Dekomprimerende kraniektomi ved akutt encefalitt

    ()

    sporsmal_grey_rgb
    Abstract

    We report a patient with acute encephalitis of unknown causation who underwent hemicraniectomy because of threatening herniation. The patient recovered uneventfully and three weeks later, findings on neurological examination were normal. Hemicraniectomy should be considered in all patients with encephalitis and threatening herniation.

    Artikkel

    En 44 år gammel kvinne ble innlagt i nevrologisk avdeling etter en tre dagers sykehistorie med personlighetsendring (ofte irrelevante svar og lang latenstid) og hodepine. Før det hadde hun hatt lette luftveissymptomer i 14 dager. Ved innkomst var hun våken og orientert, men svarte med lang latenstid. Høyre arm var lett paretisk. Pasienten var febril (38,4 °C) og respiratorisk og sirkulatorisk stabil.

    De mest aktuelle differensialdiagnosene var hjerneslag, sinusvenetrombose og encefalitt.

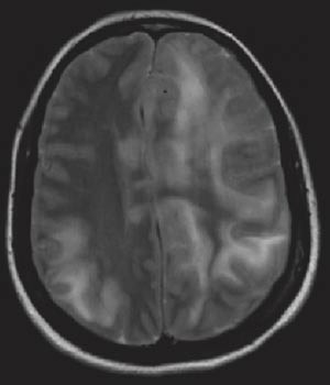
    MR av hjernen viste utbredte signalforandringer i både grå og hvit substans i begge hemisfærer, mest uttalt på venstre side (fig 1). MR av ryggmargen var normal. Blodprøver viste SR 71, CRP 67 og LPK 12,1. Spinalvæske viste ingen leukocytter, protein 0,43 g/l og glukose 3,8 mmol/l. Samtidig serum-glukose var 4,9 mmol/l. EEG viste generaliserte funksjonsforstyrrelser med lett venstresidig overvekt. Røntgen thorax tatt tredje døgn etter innkomst viste bilaterale basale lungefortetninger.

    Diagnosen akutt encefalitt ble stilt på bakgrunn av MR-undersøkelsen og sykehistorien. Antall leukocytter er vanligvis forhøyet i spinalvæsken ved encefalitt, men kan være normalt, også ved herpesencefalitt. Encefalitt er en potensielt livstruende sykdom. Årsak er vanligvis infeksjon (herpes simplex, herpes zoster, cytomegalovirus, Epstein-Barr-virus, kusma, meslinger, enterovirus og Mycoplasma pneumoniae) eller postinfeksiøs (1). De vanligste symptomene er feber, epileptiske anfall, forvirring, fokale utfall og trykksymptomer pga. forhøyet intrakranialt trykk. Utredning omfatter blant annet MR, EEG og spinalvæskeanalyse. Det finnes spesifikk behandling mot flere typer encefalitter (herpes simplex, varicella zoster, cytomegalovirus, M pneumoniae). Vår pasient ble gitt metylprednisolon på grunn av muligheten for postinfeksiøs encefalitt. Herpes simplex er den vanligste årsaken til sporadisk, dødelig encefalitt (2). Encefalitt er en sjelden komplikasjon til luftveisinfeksjon på grunn av Mycoplasma og kan være dødelig (3, 4).

    Pasienten ble behandlet med aciklovir, og etter fem dager med erytromycin i tillegg pga. muligheten for mycoplasmaencefalitt.

    PCR for herpes simplex-virus type 1 og type 2 og varicella zoster-virus i spinalvæsken tatt innkomstdagen viste seg å være negativ. Serologiske prøver på M pneumoniae, Chlamydia pneumoniae, enterovirus, adenovirus, herpes simplex-virus, varicella zoster-virus, parotittvirus, Epstein-Barr- virus og cytomegalovirus ved innkomst og kontroll var også negative.

    Det er ikke uvanlig at serologiske prøver ved akutt encefalitt er negative.

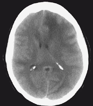
    I løpet av første døgn i sykehus utviklet pasienten afasi og økende parese i høyre sides ekstremiteter. Natt til femte døgn i sykehus tilkom redusert bevissthet, og i løpet av noen få timer ble hun komatøs med blodtrykksstigning til 230/130 mm Hg og bradykardi (40 slag per minutt). Hun utviklet venstre oculomotoriusparese som tegn på truende herniering. Cerebral CT viste betydelig ødemutvikling med utslettede sulci over konveksiteten, midtlinjeoverskytning mot høyre og nesten global okklusjon av de basale cisterner (fig 2).

    En fryktet komplikasjon ved encefalitt er forhøyet intrakranialt trykk pga. ødemutvikling med herniering og død som mulig utfall. De siste årene har livstruende forhøyet intrakranialt trykk ved forskjellige nevrologiske sykdommer eller tilstander som mediainfarkt og alvorlig hodeskade i økende grad vært behandlet med dekomprimerende kraniektomi og duraplastikk. Dekomprimerende kraniektomi bedrer cerebral perfusjon og hindrer iskemi og mekanisk trykkskade (5). I medisinsk litteratur er det rapportert noen få pasienter med alvorlig encefalitt hvor dekomprimerende kraniektomi har vært effektiv behandling (5) – (7).

    Akutt venstre dekomprimerende kraniektomi og duraplastikk ble utført av nevrokirurg uten komplikasjoner. Hjernebiopsi med hovedsakelig kortikalt vev viste lette reaktive forandringer med aktivering av mikroglia i en tynn brem av hvit substans. Immunhistokjemiske undersøkelser for herpes simplex-virus type 1 og type 2 og for cytomegalovirus var negative.

    Det er viktig å vurdere dekomprimerende kraniektomi ved alvorlig encefalitt fordi denne behandlingen er potensielt livreddende og kan redusere graden av iskemi og varige nevrologiske følgetilstander.

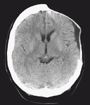
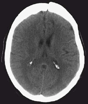
    Det postoperative forløpet var ukomplisert. En uke postoperativt hadde pasienten ikke lenger afasi, og hemiparesen var gått betydelig tilbake. Tre uker postoperativt hadde hun normal nevrologisk status. Cerebral CT en måned postoperativt viste betydelig tilbakegang av ødem (fig 3). Fire måneder postoperativt ble beinlappen lagt tilbake, og cerebral CT viste minimale lavattenuerende forandringer frontalt på venstre side (fig 4).

    Diskusjon

    Diskusjon

    Vår pasient illustrerer tre viktige poeng når det gjelder dekomprimerende kraniektomi ved encefalitt med truende herniering. For det første var utviklingen av forhøyet intrakranialt trykk med trykksymptomer svært rask (noen få timer) og kom etter noen dager med stabil klinisk tilstand. Derfor bør alle pasienter med encefalitt overvåkes nøye, og man bør så tidlig som mulig gjøre seg opp en mening om dekomprimerende kraniektomi er aktuelt dersom det intrakraniale trykket stiger faretruende. Et nært samarbeid med nevrokirurgisk avdeling er viktig i denne sammenheng, slik at unødig tid ikke går til spille ved intrakranial trykkstigning. For det andre er dekomprimerende kraniektomi en relativt enkel og skånsom operasjon som kan være livreddende for pasienter med encefalitt. For det tredje er prognosen for mange som overlever encefalitt, god også etter dekomprimerende kraniektomi, og hos vår pasient var nevrologisk status normal allerede tre uker postoperativt.

    Scwab og medarbeidere har beskrevet seks pasienter med alvorlig encefalitt behandlet med dekomprimerende kraniektomi (5). Årsak ble funnet hos bare to pasienter (M pneumoniae og herpes simplex-virus). Alle pasientene kom seg, uten eller med minimale nevrologiske utfall. Taferner og medarbeidere har beskrevet dekomprimerende kraniektomi hos fire pasienter med enten herpesencefalitt eller postinfeksiøs encefalitt med godt resultat (7). Hos en av pasientene ble det utført bilateral dekomprimerende kraniektomi. von Stuckrad-Barre og medarbeidere har beskrevet en pasient med fulminant akutt disseminert encefalomyelitt som ble behandlet med dekomprimerende kraniektomi (6). Pasienten kom seg med minimale nevrologiske utfall.

    Tradisjonell behandling av livstruende intracerebralt ødem inkluderer mannitol, hyperventilering ved bruk av respirator og barbiturater. Effekten er usikker, og behandlingen kan være skadelig (8) – (12). Mannitol kan forverre hjerneødem (10). Langvarig hyperventilering kan redusere hjernens evne til å tolerere iskemi (9). Barbiturater kan gi alvorlig hypotensjon og kardiovaskulære komplikasjoner (12).

    De senere årene har mediainfarkt og alvorlig hodeskade med livstruende høyt intrakranialt trykk vært behandlet med dekomprimerende kraniektomi (13). Selv om mulige komplikasjoner som intrakranial blødning og infeksjon kan inntreffe, er erfaringene gode. Vi tror dekomprimerende kraniektomi representerer et godt alternativ til tradisjonell behandling av alvorlig intracerebralt ødem og mener dette bør vurderes hos alle pasienter med encefalitt og truende herniering.

    Oppgitte interessekonflikter: Ingen

    Se kommentar side 1210

    Kommentarer  ( 0 )
    PDF
    Skriv ut

    Anbefalte artikler