Background.
Conventional small bowel enteroclysis is considered the principal radiological method to investigate the small bowel. However, the method has important limitations and magnetic resonance imaging (MRI) has been introduced as an alternative.
Material and methods.
This review is based on the literature and our clinical experience.
Results and interpretation.
There are two main methods for MRI examination of the small bowel. One method uses a tube placed in the jejunum prior to the MRI examination and the other uses simple oral administration of contrast media. These methods are both shown to be as good as conventional X-ray examinations of the small bowel when used for follow up of patients with Crohn’s disease. However, the resolution in MRI of the small bowel is insufficient to depict small superficial lesions. MRI should therefore be used as the preferred radiological method for follow up of patients with known Crohn’s disease. When the primary diagnosis is not known, MRI should be used only as a supplement to more extensive investigations.
Røntgen tynntarm med sonde har hittil representert gullstandard for radiologiske undersøkelser av denne kroppsdelen, men det er viktige begrensninger med metoden. Den gir god fremstilling av tarmlumen og slimhinnen, men ikke av dypere strukturer. Videre kan det være vanskelig å få en fremstilling av alle tarmslyngene pga. overprojeksjon. Metoden innebærer dessuten strålebelastning for pasient og undersøker. Det er derfor behov for nye undersøkelsesmetoder. MR-undersøkelser av tynntarmen er blitt mulig pga. nye, raske hold pusten-sekvenser og store overflatespoler. Ulike teknikker og kontrastmidler er tatt i bruk for å få spilt ut tynntarmsslyngene før undersøkelsen. De nye MR-sekvensene og teknikkene gjør MR til et godt alternativ ved tynntarmsundersøkelser. MR kan vise tarmperistaltikken og gir en fremstilling av tynntarmen og strukturene utenfor. Metoden innebærer også mindre eller ingen røntgenstrålebelastning.
Hensikten med denne artikkelen er å redegjøre for de ulike teknikkene som blir benyttet ved MR-undersøkelse av tynntarm. Vi gir en oversikt over etablerte og mulige fremtidige indikasjoner for denne undersøkelsen.
Metode
Artikkelen er basert på egne erfaringer og litteratursøk i Embase og Medline. Det er søkt etter aktuell litteratur fra perioden 1999 – 2005 med søkeordene «magnetic resonance imaging», «small bowel», «Crohn’s disease» og «intestinal diseases». Fra disse søkeresultatene har vi inkludert prospektive studier der man sammenliknet MR av tynntarm med konvensjonelle røntgenmetoder og endoskopi, artikler der bruk av MR ved andre tynntarmssykdommer omtales og studier som bidrar til metodeutvikling.
MR-teknikk
MR-undersøkelser av tynntarm ble tidligere ikke gjort pga. bevegelsesartefakter fra tarmperistaltikken. Optimal MR-fremstilling krever raske sekvenser som alene eller i kombinasjon med peristaltikkdempende medikamenter gir god bildekvalitet. Moderne MR-maskiner bruker ulike nye teknikker som gradientekko og rask spinnekko samt parallell datainnsamling fra flere antenner for å oppnå dette (e-tab 1). Standardsekvenser ved MR av tynntarm er først en rask T2-vektet spinnekkosekvens (SST2WTSE) med et tykt snitt av tynntarmen som gjentas dynamisk. Dette gir god fremstilling av den væskefylte tynntarmen og eventuelle stenoser. Sekvensen kalles også for «MR-fluoroskopi», og bildene likner på konvensjonelle røntgenbilder av tynntarm.
Tabell 1
Sekvensvariabler ved MR av tynntarm. Philips Intera 1,5 T
| Variabler |
SS T2W TSE FS Fluoroskopi |
SS T2W TSE |
B-FFE |
3D THRIVE FS Pre + post intravenøs kontrast |
| Orientering |
Koronal |
Aksial/koronal |
Aksial/koronal |
Koronal (+ aksial rekon- struksjon) |
| Snittykkelse |
80 mm |
7 mm |
4 mm |
1 mm (5 mm) |
| FOV (mm) |
400 x 400 |
300/375 x 375 |
300/400 x 400 |
364 x 405 |
| Matriks |
210 x 256 |
80/98 x 256 |
400 x 400/469 x 256 |
208 x 256 |
| TR (ms) |
– |
– |
6 |
4,3 |
| TE (ms) |
1 100 |
80 |
3 |
2,1 |
| Flippvinkel |
90 |
90 |
70 |
15 |
| SekvensnavnSiemens:GE: |
RARE SS FSE |
HASTE SS FSE |
TrueFISP FIESTA |
VIBE FS 3D FSPGR FS |
Deretter anvendes en SST2WTSE-sekvens med tynne snitt fortløpende gjennom tynntarmen. Dette gir en T2-vektet oversikt av anatomiske og patologiske forhold. Ulempen med denne sekvensen er begrenset oppløsning i bildet pga. raskt signaltap. Små forandringer i tarmveggen fremstilles derfor ikke.
For å fremstille veggforandringer som ulcus og fistel anvendes en blandet T1- og T2-vektet gradientekkosekvens (B-FFE). Denne gir ikke signaltap på samme måte som ved SST2WTSE, og bildene får bedre oppløsning. Sekvensen krever et svært homogent magnetfelt, og det er vanskelig å oppnå ved store undersøkelsesfelter. Ulempen med denne sekvensen er derfor en del bildeartefakter.
Til slutt brukes en T1-vektet gradientekkoteknikk med fettsuppresjon før og etter intravenøs kontrast. Her fremstilles patologisk kontrastoppladning i tarmvegg og lymfeknuter. Kontrastserien brukes også til å vurdere ev. abscessforandringer. Hele MR-undersøkelsen tar 30 – 45 minutter.
MR av tynntarm med sonde
En viktig forutsetning for radiologisk fremstilling av tynntarmen er at tarmslyngene er utspilt. Hvis tynntarmen har falt sammen, kan patologiske tilstander overses. Én MR-metode innebærer nedleggelse av sonde til tynntarmen og installasjon av væske i denne (1) – (6). Væsken vil vanligvis være tilsatt et stoff som hindrer absorpsjon. Undersøkelsen starter med at pasienten får lagt ned en sonde til proksimale tynntarm på et gjennomlysningslaboratorium. Sonden blir lagt forbi Treitz’ ligament. Den har en ballong distalt som hindrer refluks til ventrikkelen. Deretter fortsetter undersøkelsen på MR-laboratoriet. Pasienten ligger i bukleie i magneten. Sonden kobles til en pose med væske. Væskeinfusjonen starter ved hjelp av manuell installasjon og overvåkes med MR-fluoroskopi (fig 1). Når høyre colonhalvdel er godt væskefylt, stoppes væskeinstallasjonen og man starter de øvrige sekvensene.
Pasienten må faste i åtte timer før undersøkelsen, ellers er det ingen forberedelser. Kontraindikasjoner er ileus, mistanke om perforert tarm, toksisk kolitt og vanlige kontraindikasjoner for MR.
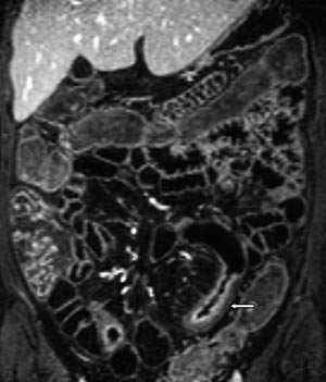
Bruk av sonde gir god utvidelse av både jejunum og ileum (fig 2). Duodenum blir vanligvis ikke fylt med væske fordi sondeballongen hindrer refluks. Av og til vil heller ikke proksimale jejunum bli fremstilt fordi sonden vandrer i distal retning. Den største ulempen med metoden er likevel nedleggelsen av sonden. Pasientene opplever dette som ubehagelig, og prosedyren innebærer fortsatt noe strålebelastning. Det er derfor stor interesse for MR-undersøkelse av tynntarm med oral kontrast.
MR av tynntarm med oral kontrast
Pasienten drikker en væskeløsning med et tilsetningsstoff som hindrer absorpsjon og ev. trekker væske ut i tarmlumen. Det er prøvd mange ulike tilsetningsstoffer (7) – (13). Løsningen inntas jevnt fordelt i timen før undersøkelsen. Deretter blir den gjennomført med samme sekvenser som ved MR-undersøkelse av tynntarm med sonde.
Vi anbefaler at pasienten ikke spiser, men drikker rikelig de siste fem timene før MR-undersøkelsen. For øvrig er det ingen forberedelser. Kontraindikasjoner er ileus, mistanke om tarmperforasjon og vanlige kontraindikasjoner for MR. I tillegg er det viktig at pasienten ikke er dehydrert eller har elektrolyttforstyrrelser.
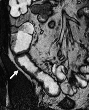
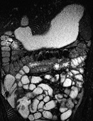
Vår erfaring med MR av tynntarm med oral kontrast er at metoden gir en god utvidelse av ileum. Bulbus duodeni er også ofte væskefylt, men det er vanskeligere å få resten av duodenum og proksimale jejunum optimalt utvidet (fig 3). En annen ulempe med MR av tynntarm med oral kontrast er ventrikkelretensjon (fig 4). Dette hemmer væskefylling av tarmen, og pasientene kan bli kvalme.
Kontrastmidler
Midler for tarmlumen
Det er prøvd mange ulike kontrastmidler både ved sonde- og ved drikketeknikken. Felles for disse er at de inneholder tilsetningsstoffer som hemmer absorpsjon av væske i tynntarmen. Ved MR-undersøkelse av tynntarm med sonde brukes ofte vann i kombinasjon med polyetylenglykol.
MR av tynntarm med oral kontrast utføres også på ulike måter. Ved Ullevål universitetssykehus har vi undersøkt barn og unge med mannitol. Dette har vist at et væskevolum på 300 ml med 45 g mannitol er tilstrekkelig for å få en utmerket utspiling av tarmen. Flere andre grupper har også brukt mannitol (11). I disse studiene har væskemengden variert fra 1 l til 1,5 l og mannitolmengden fra 25 g til 45 g. Hva som er optimalt tilsetningsstoff, mengde av dette og væskemengde, er det ikke enighet om. Studier vi har gjort, har vist at bildekvaliteten ble bedre med økende osmolalitet (12, 13). Imidlertid er det påvist en overbevisende doserespons mellom osmolalitet og graden av bivirkninger, først og fremst en forbigående diaré (13). Mengde tilsetningsstoff blir derfor en avveining mellom bildekvalitet og bivirkninger. Som en konsekvens av dette har vi valgt å øke mannitoldosen noe til voksne, vi gir nå 60 g mannitol i 1 l væske.
Ved nedbrytning av mannitol i tykktarmen dannes det metan og hydrogen. Dette er lettantennelige gasser, og mengden må reduseres før colonkirurgi eller bruk av diatermi i colon. Henvisende lege må informeres om dette.
Intravenøse midler
Intravenøs gadolinium brukes rutinemessig ved MR-undersøkelse av tynntarm. Normal tarmvegg er 2 – 3 mm tykk og lader opp etter intravenøs kontrast. Patologisk tarmvegg med inflammatoriske forandringer tar opp enda mer kontrast. Dette gjør at patologisk tarmvegg «lyser» opp på kontrastserien. Intravenøs kontrast er også nyttig ved spesielle problemstillinger, som abscess og fistel.
Indikasjoner for MR av tynntarm
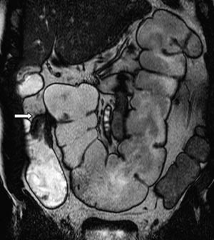
Vanlige MR-funn ved Crohns sykdom er fortykket tarmvegg (fig 5). Mer overflatiske forandringer i slimhinnen blir ikke optimalt fremstilt, men dypere ulcuser blir fremstilt, og dette er tegn på aktiv inflammasjon (fig 6). Både fibrose og aktiv inflammasjon i tarmveggen lader opp etter intravenøs kontrast. Det typiske for aktiv inflammasjon er en kraftig og lagdelt kontrastoppladning (fig 7), men den kan også være mer homogen.
Vår erfaring med MR av tynntarm skriver seg i hovedsak fra undersøkelser av pasienter med Crohns sykdom. Det finnes flere studier der man har sammenliknet MR av tynntarm med sonde og røntgen tynntarm med sonde med kliniske funn hos pasienter med denne sykdommen (1) – (6). Disse studiene viser at MR-undersøkelse er like bra som konvensjonell tynntarmsrøntgen for fremstilling av dype ulcuser og stenoser. Sensitiviteten var 100 % og spesifisiteten 75 % for fremstilling av dype ulcuser (3). Stenose ble påvist med en sensitivitet og en spesifisitet på 100 % (2, 3). Forandringer utenfor tarmen, som abscess og fistel, ble påvist i større grad med MR enn med konvensjonell røntgen og med en sensitivitet på henholdsvis 80 % og 70 % (4). I en studie fra 2004 ble MR-funn og røntgenfunn proksimalt for terminale ileum sammenliknet hos pasienter med kjent Crohns sykdom i colon eller terminale ileum (6). Det var samme funn i terminale ileum hos 23 av 25 pasienter med MR og med endoskopi. Ved hjelp av MR ble det påvist flere lesjoner proksimalt for terminale ileum enn det som ble påvist med konvensjonell røntgen. Overflatiske ulcuser er vanskelig å fremstille på MR pga. for lav bildeoppløsning. Disse fremstilles bedre med konvensjonell røntgen av tynntarm med sonde (3).
Tilsvarende sammenlikninger er også gjort for MR av tynntarm med oral kontrast og røntgen av tynntarm med enkeltkontrast hos pasienter med Crohns sykdom (7, 8). Funnene her viste også godt samsvar. I en studie sammenliknet man MR av tynntarm med sonde, røntgen tynntarm med sonde og MR av tynntarm med oral kontrast med kliniske funn hos 25 pasienter (9). Man fant at begge MR-metodene påviste veggforandringer, fistler og stenoser i like stor grad. Dette indikerer at sonde ikke er nødvendig ved kontroll av pasienter med allerede diagnostisert Crohns sykdom (14).
Pasienter med cøliaki er også blitt undersøkt med MR av tynntarm. Undersøkelsene har vist typiske forandringer, som reduksjon av antall folder i jejunum og økning av antall folder i ileum. Formålet med undersøkelsen har vært å påvise komplikasjoner som invaginasjon eller stenoser (10). Metoden har også vært brukt ved mistanke om tumor i tynntarmen (15). MR vil også vise tumors utbredelse utenfor tarmen, og undersøkelsen kan derfor, i de tilfeller hvor tumor infiltrerer omkringliggende vev, bidra til en raskere diagnose.
Anbefalinger
Med bakgrunn i litteraturgjennomgang og egne erfaringer vil vi anbefale at konvensjonell tynntarmsrøntgen fortsatt benyttes ved primærdiagnostikk ved mistanke om tynntarmssykdom der primærsykdommen ikke er kjent, fordi overflatiske slimhinnelesjoner ikke fremstilles med MR av tynntarm. MR vil likevel kunne benyttes som del av en større utredning hos disse pasientene. Det er gode holdepunkter for å anbefale MR av tynntarm som førstevalg ved oppfølging av pasienter med etablert Crohns sykdom, for å vurdere utbredelsen av sykdommen og komplikasjoner som fistler og abscesser. MR-undersøkelse er også aktuelt ved oppfølging av pasienter med aktiv inflammasjon i tynntarmen, for å vurdere effekt av behandlingen ved å kontrollere at tegn på aktiv inflammasjon går tilbake. MR-undersøkelsens rolle ved cøliaki og tynntarmstumor er ikke etablert. Vi har ikke erfaring i bruk av metoden hos disse pasientene.
Konklusjon
Utvikling av nye MR-teknikker har gjort MR av tynntarm mulig. Undersøkelsen er et godt, strålingsfritt alternativ til konvensjonelle røntgenundersøkelser. Det er fortsatt usikkert om MR av tynntarm med sonde og MR av tynntarm med oral kontrast er likeverdige for å påvise patologiske forhold, men en fersk studie der metodene ble sammenliknet, kan tyde på at dette er tilfellet.
Det er gode holdepunkter for å anbefale MR av tynntarm som førstevalg ved oppfølging av pasienter med etablert Crohns sykdom, som supplement for påvisning av fistel og abscess og for oppfølging der diagnosen er kjent. Vi vil fortsatt anbefale konvensjonell tynntarmsrøntgen ved primærutredning av ukjent tynntarmsykdom.
Manuskriptet ble godkjent 1.6. 2005.
Oppgitte interessekonflikter: Ingen
Hovedbudskap
MR av tynntarm er egnet for kartlegging av sykdomsutbredelsen hos personer med Crohns sykdom og bør være førstevalg ved oppfølging av disse pasientene
Metoden kan i fremtiden bli førstevalg ved all radiologisk utredning av tynntarmen
- 1.
Umschaden HW, Szolar D, Gasser J et al. Small-bowel disease: comparison of MR enteroclysis images with conventional enteroclysis and surgical findings. Radiology 2000; 215: 717 – 25.
- 2.
Gourtsoyiannis N, Papanikolaou N, Grammatikakis J et al. MR enteroclysis: technical considerations and clinical applications. Eur Radiol 2002; 12: 2651 – 8.
- 3.
Masselli G, Brizi GM, Parella A et al. Crohn disease: magnetic resonance enteroclysis. Abdom Imaging 2004; 29: 326 – 34.
- 4.
Rieber A, Wruk D, Potthast S et al. Diagnostic imaging in Crohn"s disease: comparison of magnetic resonance imaging and conventional imaging methods. Int J Colorectal Dis 2000; 15: 176 – 81.
- 5.
Gourtsoyiannis N, Papanikolaou N, Grammatikakis J et al. Assessment of Crohn’s disease activity in the small bowel with MR and conventional enteroclysis: preliminary results. Eur Radiol 2004; 14: 1017 – 24.
- 6.
Ochsenkuhn T, Herrmann K, Schoenberg SO et al. Crohn disease of the small bowel proximal to the terminal ileum: detection by MR-enteroclysis. Scand J Gastroenterol 2004; 10: 953 – 9.
- 7.
Maccioni F, Viscido A, Marini M et al. MRI Evaluation of Crohn disease of the small and the large bowel with the use of negative superparamagnetic oral agents. Abdom Imaging 2002; 27: 384 – 93.
- 8.
Low RN, Sebrechts CP, Politoske DA et al. Crohn disease with endoscopic correlation: single-shot fast spin-echo and gadolinium-enhanced fat-suppressed spoiled gradient echo MR imaging. Radiology 2002; 222: 652 – 60.
- 9.
Schreyer AG, Geissler A, Albrich H et al. Abdominal MRI after enteroclysis or with oral contrast in patients with suspected or proven Crohn’s disease. Clin Gastroenterol Hepatol 2004; 2: 491 – 7.
- 10.
Laghi A, Paolantonio P, Catalano C et al. MR imaging of the small bowel using polyetylene glycol solution as an oral contrast agent in adults and children with celiac disease: preliminary observations. AJR Am J Roentgenol 2003; 180: 191 – 4.
- 11.
Ajaj W, Goehde S, Schneemann H et al. Oral contrast agents for small bowel MRI: comparison of different additives to optimize bowel distension. Eur Radiol 2004; 14: 458 – 64.
- 12.
Borthne AS, Dormagen JB, Gjesdal KI et al. Bowel MR imaging with oral gastrografin: an experimental study with healthy volunteers. Eur Radiol 2003; 13: 100 – 6.
- 13.
Borthne AS, Abdelnoor M, Hellund JC et al. MR imaging of the small bowel with increasing concentrations of an oral osmotic agent. Eur Radiol 2005; 15: 666 – 71. E-publisert 8.2.2005.
- 14.
Herfarth H, Rogler G. State of the art. Inflammatory bowel disease. Endoscopy 2005; 17: 42 – 7.
- 15.
Bader R, Semelka R, Chiu V et al. MRI of carcionid tumors: spectrum of appearances in the gastrointestinal tract and liver. Journal of Magnetic Resonance Imaging 2001; 14: 261 – 9.