En 85 år gammel kvinne med vekttap og residiverende subileus

    ()

    sporsmal_grey_rgb
    Artikkel

    En 85 år gammel kvinne ble innlagt i Kirurgisk avdeling, Stokmarknes sykehus, i 2004. Hun hadde én ukes sykhistorie med kvalme og oppkast 3 – 4 timer etter måltidene, ledsaget av diffuse smerter i hele abdomen. De siste tre månedene hadde hun hatt et vekttap på 8 kg.

    I 1988 var hun blitt behandlet for cancer cervicis uteri, stadium IB, med hysterektomi og postoperativ strålebehandling, i 1993 ble det utført åpen kolecystektomi pga. gallesteiner, og i 1997 ble hun operert for en subhepatisk abscess og perforasjon av stråleskadet tynntarm.

    Ved innleggelsen i 2004 hadde hun et lett reponibelt ventralhernie. Det var ellers ikke relevante kliniske funn. Hematologiske og biokjemiske laboratorieprøver var normale.

    Sykehistorien talte for et gastrointestinalt passasjeproblem. Laparotomi sju år tidligere hadde dokumentert utbredte sammenvoksninger med stråleskader i tynntarmen. Vi vurderte det som mest sannsynlig at hun hadde subileus forårsaket av sammenvoksninger i tynntarmen.

    Røntgen thorax var normal. Røntgen oversikt abdomen viste mindre væskespeil i lett utvidet tynntarm i nedre del av abdomen, samt gass svarende også til coecum og colon sigmoideum. Tykktarmen var ikke utvidet. Bildet var forenlig med subileus i tynntarm. Røntgen tynntarmspassasje viste imidlertid normal passasje av kontrast gjennom normalt vid tynntarm til normalt vid tykktarm og endetarm allerede etter 1 time og 15 minutter.

    Etter røntgen tarmpassasje forsvant alle symptomer. Hun ble utskrevet i velbefinnende etter ytterligere to dagers observasjon.

    Det kliniske og radiologiske bildet passet med en forbigående subileustilstand, vel forenlig med sammenvoksninger og stråleskader i tynntarm. Etter kontrastundersøkelsen var passasjen tilsynelatende i orden. Vi fant derfor ikke grunn til videre utredninger.

    En uke senere ble hun innlagt på nytt. Hun hadde da i fem dager hatt magesmerter som tidligere, særlig om ettermiddagen, med tiltakende kvalme og oppkast av matrester etter 3 – 4 timer, hvoretter både kvalme og smerter ble lindret. Hun hadde avføring daglig, som hun mente var normal. Status ved innleggelsen var uforandret. Hematologiske og biokjemiske prøver var fremdeles normale.

    Symptomene ble fortsatt vurdert til å passe med subileus forårsaket av adheranser i stråleskadet tynntarm, men det var nå mindre opplagt at problemene ville løse seg selv. Vekttapet de siste månedene talte ikke for det. Det var nødvendig å vurdere om det kunne ligge en annen etiologi bak.

    Ventralherniet var lettreponibelt og uømt, og kunne ikke forklare symptomene. Residiv av kreft på livmorhalsen etter 16 år, med intraperitoneale metastaser, var usannsynlig. Det kliniske bildet gjorde det nødvendig å utelukke en ny malign sykdom, særlig peritoneal karsinomatose eller ekspansiv prosess i tynntarmen. Kreft i ventrikkel var også mulig. Hun hadde bildemessig ikke colonileus. Kreft i tykktarmen ble derfor vurdert som usannsynlig, med mindre det var tumorinfiltrasjon også i tynntarmen.

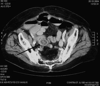
    Gastroskopi viste normale funn i oesophagus, ventrikkel og duodenum. CT abdomen og bekken viste et sentralt midtlinjebrokk som inneholdt tynntarm. Det var flere små væskenivåer i tynntarmen og tykktarmen helt ned til endetarmen. Verken tynntarm eller tykktarm var utvidet. I tarmene, «mest sannsynlig i coecum», ble det beskrevet «et ovalt formet ca. 2,8 x 2 cm stort legeme» (fig 1). Dette inneholdt ikke kalk, og var kun synlig som en defekt i kontrasten. Det var ikke påvisbare ekspansive eller infiltrative prosesser. Det var ingen påvisbar irritasjon i buken og ikke fri væske. Noen dager senere viste ny røntgen tarmpassasje lett til moderat utvidede tynntarmer fylt med kontrast 3 timer etter kontrasttilførsel. Først etter 17 timer hadde kontrasten passert over i en normalt vid tykktarm og rectum. Utvidelsen i proksimale tynntarm var da gått tilbake, og tynntarmen var gassfylt bare i lett grad.

    De bildemessige utredningene gav, sammen med normale resultater fra hematologiske og biokjemiske prøver, ingen holdepunkter for malign sykdom. Tumormarkører ble ikke tatt. Det ble heller ikke gjort koloskopi. Vi vurderte det fortsatt mest sannsynlig at pasienten hadde mekanisk subileus i tynntarm forårsaket av adheranser i stråleskadet tarm.

    Kontrastundersøkelsen viste imidlertid nå – i motsetning til tidligere – et inkomplett passasjeproblem i tynntarmen. Slike passasjeproblemer kan gli over spontant, eventuelt etter passasjerøntgen slik det hadde skjedd vel en uke tidligere. Laparotomi og omfattende løsning av sammenvoksninger i stråleskadet tarm er et stort inngrep, med betydelig risiko for komplikasjoner. Det er dessuten vel kjent at sammenvoksninger kan bli mer omfattende for hvert nytt inngrep. Vår konklusjon var derfor, under tvil, at det i alle fall i først omgang kunne være mest fornuftig å se situasjonen noe an.

    Hun var under observasjonsperioden plaget med kvalme, oppkast og diffus ubehagsfølelse over abdomen i varierende grad, avbrutt av dager da hun var besværsfri, og drakk og spiste normalt. På dager med symptomer var det nødvendig med intravenøs væskesubstitusjon. Avføring og luftavgang opplevde hun som normal.

    Etter en ukes observasjon ble konklusjonen at konservativ behandling ikke førte frem. Situasjonen var i ferd med å bli uholdbar. Pasienten ble rådet til laparotomi, og ønsket nå også selv dette: «Dere må finne ut hva som feiler meg!»

    Ved laparotomi fant vi omfattende, harde sammenvoksninger mellom segmenter av tynntarmen og mellom tynntarmen og fremre bukvegg. Tarmavsnitt var stråleskadet. Proksimale del av jejunum var kraftig dilatert, mens distal tynntarm var kollabert. Det ble nødvendig med en tidkrevende og vanskelig adheranseløsning.

    Ved gjennomskjæring av en tynntarmsadheranse plumpet vi inn i en liten «lomme» med granulasjonsvev og pussliknende materiale i bløtdelene i øvre høyre kvadrant, under og nær høyre leverlapp. Vi trodde først at dette var en iatrogen tarmperforasjon. Tarmveggen var imidlertid hel, men fibrotisk og arraktig. Lommen ble sondert uten at vi fant noen fistelgang.

    Ved systematisk gjennomgang av tynntarmen etter adheranseløsningen fant vi uventet et steinhardt ballformet legeme, med diameter ca. 2 – 3 cm, i den proksimale, utvidede, tynntarmen. Ballen var ikke fastkilt. Når den ble manipulert i distal retning, buttet den mot fast vev i arraktig, forsnevret tarm, men den lot seg ikke «kile» fast.

    Et mindre segment av jejunum og et mindre segment av ileum, til sammen ca. 25 – 30 cm ødelagt tarm, ble fjernet. «Ballen» ble løftet ut av reseksjonsenden, og viste seg overraskende å være en gallestein. Kontinuitet i tarmen ble etablert med to anastomoser.

    Pasienten utviklet postoperativt en kolitt med Clostridium difficile, vellykket behandlet med metronidazol. Hun ble utskrevet etter et ellers ukomplisert forløp.

    Diskusjon

    Diskusjon

    Man kan undres på om det er mulig å få gallesteinsileus 11 år etter at galleblæren er fjernet. Et søk i Medline gav sju referanser til beskrivelser av tynntarmsobstruksjon forårsaket av gallestein etter at galleblæren er fjernet (1) – (7). Tilstanden er altså ytterst sjelden og sannsynligvis ukjent for de fleste leger.

    I operasjonsbeskrivelsen fra det åpne kolecystektomiinngrepet i 1993 skriver operatøren at galleblæren kun inneholdt tre «grynstore, ikke palpable, konkrementer». De anatomiske forholdene beskrives som «pene» og «oversiktlige». Det står ingen ting om at noen stein ble mistet.

    Dagen før inngrepet ble det imidlertid ved ultralydundersøkelse beskrevet minst ett konkrement i galleblæren. Størrelsen er ikke angitt på originalbeskrivelsen. Ved ettergransking måles steinens største diameter minst 1 cm.

    Steinen som ble sett ved den preoperative ultralydundersøkelsen, ble altså ikke funnet ved inngrepet i 1993. Det mest sannsynlige er at steinen ble mistet og etterlatt i abdomen.

    En normal tynntarm er videst lengst proksimalt. Lumen avtar i distal retning. Ved klassisk gallesteinsileus passerer steinen typisk gjennom en fistelgang fra galleblæren til duodenum, videre gjennom jejunum, og kiler seg så fast først distalt i ileum. Det klassisk bildet av gallesteinsileus er derfor mekanisk tynntarmsobstruksjon som er distal og komplett.

    Vår pasient hadde ikke distal ileus. Det vekslende symptombildet, med episoder med passasjeproblemer avbrutt av full symptomfrihet, er også avvikende. Begge funn kan forklares av at arrvev og stivhet i tarmveggen på grunn av stråleskade kan ha hindret steinen både i å passere distalt og i å kile seg fast.

    Den diagnostiske gullstandarden ved gallesteinsileus er CT abdomen. Bildet er karakteristisk: gass i galleveiene og komplett mekanisk obstruksjon distalt i tynntarmen. Gass i galleveien forutsetter imidlertid at galleblæren ikke er fjernet, og at det finnes en fistelgang som muliggjør passasje av gass fra tarmen til galleblæren.

    CT var hos vår pasient ikke diagnostisk. Det var ikke luft i galleveiene, og gallesteinen inneholdt ikke kalk. Dermed var den kun synlig på CT som en defekt i kontrasten. Det var ikke mulig å si hva denne representerte, og lokaliseringen ble feilaktig antatt å være i coecum. Ved ettergransking er steinen også synlig som en kontrastdefekt i tynntarmen på passasjebildene (fig 2). Både CT og den første kontrastundersøkelsen av passasjen underestimerte utvidelsen av tynntarmen.

    Den diagnostiske prosedyren var eksplorativ laparotomi. Dette var tidligere en relativt vanlig diagnostisk prosedyre, men den er i dag langt på vei fortrengt av moderne bildediagnostikk. Selv om bildediagnostikken har revolusjonert moderne medisin, har den fortsatt begrensninger, slik vår pasient er et eksempel på. Dette må man ta hensyn til i den kliniske hverdag, der resultater fra bildediagnostikk alltid må settes inn i en klinisk sammenheng. Dette krever iblant vanskelige avveininger. Det er også tankevekkende at steinen lett kunne vært oversett også ved operasjonen dersom vi hadde unnlatt å palpere nøye gjennom hele tynntarmen som ledd i den formelle eksplorasjonen av abdomen.

    Den etterlatte gallesteinen er også mest sannsynlig årsaken til den subhepatisk abscessen som pasienten var blitt behandlet for i 1997. Ved ettergransking av CT-bildene fra 1997 kan vi ikke identifisere steinen. Dette er som forventet, siden den ikke inneholdt kalk.

    Vår pasient fikk to meget alvorlige komplikasjoner etter kolecystektomi: Etter fire år fikk hun intraabdominal abscess med tynntarmsperforasjon, og etter 11 år gallesteinsileus. Begge komplikasjonene skyldtes at gallesteinen var etterlatt etter fjerning av galleblæren. Insidensen av slike «tapte steiner» er ukjent. Det er grunn til å understreke at det å etterlate gallesteiner intraabdominalt kan føre til alvorlige og farlige komplikasjoner, som først debuterer etter mange år, og som kan være vanskelige både å diagnostisere og å behandle.

    Manuskriptet ble godkjent 23.6. 2005.

    Oppgitte interessekonflikter: Ingen

    Se kommentar side 325

    Kommentarer  ( 0 )

    Anbefalte artikler