilling ved bruk av en modifisert kannulert AO-skrue (kortere gjengesegment). Likeledes fant Hansson i sin studie fra 1982 (17) at en Hook-pin som er glatt over vekstskiven tillater fortsatt vekst i collum. I vårt materiale har behandling av epiphysiolysis capitis femoris med en spesialkonstruert collumskrue gitt gode resultater med lite komplikasjoner.
Manuskriptet ble godkjent 7.9. 2005.
Oppgitte interessekonflikter: Ingen
- 1.
Paré A. De la fractvre faite pres la iointvre dvdit os. I: Clinq livres de chirurgie. Paris, 1572. Gjengitt i: Malgaigne JF. Oeuvres completes d’Ambroise Paré. Bd. 13, kap. 21. Paris, 1840.
- 2.
Loder RT, Aronsson AD, Dobbs MB et al. Slipped capital femoral epiphysis. J Bone Joint Surg 2000; 82: 1170 – 88.
- 3.
Uglow GM, Clarke MN. The management of slipped capital femoral epiphysis. J Bone Joint Surg 2004; 86: 631 – 5.
- 4.
Busch MT, Morrissy RT. Slipped capital femoral epiphysis. Orthop Clin North Am 1987; 18: 637 – 7.
- 5.
Hansson LI, Hagglund G, Ordeberg G. Slipped capital femoral epiphysis in southern Sweden 1910 – 1982. Acta Orthop Scand Suppl 1987; 226: 1 – 67.
- 6.
Jerre R, Karlsson J, Romanus B et al. Does a single device prevent further slipping of the epiphysis in children with slipped capital femoral epiphysis. Arch Orthop Trauma Surg 1997; 116: 348 – 51.
- 7.
Morrissy RT. In situ fixation of chronic slipped capital femoral epiphysis. Instr Course Lect 1984; 33: 319 – 27.
- 8.
Laplaza FJ, Burke SW. Epiphyseal growth after pinning of slipped capital femoral epiphysis. J Pediatr Orthop 1995; 15: 357 – 61.
- 9.
Brodetti A. The blood supply of the femoral neck and head in relation to damaging effects of nails and screws. J Bone Joint Surg 1960; 42: 794 – 801.
- 10.
Heyman CH, Herndon CH. Epiphyseodesis for early slipping of the upper femoral epiphysis. J Bone Joint Surg 1954; 36: 539 – 55.
- 11.
Guzzanti V, Falciglia F, Stanitski CL. Slipped capital femoral epiphysis in skeletally immature patients. J Bone Joint Surg 2004; 86: 625 – 780.
- 12.
Jones JR, Paterson DC, Hillier TM et al. Remodelling after pinning for slipped capital femoral epiphysis. J Bone Joint Surg 1990; 72: 568 – 73.
- 13.
Crandall DG, Gabriel KR, Akbarnia BA. Second operation for slipped capital femoral epiphysis: Pin removal. J Pediatr Orthop 1992; 12: 434 – 7.
- 14.
Vresilovic EJ, Spindler KP, Robertson WW et al. Failures of pin removal after in situ pinning of slipped capital femoral epiphysis: a comparison of different pin types. J Pediatr Orthop 1990; 10: 764.
- 15.
Bellemans J, Fabry G, Molenaers G et al. Slipped capital epiphysis: a long-term follow-up, with special emphasis on the capacities for remodelling. J Pediatr Orthop 1996; 5: 151 – 7.
- 16.
Jerre R, Billing L, Karlsson J. Loss of hip motion in slipped capital femoral epiphysis: a calculation from the slipping angle and the slope. J Pediatr Orthop 1996; 5: 144 – 50.
- 17.
Hansson LI. Osteosynthesis with the Hook-pin in slipped capital femoral epiphysis. Acta Orthop Scand 1982; 53: 87 – 96.