En ti år gammel tidligere frisk gutt oppsøkte fastlegen på grunn av feilstilling av venstre fot. Moren hadde lagt merke til at han gikk nesten bare på lateralsiden av foten, og han kunne ha problemer med å få skoene av og på seg. Han hadde en påfallende gange, men ingen smerter. Undersøkelsen viste problemer med å trå ned og belaste hele venstre fotsåle. Det var redusert kraft for fleksjon i tærne og sterkt nedsatt dorsalfleksjon i ankelleddet, men ikke påfallende slitasje av støvlene. Han ble henvist til ortoped med spørsmål om for kort akillessene eller behov for innleggssåle.
Sykdomsbildet ble i første omgang ikke oppfattet som en nevrologisk tilstand. Av fastlegens journalnotat fremgikk det ikke om en nevrologisk undersøkelse var blitt utført. En nevrologisk undersøkelse på dette tidspunktet ville med all sannsynlighet avdekket patologiske forhold og medført henvisning til barnenevrolog i stedet for til ortoped.
En måned senere ble gutten akuttinnlagt i lokal barneavdeling på grunn av to krampeanfall i løpet av ett døgn, det siste under søvn. Gutten fortalte nå at han i lengre tid (flere år?) hadde hatt det han kalte «drømmeanfall» hvor han i våken tilstand kunne bli «rar», andre personer ble annerledes og han følte seg fjern. På konkret spørsmål bekreftet han at han også hadde hatt anfall med rykninger flere ganger før, men dette hadde han ikke snakket om. Ved undersøkelsen fant man at han var oppegående, afebril og noe ustø, men snakket greit. Han hadde nedsatt kraft i venstre arm og bein og dårlig finmotorikk på venstre side. Man fant også livlig patellarrefleks, invertert plantarrefleks samt dysdiadokokinesi på venstre side. EEG viste uttalt fokal patologi med langsom og skarp aktivitet over høyre hemisfære. CT caput viste en asymmetri, idet fissura Sylvii og de frontale konveksitetsfurene var noe videre på høyre side. Det var ingen ekspansive prosesser eller patologisk kontrastoppladning. Gutten ble henvist til cerebral MR-undersøkelse med angiografi. Denne undersøkelsen viste signalendringer i høyre temporalområde og noe mindre utviklede grener av a. cerebri media på høyre side.
Gutten hadde altså en lett venstresidig hemiparese med hyperrefleksi og spastisitet. Dette kunne gi mistanke om cerebral parese. Man vurderte om hans hemiparese kunne være en gammel skade, for eksempel fødselsskade som ikke var blitt oppdaget tidligere. Moren var blitt forløst med krisesectio på grunn av placentaløsning. Begge foreldre mente imidlertid at forandringene i venstre arm og bein først hadde oppstått i løpet av de siste seks månedene.
Gutten fikk diagnosen epilepsi og startet med antiepileptisk medikasjon. I de påfølgende måneder fikk han imidlertid økende anfallstendens og ble innlagt i Barneklinikken, Rikshospitalet. Han hadde enkle, partielle anfall med noe varierende preg, men dominert av initiale autonome symptomer (kvalme og oppkast), marerittaktige synshallusinasjoner, blunking med høyre øye, dyston stilling av venstre bein, og noen ganger kloniske rykninger av venstre sides ekstremiteter. Han var våken og klar under anfallene, som varte ett til to minutter. Det var tendens til anfall i serier, og etter hvert økte anfallshyppigheten opp mot ca. 70 enkle partielle anfall per dag til tross for medisinering med karbamazepin, valproat, fenytoin og prednisolon i ulike kombinasjoner. Vi forsøkte også intravenøs immunglobulinbehandling uten sikker effekt. Pasienten hadde i tillegg komplekse partielle anfall og noen få generaliserte tonisk-kloniske anfall, og utviklet epilepsia partialis continua. Dette syndromet medfører langvarige fokalmotoriske epileptiske anfall hos helt våkne pasienter. Han hadde kontinuerlige, rytmiske rykninger av venstre fot og dyston stilling av beinet.
Parallelt med anfallsforverringen fikk han stadig økende venstresidig hemiparese med tendens til hengende venstre munnvik og tydelig nedsatt kraft i både arm og bein på venstre side. Han kunne fortsatt gå uten støtte, men med dårlig fotavvikling av venstre fot, og funksjonen i venstre arm var betydelig nedsatt med bruk av hånden primært som støttehånd. I denne perioden var gutten mentalt upåfallende bortsett fra at han virket noe ukonsentrert.
Cerebral MR bør tas av alle pasienter som kan ha symptomatisk epilepsi, spesielt med tanke på å utelukke tumorer og migrasjonsforstyrrelser, som ofte ikke vil vises ved en CT-undersøkelse. Ved alle alvorlige tilfeller av epilepsi bør pasienten utredes med blodprøver, spinalpunksjon og urinprøve for å utelukke blant annet mitokondriesykdom og andre metabolske sykdommer samt virusinfeksjoner.
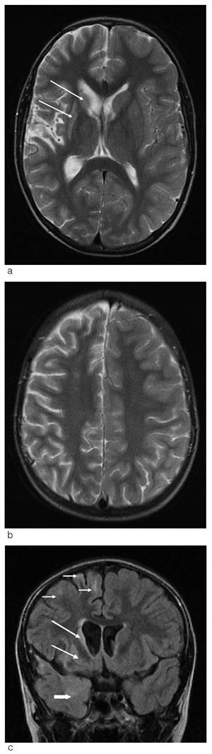
Spinalpunksjon viste ingen pleocytose, normalt proteinmønster og ingen oligoklonale eller polyklonale bånd i gammafraksjonen. Det var heller ikke holdepunkt for virusinfeksjon eller metabolsk sykdom. Ny cerebral MR viste betydelige patologiske forandringer (fig 1).
Dette MR-funnet kombinert med intraktabel epilepsi og progredierende hemiparese er diagnostiske kriterier for Rasmussens encefalitt. Funksjonell hemisfærektomi av den affiserte hemisfæren er foreløpig det eneste behandlingsalternativet som fjerner eller reduserer anfallene og kan stoppe videre progrediering av nevrologiske utfall ved denne tilstanden. Slik behandling bør derfor vurderes så snart diagnosen er avklart.
Det er viktig å tenke på muligheten for epilepsikirurgi hos alle barn med vanskelig traktabel epilepsi innen det har gått for lang tid, det vil si oftest etter et par års medikamentell utprøving. Dersom det går for lang tid, er det risiko for at barnet kan tape funksjon. Det kan også skje en utvikling av epilepsien med spredning av det epileptiske fokus til andre områder av hjernen slik at pasienten blir inoperabel.
Gutten, som var høyrehendt, ble utredet med funksjonell MR. Undersøkelsen viste at ekspressiv språkfunksjon var lokalisert til venstre hemisfære, mens han hadde impressiv språkfunksjon i begge hemisfærer. Motoriske funksjoner i den venstre kroppshalvdelen var fortsatt knyttet til høyre hemisfære. Iktal enfotonstomografi (SPECT) viste hypoperfusjon av hele høyre hemisfære. Iktal EEG-videometri viste sterke patologiske trekk med langsom aktivitet over hele høyre hemisfære med et maksimum over parietalregionen, og dessuten epileptiform aktivitet parietalt i midtlinjen. Det ble ikke påvist hemianopsi ved øyeundersøkelse.
Ved Spesialsykehuset for epilepsi foretas alltid en nøyaktig kartlegging av funksjoner før endelig beslutning om operasjon blir tatt, slik at man vet hvilke sekveler som eventuelt kan forventes postoperativt. Hos vår pasient forventet vi at han kunne miste deler av den resterende motoriske funksjonen i venstre side, samt påføres homonym hemianopsi. Han hadde en uholdbar anfallssituasjon, og utviklet dessuten stadig forverring av hemiparesen, selv i de periodene hvor anfallssituasjonen var bedre. Dette var sannsynligvis uttrykk for at den inflammatoriske/destruktive prosessen gikk sin gang uavhengig av anfallssituasjonen. I tillegg var det den ikke-dominante hemisfæren som skulle opereres, slik at beslutningen om operasjon ikke var vanskelig.
Gutten ble henvist til funksjonell nevrokirurgi i Bonn, og operert med modifisert, høyresidig transsylvisk hemisfærotomi. Det ble foretatt deafferensiering av hele høyre hemisfære og amygdalahippokampektomi, samt reseksjon av insular cortex. Inngrepet forløp ukomplisert bortsett fra at det oppstod en postoperativ meningitt med ukjent agens som ble vellykket behandlet med antibiotika. Histologi bekreftet diagnosen Rasmussens encefalitt. Det ble påvist massiv aktivering av mikrogliaceller, mikrogliaknuter og reaktiv gliose.
Ved kontroll seks og 12 måneder postoperativt var gutten anfallsfri. Han brukte fortsatt valproat og fenytoin og hadde som forventet homonym hemianopsi og spastisk hemiparese. Gangfunksjonen var som før operasjonen, men venstre arm fungerte dårligere og han benyttet ikke lenger denne som hjelpehånd. En begrenset nevropsykologisk testing viste godt sparte kognitive ressurser, men med økt impulsivitet og hyperaktivitet. Språklig fungerte han godt.
Diskusjon
Rasmussens encefalitt er en sjelden, kronisk inflammatorisk sykdom med ukjent etiologi som hyppigst ses hos barn. Insidensen er ukjent, men i 1997 var det på verdensbasis beskrevet i overkant av 100 pasienter. Sykdommen affiserer primært barn i alderen 1 – 15 år, men er også beskrevet hos voksne. Den opptrer sporadisk i alle folkeslag. Så vidt vi kjenner til, er vår pasient det første barnet i Norge som er beskrevet med denne tilstanden. Det er mulig at tilstanden er underdiagnostisert.
Rasmussens encefalitt ble første gang beskrevet i 1958 (1), og presenterer seg oftest som en intraktabel epilepsi med enkle, partielle anfall og epilepsia partialis continua. Etter hvert tilkommer økende cerebral hemiatrofi og utvikling av alvorlige nevrologiske sekveler i form av hemiparese. Senere kommer også kognitiv svikt.
Sykdomsforløpet er vanligvis trefaset med en initialfase med spredte, enkle partielle epileptiske anfall. Denne første fasen kan variere i lengde fra tre måneder til ti år. Deretter går tilstanden over i en fase med hyppige enkle partielle anfall, og hos ca. halvparten utvikles da epilepsia partialis continua. I en studie av epilepsia partialis continua hos barn var Rasmussens encefalitt den vanligste årsaken (2).
Pasienten utvikler nå en progredierende hemiparese. Også denne fasen kan variere i lengde fra få måneder til ti år, før pasienten går over i fase 3 med roligere anfallssituasjon og en permanent og stabil hemiparese (3). Pasienten kan ha andre anfallstyper i tillegg til enkle partielle anfall, både komplekst partielle og generaliserte tonisk-kloniske.
85 % utvikler mild til moderat mental retardasjon. I en studie av 12 pasienter var gjennomsnittlig IQ 61 før operasjonen, som ble utført fra sju måneder til 14 år etter sykdomsdebut (4). Preoperativ kognitiv funksjon hos vår pasient var imidlertid god, kanskje på grunn av relativt kort sykdomsforløp med kun åtte måneders antiepileptisk behandling preoperativt.
EEG viser vanligvis langsom, multifokal epileptiform aktivitet over den affiserte hemisfæren (4). Cerebral MR viser økende atrofi av den affiserte hemisfæren, primært i perisylvisk område, samt forstørret sideventrikkel på samme side. I tillegg kan man se høysignalområder både i grå og hvit substans samt atrofi av nucleus caudatus (5). Diagnosen bekreftes ved funn av perivaskulære lymfocytiske infiltrasjoner, knuter av mikroglia og mikrogliaproliferasjon (3). Hjernebiopsi er ikke nødvendig for å stille diagnosen. En rekke differensialdiagnoser som primært affiserer den ene hjernehalvdelen eller medfører epilepsia partialis continua må overveies (tab 1).
Tabell 1
Eksempler på differensialdiagnoser til Rasmussens encefalitt
| Tilstander som affiserer en hjernehalvdel |
Årsaker til epilepsia partialis continua |
| Kortikal dysplasi (for eksempel hemimegalencefali) |
Kojevnikovs syndrom type 1 |
| Tidlige infarkter som medfører porencefali |
Mitokondriesykdom |
| Nevrokutane syndromer (spesielt Sturge-Webers syndrom) |
Fokal encefalitt |
| HHE (hemiconvulsion-hemiplegia-epilepsy)- syndrom |
Årsaken til Rasmussens encefalitt er ikke kjent. De patologiske funn i den affiserte hjernehalvdelen gir mistanke om virusinfeksjon, og i enkelte studier er det ved undersøkelse av affisert hjernevev påvist herpesvirus. Andre studier har ikke kunnet bekrefte dette, slik at man antar at virusinfeksjon ikke kan være eneste årsak til tilstanden. Autoimmun genese har vært postulert, for eksempel utløst av en virusinfeksjon. Det er påvist oligoklonale bånd i spinalvæsken hos en rekke pasienter med Rasmussens encefalitt og i tillegg er det hos enkelte påvist autoantistoff mot glutamatreseptor (4). Dette er imidlertid ikke et spesifikt funn, men ses også hos andre epilepsipasienter hvor det ikke er mistanke om inflammatorisk sykdom (6). Mye taler for at T- lymfocytter er sentrale i den inflammatoriske prosessen. Cytotoksisk T-celledestruksjon av nevroner er påvist i en studie (7).
Vanlig antiepileptisk behandling har ofte dårlig effekt, og derfor er det viktig å vurdere andre behandlingsalternativer raskt. Studier med antiviral behandling har ikke vært konklusive. Immunsupprimerende eller immunmodulerende behandling med steroider, immunglobulin, plasmaferese, protein A-immunoadsorpsjon og takrolimus har hatt varierende effekt. Det er nylig publisert en åpen studie der sju pasienter med Rasmussens encefalitt ble behandlet med takrolimus, et T-cellesupprimerende medikament. Hos disse så den hemisfæriske destruktive prosessen ut til å gå langsommere enn hos ubehandlede (8). Selv om slik behandling synes lovende og er aktuelt å prøve, har ingen hittil vist sikker langtidseffekt som har gjort kirurgi unødvendig (9).
Funksjonell hemisfærektomi av den affiserte hemisfæren oppfattes foreløpig som eneste behandlingsalternativ som fjerner eller reduserer anfallene og kan stoppe videre progrediering, og bør derfor vurderes så snart diagnosen er avklart. I en studie av 24 pasienter med Rasmussens encefalitt operert med funksjonell hemisfærektomi eller periinsular hemisfærotomi, ble 95 % anfallsfrie eller fikk betydelig anfallsreduksjon. Én pasient døde av diffust hemisfærisk ødem, og én måtte shuntopereres. Seks pasienter fikk forverrede motoriske eller visuelle utfall uten at dette skal ha påvirket deres funksjon i nevneverdig grad. Langt tidsintervall mellom anfallsdebut og operasjon medførte dårligere prognose med tanke på anfallskontroll. Tidspunktet for kirurgi vil være avhengig av anfallssituasjonen, hastigheten på utviklingen av nevrologiske utfall og holdningen til kirurgi hos foreldre og eventuelt hos pasienten. Tidlig operasjon er fordelaktig med tanke på kognitiv utvikling og kompensatoriske mekanismer (hjernens plastisitet) og for å forhindre utvikling av atferdsproblemer.
Manuskriptet ble godkjent 1.6. 2005.
Oppgitte interessekonflikter: Ingen
Pasienten er tidligere beskrevet som del av et pasientmateriale med epilepsia partialis continua (10)
- 1.
Rasmussen T, Olazewski I, Lyoyd-Smith D. Focal seizures due to chronic localized encephalitis. Neurology 1958; 8: 433 – 55.
- 2.
Cockerell O, Rothwell J, Thompson P et al. Clinical and physiological features of epilepsia partialis continua. Cases ascertained in the UK. Brain 1996; 119: 393 – 407.
- 3.
So N, Andermann F. Rasmussens syndrome I: Engel J, Pedley T, red. Epilepsy: a comprehensive textbook. Philadelphia: Lippincott-Raven, 1997: 2379 – 87.
- 4.
Granata T, Gabbi G, Spreafico R et al. Rasmussens encephalitis. Early characteristics allow diagnosis. Neurology 2003; 60: 422 – 5.
- 5.
Chiapparini L, Granata T, Farina L. Diagnostic imaging in 13 cases of Rasmussens encephalitis: Can early MRI suggest diagnosis? Neuroradiology 2003; 45: 171 – 83.
- 6.
Wiendl H, Bien C, Bernasconi P et al. Glu R 3 antibodies: prevalence in focal epilepsy but no specificity for Rasmussens encephalitis. Neurology 2001; 57: 1511 – 4.
- 7.
Bien C, Bauer J, Thomas L et al. Destruction of neurons by cytotoxic T cells: a new pathogenic mechanism in Rasmussens encephalitis. Ann Neurol 2002; 51: 311 – 8.
- 8.
Bien C, Gleissner U, Sassen R et al. An open study of tacrolimustherapy in RE. Neurology 2004; 62: 2106 – 9.
- 9.
Hart Y. Rasmussens encephalitis. Epileptic Disord 2004; 6: 133 – 44.
- 10.
Nakken KO, Eriksson A-S, Kostov H et al. Epilepsia partialis continua (Kojevnikovs syndrom) Tidsskr Nor Lægeforen 2005; 125: 746 – 9.